UNIVERSIDAD AUTÓNOMA DE CHIAPAS
 FACULTAD DE MEDICINA HUMANA
   DR. MANUEL VELASCO SUAREZ
      EXTENSIÓN TAPACHULA



   Endocarditis Infecciosa



                          CARDIOLOGIA
                        Dr. Juan huembés Solís



      LUIS ENRIQUE PEREZ CASTAÑEDA
                   7°
                                   21/03/2013
DEFINICION
      • La EI es una infección endovascular microbiana que afecta a
        estructuras intracardíacas en contacto con la sangre, y que incluye
        las infecciones de los grandes vasos intratorácicos y cuerpos
        extraños intracardíacos.

      • La lesión inicial característica consiste en una vegetación de
        tamaño variable, aunque también en fases iniciales puede
        identificarse mediante ecocardiografía destrucción tisular, úlceras o
        formación de abscesos.



Guía de práctica clínica para prevención, diagnóstico y tratamiento de la endocarditis infecciosa (nueva versión 2009)
Grupo de Trabajo de la Sociedad Europea de Cardiología (ESC) para Prevención,
EPIDEMIOLOGÍA
 3-10 episodios/100.000 personas.

 La proporción varones: mujeres es ≥ 2:1.

 75% con enfermedad estructural cardiaca predisponente.

 Asociada a procedimientos médicos y en ancianos.

 33% es en forma aguda.

 Afección de V. mitral 40%, aortica36%.
PREVENCIÓN (EI)

    Enfermedad cardíaca en la que está indicada la profilaxis
    antimicrobiana. (FR).

•   Prótesis valvulares cardíacas.
•   Malformaciones cardíacas congénitas complejas y (a)cianóticas.
•   Endocarditis infecciosa previa.
•   Conductos sistémicos o pulmonares establecidos quirúrgicamente.
•   Enfermedades valvulares cardíacas adquiridas.
•   Prolapso de la válvula mitral con regurgitación valvular o engrosamiento valvular
    severo.
•   Miocardiopatía hipertrófica.
•   Valvulopatia reumatica.
•   Abuso de drogas IV.
• Procedimientos diagnósticos y terapéuticos relacionados con
  el desarrollo de bacteriemia.

•   Broncoscopia (broncoscopio rígido)
•    cistoscopia durante la infección del tracto urinario
•   biopsia del tracto urinario/próstata
•   procedimientos dentales con riesgo de traumatismo
•    dilatación esofágica/escleroterapia
•   Instrumentación de conductos biliares obstruidos
•   resección transuretral de próstata
•   instrumentación/dilatación uretral
•   procedimientos ginecológicos en presencia de infección
Clasificación y Definiciones (EI)
• EI según la ubicación de la infección y la presencia o ausencia de
  material intracardiaco.

• EI de válvula nativa. Aguda <2 semanas, Subaguda 5 semanas,
  Crónica 3 meses.

• EI de válvula protésica (EVP).
  |– EVP precoz: < 1 año tras la cirugía de la válvula
  – EVP tardía: > 1 año tras la cirugía de la válvula

• EI relacionada con dispositivos (marcapasos permanente o
  desfibrilador cardioversor).
• EI SEGÚN EL MODO DE ADQUISICIÓN

• EI asociada a la asistencia sanitaria
  – Nosocomial La EI se desarrolla en un paciente hospitalizado más
  de 48 h antes de la aparición de signos o síntomas que encajan con
  la EI.
  – No nosocomial Los signos y/o síntomas de la EI comienzan antes
  de 48 h después del ingreso en un paciente.

• EI adquirida en la comunidad.
• EI asociada al uso de drogas.
• EI ACTIVA.

-   EI con fiebre persistente y hemocultivos positivos o Morfología
    inflamatoria activa descubierta en la cirugía o El paciente aún se
    encuentra en terapia antibiótica o Evidencia histopatológica de EI
    activa.
• Recurrencia

  -Recaída- La repetición de episodios de EI causada por el mismo
  microorganismo menos de 6 meses después del episodio inicial

  -Reinfección. La repetición de episodios de EI causada por el
  mismo microorganismo más de 6 meses después del episodio
  inicial
Microbiología
1.    Endocarditis infecciosa                    2. Endocarditis infecciosa con
      con hemocultivos                              hemocultivos negativos
      positivos                                     debido a tratamiento
     • Estafilococos aureus                         antibiótico anterior
     • Estreptococos (viridians, bovis)DEXTRAN   • Pctes con cuadro de sd febril
     • Enterococos                                 reciben tto atb sin
                                                   hemocultivos previos.
     Ésta es la categoría más importante,        • Hemocultivos (-) varios dias
     Representa un 85% de toda la EI.              despues de la suspension
                                                   ATB.
Endocarditis infecciosa
 frecuentemente asociada a                      Endocarditis infecciosa
 hemocultivos negativos                         asociada a
• Estreptococos                                 hemocultivos constantemente
• Bacilos gramnegativos                         negativos
exigentes del grupo HACEK
H. paraphrophilus,H. influenzae,                •   Coxiella burnetii
Actinobacillus actinomycetemcomitans,           •   Bartonella
Cardiobacterium hominis,                        •   Clamydia
Eikenella corrodens,
                                                •   Tropheryma whipplei
Kingella kingae y K. denitrificans), Brucella
    y
hongos, suelen ser la causa.
Lesión endotelial
   por factores -                                    Maniobras que
   hemodinámicos                                     producen
               -traumáticos                          traumatismo de piel y/o
                                                     mucosas:drogadicción
Presencia de                                                  focoséptico
inmunocomplejos
                      Endocarditis infecciosa                Bacteriemia
                              Fisiopatología                 transitoria
 Depósito de
 fibrina
                                                             Adherencia y
Endocarditis trombótica                                      colonización
no bacteriana

                              VEGETACION
  Destrucción                  SÉPTICA                 Bacteriemia
  valvular                                             persistente
                    Embolia pulmonar                 Inmunocomplejos
                    o sistémica                      vasculitis     Esplenomegalia
                                        Metastásis
                                                     glomerulonefritis
                          Aneurismas    sépticas
MANIFESTACIONES           micóticos
CARDÍACAS                              MANIFESTACIONES EXTRACARDÍACAS
Velo
                  Endocarditis Infecciosa
   valvular


                                                  cicatrización

Lesión
endotelial

                                                      Endocarditis
                                                      infecciosa
                                                      (vegetación)


 Agregación
 plaquetar               fibrina                 colonización




              ETA/ETNB             Bacteriemia
Endocarditis Infecciosa
Localización de vegetaciones

          AI

                Ao


     VI
Válvula aórtica demuestra vegetación
        grande, rojiza, friable.
Válvula aórtica con vegetación rojiza, irregular en
           las cúspides de las valvas.
DIAGNÓSTICO




Habib G et al. Guía de práctica clínica para prevención, diagnóstico y tratamiento de la endocarditis infecciosa (nueva versión
2009)
SÍNTOMAS
• Aguda                          • Subaguda
   – Fiebre alta y escalofrios      – Fiebre baja
   – Disnea                         – Anorexia
   – Artralgias/ mialgias           – Baja de peso
   – Dolor abdominal                – Astenia/ adinamia
   – Dolor pleuritico               – Artralgias/ mialgias
                                    – Dolor Abdominal
SIGNOS
• Fiebre
• Soplo cardiaco
• Signos no especificos – petequias, hemorragias subunguales,
  dedos en palillo tambor, esplenomegalia, deficit neurológicos.
• Signos especificos – Nodulos de Osler, Lesiones de Janeway, and
  Manchas de Roth
Endocarditis Infecciosa



•   Hemorragias en astilla
•   Nodulos de Osler
•   Lesiones de Janeway
•   Petequias (vasculitis y embolismo)
Petequias


                                                           dermatology.about.com/.../
                                                           blpetechiaephoto.htm




                                                    Harden Library for the Health Sciences
Photo credit, Josh Fierer, M.D.                     www.lib.uiowa.edu/ hardin/
medicine.ucsd.edu/clinicalimg/ Eye-Petechiae.html   md/cdc/3184.html
Hemorragias ungueales
Nódulos de Osler
American College of Rheumatology
webrheum.bham.ac.uk/.../ default/pages/3b5.htm   www.meddean.luc.edu/.../
                                                 Hand10/Hand10dx.html
Lesiones de Janeway
HEMORRAGIAS EN ASTILLA
Endocarditis infecciosa
             Manifestaciones clínicas



• Oftalmológicas:
   – manchas de Roth
• Pulmonares:
   – Edema pulmonar
   – Distres respiratorio
   – Infiltrados pulmonares(embolismo)
MANCHAS DE ROTH
Endocarditis infecciosa
                Manifestaciones clínicas


• Neurológicas
   – Embolismo cerebral
   – Abceso cerebral
   – Aneurismas micóticos
   – Encefalopatía tóxica
   – Meningitis
   – Hemiplejia
• Renales
   – Insuficiencia renal(glomerulonefritis focal embolica)
   – Embolismo renal(crisis HTA + hematuria macroscopica)
Endocarditis infecciosa
                  Datos de laboratorio
• Hemocultivo

• Hemograma
   – anemia normocitica y normocrómica
   – trombopenia
   – >VSG
   – leucocitosis(20%)
   – Factor reumatoideo (+ en 50%)
   – inmunocomplejos circulantes
Hemocultivos

   – Minimo de 3 muestras.
   – Distintos sitios de punción.
   – Muestra de 10-20 ml sangre.

• Resultado positivo
   – Microorganismo tipico en 2 muestras separadas
   – Cultivo persistentemente positivo (germen atípico)
Examenes de laboratorio

•   Hemograma
•   PCR
•   Complemento (C3, C4)
•   Funcion renal
•   Ex Orina
•   Coagulacion
Rx. Torax

•   Infiltrados pulmonares
•   Embolias sépticas
•   Congestión
•   Cardiomegalia
•   Calcificaciones valvulares
Embolías sépticas pulmonares
ECG

•   Poco útil.
•   Isquemia.
•   Alteraciones de conducción (bloqueos AV).
•   Arritmias.
Endocarditis infecciosa
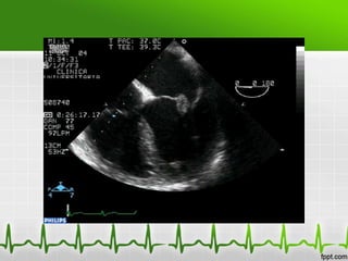
                  Ecocardiograma

•   Sensibilidad (60-70%) para vegetaciones
•   Aumenta con ETE
•   No detecta vegetaciones <2mm
•   Un estudio negativo no excluye
•   Util para indicar Tto. Quirurgico
•   Diagnóstico de complicaciones
              – Abceso perivalvular
              – Rotura de cuerda
              – Fístulas
              – Abceso miocárdico
Ecocardiografía
 Ecocardiograma Transtoracico (ETT)
  -Sensibilidad 46% y especificidad de 95%
    – Primera linea en sospecha de EI.
    – Mayor rendimiento en valvulas nativas
    – ETT no descarta EI.

• Ecocardiograma Transesofágico (ETE)
  -Sensibilidad del 93% y especificidad del 96%
   – Mayor sensibilidad
   – Indicado v. protesicas
   – Complicaciones cardiacas
   – Dudoso ETT
   – Bacteremias por Hongos o S. aureus
• Existen 3 hallazgos ecocardiográficos que constituyen criterios
  mayores para el diagnóstico de la EI:

   a) una masa móvil y ecodensa unida al endocardio valvular o mural
   o a material protésico implantado.
   b) evidencia de abscesos o fístulas.
   c) la dehiscencia de una prótesis valvular de nueva aparición,
   especialmente si ocurre a largo plazo tras la implantación.
Endocarditis infecciosa
DIAGNOSTICO
CRITERIOS DE LA UNIVERSIDAD DE DUKE

Definitiva:
A. Criterios patológicos:
- Microorganismo demostrado en el cultivo o la histología de la vegetación, en una
embolia o absceso.
- Lesiones patológicas: vegetación o absceso intracardíaco confirmado por
    histología.

B. Criterios clínicos: 2 criterios mayores, uno mayor y 3 menores, ó 5 menores.

Posible: Hallazgos sugestivos de EI que no cumplen criterios de definitiva o
   rechazada.

Rechazada:
• Explicación clara que excluya endocarditis infecciosa, o
• Resolución del síndrome de endocarditis con antibioticoterapia por 4 días o
   menos.
• No evidencia patológica de endocarditis infecciosa en cirugía o autopsia
   después de antibioticoterapia por 4 días o menos.
Endocarditis Infecciosa
             Criterios Diagnósticos de DURACK (DUKE)

                     CRITERIOS MAYORES


 Hemocultivo + para EI
   • microorganismo típico en dos hemocultivos separados
               StreptococcusViridans, bovis,HACEK
               Stafilococo aureus, enterovirus
   • Hemocultivo + persistentemente
               2 hemocultivos + con más de 12 horas
               3 o la mayoría de 4 o más con 1 hora separación
 Signos de afectación endocárdica
   • ECO + para EI(vegetación, absceso, dehiscencia)
   • Regurgitación valvular nueva
Endocarditis Infecciosa
    Criterios Diagnósticos de DURACK (DUKE)

               CRITERIOS MENORES


T Predisposición(afectación cardíaca previa)
T Fiebre>38ºC
T Fenómenos vasculares
          T Embolias, infarto pulmonar séptico, aneurisma micotico
          T Hemorragias intracraneales-conjutiv, lesiones de Janeway
T Fenómenos inmunitarios
               T Glomerulonefritis, nódulo de Osler
               T manchas de Roth, factor reumatoide
T Pruebas microbiológicas(sin ser criterio mayor)
Endocarditis Infecciosa
           Complicaciones

•   Embolias
•   Insuficiencia cardíaca
•   Abcesos miocárdicos perivalvulares
•   Embolización no septica
•   Infección metastásica
Tratamiento Profiláctico
TRATAMIENTO Y MANEJO
Endocarditis infecciosa
                    Tratamiento quirurgico


                                                        IC<II
IC III-IV
                               Insuficiencia
                               aórtica aguda     Tratamiento
Tratamiento                    severa            médico
médico


Respuesta     No respuesta        SUSTITUCION
                                  VALVULAR      Empeoramiento
                                  URGENTE

 Curso completo                                                 Estable

                                      Hongos
Sustitución valvular
según situación hemodinámica
Endocarditis infecciosa
                  INDICACIONES DE CIRUGIA

                                Otras
 Regurgitación valvular aguda no controlada rápidamente.

 Insuficiencia cardíaca secundaria a disfunción protésica.

 Sepsis persistente (>10 días) pese a antibioterapia correcta.

 Endocarditis por microorganismos difíciles:hongos,gram(-),estafilococo
  aureus.

 Abceso perivalvular o periprotésico o fístulas intracardíacas.

 Embolismos de repetición con persistencia de imágenes de vegetaciones
  grandes y móviles en ecocardiograma.
Factores De Mal Pronóstico

•   Mujer                  •   Diabetes mellitus
•   Stafilo. Aureus        •   Desnutrición
•   Vegetaciones grandes   •   Eventos embolicos
•   Válvula aortica        •   Absceso valvular
•   Válvula protésica      •   Insuficiencia cardiaca
•   Ancianos
BIBLIOGRAFÍAS
• Rev Esp Cardiol. 2009;62(12):1465.e1-.e54.

• Guidelines on Prevention, Diagnosis and Treatment of Infective
  Endocarditis, The Task Force on Infective Endocarditis of the
  European Society of Cardiology, European Heart Journal (2009) 30,
  2369–2413.

• Harrison, Principios de Medicina Interna, 16a edición. Ed. Mc Graw
  Hill.

• Cardiologia J.f guadalajara, 7a edicion, Ed mendez editores.

Endocarditis infecciosa

  • 1.
    UNIVERSIDAD AUTÓNOMA DECHIAPAS FACULTAD DE MEDICINA HUMANA DR. MANUEL VELASCO SUAREZ EXTENSIÓN TAPACHULA Endocarditis Infecciosa CARDIOLOGIA Dr. Juan huembés Solís LUIS ENRIQUE PEREZ CASTAÑEDA 7° 21/03/2013
  • 2.
    DEFINICION • La EI es una infección endovascular microbiana que afecta a estructuras intracardíacas en contacto con la sangre, y que incluye las infecciones de los grandes vasos intratorácicos y cuerpos extraños intracardíacos. • La lesión inicial característica consiste en una vegetación de tamaño variable, aunque también en fases iniciales puede identificarse mediante ecocardiografía destrucción tisular, úlceras o formación de abscesos. Guía de práctica clínica para prevención, diagnóstico y tratamiento de la endocarditis infecciosa (nueva versión 2009) Grupo de Trabajo de la Sociedad Europea de Cardiología (ESC) para Prevención,
  • 3.
    EPIDEMIOLOGÍA  3-10 episodios/100.000personas.  La proporción varones: mujeres es ≥ 2:1.  75% con enfermedad estructural cardiaca predisponente.  Asociada a procedimientos médicos y en ancianos.  33% es en forma aguda.  Afección de V. mitral 40%, aortica36%.
  • 4.
    PREVENCIÓN (EI) Enfermedad cardíaca en la que está indicada la profilaxis antimicrobiana. (FR). • Prótesis valvulares cardíacas. • Malformaciones cardíacas congénitas complejas y (a)cianóticas. • Endocarditis infecciosa previa. • Conductos sistémicos o pulmonares establecidos quirúrgicamente. • Enfermedades valvulares cardíacas adquiridas. • Prolapso de la válvula mitral con regurgitación valvular o engrosamiento valvular severo. • Miocardiopatía hipertrófica. • Valvulopatia reumatica. • Abuso de drogas IV.
  • 5.
    • Procedimientos diagnósticosy terapéuticos relacionados con el desarrollo de bacteriemia. • Broncoscopia (broncoscopio rígido) • cistoscopia durante la infección del tracto urinario • biopsia del tracto urinario/próstata • procedimientos dentales con riesgo de traumatismo • dilatación esofágica/escleroterapia • Instrumentación de conductos biliares obstruidos • resección transuretral de próstata • instrumentación/dilatación uretral • procedimientos ginecológicos en presencia de infección
  • 6.
    Clasificación y Definiciones(EI) • EI según la ubicación de la infección y la presencia o ausencia de material intracardiaco. • EI de válvula nativa. Aguda <2 semanas, Subaguda 5 semanas, Crónica 3 meses. • EI de válvula protésica (EVP). |– EVP precoz: < 1 año tras la cirugía de la válvula – EVP tardía: > 1 año tras la cirugía de la válvula • EI relacionada con dispositivos (marcapasos permanente o desfibrilador cardioversor).
  • 7.
    • EI SEGÚNEL MODO DE ADQUISICIÓN • EI asociada a la asistencia sanitaria – Nosocomial La EI se desarrolla en un paciente hospitalizado más de 48 h antes de la aparición de signos o síntomas que encajan con la EI. – No nosocomial Los signos y/o síntomas de la EI comienzan antes de 48 h después del ingreso en un paciente. • EI adquirida en la comunidad. • EI asociada al uso de drogas.
  • 8.
    • EI ACTIVA. - EI con fiebre persistente y hemocultivos positivos o Morfología inflamatoria activa descubierta en la cirugía o El paciente aún se encuentra en terapia antibiótica o Evidencia histopatológica de EI activa.
  • 9.
    • Recurrencia -Recaída- La repetición de episodios de EI causada por el mismo microorganismo menos de 6 meses después del episodio inicial -Reinfección. La repetición de episodios de EI causada por el mismo microorganismo más de 6 meses después del episodio inicial
  • 10.
    Microbiología 1. Endocarditis infecciosa 2. Endocarditis infecciosa con con hemocultivos hemocultivos negativos positivos debido a tratamiento • Estafilococos aureus antibiótico anterior • Estreptococos (viridians, bovis)DEXTRAN • Pctes con cuadro de sd febril • Enterococos reciben tto atb sin hemocultivos previos. Ésta es la categoría más importante, • Hemocultivos (-) varios dias Representa un 85% de toda la EI. despues de la suspension ATB.
  • 11.
    Endocarditis infecciosa frecuentementeasociada a Endocarditis infecciosa hemocultivos negativos asociada a • Estreptococos hemocultivos constantemente • Bacilos gramnegativos negativos exigentes del grupo HACEK H. paraphrophilus,H. influenzae, • Coxiella burnetii Actinobacillus actinomycetemcomitans, • Bartonella Cardiobacterium hominis, • Clamydia Eikenella corrodens, • Tropheryma whipplei Kingella kingae y K. denitrificans), Brucella y hongos, suelen ser la causa.
  • 12.
    Lesión endotelial por factores - Maniobras que hemodinámicos producen -traumáticos traumatismo de piel y/o mucosas:drogadicción Presencia de focoséptico inmunocomplejos Endocarditis infecciosa Bacteriemia Fisiopatología transitoria Depósito de fibrina Adherencia y Endocarditis trombótica colonización no bacteriana VEGETACION Destrucción SÉPTICA Bacteriemia valvular persistente Embolia pulmonar Inmunocomplejos o sistémica vasculitis Esplenomegalia Metastásis glomerulonefritis Aneurismas sépticas MANIFESTACIONES micóticos CARDÍACAS MANIFESTACIONES EXTRACARDÍACAS
  • 13.
    Velo Endocarditis Infecciosa valvular cicatrización Lesión endotelial Endocarditis infecciosa (vegetación) Agregación plaquetar fibrina colonización ETA/ETNB Bacteriemia
  • 14.
  • 15.
    Válvula aórtica demuestravegetación grande, rojiza, friable.
  • 16.
    Válvula aórtica convegetación rojiza, irregular en las cúspides de las valvas.
  • 18.
    DIAGNÓSTICO Habib G etal. Guía de práctica clínica para prevención, diagnóstico y tratamiento de la endocarditis infecciosa (nueva versión 2009)
  • 19.
    SÍNTOMAS • Aguda • Subaguda – Fiebre alta y escalofrios – Fiebre baja – Disnea – Anorexia – Artralgias/ mialgias – Baja de peso – Dolor abdominal – Astenia/ adinamia – Dolor pleuritico – Artralgias/ mialgias – Dolor Abdominal
  • 20.
    SIGNOS • Fiebre • Soplocardiaco • Signos no especificos – petequias, hemorragias subunguales, dedos en palillo tambor, esplenomegalia, deficit neurológicos. • Signos especificos – Nodulos de Osler, Lesiones de Janeway, and Manchas de Roth
  • 21.
    Endocarditis Infecciosa • Hemorragias en astilla • Nodulos de Osler • Lesiones de Janeway • Petequias (vasculitis y embolismo)
  • 22.
    Petequias dermatology.about.com/.../ blpetechiaephoto.htm Harden Library for the Health Sciences Photo credit, Josh Fierer, M.D. www.lib.uiowa.edu/ hardin/ medicine.ucsd.edu/clinicalimg/ Eye-Petechiae.html md/cdc/3184.html
  • 23.
  • 24.
    Nódulos de Osler AmericanCollege of Rheumatology webrheum.bham.ac.uk/.../ default/pages/3b5.htm www.meddean.luc.edu/.../ Hand10/Hand10dx.html
  • 25.
  • 26.
  • 27.
    Endocarditis infecciosa Manifestaciones clínicas • Oftalmológicas: – manchas de Roth • Pulmonares: – Edema pulmonar – Distres respiratorio – Infiltrados pulmonares(embolismo)
  • 28.
  • 29.
    Endocarditis infecciosa Manifestaciones clínicas • Neurológicas – Embolismo cerebral – Abceso cerebral – Aneurismas micóticos – Encefalopatía tóxica – Meningitis – Hemiplejia • Renales – Insuficiencia renal(glomerulonefritis focal embolica) – Embolismo renal(crisis HTA + hematuria macroscopica)
  • 30.
    Endocarditis infecciosa Datos de laboratorio • Hemocultivo • Hemograma – anemia normocitica y normocrómica – trombopenia – >VSG – leucocitosis(20%) – Factor reumatoideo (+ en 50%) – inmunocomplejos circulantes
  • 31.
    Hemocultivos – Minimo de 3 muestras. – Distintos sitios de punción. – Muestra de 10-20 ml sangre. • Resultado positivo – Microorganismo tipico en 2 muestras separadas – Cultivo persistentemente positivo (germen atípico)
  • 32.
    Examenes de laboratorio • Hemograma • PCR • Complemento (C3, C4) • Funcion renal • Ex Orina • Coagulacion
  • 33.
    Rx. Torax • Infiltrados pulmonares • Embolias sépticas • Congestión • Cardiomegalia • Calcificaciones valvulares
  • 34.
  • 35.
    ECG • Poco útil. • Isquemia. • Alteraciones de conducción (bloqueos AV). • Arritmias.
  • 36.
    Endocarditis infecciosa Ecocardiograma • Sensibilidad (60-70%) para vegetaciones • Aumenta con ETE • No detecta vegetaciones <2mm • Un estudio negativo no excluye • Util para indicar Tto. Quirurgico • Diagnóstico de complicaciones – Abceso perivalvular – Rotura de cuerda – Fístulas – Abceso miocárdico
  • 37.
    Ecocardiografía  Ecocardiograma Transtoracico(ETT) -Sensibilidad 46% y especificidad de 95% – Primera linea en sospecha de EI. – Mayor rendimiento en valvulas nativas – ETT no descarta EI. • Ecocardiograma Transesofágico (ETE) -Sensibilidad del 93% y especificidad del 96% – Mayor sensibilidad – Indicado v. protesicas – Complicaciones cardiacas – Dudoso ETT – Bacteremias por Hongos o S. aureus
  • 38.
    • Existen 3hallazgos ecocardiográficos que constituyen criterios mayores para el diagnóstico de la EI: a) una masa móvil y ecodensa unida al endocardio valvular o mural o a material protésico implantado. b) evidencia de abscesos o fístulas. c) la dehiscencia de una prótesis valvular de nueva aparición, especialmente si ocurre a largo plazo tras la implantación.
  • 42.
  • 43.
    DIAGNOSTICO CRITERIOS DE LAUNIVERSIDAD DE DUKE Definitiva: A. Criterios patológicos: - Microorganismo demostrado en el cultivo o la histología de la vegetación, en una embolia o absceso. - Lesiones patológicas: vegetación o absceso intracardíaco confirmado por histología. B. Criterios clínicos: 2 criterios mayores, uno mayor y 3 menores, ó 5 menores. Posible: Hallazgos sugestivos de EI que no cumplen criterios de definitiva o rechazada. Rechazada: • Explicación clara que excluya endocarditis infecciosa, o • Resolución del síndrome de endocarditis con antibioticoterapia por 4 días o menos. • No evidencia patológica de endocarditis infecciosa en cirugía o autopsia después de antibioticoterapia por 4 días o menos.
  • 44.
    Endocarditis Infecciosa Criterios Diagnósticos de DURACK (DUKE) CRITERIOS MAYORES  Hemocultivo + para EI • microorganismo típico en dos hemocultivos separados  StreptococcusViridans, bovis,HACEK  Stafilococo aureus, enterovirus • Hemocultivo + persistentemente  2 hemocultivos + con más de 12 horas  3 o la mayoría de 4 o más con 1 hora separación  Signos de afectación endocárdica • ECO + para EI(vegetación, absceso, dehiscencia) • Regurgitación valvular nueva
  • 45.
    Endocarditis Infecciosa Criterios Diagnósticos de DURACK (DUKE) CRITERIOS MENORES T Predisposición(afectación cardíaca previa) T Fiebre>38ºC T Fenómenos vasculares T Embolias, infarto pulmonar séptico, aneurisma micotico T Hemorragias intracraneales-conjutiv, lesiones de Janeway T Fenómenos inmunitarios T Glomerulonefritis, nódulo de Osler T manchas de Roth, factor reumatoide T Pruebas microbiológicas(sin ser criterio mayor)
  • 46.
    Endocarditis Infecciosa Complicaciones • Embolias • Insuficiencia cardíaca • Abcesos miocárdicos perivalvulares • Embolización no septica • Infección metastásica
  • 47.
  • 48.
  • 52.
    Endocarditis infecciosa Tratamiento quirurgico IC<II IC III-IV Insuficiencia aórtica aguda Tratamiento Tratamiento severa médico médico Respuesta No respuesta SUSTITUCION VALVULAR Empeoramiento URGENTE Curso completo Estable Hongos Sustitución valvular según situación hemodinámica
  • 53.
    Endocarditis infecciosa INDICACIONES DE CIRUGIA Otras  Regurgitación valvular aguda no controlada rápidamente.  Insuficiencia cardíaca secundaria a disfunción protésica.  Sepsis persistente (>10 días) pese a antibioterapia correcta.  Endocarditis por microorganismos difíciles:hongos,gram(-),estafilococo aureus.  Abceso perivalvular o periprotésico o fístulas intracardíacas.  Embolismos de repetición con persistencia de imágenes de vegetaciones grandes y móviles en ecocardiograma.
  • 54.
    Factores De MalPronóstico • Mujer • Diabetes mellitus • Stafilo. Aureus • Desnutrición • Vegetaciones grandes • Eventos embolicos • Válvula aortica • Absceso valvular • Válvula protésica • Insuficiencia cardiaca • Ancianos
  • 55.
    BIBLIOGRAFÍAS • Rev EspCardiol. 2009;62(12):1465.e1-.e54. • Guidelines on Prevention, Diagnosis and Treatment of Infective Endocarditis, The Task Force on Infective Endocarditis of the European Society of Cardiology, European Heart Journal (2009) 30, 2369–2413. • Harrison, Principios de Medicina Interna, 16a edición. Ed. Mc Graw Hill. • Cardiologia J.f guadalajara, 7a edicion, Ed mendez editores.