LESION MULTILIGAMENTARIA
DE RODILLA
ELMER J. NARVAEZ RODRIGUEZ
MR3 TRAUMATOLOGIA
Y ORTOPEDIA
OBJETIVOS
1) Clasificación
2)Momento de la Cirugía
3) Un tiempo o dos tiempos
4) Reparación directa o reconstrucción
5) Selección del injerto
6) Abierta o Mínimamente Invasiva
7) Postoperatorio
EPIDEMIOLOGIA
• Estudio multicéntrico de la ESSKA: 273 incluyendo luxación de rodilla, y
lesión de ligamentos cruzados (triadas y pentadas), 8 centros en Europa
• Edad media de 29 años, varón / mujer 4:1
• 49% accidentes de tráfico
• 37% deportes
• 9 % accidente laboral
EXAMEN FISICO
ANATOMIA
ANATOMIA
ANATOMIA
ANATOMIA
ANATOMIA
ANATOMIA
ANATOMIA
ANATOMIA
ANATOMIA
ANATOMIA
ANATOMIA
ANATOMIA
ANATOMIA
ANATOMIA
ANATOMIA
ANATOMIA
ANATOMIA
ANATOMIA
ANATOMIA
ANATOMIA
ANATOMIA
ANATOMIA
Meniscos se desplazan hacia
posterior en la flexion, en la
extensión están en su sitio
Durante la extensión, el
compartimento externo es el
primero en alcanzar la extensión
completa, al ser la extensión
completa se da un mecanismo de
rosca al rotar internamente el femur
sobre la tibia, bloqueando la rodilla
ANATOMIA
ANATOMIA
ANATOMIA
EXAMENES AUXILIARES
Linea de Blumenssat,
cicatriz del cartílago
hialino
CLASIFICACION:
ANTEROMEDIAL:
Capsula medial , LCI, LCA, ligamento oblicuo
posterior
ANTEROLATERAL:
Capsula lateral, LCA, ligamento poplíteo arqueado
POSTEROMEDIAL:
LCI, capsula medial, ligamento poplíteo oblicuo
posterior, LCA, capsula posteromedial
POSTEROLATERAL:
Capsula lateral, LCA, ligamento poplíteo arqueado,
LCL
Clasificación de las lesiones
multiligamentarias:
1-Lesiones multiligamentarias sin afectación ósea
2-Lesiones multiligamentarias con avulsiones oseas (no las de espinas tibiales)
3-Lesiones multiligamentarias asociadas a fracturas de platillo tibial
1-Lesiones multiligamentarias sin afectación ósea
• LESION DEL LCA
1-Lesiones multiligamentarias sin afectación ósea
LESION DE LIGAMENTOS COLATERALES: MEDIAL Y LATERAL
LESION DE LIGAMENTOS COLATERALES: MEDIAL Y LATERAL
1-Lesiones multiligamentarias sin afectación ósea
1-Lesiones multiligamentarias sin afectación ósea
LIGAMENTO PATELOFEMORAL LATERAL
2-Lesiones multiligamentarias con avulsiones oseas
3-Lesiones multiligamentarias
asociadas a fracturas de tibia o
fémur
Que operar primero, y cuanto tiempo esperar?
• Fractura?
• Ligamentos cruzados?
• Ligamentos colaterales?
• Meniscos ?
Las fracturas de la meseta tibial
medial se asocian con desgarros
del PLC. Las fracturas de la
meseta tibial lateral se asocian con
desgarros de MCL
Antecedentes:
Lesiones de rodilla multiligament (MKIs) con asociación a fracturas son raras pero
graves . Estas complejas lesiones de rodilla suelen ocurrir durante la participación en
Deportes de contacto o un accidente automovilístico de alta energía.
Este estudio revisa el tratamiento y los resultados para dos personas de mediana edad
(≥ cincuenta años) con fracturas de la meseta tibial y multiligamentaria de rodilla
Paciente 1:
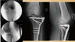
Paciente de 52 años con fx de meseta tibial y lesión completa de LCA, LCP y LCM,
tratado con fijador externo
2.5 semanas después: RAFI con placa lateral y medial, reparación de menisco externo
2.5 a 8 semanas paciente permanece inmovilizado con brace
8 semanas: empieza la fisioterapia
16 meses: deambula, valgo de 15 grados, laxitud + 3 de LCM, Lachman +1
PACIENTE 2
Varon 59 años, fx de platillo tibial, avulsión de espina tibial anterior
Demostracion via artroscopia de lesión de LCA y LCM
1. Permanece con Brace por 8 semanas!!
2. 8 semanas RAFI de fx de platillo tibial
3. 12 semanas hay inestabilidad al estrés en valgo a 0 y 30 grados y paciente
continua con brace, se opta por tratamiento conservador para LCM
4. 1,5 años después paciente no presenta dolor ni mala alineación de rodilla
Existe poca evidencia y reportes.
Si se identifica una fractura, trate de forma quirúrgica o no quirúrgica, según corresponda,
y vuelva a evaluar la estabilidad de los ligamentos 6 semanas después de la lesión. Según lo
recomendado por Stannard : la fractura debe tratarse primero, y las lesiones ACL y PCL
pueden tratarse después de la curación de la fractura. Si se observan signos radiológicos y
clínicos continuos de inestabilidad sintomaticos se procede a la reparación de los LCM y
LCL, Si hay signos radiográficos de inestabilidad pero el paciente es asintomático por
inestabilidad, considere el manejo no operatorio de las lesiones.
Recomienda la reparación ligamentaria en pacientes menores de 50 años, 50-60 si son
sontomaticos, mayores de 60 pobres resultados
No existe consenso en la literatura con respecto al momento óptimo para
proceder con la intervención quirúrgica.
La cirugía temprana permite una identificación más fácil de los puntos de
referencia anatómicos y los planos con el potencial mejorado para la reparación
directa de las estructuras lesionadas.
Sin embargo, Retrasar la cirugía permite disminuir la hinchazón, curar a
intervalos de la cápsula y potencialmente los ligamentos colaterales y aumentar
el rango de movimiento
40 pacientes en este estudio: 8 en el grupo de fractura y 32 en
el grupo de control emparejado. Los criterios de inclusión
para el grupo de fractura incluyeron pacientes que tenían al
menos 18 años al momento de la cirugía y sufrieron una
fractura de meseta tibial y LCA, LCP, LCM,LCM
Otros sugieren en un solo tiempo
Conclusiones
cuando operar????
Lesiones multiligamentarias sin afectación ósea:
Solo cuando hay marcada inestabilidad: diagnosticada con la clínica
Lesiones multiligamentarias sin afectación ósea:
Solo cuando hay marcada inestabilidad: diagnosticada con la clínica
Lesiones multiligamentarias sin afectación ósea:
Solo cuando hay marcada inestabilidad: diagnosticada
con la clínica
Cuando están asociadas a fractura de platillo
tibial
Si hay inestabilidad muy marcada puede realizarse de primera intención
Se prefiere dar chance para cicatrización de estructuras ligamentarias y una
reevaluación 6 a 8 semanas después
Lesion de ligamentos cruzados
•gracias

Lesiones multiligamentarias de rodilla

  • 1.
    LESION MULTILIGAMENTARIA DE RODILLA ELMERJ. NARVAEZ RODRIGUEZ MR3 TRAUMATOLOGIA Y ORTOPEDIA
  • 2.
    OBJETIVOS 1) Clasificación 2)Momento dela Cirugía 3) Un tiempo o dos tiempos 4) Reparación directa o reconstrucción 5) Selección del injerto 6) Abierta o Mínimamente Invasiva 7) Postoperatorio
  • 3.
    EPIDEMIOLOGIA • Estudio multicéntricode la ESSKA: 273 incluyendo luxación de rodilla, y lesión de ligamentos cruzados (triadas y pentadas), 8 centros en Europa • Edad media de 29 años, varón / mujer 4:1 • 49% accidentes de tráfico • 37% deportes • 9 % accidente laboral
  • 4.
  • 17.
  • 18.
  • 19.
  • 20.
  • 21.
  • 22.
  • 24.
  • 25.
  • 26.
  • 27.
  • 30.
  • 31.
  • 32.
  • 33.
  • 35.
  • 36.
  • 37.
  • 38.
  • 39.
  • 40.
  • 41.
  • 42.
  • 43.
    Meniscos se desplazanhacia posterior en la flexion, en la extensión están en su sitio Durante la extensión, el compartimento externo es el primero en alcanzar la extensión completa, al ser la extensión completa se da un mecanismo de rosca al rotar internamente el femur sobre la tibia, bloqueando la rodilla ANATOMIA
  • 44.
  • 45.
  • 46.
    EXAMENES AUXILIARES Linea deBlumenssat, cicatriz del cartílago hialino
  • 51.
  • 54.
    ANTEROMEDIAL: Capsula medial ,LCI, LCA, ligamento oblicuo posterior ANTEROLATERAL: Capsula lateral, LCA, ligamento poplíteo arqueado POSTEROMEDIAL: LCI, capsula medial, ligamento poplíteo oblicuo posterior, LCA, capsula posteromedial POSTEROLATERAL: Capsula lateral, LCA, ligamento poplíteo arqueado, LCL
  • 55.
    Clasificación de laslesiones multiligamentarias: 1-Lesiones multiligamentarias sin afectación ósea 2-Lesiones multiligamentarias con avulsiones oseas (no las de espinas tibiales) 3-Lesiones multiligamentarias asociadas a fracturas de platillo tibial
  • 56.
    1-Lesiones multiligamentarias sinafectación ósea • LESION DEL LCA
  • 58.
    1-Lesiones multiligamentarias sinafectación ósea LESION DE LIGAMENTOS COLATERALES: MEDIAL Y LATERAL
  • 59.
    LESION DE LIGAMENTOSCOLATERALES: MEDIAL Y LATERAL 1-Lesiones multiligamentarias sin afectación ósea
  • 61.
    1-Lesiones multiligamentarias sinafectación ósea LIGAMENTO PATELOFEMORAL LATERAL
  • 62.
  • 63.
    3-Lesiones multiligamentarias asociadas afracturas de tibia o fémur
  • 65.
    Que operar primero,y cuanto tiempo esperar? • Fractura? • Ligamentos cruzados? • Ligamentos colaterales? • Meniscos ?
  • 66.
    Las fracturas dela meseta tibial medial se asocian con desgarros del PLC. Las fracturas de la meseta tibial lateral se asocian con desgarros de MCL
  • 67.
    Antecedentes: Lesiones de rodillamultiligament (MKIs) con asociación a fracturas son raras pero graves . Estas complejas lesiones de rodilla suelen ocurrir durante la participación en Deportes de contacto o un accidente automovilístico de alta energía. Este estudio revisa el tratamiento y los resultados para dos personas de mediana edad (≥ cincuenta años) con fracturas de la meseta tibial y multiligamentaria de rodilla
  • 68.
    Paciente 1: Paciente de52 años con fx de meseta tibial y lesión completa de LCA, LCP y LCM, tratado con fijador externo 2.5 semanas después: RAFI con placa lateral y medial, reparación de menisco externo 2.5 a 8 semanas paciente permanece inmovilizado con brace 8 semanas: empieza la fisioterapia 16 meses: deambula, valgo de 15 grados, laxitud + 3 de LCM, Lachman +1
  • 70.
    PACIENTE 2 Varon 59años, fx de platillo tibial, avulsión de espina tibial anterior Demostracion via artroscopia de lesión de LCA y LCM 1. Permanece con Brace por 8 semanas!! 2. 8 semanas RAFI de fx de platillo tibial 3. 12 semanas hay inestabilidad al estrés en valgo a 0 y 30 grados y paciente continua con brace, se opta por tratamiento conservador para LCM 4. 1,5 años después paciente no presenta dolor ni mala alineación de rodilla
  • 72.
    Existe poca evidenciay reportes. Si se identifica una fractura, trate de forma quirúrgica o no quirúrgica, según corresponda, y vuelva a evaluar la estabilidad de los ligamentos 6 semanas después de la lesión. Según lo recomendado por Stannard : la fractura debe tratarse primero, y las lesiones ACL y PCL pueden tratarse después de la curación de la fractura. Si se observan signos radiológicos y clínicos continuos de inestabilidad sintomaticos se procede a la reparación de los LCM y LCL, Si hay signos radiográficos de inestabilidad pero el paciente es asintomático por inestabilidad, considere el manejo no operatorio de las lesiones. Recomienda la reparación ligamentaria en pacientes menores de 50 años, 50-60 si son sontomaticos, mayores de 60 pobres resultados
  • 74.
    No existe consensoen la literatura con respecto al momento óptimo para proceder con la intervención quirúrgica. La cirugía temprana permite una identificación más fácil de los puntos de referencia anatómicos y los planos con el potencial mejorado para la reparación directa de las estructuras lesionadas. Sin embargo, Retrasar la cirugía permite disminuir la hinchazón, curar a intervalos de la cápsula y potencialmente los ligamentos colaterales y aumentar el rango de movimiento
  • 75.
    40 pacientes eneste estudio: 8 en el grupo de fractura y 32 en el grupo de control emparejado. Los criterios de inclusión para el grupo de fractura incluyeron pacientes que tenían al menos 18 años al momento de la cirugía y sufrieron una fractura de meseta tibial y LCA, LCP, LCM,LCM
  • 76.
    Otros sugieren enun solo tiempo
  • 77.
  • 78.
    Lesiones multiligamentarias sinafectación ósea: Solo cuando hay marcada inestabilidad: diagnosticada con la clínica
  • 82.
    Lesiones multiligamentarias sinafectación ósea: Solo cuando hay marcada inestabilidad: diagnosticada con la clínica
  • 83.
    Lesiones multiligamentarias sinafectación ósea: Solo cuando hay marcada inestabilidad: diagnosticada con la clínica
  • 84.
    Cuando están asociadasa fractura de platillo tibial Si hay inestabilidad muy marcada puede realizarse de primera intención Se prefiere dar chance para cicatrización de estructuras ligamentarias y una reevaluación 6 a 8 semanas después
  • 86.
  • 87.