ACTUALIZACION EN OBSTETRICIA  HEMORRAGIA DEL PRIMER TRIMESTE DR FELIX CAMPOS ALCALA DPTO DE GINECOLOGIA Y OBSTETRICIA OCTUBRE 2008
HEMORRAGIA EN GESTANTES SIGNO DE PELIGRO ALERTA ROJA
PRINCIPALES CAUSAS DE MORTALIDAD MATERNA Hemorragia  (47%) Otras  (19%) Infección  (15%) HIE  (12%) Aborto  (  5%) TBC  (  1%) Parto obstruido  (  1%) MINSA 2001
CLASIFICACION DE LAS HEMORRAGIAS OBSTETRICAS A. DURANTE EL EMBARAZO PRIMERA MITAD DEL EMBARAZO (PRIMERAS 22 SEMANAS DE EMBARAZO) SEGUNDA MITAD DEL EMBARAZO ( DESPUES DE LAS 22 SEMANAS DE EMBARAZO  Y DURANTE EL TRABAJO DE PARTO PERO ANTES DE QUE SE PRODUZCA EL PARTO) B. DURANTE EL POST PARTO
TODA HEMORRAGIA QUE OCURRE EN EL EMBARZO ES ANORMAL  Y REQUIERE  UN DIAGNOSTICO OPORTUNO Y PRECISO
PRIMERA MITAD DEL EMBARAZO ABORTO EMBARAZO ECTOPICO ENFERMEDAD DEL TROFOBLASTO- MOLA HIDATIFORME
HEMORRAGIA DE LA PRIMERA MITAD DEL EMBARAZO ABORTO Interrupción del embarazo (espontaneo o inducido) antes de las 22 semanas y cuando el producto pesa menos de 500 gramos
ABORTO PRECOZ  Antes de las 12 semanas ABORTO TARDIO 12 a 22 semanas OMS: Muerte fetal precoz < 21 sem   Muerte fetal intermedia 21 y 27 sem   Muerte fetal tardía 28 sem Según su edad gestacional –  Aborto bioquímico o preclínico: es la interrupción de la gestación después de nidación y antes de la identificación ecográfica del saco gestacional (cuatro-cinco semanas de gestación). –  Aborto clínico: ocurre posterior a la gestación del saco gestacional, se divide en embrionario (de la seis a la ocho semanas  gestacionales) o fetal (de la diez a la veintidós semanas  gestacionales ).
FRECUENCIA Se estima que existe una pérdida espontánea del 10 al 15% de todos los embarazos pronosticados. Esta frecuencia aumentaría hasta el 50% si incluyéramos los casos  no diagnosticados clinicamente (abortos infra o preclínicos). En mujeres que no han tenido hijos, después de un  primer aborto, la probabilidad de un segundo es de un 19%. Si ha tenido dos abortos previos esta cifra aumenta al 35%, y si  ha tenido tres abortos anteriores esta probabilidad asciende al 47%.
EPIDEMIOLOGÍA Por cada muerte materna, hay 15 mujeres  con secuelas 40% de abortos se practican en condiciones  de riesgo 80% en mujeres con embarazos no deseados, por falta de métodos anticonceptivos, 20% por fallas del método Cuarta causa de muerte materna en Perú
INCIDENCIA EN PERÚ Dificultades en el registro No se registran como tales, los del primer trimestre Hemorragias de diferentes etiologías, se registran como abortos Los abortos provocados no quedan registrados En franco incremento
Epidemiología- Perú Actualmente cuarta causa de muerte    materna (¿?) Probabilidad que una peruana entre los    15 y 49 años tenga un aborto es de 6% 50 – 57% de las gestaciones son no deseada Aborto terapéutico aceptado
HISTORIA NATURAL
 
 
 
 
 
 
CLASIFICACION AMENAZA DE ABORTO ABORTO EN CURSO: A.  INMINENTE O B.  INEVITABLE ABORTO COMPLETO ABORTO INCOMPLETO  ABORTO FRUSTRO ABORTO SEPTICO ABORTO RECURRENTE O HABITUAL
DIAGNOSTICO HISTORIA CLINICA EXAMEN FISICO ECOGRAFIA EXAMENES DE LABORATORIO: HCG, HTO, HEMOGRAMA OTROS
CUADRO CLINICO Sangrado vaginal Dolor abdominal Membranas intactas o rotas Cambios cervicales o no
Amenaza de aborto CUADRO CLÍNICO La paciente con amenorrea y síntomas subjetivos de embarazo refiere tener pérdida de sangre. Al principio sangra poco, de forma fluida o intermitente, y la sangre es roja y otras veces negruzca. El sangramiento puede asociarse con sensación de peso o dolor ligero en el bajo vientre y, en ocasiones, sensación de pesadez en la raíz de los muslos e ingles, así como sacrolumbalgias. Al examen vaginal se palpa el útero aumentado, de tamaño correspondiente al tiempo de amenorrea , reblandecido. El cuello uterino, también reblandecido, mantiene su longitud. En la nulípara los orificios interno y externo están cerrados. En la multípara el orificio externo puede estar abierto.
 
ABORTO EN CURSO  CUADRO CLÍNICO En este estadio las hemorragias se hacen más abundantes y las contracciones uterinas son más intensas y dolorosas, a veces rítmicas, similares a los cólicos. En este caso y mediante el tacto vaginal se encuentran modificaciones evidentes del cuello del útero. El cuello uterino se acorta y el orificio cervical interno se dilata, de manera que el fruto puede percibirse con el dedo; esta situación es diferente a la que se presenta con la amenaza de aborto. ABORTO INMINENTE: MEMBRANAS INTACTAS ABORTO INEVITABLE: MEMBRANAS ROTAS TRATAMIENTO En estos casos debe realizarse la evacuación uterina por raspado o aspiración.
 
ABORTO CONSUMADO CUADRO CLÍNICO El cuadro clínico del aborto completo es distinto al del aborto incompleto. En el primer caso se produce la expulsión de un saco ovular íntegro, la hemorragia disminuye rápidamente y cesa a los 2 ó 3 días. Los dolores desaparecen, el útero disminuye de tamaño y se endurece; el cuello uterino se cierra rápidamente. Es mayor la frecuencia del aborto incompleto. La paciente refiere que después de la pérdida de sangre y los dolores ha expulsado algo, pero que las hemorragias continúan y los dolores han cesado o persisten. El útero tiene un tamaño aumentado, pero no se corresponden con el tiempo de amenorrea. El cuello del útero no se ha cerrado y sigue permeable. TRATAMIENTO El aborto consumado completo sin hemorragia ni infección puede ser tratado en forma conservadora. ABORTO incompleto LU o AMEU
ABORTO FRUSTRO El diagnóstico puede establecerse clínicamente por la detención del crecimiento del útero, la disminución del tamaño uterino, la desaparición de los síntomas de embarazo y puede corroborarse con las pruebas de embarazo negativas, así como por la ecografía  Todo estado de retención debe vigilarse y realizar  determinaciones periódicas de fibrinógeno. En el tratamiento del estado de retención se aconseja actualmente la evacuación del útero, para evitar los problemas relacionados con las coagulopatías. Una situación a tener en cuenta dentro de este, es la  gestación anembrionada,  que consiste en la ausencia de embrión dentro del saco gestacional. Su causa mas importante es la alteración cromosómica
ABORTO HABITUAL 0 RECURRENTE Se denomina así al aborto que se presenta en 3 o más ocasiones  consecutivas de forma espontánea; o 5 o mas consecutivos Se debe en primer lugar a las alteraciones cromosómicas en el mayor número de casos  Las otras causas más aceptadas y fáciles de demostrar son la incompetencia cervical (en estos casos el aborto siguiente es de menos edad gestacional que el anterior) y la incompetencia de la cavidad uterina dada por malformaciones, tumores, adenomiosis o sinequias (que se caracterizan por abortos de mayor edad gestacional cada vez). Con la valoración clínica de pacientes con aborto habitual y algunos exámenes como ultrasonografía, histerosalpingografía, histeroscopia y laparoscopia, muchas veces podemos demostrar que no existen afecciones uterinas ni cervicales que expliquen el aborto habitual,y entonces tenemos que detectar las anomalías cromosómicas estudiando a los fetos de los abortos.
ABORTO SÉPTICO El aborto séptico es la infección del útero y/o de los anejos que se presenta tras un aborto. La infección tras aborto es un proceso ascendente y puede estar causado por una cervicovaginitis preexistente, por retención de restos abortivos que se sobreinfectan y en el caso de aborto provocado, por una perforación del útero y/o otras estructuras, o por mala técnica aséptica… Es una infección polimicrobiana en relación con la flora vaginal endógena, y suele aislarse  E. coli, Enterobacter aerogenes, Proteus vulgaris, estreptococos hemolíticos como  estafilococos y anaerobios.  Es un cuadro clínico definido por la aparición de fiebre, escalofrío y dolor abdominal después de un aborto. En la exploración destaca la presencia de hemorragias, leucorrea de aspecto purulento y aumento del tamaño uterino, que muestra una consistencia blanda con dolor a la movilización  cervical, pudiendo palparse una masa anexial dolorosa
Tratamiento del aborto Manejo como emergencia obstétrica Depende del estado general de la paciente Depende de la clasificación clínica
TRATAMIENTO CONSERVADOR Durante años se ha considerado el valor terapéutico del reposo y la abstención sexual, aunque no ha demostrado su verdadera utilidad. El empleo de agentes progestacionales (HCG o Progestágenos naturales o sintéticos), tampoco han demostrado su eficacia, salvo quizá la administración de HCG en caso de abortos de repetición de posible causa hormonal. Si existe DIU  in situ y el hilo es visible, o el dispositivo  accesible con control ecográfico, debe extraerse.
EVACUACIÓN QUIRÚRGICA El tratamiento quirúrgico del aborto se basa en las técnicas de legrado con cureta o por aspiración. El legrado simple El legrado por aspiración Evacuación médica
¿ CUÁL MÉTODO ESCOGER?   La elección del método depende de: Destreza del prestador Equipo y Medicamentos disponibles Condición Clínica  de la Mujer 4.  Preferencia del Profesional
METODOS PARA ABORTO: PRIMER TRIMESTRE   From Safe Abortion: Technical and Policy guidance for Health Systems, WHO,  Semanas desde la ultima menstruación 4  5  6  7  8  9  10  11  12  13  14  15 Mifepristone +   Estudios en proceso Misoprostol   Aspiración manual (AMEU) Aspiración Electrica (EVA)
METODOA PARA ABORTO: SEGUNDO TEIMESTRE Safe Abortion: Technical and Policy guidance for Health Systems,  WHO, 2003  Semanas completas desde L Ultima menstruación 12  13  14  15  16  17  18  19  20  21  22 Aspiración Electrica Dilatación y curetage (D&C) Mifepristona  y dosis Repetidas De  misoprostol Dosis Repetidas de Prostaglandinas
DOS TIPOS DE ASPIRACIÓN AL VACIO Capacidad de Succión---26 Pulgadas De Mercurio  Electrico   Manual Bomba Electrica   jeringa  Manual Succión Constante   Succión Intermitente 350 - 1.200cc De  Capacidad    60cc De Capacidad  Cànula   Cànula Rigida o flexible   Flexible  Diametro de 4 a 16mm    Diametro de 4 a 12mm
Adapted from Greenslade et al. 1993 EFICACIA DEL AMEU TRATAMIENTO DEL ABORTO INCOMPLETO ESTUDIOS 19 PROCEDIMIENTOS >5.000 TIEMPO DE ASPIRACIÓN 3 a 5 minutos % DE EFICACIA >99%
VENTAJAS DEL AMEU EN TRATAMIENTO DEL ABORTO INCOMPLETO   Requiere solo ligera dilatación cervical Bajo Riesgo de complicaciones Bajo costo Requiere escasos recursos Procedimiento Ambulatorio Anestesia local Rapido reintegro a sus labores
Aborto Voluntario de menos de 12 semanas Aborto Incompleto  Aborto Retenido Mola Hidatidiforme Falla del Aborto Farmacológico Biopsia de Endometrio USOS DEL AMEU
METODOS FARMACOLÓGICOS MIFEPRISTONA: Francia  80s  RU486 Bloquea receptor de progesterona Altera el endometrio Induce actividad uterina Francia 1988:Licencia Mifepristona/PG EEUU:2000 FDA
EFICACIA MÉTODOS FARMACOLÓGICOS Mifepristona/Misoprostol:  95%  si EG 49 días Aborto completo: 67% 4h luego de misoprostol 95% 24h luego AMEU:  Aborto incompleto- hemorragia excesiva Fracaso:  AMEU- D&C
CONTRAINDICACIONES Embarazo ectópico Alergia Uso crónico de corticosteroides Falla renal crónica Coagulopatía-Porfiria-HTAC- Anemia -Hepatopatía
EMBARAZO ECTOPICO DEFINICION IMPLANTACION ANORMAL DEL EMBARAZO FUERA DE LA CAVIDAD UTERINA SIEMPRE  DEBEMOS SOSPECHAR
ETIOLOGIA PRESENCIA DE OBSTACULOS PARA LA MIGRACION DEL HUEVO FECUNDADO DENTRO DE LA CAVIDAD UTERINA, O ALTERACIONES DEL ENDOMETRIO PARA SU IMPLANTACION
INCIDENCIA ES VARIABLE SEGÚN ESTATUS ECONÓMICO. H. SAN BARTOLOME 1 CADA 767 H. REBAGLIATI 1 CADA 553 H. MARÍA AUXILIADORA 1 CADA 156 H. CAYETANO HEREDIA 1 CADA 129 Perú  …………….  1  / 667  Emb. Hospital Departamental de Huancavelica    1 /729 Embarazos.
FACTORES ASOCIADOS ALTO RIESGO  ECTOPICO PREVIO  CON TRATAMIENTO DE FERTILIZACIÓN ARTIFICIAL, INCLUYENDO LA INDUCCIÓN DE OVULACIÓN  USUARIAS DE LA PILDORA DE LA MAÑANA SIGUIENTE Y LA MINIPILDORA
FACTORES DE RIESGO ASOCIADOS ALTO RIESGO   R. R.  CIRUGÍA TUBARIA 21.0 Esterilización 9.3 Antec. de embarazo ectopico 8.3   Uso de DIU  4.2-45   Alteración patológica  tubarica demostrada 3.8-21 RIESGO MODERADO Infecundidad   2.5-21 Antecedente de infecciones genitales  2.5-3.7 Múltiples compañeros sexuales    2.1 RIESGO LEVE Cirugía pélvica o abdominal previa  0.93-9.8 Tabaquismo 2.3 – 2.5 Duchas   vaginales  1.1 – 3.1 Edad primer coito < de 18 años    1.6
 
 
ETIOLOGIA EN MUJERES CON TROMPAS ANORMALES: DAÑO INFECCIOSO: PID 6-10 VECES DEFECTOS DEL DESARROLLO CIRUGIA TUBARIA: REPARACIÓN/ ESTERILIZACIÓN
ETIOLOGIA EN MUJERES CON TROMPAS NORMALES DIU LIBERADOR DE PROGESTERONA TRANSMIGRACIÓN TARDÍA REGURGITACIÓN DEL HUEVO BLASTOCISTOS CON ANOMALÍAS CROMOSÓMICAS
SITIOS DE IMPLANTACION CONCEPCION NATURAL TUBARIA(98.3%) Ampular  (79.6%) Ístmica  (12.9%) Fimbrica  (6.2%) Intersticial(1.9%) ABDOMINAL(1.4% OVARICA(0.15%) CERVICAL(0.15%) DESPUES DE TRA TUBARIA(82.2%) Ampular  (92.7%) Intersticial  (7.3%) OVARICA/ABDOMINAL (4.6%) CERVICAL(1.5%) HETEROTOPICA (0.1%)
 
 
  CUADRO CLINICO SINTOMAS DOLOR ABDOMINAL  90-100% AMENORREA  75-95% HEMORRAGIA VAGINAL  50-80% MAREO, SINCOPE  20-35% URGENCIA PARA DEFECAR 5-15% SINTOMAS GESTACIONALES 10-25% EXPULSION DE TEJIDO  5-10%
DIAGNÓSTICO:  SIGNOS Y SÍNTOMAS EMBARAZO ECTOPICO COMPLICADO:  INESTABILIDAD HEMODINÁMICA INCLUSO SHOCK HIPOVOLÉMICO, ABDOMEN AGUDO QUIRÚRGICO, MASA PÉLVICA, CULDOCENTESIS POSITIVA.
DIAGNÓSTICO:  SIGNOS Y SÍNTOMAS EMBARAZO ECTOPICO  NO COMPLICADO:  Dolor abdominal y/o pélvico  retraso menstrual  sangrado vía vaginal  masa y/o dolor anexial  cambios uterinos de tipo gestacional  Hasta en un 40-60% de los casos es totalmente asintomático.
 
 
CUADRO CLINICO SINTOMAS HIPERSENSIBILIDAD ANEXIAL  75-90% HIPERSENSIBILIDAD ABDOMINAL  80-95% TUMOR ANEXIAL  20% CRECIMIENTO UTERINO  20-30% CAMBIOS ORTOSTATICOS 10-15%
DIAGNOSTICO HISTORIA CLINICA EXAMEN FISICO ECOGRAFIA DOSAJE DE HCG CULDOCENTESIS
AYUDAS DIAGNÓSTICAS BETA HCG CUANTITATIVA EN SANGRE PROGESTERONA SERICA ECOGRAFIA ABDOMINAL Y TRANSVAGINAL LA ZONA DISCRIMINATORIA LEGRADO UTERINO LAPAROSCOPIA - LAPA ROTOMIA
Diagnóstico  La ecografía en combinación con los análisis de B-hCGpermite el diagnóstico definitivo del embarazo ectópico
DIAGNOSTICO (I)  TEST  DE EMBARAZO Nivel discriminatorio: 2000 mUI/ml Subunidad    de GCH: Aumento  >  66% en control a las 48 Hs
 
DETERMINACION DE b-HCG La HCG es una hormona glucoproteica secretada por el sincitiotrofoblasto y alcanza un nivel máximo de 50000-100000 UI/l a las 8-10 semanas de gestación. Las técnicas modernas determinan los niveles séricos de la subunidad b de la HCG, ya que es específica de esta hormona. Con un límite de detección inferior a 5 UI/l en el análisis de la b-HCG sérica, no debería haber resultados falso negativos; sin embargo, excepcionalmente ,se puede dar esta situación justificando el uso de la laparoscopia cuando el cuadro clínico es confuso.
Nivel pico de HCG  % de ectópicos  <1000  45%  1000-3000  21%  3000-5000  15%  5000-10,000  10%  > 10,000  9%
La utilidad clínica de las determinaciones cuantitativas de b-HCG es triple: 1.  Evaluación de la viabilidad del embarazo En este sentido, un aspecto importante es la curva de ascenso de la b-HCG sérica. En las primeras 6 semanas de un embarazo normal esta curva responde a un patrón exponencial. La curva se aplana en caso de aborto y sospecharemos la existencia de un EE cuando el ascenso de la b-HCG cada 48 horas sea menor del 60%. Este dato debe ser valorado con mucha cautela y nunca aisladamente, a fin de evitar los falsos positivos y negativos o las conductas terapeúticas precipitadas . 2.  Correlación con la ultrasonografía Cuando los títulos superan las 1000 -1500 UI/l, se debería detectar gestación intrauterina mediante ecografía transvaginal. 3.  Evaluación de los resultados del tratamiento Los niveles decrecientes son compatibles con un tratamiento médico o quirúrgico efectivo.
B - hCG positivo con hCG> 50 mUI/ml 8 -10 días tras la concepción positivo en 99% de ee sintomático B - hCG 4 sem100 IU/l 5 sem1 000 IU/l 6 sem10 000 IU/l 5a semana saco gestacional 5 -6 sem saco vitelino1cm 6a semana embrión 1.5mm
B - hCG Todos los embarazos intrauterinos viables deben ser visibles ecograficamente con una hCG serica  de 2000 mUI/ml o mas .
Existe una zona “discriminatoria” de hCG para diferenciar entre gestación intrauterina y extrauterina por medio de la ecografía. Esta zona se sitúa entre 1800-3000 mUI/ml con sonda abdominal. En 800-1.000 mUI/ml con sonda vaginal (nivel de evidencia III, grado de recomendación C). En ausencia de gestación intrauterina un valor de β-hCG por encima del nivel discriminatorio significa, generalmente, la presencia de un EE. Cuando encontramos valores de β-hCG por debajo de la zona discriminatroria, las determinaciones seriadas resultan muy útiles para diferenciar una gestación intrauterina incipiente de un EE o un aborto reciente. En la gestación intrauterina normal el tiempo requerido para que la hCG duplique su valor es de aproximadamente 3 días, mientras que en los casos de aborto reciente hay una considerable disminución de los valores en el mismo tiempo.
DIAGNOSTICO (II) Laparoscopía : 3-4% Falso Negativo   5% Falso Positivo Ecografía : -Visualización emb. intraútero    temprano reduce probabilidad    de Embarazo ectópico.   -  Heterotópico :  1/39000 - 1/2100    (en emb. con inducción  de    ovulación: 2.9%)
 
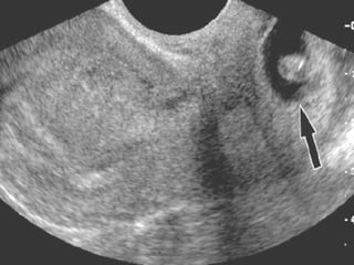
ECOGRAFIA El diagnóstico del EE se ha beneficiado de los avances producidos en el campo de la ecografía, principalmente a través del desarrollo de la vía transvaginal. Varios son los hallazgos ecográficos sugestivos o diagnósticos de EE: - Ausencia de saco intrauterino: un título de b-HCG superior a 1000-1500 UI/l sin saco intrauterino es compatible con EE. Con gestaciones múltiples, el saco gestacional no es visible hasta que los títulos son ligeramente mayores. Por otra parte, la comprobación de un embarazo intrauterino viable no permite descartar por completo la existencia de un EE, debiendo descartar un embarazo heterotópico especialmente cuando se han empleado técnicas de reproducción asistida.
-  Masa anexial anormal que puede  presentarse ecográficamente de diferentes formas: § Saco gestacional típico: corona ecogénica que delimita centralmente una laguna anecoica. § Actividad cardiaca anexial factible cuando los niveles de b-HCG son de aproximadamente 15000-20000 U/l. § Hematosalpinx, aisladamente o asociado al saco gestacional. § Hemoperitoneo, infrecuente cuando el diagnóstico se establece de forma precoz.
¿Que tipo de ecografía?  La ecografía  transvaginal antecede en una semana a la ecografía abdominal en la detección de una gestación intrauterina. La ecografía  transvaginal detecta las masas anexiales mejor que la ecografía abdominal.
 
 
CRITERIOS PARA DIAGNOSTICO DE EMBARAZO ECTÓPICO
Saco seudogestacional  de embarazo ectópico y embarazo temprano intrauterino normal (EIU)
 
 
MANEJO DE EMBARAZO ECTOPICO
 
 
COMPLICACIONES SHOCK HIPOVOLEMICO PELVIPERITONITIS MUERTE MATERNA
DIAGNOSTICO DIFERENCIAL CUERPO LUTEO HEMORRÁGICO. QUISTE ANEXIAL COMPLICADO HUD. AMENAZA DE ABORTO O ABORTO ENFERMEDAD DEL TROFOBLASTO APENDICITIS
TRATAMIENTO Básicamente hay tres posibilidades: tratamiento médico, tratamiento quirúrgico (radical o conservador) y tratamiento expectante.
HOSPITALIZACION : TODA PACIENTE CON EMBARAZO ECTOPICO COMPLICADO O NO COMPLICADO REPOSO ABSOLOUTO. VÍA PERIFÉRICA AG.Nº 18 CONTROL ESTRICTO F.V. EXÁMENES AUXILIARES
TRATAMIENTO MEDICO CRITERIOS Deseo de fertilidad futura. Tumoración <de 3 cm con serosa indemne, no hemorragia activa. Paciente hemodinamicamente estable. Actividad cardiaca fetal ausente. Persistencia de tejido trofoblástico luego de cirugía conservadora.
 
Pautas de administración: Metotrexato intramuscular, dosis única de 50  mg/m2 de superficie corporal. Es el régimen más utilizado. Si no hay un descenso de la β-HCG de al menos el 15% entre los valores del día 4 y del día 7, se puede repetir una nueva dosis. La tasa de éxito si sólo se utiliza una dosis, es del 87,2%, con permeabilidad tubárica en el 81% de casos tratados, tasa de embarazos del 61% de mujeres con deseo gestacional y tasa de ectópicos posterior del 7,8%.
Metotrexato intramuscular, dosis múltiples. Se administra  1mg/kg de peso los días 1, 3, 5 y 7 con 4 dosis de rescate de ácido folínico intramuscular (0,1 mg/kg) los días 2, 4, 6 y 8. El control se efectúa con β-HCG desde eldía 4. El tratamiento se interrumpe cuando se observa una disminución de los valores de β-HCG en dos días consecutivos o después de las 4 dosis de metotrexato (4). Esta pauta presenta una tasa de éxito del 94%, con persistencia de la trompa permeable en el 78% de mujeres tratadas. La tasa de embarazo posterior es del 58%. Como complicación, señalar que aparece una nueva gestación ectópica en el 7% de las mujeres que buscan la gestación.
TRATAMIENTO QUIRURGICO Las principales razones para optar por cirugía de entrada serían: Paciente que no cumple los criterios de tratamiento médico. Necesidad de utilizar la laparoscopia para diagnosticar el embarazo ectópico. Rotura o sospecha de rotura de un embarazo ectópico
TRATAMIENTO QUIRURGICO NO COMPLICADO: Laparotomía o Laparoscopía Tubárico: Salpinguectomía total (evaluar cuidadosamente tratamiento conservador ) - Salpingostomía  lineal  ó salpinguectomía  parcial. Cornual: resección cornual ó HAT .
Manejo Expectante Sintomatología  mínima. Masa anexial pequeña (< de 4cm.) con hCG cayendo o estable. 25% de pacientes con E. Ectópico reúne requisitos  69 a 100%  EXITO Mayor costo, ansiedad de paciente.
PRONÓSTICO LA CIRUGIA CONSERVADORA EN UN EMBARAZO ECTOPICO NO COMPLICADO RESTAURA LA LUZ EN UN 80% DE CASOS NO HAY DIFERENCIA CON EL TRATAMIENTO MÉDICO LA PROPORCIÓN DE RECURRENCIA ES DE 1: 6 PERO SE ELEVA A 1:10 SI LA OTRA TROMPA ESTABA NORMAL
PRONÓSTICO DESPUÉS DE UN ECTÓPICO CON CIRUGÍA CONSERVADORA: a) LA TASA DE PARTO SUBSECUENTE ES  55-60% b) LA TASA DE RECURRENCIA ES 15-20% c) LA TASA DE INFERTILIDAD ES 25-30% Y SI LA OTRA TROMPA ESTA  BLOQUEADA O AUSENTE: a) 45-50%  b) 20-30%  c) 30-35%
NEOPLASIA TROFOBLASTICA GESTACIONAL/ ENFERMEDAD TROFOBLASTICA GESTACIONAL
ENFERMEDAD DEL TROFOBLASTO Definición: Anormal proliferación de tejido trofoblástico asociado a gestación. Posibilidad de curación con quimioterapia. Producción de gonadotropina coriónica humana. Origen en tejidos fetales (antígenos paternos de histocompatibilidad:  rechazo inmunológico).
INCIDENCIA Mola hidatiforme 1/1000 a 1/2000 Coriocarcinoma 1/2000 a 40 000 embarazos 50%  embarazo término 25%  embarazo molar 25%  otras gestaciones
ETG EPIDEMIOLOGIA - Nueva Zelanda  : 0.67x 1000 embarazos. - Australia  : 0.57x 1000 embarazos. -Paraguay  : 0.26 x 1000 embarazos. -  PERU  : HCH Piura  1/488 HML  1/476 HAMA  1/241 HAL  1/213 HSB  1/165
PATOLOGIA  OMS MOLA HIDATIFORME MOLA INVASIVA CORIOCARCINOMA TUMOR TROFOBLASTICO DE ORIGEN PLACENTARIO
Enfermedad Trofoblástica Gestacional: Epidemiología Países pobres Edades extremas Abortos espontáneos Nulíparas Grupo sanguíneo A : Coriocarcinoma
Embarazo molar (1/1000-1000) Transformación maligna 6-19% 80% Mola hidatiforme Corioadenoma destruens 15% 5% Coriocarcinoma Historia Natural Enfermedad Trofoblástica Gestacional
Mola Hidatidiforme Placenta anormal no invasiva caracterizada por vellosidades coriónicas agrandadas, edematosas y vesiculares acompañada de cantidad variable de trofoblasto proliferativo. Se divide en mola completa (75%) y parcial (25%).
CARIOTIPO MOLA COMPLETA OVULO  +  23X  23X  ENDORREDUPLIC.  46XX  VACIO  23X  homocigoto OVULO  +  46XY VACIO  23X heterocigoto OVULO  23X VACIO  +  46XY 23Y 46YY  Gameto no viable
MOLA HIDATIDIFORME - HISTOLOGIA hiperplasia del estroma y la gran dilatación de las vellosidades coriales.
MOLA HIDATIFORME.  CLASIFICACION
MOLA HIDATIFORME. CLASIFICACION
FACTORES DE RIESGO DE MOLA HIDATIFORME A TRANSFORMACION MALIGNA
Manifestaciones Clínicas I. Mola Completa Sangrado vaginal : 97% Útero grande mayor que la EG Ausencia de LCF Quistes tecoluteinicos Anemia: 50% Toxemia antes semana 26: 20-30% Hiperemesis gravidaruma: 10%
MOLA HIDATIDIFORME
SEMIOLOGIA DE LA ETG - Hemorragia genital -Hiperémesis gravidica. -Enfermedad hipertensiva del embarazo. -Síndrome hipertiroideo. -Palidez. -Compromiso del estado general. -Tamaño uterino mayor. -Tumor ovárico bilateral. -Expulsión de vesiculas por vía vaginal.
SEMIOLOGIA DE LA ETG - No se auscultan LCF. -Hemorragia persistente del puerperio. -Tumores que sugieren metástasis. -Embolismo  pulmonar trofoblastico
Mola hidatidiforme
MOLA HIDATIDIFORME
 
Manifestaciones Clínicas I. Mola Parcial Sangrado vaginal  Anemia Útero grande mayor que la EG: 10% Feto vivo : 1/100,000
CARIOTIPO  MOLA PARCIAL 23X  +  23X  69XXX 23X  23X  +  23Y  69XYY 23Y 23X  +   23X  69XXY  23Y
MOLA PARCIAL
Mola Hidatidiforme Parcial
MOLA PARCIAL
Mola Invasiva Invasión del miometrio o de sus vasos sanguineos por células del citotrofoblasto y del sincitiotrofoblasto. Hay persistencia de las vellosidades placentarias
CORIOCARCINOMA Forma maligna Cualquier tipo de embarazo Sincito y cito trofoblástico.  No hay vellosidad corial. Hemorragia necrosis e invasión. Metástasis rápida hematógena.
Coriocacinoma (1/20000- 40000 embarazos ) Kudelka A.Freedman R and Kaavanagh J. Gestational trophoblastic tumors. USA,2002  Historia Natural del la Enfermedad Trofoblástica Gestacional Gestación molar 50% 20% Aborto 25% Gestación A término 5% Embarazo ectópico
Coriocarcinoma
TUMOR TROFOBLASTO DE ORIGEN PLACENTARIO Rara. Asociado a cualquier gestación. Célula trofoblástica intermedia. Infiltra endometrio, miometrio y arterias. Curso impredecible  90% benigno   10% maligno  GC puede ser negativa.  Dosaje de lactógeno placentario. Tratamiento histerectomía.  Resistente QT.
Tumor trofoblástico del lecho placentario Arato G et al. Pathology Oncology Research 2000;6;4:292
MANEJO EMBARAZO MOLAR Exámen clínico meticuloso. Laboratorio:  hematológicos Bioquímicos Gonadotropina Coriónica Test de función tiroidea. Radiografía de pulmones.
Examenes Auxiliares RADIODIAGNOSTICO. -Ecografia abdomino  pélvica. -Radiografia de torax- TAC de torax. -TAC de cerebro. ANATOMIA PATOLOGICA. -Muestras de vesicula o tumor ( no biopsia) No es necesario AP para  DIAGNOSTICO.
EMBARAZO MOLAR TRATAMIENTO - Legrado por aspiración (desea fertilidad) .Oxitocina en goteo.  .Dilatación cervical. .Legrado por aspiración. .Legrado con cucharilla. -Histerectomia con conservación de ovarios (paridad completa, no previene la metastasis) -QT profilactica (Actinomicina D 1 ciclo ) (reduce la enfermedad persistente de 20% a 4%)
EMBARAZO MOLAR VIGILANCIA -Dosaje de B HCG c/ 2 sem, hasta obtener 2 negativos sucesivos. -Luego cada 2 meses por un año. -Exploración pelvica c/ 2 sem hasta remisión luego c/ 3meses por un año. -Rx torax condicional. -ACO por 6 a 12 meses.
En una evolución benigna, la disminución del marcador hCG se produce en sobre una línea recta en una escala logarítmica. Regresión de HCG - B
ETG MALIGNA Si HCG B aumenta, se mantiene en meseta o maneja valores de  > 20,000 Ui/lt serica durante las primeras cuatro semanas de seguimiento se clasifica como ETG maligna, persistente o residual.
ETG PERSISTENTE ETG  PERSISTENTE
 
GRACIAS

Hemorragia Del Primer Trimestre Oct2008 (Pp Tminimizer)

  • 1.
    ACTUALIZACION EN OBSTETRICIA HEMORRAGIA DEL PRIMER TRIMESTE DR FELIX CAMPOS ALCALA DPTO DE GINECOLOGIA Y OBSTETRICIA OCTUBRE 2008
  • 2.
    HEMORRAGIA EN GESTANTESSIGNO DE PELIGRO ALERTA ROJA
  • 3.
    PRINCIPALES CAUSAS DEMORTALIDAD MATERNA Hemorragia (47%) Otras (19%) Infección (15%) HIE (12%) Aborto ( 5%) TBC ( 1%) Parto obstruido ( 1%) MINSA 2001
  • 4.
    CLASIFICACION DE LASHEMORRAGIAS OBSTETRICAS A. DURANTE EL EMBARAZO PRIMERA MITAD DEL EMBARAZO (PRIMERAS 22 SEMANAS DE EMBARAZO) SEGUNDA MITAD DEL EMBARAZO ( DESPUES DE LAS 22 SEMANAS DE EMBARAZO Y DURANTE EL TRABAJO DE PARTO PERO ANTES DE QUE SE PRODUZCA EL PARTO) B. DURANTE EL POST PARTO
  • 5.
    TODA HEMORRAGIA QUEOCURRE EN EL EMBARZO ES ANORMAL Y REQUIERE UN DIAGNOSTICO OPORTUNO Y PRECISO
  • 6.
    PRIMERA MITAD DELEMBARAZO ABORTO EMBARAZO ECTOPICO ENFERMEDAD DEL TROFOBLASTO- MOLA HIDATIFORME
  • 7.
    HEMORRAGIA DE LAPRIMERA MITAD DEL EMBARAZO ABORTO Interrupción del embarazo (espontaneo o inducido) antes de las 22 semanas y cuando el producto pesa menos de 500 gramos
  • 8.
    ABORTO PRECOZ Antes de las 12 semanas ABORTO TARDIO 12 a 22 semanas OMS: Muerte fetal precoz < 21 sem Muerte fetal intermedia 21 y 27 sem Muerte fetal tardía 28 sem Según su edad gestacional – Aborto bioquímico o preclínico: es la interrupción de la gestación después de nidación y antes de la identificación ecográfica del saco gestacional (cuatro-cinco semanas de gestación). – Aborto clínico: ocurre posterior a la gestación del saco gestacional, se divide en embrionario (de la seis a la ocho semanas gestacionales) o fetal (de la diez a la veintidós semanas gestacionales ).
  • 9.
    FRECUENCIA Se estimaque existe una pérdida espontánea del 10 al 15% de todos los embarazos pronosticados. Esta frecuencia aumentaría hasta el 50% si incluyéramos los casos no diagnosticados clinicamente (abortos infra o preclínicos). En mujeres que no han tenido hijos, después de un primer aborto, la probabilidad de un segundo es de un 19%. Si ha tenido dos abortos previos esta cifra aumenta al 35%, y si ha tenido tres abortos anteriores esta probabilidad asciende al 47%.
  • 10.
    EPIDEMIOLOGÍA Por cadamuerte materna, hay 15 mujeres con secuelas 40% de abortos se practican en condiciones de riesgo 80% en mujeres con embarazos no deseados, por falta de métodos anticonceptivos, 20% por fallas del método Cuarta causa de muerte materna en Perú
  • 11.
    INCIDENCIA EN PERÚDificultades en el registro No se registran como tales, los del primer trimestre Hemorragias de diferentes etiologías, se registran como abortos Los abortos provocados no quedan registrados En franco incremento
  • 12.
    Epidemiología- Perú Actualmentecuarta causa de muerte materna (¿?) Probabilidad que una peruana entre los 15 y 49 años tenga un aborto es de 6% 50 – 57% de las gestaciones son no deseada Aborto terapéutico aceptado
  • 13.
  • 14.
  • 15.
  • 16.
  • 17.
  • 18.
  • 19.
  • 20.
    CLASIFICACION AMENAZA DEABORTO ABORTO EN CURSO: A. INMINENTE O B. INEVITABLE ABORTO COMPLETO ABORTO INCOMPLETO ABORTO FRUSTRO ABORTO SEPTICO ABORTO RECURRENTE O HABITUAL
  • 21.
    DIAGNOSTICO HISTORIA CLINICAEXAMEN FISICO ECOGRAFIA EXAMENES DE LABORATORIO: HCG, HTO, HEMOGRAMA OTROS
  • 22.
    CUADRO CLINICO Sangradovaginal Dolor abdominal Membranas intactas o rotas Cambios cervicales o no
  • 23.
    Amenaza de abortoCUADRO CLÍNICO La paciente con amenorrea y síntomas subjetivos de embarazo refiere tener pérdida de sangre. Al principio sangra poco, de forma fluida o intermitente, y la sangre es roja y otras veces negruzca. El sangramiento puede asociarse con sensación de peso o dolor ligero en el bajo vientre y, en ocasiones, sensación de pesadez en la raíz de los muslos e ingles, así como sacrolumbalgias. Al examen vaginal se palpa el útero aumentado, de tamaño correspondiente al tiempo de amenorrea , reblandecido. El cuello uterino, también reblandecido, mantiene su longitud. En la nulípara los orificios interno y externo están cerrados. En la multípara el orificio externo puede estar abierto.
  • 24.
  • 25.
    ABORTO EN CURSO CUADRO CLÍNICO En este estadio las hemorragias se hacen más abundantes y las contracciones uterinas son más intensas y dolorosas, a veces rítmicas, similares a los cólicos. En este caso y mediante el tacto vaginal se encuentran modificaciones evidentes del cuello del útero. El cuello uterino se acorta y el orificio cervical interno se dilata, de manera que el fruto puede percibirse con el dedo; esta situación es diferente a la que se presenta con la amenaza de aborto. ABORTO INMINENTE: MEMBRANAS INTACTAS ABORTO INEVITABLE: MEMBRANAS ROTAS TRATAMIENTO En estos casos debe realizarse la evacuación uterina por raspado o aspiración.
  • 26.
  • 27.
    ABORTO CONSUMADO CUADROCLÍNICO El cuadro clínico del aborto completo es distinto al del aborto incompleto. En el primer caso se produce la expulsión de un saco ovular íntegro, la hemorragia disminuye rápidamente y cesa a los 2 ó 3 días. Los dolores desaparecen, el útero disminuye de tamaño y se endurece; el cuello uterino se cierra rápidamente. Es mayor la frecuencia del aborto incompleto. La paciente refiere que después de la pérdida de sangre y los dolores ha expulsado algo, pero que las hemorragias continúan y los dolores han cesado o persisten. El útero tiene un tamaño aumentado, pero no se corresponden con el tiempo de amenorrea. El cuello del útero no se ha cerrado y sigue permeable. TRATAMIENTO El aborto consumado completo sin hemorragia ni infección puede ser tratado en forma conservadora. ABORTO incompleto LU o AMEU
  • 28.
    ABORTO FRUSTRO Eldiagnóstico puede establecerse clínicamente por la detención del crecimiento del útero, la disminución del tamaño uterino, la desaparición de los síntomas de embarazo y puede corroborarse con las pruebas de embarazo negativas, así como por la ecografía Todo estado de retención debe vigilarse y realizar determinaciones periódicas de fibrinógeno. En el tratamiento del estado de retención se aconseja actualmente la evacuación del útero, para evitar los problemas relacionados con las coagulopatías. Una situación a tener en cuenta dentro de este, es la gestación anembrionada, que consiste en la ausencia de embrión dentro del saco gestacional. Su causa mas importante es la alteración cromosómica
  • 29.
    ABORTO HABITUAL 0RECURRENTE Se denomina así al aborto que se presenta en 3 o más ocasiones consecutivas de forma espontánea; o 5 o mas consecutivos Se debe en primer lugar a las alteraciones cromosómicas en el mayor número de casos Las otras causas más aceptadas y fáciles de demostrar son la incompetencia cervical (en estos casos el aborto siguiente es de menos edad gestacional que el anterior) y la incompetencia de la cavidad uterina dada por malformaciones, tumores, adenomiosis o sinequias (que se caracterizan por abortos de mayor edad gestacional cada vez). Con la valoración clínica de pacientes con aborto habitual y algunos exámenes como ultrasonografía, histerosalpingografía, histeroscopia y laparoscopia, muchas veces podemos demostrar que no existen afecciones uterinas ni cervicales que expliquen el aborto habitual,y entonces tenemos que detectar las anomalías cromosómicas estudiando a los fetos de los abortos.
  • 30.
    ABORTO SÉPTICO Elaborto séptico es la infección del útero y/o de los anejos que se presenta tras un aborto. La infección tras aborto es un proceso ascendente y puede estar causado por una cervicovaginitis preexistente, por retención de restos abortivos que se sobreinfectan y en el caso de aborto provocado, por una perforación del útero y/o otras estructuras, o por mala técnica aséptica… Es una infección polimicrobiana en relación con la flora vaginal endógena, y suele aislarse E. coli, Enterobacter aerogenes, Proteus vulgaris, estreptococos hemolíticos como estafilococos y anaerobios. Es un cuadro clínico definido por la aparición de fiebre, escalofrío y dolor abdominal después de un aborto. En la exploración destaca la presencia de hemorragias, leucorrea de aspecto purulento y aumento del tamaño uterino, que muestra una consistencia blanda con dolor a la movilización cervical, pudiendo palparse una masa anexial dolorosa
  • 31.
    Tratamiento del abortoManejo como emergencia obstétrica Depende del estado general de la paciente Depende de la clasificación clínica
  • 32.
    TRATAMIENTO CONSERVADOR Duranteaños se ha considerado el valor terapéutico del reposo y la abstención sexual, aunque no ha demostrado su verdadera utilidad. El empleo de agentes progestacionales (HCG o Progestágenos naturales o sintéticos), tampoco han demostrado su eficacia, salvo quizá la administración de HCG en caso de abortos de repetición de posible causa hormonal. Si existe DIU in situ y el hilo es visible, o el dispositivo accesible con control ecográfico, debe extraerse.
  • 33.
    EVACUACIÓN QUIRÚRGICA Eltratamiento quirúrgico del aborto se basa en las técnicas de legrado con cureta o por aspiración. El legrado simple El legrado por aspiración Evacuación médica
  • 34.
    ¿ CUÁL MÉTODOESCOGER? La elección del método depende de: Destreza del prestador Equipo y Medicamentos disponibles Condición Clínica de la Mujer 4. Preferencia del Profesional
  • 35.
    METODOS PARA ABORTO:PRIMER TRIMESTRE From Safe Abortion: Technical and Policy guidance for Health Systems, WHO, Semanas desde la ultima menstruación 4 5 6 7 8 9 10 11 12 13 14 15 Mifepristone + Estudios en proceso Misoprostol Aspiración manual (AMEU) Aspiración Electrica (EVA)
  • 36.
    METODOA PARA ABORTO:SEGUNDO TEIMESTRE Safe Abortion: Technical and Policy guidance for Health Systems, WHO, 2003 Semanas completas desde L Ultima menstruación 12 13 14 15 16 17 18 19 20 21 22 Aspiración Electrica Dilatación y curetage (D&C) Mifepristona y dosis Repetidas De misoprostol Dosis Repetidas de Prostaglandinas
  • 37.
    DOS TIPOS DEASPIRACIÓN AL VACIO Capacidad de Succión---26 Pulgadas De Mercurio Electrico Manual Bomba Electrica jeringa Manual Succión Constante Succión Intermitente 350 - 1.200cc De Capacidad 60cc De Capacidad Cànula Cànula Rigida o flexible Flexible Diametro de 4 a 16mm Diametro de 4 a 12mm
  • 38.
    Adapted from Greensladeet al. 1993 EFICACIA DEL AMEU TRATAMIENTO DEL ABORTO INCOMPLETO ESTUDIOS 19 PROCEDIMIENTOS >5.000 TIEMPO DE ASPIRACIÓN 3 a 5 minutos % DE EFICACIA >99%
  • 39.
    VENTAJAS DEL AMEUEN TRATAMIENTO DEL ABORTO INCOMPLETO Requiere solo ligera dilatación cervical Bajo Riesgo de complicaciones Bajo costo Requiere escasos recursos Procedimiento Ambulatorio Anestesia local Rapido reintegro a sus labores
  • 40.
    Aborto Voluntario demenos de 12 semanas Aborto Incompleto Aborto Retenido Mola Hidatidiforme Falla del Aborto Farmacológico Biopsia de Endometrio USOS DEL AMEU
  • 41.
    METODOS FARMACOLÓGICOS MIFEPRISTONA:Francia 80s RU486 Bloquea receptor de progesterona Altera el endometrio Induce actividad uterina Francia 1988:Licencia Mifepristona/PG EEUU:2000 FDA
  • 42.
    EFICACIA MÉTODOS FARMACOLÓGICOSMifepristona/Misoprostol: 95% si EG 49 días Aborto completo: 67% 4h luego de misoprostol 95% 24h luego AMEU: Aborto incompleto- hemorragia excesiva Fracaso: AMEU- D&C
  • 43.
    CONTRAINDICACIONES Embarazo ectópicoAlergia Uso crónico de corticosteroides Falla renal crónica Coagulopatía-Porfiria-HTAC- Anemia -Hepatopatía
  • 44.
    EMBARAZO ECTOPICO DEFINICIONIMPLANTACION ANORMAL DEL EMBARAZO FUERA DE LA CAVIDAD UTERINA SIEMPRE DEBEMOS SOSPECHAR
  • 45.
    ETIOLOGIA PRESENCIA DEOBSTACULOS PARA LA MIGRACION DEL HUEVO FECUNDADO DENTRO DE LA CAVIDAD UTERINA, O ALTERACIONES DEL ENDOMETRIO PARA SU IMPLANTACION
  • 46.
    INCIDENCIA ES VARIABLESEGÚN ESTATUS ECONÓMICO. H. SAN BARTOLOME 1 CADA 767 H. REBAGLIATI 1 CADA 553 H. MARÍA AUXILIADORA 1 CADA 156 H. CAYETANO HEREDIA 1 CADA 129 Perú ……………. 1 / 667 Emb. Hospital Departamental de Huancavelica 1 /729 Embarazos.
  • 47.
    FACTORES ASOCIADOS ALTORIESGO ECTOPICO PREVIO CON TRATAMIENTO DE FERTILIZACIÓN ARTIFICIAL, INCLUYENDO LA INDUCCIÓN DE OVULACIÓN USUARIAS DE LA PILDORA DE LA MAÑANA SIGUIENTE Y LA MINIPILDORA
  • 48.
    FACTORES DE RIESGOASOCIADOS ALTO RIESGO R. R. CIRUGÍA TUBARIA 21.0 Esterilización 9.3 Antec. de embarazo ectopico 8.3 Uso de DIU 4.2-45 Alteración patológica tubarica demostrada 3.8-21 RIESGO MODERADO Infecundidad 2.5-21 Antecedente de infecciones genitales 2.5-3.7 Múltiples compañeros sexuales 2.1 RIESGO LEVE Cirugía pélvica o abdominal previa 0.93-9.8 Tabaquismo 2.3 – 2.5 Duchas vaginales 1.1 – 3.1 Edad primer coito < de 18 años 1.6
  • 49.
  • 50.
  • 51.
    ETIOLOGIA EN MUJERESCON TROMPAS ANORMALES: DAÑO INFECCIOSO: PID 6-10 VECES DEFECTOS DEL DESARROLLO CIRUGIA TUBARIA: REPARACIÓN/ ESTERILIZACIÓN
  • 52.
    ETIOLOGIA EN MUJERESCON TROMPAS NORMALES DIU LIBERADOR DE PROGESTERONA TRANSMIGRACIÓN TARDÍA REGURGITACIÓN DEL HUEVO BLASTOCISTOS CON ANOMALÍAS CROMOSÓMICAS
  • 53.
    SITIOS DE IMPLANTACIONCONCEPCION NATURAL TUBARIA(98.3%) Ampular (79.6%) Ístmica (12.9%) Fimbrica (6.2%) Intersticial(1.9%) ABDOMINAL(1.4% OVARICA(0.15%) CERVICAL(0.15%) DESPUES DE TRA TUBARIA(82.2%) Ampular (92.7%) Intersticial (7.3%) OVARICA/ABDOMINAL (4.6%) CERVICAL(1.5%) HETEROTOPICA (0.1%)
  • 54.
  • 55.
  • 56.
    CUADROCLINICO SINTOMAS DOLOR ABDOMINAL 90-100% AMENORREA 75-95% HEMORRAGIA VAGINAL 50-80% MAREO, SINCOPE 20-35% URGENCIA PARA DEFECAR 5-15% SINTOMAS GESTACIONALES 10-25% EXPULSION DE TEJIDO 5-10%
  • 57.
    DIAGNÓSTICO: SIGNOSY SÍNTOMAS EMBARAZO ECTOPICO COMPLICADO: INESTABILIDAD HEMODINÁMICA INCLUSO SHOCK HIPOVOLÉMICO, ABDOMEN AGUDO QUIRÚRGICO, MASA PÉLVICA, CULDOCENTESIS POSITIVA.
  • 58.
    DIAGNÓSTICO: SIGNOSY SÍNTOMAS EMBARAZO ECTOPICO NO COMPLICADO: Dolor abdominal y/o pélvico retraso menstrual sangrado vía vaginal masa y/o dolor anexial cambios uterinos de tipo gestacional Hasta en un 40-60% de los casos es totalmente asintomático.
  • 59.
  • 60.
  • 61.
    CUADRO CLINICO SINTOMASHIPERSENSIBILIDAD ANEXIAL 75-90% HIPERSENSIBILIDAD ABDOMINAL 80-95% TUMOR ANEXIAL 20% CRECIMIENTO UTERINO 20-30% CAMBIOS ORTOSTATICOS 10-15%
  • 62.
    DIAGNOSTICO HISTORIA CLINICAEXAMEN FISICO ECOGRAFIA DOSAJE DE HCG CULDOCENTESIS
  • 63.
    AYUDAS DIAGNÓSTICAS BETAHCG CUANTITATIVA EN SANGRE PROGESTERONA SERICA ECOGRAFIA ABDOMINAL Y TRANSVAGINAL LA ZONA DISCRIMINATORIA LEGRADO UTERINO LAPAROSCOPIA - LAPA ROTOMIA
  • 64.
    Diagnóstico Laecografía en combinación con los análisis de B-hCGpermite el diagnóstico definitivo del embarazo ectópico
  • 65.
    DIAGNOSTICO (I) TEST DE EMBARAZO Nivel discriminatorio: 2000 mUI/ml Subunidad  de GCH: Aumento > 66% en control a las 48 Hs
  • 66.
  • 67.
    DETERMINACION DE b-HCGLa HCG es una hormona glucoproteica secretada por el sincitiotrofoblasto y alcanza un nivel máximo de 50000-100000 UI/l a las 8-10 semanas de gestación. Las técnicas modernas determinan los niveles séricos de la subunidad b de la HCG, ya que es específica de esta hormona. Con un límite de detección inferior a 5 UI/l en el análisis de la b-HCG sérica, no debería haber resultados falso negativos; sin embargo, excepcionalmente ,se puede dar esta situación justificando el uso de la laparoscopia cuando el cuadro clínico es confuso.
  • 68.
    Nivel pico deHCG % de ectópicos <1000 45% 1000-3000 21% 3000-5000 15% 5000-10,000 10% > 10,000 9%
  • 69.
    La utilidad clínicade las determinaciones cuantitativas de b-HCG es triple: 1. Evaluación de la viabilidad del embarazo En este sentido, un aspecto importante es la curva de ascenso de la b-HCG sérica. En las primeras 6 semanas de un embarazo normal esta curva responde a un patrón exponencial. La curva se aplana en caso de aborto y sospecharemos la existencia de un EE cuando el ascenso de la b-HCG cada 48 horas sea menor del 60%. Este dato debe ser valorado con mucha cautela y nunca aisladamente, a fin de evitar los falsos positivos y negativos o las conductas terapeúticas precipitadas . 2. Correlación con la ultrasonografía Cuando los títulos superan las 1000 -1500 UI/l, se debería detectar gestación intrauterina mediante ecografía transvaginal. 3. Evaluación de los resultados del tratamiento Los niveles decrecientes son compatibles con un tratamiento médico o quirúrgico efectivo.
  • 70.
    B - hCGpositivo con hCG> 50 mUI/ml 8 -10 días tras la concepción positivo en 99% de ee sintomático B - hCG 4 sem100 IU/l 5 sem1 000 IU/l 6 sem10 000 IU/l 5a semana saco gestacional 5 -6 sem saco vitelino1cm 6a semana embrión 1.5mm
  • 71.
    B - hCGTodos los embarazos intrauterinos viables deben ser visibles ecograficamente con una hCG serica de 2000 mUI/ml o mas .
  • 72.
    Existe una zona“discriminatoria” de hCG para diferenciar entre gestación intrauterina y extrauterina por medio de la ecografía. Esta zona se sitúa entre 1800-3000 mUI/ml con sonda abdominal. En 800-1.000 mUI/ml con sonda vaginal (nivel de evidencia III, grado de recomendación C). En ausencia de gestación intrauterina un valor de β-hCG por encima del nivel discriminatorio significa, generalmente, la presencia de un EE. Cuando encontramos valores de β-hCG por debajo de la zona discriminatroria, las determinaciones seriadas resultan muy útiles para diferenciar una gestación intrauterina incipiente de un EE o un aborto reciente. En la gestación intrauterina normal el tiempo requerido para que la hCG duplique su valor es de aproximadamente 3 días, mientras que en los casos de aborto reciente hay una considerable disminución de los valores en el mismo tiempo.
  • 73.
    DIAGNOSTICO (II) Laparoscopía: 3-4% Falso Negativo 5% Falso Positivo Ecografía : -Visualización emb. intraútero temprano reduce probabilidad de Embarazo ectópico. - Heterotópico : 1/39000 - 1/2100 (en emb. con inducción de ovulación: 2.9%)
  • 74.
  • 75.
    ECOGRAFIA El diagnósticodel EE se ha beneficiado de los avances producidos en el campo de la ecografía, principalmente a través del desarrollo de la vía transvaginal. Varios son los hallazgos ecográficos sugestivos o diagnósticos de EE: - Ausencia de saco intrauterino: un título de b-HCG superior a 1000-1500 UI/l sin saco intrauterino es compatible con EE. Con gestaciones múltiples, el saco gestacional no es visible hasta que los títulos son ligeramente mayores. Por otra parte, la comprobación de un embarazo intrauterino viable no permite descartar por completo la existencia de un EE, debiendo descartar un embarazo heterotópico especialmente cuando se han empleado técnicas de reproducción asistida.
  • 76.
    - Masaanexial anormal que puede presentarse ecográficamente de diferentes formas: § Saco gestacional típico: corona ecogénica que delimita centralmente una laguna anecoica. § Actividad cardiaca anexial factible cuando los niveles de b-HCG son de aproximadamente 15000-20000 U/l. § Hematosalpinx, aisladamente o asociado al saco gestacional. § Hemoperitoneo, infrecuente cuando el diagnóstico se establece de forma precoz.
  • 77.
    ¿Que tipo deecografía? La ecografía transvaginal antecede en una semana a la ecografía abdominal en la detección de una gestación intrauterina. La ecografía transvaginal detecta las masas anexiales mejor que la ecografía abdominal.
  • 78.
  • 79.
  • 80.
    CRITERIOS PARA DIAGNOSTICODE EMBARAZO ECTÓPICO
  • 81.
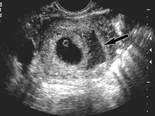
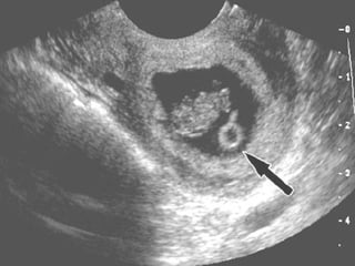
    Saco seudogestacional de embarazo ectópico y embarazo temprano intrauterino normal (EIU)
  • 82.
  • 83.
  • 84.
  • 85.
  • 86.
  • 87.
    COMPLICACIONES SHOCK HIPOVOLEMICOPELVIPERITONITIS MUERTE MATERNA
  • 88.
    DIAGNOSTICO DIFERENCIAL CUERPOLUTEO HEMORRÁGICO. QUISTE ANEXIAL COMPLICADO HUD. AMENAZA DE ABORTO O ABORTO ENFERMEDAD DEL TROFOBLASTO APENDICITIS
  • 89.
    TRATAMIENTO Básicamente haytres posibilidades: tratamiento médico, tratamiento quirúrgico (radical o conservador) y tratamiento expectante.
  • 90.
    HOSPITALIZACION : TODAPACIENTE CON EMBARAZO ECTOPICO COMPLICADO O NO COMPLICADO REPOSO ABSOLOUTO. VÍA PERIFÉRICA AG.Nº 18 CONTROL ESTRICTO F.V. EXÁMENES AUXILIARES
  • 91.
    TRATAMIENTO MEDICO CRITERIOSDeseo de fertilidad futura. Tumoración <de 3 cm con serosa indemne, no hemorragia activa. Paciente hemodinamicamente estable. Actividad cardiaca fetal ausente. Persistencia de tejido trofoblástico luego de cirugía conservadora.
  • 92.
  • 93.
    Pautas de administración:Metotrexato intramuscular, dosis única de 50 mg/m2 de superficie corporal. Es el régimen más utilizado. Si no hay un descenso de la β-HCG de al menos el 15% entre los valores del día 4 y del día 7, se puede repetir una nueva dosis. La tasa de éxito si sólo se utiliza una dosis, es del 87,2%, con permeabilidad tubárica en el 81% de casos tratados, tasa de embarazos del 61% de mujeres con deseo gestacional y tasa de ectópicos posterior del 7,8%.
  • 94.
    Metotrexato intramuscular, dosismúltiples. Se administra 1mg/kg de peso los días 1, 3, 5 y 7 con 4 dosis de rescate de ácido folínico intramuscular (0,1 mg/kg) los días 2, 4, 6 y 8. El control se efectúa con β-HCG desde eldía 4. El tratamiento se interrumpe cuando se observa una disminución de los valores de β-HCG en dos días consecutivos o después de las 4 dosis de metotrexato (4). Esta pauta presenta una tasa de éxito del 94%, con persistencia de la trompa permeable en el 78% de mujeres tratadas. La tasa de embarazo posterior es del 58%. Como complicación, señalar que aparece una nueva gestación ectópica en el 7% de las mujeres que buscan la gestación.
  • 95.
    TRATAMIENTO QUIRURGICO Lasprincipales razones para optar por cirugía de entrada serían: Paciente que no cumple los criterios de tratamiento médico. Necesidad de utilizar la laparoscopia para diagnosticar el embarazo ectópico. Rotura o sospecha de rotura de un embarazo ectópico
  • 96.
    TRATAMIENTO QUIRURGICO NOCOMPLICADO: Laparotomía o Laparoscopía Tubárico: Salpinguectomía total (evaluar cuidadosamente tratamiento conservador ) - Salpingostomía lineal ó salpinguectomía parcial. Cornual: resección cornual ó HAT .
  • 97.
    Manejo Expectante Sintomatología mínima. Masa anexial pequeña (< de 4cm.) con hCG cayendo o estable. 25% de pacientes con E. Ectópico reúne requisitos 69 a 100% EXITO Mayor costo, ansiedad de paciente.
  • 98.
    PRONÓSTICO LA CIRUGIACONSERVADORA EN UN EMBARAZO ECTOPICO NO COMPLICADO RESTAURA LA LUZ EN UN 80% DE CASOS NO HAY DIFERENCIA CON EL TRATAMIENTO MÉDICO LA PROPORCIÓN DE RECURRENCIA ES DE 1: 6 PERO SE ELEVA A 1:10 SI LA OTRA TROMPA ESTABA NORMAL
  • 99.
    PRONÓSTICO DESPUÉS DEUN ECTÓPICO CON CIRUGÍA CONSERVADORA: a) LA TASA DE PARTO SUBSECUENTE ES 55-60% b) LA TASA DE RECURRENCIA ES 15-20% c) LA TASA DE INFERTILIDAD ES 25-30% Y SI LA OTRA TROMPA ESTA BLOQUEADA O AUSENTE: a) 45-50% b) 20-30% c) 30-35%
  • 100.
    NEOPLASIA TROFOBLASTICA GESTACIONAL/ENFERMEDAD TROFOBLASTICA GESTACIONAL
  • 101.
    ENFERMEDAD DEL TROFOBLASTODefinición: Anormal proliferación de tejido trofoblástico asociado a gestación. Posibilidad de curación con quimioterapia. Producción de gonadotropina coriónica humana. Origen en tejidos fetales (antígenos paternos de histocompatibilidad: rechazo inmunológico).
  • 102.
    INCIDENCIA Mola hidatiforme1/1000 a 1/2000 Coriocarcinoma 1/2000 a 40 000 embarazos 50% embarazo término 25% embarazo molar 25% otras gestaciones
  • 103.
    ETG EPIDEMIOLOGIA -Nueva Zelanda : 0.67x 1000 embarazos. - Australia : 0.57x 1000 embarazos. -Paraguay : 0.26 x 1000 embarazos. - PERU : HCH Piura 1/488 HML 1/476 HAMA 1/241 HAL 1/213 HSB 1/165
  • 104.
    PATOLOGIA OMSMOLA HIDATIFORME MOLA INVASIVA CORIOCARCINOMA TUMOR TROFOBLASTICO DE ORIGEN PLACENTARIO
  • 105.
    Enfermedad Trofoblástica Gestacional:Epidemiología Países pobres Edades extremas Abortos espontáneos Nulíparas Grupo sanguíneo A : Coriocarcinoma
  • 106.
    Embarazo molar (1/1000-1000)Transformación maligna 6-19% 80% Mola hidatiforme Corioadenoma destruens 15% 5% Coriocarcinoma Historia Natural Enfermedad Trofoblástica Gestacional
  • 107.
    Mola Hidatidiforme Placentaanormal no invasiva caracterizada por vellosidades coriónicas agrandadas, edematosas y vesiculares acompañada de cantidad variable de trofoblasto proliferativo. Se divide en mola completa (75%) y parcial (25%).
  • 108.
    CARIOTIPO MOLA COMPLETAOVULO + 23X 23X ENDORREDUPLIC. 46XX VACIO 23X homocigoto OVULO + 46XY VACIO 23X heterocigoto OVULO 23X VACIO + 46XY 23Y 46YY Gameto no viable
  • 109.
    MOLA HIDATIDIFORME -HISTOLOGIA hiperplasia del estroma y la gran dilatación de las vellosidades coriales.
  • 110.
    MOLA HIDATIFORME. CLASIFICACION
  • 111.
  • 112.
    FACTORES DE RIESGODE MOLA HIDATIFORME A TRANSFORMACION MALIGNA
  • 113.
    Manifestaciones Clínicas I.Mola Completa Sangrado vaginal : 97% Útero grande mayor que la EG Ausencia de LCF Quistes tecoluteinicos Anemia: 50% Toxemia antes semana 26: 20-30% Hiperemesis gravidaruma: 10%
  • 114.
  • 115.
    SEMIOLOGIA DE LAETG - Hemorragia genital -Hiperémesis gravidica. -Enfermedad hipertensiva del embarazo. -Síndrome hipertiroideo. -Palidez. -Compromiso del estado general. -Tamaño uterino mayor. -Tumor ovárico bilateral. -Expulsión de vesiculas por vía vaginal.
  • 116.
    SEMIOLOGIA DE LAETG - No se auscultan LCF. -Hemorragia persistente del puerperio. -Tumores que sugieren metástasis. -Embolismo pulmonar trofoblastico
  • 117.
  • 118.
  • 119.
  • 120.
    Manifestaciones Clínicas I.Mola Parcial Sangrado vaginal Anemia Útero grande mayor que la EG: 10% Feto vivo : 1/100,000
  • 121.
    CARIOTIPO MOLAPARCIAL 23X + 23X 69XXX 23X 23X + 23Y 69XYY 23Y 23X + 23X 69XXY 23Y
  • 122.
  • 123.
  • 124.
  • 125.
    Mola Invasiva Invasióndel miometrio o de sus vasos sanguineos por células del citotrofoblasto y del sincitiotrofoblasto. Hay persistencia de las vellosidades placentarias
  • 126.
    CORIOCARCINOMA Forma malignaCualquier tipo de embarazo Sincito y cito trofoblástico. No hay vellosidad corial. Hemorragia necrosis e invasión. Metástasis rápida hematógena.
  • 127.
    Coriocacinoma (1/20000- 40000embarazos ) Kudelka A.Freedman R and Kaavanagh J. Gestational trophoblastic tumors. USA,2002 Historia Natural del la Enfermedad Trofoblástica Gestacional Gestación molar 50% 20% Aborto 25% Gestación A término 5% Embarazo ectópico
  • 128.
  • 129.
    TUMOR TROFOBLASTO DEORIGEN PLACENTARIO Rara. Asociado a cualquier gestación. Célula trofoblástica intermedia. Infiltra endometrio, miometrio y arterias. Curso impredecible 90% benigno 10% maligno  GC puede ser negativa. Dosaje de lactógeno placentario. Tratamiento histerectomía. Resistente QT.
  • 130.
    Tumor trofoblástico dellecho placentario Arato G et al. Pathology Oncology Research 2000;6;4:292
  • 131.
    MANEJO EMBARAZO MOLARExámen clínico meticuloso. Laboratorio: hematológicos Bioquímicos Gonadotropina Coriónica Test de función tiroidea. Radiografía de pulmones.
  • 132.
    Examenes Auxiliares RADIODIAGNOSTICO.-Ecografia abdomino pélvica. -Radiografia de torax- TAC de torax. -TAC de cerebro. ANATOMIA PATOLOGICA. -Muestras de vesicula o tumor ( no biopsia) No es necesario AP para DIAGNOSTICO.
  • 133.
    EMBARAZO MOLAR TRATAMIENTO- Legrado por aspiración (desea fertilidad) .Oxitocina en goteo. .Dilatación cervical. .Legrado por aspiración. .Legrado con cucharilla. -Histerectomia con conservación de ovarios (paridad completa, no previene la metastasis) -QT profilactica (Actinomicina D 1 ciclo ) (reduce la enfermedad persistente de 20% a 4%)
  • 134.
    EMBARAZO MOLAR VIGILANCIA-Dosaje de B HCG c/ 2 sem, hasta obtener 2 negativos sucesivos. -Luego cada 2 meses por un año. -Exploración pelvica c/ 2 sem hasta remisión luego c/ 3meses por un año. -Rx torax condicional. -ACO por 6 a 12 meses.
  • 135.
    En una evoluciónbenigna, la disminución del marcador hCG se produce en sobre una línea recta en una escala logarítmica. Regresión de HCG - B
  • 136.
    ETG MALIGNA SiHCG B aumenta, se mantiene en meseta o maneja valores de > 20,000 Ui/lt serica durante las primeras cuatro semanas de seguimiento se clasifica como ETG maligna, persistente o residual.
  • 137.
    ETG PERSISTENTE ETG PERSISTENTE
  • 138.
  • 139.