CANDIDIASIS
Intertrigo candidiásico
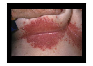
Intertrigo candidiásico. Clínica
Se afecta pliegue submamario, axilar, inguinal o intergluteo. Cuando
afecta el espacio interdigital y se masera se la conoce como
“erosión interdigital blastomicética”
Placas eritematosas confluentes o anulares del color de la carne,
rodeadas por pápulas o pústulas satélites
Descamación en collarete alrededor de las lesiones
Formación de una pseudomembrana blanquecina compuesta por el
contenido de las pústulas, células epiteliales, glóbulos blancos y
micelios micóticos
Las lesiones generalmente son no foliculares
Leve dolor, prurito o ardor
Factores predisponentes: obesidad, pa
cerrada o ajustada, diabetes y factores
ocupacionales
Pústula epidérmica superficial o subcórnea
con grado variable de proliferación
epidérmica e infiltrado dermal. Se debe
realizar tinción con PAS, Gomori o
metenamina de plata.
Intertrigo candidiásico. Histología
blastomices
Diagnósticos diferenciales
Tiña
Psoriasis
Eritrasma
Pénfigo familiar benigno
Enfermedad de Darier
Enfermedad de Leiner
Glucagonoma
Dermatitis seborreica
Foliculitis candidiásica
Foliculitis candidiásica
Se presenta especialmente en heroinómanos
consumidores de heroína marrón
Presenta fiebre, mal estado general, cefalea
y mialgias
Lesiones de foliculitis en la barba y nódulos
(posteriormente abscesos) en el cuero
cabelludo
Uveitis
Trat.: imidazólicos orales o anfotericina B EV
Dermatitis del pañal
Dermatitis del pañal
El 71% de los RN desarrollan algún
epidosdio de DP durante el período neonatal
En EEUU 8.200.000 consultas al año
Las formas más frecuentes son:
irritativa
candidiásica
Dermatitis en área del pañal
••SSííntomas:ntomas:
••asintomasintomáática o nitica o niñño irritableo irritable
••Tipo de lesiTipo de lesióón:n:
••VesVesíículas, ampollas, ulceras o pculas, ampollas, ulceras o púústulas.stulas.
••DistribuciDistribucióón:n:
••EnEn ““WW””, en pliegues, perianal, artefacta, en pliegues, perianal, artefacta
DERMATITIS
DEL PAÑAL
Humedad
Fricción
Hongos
Bacterias
Heces
•protesas
•lipasas
Irritantes
•orina
•jabón
•loción
•polvos
•plástico
•goma
Etiología multifactorial
DermatitisDermatitis irritativairritativa del Padel Paññalal
DermatitisDermatitis irritativairritativa del Padel Paññalal
DermatitisDermatitis irritativairritativa del Padel Paññalal
Dermatitis CandidiDermatitis Candidiáásicasica
Afecta los pliegues
Se asocia con Muguet
Lesiones satélites
Dermatitis CandidiDermatitis Candidiáásicasica
Dermatitis CandidiDermatitis Candidiáásicasica
Úlceras de Brenneman
Sifilide o dermatitis erosiva de Jacquet
Dermatitis del pañal
que se producen por el
uso del pañal
en niños no predispuestos
•Dermatits irritativa
•Dermatits de contacto
DP Irritativa
DP Pápulo erosiva
Dermatitis que se
agravan
por uso del pañal
•Dermatitis atópica
•Dermatitis seborreica
•Psoriasis
Psoriasis
D. Seborreica
Dermatosis que se presentan en el
área del pañal independientemente
del uso del pañal
•Epidermolisis Ampollar
•Histiocitosis
•Acrodermatitis enteropática
•Enfermedad mano pie boca
Dermatitis del pañal
1- mantener la piel seca:
cambio de pañales cada menos de 3 horas (10 veces
al día, inclusive en la noche).
2- proteger la piel del área del pañal
uso de pastas o ungüentos con óxido de Zinc (no se
ha demostrado que sean mejor los ungüentos con
siliconas, ni las cremas de barrera sintéticas)
3- Mantener la zona libre de infecciones
A las 72hs considerar la zona contaminada con C.
albicans. Usar violeta de genciana o cremas con
nistatina. Las cremas con imidazólicos según algunos
autores no son recomendables porque poseen
propilenglicol el cual es irritante. No usar corticoides
potentes. Cushing’s syndrome and adrenocortical insufficiency caused by topical steroid.
J Pediatr Endocrinol Metab 2007;20:1173-82.
Educación de los padresE- (educación)
Cambio frecuenteD- (diapers)
Limpieza con agua y tratamiento
anticandidiásico
C- (cleaning)
Pastas de óxido de zinc, vaselina u
otros preparados sin medicación. No
usar talcos por el riesgo de aspiración.
B- (barrera)
Dejar al lactante con la cola al aire el
mayor tiempo posible
A- (aire)
ABC del tratamiento de la dermatitis atópica
Granuloma glúteo
Granuloma glúteo
• Aparece en las zonas convexas
como complicación de la dermatitis
del pañal
• Nódulos o placas eritemato-
violáceas ovoides de 0.5 a 3cm.
• Factores predisponentes: infección
por cándida, ropa oclusiva y el uso
de corticoides.
• AP.: inespecífica o simulando
botriomicoma o sarcoma de
Kaposi.
• Trat.: eliminación de los factores
desencadenantes
Balanitis candidiásica
Balanitis candidiásica
Balanitis:
Balanopostitis:
Afecta al 11% de los hombres que consultan por patología genital
La cándida principalmente involucrada es C. albicans
Factores predisponentes: hombres no circuncidados, pobre higiene,
irritación del smegma, diabetes mellitus, inmunosupresión, uso de
antibióticos orales
Predispone a la aparición de HIV
Es sexualmente adquirida en el 29% de los casos
Es más frecuente en hombres heterosexuales que homosexuales
Genital colonisation and infection with candida in heterosexual and homosexual males.
Genitourin Med 1997:73:394-396.
inflamación del pene
involucra el prepucio
Balanitis candidiásica
Pápulas o pápulo-pústulas que al romperse
dejan un collarete descamativo
Prurito, irritación y edema
Síntoma guía: ardor o quemazón después del
coito
Puede afectar región perianal, ingle y muslos
En las infecciones graves el edema impide
retraer el prepucio
Balanitis candidiásica. Diagnósticos diferenciales
Psoriasis
Liquen rojo
Balanitis alérgica o irritativa
Infección por dermatofitos (muy rara)
Pitiriasis versicolor: áreas hipopigmentadas circinadas discretas
Infección por anaerobios: los mas frecuentes son las especies de bacteroides
Infección por aerobios: gardnerella vaginalis
Infección por estreptococo: eritema inespecífico con o si exudado. Poco frecuente
Infección por estafilococo
Tuberculosis y lepra
Infección por protozoos: trichomonas causan una balanitis erosiva superficial
Sífilis
Infecciones virales
Balanitis xerótica obliterante
Balanitis de Zoon
Eritroplasia de Queyrat
Balanitis micacea
Síndrome de Reiter: balanitis circinada
Erupción fija por droga
Balanitis and balanoposthitis: a review. Genitourin Med 1996;72:155-159.
Psoriasis
Liquen plano
Balanitis bacteriana
Enfermedad de Reiter
Pápulas perladas del pene
Balanitis candidiásica
Tratamiento:
Antifúngicos tópicos/20 días
Fluconazol 150 mg/monodosis
Fluconazol 300 mg/monodosis
Itraconazol 400 mg/monodosis
Tratamiento de la pareja
Casos recidivantes, nistatina oral
ANTIMICÓTICOS TÓPICOS
LOCIÓN DE CASTELLANI
COMPOSICIÓN:
Fuscina básica 0.001g, Resorcina U.S.P. 0.75g, Ácido fénico U.S.P. 0.45g,
Vehículo etanólico c.s.p. 10ml. Hay preparaciones con ácido bórico sin
fuscina
INDICACIÓN:
Antimicótico, antipruriginoso y secante
ACCIÓN:
En la tintura de Castellani se potencializa el efecto antimicrobiano y
antimicótico de la fuscina básica por la combinación de resorcina y ácido
fénico, y se produce un efecto secante sobre la piel. Además, la resorcina
produce un efecto queratolítico leve que facilita la penetración de los otros
agentes y la eliminación de los microorganismos que se encuentren sobre
la piel. El ácido fénico a su vez, produce un efecto astringente y
antipruriginoso.
CONTRAINDICACIONES:
Hipersensibilidad a los componentes.
PRECAUCIONES:
Puede producirse irritación y sensibilización de la piel.
Uso externo únicamente. La fuscina básica mancha la ropa de color violeta.
Agua de Burow o Solución de Burow
Formulación:
Subacetato de aluminio (solución al 10%) 545 ml.
Ácido acético glacial 15 ml.
Agua c.s.p. 1.000 ml.
Instrucciones para el paciente: Aplicar cada 8 horas
sobre la lesión compresas mojadas en Agua de
Burow durante 20 minutos.
Acción: astringente y antiséptico para la piel.
Indicaciones: lesiones exudativas. Intertrigo.
Conservación: temperatura ambiente. Caducidad de
tres meses.
ANTIMICÓTICOS TÓPICOS
Candidiasis vaginal
Candidiasis vaginal
Afecta a mujeres de todas las edades
El 75% de las mujeres han tenido al menos 1 episodio de
candidiasis en su vida
5-8% presentan candidiasis recidivante (más de tres episodios al
año)
C. albicans es la especie responsable del 70-90% de los casos,
seguida por C. glabrata
C. glabrata es más frecuente en diabéticas y ancianas, es poco
sensible a los azoles y genera cepas resistentes
El reservorio de la cándida puede ser TGI
J Clin Microbiol. 2008:1501-1503
Candidiasis vaginal
En la mujer joven se manifiesta con eritema y prurito mientras
que la anciana se observa sequedad, eritema y dolor
En la región perianal se observa un eritema difuso con fisuras
En EEUU más de 10.000.000 de consulta anual por vulvovagitis
Mas de U$ 250.000.000 de gasto por antimicóticos
U$300-400.000.000 en drogas homeopáticas
El uso de DIU aumenta la incidencia
A diferencia de la balanitis es excepcional ver pústulas
Infect Dis Obstet Gynecol 2007:974-978.
Candidiasis vaginal
Tratamiento:
Tratamiento intravaginal con violeta de genciana al 0.1% en agua para
aliviar la comezón y el ardor
Cremas con triple asociación cuando hay mucho prurito
Cremas antimicóticas 2-3 veces por día hasta la desaparición de los
síntomas
Óvulos de nistatina 1-2 por día por dos semanas o imidazólicos 1 semana
(tratamiento de elelcción en la embarazada)
Fluconazol 150mg o itraconazol 400mg dosis única
En inmunodeprimidas: fluconazol 50-100mg/14d
Tratamiento de la pareja
En la forma recidivante: tratamiento mensual profiláctico o cremas
vaginales 1 vez por semana. Asociar con bacilos lácticos
Vulvovaginitis cíclica
No presenta la típica secreción moniliásica
Dolor cíclico relacionado con alguna de las fases del
período menstrual
Dispareunia
Causa no bien conocida pero mejora con tratamiento
prolongado con fluconazol
Óvulos de clotrimazol 500mg/5-7días en el período
que duele
The value of prophylactic clotrimazol vs empiric cell-treatment in recurrent vaginal candidiasis.
Genitourin Med 1994;70:124-126
Candidiasis ungueal
Candidiasis ungueal
Se presenta principalmente en la candidiasis
mucocutánea crónica
Manifestación inusual de candidiasis congénita
Inmunodeprimidos
En individuos normales puede afectar uñas
distróficas
Paroniquia candidiásica
Factores predisponentes: manicuría, uñas esculpidas, diabetes,
inmunosupresión, dermatitis crónica, aplicación de corticoides,
trabajos con agua, uso permanente de guantes oclusivos, ancianos,
hiperhidrosis, trauma.
Se afecta principalmente el dedo medio de la mano dominante
Raramente se afectan los pies
Moderado eritema asociado con leve dolor
Cuando hay intenso dolor y descarga purulenta infección
bacteriana
Afectación crónica produce pérdida del ángulo del pliegue proximal
y formación de un bolsillo
Cuando se afecta la matriz ungueal generalmente es reversible
Candidiasis ungueal. Formas clínicas
1- Paroniquia:
es la forma más frecuente
se caracteriza por edema y eritema en el
pliegue proximal.
se asocia con surco de Beau cuando la
infección afecta la matriz ungueal
Candidiasis ungueal. Formas clínicas
2- Granuloma candidiásico
Poco frecuente
Se caracteriza por lesión directa de la placa ungueal
Posteriormente paroniquia y afectación del pliegue lateral
Candidiasis ungueal. Formas clínicas
3- Onicolisis candidiásica
Se caracteriza por hiperqueratosis subungueal
Color gris amarillento de la placa
Similar a la onicomicosis distal
Candidiasis ungueal. Formas clínicas
4. Onicomicosis distrófica
Para algunos autores constituye una forma
especial de onicomicosis y para otros es la
forma final de las 3 variedades anteriores.
Se afecta toda la placa ungueal que se
destruye y aumenta de grosor
CANDIDIASIS EN EL RECIÉN NACIDO
CANDIDIASIS EN EL RECIÉN NACIDO
Oral exclusivamente
Oral con rash perianal
Sistémica
Congénita
Es la forma más común de candidiasis
Placas blanquecinas en la lengua, encías,
mucosa bucal y paladar
Interfiere con la alimentación
Dolor
Si se disemina al tracto GI aparece rash
perianal
Niños con largas estadías en UCIN
Se detecta el hongo en sangre
Signos más frecuentes: deterioro de la función
respiratoria y apnea
Fiebre, irritabilidad, distensión abdominal,
intolerancia a carbohidratos, letargia
Piel: maculo-pápulas eritematosas alrededor
de boca y periné. Nódulos y abscesos
subcutáneos y lesiones inespecíficas
remedando eritema multiforme
El RN se contamina con Cándida en el canal
vaginal y coloniza su aparato gastrointestinal.
En las formas diseminadas las especies
encontradas son: C. albicans (75%), C.
tropicalis (10%), C. parapsilisis (6%).
Raramente ha sido involucrada Torulopsis
glabrata, C, guillermondii y C. lusitaniae
Candidiasis en el recién nacido
La candidiasis genital aumenta su incidencia durante el
embarazo entre un 20-25%
Candida ssp ha sido encontrada en el 0.8% de las
placentas aunque la diseminación es más frecuente por la
infección del cordón
Factores maternos predisponentes:
Infección materna sintomática
Ruptura prematura de membrana
Antibióticos orales
Uso de anticonceptivos intrauterinos
Amniocentesis
Factores predisponentes del neonato
Bajo peso, menor de 1500g
Fisuras cutáneas o pérdida de barrera
Uso de catéteres (los de polivinilo se contaminan más que
los de teflón)
Nutrición parenteral total, especialmente en niños con
síndrome del intestino corto.
Uso de antibióticos sistémicos por más de 10 días
Uso de aminofilinas (disminuyen la actividad candidiásica
de los neutrófilos), corticoides (alteran la flora) e
inmunomoduladores
Candidiasis en el recién nacido
CONGÉNITA
Desde el nacimiento o en los
primeros días de la vida
Eritema, pápulas pequeñas y
pústulas
Diseminadas, pueden estar
afectadas palmas, plantas y
uñas
Recién nacidos prematuros.
Infección por vía ascendente
NEONATAL O ADQUIRIDA
A los pocos días o semanas de
nacido (generalmente adquirida
en neonatología durante la 1ra
semana)
Pústulas agrupadas que se
transforman en úlceras
costrosas
En zona del pañal y pliegues
Generalmente peso menor de
1500gr
Candidiasis en el recién nacido
CONGÉNITA:
• Poco común
• Influenciada por ciertos
factores de riesgo
• El compromiso
sistémico si lo hubiera
no suele ser severo
NEONATAL O ADQUIRIDA
• RN EUTRÓFICOS: área del
pañal o mucosa oral
• RN PREMATUROS: pueden
presentar una forma
diseminada con
compromiso multiorgánico
grave
ANTIMICÓTICOS SISTÉMICOS
• Evidencia de alteración respiratoria o sepsis
• Peso menor a 1500 g
• Tratamiento con ATB de amplio espectro
• Múltiples procedimientos invasivos
• Cultivos positivos
• Evidencia de alteraciones del sistema inmune
• J Am Acad Dermatol. 1997 Nov;37(5) 817-23
Tratamiento
Anfotericina B: se utiliza como dosis inicial
0.25mg/Kg/día diluida en dextrosa al 5 o 10%
en 2 a 4 hs.
Si la infección es severa puede aumentarse a
0.5 o 1mg/Kg/d en forma paulatina cada 24
hs. En casos muy severos el aumento de la
dosis puede realizarse cada 12 hs.
Controlar la función renal, el hemograma y
los electrolitos especialmente el potasio.
Candidiasis mucocutánea crónica
Candidiasis mucocutánea
Inmunodeficiencia variable
Deficiencia selectiva de la inmunidad celular contra
Cándida
Anergia cutánea de los test intradérmicos, ausencia de
proliferación de linfocitos in vitro y disminución de la
producción del factor inhibidor macrofágico específico
Respuesta inmune humoral normal
Infecciones crónicas, recurrentes y resistentes al
tratamiento
Afecta piel, uñas y mucosas
Mayor incidencia de bronquiectasias e infecciones
cutáneas por virus herpes, dermatofitos y bacterias
Inicio en la infancia menos frecuente en la vida adulta
Con frecuencia asociada a endocrinopatías
autoinmunitarias
Puede mejorar con la edad
Candidiasis mucocutánea
Forma de herencia:
AR
Esporádica
AR la asociada con endocrinopatías
AD la asociada con queratitis crónica
Candidiasis mucocutánea
Candidiasis oral crónica y recalcitrante
Placas eritematoescamosas en cuero cabelludo (pueden
producir alopecía cicatrizal), regiones periorificiales
Placas generalizadas granulomatosas y costrosas
Uñas gruesas, quebradizas y con paroniquia
Lesiones crónicas en mucosa genital, laríngea y
esofágica
Frecuente infección por dermatofitos
Mayor incidencia de infecciones bacterianas
Candidiasis mucocutánea
Sme. queratitis-ictiosis-sordera
Déficit múltiple de la enzima caboxilasa
Acrodermatitis enteropática
Sme. FLAP-ectrodactilia-ectodérmico
ASOCIADA A OTROS TRATORNOS
Una familia ADCON QUERATITIS
Comienzo en la adolescencia
Afectación mas leve
DE COMIENZO TARDIO
Inmunodeficiencia combinada grave
Sme. hiper-IgE
Sme. de DiGeorge
ASOCIADA A OTROS DEFECTOS
INMUNOLÓGICOS
Candidiasis a los 5 años
Lesiones en cara y cuero cabelludo
Disfunción endócrina
Sme. CANDIDIASIS-ENDOCRINOPATÍA
Lesiones cutáneas a los 5 años
Costras gruesas en cara y cuero cabelludo
Candidiasis oral
LOCALIZADA (granuloma candidiásico)
Candidiasis oral a los dos años
Ungueal y cutánea menos frecuente
Sin endocrinopatía
Frecuente consanguinidad
FAMILIAR
CARACTERÍSTICASSUBGRUPO
SUBTIPOS DE CANDIDIASIS MUCOCUTÁNEA CRÓNICA
Antecedentes
22 años
Candidiasis oral, uñas hiperqueratósicas y distróficas
con perionixis
Amenorrea secundaria
Baja estatura
Bocio multinodular
Hipotiroidismo
Diarrea crónica
Anemia perniciosa
Laboratorio
Hemograma normal
GR.: esferocitos, acantocitos, ovalocitos y espunocitos
Inmunológico: Ac. anti células parietales +
FAN + 1/40 patrón moteado
Cultivo Ungueal: T. Rubrum
Cultivo de piel: C. parapsilosis
Diagnóstico: Síndrome autoinmune poliglandular-tipo I
Tratamiento: Pulsos de itraconazol sin respuesta
Itraconazol dosis diaria durante 3 meses con buena
respuesta y recidivas esporádicas.
Síndrome autoinmune poliglandular-tipo I
(PGA-I o APECED)
Distrofia ectodérmica
Alteraciones endocrinológicas
Candidiasis mucocutánea
Pits y distrofia ungueal
Alteraciones del esmalte dental
alopecía
Hipoparatiroidismo
Hipogonadotrofismo. Enfermedad de Addison
Diabetes tipo I
Enfermedad tiroidea
Anemia perniciosa
Hepatitis autoinmune
Aparece a partir de los dos años
Queilitis angular
Candidiasis oral
Esofagitis
Vulvovaginitis
Lesión perianal
Candidiasis intestinal
E J Pedriatr 2008;7:
Press Med 2008;37:1158-
Autosómico recesiva
Mutación del gen AIRE
Se diagnóstica con al menos dos de los tres criterios mayores
Se diagnóstica con un criterio mayor si hay antecedentes familiares
Formas atípicas donde hay que realizar estudio molecular
Potencialmente fatal por su afectación hepática o el síndrome de
mala absorción severo
Mayor incidencia de carcinoma escamoso en boca y esófago
Un caso publicado de cáncer escamoso en esófago sin APECED
Press Med 2008;37:1158-1171
Med Mycol 2008;46:85-91
Síndrome autoinmune poliglandular-tipo I
(PGA-I o APECED)
Laboratorio PGA-I
Hemograma
VSG
Orina
Sideremia
Rx. de tórax
Cortisol
Hormona paratiroidea
TSH
FSH
LH
Testosterona
Ig A, M y E
Complemento
Inmunológico
Radio CD4/CD8
Prick-test para cándida
Tratamiento
Fluconazol
Itraconazol
Terbinafina
Anfotericina B tópica
Anfotericina
Capsofungina
Micafungina
Posaconazol
Voriconazol
Inefectivos los estimuladores inmunes
Diagn Microbiol Infect Dis 2008;30.
Ther Clin Risk Manag 2007;3:533-542.
Tratamiento
Enjuagues bucales con nistatina
Itraconazol vía oral (3mg/Kg/día)
Ciclopiroxolamina laca en uña
Ciclopiroxolamina en piel periungueal
Los tratamientos prolongados con fluconazol, itraconazol o
anfotericina B producen mutaciones en el gen ERG11 que codifica la
esterol 14 a-dimetilasa favoreciendo el desarrollo de resistencias
En los casos más graves buen resultado con trasplante de médula
ósea, injerto de timo fetal e infusiones de leucocitos. Administración
de Fe. Factores de transferencia de proteínas específicas para
cándida de linfocitos T de donante
Segunda generación: voriconazol, posaconazol, ravuconazol
Acta Dermo-Sifiliográficas 2006;97:679-680.
Absceso candidiásico
Absceso candidiásico
Excepcional en pacientes sanos
Se presenta como múltiples nódulos subcutáneos en
el 10% de las candidiasis diseminadas de pacientes
neutropénicos
Puede ser una manifestación iatrogénica en sitio de
punción o cateterismo por inoculación
El tratamiento debe ser hecho mediante drenaje,
antifúngicos sistémicos y remoción del catéter.
Queilitis candidiásica
Frecuente en los niños que se lamen los
labios
Aparece eritema, fisuras y maceración
Puede o no asociarse a queilitis angular
Diagnóstico
Diagnóstico
Historia clínica
Examen físico
Laboratorio microbiológico
examen directo
cultivos (sangre u otros fluidos y tejidos)
Estudio histopatológico
Detección inmunológica
Ag. de cándida
Ac. anti cándida
Detección analítica
metabolitos de la cándida
componentes de la pared celular
PLoS ONE 2008;3(4):2067
No te rías de un colla, que bajó del cerro
que dejó sus cabras, sus ovejas tiernas, sus habales yertos
no te rías de un colla, si lo ves callado..
si lo ves zopenco, si lo ves dormido.
No sobres al colla si un día de sol,
lo ves abrigado con ropa de lana, transpirando entero.
ten presente amigo, que el vino del cerro donde hay mucho frío
donde el viento helado, rajeteó sus manos y partió sus callos.
No sobres al colla si lo ves comiendo
su mate cocido, su carne de avio
allá en una plaza, sobre una vereda o cerca del rió
menos si lo ves coquiando por su Pachmama.
El bajó del cerro a vender su lana, a vender sus cueros,
a comprar el azúcar, a llevar su harina,
y es tan precavido que trajo su plata
y hasta su comida y no te pide nada.
No te rías de un colla, que está en la frontera
pa lao de la Quiaca, o allá en las alturas del Abra del Zenta
Ten presente amigo, que será el primero en parar las patas
cuando alguien se atreva a viola la Patria.
No te burles de un colla, que si vas para el cerro
te abrirá las puertas de su triste casa
tomarás su chicha, te dará su poncho, y junto a sus guaguas
comerás un tulpo ….y a cambio de nada.
No te rías de un colla que busca el silencio
que en medio las lajas cultiva sus habas,
Y allá en las alturas, en donde no hay nada…
¡así sobrevive con su Pachamama!
Candidiasis.clinica

Candidiasis.clinica

  • 1.
  • 2.
  • 3.
    Intertrigo candidiásico. Clínica Seafecta pliegue submamario, axilar, inguinal o intergluteo. Cuando afecta el espacio interdigital y se masera se la conoce como “erosión interdigital blastomicética” Placas eritematosas confluentes o anulares del color de la carne, rodeadas por pápulas o pústulas satélites Descamación en collarete alrededor de las lesiones Formación de una pseudomembrana blanquecina compuesta por el contenido de las pústulas, células epiteliales, glóbulos blancos y micelios micóticos Las lesiones generalmente son no foliculares Leve dolor, prurito o ardor
  • 4.
    Factores predisponentes: obesidad,pa cerrada o ajustada, diabetes y factores ocupacionales Pústula epidérmica superficial o subcórnea con grado variable de proliferación epidérmica e infiltrado dermal. Se debe realizar tinción con PAS, Gomori o metenamina de plata. Intertrigo candidiásico. Histología
  • 11.
  • 13.
    Diagnósticos diferenciales Tiña Psoriasis Eritrasma Pénfigo familiarbenigno Enfermedad de Darier Enfermedad de Leiner Glucagonoma Dermatitis seborreica
  • 14.
  • 15.
    Foliculitis candidiásica Se presentaespecialmente en heroinómanos consumidores de heroína marrón Presenta fiebre, mal estado general, cefalea y mialgias Lesiones de foliculitis en la barba y nódulos (posteriormente abscesos) en el cuero cabelludo Uveitis Trat.: imidazólicos orales o anfotericina B EV
  • 17.
  • 18.
    Dermatitis del pañal El71% de los RN desarrollan algún epidosdio de DP durante el período neonatal En EEUU 8.200.000 consultas al año Las formas más frecuentes son: irritativa candidiásica
  • 19.
    Dermatitis en áreadel pañal ••SSííntomas:ntomas: ••asintomasintomáática o nitica o niñño irritableo irritable ••Tipo de lesiTipo de lesióón:n: ••VesVesíículas, ampollas, ulceras o pculas, ampollas, ulceras o púústulas.stulas. ••DistribuciDistribucióón:n: ••EnEn ““WW””, en pliegues, perianal, artefacta, en pliegues, perianal, artefacta
  • 20.
  • 21.
  • 22.
  • 23.
  • 24.
  • 25.
    Se asocia conMuguet Lesiones satélites Dermatitis CandidiDermatitis Candidiáásicasica
  • 26.
  • 27.
    Úlceras de Brenneman Sifilideo dermatitis erosiva de Jacquet
  • 28.
    Dermatitis del pañal quese producen por el uso del pañal en niños no predispuestos •Dermatits irritativa •Dermatits de contacto DP Irritativa DP Pápulo erosiva
  • 30.
    Dermatitis que se agravan poruso del pañal •Dermatitis atópica •Dermatitis seborreica •Psoriasis Psoriasis D. Seborreica
  • 32.
    Dermatosis que sepresentan en el área del pañal independientemente del uso del pañal •Epidermolisis Ampollar •Histiocitosis •Acrodermatitis enteropática •Enfermedad mano pie boca
  • 33.
    Dermatitis del pañal 1-mantener la piel seca: cambio de pañales cada menos de 3 horas (10 veces al día, inclusive en la noche). 2- proteger la piel del área del pañal uso de pastas o ungüentos con óxido de Zinc (no se ha demostrado que sean mejor los ungüentos con siliconas, ni las cremas de barrera sintéticas) 3- Mantener la zona libre de infecciones A las 72hs considerar la zona contaminada con C. albicans. Usar violeta de genciana o cremas con nistatina. Las cremas con imidazólicos según algunos autores no son recomendables porque poseen propilenglicol el cual es irritante. No usar corticoides potentes. Cushing’s syndrome and adrenocortical insufficiency caused by topical steroid. J Pediatr Endocrinol Metab 2007;20:1173-82.
  • 34.
    Educación de lospadresE- (educación) Cambio frecuenteD- (diapers) Limpieza con agua y tratamiento anticandidiásico C- (cleaning) Pastas de óxido de zinc, vaselina u otros preparados sin medicación. No usar talcos por el riesgo de aspiración. B- (barrera) Dejar al lactante con la cola al aire el mayor tiempo posible A- (aire) ABC del tratamiento de la dermatitis atópica
  • 35.
  • 36.
    Granuloma glúteo • Apareceen las zonas convexas como complicación de la dermatitis del pañal • Nódulos o placas eritemato- violáceas ovoides de 0.5 a 3cm. • Factores predisponentes: infección por cándida, ropa oclusiva y el uso de corticoides. • AP.: inespecífica o simulando botriomicoma o sarcoma de Kaposi. • Trat.: eliminación de los factores desencadenantes
  • 37.
  • 38.
    Balanitis candidiásica Balanitis: Balanopostitis: Afecta al11% de los hombres que consultan por patología genital La cándida principalmente involucrada es C. albicans Factores predisponentes: hombres no circuncidados, pobre higiene, irritación del smegma, diabetes mellitus, inmunosupresión, uso de antibióticos orales Predispone a la aparición de HIV Es sexualmente adquirida en el 29% de los casos Es más frecuente en hombres heterosexuales que homosexuales Genital colonisation and infection with candida in heterosexual and homosexual males. Genitourin Med 1997:73:394-396. inflamación del pene involucra el prepucio
  • 39.
    Balanitis candidiásica Pápulas opápulo-pústulas que al romperse dejan un collarete descamativo Prurito, irritación y edema Síntoma guía: ardor o quemazón después del coito Puede afectar región perianal, ingle y muslos En las infecciones graves el edema impide retraer el prepucio
  • 42.
    Balanitis candidiásica. Diagnósticosdiferenciales Psoriasis Liquen rojo Balanitis alérgica o irritativa Infección por dermatofitos (muy rara) Pitiriasis versicolor: áreas hipopigmentadas circinadas discretas Infección por anaerobios: los mas frecuentes son las especies de bacteroides Infección por aerobios: gardnerella vaginalis Infección por estreptococo: eritema inespecífico con o si exudado. Poco frecuente Infección por estafilococo Tuberculosis y lepra Infección por protozoos: trichomonas causan una balanitis erosiva superficial Sífilis Infecciones virales Balanitis xerótica obliterante Balanitis de Zoon Eritroplasia de Queyrat Balanitis micacea Síndrome de Reiter: balanitis circinada Erupción fija por droga Balanitis and balanoposthitis: a review. Genitourin Med 1996;72:155-159.
  • 43.
  • 44.
  • 45.
  • 46.
  • 47.
  • 49.
    Balanitis candidiásica Tratamiento: Antifúngicos tópicos/20días Fluconazol 150 mg/monodosis Fluconazol 300 mg/monodosis Itraconazol 400 mg/monodosis Tratamiento de la pareja Casos recidivantes, nistatina oral
  • 50.
    ANTIMICÓTICOS TÓPICOS LOCIÓN DECASTELLANI COMPOSICIÓN: Fuscina básica 0.001g, Resorcina U.S.P. 0.75g, Ácido fénico U.S.P. 0.45g, Vehículo etanólico c.s.p. 10ml. Hay preparaciones con ácido bórico sin fuscina INDICACIÓN: Antimicótico, antipruriginoso y secante ACCIÓN: En la tintura de Castellani se potencializa el efecto antimicrobiano y antimicótico de la fuscina básica por la combinación de resorcina y ácido fénico, y se produce un efecto secante sobre la piel. Además, la resorcina produce un efecto queratolítico leve que facilita la penetración de los otros agentes y la eliminación de los microorganismos que se encuentren sobre la piel. El ácido fénico a su vez, produce un efecto astringente y antipruriginoso. CONTRAINDICACIONES: Hipersensibilidad a los componentes. PRECAUCIONES: Puede producirse irritación y sensibilización de la piel. Uso externo únicamente. La fuscina básica mancha la ropa de color violeta.
  • 51.
    Agua de Burowo Solución de Burow Formulación: Subacetato de aluminio (solución al 10%) 545 ml. Ácido acético glacial 15 ml. Agua c.s.p. 1.000 ml. Instrucciones para el paciente: Aplicar cada 8 horas sobre la lesión compresas mojadas en Agua de Burow durante 20 minutos. Acción: astringente y antiséptico para la piel. Indicaciones: lesiones exudativas. Intertrigo. Conservación: temperatura ambiente. Caducidad de tres meses. ANTIMICÓTICOS TÓPICOS
  • 52.
  • 53.
    Candidiasis vaginal Afecta amujeres de todas las edades El 75% de las mujeres han tenido al menos 1 episodio de candidiasis en su vida 5-8% presentan candidiasis recidivante (más de tres episodios al año) C. albicans es la especie responsable del 70-90% de los casos, seguida por C. glabrata C. glabrata es más frecuente en diabéticas y ancianas, es poco sensible a los azoles y genera cepas resistentes El reservorio de la cándida puede ser TGI J Clin Microbiol. 2008:1501-1503
  • 54.
    Candidiasis vaginal En lamujer joven se manifiesta con eritema y prurito mientras que la anciana se observa sequedad, eritema y dolor En la región perianal se observa un eritema difuso con fisuras En EEUU más de 10.000.000 de consulta anual por vulvovagitis Mas de U$ 250.000.000 de gasto por antimicóticos U$300-400.000.000 en drogas homeopáticas El uso de DIU aumenta la incidencia A diferencia de la balanitis es excepcional ver pústulas Infect Dis Obstet Gynecol 2007:974-978.
  • 57.
    Candidiasis vaginal Tratamiento: Tratamiento intravaginalcon violeta de genciana al 0.1% en agua para aliviar la comezón y el ardor Cremas con triple asociación cuando hay mucho prurito Cremas antimicóticas 2-3 veces por día hasta la desaparición de los síntomas Óvulos de nistatina 1-2 por día por dos semanas o imidazólicos 1 semana (tratamiento de elelcción en la embarazada) Fluconazol 150mg o itraconazol 400mg dosis única En inmunodeprimidas: fluconazol 50-100mg/14d Tratamiento de la pareja En la forma recidivante: tratamiento mensual profiláctico o cremas vaginales 1 vez por semana. Asociar con bacilos lácticos
  • 58.
    Vulvovaginitis cíclica No presentala típica secreción moniliásica Dolor cíclico relacionado con alguna de las fases del período menstrual Dispareunia Causa no bien conocida pero mejora con tratamiento prolongado con fluconazol Óvulos de clotrimazol 500mg/5-7días en el período que duele The value of prophylactic clotrimazol vs empiric cell-treatment in recurrent vaginal candidiasis. Genitourin Med 1994;70:124-126
  • 59.
  • 60.
    Candidiasis ungueal Se presentaprincipalmente en la candidiasis mucocutánea crónica Manifestación inusual de candidiasis congénita Inmunodeprimidos En individuos normales puede afectar uñas distróficas
  • 61.
    Paroniquia candidiásica Factores predisponentes:manicuría, uñas esculpidas, diabetes, inmunosupresión, dermatitis crónica, aplicación de corticoides, trabajos con agua, uso permanente de guantes oclusivos, ancianos, hiperhidrosis, trauma. Se afecta principalmente el dedo medio de la mano dominante Raramente se afectan los pies Moderado eritema asociado con leve dolor Cuando hay intenso dolor y descarga purulenta infección bacteriana Afectación crónica produce pérdida del ángulo del pliegue proximal y formación de un bolsillo Cuando se afecta la matriz ungueal generalmente es reversible
  • 62.
    Candidiasis ungueal. Formasclínicas 1- Paroniquia: es la forma más frecuente se caracteriza por edema y eritema en el pliegue proximal. se asocia con surco de Beau cuando la infección afecta la matriz ungueal
  • 66.
    Candidiasis ungueal. Formasclínicas 2- Granuloma candidiásico Poco frecuente Se caracteriza por lesión directa de la placa ungueal Posteriormente paroniquia y afectación del pliegue lateral
  • 68.
    Candidiasis ungueal. Formasclínicas 3- Onicolisis candidiásica Se caracteriza por hiperqueratosis subungueal Color gris amarillento de la placa Similar a la onicomicosis distal
  • 70.
    Candidiasis ungueal. Formasclínicas 4. Onicomicosis distrófica Para algunos autores constituye una forma especial de onicomicosis y para otros es la forma final de las 3 variedades anteriores. Se afecta toda la placa ungueal que se destruye y aumenta de grosor
  • 72.
    CANDIDIASIS EN ELRECIÉN NACIDO
  • 73.
    CANDIDIASIS EN ELRECIÉN NACIDO Oral exclusivamente Oral con rash perianal Sistémica Congénita Es la forma más común de candidiasis Placas blanquecinas en la lengua, encías, mucosa bucal y paladar Interfiere con la alimentación Dolor Si se disemina al tracto GI aparece rash perianal Niños con largas estadías en UCIN Se detecta el hongo en sangre Signos más frecuentes: deterioro de la función respiratoria y apnea Fiebre, irritabilidad, distensión abdominal, intolerancia a carbohidratos, letargia Piel: maculo-pápulas eritematosas alrededor de boca y periné. Nódulos y abscesos subcutáneos y lesiones inespecíficas remedando eritema multiforme
  • 74.
    El RN secontamina con Cándida en el canal vaginal y coloniza su aparato gastrointestinal. En las formas diseminadas las especies encontradas son: C. albicans (75%), C. tropicalis (10%), C. parapsilisis (6%). Raramente ha sido involucrada Torulopsis glabrata, C, guillermondii y C. lusitaniae
  • 75.
    Candidiasis en elrecién nacido La candidiasis genital aumenta su incidencia durante el embarazo entre un 20-25% Candida ssp ha sido encontrada en el 0.8% de las placentas aunque la diseminación es más frecuente por la infección del cordón Factores maternos predisponentes: Infección materna sintomática Ruptura prematura de membrana Antibióticos orales Uso de anticonceptivos intrauterinos Amniocentesis
  • 76.
    Factores predisponentes delneonato Bajo peso, menor de 1500g Fisuras cutáneas o pérdida de barrera Uso de catéteres (los de polivinilo se contaminan más que los de teflón) Nutrición parenteral total, especialmente en niños con síndrome del intestino corto. Uso de antibióticos sistémicos por más de 10 días Uso de aminofilinas (disminuyen la actividad candidiásica de los neutrófilos), corticoides (alteran la flora) e inmunomoduladores
  • 78.
    Candidiasis en elrecién nacido CONGÉNITA Desde el nacimiento o en los primeros días de la vida Eritema, pápulas pequeñas y pústulas Diseminadas, pueden estar afectadas palmas, plantas y uñas Recién nacidos prematuros. Infección por vía ascendente NEONATAL O ADQUIRIDA A los pocos días o semanas de nacido (generalmente adquirida en neonatología durante la 1ra semana) Pústulas agrupadas que se transforman en úlceras costrosas En zona del pañal y pliegues Generalmente peso menor de 1500gr
  • 79.
    Candidiasis en elrecién nacido CONGÉNITA: • Poco común • Influenciada por ciertos factores de riesgo • El compromiso sistémico si lo hubiera no suele ser severo NEONATAL O ADQUIRIDA • RN EUTRÓFICOS: área del pañal o mucosa oral • RN PREMATUROS: pueden presentar una forma diseminada con compromiso multiorgánico grave
  • 80.
    ANTIMICÓTICOS SISTÉMICOS • Evidenciade alteración respiratoria o sepsis • Peso menor a 1500 g • Tratamiento con ATB de amplio espectro • Múltiples procedimientos invasivos • Cultivos positivos • Evidencia de alteraciones del sistema inmune • J Am Acad Dermatol. 1997 Nov;37(5) 817-23
  • 81.
    Tratamiento Anfotericina B: seutiliza como dosis inicial 0.25mg/Kg/día diluida en dextrosa al 5 o 10% en 2 a 4 hs. Si la infección es severa puede aumentarse a 0.5 o 1mg/Kg/d en forma paulatina cada 24 hs. En casos muy severos el aumento de la dosis puede realizarse cada 12 hs. Controlar la función renal, el hemograma y los electrolitos especialmente el potasio.
  • 82.
  • 83.
    Candidiasis mucocutánea Inmunodeficiencia variable Deficienciaselectiva de la inmunidad celular contra Cándida Anergia cutánea de los test intradérmicos, ausencia de proliferación de linfocitos in vitro y disminución de la producción del factor inhibidor macrofágico específico Respuesta inmune humoral normal Infecciones crónicas, recurrentes y resistentes al tratamiento
  • 84.
    Afecta piel, uñasy mucosas Mayor incidencia de bronquiectasias e infecciones cutáneas por virus herpes, dermatofitos y bacterias Inicio en la infancia menos frecuente en la vida adulta Con frecuencia asociada a endocrinopatías autoinmunitarias Puede mejorar con la edad Candidiasis mucocutánea
  • 85.
    Forma de herencia: AR Esporádica ARla asociada con endocrinopatías AD la asociada con queratitis crónica Candidiasis mucocutánea
  • 86.
    Candidiasis oral crónicay recalcitrante Placas eritematoescamosas en cuero cabelludo (pueden producir alopecía cicatrizal), regiones periorificiales Placas generalizadas granulomatosas y costrosas Uñas gruesas, quebradizas y con paroniquia Lesiones crónicas en mucosa genital, laríngea y esofágica Frecuente infección por dermatofitos Mayor incidencia de infecciones bacterianas Candidiasis mucocutánea
  • 87.
    Sme. queratitis-ictiosis-sordera Déficit múltiplede la enzima caboxilasa Acrodermatitis enteropática Sme. FLAP-ectrodactilia-ectodérmico ASOCIADA A OTROS TRATORNOS Una familia ADCON QUERATITIS Comienzo en la adolescencia Afectación mas leve DE COMIENZO TARDIO Inmunodeficiencia combinada grave Sme. hiper-IgE Sme. de DiGeorge ASOCIADA A OTROS DEFECTOS INMUNOLÓGICOS Candidiasis a los 5 años Lesiones en cara y cuero cabelludo Disfunción endócrina Sme. CANDIDIASIS-ENDOCRINOPATÍA Lesiones cutáneas a los 5 años Costras gruesas en cara y cuero cabelludo Candidiasis oral LOCALIZADA (granuloma candidiásico) Candidiasis oral a los dos años Ungueal y cutánea menos frecuente Sin endocrinopatía Frecuente consanguinidad FAMILIAR CARACTERÍSTICASSUBGRUPO SUBTIPOS DE CANDIDIASIS MUCOCUTÁNEA CRÓNICA
  • 90.
    Antecedentes 22 años Candidiasis oral,uñas hiperqueratósicas y distróficas con perionixis Amenorrea secundaria Baja estatura Bocio multinodular Hipotiroidismo Diarrea crónica Anemia perniciosa
  • 91.
    Laboratorio Hemograma normal GR.: esferocitos,acantocitos, ovalocitos y espunocitos Inmunológico: Ac. anti células parietales + FAN + 1/40 patrón moteado Cultivo Ungueal: T. Rubrum Cultivo de piel: C. parapsilosis Diagnóstico: Síndrome autoinmune poliglandular-tipo I Tratamiento: Pulsos de itraconazol sin respuesta Itraconazol dosis diaria durante 3 meses con buena respuesta y recidivas esporádicas.
  • 92.
    Síndrome autoinmune poliglandular-tipoI (PGA-I o APECED) Distrofia ectodérmica Alteraciones endocrinológicas Candidiasis mucocutánea Pits y distrofia ungueal Alteraciones del esmalte dental alopecía Hipoparatiroidismo Hipogonadotrofismo. Enfermedad de Addison Diabetes tipo I Enfermedad tiroidea Anemia perniciosa Hepatitis autoinmune Aparece a partir de los dos años Queilitis angular Candidiasis oral Esofagitis Vulvovaginitis Lesión perianal Candidiasis intestinal E J Pedriatr 2008;7: Press Med 2008;37:1158-
  • 93.
    Autosómico recesiva Mutación delgen AIRE Se diagnóstica con al menos dos de los tres criterios mayores Se diagnóstica con un criterio mayor si hay antecedentes familiares Formas atípicas donde hay que realizar estudio molecular Potencialmente fatal por su afectación hepática o el síndrome de mala absorción severo Mayor incidencia de carcinoma escamoso en boca y esófago Un caso publicado de cáncer escamoso en esófago sin APECED Press Med 2008;37:1158-1171 Med Mycol 2008;46:85-91 Síndrome autoinmune poliglandular-tipo I (PGA-I o APECED)
  • 94.
    Laboratorio PGA-I Hemograma VSG Orina Sideremia Rx. detórax Cortisol Hormona paratiroidea TSH FSH LH Testosterona Ig A, M y E Complemento Inmunológico Radio CD4/CD8 Prick-test para cándida
  • 95.
    Tratamiento Fluconazol Itraconazol Terbinafina Anfotericina B tópica Anfotericina Capsofungina Micafungina Posaconazol Voriconazol Inefectivoslos estimuladores inmunes Diagn Microbiol Infect Dis 2008;30. Ther Clin Risk Manag 2007;3:533-542.
  • 96.
    Tratamiento Enjuagues bucales connistatina Itraconazol vía oral (3mg/Kg/día) Ciclopiroxolamina laca en uña Ciclopiroxolamina en piel periungueal Los tratamientos prolongados con fluconazol, itraconazol o anfotericina B producen mutaciones en el gen ERG11 que codifica la esterol 14 a-dimetilasa favoreciendo el desarrollo de resistencias En los casos más graves buen resultado con trasplante de médula ósea, injerto de timo fetal e infusiones de leucocitos. Administración de Fe. Factores de transferencia de proteínas específicas para cándida de linfocitos T de donante Segunda generación: voriconazol, posaconazol, ravuconazol Acta Dermo-Sifiliográficas 2006;97:679-680.
  • 97.
  • 98.
    Absceso candidiásico Excepcional enpacientes sanos Se presenta como múltiples nódulos subcutáneos en el 10% de las candidiasis diseminadas de pacientes neutropénicos Puede ser una manifestación iatrogénica en sitio de punción o cateterismo por inoculación El tratamiento debe ser hecho mediante drenaje, antifúngicos sistémicos y remoción del catéter.
  • 99.
    Queilitis candidiásica Frecuente enlos niños que se lamen los labios Aparece eritema, fisuras y maceración Puede o no asociarse a queilitis angular
  • 100.
  • 101.
    Diagnóstico Historia clínica Examen físico Laboratoriomicrobiológico examen directo cultivos (sangre u otros fluidos y tejidos) Estudio histopatológico Detección inmunológica Ag. de cándida Ac. anti cándida Detección analítica metabolitos de la cándida componentes de la pared celular
  • 104.
  • 106.
    No te ríasde un colla, que bajó del cerro que dejó sus cabras, sus ovejas tiernas, sus habales yertos no te rías de un colla, si lo ves callado.. si lo ves zopenco, si lo ves dormido. No sobres al colla si un día de sol, lo ves abrigado con ropa de lana, transpirando entero. ten presente amigo, que el vino del cerro donde hay mucho frío donde el viento helado, rajeteó sus manos y partió sus callos. No sobres al colla si lo ves comiendo su mate cocido, su carne de avio allá en una plaza, sobre una vereda o cerca del rió menos si lo ves coquiando por su Pachmama. El bajó del cerro a vender su lana, a vender sus cueros, a comprar el azúcar, a llevar su harina, y es tan precavido que trajo su plata y hasta su comida y no te pide nada. No te rías de un colla, que está en la frontera pa lao de la Quiaca, o allá en las alturas del Abra del Zenta Ten presente amigo, que será el primero en parar las patas cuando alguien se atreva a viola la Patria. No te burles de un colla, que si vas para el cerro te abrirá las puertas de su triste casa tomarás su chicha, te dará su poncho, y junto a sus guaguas comerás un tulpo ….y a cambio de nada. No te rías de un colla que busca el silencio que en medio las lajas cultiva sus habas, Y allá en las alturas, en donde no hay nada… ¡así sobrevive con su Pachamama!