Facultad de
medicina
Cirugía
Coledocolitiasis
Equipo #3
Abel Contreras Herrera
Danya Michelle Isais Moreno
Lucila Noyola de Santiago
Hugo Alberto Ontiveros Sánchez
Martin Alexis Rios Lucero
Introducción
Presencia de cálculos en la vía biliar
común o conducto colédoco
Coledocolitiasis
Primarios
Del conducto
biliar
Secundarios
De la vesícula
biliar
Miller-Keane Encyclopedia and Dictionary of Medicine, Nursing, and Allied Health, Seventh Edition. © 2003 by Saunders, an imprint of Elsevier, Inc. All rights reserved.
Epidem
iología
o La litiasis vesicular es una
patología frecuente; se
reportan prevalencias del 10
al 15%. En México se ha
encontrado una frecuencia en
autopsias del 12.9%
o La coledocolitiasis se
presenta en el 5 al 10% de los
pacientes con colecistitis
litiásica y hasta en el 18% de
aquellos con pancreatitis
biliar.
o Se estima que el 21-34% de
los litos migrarán
espontáneamente de la vía
biliar y hasta el 25 al 36%
tendrán riesgo de originar
pancreatitis o colangitis si la
obstruyen
Relación 3:1
1. Cuendis-Velázquez, A., Rojano-Rodríguez, M. E., Morales-Chávez, C. E., Angulo-Rocha, A. G., Fernández-Castro, E., Aguirre-Olmedo, I., ... & Cárdenas-Lailson, L. E. (2014). Utilidad de la coledocoscopia transquirúrgica en el tratamiento de litos biliares
difíciles. Revista de Gastroenterología de México, 79(1), 22-27.
2. Centeno, J. R. H., Rea, G. E., Trujillo, Á. R., Barba, É. J. R., Laporte, L. P., & Ascencio, P. M. (2016). Reporte de resultados terapéuticos con riesgo intermedio y alto con coledocolitiasis. Cirujano General, 38(4), 187-191.
La incidencia de coledocolitiasis en pacientes que se han
sometido a colecistectomía por colecistitis aguda o
crónica es de 8 a 15%.
Shuchleib y cols. han
informado una
incidencia del 10 a 15%
Pérez y cols. reportaron
una incidencia de
11.9% en el Hospital
General de México
Liu y cols. de un 8 al
20%
Shuchleib CHS, Chousleb KA, Mondragón A, Torices E,
Licona A. Exploración laparoscópica de las vías biliares.
Rev Mex Cir Endoscop 2001; 2: 6-10.
Pérez E, García V, Sobrino S, Abdo J. Tratamiento de la
coledocolitiasis en el Hospital General de México, SS.
Rev Gastroenterol Mex 1991; 56: 191-6.
Liu TH, Consorti ET, Kawashima A, Tamm EP,
Kwong KL, Gill BS, et al. Patient evaluation and
management with selective use of magnetic
resonance cholangiography and endoscopic
retrograde cholangiopancreatography before
laparoscopic cholecystectomy. Ann Surg 2001;
234: 33-40.
Fisiopatología
Cálculos
Biliares
Composición %
De Colesterol 80-90%
Pigmentarios 10-20%
Barreto Suárez, Eduardo, Soler Porro, Luis Laureano, & Sugrañes Montalván, Adianez. (2010). Coledocolitiasis: diagnóstico y terapéutica mediante la
colangiopancreatografía retrógrada endoscópica. Revista Archivo Médico de Camagüey, 14(6), 1-10.
Fisiopat
ologíaCálculos de Colesterol
 Sobresaturación de bilis
 Concentración de sales
biliares y fosfolípidos
hacen soluble al
colesterol.
 Saturación de colesterol
precipitación en cristales.
 Formación de barro o
cálculos.
Fisiopatología
Cálculos Pigmentarios:
Bilirrubinato de Ca+
Sobresaturación de bilirrubina no conjugada y Ca+
Hemólisis.
Pardos  después de infección bacteriana por
estasis de bilis.
Factores
• Cálculos pigmentarios marrones 
Combinación de pigmentos biliares
precipitados + Colesterol
• >>Asiáticos
• Infección del conducto biliar (parasitaria,
bacteriana)
• Colecistectomía previa
• Sin remanente largo de conducto cístico
• Ausencia de signos de obstrucción de la
vía biliar x 2 años
Coledocolitiasis primaria 4-
10%
Townsend, C. M., Beauchamp, R. D., Evers, B. M., & Mattox, K. L. (2016). Sabiston textbook of surgery E-book.
Elsevier Health Sciences.
• Mayor porcentaje (95%)
• Colesterol
• Los cálculos migran desde la
vesícula.
• Son cálculos amarillos claros,
blanquecinos
• Complicación de litiasis vesicular en
7-20% de los px con litiasis
sintomática
Coledocolitiasis secundaria
Townsend, C. M., Beauchamp, R. D., Evers, B. M., & Mattox, K. L. (2016). Sabiston textbook of surgery E-book.
Elsevier Health Sciences.
• Pasan inadvertidos durante la
colecistectomía
• Se evidencian durante los siguientes 3
años
• 1-2%
Residuales
• Se desarrollan en los conductos >3
años después de la colecistectomía
•Recurrentes
Townsend, C. M., Beauchamp, R. D., Evers, B. M., & Mattox, K. L. (2016). Sabiston textbook of surgery E-book.
Elsevier Health Sciences.
13
Cuadro clínico
14
Cuadro clínico
o Pasaje de cálculos a través del
colédoco  15%
o Incidencia aumenta con edad
o Persistencia post colecistectomía
de cálculos no detectados en
colédoco  1-5%
o Incidencia de 6-15% de las
Asintomático
Sintomático
Evaluación de FR:
- Raza hispana
- >50 años
- Obesidad
- Perfil lipídico alterado
- Trigliceridos
Evaluación de FP:
- PFH
- ↑GGT (>90U/Lt)
- US abdominal
- Colédoco >6mm
- Ictericia
- Fiebre
- Coluria
Ningún indicador clínico individual es completamente
exacto para predecir por sí solo coledocolitiasis antes de
cirugía.
La probabilidad es proporcional al número de factores de
riesgo positivos, sirven más para descartar (VPN:
97,71% ) que para confirmar (VPP: 15,63%)
coledocolitiasis.
Llatas Pérez, J., Hurtado Roca, Y., & Frisancho Velarde, O. (2011). Coledocolitiasis en el Hospital
Edgardo Rebagliati Martins (2010-2011): incidencia, factores de riesgo, aspectos diagnósticos y
terapéuticos. Revista de Gastroenterología del Perú, 31(4), 324-329.
Los cálculos pueden estar presentes por
años en el sistema de conductos
extrahepáticos sin causar problemas,
hasta que obstruye el conducto común
Los cálculos <3mm de diámetro pueden
pasar de la VB al colédoco o duodeno sin
producir síntomas, a menos que se
acumulen
Los cálculos que exceden el diámetro de
la ámpula de Váter pueden permanecer
por años con mínimas dificultades
Alrededor del 50% de los individuos con
cálculos en el colédoco manifestarán
síntomas, y cerca del 25% puede
presentar una complicación grave
Velázquez Mendoza, J. D., Medina Doroteo, A., Vega Malagón, A. J. Predictive values for early diagnosis of choledocholithiasis. Cirujano General Vol. 32
o Análisis descriptivo y prospectivo
o Se determinó la incidencia y frecuencia de factores de riesgo:
o Edad
o Sexo
o IMC
o Colesterol total
o Se evaluaron aspectos clínicos: anamnesis y examen físico. Complicaciones de
ingreso por coledocolitiasis (pancreatitis y/o colangitis).
o Se dosó perfil hepático (TGO, TGP, Bilirrubina total y directa y FA) al ingreso por
emergencia y luego un control en hospitalización. Se realizó una ecografía en
todos los pacientes y CRM en 19 pacientes para determinar diámetro de
colédoco, litiasis vesicular y coledocolitiasis.
Llatas Pérez, J., Hurtado Roca, Y., & Frisancho Velarde, O. (2011). Coledocolitiasis en el Hospital Edgardo Rebagliati Martins (2010-2011): incidencia, factores de
riesgo, aspectos diagnósticos y terapéuticos. Revista de Gastroenterología del Perú, 31(4), 324-329.
Llatas Pérez, J., Hurtado Roca, Y., & Frisancho Velarde, O. (2011). Coledocolitiasis en el Hospital Edgardo Rebagliati Martins (2010-2011): incidencia, factores de
riesgo, aspectos diagnósticos y terapéuticos. Revista de Gastroenterología del Perú, 31(4), 324-329.
18
resentación
clínica
o Cólico biliar + dolor localizado en hipocondrio derecho o epigastrio
o Ictericia  se presenta cuando cálculo impacta en vía biliar con
obstrucción*
o Colangitis** se presenta hasta en el 20% de los pacientes y está
definida por la Triada de Charcot: ictericia, fiebre y dolor hasta en
el 75% de los pacientes
o La migración espontánea al colédoco se da en cálculos hasta de 8
mm
Llatas Pérez, J., Hurtado Roca, Y., & Frisancho Velarde, O. (2011). Coledocolitiasis en el Hospital Edgardo Rebagliati Martins (2010-2011): incidencia, factores de
riesgo, aspectos diagnósticos y terapéuticos. Revista de Gastroenterología del Perú, 31(4), 324-329.
19
resentación
clínica
Llatas Pérez, J., Hurtado Roca, Y., & Frisancho Velarde, O. (2011). Coledocolitiasis en el Hospital Edgardo Rebagliati Martins (2010-2011): incidencia, factores de
riesgo, aspectos diagnósticos y terapéuticos. Revista de Gastroenterología del Perú, 31(4), 324-329.
20
Presentación clínica
Suárez, E. B., Porro, L. L. S., & Montalván, A. S. (2014). Coledocolitiasis: diagnóstico y terapéutica mediante la
colangiopancreatografía retrógrada endoscópica, 14(6).
o Colangitis tiene una especificidad hasta del 68.7% para diagnóstico de
coledocolitiasis*
o Entre 4% y 8% de los pacientes desarrolla pancreatitis, la mayoría leve.
o En el 30% de los adultos mayores, la coledocolitiasis se presenta sin
dolor abdominal pero con alteración de la bioquímica hepática.
o De allí que la coledocolitiasis puede predecirse hasta en el 95% de las veces, en
pacientes mayores de 55 años con colédoco dilatado y anormalidad en la bioquímica
hepática.
Llatas Pérez, J., Hurtado Roca, Y., & Frisancho Velarde, O. (2011). Coledocolitiasis en el Hospital Edgardo Rebagliati Martins (2010-2011): incidencia, factores de
riesgo, aspectos diagnósticos y terapéuticos. Revista de Gastroenterología del Perú, 31(4), 324-329.
Complicaciones
23
Exploración física
La mayoría de los cálculos del
colédoco son clínicamente
asintomáticos, el diagnostico es
incidental
Cólico
biliar
Ictericia
obstructiva
Fiebre
Townsend, C. M., Beauchamp, R. D., Evers, B. M., & Mattox, K. L. (2016). Sabiston textbook of surgery E-book. Elsevier Health Sciences.
Cólico
biliaro Similar al cólico biliar originado por el
impacto del calculo en el conducto
cístico
o El inicio de la obstrucción es agudo y
causa una rápida distensión del
conducto biliar
o Náusea y vómitos
Townsend, C. M., Beauchamp, R. D., Evers, B. M., & Mattox, K. L. (2016). Sabiston textbook of surgery E-book. Elsevier Health Sciences.
IctericiaPuede ser ligera o transitoria consecutiva a un calculo
impactado de modo temporal en la ampolla
Coluria Ictericia de la esclerótica Acolia
Townsend, C. M., Beauchamp, R. D., Evers, B. M., & Mattox, K. L. (2016). Sabiston textbook of surgery E-book. Elsevier Health Sciences.
FiebreLa fiebre es un síntoma frecuente
Triada
de
Charcot
Fiebre
Dolor en cuadrante
superior derecho
Ictericia
Pentada
de
Reynolds
Fiebre
Dolor en
cuadrante
superior derecho
Ictericia
Hipotensión
Cambios en
estado mental
Indicativa de colangitis
Townsend, C. M., Beauchamp, R. D., Evers, B. M., & Mattox, K. L. (2016). Sabiston textbook of surgery E-book. Elsevier Health Sciences.
Un calculo pequeño
puede pasar a través de
la ampolla en forma
espontánea con
resolución de los
síntomas
Los cálculos pueden
quedarse impactados
por completo y
ocasionar ictericia
grave y progresiva
Townsend, C. M., Beauchamp, R. D., Evers, B. M., & Mattox, K. L. (2016). Sabiston textbook of surgery E-book. Elsevier Health Sciences.
29
Diagnóstico
Laboratorio
• Elevación de:
• Transaminasas
• FA
• GGT
• 5-Nucleotidasa
• BT a expensas de BD
*Puede haber alteraciones en el TP y TPT.
• Una tercera parte de estos enfermos son normales las
pruebas de funcionamiento hepático.
Pruebas de
imagenEcografía abdominal
Prueba de elección para iniciar la investigación de un paciente
con sospecha de CDL, aunque sólo llegan a visualizarse en el
50% de los casos. Sin embargo, su sensibilidad para detectar la
dilatación del colédoco (superior a 6 mm en pacientes con
vesícula y a 8 mm en colecistectomizados) es de un 75%
aproximadamente.
-En individuos con cálculos biliares, ictericia y dolor biliar, un colédoco
dilatado en la ecografía sugiere con firmeza cálculos en el colédoco-
Pickhardt, P. and Arluk, G. (n.d.). Atlas de Imágenes en Gastroenterología. 1st ed. Montoro Huguet, M. and García Pagán, J. (2012). Gastroenterología y hepatología. 1st ed.
Madrid: Jarpyo.Montoro Huguet, M. and García Pagán, J. (2012).
Pickhardt, P. and Arluk, G. (n.d.). Atlas de Imágenes en Gastroenterología. 1st ed. Montoro Huguet, M. and García Pagán, J. (2012). Gastroenterología y hepatología. 1st ed. Madrid:
Jarpyo.Montoro Huguet, M. and García Pagán, J. (2012).
Pickhardt, P. and Arluk, G. (n.d.). Atlas de Imágenes en Gastroenterología. 1st ed. Montoro Huguet, M. and García Pagán,
J. (2012). Gastroenterología y hepatología. 1st ed. Madrid: Jarpyo.Montoro Huguet, M. and García Pagán, J. (2012).
Pickhardt, P. and Arluk, G. (n.d.). Atlas de Imágenes en Gastroenterología. 1st ed. Montoro Huguet, M. and García Pagán,
J. (2012). Gastroenterología y hepatología. 1st ed. Madrid: Jarpyo.Montoro Huguet, M. and García Pagán, J. (2012).
Pickhardt, P. and Arluk, G. (n.d.). Atlas de Imágenes en Gastroenterología. 1st ed. Montoro Huguet, M. and García Pagán,
J. (2012). Gastroenterología y hepatología. 1st ed. Madrid: Jarpyo.Montoro Huguet, M. and García Pagán, J. (2012).
Pickhardt, P. and Arluk, G. (n.d.). Atlas de Imágenes en Gastroenterología. 1st ed. Montoro Huguet, M. and García Pagán,
J. (2012). Gastroenterología y hepatología. 1st ed. Madrid: Jarpyo.Montoro Huguet, M. and García Pagán, J. (2012).
Pickhardt, P. and Arluk, G. (n.d.). Atlas de Imágenes en Gastroenterología. 1st ed. Montoro Huguet, M. and García Pagán,
J. (2012). Gastroenterología y hepatología. 1st ed. Madrid: Jarpyo.Montoro Huguet, M. and García Pagán, J. (2012).
Pickhardt, P. and Arluk, G. (n.d.). Atlas de Imágenes en Gastroenterología. 1st ed. Montoro Huguet, M. and García Pagán,
J. (2012). Gastroenterología y hepatología. 1st ed. Madrid: Jarpyo.Montoro Huguet, M. and García Pagán, J. (2012).
Pickhardt, P. and Arluk, G. (n.d.). Atlas de Imágenes en Gastroenterología. 1st ed. Montoro Huguet, M. and García Pagán,
J. (2012). Gastroenterología y hepatología. 1st ed. Madrid: Jarpyo.Montoro Huguet, M. and García Pagán, J. (2012).
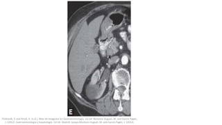
TC abdominal
La TC convencional tiene mayor sensibilidad (70-90%)
pero su disponibilidad es menor y comporta mayor coste
y radiación para el paciente.
La sensibilidad de la detección mediante TC depende de
la composición del cálculo y del grado de dilatación
ductal; la presencia de una semiluna de bilis perfilando
un cálculo en el colédoco suele ser un hallazgo de
utilidad.
Pickhardt, P. and Arluk, G. (n.d.). Atlas de Imágenes en Gastroenterología. 1st ed. Montoro Huguet, M. and García Pagán,
J. (2012). Gastroenterología y hepatología. 1st ed. Madrid: Jarpyo.Montoro Huguet, M. and García Pagán, J. (2012).
Pruebas de
imagen
Pickhardt, P. and Arluk, G. (n.d.). Atlas de Imágenes en Gastroenterología. 1st ed. Montoro Huguet, M. and García Pagán,
J. (2012). Gastroenterología y hepatología. 1st ed. Madrid: Jarpyo.Montoro Huguet, M. and García Pagán, J. (2012).
Pickhardt, P. and Arluk, G. (n.d.). Atlas de Imágenes en Gastroenterología. 1st ed. Montoro Huguet, M. and García Pagán,
J. (2012). Gastroenterología y hepatología. 1st ed. Madrid: Jarpyo.Montoro Huguet, M. and García Pagán, J. (2012).
Pickhardt, P. and Arluk, G. (n.d.). Atlas de Imágenes en Gastroenterología. 1st ed. Montoro Huguet, M. and García Pagán,
J. (2012). Gastroenterología y hepatología. 1st ed. Madrid: Jarpyo.Montoro Huguet, M. and García Pagán, J. (2012).
Pickhardt, P. and Arluk, G. (n.d.). Atlas de Imágenes en Gastroenterología. 1st ed. Montoro Huguet, M. and García Pagán,
J. (2012). Gastroenterología y hepatología. 1st ed. Madrid: Jarpyo.Montoro Huguet, M. and García Pagán, J. (2012).
Pickhardt, P. and Arluk, G. (n.d.). Atlas de Imágenes en Gastroenterología. 1st ed. Montoro Huguet, M. and García Pagán,
J. (2012). Gastroenterología y hepatología. 1st ed. Madrid: Jarpyo.Montoro Huguet, M. and García Pagán, J. (2012).
Ecoendoscopia y
colangiorresonancia
La CPRM tiene una gran sensibilidad (95%) y especificidad (89%) respecto
a los cálculos ductales >5 mm, pero puede pasar por alto los cálculos más
pequeños; la ecografía también es muy sensible (95%) y especifica
(100%) y permite la detección de los cálculos ductales pequeños y del
barro biliar.
Su principal inconveniente es que carecen de posibilidades terapéuticas.
Si la ecografía no detecta litiasis, debe hacerse una CPRM o una
ecoendoscopia que confirmen la sospecha diagnóstica.Pickhardt, P. and Arluk, G. (n.d.). Atlas de Imágenes en Gastroenterología. 1st ed. Montoro Huguet, M. and García Pagán, J. (2012).
Gastroenterología y hepatología. 1st ed. Madrid: Jarpyo.Montoro Huguet, M. and García Pagán, J. (2012).
Pruebas de
imagen
Pickhardt, P. and Arluk, G. (n.d.). Atlas de Imágenes en Gastroenterología. 1st ed. Montoro Huguet, M. and García Pagán, J. (2012).
Gastroenterología y hepatología. 1st ed. Madrid: Jarpyo.Montoro Huguet, M. and García Pagán, J. (2012).
Pickhardt, P. and Arluk, G. (n.d.). Atlas de Imágenes en Gastroenterología. 1st ed. Montoro Huguet, M. and García Pagán, J. (2012).
Gastroenterología y hepatología. 1st ed. Madrid: Jarpyo.Montoro Huguet, M. and García Pagán, J. (2012).
Pickhardt, P. and Arluk, G. (n.d.). Atlas de Imágenes en Gastroenterología. 1st ed. Montoro Huguet, M. and García Pagán, J. (2012).
Gastroenterología y hepatología. 1st ed. Madrid: Jarpyo.Montoro Huguet, M. and García Pagán, J. (2012).
Pickhardt, P. and Arluk, G. (n.d.). Atlas de Imágenes en Gastroenterología. 1st ed. Montoro Huguet, M. and García Pagán, J. (2012).
Gastroenterología y hepatología. 1st ed. Madrid: Jarpyo.Montoro Huguet, M. and García Pagán, J. (2012).
Pickhardt, P. and Arluk, G. (n.d.). Atlas de Imágenes en Gastroenterología. 1st ed. Montoro Huguet, M. and García Pagán, J. (2012).
Gastroenterología y hepatología. 1st ed. Madrid: Jarpyo.Montoro Huguet, M. and García Pagán, J. (2012).
Pickhardt, P. and Arluk, G. (n.d.). Atlas de Imágenes en Gastroenterología. 1st ed. Montoro Huguet, M. and García Pagán, J. (2012).
Gastroenterología y hepatología. 1st ed. Madrid: Jarpyo.Montoro Huguet, M. and García Pagán, J. (2012).
Pickhardt, P. and Arluk, G. (n.d.). Atlas de Imágenes en Gastroenterología. 1st ed. Montoro Huguet, M. and García Pagán, J. (2012).
Gastroenterología y hepatología. 1st ed. Madrid: Jarpyo.Montoro Huguet, M. and García Pagán, J. (2012).
Pickhardt, P. and Arluk, G. (n.d.). Atlas de Imágenes en Gastroenterología. 1st ed. Montoro Huguet, M. and García Pagán, J. (2012).
Gastroenterología y hepatología. 1st ed. Madrid: Jarpyo.Montoro Huguet, M. and García Pagán, J. (2012).
CPRE – GS (dx y
tx)• Enfinterectomía endoscópica + extracción del cálculo
⚫50% recurrencia (sin colecistectomía)
• Mortalidad <1%
• Complicaciones 5-10% (hemorragia, pancreatitis, conlangitis,
perforación retroduodenal)
*Cálculos de gran tamaño (>2cm), intrahepáticos, múltiples,
alteración de la anatomía gástrica o duodenal, cálculos impactados
y divertículos duodenales
laparoscópica
del colédoco
• Al momento de la colecistectomía
• Por el conducto cístico
⚫Dilatador flexible – guía – técnica de Seldinger
abierta del
colédoco
• Morbilidad del 8-15%
• Mortalidad 5%
• Esfinteroplastia transduodenal
⚫Coledocoduodenostomía – Síndrome del
sumidero
⚫Coledocoyeyunostomía en Y de Roux
63
Tratamiento
Objetivo:
Extracción y limpieza de VBP
Asociación a colecistectomía
(colelitiasis concomitante)
3 Opciones:
1. Endoscópico
2. Cirugía (abierta/laparoscópica)
3. Litotripsia
Costi, R., Gnocchi, A., Di Mario, F., & Sarli, L. (2014). Diagnosis and management of choledocholithiasis in the golden age
of imaging, endoscopy and laparoscopy. World Journal of Gastroenterology : WJG, 20(37), 13382–13401.
http://doi.org/10.3748/wjg.v20.i37.13382
Métodos
no
quirúrgico
sColangiopancreatografía
retrógrada endoscópica
(CPRE) convencional
Litotripsia mecánica,
electrohidráulica, con
rayo láser
Litotripsia extracorpórea
con ondas de choque
Métodos
quirúrgic
os
Procedimientos
endoscópicosCPRE + esfinterectomía endoscópica
Costi, R., Gnocchi, A., Di Mario, F., & Sarli, L. (2014). Diagnosis and management of choledocholithiasis in the golden age of imaging, endoscopy and laparoscopy. World Journal
of Gastroenterology : WJG, 20(37), 13382–13401. http://doi.org/10.3748/wjg.v20.i37.13382
o Éxito >90%
o Morbilidad: 5-9.8%
o Mortalidad: 0.3-
2.3%
Canastilla de Dormia
Las causas de falla de este
procedimiento incluyen:
a) Cálculo mayor de 1.5 cm de diámetro.
b) Dificultad para canular la vía biliar
c) Complicación temprana por la
esfinterotomía
d) Presencia de estenosis del conducto
hepatocolédoco con cálculo impactado.
e) Litiasis intrahepática.
Procedimientos
endoscópicos
Dilatación endoscópica con balón
- Minimiza el daño del esfínter
- Sumado a esfinterectomía mínima
- Pacientes con riesgo de sangrado
Costi, R., Gnocchi, A., Di Mario, F., & Sarli, L. (2014). Diagnosis and management of choledocholithiasis in the golden age of imaging, endoscopy and laparoscopy. World Journal
of Gastroenterology : WJG, 20(37), 13382–13401. http://doi.org/10.3748/wjg.v20.i37.13382
CirugíaCirugía Abierta
Duodenotomía y
esfinterectomía o
anastomosis bilioentérico
Costi, R., Gnocchi, A., Di Mario, F., & Sarli, L. (2014). Diagnosis and management of choledocholithiasis in the golden age of imaging, endoscopy and laparoscopy. World Journal
of Gastroenterology : WJG, 20(37), 13382–13401. http://doi.org/10.3748/wjg.v20.i37.13382
Cirugía
laparoscóp
ica
Costi, R., Gnocchi, A., Di Mario, F., & Sarli, L. (2014). Diagnosis and management of choledocholithiasis in the golden age of imaging, endoscopy and
laparoscopy. World Journal of Gastroenterology : WJG, 20(37), 13382–13401. http://doi.org/10.3748/wjg.v20.i37.13382
Identificar el
conducto
Disecar el trígono
de Calot
Coledocotomía
Remoción
con
canasta
Litotripsia
No reemplaza tratamiento
quirúrgico
– Litotripsia mecánica
– Litotripsia electrohidráulica
– Litotripsia con rayo láser
– Litotripsia extracorpórea con
ondas de choque
Costi, R., Gnocchi, A., Di Mario, F., & Sarli, L. (2014). Diagnosis and management of choledocholithiasis in the golden age of imaging, endoscopy and
laparoscopy. World Journal of Gastroenterology : WJG, 20(37), 13382–13401. http://doi.org/10.3748/wjg.v20.i37.13382

Coledocolitiasis

  • 1.
    Facultad de medicina Cirugía Coledocolitiasis Equipo #3 AbelContreras Herrera Danya Michelle Isais Moreno Lucila Noyola de Santiago Hugo Alberto Ontiveros Sánchez Martin Alexis Rios Lucero
  • 2.
    Introducción Presencia de cálculosen la vía biliar común o conducto colédoco Coledocolitiasis Primarios Del conducto biliar Secundarios De la vesícula biliar Miller-Keane Encyclopedia and Dictionary of Medicine, Nursing, and Allied Health, Seventh Edition. © 2003 by Saunders, an imprint of Elsevier, Inc. All rights reserved.
  • 3.
    Epidem iología o La litiasisvesicular es una patología frecuente; se reportan prevalencias del 10 al 15%. En México se ha encontrado una frecuencia en autopsias del 12.9% o La coledocolitiasis se presenta en el 5 al 10% de los pacientes con colecistitis litiásica y hasta en el 18% de aquellos con pancreatitis biliar. o Se estima que el 21-34% de los litos migrarán espontáneamente de la vía biliar y hasta el 25 al 36% tendrán riesgo de originar pancreatitis o colangitis si la obstruyen Relación 3:1 1. Cuendis-Velázquez, A., Rojano-Rodríguez, M. E., Morales-Chávez, C. E., Angulo-Rocha, A. G., Fernández-Castro, E., Aguirre-Olmedo, I., ... & Cárdenas-Lailson, L. E. (2014). Utilidad de la coledocoscopia transquirúrgica en el tratamiento de litos biliares difíciles. Revista de Gastroenterología de México, 79(1), 22-27. 2. Centeno, J. R. H., Rea, G. E., Trujillo, Á. R., Barba, É. J. R., Laporte, L. P., & Ascencio, P. M. (2016). Reporte de resultados terapéuticos con riesgo intermedio y alto con coledocolitiasis. Cirujano General, 38(4), 187-191.
  • 4.
    La incidencia decoledocolitiasis en pacientes que se han sometido a colecistectomía por colecistitis aguda o crónica es de 8 a 15%. Shuchleib y cols. han informado una incidencia del 10 a 15% Pérez y cols. reportaron una incidencia de 11.9% en el Hospital General de México Liu y cols. de un 8 al 20% Shuchleib CHS, Chousleb KA, Mondragón A, Torices E, Licona A. Exploración laparoscópica de las vías biliares. Rev Mex Cir Endoscop 2001; 2: 6-10. Pérez E, García V, Sobrino S, Abdo J. Tratamiento de la coledocolitiasis en el Hospital General de México, SS. Rev Gastroenterol Mex 1991; 56: 191-6. Liu TH, Consorti ET, Kawashima A, Tamm EP, Kwong KL, Gill BS, et al. Patient evaluation and management with selective use of magnetic resonance cholangiography and endoscopic retrograde cholangiopancreatography before laparoscopic cholecystectomy. Ann Surg 2001; 234: 33-40.
  • 5.
    Fisiopatología Cálculos Biliares Composición % De Colesterol80-90% Pigmentarios 10-20% Barreto Suárez, Eduardo, Soler Porro, Luis Laureano, & Sugrañes Montalván, Adianez. (2010). Coledocolitiasis: diagnóstico y terapéutica mediante la colangiopancreatografía retrógrada endoscópica. Revista Archivo Médico de Camagüey, 14(6), 1-10.
  • 6.
    Fisiopat ologíaCálculos de Colesterol Sobresaturación de bilis  Concentración de sales biliares y fosfolípidos hacen soluble al colesterol.  Saturación de colesterol precipitación en cristales.  Formación de barro o cálculos.
  • 8.
    Fisiopatología Cálculos Pigmentarios: Bilirrubinato deCa+ Sobresaturación de bilirrubina no conjugada y Ca+ Hemólisis. Pardos  después de infección bacteriana por estasis de bilis.
  • 9.
  • 10.
    • Cálculos pigmentariosmarrones  Combinación de pigmentos biliares precipitados + Colesterol • >>Asiáticos • Infección del conducto biliar (parasitaria, bacteriana) • Colecistectomía previa • Sin remanente largo de conducto cístico • Ausencia de signos de obstrucción de la vía biliar x 2 años Coledocolitiasis primaria 4- 10% Townsend, C. M., Beauchamp, R. D., Evers, B. M., & Mattox, K. L. (2016). Sabiston textbook of surgery E-book. Elsevier Health Sciences.
  • 11.
    • Mayor porcentaje(95%) • Colesterol • Los cálculos migran desde la vesícula. • Son cálculos amarillos claros, blanquecinos • Complicación de litiasis vesicular en 7-20% de los px con litiasis sintomática Coledocolitiasis secundaria Townsend, C. M., Beauchamp, R. D., Evers, B. M., & Mattox, K. L. (2016). Sabiston textbook of surgery E-book. Elsevier Health Sciences.
  • 12.
    • Pasan inadvertidosdurante la colecistectomía • Se evidencian durante los siguientes 3 años • 1-2% Residuales • Se desarrollan en los conductos >3 años después de la colecistectomía •Recurrentes Townsend, C. M., Beauchamp, R. D., Evers, B. M., & Mattox, K. L. (2016). Sabiston textbook of surgery E-book. Elsevier Health Sciences.
  • 13.
  • 14.
    14 Cuadro clínico o Pasajede cálculos a través del colédoco  15% o Incidencia aumenta con edad o Persistencia post colecistectomía de cálculos no detectados en colédoco  1-5% o Incidencia de 6-15% de las Asintomático Sintomático Evaluación de FR: - Raza hispana - >50 años - Obesidad - Perfil lipídico alterado - Trigliceridos Evaluación de FP: - PFH - ↑GGT (>90U/Lt) - US abdominal - Colédoco >6mm - Ictericia - Fiebre - Coluria Ningún indicador clínico individual es completamente exacto para predecir por sí solo coledocolitiasis antes de cirugía. La probabilidad es proporcional al número de factores de riesgo positivos, sirven más para descartar (VPN: 97,71% ) que para confirmar (VPP: 15,63%) coledocolitiasis. Llatas Pérez, J., Hurtado Roca, Y., & Frisancho Velarde, O. (2011). Coledocolitiasis en el Hospital Edgardo Rebagliati Martins (2010-2011): incidencia, factores de riesgo, aspectos diagnósticos y terapéuticos. Revista de Gastroenterología del Perú, 31(4), 324-329.
  • 15.
    Los cálculos puedenestar presentes por años en el sistema de conductos extrahepáticos sin causar problemas, hasta que obstruye el conducto común Los cálculos <3mm de diámetro pueden pasar de la VB al colédoco o duodeno sin producir síntomas, a menos que se acumulen Los cálculos que exceden el diámetro de la ámpula de Váter pueden permanecer por años con mínimas dificultades Alrededor del 50% de los individuos con cálculos en el colédoco manifestarán síntomas, y cerca del 25% puede presentar una complicación grave Velázquez Mendoza, J. D., Medina Doroteo, A., Vega Malagón, A. J. Predictive values for early diagnosis of choledocholithiasis. Cirujano General Vol. 32
  • 16.
    o Análisis descriptivoy prospectivo o Se determinó la incidencia y frecuencia de factores de riesgo: o Edad o Sexo o IMC o Colesterol total o Se evaluaron aspectos clínicos: anamnesis y examen físico. Complicaciones de ingreso por coledocolitiasis (pancreatitis y/o colangitis). o Se dosó perfil hepático (TGO, TGP, Bilirrubina total y directa y FA) al ingreso por emergencia y luego un control en hospitalización. Se realizó una ecografía en todos los pacientes y CRM en 19 pacientes para determinar diámetro de colédoco, litiasis vesicular y coledocolitiasis. Llatas Pérez, J., Hurtado Roca, Y., & Frisancho Velarde, O. (2011). Coledocolitiasis en el Hospital Edgardo Rebagliati Martins (2010-2011): incidencia, factores de riesgo, aspectos diagnósticos y terapéuticos. Revista de Gastroenterología del Perú, 31(4), 324-329.
  • 17.
    Llatas Pérez, J.,Hurtado Roca, Y., & Frisancho Velarde, O. (2011). Coledocolitiasis en el Hospital Edgardo Rebagliati Martins (2010-2011): incidencia, factores de riesgo, aspectos diagnósticos y terapéuticos. Revista de Gastroenterología del Perú, 31(4), 324-329.
  • 18.
    18 resentación clínica o Cólico biliar+ dolor localizado en hipocondrio derecho o epigastrio o Ictericia  se presenta cuando cálculo impacta en vía biliar con obstrucción* o Colangitis** se presenta hasta en el 20% de los pacientes y está definida por la Triada de Charcot: ictericia, fiebre y dolor hasta en el 75% de los pacientes o La migración espontánea al colédoco se da en cálculos hasta de 8 mm Llatas Pérez, J., Hurtado Roca, Y., & Frisancho Velarde, O. (2011). Coledocolitiasis en el Hospital Edgardo Rebagliati Martins (2010-2011): incidencia, factores de riesgo, aspectos diagnósticos y terapéuticos. Revista de Gastroenterología del Perú, 31(4), 324-329.
  • 19.
    19 resentación clínica Llatas Pérez, J.,Hurtado Roca, Y., & Frisancho Velarde, O. (2011). Coledocolitiasis en el Hospital Edgardo Rebagliati Martins (2010-2011): incidencia, factores de riesgo, aspectos diagnósticos y terapéuticos. Revista de Gastroenterología del Perú, 31(4), 324-329.
  • 20.
    20 Presentación clínica Suárez, E.B., Porro, L. L. S., & Montalván, A. S. (2014). Coledocolitiasis: diagnóstico y terapéutica mediante la colangiopancreatografía retrógrada endoscópica, 14(6).
  • 21.
    o Colangitis tieneuna especificidad hasta del 68.7% para diagnóstico de coledocolitiasis* o Entre 4% y 8% de los pacientes desarrolla pancreatitis, la mayoría leve. o En el 30% de los adultos mayores, la coledocolitiasis se presenta sin dolor abdominal pero con alteración de la bioquímica hepática. o De allí que la coledocolitiasis puede predecirse hasta en el 95% de las veces, en pacientes mayores de 55 años con colédoco dilatado y anormalidad en la bioquímica hepática. Llatas Pérez, J., Hurtado Roca, Y., & Frisancho Velarde, O. (2011). Coledocolitiasis en el Hospital Edgardo Rebagliati Martins (2010-2011): incidencia, factores de riesgo, aspectos diagnósticos y terapéuticos. Revista de Gastroenterología del Perú, 31(4), 324-329. Complicaciones
  • 23.
  • 24.
    La mayoría delos cálculos del colédoco son clínicamente asintomáticos, el diagnostico es incidental Cólico biliar Ictericia obstructiva Fiebre Townsend, C. M., Beauchamp, R. D., Evers, B. M., & Mattox, K. L. (2016). Sabiston textbook of surgery E-book. Elsevier Health Sciences.
  • 25.
    Cólico biliaro Similar alcólico biliar originado por el impacto del calculo en el conducto cístico o El inicio de la obstrucción es agudo y causa una rápida distensión del conducto biliar o Náusea y vómitos Townsend, C. M., Beauchamp, R. D., Evers, B. M., & Mattox, K. L. (2016). Sabiston textbook of surgery E-book. Elsevier Health Sciences.
  • 26.
    IctericiaPuede ser ligerao transitoria consecutiva a un calculo impactado de modo temporal en la ampolla Coluria Ictericia de la esclerótica Acolia Townsend, C. M., Beauchamp, R. D., Evers, B. M., & Mattox, K. L. (2016). Sabiston textbook of surgery E-book. Elsevier Health Sciences.
  • 27.
    FiebreLa fiebre esun síntoma frecuente Triada de Charcot Fiebre Dolor en cuadrante superior derecho Ictericia Pentada de Reynolds Fiebre Dolor en cuadrante superior derecho Ictericia Hipotensión Cambios en estado mental Indicativa de colangitis Townsend, C. M., Beauchamp, R. D., Evers, B. M., & Mattox, K. L. (2016). Sabiston textbook of surgery E-book. Elsevier Health Sciences.
  • 28.
    Un calculo pequeño puedepasar a través de la ampolla en forma espontánea con resolución de los síntomas Los cálculos pueden quedarse impactados por completo y ocasionar ictericia grave y progresiva Townsend, C. M., Beauchamp, R. D., Evers, B. M., & Mattox, K. L. (2016). Sabiston textbook of surgery E-book. Elsevier Health Sciences.
  • 29.
  • 30.
    Laboratorio • Elevación de: •Transaminasas • FA • GGT • 5-Nucleotidasa • BT a expensas de BD *Puede haber alteraciones en el TP y TPT. • Una tercera parte de estos enfermos son normales las pruebas de funcionamiento hepático.
  • 31.
    Pruebas de imagenEcografía abdominal Pruebade elección para iniciar la investigación de un paciente con sospecha de CDL, aunque sólo llegan a visualizarse en el 50% de los casos. Sin embargo, su sensibilidad para detectar la dilatación del colédoco (superior a 6 mm en pacientes con vesícula y a 8 mm en colecistectomizados) es de un 75% aproximadamente. -En individuos con cálculos biliares, ictericia y dolor biliar, un colédoco dilatado en la ecografía sugiere con firmeza cálculos en el colédoco- Pickhardt, P. and Arluk, G. (n.d.). Atlas de Imágenes en Gastroenterología. 1st ed. Montoro Huguet, M. and García Pagán, J. (2012). Gastroenterología y hepatología. 1st ed. Madrid: Jarpyo.Montoro Huguet, M. and García Pagán, J. (2012).
  • 32.
    Pickhardt, P. andArluk, G. (n.d.). Atlas de Imágenes en Gastroenterología. 1st ed. Montoro Huguet, M. and García Pagán, J. (2012). Gastroenterología y hepatología. 1st ed. Madrid: Jarpyo.Montoro Huguet, M. and García Pagán, J. (2012).
  • 33.
    Pickhardt, P. andArluk, G. (n.d.). Atlas de Imágenes en Gastroenterología. 1st ed. Montoro Huguet, M. and García Pagán, J. (2012). Gastroenterología y hepatología. 1st ed. Madrid: Jarpyo.Montoro Huguet, M. and García Pagán, J. (2012).
  • 34.
    Pickhardt, P. andArluk, G. (n.d.). Atlas de Imágenes en Gastroenterología. 1st ed. Montoro Huguet, M. and García Pagán, J. (2012). Gastroenterología y hepatología. 1st ed. Madrid: Jarpyo.Montoro Huguet, M. and García Pagán, J. (2012).
  • 35.
    Pickhardt, P. andArluk, G. (n.d.). Atlas de Imágenes en Gastroenterología. 1st ed. Montoro Huguet, M. and García Pagán, J. (2012). Gastroenterología y hepatología. 1st ed. Madrid: Jarpyo.Montoro Huguet, M. and García Pagán, J. (2012).
  • 36.
    Pickhardt, P. andArluk, G. (n.d.). Atlas de Imágenes en Gastroenterología. 1st ed. Montoro Huguet, M. and García Pagán, J. (2012). Gastroenterología y hepatología. 1st ed. Madrid: Jarpyo.Montoro Huguet, M. and García Pagán, J. (2012).
  • 37.
    Pickhardt, P. andArluk, G. (n.d.). Atlas de Imágenes en Gastroenterología. 1st ed. Montoro Huguet, M. and García Pagán, J. (2012). Gastroenterología y hepatología. 1st ed. Madrid: Jarpyo.Montoro Huguet, M. and García Pagán, J. (2012).
  • 38.
    Pickhardt, P. andArluk, G. (n.d.). Atlas de Imágenes en Gastroenterología. 1st ed. Montoro Huguet, M. and García Pagán, J. (2012). Gastroenterología y hepatología. 1st ed. Madrid: Jarpyo.Montoro Huguet, M. and García Pagán, J. (2012).
  • 39.
    Pickhardt, P. andArluk, G. (n.d.). Atlas de Imágenes en Gastroenterología. 1st ed. Montoro Huguet, M. and García Pagán, J. (2012). Gastroenterología y hepatología. 1st ed. Madrid: Jarpyo.Montoro Huguet, M. and García Pagán, J. (2012).
  • 40.
    TC abdominal La TCconvencional tiene mayor sensibilidad (70-90%) pero su disponibilidad es menor y comporta mayor coste y radiación para el paciente. La sensibilidad de la detección mediante TC depende de la composición del cálculo y del grado de dilatación ductal; la presencia de una semiluna de bilis perfilando un cálculo en el colédoco suele ser un hallazgo de utilidad. Pickhardt, P. and Arluk, G. (n.d.). Atlas de Imágenes en Gastroenterología. 1st ed. Montoro Huguet, M. and García Pagán, J. (2012). Gastroenterología y hepatología. 1st ed. Madrid: Jarpyo.Montoro Huguet, M. and García Pagán, J. (2012). Pruebas de imagen
  • 41.
    Pickhardt, P. andArluk, G. (n.d.). Atlas de Imágenes en Gastroenterología. 1st ed. Montoro Huguet, M. and García Pagán, J. (2012). Gastroenterología y hepatología. 1st ed. Madrid: Jarpyo.Montoro Huguet, M. and García Pagán, J. (2012).
  • 42.
    Pickhardt, P. andArluk, G. (n.d.). Atlas de Imágenes en Gastroenterología. 1st ed. Montoro Huguet, M. and García Pagán, J. (2012). Gastroenterología y hepatología. 1st ed. Madrid: Jarpyo.Montoro Huguet, M. and García Pagán, J. (2012).
  • 43.
    Pickhardt, P. andArluk, G. (n.d.). Atlas de Imágenes en Gastroenterología. 1st ed. Montoro Huguet, M. and García Pagán, J. (2012). Gastroenterología y hepatología. 1st ed. Madrid: Jarpyo.Montoro Huguet, M. and García Pagán, J. (2012).
  • 44.
    Pickhardt, P. andArluk, G. (n.d.). Atlas de Imágenes en Gastroenterología. 1st ed. Montoro Huguet, M. and García Pagán, J. (2012). Gastroenterología y hepatología. 1st ed. Madrid: Jarpyo.Montoro Huguet, M. and García Pagán, J. (2012).
  • 45.
    Pickhardt, P. andArluk, G. (n.d.). Atlas de Imágenes en Gastroenterología. 1st ed. Montoro Huguet, M. and García Pagán, J. (2012). Gastroenterología y hepatología. 1st ed. Madrid: Jarpyo.Montoro Huguet, M. and García Pagán, J. (2012).
  • 46.
    Ecoendoscopia y colangiorresonancia La CPRMtiene una gran sensibilidad (95%) y especificidad (89%) respecto a los cálculos ductales >5 mm, pero puede pasar por alto los cálculos más pequeños; la ecografía también es muy sensible (95%) y especifica (100%) y permite la detección de los cálculos ductales pequeños y del barro biliar. Su principal inconveniente es que carecen de posibilidades terapéuticas. Si la ecografía no detecta litiasis, debe hacerse una CPRM o una ecoendoscopia que confirmen la sospecha diagnóstica.Pickhardt, P. and Arluk, G. (n.d.). Atlas de Imágenes en Gastroenterología. 1st ed. Montoro Huguet, M. and García Pagán, J. (2012). Gastroenterología y hepatología. 1st ed. Madrid: Jarpyo.Montoro Huguet, M. and García Pagán, J. (2012). Pruebas de imagen
  • 47.
    Pickhardt, P. andArluk, G. (n.d.). Atlas de Imágenes en Gastroenterología. 1st ed. Montoro Huguet, M. and García Pagán, J. (2012). Gastroenterología y hepatología. 1st ed. Madrid: Jarpyo.Montoro Huguet, M. and García Pagán, J. (2012).
  • 48.
    Pickhardt, P. andArluk, G. (n.d.). Atlas de Imágenes en Gastroenterología. 1st ed. Montoro Huguet, M. and García Pagán, J. (2012). Gastroenterología y hepatología. 1st ed. Madrid: Jarpyo.Montoro Huguet, M. and García Pagán, J. (2012).
  • 49.
    Pickhardt, P. andArluk, G. (n.d.). Atlas de Imágenes en Gastroenterología. 1st ed. Montoro Huguet, M. and García Pagán, J. (2012). Gastroenterología y hepatología. 1st ed. Madrid: Jarpyo.Montoro Huguet, M. and García Pagán, J. (2012).
  • 50.
    Pickhardt, P. andArluk, G. (n.d.). Atlas de Imágenes en Gastroenterología. 1st ed. Montoro Huguet, M. and García Pagán, J. (2012). Gastroenterología y hepatología. 1st ed. Madrid: Jarpyo.Montoro Huguet, M. and García Pagán, J. (2012).
  • 51.
    Pickhardt, P. andArluk, G. (n.d.). Atlas de Imágenes en Gastroenterología. 1st ed. Montoro Huguet, M. and García Pagán, J. (2012). Gastroenterología y hepatología. 1st ed. Madrid: Jarpyo.Montoro Huguet, M. and García Pagán, J. (2012).
  • 52.
    Pickhardt, P. andArluk, G. (n.d.). Atlas de Imágenes en Gastroenterología. 1st ed. Montoro Huguet, M. and García Pagán, J. (2012). Gastroenterología y hepatología. 1st ed. Madrid: Jarpyo.Montoro Huguet, M. and García Pagán, J. (2012).
  • 53.
    Pickhardt, P. andArluk, G. (n.d.). Atlas de Imágenes en Gastroenterología. 1st ed. Montoro Huguet, M. and García Pagán, J. (2012). Gastroenterología y hepatología. 1st ed. Madrid: Jarpyo.Montoro Huguet, M. and García Pagán, J. (2012).
  • 54.
    Pickhardt, P. andArluk, G. (n.d.). Atlas de Imágenes en Gastroenterología. 1st ed. Montoro Huguet, M. and García Pagán, J. (2012). Gastroenterología y hepatología. 1st ed. Madrid: Jarpyo.Montoro Huguet, M. and García Pagán, J. (2012).
  • 55.
    CPRE – GS(dx y tx)• Enfinterectomía endoscópica + extracción del cálculo ⚫50% recurrencia (sin colecistectomía) • Mortalidad <1% • Complicaciones 5-10% (hemorragia, pancreatitis, conlangitis, perforación retroduodenal) *Cálculos de gran tamaño (>2cm), intrahepáticos, múltiples, alteración de la anatomía gástrica o duodenal, cálculos impactados y divertículos duodenales
  • 60.
    laparoscópica del colédoco • Almomento de la colecistectomía • Por el conducto cístico ⚫Dilatador flexible – guía – técnica de Seldinger
  • 61.
    abierta del colédoco • Morbilidaddel 8-15% • Mortalidad 5% • Esfinteroplastia transduodenal ⚫Coledocoduodenostomía – Síndrome del sumidero ⚫Coledocoyeyunostomía en Y de Roux
  • 63.
  • 64.
    Objetivo: Extracción y limpiezade VBP Asociación a colecistectomía (colelitiasis concomitante) 3 Opciones: 1. Endoscópico 2. Cirugía (abierta/laparoscópica) 3. Litotripsia Costi, R., Gnocchi, A., Di Mario, F., & Sarli, L. (2014). Diagnosis and management of choledocholithiasis in the golden age of imaging, endoscopy and laparoscopy. World Journal of Gastroenterology : WJG, 20(37), 13382–13401. http://doi.org/10.3748/wjg.v20.i37.13382
  • 65.
    Métodos no quirúrgico sColangiopancreatografía retrógrada endoscópica (CPRE) convencional Litotripsiamecánica, electrohidráulica, con rayo láser Litotripsia extracorpórea con ondas de choque Métodos quirúrgic os
  • 66.
    Procedimientos endoscópicosCPRE + esfinterectomíaendoscópica Costi, R., Gnocchi, A., Di Mario, F., & Sarli, L. (2014). Diagnosis and management of choledocholithiasis in the golden age of imaging, endoscopy and laparoscopy. World Journal of Gastroenterology : WJG, 20(37), 13382–13401. http://doi.org/10.3748/wjg.v20.i37.13382 o Éxito >90% o Morbilidad: 5-9.8% o Mortalidad: 0.3- 2.3%
  • 67.
    Canastilla de Dormia Lascausas de falla de este procedimiento incluyen: a) Cálculo mayor de 1.5 cm de diámetro. b) Dificultad para canular la vía biliar c) Complicación temprana por la esfinterotomía d) Presencia de estenosis del conducto hepatocolédoco con cálculo impactado. e) Litiasis intrahepática.
  • 68.
    Procedimientos endoscópicos Dilatación endoscópica conbalón - Minimiza el daño del esfínter - Sumado a esfinterectomía mínima - Pacientes con riesgo de sangrado Costi, R., Gnocchi, A., Di Mario, F., & Sarli, L. (2014). Diagnosis and management of choledocholithiasis in the golden age of imaging, endoscopy and laparoscopy. World Journal of Gastroenterology : WJG, 20(37), 13382–13401. http://doi.org/10.3748/wjg.v20.i37.13382
  • 72.
    CirugíaCirugía Abierta Duodenotomía y esfinterectomíao anastomosis bilioentérico Costi, R., Gnocchi, A., Di Mario, F., & Sarli, L. (2014). Diagnosis and management of choledocholithiasis in the golden age of imaging, endoscopy and laparoscopy. World Journal of Gastroenterology : WJG, 20(37), 13382–13401. http://doi.org/10.3748/wjg.v20.i37.13382
  • 73.
    Cirugía laparoscóp ica Costi, R., Gnocchi,A., Di Mario, F., & Sarli, L. (2014). Diagnosis and management of choledocholithiasis in the golden age of imaging, endoscopy and laparoscopy. World Journal of Gastroenterology : WJG, 20(37), 13382–13401. http://doi.org/10.3748/wjg.v20.i37.13382 Identificar el conducto Disecar el trígono de Calot Coledocotomía Remoción con canasta
  • 76.
    Litotripsia No reemplaza tratamiento quirúrgico –Litotripsia mecánica – Litotripsia electrohidráulica – Litotripsia con rayo láser – Litotripsia extracorpórea con ondas de choque Costi, R., Gnocchi, A., Di Mario, F., & Sarli, L. (2014). Diagnosis and management of choledocholithiasis in the golden age of imaging, endoscopy and laparoscopy. World Journal of Gastroenterology : WJG, 20(37), 13382–13401. http://doi.org/10.3748/wjg.v20.i37.13382