Pediatría y neonatal
Mónica De Moricis
Candida
El genero candida lo forman hongos
levaduriformes unicelulares, ovales
o cilíndrica.
C. albicans es la responsable de la
mayoría de las infecciones
humanas, pero cada vez es más
frecuente aislar C. parapsilosis,
C. tropicalis, C. krusei, C. lusitaniae,
C. glabrata y algunas otras especies
en niños hospitalizados.
La mas virulenta es C. albicans.
Infecciones
neonatales
Candida es una causa frecuente de
infecciones de la mucosa oral (muguet) y de la
piel del periné (dermatitis candidiásica del
pañal) en lactantes de corta edad.
Algunas presentaciones infrecuentes son la
candidiasis cutánea congénita y la dermatitis
fúngica invasiva.
La candidiasis invasiva es una complicación
infecciosa frecuente en las unidades de
cuidados intensivos neonatales (UCIN) debido
a la mayor supervivencia de los lactantes muy
prematuros.
Infecciones neonatales
Etiología
El género Candida constituye la tercera causa
más frecuente de septicemia en lactantes
prematuros.
Entre los principales factores de riesgo de
candidiasis invasiva en recién nacidos hay que
citar la prematuridad, el bajo peso al
nacimiento, la administración de antibióticos
de amplio espectro, la cirugía abdominal y la
presencia de un catéter venoso central.
Infecciones neonatales
Patogenia
La inmadurez inmunitaria junto con un desarrollo insuficiente
de la capa cutánea, la necesidad de medidas cruentas (tubos
endotraqueales, catéteres venosos centrales) y la exposición
a antibióticos de amplio espectro hacen que los lactantes
prematuros tengan un gran riesgo de candidiasis invasiva.
Los lactantes prematuros también tienen un riesgo elevado
de perforaciones intestinales espontáneas y de enterocolitis
necrosante.
Infecciones neonatales
Manifestaciones clínicas
La gravedad de las manifestaciones de la
candidiasis neonatal varía del muguet oral
y la dermatitis del pañal por Candida a la
candidiasis invasiva que puede
manifestarse con una sepsis abrumadora .
Los signos de candidiasis invasiva en los
recién nacidos prematuros suelen ser
inespecíficos y consisten en inestabilidad
térmica, letargo, apnea, hipotensión,
dificultad respiratoria, distensión
abdominal y trombocitopenia.
Infecciones neonatales
Manifestaciones clínicas
• La afectación del sistema nervioso central (SNC) es
frecuente y corresponde a un cuadro de
meningoencefalitis; abscesos.
• La endoftalmitis es una complicación infrecuente <5%
de los recién nacidos con candidiasis invasiva.
• Además, la candidemia se asocia a un mayor riesgo de
retinopatía de la prematuridad grave.
• La candidiasis invasiva suele complicarse con una
afectación renal, que puede limitarse a una candiduria
o manifestarse con una infiltración difusa de Candida
en todo el parénquima renal o bien por la presencia de
Candida y detritos en el sistema colector.
• Otros órganos afectados son el corazón, los huesos, las
articulaciones, el hígado y el bazo.
Infecciones neonatales
Diagnostico
• Las infecciones mucocutáneas se diagnostican en la
mayoría de las ocasiones por la exploración física directa.
• El raspado de las lesiones cutáneas puede evaluarse
mediante microscopia después de su tinción con Gram o
de una suspensión en KOH.
• El diagnóstico definitivo de una enfermedad invasiva
requiere la demostración histológica del hongo en
muestras tisulares o su recuperación a partir de líquidos
corporales normalmente estériles.
• 80% de los lactantes prematuros con candidiasis invasiva
tienen trombocitopenia.
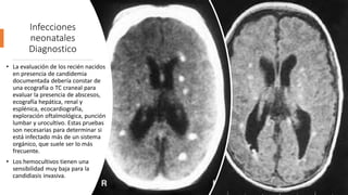
Infecciones
neonatales
Diagnostico
• La evaluación de los recién nacidos
en presencia de candidemia
documentada debería constar de
una ecografía o TC craneal para
evaluar la presencia de abscesos,
ecografía hepática, renal y
esplénica, ecocardiografía,
exploración oftalmológica, punción
lumbar y urocultivo. Estas pruebas
son necesarias para determinar si
está infectado más de un sistema
orgánico, que suele ser lo más
frecuente.
• Los hemocultivos tienen una
sensibilidad muy baja para la
candidiasis invasiva.
Infecciones neonatales
Profilaxis
• En las UCIN con una incidencia alta
de candidiasis invasiva debería
considerarse una profilaxis con
fluconazol en lactantes de <1.000
gramos de peso al nacer.
• La administración de fluconazol a
dosis de 3-6 mg/kg/dosis dos veces
por semana disminuye la tasa de
colonización por especies de
Candida y de infecciones micóticas
invasivas.
Infecciones neonatales
Tratamiento
• Manifestaciones no sistémicas
Antifúngicos tópicos (Tx de elección para la candidiasis
cutánea congénita en lactantes a termino)
• Manifestaciones sistémicas
Retirar o sustituir catéteres venosos centrales (si es
posible), el retraso de su extracción se ha asociado
mayor riesgo de morbimortalidad.
Tx antifúngico durante 21 días, a base de la
susceptibilidad de cada hongo
Infecciones neonatales
Tratamiento
• Manifestaciones sistémicas
Anfotericina B desoxicolato (ha sido el pilar
fundamental del tx en C. sistémica)
Anfotericina liposomal ( uso único cuando se
descarta con fiabilidad la afectación del
aparato urinario)
Fluconazol (inactivo contra C. krusei y algunas
de C. glabrata)
Equinocandinas (tienen actividad contra la
mayoría de las especies de Candida, y a sido
usado en px donde ha fallado el otro tx)
Infecciones neonatales
Pronostico
• Las cifras descritas de mortalidad después
de una candidiasis invasiva en lactantes
prematuros han estado de forma constante
alrededor del 20% en estudios a gran
escala.
• La candidiasis también se asocia con malos
resultados del desarrollo neurológico,
neumopatía crónica y casos graves de
retinopatía de la prematuridad.
Candida
Infecciones neonatales
Bibliografía
file:///C:/Users/maxie/Desktop/pedriatria%202-
2020/Nelson%20Tratado%20de%20Pediatria%2020a%20Edicion_books
medicos.org.pdf
• Capitulo 234 págs. 1587- 1588

Candidiasis invasiva Pediatría

  • 1.
  • 2.
    Candida El genero candidalo forman hongos levaduriformes unicelulares, ovales o cilíndrica. C. albicans es la responsable de la mayoría de las infecciones humanas, pero cada vez es más frecuente aislar C. parapsilosis, C. tropicalis, C. krusei, C. lusitaniae, C. glabrata y algunas otras especies en niños hospitalizados. La mas virulenta es C. albicans.
  • 3.
    Infecciones neonatales Candida es unacausa frecuente de infecciones de la mucosa oral (muguet) y de la piel del periné (dermatitis candidiásica del pañal) en lactantes de corta edad. Algunas presentaciones infrecuentes son la candidiasis cutánea congénita y la dermatitis fúngica invasiva. La candidiasis invasiva es una complicación infecciosa frecuente en las unidades de cuidados intensivos neonatales (UCIN) debido a la mayor supervivencia de los lactantes muy prematuros.
  • 4.
    Infecciones neonatales Etiología El géneroCandida constituye la tercera causa más frecuente de septicemia en lactantes prematuros. Entre los principales factores de riesgo de candidiasis invasiva en recién nacidos hay que citar la prematuridad, el bajo peso al nacimiento, la administración de antibióticos de amplio espectro, la cirugía abdominal y la presencia de un catéter venoso central.
  • 5.
    Infecciones neonatales Patogenia La inmadurezinmunitaria junto con un desarrollo insuficiente de la capa cutánea, la necesidad de medidas cruentas (tubos endotraqueales, catéteres venosos centrales) y la exposición a antibióticos de amplio espectro hacen que los lactantes prematuros tengan un gran riesgo de candidiasis invasiva. Los lactantes prematuros también tienen un riesgo elevado de perforaciones intestinales espontáneas y de enterocolitis necrosante.
  • 6.
    Infecciones neonatales Manifestaciones clínicas Lagravedad de las manifestaciones de la candidiasis neonatal varía del muguet oral y la dermatitis del pañal por Candida a la candidiasis invasiva que puede manifestarse con una sepsis abrumadora . Los signos de candidiasis invasiva en los recién nacidos prematuros suelen ser inespecíficos y consisten en inestabilidad térmica, letargo, apnea, hipotensión, dificultad respiratoria, distensión abdominal y trombocitopenia.
  • 7.
    Infecciones neonatales Manifestaciones clínicas •La afectación del sistema nervioso central (SNC) es frecuente y corresponde a un cuadro de meningoencefalitis; abscesos. • La endoftalmitis es una complicación infrecuente <5% de los recién nacidos con candidiasis invasiva. • Además, la candidemia se asocia a un mayor riesgo de retinopatía de la prematuridad grave. • La candidiasis invasiva suele complicarse con una afectación renal, que puede limitarse a una candiduria o manifestarse con una infiltración difusa de Candida en todo el parénquima renal o bien por la presencia de Candida y detritos en el sistema colector. • Otros órganos afectados son el corazón, los huesos, las articulaciones, el hígado y el bazo.
  • 8.
    Infecciones neonatales Diagnostico • Lasinfecciones mucocutáneas se diagnostican en la mayoría de las ocasiones por la exploración física directa. • El raspado de las lesiones cutáneas puede evaluarse mediante microscopia después de su tinción con Gram o de una suspensión en KOH. • El diagnóstico definitivo de una enfermedad invasiva requiere la demostración histológica del hongo en muestras tisulares o su recuperación a partir de líquidos corporales normalmente estériles. • 80% de los lactantes prematuros con candidiasis invasiva tienen trombocitopenia.
  • 9.
    Infecciones neonatales Diagnostico • La evaluaciónde los recién nacidos en presencia de candidemia documentada debería constar de una ecografía o TC craneal para evaluar la presencia de abscesos, ecografía hepática, renal y esplénica, ecocardiografía, exploración oftalmológica, punción lumbar y urocultivo. Estas pruebas son necesarias para determinar si está infectado más de un sistema orgánico, que suele ser lo más frecuente. • Los hemocultivos tienen una sensibilidad muy baja para la candidiasis invasiva.
  • 10.
    Infecciones neonatales Profilaxis • Enlas UCIN con una incidencia alta de candidiasis invasiva debería considerarse una profilaxis con fluconazol en lactantes de <1.000 gramos de peso al nacer. • La administración de fluconazol a dosis de 3-6 mg/kg/dosis dos veces por semana disminuye la tasa de colonización por especies de Candida y de infecciones micóticas invasivas.
  • 11.
    Infecciones neonatales Tratamiento • Manifestacionesno sistémicas Antifúngicos tópicos (Tx de elección para la candidiasis cutánea congénita en lactantes a termino) • Manifestaciones sistémicas Retirar o sustituir catéteres venosos centrales (si es posible), el retraso de su extracción se ha asociado mayor riesgo de morbimortalidad. Tx antifúngico durante 21 días, a base de la susceptibilidad de cada hongo
  • 12.
    Infecciones neonatales Tratamiento • Manifestacionessistémicas Anfotericina B desoxicolato (ha sido el pilar fundamental del tx en C. sistémica) Anfotericina liposomal ( uso único cuando se descarta con fiabilidad la afectación del aparato urinario) Fluconazol (inactivo contra C. krusei y algunas de C. glabrata) Equinocandinas (tienen actividad contra la mayoría de las especies de Candida, y a sido usado en px donde ha fallado el otro tx)
  • 14.
    Infecciones neonatales Pronostico • Lascifras descritas de mortalidad después de una candidiasis invasiva en lactantes prematuros han estado de forma constante alrededor del 20% en estudios a gran escala. • La candidiasis también se asocia con malos resultados del desarrollo neurológico, neumopatía crónica y casos graves de retinopatía de la prematuridad.
  • 15.