2015
GENERALIDADES
Existen aproximadamente 130.000
hospitalizaciones por año en Estados Unidos,
predominantemente en la zona oeste y sociedades
industrializadas.
La prevalencia es similar en el hombre y en la
mujer; aumenta con la edad: aproximadamente
10% de los adultos jóvenes (40 años) presenta
diverticulitis contra 50%-70% de los adultos
mayores (80 años). El 80% de los pacientes con
diverticulitis tienen alrededor de 50 años.
La enfermedad afecta el sigmoide y colon
descendente en mas del 90% de los casos.
El termino “Diverticulitis” y “ Enfermedad
Diverticular” se usa para describir la presencia de
inflamación diverticular.
Suele ser una causa de hemorragia digestiva baja
aguda y es diagnosticada en el 23% de los casos.
Estudios epidemiológicos demostraron la
asociación entre diverticulitis y dieta baja en el
contenido de fibras y altas en carbohidratos.
Otros factores de riesgos son inactividad física,
constipación, obesidad, tabaco, y tratamiento con
AINES.
PATOGENIA
 “Colon pseudodiverticular” consiste en una
evaginación de mucosa y submucosa. Las mismas
poseen zonas de debilidad que ante el aumento de la
presión intraluminal protuyen y son penetrados por los
vasos sanguíneos.
 El pseudodiverticulo colonico tiene un cuello angosto
que puede ser fácilmente ocluido por materia fecal.
Esto produce un estasis del contenido y sobre
crecimiento bacteriano e isquemia tisular.
 Entre las bacterias encontramos: anaerobios
(bacteroides, clostridium), aerobios gram negativos (E.
Coli) y gram positivos (streptococo).
COMPLICACIONES
 Entre ellas encontramos: absceso, flemón, fistulas,
obstrucción intestinal, peritonitis.
 La peritonitis generalizada resulta de la ruptura de un
absceso peridiverticular o por ruptura libre de un
divertículo no inflamado.
 Solo 1%-2% de los pacientes que requieren evaluación
urgente tiene perforación libre.
 Las consecuencias de la diverticulitis son mas severas
en pacientes inmunocomprometidos. Estos presentan
signos y síntomas atípicos. Además, es mas probable
que tengan perforaciones libres y menos probable que
respondan al tratamiento conservador; como también
mayor riesgo de complicaciones postoperatorias y
muerte que pacientes inmunocompetentes.
DIAGNOSTICO Y EVALUACION
Signos y síntomas
 Dolor abdominal en FII
 Constipación
 Distensión o gases
 Nauseas y vómitos
 Fiebre
 Leucocitosis
ESTADIFICACIÓN
 Para evaluar la severidad del cuadro se utilizan los
criterios de Hinchey´s, aunque este sistema de
clasificación no tiene en cuenta condiciones
coexistentes.
 El riesgo de muerte es <5% en la mayoría de los
pacientes con un grado 1 o 2, aproximadamente 13%
para aquellos con grado 3 y 43% para los que tienen
un grado 4.
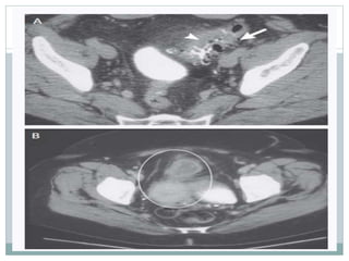
IMAGEN Y ENDOSCOPIA
 La tomografía es recomendado en la examinación
inicial de imagen. Posee alta sensibilidad (93-97%) y
especificidad aproximadamente 99% para el
diagnostico; además permita determinar la extensión
del proceso.
 En casos ocasionales donde es dificultoso distinguir
entre diverticulitis y carcinoma se puede utilizar
contraste para limitar colon descendente y recto.
 La presencia de divertículos, inflamación de grasa
pericolonica u otro tejidos, aumento del grosor de la
pared intestinal >4mm, o absceso peridiverticular es
fuertemente sugestivo de diverticulitis.
 TC también revela otros procesos inflamatorios por dolor
abdominal bajo, como apendicitis, absceso tubo ovárico o
enfermedad de crohn.
 La colonoscopia y sigmoideoscopia son evitados cuando
se sospecha de diverticulitis aguda por el riesgo de
perforación o otra exacerbación de la enfermedad en
proceso.
 Algunos expertos sugieren, una vez finalizado el proceso
agudo, aproximadamente 6 semanas, realizar estos
estudios para descartar la presencia de otras
enfermedades como cáncer y enfermedad inflamatoria
intestinal.
TRATAMIENTO
A. En la mayoría de los pacientes (ej.: paciente
inmunocompetente quien tiene un severo ataque y
puede tolerar la vía oral) es razonable realizar una
terapia ambulante. En general dura entre 7-10 días
y se utiliza atb de amplio espectro cubriendo
microorganismos anaerobios. Ej.: ciprofloxacina y
metronidazol.
B. La hospitalización esta indicada en pacientes que no
toleran la vía oral o que tienen un dolor severo que
necesita de analgesia, si no responde a la terapia
ambulante o si tiene una complicación de la
diverticulitis.
 Inicialmente el paciente no debería ingerir nada por boca.
 Si hay evidencia de obstrucción o íleo se debe colocar una
sonda nasogastrica.
 Administrar atb de amplio espectro por vía intravenosa.
 Si no cede el dolor, la fiebre y leucocitosis entre 2-3 días o
si el examen físico revela nuevos signos o
empeoramiento, es apropiado repetir la tomografía
computada y/o intervención quirúrgica según requiera.
 La intervención quirúrgica esta indicado cuando la
enfermedad no responde al manejo medico o hay
repetidos ataques; cuando hay abscesos o formación de
fistulas, obstrucción o perforación libre; o cuando hay
incertidumbre respecto al diagnostico.
Drenaje Percutáneo
 En pacientes con una complicación como la formación de
un absceso peridiverticular, la zona del absceso es
importante para determinar la necesidad de drenaje
percutáneo.
 Algunos pacientes tienen un absceso pequeño (<4cm de
diámetro) sin peritonitis (Hinchey estadio 1). En ellos
puede realizarse un tratamiento conservador con reposo
intestinal y antibiótico de amplio espectro.
 Para pacientes con absceso peridiverticular de >4cm de
diámetro (Hinchey estadio 2) se puede indicar drenaje
percutáneo guiado. Este procedimiento elimina o reduce
la zona del absceso, con disminución del dolor, resolución
de la leucocitosis usualmente en varios días.
…
 El drenaje percutáneo es de mayor elección que la
cirugía de emergencia, aumentando la probabilidad de
éxito.
 Pacientes con absceso cavitado de contenido purulento
tienden a responder pobremente y sugiere una
intervención quirúrgica temprana.
Intervención quirurgica
 <10% de los pacientes con diverticulitis aguda requieren
inicialmente tratamiento quirúrgico.
 Las indicaciones de cirugía de urgencia incluyen:
peritonitis generalizada, sepsis descontrolada, perforación
visceral, la presencia de un absceso inaccesible y la falta de
mejoría o deterioro con 3 días de manejo medico.
 Para pacientes que requieran una operación de
emergencia, el estado físico y el grado de disfunción
orgánica preoperatoria y clínico son significativos
predictores del resultado de la cirugía.
 Hipotensión preoperatoria, falla renal, DBT, malnutrición,
inmunosupresión, y ascitis se asocian con reducción de la
probabilidad de sobrevida.
Laparoscopia
 La mayoría de las resecciones de colon han sido realizadas
con procedimientos abiertos en Estados Unidos porque el
procedimiento laparoscópico es técnicamente desafiante
debido a que pocos cirujanos fueron entrenados durante
la residencia para su desarrollo.
 Estudios observacionales de las colectomias con
laparoscopias vs. Colectomia con cirugía sugieren que la
primera permite menor estadía hospitalaria, menor dolor
posoperatorio y reduce el riesgo total de complicaciones.
 Muchos cirujanos sugieren resección laparoscópica en
pacientes con estadio 1 y 2, pero es poco aceptado para
estadio 3 y 4.

Diverticulitis 2015

  • 1.
  • 2.
    GENERALIDADES Existen aproximadamente 130.000 hospitalizacionespor año en Estados Unidos, predominantemente en la zona oeste y sociedades industrializadas. La prevalencia es similar en el hombre y en la mujer; aumenta con la edad: aproximadamente 10% de los adultos jóvenes (40 años) presenta diverticulitis contra 50%-70% de los adultos mayores (80 años). El 80% de los pacientes con diverticulitis tienen alrededor de 50 años. La enfermedad afecta el sigmoide y colon descendente en mas del 90% de los casos.
  • 3.
    El termino “Diverticulitis”y “ Enfermedad Diverticular” se usa para describir la presencia de inflamación diverticular. Suele ser una causa de hemorragia digestiva baja aguda y es diagnosticada en el 23% de los casos. Estudios epidemiológicos demostraron la asociación entre diverticulitis y dieta baja en el contenido de fibras y altas en carbohidratos. Otros factores de riesgos son inactividad física, constipación, obesidad, tabaco, y tratamiento con AINES.
  • 4.
    PATOGENIA  “Colon pseudodiverticular”consiste en una evaginación de mucosa y submucosa. Las mismas poseen zonas de debilidad que ante el aumento de la presión intraluminal protuyen y son penetrados por los vasos sanguíneos.  El pseudodiverticulo colonico tiene un cuello angosto que puede ser fácilmente ocluido por materia fecal. Esto produce un estasis del contenido y sobre crecimiento bacteriano e isquemia tisular.  Entre las bacterias encontramos: anaerobios (bacteroides, clostridium), aerobios gram negativos (E. Coli) y gram positivos (streptococo).
  • 7.
    COMPLICACIONES  Entre ellasencontramos: absceso, flemón, fistulas, obstrucción intestinal, peritonitis.  La peritonitis generalizada resulta de la ruptura de un absceso peridiverticular o por ruptura libre de un divertículo no inflamado.  Solo 1%-2% de los pacientes que requieren evaluación urgente tiene perforación libre.  Las consecuencias de la diverticulitis son mas severas en pacientes inmunocomprometidos. Estos presentan signos y síntomas atípicos. Además, es mas probable que tengan perforaciones libres y menos probable que respondan al tratamiento conservador; como también mayor riesgo de complicaciones postoperatorias y muerte que pacientes inmunocompetentes.
  • 8.
    DIAGNOSTICO Y EVALUACION Signosy síntomas  Dolor abdominal en FII  Constipación  Distensión o gases  Nauseas y vómitos  Fiebre  Leucocitosis
  • 10.
    ESTADIFICACIÓN  Para evaluarla severidad del cuadro se utilizan los criterios de Hinchey´s, aunque este sistema de clasificación no tiene en cuenta condiciones coexistentes.  El riesgo de muerte es <5% en la mayoría de los pacientes con un grado 1 o 2, aproximadamente 13% para aquellos con grado 3 y 43% para los que tienen un grado 4.
  • 12.
    IMAGEN Y ENDOSCOPIA La tomografía es recomendado en la examinación inicial de imagen. Posee alta sensibilidad (93-97%) y especificidad aproximadamente 99% para el diagnostico; además permita determinar la extensión del proceso.  En casos ocasionales donde es dificultoso distinguir entre diverticulitis y carcinoma se puede utilizar contraste para limitar colon descendente y recto.  La presencia de divertículos, inflamación de grasa pericolonica u otro tejidos, aumento del grosor de la pared intestinal >4mm, o absceso peridiverticular es fuertemente sugestivo de diverticulitis.
  • 13.
     TC tambiénrevela otros procesos inflamatorios por dolor abdominal bajo, como apendicitis, absceso tubo ovárico o enfermedad de crohn.  La colonoscopia y sigmoideoscopia son evitados cuando se sospecha de diverticulitis aguda por el riesgo de perforación o otra exacerbación de la enfermedad en proceso.  Algunos expertos sugieren, una vez finalizado el proceso agudo, aproximadamente 6 semanas, realizar estos estudios para descartar la presencia de otras enfermedades como cáncer y enfermedad inflamatoria intestinal.
  • 16.
    TRATAMIENTO A. En lamayoría de los pacientes (ej.: paciente inmunocompetente quien tiene un severo ataque y puede tolerar la vía oral) es razonable realizar una terapia ambulante. En general dura entre 7-10 días y se utiliza atb de amplio espectro cubriendo microorganismos anaerobios. Ej.: ciprofloxacina y metronidazol. B. La hospitalización esta indicada en pacientes que no toleran la vía oral o que tienen un dolor severo que necesita de analgesia, si no responde a la terapia ambulante o si tiene una complicación de la diverticulitis.
  • 17.
     Inicialmente elpaciente no debería ingerir nada por boca.  Si hay evidencia de obstrucción o íleo se debe colocar una sonda nasogastrica.  Administrar atb de amplio espectro por vía intravenosa.  Si no cede el dolor, la fiebre y leucocitosis entre 2-3 días o si el examen físico revela nuevos signos o empeoramiento, es apropiado repetir la tomografía computada y/o intervención quirúrgica según requiera.  La intervención quirúrgica esta indicado cuando la enfermedad no responde al manejo medico o hay repetidos ataques; cuando hay abscesos o formación de fistulas, obstrucción o perforación libre; o cuando hay incertidumbre respecto al diagnostico.
  • 19.
    Drenaje Percutáneo  Enpacientes con una complicación como la formación de un absceso peridiverticular, la zona del absceso es importante para determinar la necesidad de drenaje percutáneo.  Algunos pacientes tienen un absceso pequeño (<4cm de diámetro) sin peritonitis (Hinchey estadio 1). En ellos puede realizarse un tratamiento conservador con reposo intestinal y antibiótico de amplio espectro.  Para pacientes con absceso peridiverticular de >4cm de diámetro (Hinchey estadio 2) se puede indicar drenaje percutáneo guiado. Este procedimiento elimina o reduce la zona del absceso, con disminución del dolor, resolución de la leucocitosis usualmente en varios días.
  • 20.
    …  El drenajepercutáneo es de mayor elección que la cirugía de emergencia, aumentando la probabilidad de éxito.  Pacientes con absceso cavitado de contenido purulento tienden a responder pobremente y sugiere una intervención quirúrgica temprana.
  • 21.
    Intervención quirurgica  <10%de los pacientes con diverticulitis aguda requieren inicialmente tratamiento quirúrgico.  Las indicaciones de cirugía de urgencia incluyen: peritonitis generalizada, sepsis descontrolada, perforación visceral, la presencia de un absceso inaccesible y la falta de mejoría o deterioro con 3 días de manejo medico.  Para pacientes que requieran una operación de emergencia, el estado físico y el grado de disfunción orgánica preoperatoria y clínico son significativos predictores del resultado de la cirugía.  Hipotensión preoperatoria, falla renal, DBT, malnutrición, inmunosupresión, y ascitis se asocian con reducción de la probabilidad de sobrevida.
  • 22.
    Laparoscopia  La mayoríade las resecciones de colon han sido realizadas con procedimientos abiertos en Estados Unidos porque el procedimiento laparoscópico es técnicamente desafiante debido a que pocos cirujanos fueron entrenados durante la residencia para su desarrollo.  Estudios observacionales de las colectomias con laparoscopias vs. Colectomia con cirugía sugieren que la primera permite menor estadía hospitalaria, menor dolor posoperatorio y reduce el riesgo total de complicaciones.  Muchos cirujanos sugieren resección laparoscópica en pacientes con estadio 1 y 2, pero es poco aceptado para estadio 3 y 4.