Dra. Gloria Isabel Rangel Ismerio
PATOLOGIA BUCAL
Condición común
Etiopatogénesis
desconocida
Algunas hipótesis la
asocian a estrés o
infección por hongos y
bacterias
Acompaña varias
enfermedades:
- Psoriasis
- Dermatitis seborreica
- Síndrome de Reiter
- Atopía
 Áreas de desqueratinización circulares o
irregulares
 Descamaciones de papilas filiformes, rojas y
dolorosas
 Márgenes prominentes blancos , que se
desplazan si va sanando
Hay correlación con lengua
fisurada, se desconoce el
significado de la relación
aunque los síntomas pueden
ser más comunes en
presencia de lengua fisurada,
presuntamente por infección
micótica secundaria
Casos raros: mucosa de piso de la boca,
mucosa bucal y gingiva
• Casi todos los pacientes
son asintomáticos ,
aunque en algunos casos
reportan dolor por
alimentos condimentados
o alcohol
• La gravedad varia con el
tiempo, y puede
desaparecer y aparecer
sin razón aparente
Cambios hormonales: embarazo y pubertad
Mala higiene
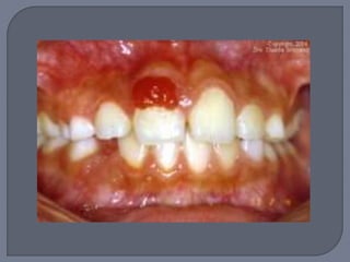
Lesión elevada localizada de tejido de
granulación
Aparece en diversas áreas de la mucosa y piel,
siendo la encía la localización más común
junto con labios y dorso de la lengua
Masa exofítica a veces lobulada y ulcerada
Por lo general pedículada
Color rojo o rojo púrpura
Tendencia a sangrado
Diámetro de milímetros a centímetros
Es necesaria la extirpación quirúrgica de toda
la lesión
Si involucra dientes debe hacerse raspado y
alisado
Si la lesión recidiva entonces es probable que
haya que extraer el diente involucrado
Cuando se da durante el embarazo se le llama
“ tumor del embarazo” o “ épulis del
embarazo” o “granuloma gravídico”
Suele iniciar en el primer trimestre y va
creciendo
Sobre todo si es pequeño desaparece después
del parto
En algunas ocaciones se extirpa por razon funcionales
o estéticas o por sangrado frecuente
No representa una verdadera
neoplasia
Lesión reactiva causada por
irritación local o trauma
Anteriormente llamado
“granuloma reparativo de
células gigantes”
o Exclusivamente en encía o sobre borde alveolar
edéntulo
o Masa nodular de color rojo-azulado
o Sésil o pediculado
o Ulcerada o no
o Alrededor de 2 cm de
diámetro
Apariencia similar a granuloma
piógeno pero más violáceo
Se desarrolla a cualquier edad
Ligera predilección por los 50 y
60 años
60% de los casos en mujeres
Llega a haber reabsorción de
hueso subyacente
Escisión quirúrgica local por debajo del hueso
subyacente
Rebajar cuidadosamente el diente adyacente
para minimizar recidiva
La más común es la lingual
También puede aparecer en labio y mucosa
yugal
Áreas elevadas púrpuras
Asintomático
No esta indicado
Tumores benignos de la
infancia
Rápido crecimiento con
proliferación de las células
endoteliales, seguidos por
involución gradual
Se ve más en mujeres, en
cabeza y cuello
Aparece a la edad de un año
mas o menos
Firmes y rugosos y la
sangre no puede ser
evacuada si se aplica
presión
Para la edad de ocho
prácticamente han
desaparecido
Rara vez aparecen desde el
nacimiento, si acaso se ve
una mácula pálida
Durante las primeras semanas mostrará
crecimiento rápido. Fase proliferativa: 6 a 10
meses
Después de eso comienza a involucionar
Para los 5 años de edad habrá resolución de la
lesión en un 90%
Rara vez en adultos se observa como nódulos
rojizos que semejan granuloma piógeno
No esta indicado ya que involucionan
Anormalidades estructurales de los vasos
sanguíneos sin proliferación endotelial
Están presentes al
nacimiento
Persisten toda la vida
Esclerosantes
Condición no hereditaria caracterizada por una
hamartomatosa proliferación vascular
involucrando el tejido del cerebro y la cara
 Malformación vascular dérmica “mancha de vino
oporto” o “nevo flameante”
 Profundo color púrpura
 Unilateral
 A lo largo de los sitios inervados pro el IV par
craneal
 La encía puede exhibir ligera hiperplasia vascular
Tumores benignos
haramatomatosos de vasos
linfáticos
No se considera una
verdadera neoplasia
 Predilección por cabeza y
cuello
 En boca más frecuente en
los 2/3 anteriores de la
lengua
 Grupo de vesículas
traslúcidas que parecen
“huevos de rana” o “pudín
de tapioca”
 Pueden ser masivos y
medir 15 cm o más
La escisión quirúrgica depende de el tamaño
del tumor
Lesión premaligna
Grado de malignización muy elevado
 OMS: zonas rojas que no pueden ser
diagnosticadas como otra entidad
 Localización más común: paladar blando y piso de
la boca…menos frecuente en zona retromolar y
labio (pacientes fumadores)
Lesión típica: 1.5 cm, pero puede
ser mas grande
Variantes clínicas: con moteado
de color amarillento o blanco
sobre su superficie rojiza, o áreas
rojizas asociadas a zonas blancas
de leucoplasia
CLASIFICACIÓN (1972):
- Eritroplasia homogénea
- Eritroplasia asociada con
zonas de leucoplasia
- Eritroplasia moteada o
granular
La eritroplasia es blanda a la palpación pero
adquiere firmeza si desarrolla carcinoma in
situ
Debe ser quirúrgico para el análisis de la lesión
 Hipersensibilidad tipo I: Alérgenos
- Comida (pescado, frutas, vegetales)
- Odontológicos (pastas, enjuagues, dique de hule,
guantes, topicaína , acrílico)
- Medicamentos (penicilina y sulfas)
 Diferencias clínicas según el tiempo:
- Aguda: ardor. Apariencia variable de media rojiza
a brillante lesión eritematosa con o sin edema
- Crónica: la mucosa afectada está típicamente en
contacto con el agente causal y puede ser
eritematoso o blanco e hiperqueratósico
Remover el agente sospechoso
Principal causante virus herpes-8 (HHV-8)
Predisposición genética, infección, influencias
ambientales u desregularización inmunitaria
Cuatro tipos:
1. Tipo clásico:
- Vida adulta tardía
- Hombres italianos y judíos
- Múltiples máculas violáceas y placas en la piel
de las extremidades inferiores
- Crecen lentamente asintomáticas por años
- Lesiones orales raras, en paladar
2. Tipo endémico:
- África
1. Nodular, similar al tipo clásico
2. Agresivo, caracterizado por desarrollo
progresivo de lesiones localmente invasivas
que involucra los tejidos y hueso subyacente.
3. Florido, rápida progresión ampliamente
diseminado, lesiones agresivas con
involucramiento visceral
3. Tipo linfadenopático:
- Gente joven, raza negra
- Crecimiento rápído y generalizado en los
nódulos linfáticos
- Lesiones ocasionales en vísceras e
involucramiento de la piel
4. Tipo iatrogénico:
- Con frecuencia en transplantados de órganos.
Relacionado con el SIDA
 Es necesaria la biopsia
para confirmar
diagnóstico; se puede
utilizar radioterapia,
quimioterapia o escisión
quirúrgica
Lesiones rojiazules

Lesiones rojiazules

  • 1.
    Dra. Gloria IsabelRangel Ismerio PATOLOGIA BUCAL
  • 2.
    Condición común Etiopatogénesis desconocida Algunas hipótesisla asocian a estrés o infección por hongos y bacterias
  • 3.
    Acompaña varias enfermedades: - Psoriasis -Dermatitis seborreica - Síndrome de Reiter - Atopía
  • 4.
     Áreas dedesqueratinización circulares o irregulares  Descamaciones de papilas filiformes, rojas y dolorosas  Márgenes prominentes blancos , que se desplazan si va sanando
  • 6.
    Hay correlación conlengua fisurada, se desconoce el significado de la relación aunque los síntomas pueden ser más comunes en presencia de lengua fisurada, presuntamente por infección micótica secundaria
  • 8.
    Casos raros: mucosade piso de la boca, mucosa bucal y gingiva • Casi todos los pacientes son asintomáticos , aunque en algunos casos reportan dolor por alimentos condimentados o alcohol • La gravedad varia con el tiempo, y puede desaparecer y aparecer sin razón aparente
  • 10.
    Cambios hormonales: embarazoy pubertad Mala higiene
  • 11.
    Lesión elevada localizadade tejido de granulación Aparece en diversas áreas de la mucosa y piel, siendo la encía la localización más común junto con labios y dorso de la lengua
  • 13.
    Masa exofítica aveces lobulada y ulcerada Por lo general pedículada Color rojo o rojo púrpura Tendencia a sangrado Diámetro de milímetros a centímetros
  • 15.
    Es necesaria laextirpación quirúrgica de toda la lesión Si involucra dientes debe hacerse raspado y alisado Si la lesión recidiva entonces es probable que haya que extraer el diente involucrado
  • 16.
    Cuando se dadurante el embarazo se le llama “ tumor del embarazo” o “ épulis del embarazo” o “granuloma gravídico” Suele iniciar en el primer trimestre y va creciendo Sobre todo si es pequeño desaparece después del parto En algunas ocaciones se extirpa por razon funcionales o estéticas o por sangrado frecuente
  • 18.
    No representa unaverdadera neoplasia Lesión reactiva causada por irritación local o trauma Anteriormente llamado “granuloma reparativo de células gigantes”
  • 19.
    o Exclusivamente enencía o sobre borde alveolar edéntulo o Masa nodular de color rojo-azulado o Sésil o pediculado o Ulcerada o no o Alrededor de 2 cm de diámetro
  • 21.
    Apariencia similar agranuloma piógeno pero más violáceo Se desarrolla a cualquier edad Ligera predilección por los 50 y 60 años 60% de los casos en mujeres Llega a haber reabsorción de hueso subyacente
  • 23.
    Escisión quirúrgica localpor debajo del hueso subyacente Rebajar cuidadosamente el diente adyacente para minimizar recidiva
  • 26.
    La más comúnes la lingual También puede aparecer en labio y mucosa yugal Áreas elevadas púrpuras Asintomático
  • 28.
  • 30.
    Tumores benignos dela infancia Rápido crecimiento con proliferación de las células endoteliales, seguidos por involución gradual Se ve más en mujeres, en cabeza y cuello Aparece a la edad de un año mas o menos
  • 31.
    Firmes y rugososy la sangre no puede ser evacuada si se aplica presión Para la edad de ocho prácticamente han desaparecido Rara vez aparecen desde el nacimiento, si acaso se ve una mácula pálida
  • 32.
    Durante las primerassemanas mostrará crecimiento rápido. Fase proliferativa: 6 a 10 meses Después de eso comienza a involucionar Para los 5 años de edad habrá resolución de la lesión en un 90% Rara vez en adultos se observa como nódulos rojizos que semejan granuloma piógeno
  • 34.
    No esta indicadoya que involucionan
  • 35.
    Anormalidades estructurales delos vasos sanguíneos sin proliferación endotelial
  • 36.
  • 38.
  • 39.
    Condición no hereditariacaracterizada por una hamartomatosa proliferación vascular involucrando el tejido del cerebro y la cara
  • 41.
     Malformación vasculardérmica “mancha de vino oporto” o “nevo flameante”  Profundo color púrpura  Unilateral  A lo largo de los sitios inervados pro el IV par craneal  La encía puede exhibir ligera hiperplasia vascular
  • 42.
    Tumores benignos haramatomatosos devasos linfáticos No se considera una verdadera neoplasia
  • 43.
     Predilección porcabeza y cuello  En boca más frecuente en los 2/3 anteriores de la lengua  Grupo de vesículas traslúcidas que parecen “huevos de rana” o “pudín de tapioca”  Pueden ser masivos y medir 15 cm o más
  • 45.
    La escisión quirúrgicadepende de el tamaño del tumor
  • 46.
    Lesión premaligna Grado demalignización muy elevado
  • 47.
     OMS: zonasrojas que no pueden ser diagnosticadas como otra entidad  Localización más común: paladar blando y piso de la boca…menos frecuente en zona retromolar y labio (pacientes fumadores)
  • 49.
    Lesión típica: 1.5cm, pero puede ser mas grande Variantes clínicas: con moteado de color amarillento o blanco sobre su superficie rojiza, o áreas rojizas asociadas a zonas blancas de leucoplasia
  • 50.
    CLASIFICACIÓN (1972): - Eritroplasiahomogénea - Eritroplasia asociada con zonas de leucoplasia - Eritroplasia moteada o granular
  • 51.
    La eritroplasia esblanda a la palpación pero adquiere firmeza si desarrolla carcinoma in situ
  • 52.
    Debe ser quirúrgicopara el análisis de la lesión
  • 53.
     Hipersensibilidad tipoI: Alérgenos - Comida (pescado, frutas, vegetales) - Odontológicos (pastas, enjuagues, dique de hule, guantes, topicaína , acrílico) - Medicamentos (penicilina y sulfas)
  • 54.
     Diferencias clínicassegún el tiempo: - Aguda: ardor. Apariencia variable de media rojiza a brillante lesión eritematosa con o sin edema - Crónica: la mucosa afectada está típicamente en contacto con el agente causal y puede ser eritematoso o blanco e hiperqueratósico
  • 55.
  • 56.
    Principal causante virusherpes-8 (HHV-8) Predisposición genética, infección, influencias ambientales u desregularización inmunitaria
  • 57.
    Cuatro tipos: 1. Tipoclásico: - Vida adulta tardía - Hombres italianos y judíos - Múltiples máculas violáceas y placas en la piel de las extremidades inferiores - Crecen lentamente asintomáticas por años - Lesiones orales raras, en paladar
  • 59.
    2. Tipo endémico: -África 1. Nodular, similar al tipo clásico 2. Agresivo, caracterizado por desarrollo progresivo de lesiones localmente invasivas que involucra los tejidos y hueso subyacente. 3. Florido, rápida progresión ampliamente diseminado, lesiones agresivas con involucramiento visceral
  • 61.
    3. Tipo linfadenopático: -Gente joven, raza negra - Crecimiento rápído y generalizado en los nódulos linfáticos - Lesiones ocasionales en vísceras e involucramiento de la piel
  • 63.
    4. Tipo iatrogénico: -Con frecuencia en transplantados de órganos. Relacionado con el SIDA
  • 64.
     Es necesariala biopsia para confirmar diagnóstico; se puede utilizar radioterapia, quimioterapia o escisión quirúrgica