Urología
Tapia Castro Allan Silvester
5to Año Grupo 4B
Universidad de Guayaquil
Facultad de Ciencias Medicas
ESCUELA DE MEDICINA
Carcinoma urotelial
Carcinomas de
vejiga
INCIDENCIA
• Incidencia más elevada en blancos
2do más común de VGU
7% en hombres y 2% en mujeres
• 75%: Vejiga
• 25%: Ganglios linfáticos regionales o sitios
a distancia.
Edad promedio de diagnostico:
65 años
FACTORES DE RIESGO Y
PATOGÉNESIS
Fumadores
60% Hombres,
20 a 30%
Mujeres.
α naftilamina y
β naftilamina.
Exposición ocupacional
Tintes, hule,
petróleo.
Carcinigenos
ocupacionale
s: Bencidina, β
naftilamina y
el 4
aminobifenilo
Ciclofosmamida
Edulcorantes artificiales
Traumatismo
físico
Infección,
instrumentaci
ón, y
cálculos.
Factores Geneticos: Activacion de
oncogenes y la inactivación o perdida de
genes supresores de tumores (Cr9, Cr11,
Cr17, FGFr3)
ESTADIO DEL TUMOR
Tis Carcinoma in situ
Ta Carcinoma en la mucosa, no
invasor
T1 Invade tejido conectivo
T2 A: musculo superficial
B: musculo profundo
T3 A: invasión microscópica de
tejido perivesical
B: invasión macroscópica de
tejido perivesical
T4 A: invasión de próstata, útero y
vagina
B: invasión de pared pélvica y
abdominal
ESTADIFICACIÓN
ESTADIO GANGLIONAR
Nx No puede valorarse
N0 Sin metástasis ganglionares
N1 Ganglio único < 2cm
N2 Un ganglio afetado de 2-5cm
o múltiples ganglios no > 5cm
N3 Uno o mas ganglios >5cm
METÁSTASIS
Mx No puede definirse
M0 Sin metástasis a distancia
M1 Metástasis a distancia
presentes
HISTOPATOLOGÍA
Urotelio normal
• 3 a 7 capas de células transicionales sobre lamina
basal.
• Lámina propia: muscularis propia.
• Pared muscular: cuello vesical interna externa y
media.
Papiloma/PUNLMP
• Tumor papilar con fino tallo fibrovascular que
sostiene una capa epitelial de células
transicionales normales
• Benigno, en pacientes jóvenes
Carcinoma de C. Transicionales
• Lesiones papilares, exofíticas, sésiles o ulceradas
• Carcinoma In Situ: epitelio plano, anaplásico,
carece de polaridad celular normal (Nucleos
grandes, irregulares e hipercromicos con nucléolos
de gran tamaño).
Carcinoma de Células no Transicionales
ADENOCARCINOMA
<2%. Precedidos de
cistitis y metaplasia
Secretores de moco
patrones glandulares
coloides o en anillo de sello
Primarios en el piso
Desde el uraco se
presentan en el domo.
Dg. Invasión muscular.
Supervivencia 5 años <
40%
CARCINOMA
EPIDERMOIDE 5-10% en EEUU.
Infección crónica, cálculos
vesicales o catéter.
Infeccion bilharzial (Schistosoma
haematoblum)en Egipto, parte
de africa y medio oriente.
Al Dg. Son nodulares
e invasivos
Neoplasias mal
diferenciadas
Puentes
intercelulares
Epitelio queratinizante
CARCINOMAS
INDIFERENCIADOS
< 2%
No tienen
elementos
epiteliales
maduros
Tumores con
características
neuroendócrinos
y carcinoma de
células pequeñas
son muy
agresivos
Metástasis
CARCINOMA
MIXTO
4-6%
Patrones
transicionales,
glandulares,
escamosos, o
indiferenciados
Al dg. Son
grandes e
infiltrantes
Cánceres Epiteliales y No epiteliales Raros
• Adenomas vellosos
• Tumores
carcinoides
• Carcinosarcoma
• Melanomas
Epiteliales
• Feocromocitomas
• Linfomas
• Coriocarcinomas
• Tumores
mesenquimatosos
No Epiteliales
• Prostata
• Cervix
• Recto
Extensión
directa
• Melanoma
• Linfoma
• De estomago,
mama, riñón,
pulmón, hígado
Tumores
metastásicos
DATOS CLINICOS
Síntomas
Hematuria 85-90%
Irritabilidad vesical
Enfermedad
avanzada:
Osteodinia o
Lumbalgia y
obstrucción ureteral
Signos
Engrosamiento
de la pared
vesical
Palpa una
tumoración
Vejiga no
movible
Hepatomegalia
y
linfadenopatía
supraclavicular
Dorsalgia
Fractura
patologica
Linfedema
Nódulos
dolorosos con
úlceras en la
piel
Datos de laboratorio
Hematuria Piuria
Azoemia anemia
Pruebas de
rutina
Citología
urinaria
Células
exfoliadas del
urotelio
normal y
neoplásico
Imagenología
Cistoscopía y
biopsia
Valora tracto
urinario superior
y profundidad
de infiltración
Urografía IV:
hematuria
TC
Defectos de llenado
pedunculados y
radiolúcidos que se
proyectan a la luz
Tumores papilares
o infiltrantes:
fijación o
rectificación de la
pared vesical
No
imagenología
en cánceres Ta
y Tis en RTU
TC y RMN
extensión de la
invasión y
ganglios linfáticos
agrandados
Torax con Rx y
gammagrafía
osea (evitarse si la
fosfatasa alcalina
es normal)
Cistouretroscopía y
Resección del Tumor
• Dg y Estadificación
• T de bajo grado: lesiones
papilares únicas o múltiples
• T de alto grado: grandes y sésiles
• Carcinoma In Situ: áreas planas
de eritema y mucosa irregular
• Objetivos del dg: grado de
invasión y completa escición
Citoscopia fluorecente con
luz: los derivados de la
hematoporfirina se acumulan
en las células cancerosas, la
fluorecencia se incita
mediante el uso de luz azul.
Selección del tratamiento
• T superficial RTU seguida de quimio intravesical selectiva o
inmunoterapia
• T iniciales de bajo grado RTU + vigilancia
• T1, grado alto, multiples, grandes, recurrentes Ca In Situ:
Quimioterapia intravesical, o inmunoterapia después de
resección uretral completa
• T2 y T3 localizados cistectomía parcial o radical, radiación
o Qx + quimio sistémica
• T4B quimio sistémica + Qx
• Metástasis quimio sistémica + radiación o Qx
TRATAMIENTO
QUIMIOTERAPIA
INTRAVESICAL
Tto intravesical tiene
fin profiláctico o
terapéutico
El tratamiento de
mantenimiento
disminuye los
índices de
recurrencia
Evitar complicaciones
sistémicas sin
administrar
quimioterapia
intaravesical en
macrohematuria
Mitomicina C
Exantema en las palmas de la manos y genitales 6%
Efectos colaterales 10-43% polaquiuria, urgencia y
disuria
Dosis: 40mg en 40ml de agua o SS 1 ves x semana/6
meses
Inhibe síntesis de DNA
Antitumoral, antibiótico y alquilante
Tiotepa
Alquilante
Dosis:
30mg/semana
Cistitis ligera o
autolimitada
Leucopenia,
trombocitopenia
Bacilo de Calmette-Guérin
(BCG)
Cepa de
Mycobacterium
bobis
Mecanismo
desconocido
Despues de la
instilación intravesical
hay ulceración de
mucosa y granuloma
Inducción: semanal/6
semanas seguido por
un periodo similar sin
administración
Mantenimiento: 3
instilaciones/semana
con intervalos de 3-6
meses/3 años después
de RTU
Mas eficas que la
quimio con
Mitomicina C
Polaquiuria,
urgencia. Cistitis
hemorrágica,
infección distante
Síntomas sistémicos:
isoniazida 300mg/dia y
piridoxina 50mg/día
Síntomas sistémicos
graves isoniazida +
rifampicina
(600mg/día)
Sepsis por BCG
isoniazida +
rifampicina +
etambutol (1200mg)
Nuevos agentes y tratamientos
intravesicales
Una sola
dosis en el
momento de
la RTU
Disminuye
índice de
reurrencia
Disminuye
implantación
de células
tumorales
Interferón-α, y
valrubicina
BCG dosis
baja +
interferón
previene
recurrencias
CIRUGÍA
Forma inicial para todos los
cánceres
Estadío, grado del tumor,
tratamiento adicional
Cánceres vesicales superficiales
recurren en el 30-80%
Lesiones solitarias de bajo
grado, sin recurrencia a los tres
meses, cistoscopia al año
RESECCIÓN
TRANSURETRAL
CICTECTOMÍA PARCIAL
Tumores solitarios e
infiltrantes (T1-T3) en pared
posterolateral o cúpula
Cánceres en un divertículo
Cistectomía Radical
Remoción de órganos pélvicos anteriores en cánceres
invasivos
Conservación de la uretra permita la
reconstrucción de una neovejiga
Recurrencias dentro de los primeros tres años
Tumor uretral en hombres después de
cistectomía radical 6.1-10.6%
Uretrectomía en cáncer vesical con amplio
margen uretral
Disección pélvica bilateral de ganglios linfáticos
simultáneamente con cistectomía radical
Derivación urinaria
RADIOTERAPIA
Período
de 5-8
semanas
Complic
aciones
en el 15%
Superviv
encia a 5
años T2-
T3 18-41%
Monoterapia
en pacientes
no buenos
candidatos
para cirugía
QUIMIOTERAPIA
Cisplatino mas
activo y presenta
respuestas en el 30%
Metrotexato,
Doxorrubicina,
Vinblastina,
Ciclofosfamida, 5-
fluorouracilo
Esquema MVAC mas
común
Ifosfamida,
Gemcitabina,
Paclitaxel y Nitrato
de galio
Gemcitabina y
cisplatino menor
toxicidad y mejor
torelabilidad
TRATAMIENTO COMBINADO
Quimioterapi
a antes de la
cistectomía
radical
Quimioterapia
coadyuvante
Cistectomía
temprana en
no tolerantes a
radio y
quimioterapia y
que no
responden al
tratamiento
Mal pronóstico
cuando hay
hidronefrosis,
estadio clínico
avanzado,
imposibilidad de
terminar protocolo
terapéutico y mal
estado de
desempeño
CÁNCERES URETERAL
Y DE LA PELVIS
RENAL
INCIDENCIA
4%
65 años
hombres-
mujeres 2-4:1
Carcinoma
simple de tracto
superior puede
desarrollar Ca
de vejiga y
contralateral
Ca primario
de vejiga
tiene riesgo
bajo de
desarrollar Ca
de tracto
superior
ETIOLOGÍA
Fumar
Exposición a
tintes o solventes
industriales
Ingestión
excesiva de
analgésicos
Nefropatía de los
Balcanes
Exposición a
Thorotrast
Carcinomas del
TS asociados son
superficiales y
bilaterales
PATOLOGÍA
Carcinomas
de células
transicionales
Papilomas 15-
20%
•Cánceres de bajo
grado tienen baja
incidencia
•Metástasis mas común
a G linfáticos, hueso y
pulmón
Carcinomas
escamosos
10%
• Al dg son sésiles
e infiltrantes
• Inflamación
crónica o
enfermedad
litiásica
Adenocarcin
oma
• Al dg
son muy
avanzad
os
Tumores
mesodérmicos
• Raros
Tumores benignos
•Pólipos,
fibroepiteliomas,
leiomiomas y
angiomas
Tumores
Malignos
• leiomiosarco
mas
Canceres por
estructuras
contiguas y por
metástasis
ESTADIFICACIÓN E HISTORIA
NATURAL
DATOS CLINICOS
Macrohematu
ria
Dolor en
flanco
Obstrucción
pélvica renal
o ureteral
Síntomas
irritativos
Anorexia,
pérdida de
peso y letargia
Masa en
flanco
Adenopatía
supraclavicula
r o inguinal
Hepatomegali
a
SIGNOS Y SINTOMAS
Datos de laboratorio
Hemat
uria
Enzima
s
hepáti
cas
elevad
as
Piuria y
bacteri
uria
Estudio
de
células
exfolia
das
Prueba
citológi
ca 20%
ca de
bajo
grado,
60% de
alto
grado
Imagenología
Urografía IV de TUS son
anormales
Pielografía retrograda
Urografía por TC
Dilatación del uréter
(copa)
Ultrasonografía, TC, RMN
anomalías del tejido
blando, hidronefrosis
Ureterorrenoscopía
•Defectos del llenado del TUS,
citología positiva, macrohematuria
unilateral
•Vigilancia en cirugía conservadora
Transuretrales a través del
orificio ureteral
Nefroscopios por vía
percutánea
Procedimientos
endoscópicos
TRATAMIENTO
Se basa en el
grado, estadio,
situación y
multiplicidad
Nefroureterectomía
• Tumores proximales
de ureter o de pelvis:
resección total
• Tumores distales de
ureter: ureterectomía
distal +
reimplantación de
uréter
Indicación
absolutas
• Tumor dentro del sist
colector
• Tumores uroteliales
bilaterales del TUS
• Función renal
marginal
Recurrencia del
15-80%
Radioterapia
tiene papel
limitado
Cánceres
metastásicos de
células
transicionales se
da
quimioterapia
con cisplatino
Carcinima urotelial

Carcinima urotelial

  • 1.
    Urología Tapia Castro AllanSilvester 5to Año Grupo 4B Universidad de Guayaquil Facultad de Ciencias Medicas ESCUELA DE MEDICINA Carcinoma urotelial
  • 2.
  • 3.
    INCIDENCIA • Incidencia máselevada en blancos 2do más común de VGU 7% en hombres y 2% en mujeres • 75%: Vejiga • 25%: Ganglios linfáticos regionales o sitios a distancia. Edad promedio de diagnostico: 65 años
  • 4.
    FACTORES DE RIESGOY PATOGÉNESIS Fumadores 60% Hombres, 20 a 30% Mujeres. α naftilamina y β naftilamina. Exposición ocupacional Tintes, hule, petróleo. Carcinigenos ocupacionale s: Bencidina, β naftilamina y el 4 aminobifenilo Ciclofosmamida Edulcorantes artificiales Traumatismo físico Infección, instrumentaci ón, y cálculos. Factores Geneticos: Activacion de oncogenes y la inactivación o perdida de genes supresores de tumores (Cr9, Cr11, Cr17, FGFr3)
  • 5.
    ESTADIO DEL TUMOR TisCarcinoma in situ Ta Carcinoma en la mucosa, no invasor T1 Invade tejido conectivo T2 A: musculo superficial B: musculo profundo T3 A: invasión microscópica de tejido perivesical B: invasión macroscópica de tejido perivesical T4 A: invasión de próstata, útero y vagina B: invasión de pared pélvica y abdominal ESTADIFICACIÓN
  • 6.
    ESTADIO GANGLIONAR Nx Nopuede valorarse N0 Sin metástasis ganglionares N1 Ganglio único < 2cm N2 Un ganglio afetado de 2-5cm o múltiples ganglios no > 5cm N3 Uno o mas ganglios >5cm METÁSTASIS Mx No puede definirse M0 Sin metástasis a distancia M1 Metástasis a distancia presentes
  • 7.
    HISTOPATOLOGÍA Urotelio normal • 3a 7 capas de células transicionales sobre lamina basal. • Lámina propia: muscularis propia. • Pared muscular: cuello vesical interna externa y media. Papiloma/PUNLMP • Tumor papilar con fino tallo fibrovascular que sostiene una capa epitelial de células transicionales normales • Benigno, en pacientes jóvenes Carcinoma de C. Transicionales • Lesiones papilares, exofíticas, sésiles o ulceradas • Carcinoma In Situ: epitelio plano, anaplásico, carece de polaridad celular normal (Nucleos grandes, irregulares e hipercromicos con nucléolos de gran tamaño).
  • 8.
    Carcinoma de Célulasno Transicionales ADENOCARCINOMA <2%. Precedidos de cistitis y metaplasia Secretores de moco patrones glandulares coloides o en anillo de sello Primarios en el piso Desde el uraco se presentan en el domo. Dg. Invasión muscular. Supervivencia 5 años < 40% CARCINOMA EPIDERMOIDE 5-10% en EEUU. Infección crónica, cálculos vesicales o catéter. Infeccion bilharzial (Schistosoma haematoblum)en Egipto, parte de africa y medio oriente. Al Dg. Son nodulares e invasivos Neoplasias mal diferenciadas Puentes intercelulares Epitelio queratinizante
  • 9.
    CARCINOMAS INDIFERENCIADOS < 2% No tienen elementos epiteliales maduros Tumorescon características neuroendócrinos y carcinoma de células pequeñas son muy agresivos Metástasis CARCINOMA MIXTO 4-6% Patrones transicionales, glandulares, escamosos, o indiferenciados Al dg. Son grandes e infiltrantes
  • 10.
    Cánceres Epiteliales yNo epiteliales Raros • Adenomas vellosos • Tumores carcinoides • Carcinosarcoma • Melanomas Epiteliales • Feocromocitomas • Linfomas • Coriocarcinomas • Tumores mesenquimatosos No Epiteliales • Prostata • Cervix • Recto Extensión directa • Melanoma • Linfoma • De estomago, mama, riñón, pulmón, hígado Tumores metastásicos
  • 11.
    DATOS CLINICOS Síntomas Hematuria 85-90% Irritabilidadvesical Enfermedad avanzada: Osteodinia o Lumbalgia y obstrucción ureteral Signos Engrosamiento de la pared vesical Palpa una tumoración Vejiga no movible Hepatomegalia y linfadenopatía supraclavicular Dorsalgia Fractura patologica Linfedema Nódulos dolorosos con úlceras en la piel
  • 12.
    Datos de laboratorio HematuriaPiuria Azoemia anemia Pruebas de rutina Citología urinaria Células exfoliadas del urotelio normal y neoplásico
  • 13.
    Imagenología Cistoscopía y biopsia Valora tracto urinariosuperior y profundidad de infiltración Urografía IV: hematuria TC Defectos de llenado pedunculados y radiolúcidos que se proyectan a la luz Tumores papilares o infiltrantes: fijación o rectificación de la pared vesical No imagenología en cánceres Ta y Tis en RTU TC y RMN extensión de la invasión y ganglios linfáticos agrandados Torax con Rx y gammagrafía osea (evitarse si la fosfatasa alcalina es normal)
  • 18.
    Cistouretroscopía y Resección delTumor • Dg y Estadificación • T de bajo grado: lesiones papilares únicas o múltiples • T de alto grado: grandes y sésiles • Carcinoma In Situ: áreas planas de eritema y mucosa irregular • Objetivos del dg: grado de invasión y completa escición Citoscopia fluorecente con luz: los derivados de la hematoporfirina se acumulan en las células cancerosas, la fluorecencia se incita mediante el uso de luz azul.
  • 19.
    Selección del tratamiento •T superficial RTU seguida de quimio intravesical selectiva o inmunoterapia • T iniciales de bajo grado RTU + vigilancia • T1, grado alto, multiples, grandes, recurrentes Ca In Situ: Quimioterapia intravesical, o inmunoterapia después de resección uretral completa • T2 y T3 localizados cistectomía parcial o radical, radiación o Qx + quimio sistémica • T4B quimio sistémica + Qx • Metástasis quimio sistémica + radiación o Qx
  • 20.
    TRATAMIENTO QUIMIOTERAPIA INTRAVESICAL Tto intravesical tiene finprofiláctico o terapéutico El tratamiento de mantenimiento disminuye los índices de recurrencia Evitar complicaciones sistémicas sin administrar quimioterapia intaravesical en macrohematuria
  • 21.
    Mitomicina C Exantema enlas palmas de la manos y genitales 6% Efectos colaterales 10-43% polaquiuria, urgencia y disuria Dosis: 40mg en 40ml de agua o SS 1 ves x semana/6 meses Inhibe síntesis de DNA Antitumoral, antibiótico y alquilante
  • 22.
  • 23.
    Bacilo de Calmette-Guérin (BCG) Cepade Mycobacterium bobis Mecanismo desconocido Despues de la instilación intravesical hay ulceración de mucosa y granuloma Inducción: semanal/6 semanas seguido por un periodo similar sin administración Mantenimiento: 3 instilaciones/semana con intervalos de 3-6 meses/3 años después de RTU Mas eficas que la quimio con Mitomicina C Polaquiuria, urgencia. Cistitis hemorrágica, infección distante Síntomas sistémicos: isoniazida 300mg/dia y piridoxina 50mg/día Síntomas sistémicos graves isoniazida + rifampicina (600mg/día) Sepsis por BCG isoniazida + rifampicina + etambutol (1200mg)
  • 24.
    Nuevos agentes ytratamientos intravesicales Una sola dosis en el momento de la RTU Disminuye índice de reurrencia Disminuye implantación de células tumorales Interferón-α, y valrubicina BCG dosis baja + interferón previene recurrencias
  • 25.
    CIRUGÍA Forma inicial paratodos los cánceres Estadío, grado del tumor, tratamiento adicional Cánceres vesicales superficiales recurren en el 30-80% Lesiones solitarias de bajo grado, sin recurrencia a los tres meses, cistoscopia al año RESECCIÓN TRANSURETRAL CICTECTOMÍA PARCIAL Tumores solitarios e infiltrantes (T1-T3) en pared posterolateral o cúpula Cánceres en un divertículo
  • 26.
    Cistectomía Radical Remoción deórganos pélvicos anteriores en cánceres invasivos Conservación de la uretra permita la reconstrucción de una neovejiga Recurrencias dentro de los primeros tres años Tumor uretral en hombres después de cistectomía radical 6.1-10.6% Uretrectomía en cáncer vesical con amplio margen uretral Disección pélvica bilateral de ganglios linfáticos simultáneamente con cistectomía radical Derivación urinaria
  • 27.
    RADIOTERAPIA Período de 5-8 semanas Complic aciones en el15% Superviv encia a 5 años T2- T3 18-41% Monoterapia en pacientes no buenos candidatos para cirugía
  • 28.
    QUIMIOTERAPIA Cisplatino mas activo ypresenta respuestas en el 30% Metrotexato, Doxorrubicina, Vinblastina, Ciclofosfamida, 5- fluorouracilo Esquema MVAC mas común Ifosfamida, Gemcitabina, Paclitaxel y Nitrato de galio Gemcitabina y cisplatino menor toxicidad y mejor torelabilidad
  • 29.
    TRATAMIENTO COMBINADO Quimioterapi a antesde la cistectomía radical Quimioterapia coadyuvante Cistectomía temprana en no tolerantes a radio y quimioterapia y que no responden al tratamiento Mal pronóstico cuando hay hidronefrosis, estadio clínico avanzado, imposibilidad de terminar protocolo terapéutico y mal estado de desempeño
  • 30.
    CÁNCERES URETERAL Y DELA PELVIS RENAL
  • 31.
    INCIDENCIA 4% 65 años hombres- mujeres 2-4:1 Carcinoma simplede tracto superior puede desarrollar Ca de vejiga y contralateral Ca primario de vejiga tiene riesgo bajo de desarrollar Ca de tracto superior
  • 32.
    ETIOLOGÍA Fumar Exposición a tintes osolventes industriales Ingestión excesiva de analgésicos Nefropatía de los Balcanes Exposición a Thorotrast Carcinomas del TS asociados son superficiales y bilaterales
  • 33.
    PATOLOGÍA Carcinomas de células transicionales Papilomas 15- 20% •Cánceresde bajo grado tienen baja incidencia •Metástasis mas común a G linfáticos, hueso y pulmón Carcinomas escamosos 10% • Al dg son sésiles e infiltrantes • Inflamación crónica o enfermedad litiásica Adenocarcin oma • Al dg son muy avanzad os
  • 34.
    Tumores mesodérmicos • Raros Tumores benignos •Pólipos, fibroepiteliomas, leiomiomasy angiomas Tumores Malignos • leiomiosarco mas Canceres por estructuras contiguas y por metástasis
  • 35.
  • 36.
    DATOS CLINICOS Macrohematu ria Dolor en flanco Obstrucción pélvicarenal o ureteral Síntomas irritativos Anorexia, pérdida de peso y letargia Masa en flanco Adenopatía supraclavicula r o inguinal Hepatomegali a SIGNOS Y SINTOMAS
  • 37.
    Datos de laboratorio Hemat uria Enzima s hepáti cas elevad as Piuriay bacteri uria Estudio de células exfolia das Prueba citológi ca 20% ca de bajo grado, 60% de alto grado
  • 38.
    Imagenología Urografía IV deTUS son anormales Pielografía retrograda Urografía por TC Dilatación del uréter (copa) Ultrasonografía, TC, RMN anomalías del tejido blando, hidronefrosis
  • 45.
    Ureterorrenoscopía •Defectos del llenadodel TUS, citología positiva, macrohematuria unilateral •Vigilancia en cirugía conservadora Transuretrales a través del orificio ureteral Nefroscopios por vía percutánea Procedimientos endoscópicos
  • 46.
    TRATAMIENTO Se basa enel grado, estadio, situación y multiplicidad Nefroureterectomía • Tumores proximales de ureter o de pelvis: resección total • Tumores distales de ureter: ureterectomía distal + reimplantación de uréter Indicación absolutas • Tumor dentro del sist colector • Tumores uroteliales bilaterales del TUS • Función renal marginal
  • 47.
    Recurrencia del 15-80% Radioterapia tiene papel limitado Cánceres metastásicosde células transicionales se da quimioterapia con cisplatino

Notas del editor

  • #5 FGFr3: Receptor 3 del factor de crecimiento de fibroblastos, su mutacion se encuentra en >60% de los papilomas y de los tumores vesicales de bajo grado (Oncogen).
  • #12 Irritabilidad vesical: Polaquiuria, tenesmo y disuria
  • #14 Ganglios linfáticos > 1cm sugieren metástasis.
  • #15 DISPLASIA UROTELIAL. Imágenes axiales de TCMD realizado en fase nefrográfica (A) y en fase excretora (B) que muestran la presencia de dos pequeñas proliferaciones papilares en la pared antero-superior de la vejiga urinaria (flechas y punta de flecha).
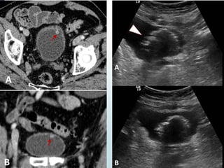
  • #16 DISPLASIA UROTELIAL. A) Imagen axial e imagen coronal (B) por TC que muestran las pequeñas proliferaciones papilares. CARCINOMA UROTELIAL papilar con FENOTIPO PLASMOCITOIDE. La ecografía (A,B) muestra una ocupación de la luz vesical por una tumoración sólida de aspecto sésil.
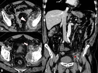
  • #17 METASTASIS GANGLIONAR DE CARCINOMA UROTELIAL. A) Imagen axial de TCMD que muestra importante componente adenopático ilíaco izquierdo con centro de aspecto necrótico y periferia hipervascular afectando parcialmente hueso ilíaco homolateral (punta de flecha en A). B) Adenopatía inguinal izquierda de similares características siendo todas ellas compatibles con afectación metastásica. C) Reconstrucción multiplanar coronal. Adenopatía inguinal izquierda referida previamente (asterisco).
  • #18 CARCINOMA ESCAMOSO. Imágenes axiales por TCMD en fase nefrográfica (A) y en dase excretora (B) que muestran engrosamiento mural de pared antero-lateral derecha de vejiga urinaria que se realza tras la administración de contraste y presenta crecimiento endoluminal. Se observan signos que sugieren infiltración de la grasa perivesical adyacente a la pared lateral derecha de la vejiga (punta de flecha).
  • #20 RTU: Reseccion transuretral
  • #40 NEOPLASIA UROTELIAL PIELOCALICIAL DERECHA. La UIV muestra defecto de repleción pièlico irregular que se extiende a grupo caliacial superior.
  • #41 NEOPLASIA UROTELIAL PIELOCALICIAL DERECHA. El estudio axial por TC demuestra el defecto de repleción piélico irregular que se extiende a grupo calicial superior correspondiente a la neoproliferación.
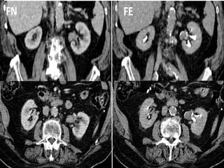
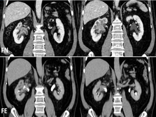
  • #42 TUMOR UROTELIAL PIELOCALICIAL. Reconstrucciones coronales de TCMD en fase nefrográfica y en fase excretora que demuestran la existencia de una lesión neoproliferativa piélica derecha. La lesión presenta densidad de partes blandas y realza con contraste en FN, mostrándose como un defecto y distorsión de la repleción en FE.
  • #43 CARCINOMA DE CÉLULAS TRANSICIONALES PIÉLICO. Imágenes axial y coronal en FN que muestran formación sólida hipercaptante ocupando pelvis renal izquierda. En las imágenes axial y coronal en FE la lesión se identifica como un defecto de repleción.
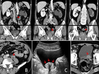
  • #44 CARCINOMA URETERAL DISTAL DERECHO. Imágenes coronales de TCMD que muestran tumoración sólida endoluminal ocupando uréter distal derecho (flechas).
  • #45 CARCINOMA UROTELIAL MULTIFOCAL, ureteral izquierdo y vesical. A) Las RMP de TC muestran focos de engrosamiento tumoral afectando el uréter izquierdo proximal y distal además de proliferación sólida endovesical (flechas). B) Imagen axial que muestra tumoración endoureteral izquierda (flecha). C) Imagen ecográfica que nuestra la lesión sólida perimeatal izquierda (flechas). D) Imagen axial de TC que demuestra afectación vesical y ureteral inferior (flecha).