VASCULITISVASCULITIS
DEFINICIONDEFINICION
 LaLa vasculitis es un proceso anatomoclínico caracterizadovasculitis es un proceso anatomoclínico caracterizado
por inflamación y lesiónpor inflamación y lesión de los vasos sanguíneos.de los vasos sanguíneos.
 Suele haber afección de la luz vascular vinculadaSuele haber afección de la luz vascular vinculada
con isquemia de los tejidos que reciben su riegocon isquemia de los tejidos que reciben su riego
sanguíneo del vaso implicado.sanguíneo del vaso implicado.
 Tal proceso puede dar lugar a un amplio yTal proceso puede dar lugar a un amplio y
heterogéneo grupo de síndromes, porque esheterogéneo grupo de síndromes, porque es
capaz de afectar a los vasos de cualquier clase,capaz de afectar a los vasos de cualquier clase,
calibre y localización.calibre y localización.
Harrison. Medicina Interna 17 Edicion. Cap. 319. pag 2119
 Las vasculitis y sus consecuencias pueden ser laLas vasculitis y sus consecuencias pueden ser la
principal o la única manifestación de unaprincipal o la única manifestación de una
enfermedad; otras veces, la vasculitis constituyeenfermedad; otras veces, la vasculitis constituye
un fenómeno secundario a alguna enfermedadun fenómeno secundario a alguna enfermedad
primaria. Además, las vasculitis puedenprimaria. Además, las vasculitis pueden
circunscribirse a un solo órgano, como la piel, ocircunscribirse a un solo órgano, como la piel, o
afectar simultáneamente a variosafectar simultáneamente a varios órganos yórganos y
aparatos.aparatos.
Harrison. Medicina Interna 17 Edicion. Cap. 319. pag 2119
CLASIFICACIONCLASIFICACION
 DIVERSIDADDIVERSIDAD
 SUPERPOSICIONSUPERPOSICION
Firestein: Kelley's Textbook of Rheumatology, 8th ed.
Harrison. Medicina Interna 17 Edicion. Cap. 319. pag 2119
Mecanismos posibles de lesión vascular en los
síndromes vasculíticos
Formación o depósito de complejos inmunitarios patógenos
Púrpura de Henoch-Schönlein
Vasculitis vinculada a enfermedades vasculares de la colágena
Enfermedad del suero y síndromes de vasculitis cutánea
Crioglobulinemia mixta esencial vinculada a hepatitis C
Poliarteritis nudosa vinculada a hepatitis B
VASCULITISVASCULITIS
Fisiopatología y PatogeniaFisiopatología y Patogenia
Harrison 17Ed. Principios de Medicina Interna
Mecanismos posibles de lesión vascular en los
síndromes vasculíticos
Producción de anticuerpos anticitoplasma de neutrófilos
Granulomatosis de Wegener
Síndrome de Churg-Strauss
Poliangitis microscópica
Respuesta patógena de los linfocitos T y formación de granulomas
Arteritis de células gigantes
Arteritis de Takayasu
Granulomatosis de Wegener
Síndrome de Churg-Strauss
CLASIFICACIONCLASIFICACION
Firestein: Kelley's Textbook of Rheumatology, 8th ed.
ENFERMEDADES QUE PUEDEN SIMULAR UNAENFERMEDADES QUE PUEDEN SIMULAR UNA
VASCULITISVASCULITIS
Enfermedades infecciosas
Endocarditis bacteriana
Gonococia diseminada
Histoplasmosis pulmonar
Coccidioidomicosis
Sífilis
Enfermedad de Lyme
Fiebre moteada de las Montañas Rocosas
Enfermedad de Whipple
Toxicidad medicamentosa
Cocaína
Anfetaminas
Alcaloides del cornezuelo de centeno
Metisergida
Arsénico
Coagulopatías o microangiopatías
trombóticas
Síndrome de anticuerpos antifosfolípidos
Púrpura trombocitopénica trombótica
Sarcoidosis
Ateroembolias
Síndrome de Goodpasture
Amiloidosis
Jaqueca
Criofibrinogenemia
Neoplasias
Mixoma auricular
Linfoma
Carcinomatosis
Harrison 17Ed. Principios de Medicina InternaFirestein: Kelley's Textbook of Rheumatology, 8th ed.
grande Medio pequeno
claudicacion nodulos cutaneos Purpura
Asimmetria de presiones
arteriales
Ulceras Lesiones vsiculosas
Ausencia de pulsos Livedo reticularis Urticaria
Soplos vasculares gangrena digital Glomerulonefritis
Dilatacion aortica Mononeuritis multiple Hemorragia Alveolar
hipertension
renovascular
Microaneurismas Necrosis cutanea
Hipertension
Renovascular
micro hemorragias
Uveitis/episcleritis/esclerit
is
Firestein: Kelley's Textbook of Rheumatology, 8th ed.
Algoritmo de la conducta que se debe seguir en un paciente
diagnosticado de probable vasculitis.
GRANULOMATOSIS DEGRANULOMATOSIS DE
WEGENERWEGENER
La granulomatosis de Wegener
es una entidad anatomoclínica especial
caracterizada por una vasculitis granulomatosa
de las vías Respiratorias superiores e inferiores,
acompañada de glomerulonefritis.
Además, puede existir una vasculitis diseminada
de intensidad variable que afecta a las arterias
y venas de pequeño calibre.
Clinical Manifestations and Treatment of Wegener’s Granulomatosis
Julia U. Holle, MDa,*, Martin Laudien, MDb, Wolfgang L. Gross, MD, PhDa
INCIDENCIA Y PREVALENCIAINCIDENCIA Y PREVALENCIA
 La granulomatosis de Wegener es unaLa granulomatosis de Wegener es una
enfermedadenfermedad poco frecuente con prevalenciapoco frecuente con prevalencia
estimada de tres en 100 000.estimada de tres en 100 000.
 Es sumamente rara en la raza negra enEs sumamente rara en la raza negra en
comparación con la blanca; la proporcióncomparación con la blanca; la proporción
varón/mujer es de 1:1.varón/mujer es de 1:1.
 Puede observarse a cualquier edad; alrededor dePuede observarse a cualquier edad; alrededor de
15% de los pacientes tiene menos de 19 años, y15% de los pacientes tiene menos de 19 años, y
sólo rara vez aparece antes de la adolescencia; lasólo rara vez aparece antes de la adolescencia; la
edad promedio de aparición es de 40 años.edad promedio de aparición es de 40 años.
Clinical Manifestations and Treatment of Wegener’s Granulomatosis
Julia U. Holle, MDa,*, Martin Laudien, MDb, Wolfgang L. Gross, MD, PhDa
FISIOPATOLOGIA YFISIOPATOLOGIA Y
PATOGENIAPATOGENIA No están claros los fenómenos inmunitarios queNo están claros los fenómenos inmunitarios que
intervienen en la patogenia de esta enfermedad,intervienen en la patogenia de esta enfermedad,
aunque la afección de las vías respiratoriasaunque la afección de las vías respiratorias
superiores sugiere una reacción desuperiores sugiere una reacción de
hipersensibilidad anómala a algún antígenohipersensibilidad anómala a algún antígeno
exógeno, e incluso endógeno, que penetraría oexógeno, e incluso endógeno, que penetraría o
residiría en las vías respiratorias altas.residiría en las vías respiratorias altas.
 Un gran porcentaje de pacientes desarrollaUn gran porcentaje de pacientes desarrolla
ANCA, autoanticuerpos que quizá participen enANCA, autoanticuerpos que quizá participen en
la patogenia de la enfermedadla patogenia de la enfermedad
Clinical Manifestations and Treatment of Wegener’s Granulomatosis
Julia U. Holle, MDa,*, Martin Laudien, MDb, Wolfgang L. Gross, MD, PhDa
n engl j med 352;4 .january27, 2005
FISIOPATOLOGIA YFISIOPATOLOGIA Y
PATOGENIAPATOGENIA
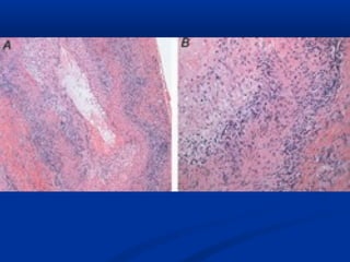
 Esta zona de necrosisEsta zona de necrosis
regional tiene un borderegional tiene un borde
serpiginoso deserpiginoso de
histiocitos y célulashistiocitos y células
gigantes que rodeangigantes que rodean
una zona necróticauna zona necrótica
central.central.
 La vasculitis tambiénLa vasculitis también
se presenta conse presenta con
neutrófilos y linfocitosneutrófilos y linfocitos
que infiltran la paredque infiltran la pared
de una arteriolade una arteriola
MANIFESTACIONESMANIFESTACIONES
CLINICASCLINICAS
TRIADA CLASICATRIADA CLASICA
RENALRENAL VIAS AEREASVIAS AEREAS
SUPERIORESSUPERIORES
VIAS AEREASVIAS AEREAS
INFERIORESINFERIORES
n engl j med 363;2 nejm.org july 8, 2010
n engl j med 363;2 nejm.org july 8, 2010
n engl j med 363;2 nejm.org july 8, 2010
DIAGNOSTICODIAGNOSTICO
El diagnóstico de granulomatosis
de Wegener se establece al demostrar
una vasculitis granulomatosa
necrosante en la pieza de biopsia
de un paciente con un cuadro clínico
compatible.
Firestein: Kelley's Textbook of Rheumatology, 8th ed.
LABORATORIOLABORATORIO
 Tasa de eritrosedimentaciónTasa de eritrosedimentación intensamente alta.intensamente alta.
 anemia ligera con leucocitosis.anemia ligera con leucocitosis.
 hipergammaglobulinemia discreta (especialmentehipergammaglobulinemia discreta (especialmente
de la IgA) y un título un poco alto de factorde la IgA) y un título un poco alto de factor
reumatoide.reumatoide.
 PuedePuede haber trombocitosis como reactivo dehaber trombocitosis como reactivo de
fase aguda.fase aguda.
 Cerca de 90% de losCerca de 90% de los pacientes conpacientes con
granulomatosis activa de Wegener poseengranulomatosis activa de Wegener poseen
ANCA antiproteinasa 3.ANCA antiproteinasa 3.
Clinical Manifestations and Treatment of Wegener’s Granulomatosis
Julia U. Holle, MDa,*, Martin Laudien, MDb, Wolfgang L. Gross, MD, PhDa
RX DE TORAX/ HEMORRAGIA ALVEOLAR DIFUSARX DE TORAX/ HEMORRAGIA ALVEOLAR DIFUSA
TACTAC
El paciente presentaba múltiples infiltrados bilaterales cavitados.
TRATAMIENTOTRATAMIENTO
ENFERMEDAD GRAVEENFERMEDAD GRAVE
 CICLOFOSFAMIDACICLOFOSFAMIDA
2 mg/kg/día, por vía oral, acompañada de:2 mg/kg/día, por vía oral, acompañada de:
 GLUCOCRTICOIDESGLUCOCRTICOIDES
Prednisona 1mg/Kg día por un mes.Prednisona 1mg/Kg día por un mes.
Posteriormente reducción gradual de la dosis.Posteriormente reducción gradual de la dosis.
ALGUNOS AUTORES RECOMIENDAN EL USO DEALGUNOS AUTORES RECOMIENDAN EL USO DE
CICLOFOSFAMIDA IV MENSUALMENTECICLOFOSFAMIDA IV MENSUALMENTE
( 1 Gr/ mt)( 1 Gr/ mt)
Clinical Manifestations and Treatment of Wegener’s Granulomatosis
Julia U. Holle, MDa,*, Martin Laudien, MDb, Wolfgang L. Gross, MD, PhDa
 UNA VES SE ALCANCE LA REMISION SEUNA VES SE ALCANCE LA REMISION SE
RECOMIENDA:RECOMIENDA:
 METOTREXATO ( 0.3 MG/Kg C/SEM.METOTREXATO ( 0.3 MG/Kg C/SEM.
MAX. 15 Mg) o AZATIOPRINA, EN DOSISMAX. 15 Mg) o AZATIOPRINA, EN DOSIS
DEDE 2 M G / K G / D Í A.2 M G / K G / D Í A.
Micofenolato de Mofetilo, en dosificación de 1 000 mg
dos veces por día, también mantiene la remisión después de
la inducción con ciclofosfamida en algunos pacientes.
Clinical Manifestations and Treatment of Wegener’s Granulomatosis
Julia U. Holle, MDa,*, Martin Laudien, MDb, Wolfgang L. Gross, MD, PhDa
 TRATAMIENTO CON AGENTESTRATAMIENTO CON AGENTES
BIOLÓGICOS.BIOLÓGICOS.
 El etanercept.El etanercept.
 Se han comunicado resultados preliminaresSe han comunicado resultados preliminares
favorables con el empleo de rituximab (anti-favorables con el empleo de rituximab (anti-
 CD20).CD20).
INDUCCION DE METROTEXATO EN ENFERMEDAD NO GRAVEINDUCCION DE METROTEXATO EN ENFERMEDAD NO GRAVE
TRIMETROPIM SULFAMETOXAZOLTRIMETROPIM SULFAMETOXAZOL
Clinical Manifestations and Treatment of Wegener’s Granulomatosis
Julia U. Holle, MDa,*, Martin Laudien, MDb, Wolfgang L. Gross, MD, PhDa
SÍNDROME DESÍNDROME DE
CHURG-STRAUSSCHURG-STRAUSS
DEFINICIONDEFINICION
El síndrome de Churg-Strauss, llamado también
angitis y granulomatosis alérgicas, fue descubierto
en 1951 por Churg y Strauss. Se caracteriza por la
presencia de asma, eosinofilia hística y periférica,
formación de granulomas extravasculares y
vasculitis de varios órganos y sistemas.
Clinical Manifestations and Treatment of Churg-Strauss
Syndrome Chiara Baldini, MD, PhD, Rosaria Talarico, MD, PhD,
Alessandra Della Rossa, MD, PhD, Stefano Bombardieri, MD*
FRECUENCIA Y P R E V A L E N C IFRECUENCIA Y P R E V A L E N C I
A .A .
 El síndrome de Churg-Strauss es unaEl síndrome de Churg-Strauss es una
enfermedadenfermedad rara con una frecuencia anualrara con una frecuencia anual
aproximada de uno a tres por millón deaproximada de uno a tres por millón de
habitantes.habitantes.
 Puede ocurrir a cualquier edad, con la posiblePuede ocurrir a cualquier edad, con la posible
excepción de los lactantes.excepción de los lactantes.
 La edad promedio de inicio es de 48 años y esLa edad promedio de inicio es de 48 años y es
más frecuente en mujeres que en varones conmás frecuente en mujeres que en varones con
una relación de 1.2:1.una relación de 1.2:1.Clinical Manifestations and Treatment of Churg-Strauss
Syndrome Chiara Baldini, MD, PhD, Rosaria Talarico, MD, PhD,
Alessandra Della Rossa, MD, PhD, Stefano Bombardieri, MD*
P A T O L O G Í A Y P A T O G E N I AP A T O L O G Í A Y P A T O G E N I A
LA VASCULITIS NECROSANTE DEL SÍNDROME DE CHURG-
STRAUSS ABARCA A LAS ARTERIAS MUSCULARES
DE PEQUEÑO Y MEDIANO CALIBRES, CAPILARES, VENAS
Y VÉNULAS
Clinical Manifestations and Treatment of Churg-Strauss
Syndrome Chiara Baldini, MD, PhD, Rosaria Talarico, MD, PhD,
Alessandra Della Rossa, MD, PhD, Stefano Bombardieri, MD*
CARATERISTICA:CARATERISTICA:
 Formación de reacciones granulomatosas en losFormación de reacciones granulomatosas en los
tejidos o incluso dentro de las paredestejidos o incluso dentro de las paredes
vasculares.vasculares.
 Infiltración hística de eosinófilos.Infiltración hística de eosinófilos.
 Ocurre en cualquier órgano del cuerpo, conOcurre en cualquier órgano del cuerpo, con
mayor predilección por los pulmones, seguidosmayor predilección por los pulmones, seguidos
de piel, aparato cardiovascular, ríñones, sistemade piel, aparato cardiovascular, ríñones, sistema
nervioso periférico y aparato digestivo.nervioso periférico y aparato digestivo.
 Patogenia desconocidaPatogenia desconocida
Clinical Manifestations and Treatment of Churg-Strauss
Syndrome Chiara Baldini, MD, PhD, Rosaria Talarico, MD, PhD,
Alessandra Della Rossa, MD, PhD, Stefano Bombardieri, MD*
CUADRO CLINICOCUADRO CLINICO
 A menudo presentan sintomas inespecificos.A menudo presentan sintomas inespecificos.
 En el cuadro clínico destacan los datosEn el cuadro clínico destacan los datos
pulmonares, con crisis asmáticas intensas epulmonares, con crisis asmáticas intensas e
infiltrados pulmonares.infiltrados pulmonares.
 La segunda manifestación más común es laLa segunda manifestación más común es la
mononeuritis múltiple, que ocurre hasta en 72%mononeuritis múltiple, que ocurre hasta en 72%
de los casos.de los casos.
 Hasta en 61% se observan rinitis y sinusitisHasta en 61% se observan rinitis y sinusitis
alérgicaalérgica
Clinical Manifestations and Treatment of Churg-Strauss
Syndrome Chiara Baldini, MD, PhD, Rosaria Talarico, MD, PhD,
Alessandra Della Rossa, MD, PhD, Stefano Bombardieri, MD*
 14% de los pacientes14% de los pacientes conlleva cardiopatíaconlleva cardiopatía
reconocible, que es causa importante dereconocible, que es causa importante de
mortalidad.mortalidad.
 En alrededor de 51% de los casos hay tambiénEn alrededor de 51% de los casos hay también
lesiones cutáneas, como púrpura y nodulos tantolesiones cutáneas, como púrpura y nodulos tanto
cutáneos como subcutáneos.cutáneos como subcutáneos.
 Las lesiones renales en el síndrome de Churg-Las lesiones renales en el síndrome de Churg-
Strauss son menos frecuentes y agresivas que enStrauss son menos frecuentes y agresivas que en
otras vasculitis.otras vasculitis.Clinical Manifestations and Treatment of Churg-Strauss
Syndrome Chiara Baldini, MD, PhD, Rosaria Talarico, MD, PhD,
Alessandra Della Rossa, MD, PhD, Stefano Bombardieri, MD*
DIAGNÓSTICODIAGNÓSTICO
 Para establecer el diagnóstico, el paciente debePara establecer el diagnóstico, el paciente debe
tener datos de asma, eosinofilia en la sangretener datos de asma, eosinofilia en la sangre
periférica y un cuadro clínico compatible conperiférica y un cuadro clínico compatible con
vasculitis.vasculitis.
EL MEJOR MÉTODO PARA ESTABLECER EL DIAGNÓSTICO
DE SÍNDROMEDE CHURG-STRAUSS ES LA BIOPSIA EN EL
PACIENTE CON UN CUADRO CLÍNICO CARACTERÍSTICO
Clinical Manifestations and Treatment of Churg-Strauss
Syndrome Chiara Baldini, MD, PhD, Rosaria Talarico, MD, PhD,
Alessandra Della Rossa, MD, PhD, Stefano Bombardieri, MD*
LABORATORIOLABORATORIO
 Eosinofilia pronunciada, que alcanza hasta másEosinofilia pronunciada, que alcanza hasta más
de 1 000 células/pl en más de 80% de losde 1 000 células/pl en más de 80% de los
pacientes.pacientes.
 Inflamación, que se traduce por ESR acelerada,Inflamación, que se traduce por ESR acelerada,
aumento del fibrinógeno o de las globulinas a.aumento del fibrinógeno o de las globulinas a.
 48% de los pacientes48% de los pacientes con síndrome de Churg-con síndrome de Churg-
Strauss posee ANCA circulante, casi siempreStrauss posee ANCA circulante, casi siempre
antimieloperoxidasa.antimieloperoxidasa.
Clinical Manifestations and Treatment of Churg-Strauss
Syndrome Chiara Baldini, MD, PhD, Rosaria Talarico, MD, PhD,
Alessandra Della Rossa, MD, PhD, Stefano Bombardieri, MD*
TRATAMIENTOTRATAMIENTO
EL TRATAMIENTO PREFERENTE ES UN ESQUEMA
COMBINADO DE CICLOFOSFAMIDA Y PREDNISONA
En muchos pacientes los glucocorticoides
aislados son eficaces.
Clinical Manifestations and Treatment of Churg-Strauss
Syndrome Chiara Baldini, MD, PhD, Rosaria Talarico, MD, PhD,
Alessandra Della Rossa, MD, PhD, Stefano Bombardieri, MD*
PANARTERITISPANARTERITIS
NUDOSANUDOSA
DEFINICIONDEFINICION
D e f i n i c i ó n . La panarteritis nudosa (PAN),
llamada también PAN clásica, fue descrita por
primera vez en 1866 por Kussmaul y Maier
Es una vasculitis necrosante extensa de las
arterias musculares de pequeño y mediano calibre
que se caracteriza por la participación de las
arterias renales y viscerales. No se extiende hasta
las arterias pulmonares, aunque en ocasiones
afecta a los vasos bronquiales; no se observan
granulomas, eosinofilia importante ni
diátesis alérgica.
Firestein: Kelley's Textbook of Rheumatology, 8th ed.
P A T O L O G Í A Y P A T O G E N I AP A T O L O G Í A Y P A T O G E N I A
 La lesión vascular en la panarteritis nudosaLa lesión vascular en la panarteritis nudosa
es la inflamación necrosante de las arteriases la inflamación necrosante de las arterias
musculares de pequeño y mediano calibres.musculares de pequeño y mediano calibres.
 Algunas veces se extienden de maneraAlgunas veces se extienden de manera
circunferencial hasta abarcar a las venascircunferencial hasta abarcar a las venas
adyacentes.adyacentes.
 Durante la fase aguda de la enfermedad,Durante la fase aguda de la enfermedad,
aparecen neutrófilos polimorfonuclearesaparecen neutrófilos polimorfonucleares
infiltrando las paredes vasculares.infiltrando las paredes vasculares.
Firestein: Kelley's Textbook of Rheumatology, 8th ed.
 Conforme las lesiones evolucionanConforme las lesiones evolucionan hacia lashacia las
fases subaguda y crónica, la zona es infiltradafases subaguda y crónica, la zona es infiltrada
por mononucleares.por mononucleares.
 A continuación los vasos sufren necrosisA continuación los vasos sufren necrosis
fibrinoide, con reducción de la luz, trombosis,fibrinoide, con reducción de la luz, trombosis,
infarto de los tejidos irrigados por el vasoinfarto de los tejidos irrigados por el vaso
enfermo y, en algunosenfermo y, en algunos casos, hemorragia.casos, hemorragia.
 patología del riñon en la panarteritis nudosapatología del riñon en la panarteritis nudosa
clásica es la declásica es la de una arteritis sin glomerulonefritis.una arteritis sin glomerulonefritis.
 FenómenosFenómenos inmunitarios se han asociado en lainmunitarios se han asociado en la
patogenia de esta enfermedad.patogenia de esta enfermedad.
Firestein: Kelley's Textbook of Rheumatology, 8th ed.
Firestein: Kelley's Textbook of
Rheumatology, 8th ed.
LABORATORIOLABORATORIO
 No existen pruebas serológicas para diagnosticarNo existen pruebas serológicas para diagnosticar
esta enfermedad.esta enfermedad.
 En másEn más de 75% de los casos existe leucocitosisde 75% de los casos existe leucocitosis
con predominio de neutrófilos.con predominio de neutrófilos.
 anemia por ser una enfermedad crónica y la tasaanemia por ser una enfermedad crónica y la tasa
de eritrosedimentación casi siempre estáde eritrosedimentación casi siempre está
aumentada.aumentada.
 hipergammaglobulinemia y hasta en 30% de loshipergammaglobulinemia y hasta en 30% de los
pacientes la prueba depacientes la prueba de antígenos de superficie deantígenos de superficie de
hepatitis B es positiva.hepatitis B es positiva.
Firestein: Kelley's Textbook of Rheumatology, 8th ed.
DIAGNOSTICODIAGNOSTICO
Demostrar los datos característicos de
vasculitis en la biopsia de los órganos
afectados.
TRATAMIENTOTRATAMIENTO
ENFERMEDAD GRAVE ESQUEMA
COMBINADO DE CICLOFOSFAMIDA Y PREDNISONA
En muchos pacientes los glucocorticoides
aislados son eficaces.
PAN por virus de hepatitis B con tratamiento
antirretrovírico combinado con
glucocorticoides y plasmaféresis.
POLIANGITISPOLIANGITIS
MICROSCÓPICAMICROSCÓPICA
DEFINICIONDEFINICION
En 1992, la Chapel Hill ConsensusConference
on the Nomenclature of Systemic Vasculitis
adoptó el término poliangitis microscópica
para referirse a una vasculitis necrosante
con escasos complejos inmunitarios que afecta
a los vasos de pequeño calibre (capilares,
vénulas o arteriolas). Esta enfermedad suele
acompañarse de glomerulonefritis
y capilaritis pulmonar.
Harrison. Medicina Interna 17 Edicion. Cap. 319. pag 2119
 La edad promedio de inicio es de casi 57 años yLa edad promedio de inicio es de casi 57 años y
es un poco más frecuente en varones que enes un poco más frecuente en varones que en
mujeres.mujeres.
Harrison. Medicina Interna 17 Edicion. Cap. 319. pag 2119
PATOLOGÍA Y PATOGENIAPATOLOGÍA Y PATOGENIA
 La lesión vascular en la poliangitis microscópicaLa lesión vascular en la poliangitis microscópica
es similar desde el punto de vista histológico a laes similar desde el punto de vista histológico a la
de la PAN.de la PAN.
 La tinción inmunohistoquímica revela escasez deLa tinción inmunohistoquímica revela escasez de
depósitos de inmunoglobulinadepósitos de inmunoglobulina en la lesiónen la lesión
vascularvascular
Harrison. Medicina Interna 17 Edicion. Cap. 319. pag 2119
CUADRO CLÍNICOCUADRO CLÍNICO
 Por su predilección por los vasos pequeñosPor su predilección por los vasos pequeños,,
la poliangitis microscópica y la granulomatosisla poliangitis microscópica y la granulomatosis
de Wegener compartende Wegener comparten un cuadro clínicoun cuadro clínico
similar.similar.
 La enfermedad con frecuencia se inicia deLa enfermedad con frecuencia se inicia de
manera gradual con fiebre, pérdida de peso ymanera gradual con fiebre, pérdida de peso y
dolor musculoesquelético.dolor musculoesquelético.
 79% de los casos79% de los casos conlleva glomerulonefritis queconlleva glomerulonefritis que
suele ser de rápido avance, produciendosuele ser de rápido avance, produciendo
insuficienciainsuficiencia renal.renal.
 En ocasiones la hemoptisis constituye el primerEn ocasiones la hemoptisis constituye el primer
síntoma de una hemorragia alveolar, que tienesíntoma de una hemorragia alveolar, que tiene
una frecuencia de 12% de los casos.una frecuencia de 12% de los casos.
 OtrasOtras manifestaciones son mononeuritismanifestaciones son mononeuritis
múltiplemúltiple y vasculitis digestiva y cutánea.y vasculitis digestiva y cutánea.
Harrison. Medicina Interna 17 Edicion. Cap. 319. pag 2119
LABORATORIOLABORATORIO
 EritrosedimentaciónEritrosedimentación alta,alta,
 Anemia, leucocitosis y trombocitosis.Anemia, leucocitosis y trombocitosis.
 En 75% de los pacientes aparecen ANCA enEn 75% de los pacientes aparecen ANCA en
los pacientes con poliangitis microscópica ylos pacientes con poliangitis microscópica y
predominanpredominan los anticuerposlos anticuerpos
antimieloperoxidasa.antimieloperoxidasa.
Harrison. Medicina Interna 17 Edicion. Cap. 319. pag 2119
DIAGNÓSTICODIAGNÓSTICO
El diagnóstico se establece al encontrarEl diagnóstico se establece al encontrar
datos histológicos dedatos histológicos de vasculitis ovasculitis o
glomerulonefritis pausiinmunitaria en unglomerulonefritis pausiinmunitaria en un
paciente con un cuadro clínico compatiblepaciente con un cuadro clínico compatible
TRATAMIENTOTRATAMIENTO
 La supervivencia a cinco años para losLa supervivencia a cinco años para los
pacientes con poliangitis microscópica es depacientes con poliangitis microscópica es de
74%74%
 La muerte es producida por hemorragiaLa muerte es producida por hemorragia
alveolar o trastornos digestivos, cardiacos oalveolar o trastornos digestivos, cardiacos o
renales.renales.
 la información sobre el tratamiento de lala información sobre el tratamiento de la
poliangitispoliangitis microscópica es muy limitada.microscópica es muy limitada.
ARTERITIS DEARTERITIS DE
CÉLULASCÉLULAS
GIGANTES YGIGANTES Y
POLIMIALGIAPOLIMIALGIA
REUMÁTICAREUMÁTICA
DEFINICIONDEFINICION
LLamada arteritis craneal oLLamada arteritis craneal o
arteritis temporal, es la inflamación de lasarteritis temporal, es la inflamación de las
arterias de mediano y gran calibres.arterias de mediano y gran calibres. SeSe
extiende de manera característica hasta unaextiende de manera característica hasta una
o más ramas de la arteria carótida,o más ramas de la arteria carótida,
especialmente la arteria temporal. Sinespecialmente la arteria temporal. Sin
embargo, es una enfermedad multiorgánicaembargo, es una enfermedad multiorgánica
que afecta arterias en múltiples sitios, sobreque afecta arterias en múltiples sitios, sobre
todo la aorta y sustodo la aorta y sus principales ramas.principales ramas.
FRECUENCIA Y P R E V A L E N C I AFRECUENCIA Y P R E V A L E N C I A
 La arteritis de células gigantes es casi exclusivaLa arteritis de células gigantes es casi exclusiva
de personas mayores de 50 años de edad.de personas mayores de 50 años de edad.
 Es más frecuente en mujeres que en varones yEs más frecuente en mujeres que en varones y
es muy rara en las personas de raza negra.es muy rara en las personas de raza negra.
 Los índices de frecuencia anual en personas deLos índices de frecuencia anual en personas de
50 años o más varían de 6.9 a 32.8 por 100 00050 años o más varían de 6.9 a 32.8 por 100 000
habitantes.habitantes.
 Se ha descrito acumulación de casos en unaSe ha descrito acumulación de casos en una
misma familia, así como su vinculación genetica.misma familia, así como su vinculación genetica.
FISIOPATOLOGIAFISIOPATOLOGIA
Celula gigante multinucleadaCelula gigante multinucleada
Firestein: Kelley's Textbook of Rheumatology, 8th ed.
Firestein: Kelley's Textbook of Rheumatology, 8th ed.
MANIFESTACIONESMANIFESTACIONES
CLINICASCLINICAS
La arteritis de células gigantes se caracteriza
clínicamente por el complejo consistente en
fiebre, anemia, tasa de eritrosedimentación
elevada y cefaleas en un paciente de más de
50 años de edad.
Symptom Frequency (%)
Cefalea 76
Perdida de peso 43
Fiebre 42
Fatiga 39
Algun sintoma visual 37
Anorexia 35
claudicacion 34
Polimialgia reumatica 34
Artralgia 30
Ceguera unilateral 24
Ceguera bilateral 15
Vertigo 11
Diplopia 9
Modified from Smetana GW, Shmerling RH: Does this patient have temporal arteritis? JAMA 287:92, 2002.
LABORATORIOLABORATORIO
 VES aumentada.VES aumentada.
 anemia normocrómica oanemia normocrómica o
ligeramente hipocrómica,ligeramente hipocrómica,
 Alteraciones de laAlteraciones de la
función hepática.función hepática.
 Se ha señalado aumentoSe ha señalado aumento
de IgG y delde IgG y del
complemento.complemento.
TRATAMIENTOTRATAMIENTO
 El tratamiento comienza con prednisona, de 40El tratamiento comienza con prednisona, de 40
a 60 mg/día durante casi un mes, seguida de sua 60 mg/día durante casi un mes, seguida de su
reducción gradual.reducción gradual.
 La tasa de eritrosedimentación constituye unLa tasa de eritrosedimentación constituye un
indicador útil de la actividad inflamatoria paraindicador útil de la actividad inflamatoria para
supervisar y reducir el tratamiento.supervisar y reducir el tratamiento.
 ácido acetilsalicílico disminuye la presentación deácido acetilsalicílico disminuye la presentación de
complicacionescomplicaciones isquémicas cefálicasisquémicas cefálicas
 No se recomienda el uso de metrotexatoNo se recomienda el uso de metrotexato
ARTERITIS DEARTERITIS DE
TAKAYASUTAKAYASU
DEFINICIONDEFINICION
La arteritis de Takayasu es una enfermedad
inflamatoria y estenosante de las arterias de
mediano y grueso calibres que muestra gran
predilección por el cayado aórtico y sus
ramas. Por este motivo se suele conocer
como síndrome del cayado aórtico.
Rheum Dis Clin N Am 33 (2007) 777–786
PATOGENIAPATOGENIA
 El proceso consiste en una panarteritis conEl proceso consiste en una panarteritis con
infiltrados inflamatorios por mononucleares y,infiltrados inflamatorios por mononucleares y,
en ocasiones, con células gigantes.en ocasiones, con células gigantes.
 Hay intensa proliferación y fibrosis de la íntima,Hay intensa proliferación y fibrosis de la íntima,
cicatrización y vascularización de la media, ycicatrización y vascularización de la media, y
rotura y degeneración de la lámina elástica.rotura y degeneración de la lámina elástica.
 La luz del vaso sufre un estrechamientoLa luz del vaso sufre un estrechamiento
acompañado o no de trombosis.acompañado o no de trombosis.
Rheum Dis Clin N Am 33 (2007) 777–786
MANIFESTACIONES CLINICASMANIFESTACIONES CLINICAS
 Las mujeres se afectan 10 veces más que los hombresLas mujeres se afectan 10 veces más que los hombres
 La enfermedad comúnmente se presenta en la 2ª. Y 3ª. Década deLa enfermedad comúnmente se presenta en la 2ª. Y 3ª. Década de
la vida. (Media de inicio 25 años)la vida. (Media de inicio 25 años)
 Aunque la enfermedad es más frecuente en asiáticos, existe unaAunque la enfermedad es más frecuente en asiáticos, existe una
distribución mundial de la enfermedad, afectando a todas las razasdistribución mundial de la enfermedad, afectando a todas las razas
y etnias.y etnias.
 Incidencia 2.6 / 1,000,000 personas (USA), 1.26 (Europa), 1/3000Incidencia 2.6 / 1,000,000 personas (USA), 1.26 (Europa), 1/3000
autopsias en Japón.autopsias en Japón.
 Un paciente tiene arteritis de Takayasu si al menos 3 de los 6 criteriosUn paciente tiene arteritis de Takayasu si al menos 3 de los 6 criterios
están presentes. La presencia de 3 o más criterios presentan unaestán presentes. La presencia de 3 o más criterios presentan una
sensibilidad del 90.5% y una especificidad del 97.8%.sensibilidad del 90.5% y una especificidad del 97.8%.
Criterios de Ishikawa para ArteritisCriterios de Ishikawa para Arteritis
de Takayasude Takayasu
 Tres criterios mayores:Tres criterios mayores:
 Lesión de la porción media de la arteria subclavia izquierda: La estenosis másLesión de la porción media de la arteria subclavia izquierda: La estenosis más
severa u oclusión presente en la porción media desde el punto 1 cm proximalsevera u oclusión presente en la porción media desde el punto 1 cm proximal
de la arteria vertebral o a 3 cm distal del orificio determinado por angiografía.de la arteria vertebral o a 3 cm distal del orificio determinado por angiografía.
 Lesión de la porción media de la arteria subclavia derecha: La estenosis másLesión de la porción media de la arteria subclavia derecha: La estenosis más
severa u oclusión presente en la porción media desde el orificio de la arteriasevera u oclusión presente en la porción media desde el orificio de la arteria
vertebral derecha al punto 3 cm distal del orificio determinado por angiografíavertebral derecha al punto 3 cm distal del orificio determinado por angiografía
 Signos y síntomas característicos de al menos 1 mes de duración: Esto incluyeSignos y síntomas característicos de al menos 1 mes de duración: Esto incluye
claudicación de miembros, abolición de pulsos o diferencia de pulsos enclaudicación de miembros, abolición de pulsos o diferencia de pulsos en
miembros, una diferencia de presión arterial significativa (> 10 mmHg demiembros, una diferencia de presión arterial significativa (> 10 mmHg de
diferencia en la presión arterial sistólica en miembros), fiebre, dolor de cuello,diferencia en la presión arterial sistólica en miembros), fiebre, dolor de cuello,
amaurosis transitoria, visión borrosa, sincope, disnea o palpitacionesamaurosis transitoria, visión borrosa, sincope, disnea o palpitaciones..
Diez criterios menoresDiez criterios menores
 Elevación de la VSG: Elevación persistente inexplicada de laElevación de la VSG: Elevación persistente inexplicada de la
velocidad de sedimentación globular ESG >20 mm/hvelocidad de sedimentación globular ESG >20 mm/h
(Westergren) en el diagnóstico o presencia de evidencia en la(Westergren) en el diagnóstico o presencia de evidencia en la
historia del paciente.historia del paciente.
 Pulso carotídeo débil: Debilidad del pulso unilateral o bilateralPulso carotídeo débil: Debilidad del pulso unilateral o bilateral
a la palpación. La debilidad del músculo del cuello esa la palpación. La debilidad del músculo del cuello es
inaceptable.inaceptable.
 Hipertensión: Persistencia de una presión arterial braquial >Hipertensión: Persistencia de una presión arterial braquial >
140/90 mmHg o > 160/90 mmHg poplitea.140/90 mmHg o > 160/90 mmHg poplitea.
 Regurgitación aórtica o ectasia anuloaórtica: RegurgitaciónRegurgitación aórtica o ectasia anuloaórtica: Regurgitación
aórtica por auscultación o ecocardiografía Doppler oaórtica por auscultación o ecocardiografía Doppler o
angiografía; o ectasia anuloaórtica por angiografía oangiografía; o ectasia anuloaórtica por angiografía o
ecocardiografía bidimensionalecocardiografía bidimensional
 Lesión en arteria pulmonar: Oclusión arterial lobar,Lesión en arteria pulmonar: Oclusión arterial lobar,
segmentaria o equivalente, determinado por angiografía,segmentaria o equivalente, determinado por angiografía,
gammagrafía de perfusión, o presencia de estenosis,gammagrafía de perfusión, o presencia de estenosis,
aneurisma, irregularidad luminal o cualquier combinaciónaneurisma, irregularidad luminal o cualquier combinación
determinada por angiografía en el tronco de la arteriadeterminada por angiografía en el tronco de la arteria
pulmonar o en las arterias pulmonares uni o bilateral.pulmonar o en las arterias pulmonares uni o bilateral.
 Lesión de la porción media de la carótida comúnLesión de la porción media de la carótida común
izquierda: Presencia de estenosis severa u oclusión en laizquierda: Presencia de estenosis severa u oclusión en la
porción media, de 5 cm de longitud y a 2 cm distal a suporción media, de 5 cm de longitud y a 2 cm distal a su
orificio determinado por angiografía.orificio determinado por angiografía.
 Lesión distal del tronco braquiocefálico:. Presencia deLesión distal del tronco braquiocefálico:. Presencia de
severa estenosis u oclusión del 1/3 distal determinadosevera estenosis u oclusión del 1/3 distal determinado
por angiografía.por angiografía.
Lesión de la aorta torácica descendente: Estrechamiento,Lesión de la aorta torácica descendente: Estrechamiento,
dilatación o aneurisma, o irregularidad del lumen o cualquierdilatación o aneurisma, o irregularidad del lumen o cualquier
combinación de aneurismas, determinado por angiografía; lacombinación de aneurismas, determinado por angiografía; la
tortuosidad aislada no se acepta.tortuosidad aislada no se acepta.
Lesión de la aorta abdominal: Estrechamiento, dilatación oLesión de la aorta abdominal: Estrechamiento, dilatación o
aneurisma, o irregularidad del lumen o combinación deaneurisma, o irregularidad del lumen o combinación de
aneurismas.aneurismas.
Lesión de arterias coronarias: Documentadas enLesión de arterias coronarias: Documentadas en
angiografía antes de los 30 años de edad en ausencia deangiografía antes de los 30 años de edad en ausencia de
factores de riesgo como hiperlipidemia o diabetes mellitusfactores de riesgo como hiperlipidemia o diabetes mellitus
 La presencia de 2 criterios mayores o 1 criterioLa presencia de 2 criterios mayores o 1 criterio
mayor y 2 menores sugieren alta probabilidad demayor y 2 menores sugieren alta probabilidad de
arteritis de Takayasuarteritis de Takayasu
LABORATORIOLABORATORIO
 VES altaVES alta
 Anemia ligera yAnemia ligera y
 NivelesNiveles altos de inmunoglobulinas.altos de inmunoglobulinas.
Rheum Dis Clin N Am 33 (2007) 777–786
DIAGNOSTICODIAGNOSTICO
 El diagnóstico debe sospecharse en una mujerEl diagnóstico debe sospecharse en una mujer
joven que presenta disminución o desapariciónjoven que presenta disminución o desaparición
de las pulsaciones arteriales, desigualdad de lade las pulsaciones arteriales, desigualdad de la
presión arterial y soplos arteriales.presión arterial y soplos arteriales.
 El diagnóstico se confirma por los signosEl diagnóstico se confirma por los signos
característicos de la arteriografía, comocaracterísticos de la arteriografía, como
irregularidad de las paredes vasculares, estenosis,irregularidad de las paredes vasculares, estenosis,
dilataciones posestenóticas, formación dedilataciones posestenóticas, formación de
aneurismas, oclusiones y aumento de circulaciónaneurismas, oclusiones y aumento de circulación
colateral.colateral.
Rheum Dis Clin N Am 33 (2007) 777–786
TRATAMIENTOTRATAMIENTO
 Los glucocorticoides, a razón de 40 a 60 mg deLos glucocorticoides, a razón de 40 a 60 mg de
prednisona por día, reducen los síntomas peroprednisona por día, reducen los síntomas pero
no existen estudios convincentes comprobandono existen estudios convincentes comprobando
que aumenten la supervivencia.que aumenten la supervivencia.
 metotrexato en dosis de hasta 25 mg por semanametotrexato en dosis de hasta 25 mg por semana
ha producidoha producido resultados alentadores. (casosresultados alentadores. (casos
refractarios)refractarios)
 Cirugia, AngioplastiaCirugia, Angioplastia
Harrison. Medicina Interna 17 Edicion. Cap. 319. pag 2119
PÚRPURA DEPÚRPURA DE
HENOCH-HENOCH-
SCHÓNLEINSCHÓNLEIN
DEFINICIÓNDEFINICIÓN
La púrpura de Henoch-Schónlein, también
denominada púrpura anafilactoide, es un
cuadro de vasculitis generalizada singular
que se caracteriza por la presencia de
púrpura palpable (distribuida
principalmente en las nalgas y los miembros
inferiores), artralgias, signos y síntomas
gastrointestinales y glomerulonefritis. Afecta
vasos de pequeño calibre.
Harrison. Medicina Interna 17 Edicion. Cap. 319. pag 2119
INCIDENCIA Y P R E V A L E N C I AINCIDENCIA Y P R E V A L E N C I A
 Se suele observarSe suele observar en niños; la mayoría de losen niños; la mayoría de los
pacientes tiene de cuatro a siete años, peropacientes tiene de cuatro a siete años, pero
también puede verse en lactantes y adultos.también puede verse en lactantes y adultos.
 La proporción varón-mujer es de 1.5:1.La proporción varón-mujer es de 1.5:1.
 Se han registrado variaciones estacionales,Se han registrado variaciones estacionales,
siendo máxima su incidencia en la primavera.siendo máxima su incidencia en la primavera.
Harrison. Medicina Interna 17 Edicion. Cap. 319. pag 2119
FISIOPATOLOGIA YFISIOPATOLOGIA Y
PATOGENIAPATOGENIA
 El supuesto mecanismo patógeno de la púrpuraEl supuesto mecanismo patógeno de la púrpura
de Henoch-Schónlein es el depósito dede Henoch-Schónlein es el depósito de
complejos inmunitarios.complejos inmunitarios.
 Los anticuerpos que con mayor frecuenciaLos anticuerpos que con mayor frecuencia
forman parte de los complejos inmunitariosforman parte de los complejos inmunitarios
pertenecen a la clase IgA, cuya presencia se hapertenecen a la clase IgA, cuya presencia se ha
demostrado también en las biopsias renales dedemostrado también en las biopsias renales de
estos pacientes.estos pacientes.
Harrison. Medicina Interna 17 Edicion. Cap. 319. pag 2119
MANIFESTACIONESMANIFESTACIONES
CLINICASCLINICAS
 púrpura palpable se observa en casi todos lospúrpura palpable se observa en casi todos los
pacientes; la mayoría desarrollapacientes; la mayoría desarrolla en ausencia deen ausencia de
artritis franca.artritis franca.
 Trastornos digestivosTrastornos digestivos
 Entre 10 y 50% de los pacientesEntre 10 y 50% de los pacientes padecenpadecen
lesiones renaleslesiones renales
Rheum Dis Clin N Am 33 (2007) 777–786
LABORATORIOLABORATORIO
 Leucocitosis ligera,Leucocitosis ligera,
 Cifra normal de plaquetas y, en ocasiones,Cifra normal de plaquetas y, en ocasiones,
eosinofilia.eosinofilia.
 Los factores del complemento en el suero sonLos factores del complemento en el suero son
normales, y en cerca de 50% de los pacientes lanormales, y en cerca de 50% de los pacientes la
IgA está elevada.IgA está elevada.
DIAGNOSTICODIAGNOSTICO
 El diagnóstico de púrpura de Henoch-SchonleinEl diagnóstico de púrpura de Henoch-Schonlein
se basa en los signos y síntomas clínicos.se basa en los signos y síntomas clínicos.
 La biopsia cutánea es de utilidad para confirmarLa biopsia cutánea es de utilidad para confirmar
una vasculitis leucocitoclástica con depósito deuna vasculitis leucocitoclástica con depósito de
IgA y C3 en el estudio conIgA y C3 en el estudio con inmunofluorescencia.inmunofluorescencia.
 Rara vez se necesita biopsia renal para elRara vez se necesita biopsia renal para el
diagnóstico,diagnóstico, pero a veces proporcionapero a veces proporciona
información de gran utilidad.información de gran utilidad.
TRATAMIENTOTRATAMIENTO
 La mayoría deLa mayoría de los pacientes se recuperalos pacientes se recupera
completamente y algunos no necesitancompletamente y algunos no necesitan
tratamiento.tratamiento.
 Cuando se necesitan glucocorticoides se utilizaCuando se necesitan glucocorticoides se utiliza
prednisona en dosis de 1 mg/kg de peso/día,prednisona en dosis de 1 mg/kg de peso/día,
que se reduce gradualmente según la respuestaque se reduce gradualmente según la respuesta
clínica; se ha demostrado que es útil para reducirclínica; se ha demostrado que es útil para reducir
el edema histico, las artralgias y el dolorel edema histico, las artralgias y el dolor
abdominal.abdominal.
Harrison. Medicina Interna 17 Edicion. Cap. 319. pag 2119
VASCULITISVASCULITIS
CUTANEACUTANEA
IDIOPATICAIDIOPATICA
DEFINICIONDEFINICION
 El términoEl término vasculitis cutánea se refiere a lavasculitis cutánea se refiere a la
inflamación de los vasosinflamación de los vasos sanguíneos de lasanguíneos de la
dermis. A causa de su heterogenicidad, estedermis. A causa de su heterogenicidad, este
trastorno se ha descrito con una gran variedadtrastorno se ha descrito con una gran variedad
de términos, comode términos, como vasculitis por hipersensibilidadvasculitis por hipersensibilidad yy
angitis leucocitoclástica cutánea. No obstante, laangitis leucocitoclástica cutánea. No obstante, la
vasculitis cutánea novasculitis cutánea no es una enfermedad específicaes una enfermedad específica
sino una manifestación que se puede observarensino una manifestación que se puede observaren
gran variedad de circunstanciasgran variedad de circunstancias
Harrison. Medicina Interna 17 Edicion. Cap. 319. pag 2119
FISIOPATOLOGIAFISIOPATOLOGIA
 La característica histopatológica clásica de laLa característica histopatológica clásica de la
vasculitis cutánea es la presencia de vasculitis envasculitis cutánea es la presencia de vasculitis en
los vasos pequeños.los vasos pequeños.
 Los vasos más afectados son las vénulasLos vasos más afectados son las vénulas
poscapilares; con menos frecuencia aparece enposcapilares; con menos frecuencia aparece en
los capilares y arteriolas.los capilares y arteriolas.
 Esta vasculitis se caracteriza por unaEsta vasculitis se caracteriza por una
leucocitoclasia,leucocitoclasia, término que se refiere a los restostérmino que se refiere a los restos
nucleares que quedan de los neutrófilos que hannucleares que quedan de los neutrófilos que han
infiltrado a los vasos durante la fase aguda.infiltrado a los vasos durante la fase aguda.
Harrison. Medicina Interna 17 Edicion. Cap. 319. pag 2119
DIAGNOSTICODIAGNOSTICO
El sello distintivo de la vasculitis cutánea
idiopática es el predominio de las lesiones
cutáneas.
 El diagnóstico de vasculitis cutánea se estableceEl diagnóstico de vasculitis cutánea se establece
al observar vasculitis en la biopsia. Un principioal observar vasculitis en la biopsia. Un principio
importante para el diagnóstico en losimportante para el diagnóstico en los
 pacientes con vasculitis cutánea es buscar lapacientes con vasculitis cutánea es buscar la
causa del problemacausa del problema
Harrison. Medicina Interna 17 Edicion. Cap. 319. pag 2119
NEJM . Volumen 337 Nùmero 21November 20, 1997
NEJM . Volumen 337 Nùmero 21November 20, 1997
GRACIASGRACIAS

Vasculitis

  • 1.
  • 2.
    DEFINICIONDEFINICION  LaLa vasculitises un proceso anatomoclínico caracterizadovasculitis es un proceso anatomoclínico caracterizado por inflamación y lesiónpor inflamación y lesión de los vasos sanguíneos.de los vasos sanguíneos.  Suele haber afección de la luz vascular vinculadaSuele haber afección de la luz vascular vinculada con isquemia de los tejidos que reciben su riegocon isquemia de los tejidos que reciben su riego sanguíneo del vaso implicado.sanguíneo del vaso implicado.  Tal proceso puede dar lugar a un amplio yTal proceso puede dar lugar a un amplio y heterogéneo grupo de síndromes, porque esheterogéneo grupo de síndromes, porque es capaz de afectar a los vasos de cualquier clase,capaz de afectar a los vasos de cualquier clase, calibre y localización.calibre y localización. Harrison. Medicina Interna 17 Edicion. Cap. 319. pag 2119
  • 3.
     Las vasculitisy sus consecuencias pueden ser laLas vasculitis y sus consecuencias pueden ser la principal o la única manifestación de unaprincipal o la única manifestación de una enfermedad; otras veces, la vasculitis constituyeenfermedad; otras veces, la vasculitis constituye un fenómeno secundario a alguna enfermedadun fenómeno secundario a alguna enfermedad primaria. Además, las vasculitis puedenprimaria. Además, las vasculitis pueden circunscribirse a un solo órgano, como la piel, ocircunscribirse a un solo órgano, como la piel, o afectar simultáneamente a variosafectar simultáneamente a varios órganos yórganos y aparatos.aparatos. Harrison. Medicina Interna 17 Edicion. Cap. 319. pag 2119
  • 4.
  • 6.
    Harrison. Medicina Interna17 Edicion. Cap. 319. pag 2119
  • 7.
    Mecanismos posibles delesión vascular en los síndromes vasculíticos Formación o depósito de complejos inmunitarios patógenos Púrpura de Henoch-Schönlein Vasculitis vinculada a enfermedades vasculares de la colágena Enfermedad del suero y síndromes de vasculitis cutánea Crioglobulinemia mixta esencial vinculada a hepatitis C Poliarteritis nudosa vinculada a hepatitis B VASCULITISVASCULITIS Fisiopatología y PatogeniaFisiopatología y Patogenia Harrison 17Ed. Principios de Medicina Interna
  • 8.
    Mecanismos posibles delesión vascular en los síndromes vasculíticos Producción de anticuerpos anticitoplasma de neutrófilos Granulomatosis de Wegener Síndrome de Churg-Strauss Poliangitis microscópica Respuesta patógena de los linfocitos T y formación de granulomas Arteritis de células gigantes Arteritis de Takayasu Granulomatosis de Wegener Síndrome de Churg-Strauss
  • 9.
  • 10.
    Firestein: Kelley's Textbookof Rheumatology, 8th ed.
  • 11.
    ENFERMEDADES QUE PUEDENSIMULAR UNAENFERMEDADES QUE PUEDEN SIMULAR UNA VASCULITISVASCULITIS Enfermedades infecciosas Endocarditis bacteriana Gonococia diseminada Histoplasmosis pulmonar Coccidioidomicosis Sífilis Enfermedad de Lyme Fiebre moteada de las Montañas Rocosas Enfermedad de Whipple Toxicidad medicamentosa Cocaína Anfetaminas Alcaloides del cornezuelo de centeno Metisergida Arsénico Coagulopatías o microangiopatías trombóticas Síndrome de anticuerpos antifosfolípidos Púrpura trombocitopénica trombótica Sarcoidosis Ateroembolias Síndrome de Goodpasture Amiloidosis Jaqueca Criofibrinogenemia Neoplasias Mixoma auricular Linfoma Carcinomatosis Harrison 17Ed. Principios de Medicina InternaFirestein: Kelley's Textbook of Rheumatology, 8th ed.
  • 12.
    grande Medio pequeno claudicacionnodulos cutaneos Purpura Asimmetria de presiones arteriales Ulceras Lesiones vsiculosas Ausencia de pulsos Livedo reticularis Urticaria Soplos vasculares gangrena digital Glomerulonefritis Dilatacion aortica Mononeuritis multiple Hemorragia Alveolar hipertension renovascular Microaneurismas Necrosis cutanea Hipertension Renovascular micro hemorragias Uveitis/episcleritis/esclerit is Firestein: Kelley's Textbook of Rheumatology, 8th ed.
  • 13.
    Algoritmo de laconducta que se debe seguir en un paciente diagnosticado de probable vasculitis.
  • 14.
    GRANULOMATOSIS DEGRANULOMATOSIS DE WEGENERWEGENER Lagranulomatosis de Wegener es una entidad anatomoclínica especial caracterizada por una vasculitis granulomatosa de las vías Respiratorias superiores e inferiores, acompañada de glomerulonefritis. Además, puede existir una vasculitis diseminada de intensidad variable que afecta a las arterias y venas de pequeño calibre. Clinical Manifestations and Treatment of Wegener’s Granulomatosis Julia U. Holle, MDa,*, Martin Laudien, MDb, Wolfgang L. Gross, MD, PhDa
  • 15.
    INCIDENCIA Y PREVALENCIAINCIDENCIAY PREVALENCIA  La granulomatosis de Wegener es unaLa granulomatosis de Wegener es una enfermedadenfermedad poco frecuente con prevalenciapoco frecuente con prevalencia estimada de tres en 100 000.estimada de tres en 100 000.  Es sumamente rara en la raza negra enEs sumamente rara en la raza negra en comparación con la blanca; la proporcióncomparación con la blanca; la proporción varón/mujer es de 1:1.varón/mujer es de 1:1.  Puede observarse a cualquier edad; alrededor dePuede observarse a cualquier edad; alrededor de 15% de los pacientes tiene menos de 19 años, y15% de los pacientes tiene menos de 19 años, y sólo rara vez aparece antes de la adolescencia; lasólo rara vez aparece antes de la adolescencia; la edad promedio de aparición es de 40 años.edad promedio de aparición es de 40 años. Clinical Manifestations and Treatment of Wegener’s Granulomatosis Julia U. Holle, MDa,*, Martin Laudien, MDb, Wolfgang L. Gross, MD, PhDa
  • 16.
    FISIOPATOLOGIA YFISIOPATOLOGIA Y PATOGENIAPATOGENIANo están claros los fenómenos inmunitarios queNo están claros los fenómenos inmunitarios que intervienen en la patogenia de esta enfermedad,intervienen en la patogenia de esta enfermedad, aunque la afección de las vías respiratoriasaunque la afección de las vías respiratorias superiores sugiere una reacción desuperiores sugiere una reacción de hipersensibilidad anómala a algún antígenohipersensibilidad anómala a algún antígeno exógeno, e incluso endógeno, que penetraría oexógeno, e incluso endógeno, que penetraría o residiría en las vías respiratorias altas.residiría en las vías respiratorias altas.  Un gran porcentaje de pacientes desarrollaUn gran porcentaje de pacientes desarrolla ANCA, autoanticuerpos que quizá participen enANCA, autoanticuerpos que quizá participen en la patogenia de la enfermedadla patogenia de la enfermedad Clinical Manifestations and Treatment of Wegener’s Granulomatosis Julia U. Holle, MDa,*, Martin Laudien, MDb, Wolfgang L. Gross, MD, PhDa
  • 17.
    n engl jmed 352;4 .january27, 2005
  • 18.
    FISIOPATOLOGIA YFISIOPATOLOGIA Y PATOGENIAPATOGENIA Esta zona de necrosisEsta zona de necrosis regional tiene un borderegional tiene un borde serpiginoso deserpiginoso de histiocitos y célulashistiocitos y células gigantes que rodeangigantes que rodean una zona necróticauna zona necrótica central.central.  La vasculitis tambiénLa vasculitis también se presenta conse presenta con neutrófilos y linfocitosneutrófilos y linfocitos que infiltran la paredque infiltran la pared de una arteriolade una arteriola
  • 19.
  • 20.
    TRIADA CLASICATRIADA CLASICA RENALRENALVIAS AEREASVIAS AEREAS SUPERIORESSUPERIORES VIAS AEREASVIAS AEREAS INFERIORESINFERIORES n engl j med 363;2 nejm.org july 8, 2010
  • 23.
    n engl jmed 363;2 nejm.org july 8, 2010
  • 24.
    n engl jmed 363;2 nejm.org july 8, 2010
  • 25.
  • 27.
    El diagnóstico degranulomatosis de Wegener se establece al demostrar una vasculitis granulomatosa necrosante en la pieza de biopsia de un paciente con un cuadro clínico compatible. Firestein: Kelley's Textbook of Rheumatology, 8th ed.
  • 28.
    LABORATORIOLABORATORIO  Tasa deeritrosedimentaciónTasa de eritrosedimentación intensamente alta.intensamente alta.  anemia ligera con leucocitosis.anemia ligera con leucocitosis.  hipergammaglobulinemia discreta (especialmentehipergammaglobulinemia discreta (especialmente de la IgA) y un título un poco alto de factorde la IgA) y un título un poco alto de factor reumatoide.reumatoide.  PuedePuede haber trombocitosis como reactivo dehaber trombocitosis como reactivo de fase aguda.fase aguda.  Cerca de 90% de losCerca de 90% de los pacientes conpacientes con granulomatosis activa de Wegener poseengranulomatosis activa de Wegener poseen ANCA antiproteinasa 3.ANCA antiproteinasa 3. Clinical Manifestations and Treatment of Wegener’s Granulomatosis Julia U. Holle, MDa,*, Martin Laudien, MDb, Wolfgang L. Gross, MD, PhDa
  • 29.
    RX DE TORAX/HEMORRAGIA ALVEOLAR DIFUSARX DE TORAX/ HEMORRAGIA ALVEOLAR DIFUSA
  • 30.
    TACTAC El paciente presentabamúltiples infiltrados bilaterales cavitados.
  • 31.
  • 32.
    ENFERMEDAD GRAVEENFERMEDAD GRAVE CICLOFOSFAMIDACICLOFOSFAMIDA 2 mg/kg/día, por vía oral, acompañada de:2 mg/kg/día, por vía oral, acompañada de:  GLUCOCRTICOIDESGLUCOCRTICOIDES Prednisona 1mg/Kg día por un mes.Prednisona 1mg/Kg día por un mes. Posteriormente reducción gradual de la dosis.Posteriormente reducción gradual de la dosis. ALGUNOS AUTORES RECOMIENDAN EL USO DEALGUNOS AUTORES RECOMIENDAN EL USO DE CICLOFOSFAMIDA IV MENSUALMENTECICLOFOSFAMIDA IV MENSUALMENTE ( 1 Gr/ mt)( 1 Gr/ mt) Clinical Manifestations and Treatment of Wegener’s Granulomatosis Julia U. Holle, MDa,*, Martin Laudien, MDb, Wolfgang L. Gross, MD, PhDa
  • 33.
     UNA VESSE ALCANCE LA REMISION SEUNA VES SE ALCANCE LA REMISION SE RECOMIENDA:RECOMIENDA:  METOTREXATO ( 0.3 MG/Kg C/SEM.METOTREXATO ( 0.3 MG/Kg C/SEM. MAX. 15 Mg) o AZATIOPRINA, EN DOSISMAX. 15 Mg) o AZATIOPRINA, EN DOSIS DEDE 2 M G / K G / D Í A.2 M G / K G / D Í A. Micofenolato de Mofetilo, en dosificación de 1 000 mg dos veces por día, también mantiene la remisión después de la inducción con ciclofosfamida en algunos pacientes. Clinical Manifestations and Treatment of Wegener’s Granulomatosis Julia U. Holle, MDa,*, Martin Laudien, MDb, Wolfgang L. Gross, MD, PhDa
  • 34.
     TRATAMIENTO CONAGENTESTRATAMIENTO CON AGENTES BIOLÓGICOS.BIOLÓGICOS.  El etanercept.El etanercept.  Se han comunicado resultados preliminaresSe han comunicado resultados preliminares favorables con el empleo de rituximab (anti-favorables con el empleo de rituximab (anti-  CD20).CD20). INDUCCION DE METROTEXATO EN ENFERMEDAD NO GRAVEINDUCCION DE METROTEXATO EN ENFERMEDAD NO GRAVE TRIMETROPIM SULFAMETOXAZOLTRIMETROPIM SULFAMETOXAZOL Clinical Manifestations and Treatment of Wegener’s Granulomatosis Julia U. Holle, MDa,*, Martin Laudien, MDb, Wolfgang L. Gross, MD, PhDa
  • 35.
  • 36.
    DEFINICIONDEFINICION El síndrome deChurg-Strauss, llamado también angitis y granulomatosis alérgicas, fue descubierto en 1951 por Churg y Strauss. Se caracteriza por la presencia de asma, eosinofilia hística y periférica, formación de granulomas extravasculares y vasculitis de varios órganos y sistemas. Clinical Manifestations and Treatment of Churg-Strauss Syndrome Chiara Baldini, MD, PhD, Rosaria Talarico, MD, PhD, Alessandra Della Rossa, MD, PhD, Stefano Bombardieri, MD*
  • 37.
    FRECUENCIA Y PR E V A L E N C IFRECUENCIA Y P R E V A L E N C I A .A .  El síndrome de Churg-Strauss es unaEl síndrome de Churg-Strauss es una enfermedadenfermedad rara con una frecuencia anualrara con una frecuencia anual aproximada de uno a tres por millón deaproximada de uno a tres por millón de habitantes.habitantes.  Puede ocurrir a cualquier edad, con la posiblePuede ocurrir a cualquier edad, con la posible excepción de los lactantes.excepción de los lactantes.  La edad promedio de inicio es de 48 años y esLa edad promedio de inicio es de 48 años y es más frecuente en mujeres que en varones conmás frecuente en mujeres que en varones con una relación de 1.2:1.una relación de 1.2:1.Clinical Manifestations and Treatment of Churg-Strauss Syndrome Chiara Baldini, MD, PhD, Rosaria Talarico, MD, PhD, Alessandra Della Rossa, MD, PhD, Stefano Bombardieri, MD*
  • 38.
    P A TO L O G Í A Y P A T O G E N I AP A T O L O G Í A Y P A T O G E N I A LA VASCULITIS NECROSANTE DEL SÍNDROME DE CHURG- STRAUSS ABARCA A LAS ARTERIAS MUSCULARES DE PEQUEÑO Y MEDIANO CALIBRES, CAPILARES, VENAS Y VÉNULAS Clinical Manifestations and Treatment of Churg-Strauss Syndrome Chiara Baldini, MD, PhD, Rosaria Talarico, MD, PhD, Alessandra Della Rossa, MD, PhD, Stefano Bombardieri, MD*
  • 39.
    CARATERISTICA:CARATERISTICA:  Formación dereacciones granulomatosas en losFormación de reacciones granulomatosas en los tejidos o incluso dentro de las paredestejidos o incluso dentro de las paredes vasculares.vasculares.  Infiltración hística de eosinófilos.Infiltración hística de eosinófilos.  Ocurre en cualquier órgano del cuerpo, conOcurre en cualquier órgano del cuerpo, con mayor predilección por los pulmones, seguidosmayor predilección por los pulmones, seguidos de piel, aparato cardiovascular, ríñones, sistemade piel, aparato cardiovascular, ríñones, sistema nervioso periférico y aparato digestivo.nervioso periférico y aparato digestivo.  Patogenia desconocidaPatogenia desconocida Clinical Manifestations and Treatment of Churg-Strauss Syndrome Chiara Baldini, MD, PhD, Rosaria Talarico, MD, PhD, Alessandra Della Rossa, MD, PhD, Stefano Bombardieri, MD*
  • 40.
    CUADRO CLINICOCUADRO CLINICO A menudo presentan sintomas inespecificos.A menudo presentan sintomas inespecificos.  En el cuadro clínico destacan los datosEn el cuadro clínico destacan los datos pulmonares, con crisis asmáticas intensas epulmonares, con crisis asmáticas intensas e infiltrados pulmonares.infiltrados pulmonares.  La segunda manifestación más común es laLa segunda manifestación más común es la mononeuritis múltiple, que ocurre hasta en 72%mononeuritis múltiple, que ocurre hasta en 72% de los casos.de los casos.  Hasta en 61% se observan rinitis y sinusitisHasta en 61% se observan rinitis y sinusitis alérgicaalérgica Clinical Manifestations and Treatment of Churg-Strauss Syndrome Chiara Baldini, MD, PhD, Rosaria Talarico, MD, PhD, Alessandra Della Rossa, MD, PhD, Stefano Bombardieri, MD*
  • 41.
     14% delos pacientes14% de los pacientes conlleva cardiopatíaconlleva cardiopatía reconocible, que es causa importante dereconocible, que es causa importante de mortalidad.mortalidad.  En alrededor de 51% de los casos hay tambiénEn alrededor de 51% de los casos hay también lesiones cutáneas, como púrpura y nodulos tantolesiones cutáneas, como púrpura y nodulos tanto cutáneos como subcutáneos.cutáneos como subcutáneos.  Las lesiones renales en el síndrome de Churg-Las lesiones renales en el síndrome de Churg- Strauss son menos frecuentes y agresivas que enStrauss son menos frecuentes y agresivas que en otras vasculitis.otras vasculitis.Clinical Manifestations and Treatment of Churg-Strauss Syndrome Chiara Baldini, MD, PhD, Rosaria Talarico, MD, PhD, Alessandra Della Rossa, MD, PhD, Stefano Bombardieri, MD*
  • 42.
    DIAGNÓSTICODIAGNÓSTICO  Para establecerel diagnóstico, el paciente debePara establecer el diagnóstico, el paciente debe tener datos de asma, eosinofilia en la sangretener datos de asma, eosinofilia en la sangre periférica y un cuadro clínico compatible conperiférica y un cuadro clínico compatible con vasculitis.vasculitis. EL MEJOR MÉTODO PARA ESTABLECER EL DIAGNÓSTICO DE SÍNDROMEDE CHURG-STRAUSS ES LA BIOPSIA EN EL PACIENTE CON UN CUADRO CLÍNICO CARACTERÍSTICO Clinical Manifestations and Treatment of Churg-Strauss Syndrome Chiara Baldini, MD, PhD, Rosaria Talarico, MD, PhD, Alessandra Della Rossa, MD, PhD, Stefano Bombardieri, MD*
  • 43.
    LABORATORIOLABORATORIO  Eosinofilia pronunciada,que alcanza hasta másEosinofilia pronunciada, que alcanza hasta más de 1 000 células/pl en más de 80% de losde 1 000 células/pl en más de 80% de los pacientes.pacientes.  Inflamación, que se traduce por ESR acelerada,Inflamación, que se traduce por ESR acelerada, aumento del fibrinógeno o de las globulinas a.aumento del fibrinógeno o de las globulinas a.  48% de los pacientes48% de los pacientes con síndrome de Churg-con síndrome de Churg- Strauss posee ANCA circulante, casi siempreStrauss posee ANCA circulante, casi siempre antimieloperoxidasa.antimieloperoxidasa. Clinical Manifestations and Treatment of Churg-Strauss Syndrome Chiara Baldini, MD, PhD, Rosaria Talarico, MD, PhD, Alessandra Della Rossa, MD, PhD, Stefano Bombardieri, MD*
  • 44.
    TRATAMIENTOTRATAMIENTO EL TRATAMIENTO PREFERENTEES UN ESQUEMA COMBINADO DE CICLOFOSFAMIDA Y PREDNISONA En muchos pacientes los glucocorticoides aislados son eficaces. Clinical Manifestations and Treatment of Churg-Strauss Syndrome Chiara Baldini, MD, PhD, Rosaria Talarico, MD, PhD, Alessandra Della Rossa, MD, PhD, Stefano Bombardieri, MD*
  • 45.
  • 46.
    DEFINICIONDEFINICION D e fi n i c i ó n . La panarteritis nudosa (PAN), llamada también PAN clásica, fue descrita por primera vez en 1866 por Kussmaul y Maier Es una vasculitis necrosante extensa de las arterias musculares de pequeño y mediano calibre que se caracteriza por la participación de las arterias renales y viscerales. No se extiende hasta las arterias pulmonares, aunque en ocasiones afecta a los vasos bronquiales; no se observan granulomas, eosinofilia importante ni diátesis alérgica. Firestein: Kelley's Textbook of Rheumatology, 8th ed.
  • 47.
    P A TO L O G Í A Y P A T O G E N I AP A T O L O G Í A Y P A T O G E N I A  La lesión vascular en la panarteritis nudosaLa lesión vascular en la panarteritis nudosa es la inflamación necrosante de las arteriases la inflamación necrosante de las arterias musculares de pequeño y mediano calibres.musculares de pequeño y mediano calibres.  Algunas veces se extienden de maneraAlgunas veces se extienden de manera circunferencial hasta abarcar a las venascircunferencial hasta abarcar a las venas adyacentes.adyacentes.  Durante la fase aguda de la enfermedad,Durante la fase aguda de la enfermedad, aparecen neutrófilos polimorfonuclearesaparecen neutrófilos polimorfonucleares infiltrando las paredes vasculares.infiltrando las paredes vasculares. Firestein: Kelley's Textbook of Rheumatology, 8th ed.
  • 48.
     Conforme laslesiones evolucionanConforme las lesiones evolucionan hacia lashacia las fases subaguda y crónica, la zona es infiltradafases subaguda y crónica, la zona es infiltrada por mononucleares.por mononucleares.  A continuación los vasos sufren necrosisA continuación los vasos sufren necrosis fibrinoide, con reducción de la luz, trombosis,fibrinoide, con reducción de la luz, trombosis, infarto de los tejidos irrigados por el vasoinfarto de los tejidos irrigados por el vaso enfermo y, en algunosenfermo y, en algunos casos, hemorragia.casos, hemorragia.  patología del riñon en la panarteritis nudosapatología del riñon en la panarteritis nudosa clásica es la declásica es la de una arteritis sin glomerulonefritis.una arteritis sin glomerulonefritis.  FenómenosFenómenos inmunitarios se han asociado en lainmunitarios se han asociado en la patogenia de esta enfermedad.patogenia de esta enfermedad. Firestein: Kelley's Textbook of Rheumatology, 8th ed.
  • 49.
    Firestein: Kelley's Textbookof Rheumatology, 8th ed.
  • 52.
    LABORATORIOLABORATORIO  No existenpruebas serológicas para diagnosticarNo existen pruebas serológicas para diagnosticar esta enfermedad.esta enfermedad.  En másEn más de 75% de los casos existe leucocitosisde 75% de los casos existe leucocitosis con predominio de neutrófilos.con predominio de neutrófilos.  anemia por ser una enfermedad crónica y la tasaanemia por ser una enfermedad crónica y la tasa de eritrosedimentación casi siempre estáde eritrosedimentación casi siempre está aumentada.aumentada.  hipergammaglobulinemia y hasta en 30% de loshipergammaglobulinemia y hasta en 30% de los pacientes la prueba depacientes la prueba de antígenos de superficie deantígenos de superficie de hepatitis B es positiva.hepatitis B es positiva. Firestein: Kelley's Textbook of Rheumatology, 8th ed.
  • 53.
    DIAGNOSTICODIAGNOSTICO Demostrar los datoscaracterísticos de vasculitis en la biopsia de los órganos afectados.
  • 55.
    TRATAMIENTOTRATAMIENTO ENFERMEDAD GRAVE ESQUEMA COMBINADODE CICLOFOSFAMIDA Y PREDNISONA En muchos pacientes los glucocorticoides aislados son eficaces. PAN por virus de hepatitis B con tratamiento antirretrovírico combinado con glucocorticoides y plasmaféresis.
  • 56.
  • 57.
    DEFINICIONDEFINICION En 1992, laChapel Hill ConsensusConference on the Nomenclature of Systemic Vasculitis adoptó el término poliangitis microscópica para referirse a una vasculitis necrosante con escasos complejos inmunitarios que afecta a los vasos de pequeño calibre (capilares, vénulas o arteriolas). Esta enfermedad suele acompañarse de glomerulonefritis y capilaritis pulmonar. Harrison. Medicina Interna 17 Edicion. Cap. 319. pag 2119
  • 58.
     La edadpromedio de inicio es de casi 57 años yLa edad promedio de inicio es de casi 57 años y es un poco más frecuente en varones que enes un poco más frecuente en varones que en mujeres.mujeres. Harrison. Medicina Interna 17 Edicion. Cap. 319. pag 2119
  • 59.
    PATOLOGÍA Y PATOGENIAPATOLOGÍAY PATOGENIA  La lesión vascular en la poliangitis microscópicaLa lesión vascular en la poliangitis microscópica es similar desde el punto de vista histológico a laes similar desde el punto de vista histológico a la de la PAN.de la PAN.  La tinción inmunohistoquímica revela escasez deLa tinción inmunohistoquímica revela escasez de depósitos de inmunoglobulinadepósitos de inmunoglobulina en la lesiónen la lesión vascularvascular Harrison. Medicina Interna 17 Edicion. Cap. 319. pag 2119
  • 60.
    CUADRO CLÍNICOCUADRO CLÍNICO Por su predilección por los vasos pequeñosPor su predilección por los vasos pequeños,, la poliangitis microscópica y la granulomatosisla poliangitis microscópica y la granulomatosis de Wegener compartende Wegener comparten un cuadro clínicoun cuadro clínico similar.similar.  La enfermedad con frecuencia se inicia deLa enfermedad con frecuencia se inicia de manera gradual con fiebre, pérdida de peso ymanera gradual con fiebre, pérdida de peso y dolor musculoesquelético.dolor musculoesquelético.  79% de los casos79% de los casos conlleva glomerulonefritis queconlleva glomerulonefritis que suele ser de rápido avance, produciendosuele ser de rápido avance, produciendo insuficienciainsuficiencia renal.renal.
  • 61.
     En ocasionesla hemoptisis constituye el primerEn ocasiones la hemoptisis constituye el primer síntoma de una hemorragia alveolar, que tienesíntoma de una hemorragia alveolar, que tiene una frecuencia de 12% de los casos.una frecuencia de 12% de los casos.  OtrasOtras manifestaciones son mononeuritismanifestaciones son mononeuritis múltiplemúltiple y vasculitis digestiva y cutánea.y vasculitis digestiva y cutánea. Harrison. Medicina Interna 17 Edicion. Cap. 319. pag 2119
  • 62.
    LABORATORIOLABORATORIO  EritrosedimentaciónEritrosedimentación alta,alta, Anemia, leucocitosis y trombocitosis.Anemia, leucocitosis y trombocitosis.  En 75% de los pacientes aparecen ANCA enEn 75% de los pacientes aparecen ANCA en los pacientes con poliangitis microscópica ylos pacientes con poliangitis microscópica y predominanpredominan los anticuerposlos anticuerpos antimieloperoxidasa.antimieloperoxidasa. Harrison. Medicina Interna 17 Edicion. Cap. 319. pag 2119
  • 63.
    DIAGNÓSTICODIAGNÓSTICO El diagnóstico seestablece al encontrarEl diagnóstico se establece al encontrar datos histológicos dedatos histológicos de vasculitis ovasculitis o glomerulonefritis pausiinmunitaria en unglomerulonefritis pausiinmunitaria en un paciente con un cuadro clínico compatiblepaciente con un cuadro clínico compatible
  • 64.
    TRATAMIENTOTRATAMIENTO  La supervivenciaa cinco años para losLa supervivencia a cinco años para los pacientes con poliangitis microscópica es depacientes con poliangitis microscópica es de 74%74%  La muerte es producida por hemorragiaLa muerte es producida por hemorragia alveolar o trastornos digestivos, cardiacos oalveolar o trastornos digestivos, cardiacos o renales.renales.  la información sobre el tratamiento de lala información sobre el tratamiento de la poliangitispoliangitis microscópica es muy limitada.microscópica es muy limitada.
  • 65.
    ARTERITIS DEARTERITIS DE CÉLULASCÉLULAS GIGANTESYGIGANTES Y POLIMIALGIAPOLIMIALGIA REUMÁTICAREUMÁTICA
  • 66.
    DEFINICIONDEFINICION LLamada arteritis cranealoLLamada arteritis craneal o arteritis temporal, es la inflamación de lasarteritis temporal, es la inflamación de las arterias de mediano y gran calibres.arterias de mediano y gran calibres. SeSe extiende de manera característica hasta unaextiende de manera característica hasta una o más ramas de la arteria carótida,o más ramas de la arteria carótida, especialmente la arteria temporal. Sinespecialmente la arteria temporal. Sin embargo, es una enfermedad multiorgánicaembargo, es una enfermedad multiorgánica que afecta arterias en múltiples sitios, sobreque afecta arterias en múltiples sitios, sobre todo la aorta y sustodo la aorta y sus principales ramas.principales ramas.
  • 67.
    FRECUENCIA Y PR E V A L E N C I AFRECUENCIA Y P R E V A L E N C I A  La arteritis de células gigantes es casi exclusivaLa arteritis de células gigantes es casi exclusiva de personas mayores de 50 años de edad.de personas mayores de 50 años de edad.  Es más frecuente en mujeres que en varones yEs más frecuente en mujeres que en varones y es muy rara en las personas de raza negra.es muy rara en las personas de raza negra.  Los índices de frecuencia anual en personas deLos índices de frecuencia anual en personas de 50 años o más varían de 6.9 a 32.8 por 100 00050 años o más varían de 6.9 a 32.8 por 100 000 habitantes.habitantes.  Se ha descrito acumulación de casos en unaSe ha descrito acumulación de casos en una misma familia, así como su vinculación genetica.misma familia, así como su vinculación genetica.
  • 68.
  • 75.
    Celula gigante multinucleadaCelulagigante multinucleada Firestein: Kelley's Textbook of Rheumatology, 8th ed.
  • 76.
    Firestein: Kelley's Textbookof Rheumatology, 8th ed.
  • 77.
    MANIFESTACIONESMANIFESTACIONES CLINICASCLINICAS La arteritis decélulas gigantes se caracteriza clínicamente por el complejo consistente en fiebre, anemia, tasa de eritrosedimentación elevada y cefaleas en un paciente de más de 50 años de edad.
  • 78.
    Symptom Frequency (%) Cefalea76 Perdida de peso 43 Fiebre 42 Fatiga 39 Algun sintoma visual 37 Anorexia 35 claudicacion 34 Polimialgia reumatica 34 Artralgia 30 Ceguera unilateral 24 Ceguera bilateral 15 Vertigo 11 Diplopia 9 Modified from Smetana GW, Shmerling RH: Does this patient have temporal arteritis? JAMA 287:92, 2002.
  • 79.
    LABORATORIOLABORATORIO  VES aumentada.VESaumentada.  anemia normocrómica oanemia normocrómica o ligeramente hipocrómica,ligeramente hipocrómica,  Alteraciones de laAlteraciones de la función hepática.función hepática.  Se ha señalado aumentoSe ha señalado aumento de IgG y delde IgG y del complemento.complemento.
  • 81.
    TRATAMIENTOTRATAMIENTO  El tratamientocomienza con prednisona, de 40El tratamiento comienza con prednisona, de 40 a 60 mg/día durante casi un mes, seguida de sua 60 mg/día durante casi un mes, seguida de su reducción gradual.reducción gradual.  La tasa de eritrosedimentación constituye unLa tasa de eritrosedimentación constituye un indicador útil de la actividad inflamatoria paraindicador útil de la actividad inflamatoria para supervisar y reducir el tratamiento.supervisar y reducir el tratamiento.  ácido acetilsalicílico disminuye la presentación deácido acetilsalicílico disminuye la presentación de complicacionescomplicaciones isquémicas cefálicasisquémicas cefálicas  No se recomienda el uso de metrotexatoNo se recomienda el uso de metrotexato
  • 82.
  • 83.
    DEFINICIONDEFINICION La arteritis deTakayasu es una enfermedad inflamatoria y estenosante de las arterias de mediano y grueso calibres que muestra gran predilección por el cayado aórtico y sus ramas. Por este motivo se suele conocer como síndrome del cayado aórtico. Rheum Dis Clin N Am 33 (2007) 777–786
  • 84.
    PATOGENIAPATOGENIA  El procesoconsiste en una panarteritis conEl proceso consiste en una panarteritis con infiltrados inflamatorios por mononucleares y,infiltrados inflamatorios por mononucleares y, en ocasiones, con células gigantes.en ocasiones, con células gigantes.  Hay intensa proliferación y fibrosis de la íntima,Hay intensa proliferación y fibrosis de la íntima, cicatrización y vascularización de la media, ycicatrización y vascularización de la media, y rotura y degeneración de la lámina elástica.rotura y degeneración de la lámina elástica.  La luz del vaso sufre un estrechamientoLa luz del vaso sufre un estrechamiento acompañado o no de trombosis.acompañado o no de trombosis. Rheum Dis Clin N Am 33 (2007) 777–786
  • 85.
  • 86.
     Las mujeresse afectan 10 veces más que los hombresLas mujeres se afectan 10 veces más que los hombres  La enfermedad comúnmente se presenta en la 2ª. Y 3ª. Década deLa enfermedad comúnmente se presenta en la 2ª. Y 3ª. Década de la vida. (Media de inicio 25 años)la vida. (Media de inicio 25 años)  Aunque la enfermedad es más frecuente en asiáticos, existe unaAunque la enfermedad es más frecuente en asiáticos, existe una distribución mundial de la enfermedad, afectando a todas las razasdistribución mundial de la enfermedad, afectando a todas las razas y etnias.y etnias.  Incidencia 2.6 / 1,000,000 personas (USA), 1.26 (Europa), 1/3000Incidencia 2.6 / 1,000,000 personas (USA), 1.26 (Europa), 1/3000 autopsias en Japón.autopsias en Japón.
  • 87.
     Un pacientetiene arteritis de Takayasu si al menos 3 de los 6 criteriosUn paciente tiene arteritis de Takayasu si al menos 3 de los 6 criterios están presentes. La presencia de 3 o más criterios presentan unaestán presentes. La presencia de 3 o más criterios presentan una sensibilidad del 90.5% y una especificidad del 97.8%.sensibilidad del 90.5% y una especificidad del 97.8%.
  • 88.
    Criterios de Ishikawapara ArteritisCriterios de Ishikawa para Arteritis de Takayasude Takayasu  Tres criterios mayores:Tres criterios mayores:  Lesión de la porción media de la arteria subclavia izquierda: La estenosis másLesión de la porción media de la arteria subclavia izquierda: La estenosis más severa u oclusión presente en la porción media desde el punto 1 cm proximalsevera u oclusión presente en la porción media desde el punto 1 cm proximal de la arteria vertebral o a 3 cm distal del orificio determinado por angiografía.de la arteria vertebral o a 3 cm distal del orificio determinado por angiografía.  Lesión de la porción media de la arteria subclavia derecha: La estenosis másLesión de la porción media de la arteria subclavia derecha: La estenosis más severa u oclusión presente en la porción media desde el orificio de la arteriasevera u oclusión presente en la porción media desde el orificio de la arteria vertebral derecha al punto 3 cm distal del orificio determinado por angiografíavertebral derecha al punto 3 cm distal del orificio determinado por angiografía  Signos y síntomas característicos de al menos 1 mes de duración: Esto incluyeSignos y síntomas característicos de al menos 1 mes de duración: Esto incluye claudicación de miembros, abolición de pulsos o diferencia de pulsos enclaudicación de miembros, abolición de pulsos o diferencia de pulsos en miembros, una diferencia de presión arterial significativa (> 10 mmHg demiembros, una diferencia de presión arterial significativa (> 10 mmHg de diferencia en la presión arterial sistólica en miembros), fiebre, dolor de cuello,diferencia en la presión arterial sistólica en miembros), fiebre, dolor de cuello, amaurosis transitoria, visión borrosa, sincope, disnea o palpitacionesamaurosis transitoria, visión borrosa, sincope, disnea o palpitaciones..
  • 89.
    Diez criterios menoresDiezcriterios menores  Elevación de la VSG: Elevación persistente inexplicada de laElevación de la VSG: Elevación persistente inexplicada de la velocidad de sedimentación globular ESG >20 mm/hvelocidad de sedimentación globular ESG >20 mm/h (Westergren) en el diagnóstico o presencia de evidencia en la(Westergren) en el diagnóstico o presencia de evidencia en la historia del paciente.historia del paciente.  Pulso carotídeo débil: Debilidad del pulso unilateral o bilateralPulso carotídeo débil: Debilidad del pulso unilateral o bilateral a la palpación. La debilidad del músculo del cuello esa la palpación. La debilidad del músculo del cuello es inaceptable.inaceptable.  Hipertensión: Persistencia de una presión arterial braquial >Hipertensión: Persistencia de una presión arterial braquial > 140/90 mmHg o > 160/90 mmHg poplitea.140/90 mmHg o > 160/90 mmHg poplitea.  Regurgitación aórtica o ectasia anuloaórtica: RegurgitaciónRegurgitación aórtica o ectasia anuloaórtica: Regurgitación aórtica por auscultación o ecocardiografía Doppler oaórtica por auscultación o ecocardiografía Doppler o angiografía; o ectasia anuloaórtica por angiografía oangiografía; o ectasia anuloaórtica por angiografía o ecocardiografía bidimensionalecocardiografía bidimensional
  • 90.
     Lesión enarteria pulmonar: Oclusión arterial lobar,Lesión en arteria pulmonar: Oclusión arterial lobar, segmentaria o equivalente, determinado por angiografía,segmentaria o equivalente, determinado por angiografía, gammagrafía de perfusión, o presencia de estenosis,gammagrafía de perfusión, o presencia de estenosis, aneurisma, irregularidad luminal o cualquier combinaciónaneurisma, irregularidad luminal o cualquier combinación determinada por angiografía en el tronco de la arteriadeterminada por angiografía en el tronco de la arteria pulmonar o en las arterias pulmonares uni o bilateral.pulmonar o en las arterias pulmonares uni o bilateral.  Lesión de la porción media de la carótida comúnLesión de la porción media de la carótida común izquierda: Presencia de estenosis severa u oclusión en laizquierda: Presencia de estenosis severa u oclusión en la porción media, de 5 cm de longitud y a 2 cm distal a suporción media, de 5 cm de longitud y a 2 cm distal a su orificio determinado por angiografía.orificio determinado por angiografía.  Lesión distal del tronco braquiocefálico:. Presencia deLesión distal del tronco braquiocefálico:. Presencia de severa estenosis u oclusión del 1/3 distal determinadosevera estenosis u oclusión del 1/3 distal determinado por angiografía.por angiografía.
  • 91.
    Lesión de laaorta torácica descendente: Estrechamiento,Lesión de la aorta torácica descendente: Estrechamiento, dilatación o aneurisma, o irregularidad del lumen o cualquierdilatación o aneurisma, o irregularidad del lumen o cualquier combinación de aneurismas, determinado por angiografía; lacombinación de aneurismas, determinado por angiografía; la tortuosidad aislada no se acepta.tortuosidad aislada no se acepta. Lesión de la aorta abdominal: Estrechamiento, dilatación oLesión de la aorta abdominal: Estrechamiento, dilatación o aneurisma, o irregularidad del lumen o combinación deaneurisma, o irregularidad del lumen o combinación de aneurismas.aneurismas. Lesión de arterias coronarias: Documentadas enLesión de arterias coronarias: Documentadas en angiografía antes de los 30 años de edad en ausencia deangiografía antes de los 30 años de edad en ausencia de factores de riesgo como hiperlipidemia o diabetes mellitusfactores de riesgo como hiperlipidemia o diabetes mellitus
  • 92.
     La presenciade 2 criterios mayores o 1 criterioLa presencia de 2 criterios mayores o 1 criterio mayor y 2 menores sugieren alta probabilidad demayor y 2 menores sugieren alta probabilidad de arteritis de Takayasuarteritis de Takayasu
  • 93.
    LABORATORIOLABORATORIO  VES altaVESalta  Anemia ligera yAnemia ligera y  NivelesNiveles altos de inmunoglobulinas.altos de inmunoglobulinas. Rheum Dis Clin N Am 33 (2007) 777–786
  • 94.
    DIAGNOSTICODIAGNOSTICO  El diagnósticodebe sospecharse en una mujerEl diagnóstico debe sospecharse en una mujer joven que presenta disminución o desapariciónjoven que presenta disminución o desaparición de las pulsaciones arteriales, desigualdad de lade las pulsaciones arteriales, desigualdad de la presión arterial y soplos arteriales.presión arterial y soplos arteriales.  El diagnóstico se confirma por los signosEl diagnóstico se confirma por los signos característicos de la arteriografía, comocaracterísticos de la arteriografía, como irregularidad de las paredes vasculares, estenosis,irregularidad de las paredes vasculares, estenosis, dilataciones posestenóticas, formación dedilataciones posestenóticas, formación de aneurismas, oclusiones y aumento de circulaciónaneurismas, oclusiones y aumento de circulación colateral.colateral. Rheum Dis Clin N Am 33 (2007) 777–786
  • 95.
    TRATAMIENTOTRATAMIENTO  Los glucocorticoides,a razón de 40 a 60 mg deLos glucocorticoides, a razón de 40 a 60 mg de prednisona por día, reducen los síntomas peroprednisona por día, reducen los síntomas pero no existen estudios convincentes comprobandono existen estudios convincentes comprobando que aumenten la supervivencia.que aumenten la supervivencia.  metotrexato en dosis de hasta 25 mg por semanametotrexato en dosis de hasta 25 mg por semana ha producidoha producido resultados alentadores. (casosresultados alentadores. (casos refractarios)refractarios)  Cirugia, AngioplastiaCirugia, Angioplastia Harrison. Medicina Interna 17 Edicion. Cap. 319. pag 2119
  • 96.
  • 97.
    DEFINICIÓNDEFINICIÓN La púrpura deHenoch-Schónlein, también denominada púrpura anafilactoide, es un cuadro de vasculitis generalizada singular que se caracteriza por la presencia de púrpura palpable (distribuida principalmente en las nalgas y los miembros inferiores), artralgias, signos y síntomas gastrointestinales y glomerulonefritis. Afecta vasos de pequeño calibre. Harrison. Medicina Interna 17 Edicion. Cap. 319. pag 2119
  • 98.
    INCIDENCIA Y PR E V A L E N C I AINCIDENCIA Y P R E V A L E N C I A  Se suele observarSe suele observar en niños; la mayoría de losen niños; la mayoría de los pacientes tiene de cuatro a siete años, peropacientes tiene de cuatro a siete años, pero también puede verse en lactantes y adultos.también puede verse en lactantes y adultos.  La proporción varón-mujer es de 1.5:1.La proporción varón-mujer es de 1.5:1.  Se han registrado variaciones estacionales,Se han registrado variaciones estacionales, siendo máxima su incidencia en la primavera.siendo máxima su incidencia en la primavera. Harrison. Medicina Interna 17 Edicion. Cap. 319. pag 2119
  • 99.
    FISIOPATOLOGIA YFISIOPATOLOGIA Y PATOGENIAPATOGENIA El supuesto mecanismo patógeno de la púrpuraEl supuesto mecanismo patógeno de la púrpura de Henoch-Schónlein es el depósito dede Henoch-Schónlein es el depósito de complejos inmunitarios.complejos inmunitarios.  Los anticuerpos que con mayor frecuenciaLos anticuerpos que con mayor frecuencia forman parte de los complejos inmunitariosforman parte de los complejos inmunitarios pertenecen a la clase IgA, cuya presencia se hapertenecen a la clase IgA, cuya presencia se ha demostrado también en las biopsias renales dedemostrado también en las biopsias renales de estos pacientes.estos pacientes. Harrison. Medicina Interna 17 Edicion. Cap. 319. pag 2119
  • 100.
    MANIFESTACIONESMANIFESTACIONES CLINICASCLINICAS  púrpura palpablese observa en casi todos lospúrpura palpable se observa en casi todos los pacientes; la mayoría desarrollapacientes; la mayoría desarrolla en ausencia deen ausencia de artritis franca.artritis franca.  Trastornos digestivosTrastornos digestivos  Entre 10 y 50% de los pacientesEntre 10 y 50% de los pacientes padecenpadecen lesiones renaleslesiones renales Rheum Dis Clin N Am 33 (2007) 777–786
  • 102.
    LABORATORIOLABORATORIO  Leucocitosis ligera,Leucocitosisligera,  Cifra normal de plaquetas y, en ocasiones,Cifra normal de plaquetas y, en ocasiones, eosinofilia.eosinofilia.  Los factores del complemento en el suero sonLos factores del complemento en el suero son normales, y en cerca de 50% de los pacientes lanormales, y en cerca de 50% de los pacientes la IgA está elevada.IgA está elevada.
  • 103.
    DIAGNOSTICODIAGNOSTICO  El diagnósticode púrpura de Henoch-SchonleinEl diagnóstico de púrpura de Henoch-Schonlein se basa en los signos y síntomas clínicos.se basa en los signos y síntomas clínicos.  La biopsia cutánea es de utilidad para confirmarLa biopsia cutánea es de utilidad para confirmar una vasculitis leucocitoclástica con depósito deuna vasculitis leucocitoclástica con depósito de IgA y C3 en el estudio conIgA y C3 en el estudio con inmunofluorescencia.inmunofluorescencia.  Rara vez se necesita biopsia renal para elRara vez se necesita biopsia renal para el diagnóstico,diagnóstico, pero a veces proporcionapero a veces proporciona información de gran utilidad.información de gran utilidad.
  • 104.
    TRATAMIENTOTRATAMIENTO  La mayoríadeLa mayoría de los pacientes se recuperalos pacientes se recupera completamente y algunos no necesitancompletamente y algunos no necesitan tratamiento.tratamiento.  Cuando se necesitan glucocorticoides se utilizaCuando se necesitan glucocorticoides se utiliza prednisona en dosis de 1 mg/kg de peso/día,prednisona en dosis de 1 mg/kg de peso/día, que se reduce gradualmente según la respuestaque se reduce gradualmente según la respuesta clínica; se ha demostrado que es útil para reducirclínica; se ha demostrado que es útil para reducir el edema histico, las artralgias y el dolorel edema histico, las artralgias y el dolor abdominal.abdominal. Harrison. Medicina Interna 17 Edicion. Cap. 319. pag 2119
  • 105.
  • 106.
    DEFINICIONDEFINICION  El términoEltérmino vasculitis cutánea se refiere a lavasculitis cutánea se refiere a la inflamación de los vasosinflamación de los vasos sanguíneos de lasanguíneos de la dermis. A causa de su heterogenicidad, estedermis. A causa de su heterogenicidad, este trastorno se ha descrito con una gran variedadtrastorno se ha descrito con una gran variedad de términos, comode términos, como vasculitis por hipersensibilidadvasculitis por hipersensibilidad yy angitis leucocitoclástica cutánea. No obstante, laangitis leucocitoclástica cutánea. No obstante, la vasculitis cutánea novasculitis cutánea no es una enfermedad específicaes una enfermedad específica sino una manifestación que se puede observarensino una manifestación que se puede observaren gran variedad de circunstanciasgran variedad de circunstancias Harrison. Medicina Interna 17 Edicion. Cap. 319. pag 2119
  • 107.
    FISIOPATOLOGIAFISIOPATOLOGIA  La característicahistopatológica clásica de laLa característica histopatológica clásica de la vasculitis cutánea es la presencia de vasculitis envasculitis cutánea es la presencia de vasculitis en los vasos pequeños.los vasos pequeños.  Los vasos más afectados son las vénulasLos vasos más afectados son las vénulas poscapilares; con menos frecuencia aparece enposcapilares; con menos frecuencia aparece en los capilares y arteriolas.los capilares y arteriolas.  Esta vasculitis se caracteriza por unaEsta vasculitis se caracteriza por una leucocitoclasia,leucocitoclasia, término que se refiere a los restostérmino que se refiere a los restos nucleares que quedan de los neutrófilos que hannucleares que quedan de los neutrófilos que han infiltrado a los vasos durante la fase aguda.infiltrado a los vasos durante la fase aguda. Harrison. Medicina Interna 17 Edicion. Cap. 319. pag 2119
  • 108.
    DIAGNOSTICODIAGNOSTICO El sello distintivode la vasculitis cutánea idiopática es el predominio de las lesiones cutáneas.  El diagnóstico de vasculitis cutánea se estableceEl diagnóstico de vasculitis cutánea se establece al observar vasculitis en la biopsia. Un principioal observar vasculitis en la biopsia. Un principio importante para el diagnóstico en losimportante para el diagnóstico en los  pacientes con vasculitis cutánea es buscar lapacientes con vasculitis cutánea es buscar la causa del problemacausa del problema Harrison. Medicina Interna 17 Edicion. Cap. 319. pag 2119
  • 109.
    NEJM . Volumen337 Nùmero 21November 20, 1997
  • 110.
    NEJM . Volumen337 Nùmero 21November 20, 1997
  • 111.

Notas del editor

  • #11 Figure 82-2 Frequency of antineutrophil cytoplasmic antibody (ANCA) reactivity in associated vasculitic conditions, divided on the basis of proteinase 3 (PR3) ANCA and myeloperoxidase (MPO) ANCA. c-ANCA, cytoplasmic ANCA; p-ANCA, perinuclear ANCA ; RPGN, rapidly progressive glomerulonephritis.   
  • #34 METOTREXATO: Si el paciente tolera el tratamiento después de una o dos semanas, la dosis se incrementa 2.5 mg por semana hasta alcanzar entre 20 y 25 mg semanales. Este esquema se prolonga hasta dos años después de la remisión, para luego reducir 2.5 mg cada mes hasta la interrupción total. Para reducir su toxicidad, por lo general se administra con ácido fólico, 1 mg/día, o ácido folínico, de 5 a 10 mg una vez por semana 24 h después del metotrexato.
  • #35 El tmp stxz no a demostrado eficacia para la remision de la enfermedad, solo se le a encontrado mejora la sintomatologia respiratoria.
  • #40 su relación tan estrecha el asma y sus manifestaciones clinicopatológicas, como eosinofilia, granulomas y vasculitis, indican que se trata de un fenómeno inmunitario aberrante.
  • #42 Granulomatosis de Wegener y la poliangitis microscópica.
  • #43 pero algunas veces la confirmación histológica es difícil, puesto que las características patognomónicas no aparecen simultáneamente.
  • #45 El pronóstico de los pacientes con síndrome de Churg-Strauss no tratado es sombrío, con una supervivencia a cinco años de 25%. Con tratamiento, el pronóstico es muy favorable y en un estudio se publica una supervivencia a 78 meses de 72%. La causa más común de muerte son las lesiones miocárdicas, que explican 39% de la mortalidad. En muchos pacientes los glucocorticoides aislados son eficaces. Sin embargo, la reducción de las dosis se limita por el asma y muchos pacientes necesitan una dosis disminuida de prednisona por asma persistente durante varios años después de la recuperación clínica de la vasculitis. Cuando los glucocorticoides fracasan en los pacientes con una enfermedad fulminante que abarca varios aparatos y sistemas, el tratamiento preferente es un esquema combinado de ciclofosfamida y prednisona
  • #48 Sin embargo, no llegan hasta las vénulas y, cuando esto sucede, significa que se trata de una poliangitis microscópica
  • #49 No es frecuente observar granulomas ni eosinofilia pronunciada con infiltración eosinófila de los tejidos y, si se observa, sugiere síndrome de Churg-Strauss La presencia de antigenemia de hepatitis B en alrededor de 10 a 30% de los pacientes con vasculitis diseminada, especialmente de tipo PAN, combinada con la presencia de complejos inmunitarios circulantes formados por antigeno de hepatitis B e inmunoglobulina y la demostración por medio de inmunofluorescencia de antígeno contra hepatitis B, IgM y complemento en las paredes vasculares, sugiere la participación de una serie de fenómenos inmunitarios en la patogenia de esta enfermedad.
  • #51 En más de 50% de los casos se observa fiebre, pérdida de peso y malestar general. La mayoría de los pacientes se queja de síntomas vagos, como debilidad, malestar general, cefalalgia, dolor abdominal y mialgias que en ocasiones evolucionan rápidamente hasta degenerar en una enfermedad fulminante. En la panarteritis nudosa, la lesión renal suele manifestarse en forma de hipertensión, insuficiencia renal o hemorragia por microaneurismas.
  • #53 Rara vez conlleva anticuerpos contra mieloperoxidasa o proteinasa 3 (ANCA).
  • #54 En ausencia de un tejido fácilmente accesible para la biopsia, basta con demostrar por un método angiográfico los vasos afectados, especialmente en forma de aneurismas de las arterias de pequeño y mediano calibres en la vasculatura renal, hepática y visceral. Los aneurismas vasculares no son patognomónicos de PAN; de hecho, no es necesario que haya aneurismas y a veces los datos angiográficos se limitan a segmentos estenosados y obliteración vascular. El mayor rendimiento diagnóstico se obtiene de la biopsia de los órganos afectados como lesiones nodulares en la piel, testículos dolorosos y nervios/músculos.
  • #56 El pronóstico de la PAN no tratada es sombrío y la supervivencia a cinco años es de 10 a 20%. Estos pacientes casi siempre mueren por complicaciones digestivas, especialmente infartos y perforaciones intestinales y causas cardiovasculares.El tratamiento de la hipertensión reduce la morbilidad y mortalidad tardía vinculadas con las complicaciones renales, cardiacas y del sistema nervioso central de esta enfermedad. Después de un tratamiento satisfactorio, se calcula que las recidivas tienen una frecuencia de únicamente 10 por ciento.
  • #58 El término poliarteritis microscópica fue acuñado en la literatura por Davson en 1948 al reconocer la presencia de glomerulonefritis en los pacientes con panarteritis nudosa. Esta enfermedad suele acompañarse de glomerulonefritis y capilaritis pulmonar. Se dice que la ausencia de inflamación granulomatosa en la poliangitis microscópica la distingue de la granulomatosis de Wegener.
  • #60 Predilección por los capilares y vénulas además de las arterias de pequeño y mediano calibres. La lesión renal que se observa en esta enfermedad es idéntica a la de la granulomatosis de Wegener.
  • #61 En la poliangitis microscópica no suele haber alteraciones de las vías aéreas superiores ni nodulos pulmonares, de manera que, cuando aparecen, sugieren granulomatosis de Wegener.
  • #64 A pesar de que esta enfermedad está muy relacionada con los ANCA, no existen estudios que establezcan la especificidad y sensibilidad de estos anticuerpos en dicha enfermedad.
  • #65 Se trata de manera similar a Granulomatosis de wagener. Se observan recidivas en por lo menos 34% de los pacientes, y se atienden de manera similar a como se trata el cuadro inicial, dependiendo del sitio y la gravedad del problema.
  • #67 La arteritis de células gigantes está íntimamente relacionada con la politnialgia reumática, la cual se caracteriza por rigidez, dolor sordo y dolor en los músculos de cuello, hombros, parte baja del dorso, caderas y muslos. Es muy común que la polimialgia reumática ocurra en forma aislada, pero puede verse en 40 a 50% de los pacientes con arteritis de células gigantes. Además, alrededor de 10 a 20% de los enfermos que en un principio presentan manifestaciones de polimialgia reumática aislada más tarde experimentan arteritis de células gigantes. Esta importante relación clínica junto con datos derivados de estudios fisiopatológicos ha apoyado cada vez más la arteritis de células gigantes y la polimialgia reumática representa cuadros clínicos diversos de un mismo proceso patológico.
  • #68 Su frecuencia varía en los diversos estudios y las distintas regiones geográficas. Se ha encontrado una frecuencia muy alta en Escandinavia y las regiones de Estados Unidos con una población importante de escandinavos, mientras que la frecuencia en el sur de Europa es mucho menor. HLA-DR4. Además, los estudios de ligamiento genético han demostrado que la arteritis de la temporal se relaciona con los alelos del locus HLA-DRB1, especialmente a las variedades del HI.A-DRB1*04. En el condado de Olmsted, Minnesota, la incidencia anual de la polimialgia reumática en las personas de 50 años o más, es de 58.7 por 100 000 habitantes.
  • #75 Giant-Cell Arteritis of the Temporal Artery. Panel A shows transmural inflammation of the temporal artery with granulomatous infiltrates in the media and giant cells at the media–intima border (hematoxylin and eosin, ¬100). The lumen is partially occluded by intimal hyperplasia. Panel B shows a close-up view of a segment of the media with several multinucleated giant cells arranged adjacent to fragments of the internal elastic lamina (hematoxylin and eosin, ¬200).
  • #76 A multinucleated giant cell (arrow) is present at the junction of the media and intima.
  • #78 Otras manifestaciones incluyen malestar, fatiga, anorexia, adelgazamiento, sudaciones, artralgias y polimialgia reumática asociada.
  • #79 En los pacientes con afección de la arteria temporal, el síntoma más destacado es la cefalalgia, que puede asociarse a la presencia de una arteria engrosada, con nodulos palpables, y dolorosa con el contacto y la presión,que conserva las pulsaciones al comienzo del proceso, pero que acaba ocluyéndose más adelante. Puede haber también dolor del cuero cabelludo v claudicación de la mandíbula y la lengua. Una complicación bien conocida y temible de la arteritis de la temporal, especialmente en los pacientes que no reciben tratamiento, es la afección ocular, que consiste fundamentalmente en una neuritis óptica isquémica capaz de producir síntomas visuales graves e incluso en algunos casos una ceguera de aparición súbita. Sin embargo, la mayoría de los pacientes se queja de molestias relacionadas con la cabeza o los ojos antes de que exista pérdida visual. Prestando atención a estos síntomas e iniciando tempranamente el tratamiento apropiado suele evitarse esta complicación. Se ha descrito también claudicación de los miembros, ictus, infarto del miocardio, así como diversas visceras. Debe señalarse que la arteritis de la temporal conlleva un incremento notable del riesgo de aneurisma de la aorta, que es una complicación tardía y que puede llevar al aneurisma disecante y ser una causa de muerte.
  • #82 En caso de signos y síntomas oculares es importante emprender el tratamiento o ajustarlo hasta que aquéllos disminuyen.Todavía no se establece la duración óptima del tratamiento con glucocorticoides, pero en la mayor parte de las series se ha encontrado que los pacientes lo necesitan durante dos años, o más. La recidiva de los síntomas durante la disminución gradual de la dosis de prednisona ocurre en 60 a 85% de los pacientes con arteritis de células gigantes, lo cual requiere un incremento en la dosificación. Los pacientes con polimialgia reumática aislada responden rápidamente a la prednisona, la cual puede iniciarse a una dosis más baja de 10 a 20 mg/día. De un modo similar a la arteritis de células gigantes, la tasa de eritrosedimentación sirve de indicador útil para la vigilancia y para reducir la prednisona. Los síntomas de polimialgia recidivantes se presentan en la mayoría de los pacientes durante la reducción gradual de la dosis de prednisona. En un estudio acerca del metotrexato semanal se encontró que el empleo de este medicamento disminuía la dosis de prednisona en promedio sólo 1 mg y no disminuía los efectos secundarios relacionados con la prednisona.
  • #83 Mikito Takayasu [1], a Japanese ophthalmologist, who reported a 21-year-old woman who had sudden visual loss and an anastomotic wreath of vessels around the optic disc.
  • #85 Patogenia no esta clara….. Se le vinculan fenomenos inmunitarios
  • #95 Histologia puede servir pero es dificil de obtener
  • #100 Se sospecha que existen múltiples antígenos desencadenantes, como las infecciones de las vías respiratorias superiores, diversos fármacos, alimentos, picaduras de insectos e inmunizaciones.
  • #101 Los trastornos digestivos, que se ven en cerca de 70% de los pacientes pediátricos, se caracterizan por dolor abdominal de tipo cólico, acompañado de náusea, vómito, diarrea o estreñimiento, y frecuentemente también por expulsión de sangre y moco por el recto; puede haber invaginación intestinal. Entre 10 y 50% de los pacientes padecen lesiones renales, caracterizados por glomerulonefritis leve que origina proteinuria y hematuria microscópica, con cilindros de eritrocitos en la mayor parte de los casos (cap. 277); casi siempre se resuelve espontáneamente sin tratamiento.
  • #105 El pronóstico de la púrpura de Henoch-Schönlein es excelente. La mortalidad es muy rara y entre 1 y 5% de los niños sufren nefropatía terminal. Sin embargo, no se ha comprobado que mejore las lesiones cutáneas ni renales y tampoco acorta la duración de la enfermedad activa ni disminuye la probabilidad de recurrencia. Existen publicaciones anecdóticas de pacientes con glomerulonefritis de rápido avance que mejoran con una plasmaféresis intensiva, combinada con citotóxicos. Se han observado recurrencias en 10 a 40% de los pacientes.
  • #107 En más de 70% de los casos forma parte de una vasculitis diseminada primaria o constituye una vasculitis secundaria por algún elemento incitador o una enfermedad de fondo (véase más adelante en este capítulo "Vasculitis secundarias"). En la proporción restante, de 30% de los casos, la vasculitis cutánea es idiopàtica.
  • #109 ya sea un elemento exógeno como un medicamento o una infección o un problema endógeno, como una enfermedad de fondo