FRACTURA DE PLATILLO
TIBIAL
ELMER J. NARVAEZ RODRIGUEZ
MR3 TRAUMATOLOGIA
Y ORTOPEDIA
OBJETIVOS:
1. DEFINICION, EPIDEMIOLOGIA
2. ANATOMIA
3. CLASIFICACION
4. ABORDAJES
5. TECNICA QUIRURGICA
DEFINICION
EPIDEMIOLOGIA
Las tasas de incidencia de fracturas de tibia son las más altas en los varones adolescentes.
La edad media de los pacientes es de aproximadamente 37 años.– 1% de todas las facturas (Según Hohl) y
8% en el anciano.
Las mayorías de las lesiones afectan el platillo externo (55% al 70%).
Lesiones aisladas de un 10% al 23%.
Lesiones bicondilares en un 10% al 30%.
Las dos causas más comunes de fracturas de tibia son las caídas o saltos desde una altura considerable y
heridas de bala en la pierna, sin embargo, otros traumas directos y etiologías también puede ser responsable.
• ROCKWOOD & GREEN. FRACTURAS EN EL ADULTO. TOMO 2. 2003.
MECANISMO
DE ACCION
Las fracturas de los platillos tibiales pueden
producirse por una gran variedad de fuerzas.
- Valgo y varo forzados
- Compresión axial
- Flexión / Extensión
- Traumatismo directo
Existen dos subgrupos
Pacientes jóvenes con buen hueso - alta energía
Pacientes ancianos con osteoporosis - baja energía
MECANISMO DE LESION
• TERRY CANEL & JAMES BEATY. CAMPBELL'S OPERATIVE ORTHOPAEDICS. 11TH ED. 2008.
ANATOMIA
ANATOMIA
ANATOMIA
ANATOMIA
ANATOMIA
ANATOMIA
ANATOMIA
ANATOMIA
ANATOMIA
ANATOMIA
ANATOMIA
ANATOMIA
ANATOMIA
ANATOMIA
ANATOMIA
ANATOMIA
EXAMENES AUXILIARES
Linea de Blumenssat,
cicatriz del cartílago
hialino
COMPRESION AXIAL
CLASIFICACIONES
Schatzker
Khan
Objetivos del tratamiento
• - Descompresión y preservación de los tejidos blandos
• - Reconstrucción de las superficies articulares
• - Restitución de los ejes mecánicos normales
• - Movilización precoz
Tratamiento conservador
• Escalón no mayor de > 2 mm
• Que no exista inestabilidad axial
• Osteoporosis grave
• Contraindicaciones locales y generales
Lesiones multiligamentarias asociadas a fracturas de tibia
Las fracturas de la meseta tibial
medial se asocian con desgarros
del PLC. Las fracturas de la
meseta tibial lateral se asocian con
desgarros de MCL
Que operar primero, y cuanto tiempo esperar?
•Fractura
• Ligamentos cruzados?
• Ligamentos colaterales?
• Meniscos ?
Existe poca evidencia y reportes.
Si se identifica una fractura, trate de forma quirúrgica o no quirúrgica, según corresponda, y vuelva a
evaluar la estabilidad de los ligamentos 6 semanas después de la lesión. Según lo recomendado por
Stannard : la fractura debe tratarse primero, y las lesiones ACL y PCL pueden tratarse después de la
curación de la fractura. Si se observan signos radiológicos y clínicos continuos de inestabilidad
sintomaticos se procede a la reparación de los LCM y LCL, Si hay signos radiográficos de inestabilidad
pero el paciente es asintomático por inestabilidad, considere el manejo no operatorio de las lesiones.
Recomienda la reparación ligamentaria en pacientes menores de 50 años, 50-60 si son sontomaticos,
mayores de 60 pobres resultados
No existe consenso en la literatura con respecto al momento óptimo para
proceder con la intervención quirúrgica.
La cirugía temprana permite una identificación más fácil de los puntos de
referencia anatómicos y los planos con el potencial mejorado para la reparación
directa de las estructuras lesionadas.
Sin embargo, Retrasar la cirugía permite disminuir la hinchazón, curar a
intervalos de la cápsula y potencialmente los ligamentos colaterales y aumentar
el rango de movimiento
Otros sugieren en un solo tiempo
Cuando están asociadas fractura de platillo
tibial y lesión multiligamentaria
_Si hay inestabilidad muy marcada puede realizarse de primera intención
_Se prefiere dar chance para cicatrización de estructuras ligamentarias y una
reevaluación 6 a 8 -12-semanas después
ABORDAJES
OTROS
ABORDAJES
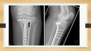
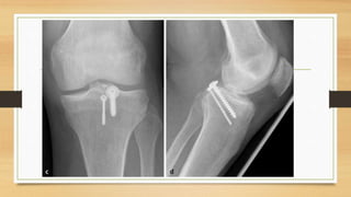
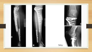
TRATAMIENTO
QUIRURGICO
TTO POSOPERATORIO:
– Elevar la extremidad en una férula por 5 días o dispositivo de movilización pasiva
continua a 20°a 60° de flexión de rodilla.
– Ortesis se retira cuando el paciente tiene control cuadricipital (7 – 10 día se consigue
una flexión de 90°).
SECOT. MANUAL DE CIRUGIA ORTOPEDICA Y TRAUMATOLOGIA. 2da
EDICION. 2010
TTO POSOPERATORIO:
– Fracturas tipo B o C permacen con carga parcial (10 – 15 Kg.) o sin carga, aproximadamente
de 6 – 8 semanas.
– Se permite mayor carga, hasta el 50% del peso corporal, después de las 6 – 8 semanas.
– Pacientes con fracturas de alta energía (lesiones B3 y C3) la carga total debe aplazarse 12 a 16
semanas.
SECOT. MANUAL DE CIRUGIA ORTOPEDICA Y TRAUMATOLOGIA. 2da EDICION.
2010
Conclusiones
- Reducción anatómica y fijación rígida de la superficie articular - estabilidad absoluta
- Reducción funcional y estable de la metáfisis - estabilidad relativa
- Restauración de la estabilidad articular por una apropiada reconstrucción de los
tejidos blandos - meniscos y ligamentos
- Movilización activa precoz
- Reparacion inmediata o diferida de las lesiones ligamentarias
- Se puede realizar una artroscopia intraoperatoria para evaluar la carilla articular o
lesión de ligamentos
GRACIAS

fractura de Platillo tibial

  • 1.
    FRACTURA DE PLATILLO TIBIAL ELMERJ. NARVAEZ RODRIGUEZ MR3 TRAUMATOLOGIA Y ORTOPEDIA
  • 2.
    OBJETIVOS: 1. DEFINICION, EPIDEMIOLOGIA 2.ANATOMIA 3. CLASIFICACION 4. ABORDAJES 5. TECNICA QUIRURGICA
  • 3.
  • 4.
    EPIDEMIOLOGIA Las tasas deincidencia de fracturas de tibia son las más altas en los varones adolescentes. La edad media de los pacientes es de aproximadamente 37 años.– 1% de todas las facturas (Según Hohl) y 8% en el anciano. Las mayorías de las lesiones afectan el platillo externo (55% al 70%). Lesiones aisladas de un 10% al 23%. Lesiones bicondilares en un 10% al 30%. Las dos causas más comunes de fracturas de tibia son las caídas o saltos desde una altura considerable y heridas de bala en la pierna, sin embargo, otros traumas directos y etiologías también puede ser responsable. • ROCKWOOD & GREEN. FRACTURAS EN EL ADULTO. TOMO 2. 2003.
  • 5.
    MECANISMO DE ACCION Las fracturasde los platillos tibiales pueden producirse por una gran variedad de fuerzas. - Valgo y varo forzados - Compresión axial - Flexión / Extensión - Traumatismo directo Existen dos subgrupos Pacientes jóvenes con buen hueso - alta energía Pacientes ancianos con osteoporosis - baja energía
  • 6.
  • 7.
    • TERRY CANEL& JAMES BEATY. CAMPBELL'S OPERATIVE ORTHOPAEDICS. 11TH ED. 2008.
  • 8.
  • 9.
  • 10.
  • 11.
  • 12.
  • 14.
  • 15.
  • 16.
  • 17.
  • 21.
  • 22.
  • 23.
  • 24.
  • 25.
  • 26.
  • 27.
  • 30.
    EXAMENES AUXILIARES Linea deBlumenssat, cicatriz del cartílago hialino
  • 33.
  • 37.
  • 38.
  • 42.
  • 55.
    Objetivos del tratamiento •- Descompresión y preservación de los tejidos blandos • - Reconstrucción de las superficies articulares • - Restitución de los ejes mecánicos normales • - Movilización precoz
  • 56.
    Tratamiento conservador • Escalónno mayor de > 2 mm • Que no exista inestabilidad axial • Osteoporosis grave • Contraindicaciones locales y generales
  • 59.
  • 62.
    Las fracturas dela meseta tibial medial se asocian con desgarros del PLC. Las fracturas de la meseta tibial lateral se asocian con desgarros de MCL
  • 63.
    Que operar primero,y cuanto tiempo esperar? •Fractura • Ligamentos cruzados? • Ligamentos colaterales? • Meniscos ?
  • 64.
    Existe poca evidenciay reportes. Si se identifica una fractura, trate de forma quirúrgica o no quirúrgica, según corresponda, y vuelva a evaluar la estabilidad de los ligamentos 6 semanas después de la lesión. Según lo recomendado por Stannard : la fractura debe tratarse primero, y las lesiones ACL y PCL pueden tratarse después de la curación de la fractura. Si se observan signos radiológicos y clínicos continuos de inestabilidad sintomaticos se procede a la reparación de los LCM y LCL, Si hay signos radiográficos de inestabilidad pero el paciente es asintomático por inestabilidad, considere el manejo no operatorio de las lesiones. Recomienda la reparación ligamentaria en pacientes menores de 50 años, 50-60 si son sontomaticos, mayores de 60 pobres resultados
  • 66.
    No existe consensoen la literatura con respecto al momento óptimo para proceder con la intervención quirúrgica. La cirugía temprana permite una identificación más fácil de los puntos de referencia anatómicos y los planos con el potencial mejorado para la reparación directa de las estructuras lesionadas. Sin embargo, Retrasar la cirugía permite disminuir la hinchazón, curar a intervalos de la cápsula y potencialmente los ligamentos colaterales y aumentar el rango de movimiento
  • 67.
    Otros sugieren enun solo tiempo
  • 68.
    Cuando están asociadasfractura de platillo tibial y lesión multiligamentaria _Si hay inestabilidad muy marcada puede realizarse de primera intención _Se prefiere dar chance para cicatrización de estructuras ligamentarias y una reevaluación 6 a 8 -12-semanas después
  • 69.
  • 74.
  • 86.
  • 109.
    TTO POSOPERATORIO: – Elevarla extremidad en una férula por 5 días o dispositivo de movilización pasiva continua a 20°a 60° de flexión de rodilla. – Ortesis se retira cuando el paciente tiene control cuadricipital (7 – 10 día se consigue una flexión de 90°). SECOT. MANUAL DE CIRUGIA ORTOPEDICA Y TRAUMATOLOGIA. 2da EDICION. 2010
  • 110.
    TTO POSOPERATORIO: – Fracturastipo B o C permacen con carga parcial (10 – 15 Kg.) o sin carga, aproximadamente de 6 – 8 semanas. – Se permite mayor carga, hasta el 50% del peso corporal, después de las 6 – 8 semanas. – Pacientes con fracturas de alta energía (lesiones B3 y C3) la carga total debe aplazarse 12 a 16 semanas. SECOT. MANUAL DE CIRUGIA ORTOPEDICA Y TRAUMATOLOGIA. 2da EDICION. 2010
  • 111.
    Conclusiones - Reducción anatómicay fijación rígida de la superficie articular - estabilidad absoluta - Reducción funcional y estable de la metáfisis - estabilidad relativa - Restauración de la estabilidad articular por una apropiada reconstrucción de los tejidos blandos - meniscos y ligamentos - Movilización activa precoz - Reparacion inmediata o diferida de las lesiones ligamentarias - Se puede realizar una artroscopia intraoperatoria para evaluar la carilla articular o lesión de ligamentos
  • 112.