UNIVERSIDAD AUTONOMA DE
DURANGO
CAMPUS LOS MOCHIS
FACULTAD DE MEDICINA
LESION ALVEOLAR
 Son aquellas en las que el aire de los alveolos
pulmonares esta reemplazado por exudado o
trasudado.
Aspecto algodonoso en losAspecto algodonoso en los
bordesbordes
Tendencia a la coalescenciaTendencia a la coalescencia
Distribución lobar oDistribución lobar o
segmentariasegmentaria
Distribución en alas deDistribución en alas de
mariposamariposa
Broncograma aereo (a vecesBroncograma aereo (a veces
alveolograma)alveolograma)
Nódulos peribronquialesNódulos peribronquiales
Gran importancia en la
localizacion de las lesiones y
masas pulmonares.
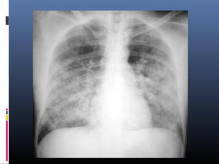
“SIGNO DE LA SILUETA”
Hecho que cualquier opacidad intratoracica, si
esta en contacto con el borde del corazon, de
la aorta o del diafragma lo borrara, mientras
que una lesion intratoracica que no esta en
contigüidad con el borde de una de estas
estructuras no oblitera su borde.
44
11
1.Cuando una lesión alveolar borra el borde
cardiaco, parcial o totalmente, su localización es
anterior, y por lo tanto tiene que estar en el
lóbulo medio, lingula o segmento anterior del
lóbulo superior
2. Cuando una densidad se superpone al
borde cardiaco y no lo borra, esta situada
en el lobulo inferior, aunque tambien las
lesiones del mediastino posterior y de la
cavidad pleural posterior pueden
presentar la misma imagen.22
33
3. Cuando el borde derecho de la aorta
ascendente esta obliterado, la lesion esta
situada en el segmento anterior del lobulo
superior derecho o en el lobulo medio
55
66
77
88
5. Cuando el borde izquierdo del
arco aórtico esta obliterado, la
lesión debe suponerse localizada
en el segmento apicoposterior
del lóbulo superior izquierdo
6. Cuando la densidad que se
supone al arco aórtico no lo
oblitera, la lesión es anterior
7. El borde lateral de la aorta descendente es
claramente visible, cuando las radiografías
están adecuadamente penetradas. Cuando
existe afectación de los segmentos superior y
posterobasal, este borde esta obliterado y no
es visible.
8. En el lado izquierdo , el diafragme es
visible parcialmente a través de la
sombra cardiaca
→ Borde cardíaco borrado..............La lesión es anterior
→ Aorta ascendente borrada............La lesión es
anterior
→ Borde cardíaco conservado...........La lesión es
posterior
→ Aorta ascendente conservada.........La lesión es
posterior
→ Boton aórtico borrada...............La lesión es posterior
→ Aorta descendente borrada...........La lesión es
posterior
Clasificación de las lesiones alveolares:
 Localizadas
 Difusas
 Agudas
 Crónicas
LESIONES ALVEOLARES LOCALIZADAS
FRECUENTES
-Neumonía
-Infarto
-Tuberculosis
-Atelectasia
-Contusión pulmonar
-Impacto mucoso
POCO FRECUENTES
-Sarcoidosis
-Carcinoma de células alveolares
-Linfoma
-Seudolinfoma
-Micosis
-Edema pulmonar localizado
-Neumonitis de loeffer
-Aspiración
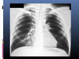
 La lesión alveolar aguda localizada mas típica
es la neumonía por neumococos esta puede ser
segmentaria o lobar.
 La afectación pleural acompañante es
frecuente.
 La neumonía de friedlander es también lobar
en su distribución.
 Signo de la “ hinchazón del lóbulo”
 Puede haber cavitación en el seno de la
lesión, así como derrame pleural.
 Los impactos mucosos- pueden ocluir
bronquios segmentarios.
Afecta fundamentalmente a los lóbulos
superiores.
 Radiológicamente se ve una opacidad
alargada, con bordes ondulantes, como una V
dirigida hacia hilio “signo de la V”.
 Lesiones localizadas cavitarias múltiples
DENSIDADES ALVEOLARES CAVITADAS MULTIPLES CAUSAS:
AGUDAS
1.-Tromboembolismo pulmonar con infartos
a)No séptico
b)Séptico*
2.- Neumonía
CRONICAS
1.- tuberculosis
2.- micosis
3.-sarcoidosis
4.-linfoma
5.-carcinoma de celulas alveolares
6.-granulomatosis no infecciosa
a)Wegener
b)Granulomatosis linfomatiode
c)Sarcoide necrotizante
d)Granulomatosis broncocentrica
e)Síndrome de Churg- Strauss
 La mayoría de los pacientes presentan
densidades pulmonares, con una cavidad de
paredes finas distribuidas periféricamente.
 “Signo de la diana” es frec en infartos sépticos.
 En las enfermedades crónicas que pueden
presentar densidades alveolares múltiples de
cavitación.
Agudas
ENFERMEDADES ALVEOLARES
DEISEMINADAS AGUDAS
FRECUENTES
1. Edema pulmonar
2. Neumonía de etiología no habitual
3. Distress respiratorio del recién nacido
4. Aspiración
POCO FRECUENTES
1. Hemorragia pulmonar
­ Trauma
­ Anticoagulantes
­ Hemosiderosis ideopática
­ Goodpasture
1. Aspergilosis alérgica broncopulmonar
2. Infiltrados leucémicos.
1. Edema pulmonar
 Extravasación anormal de líquido en el
tejido pulmonar
 Puede ser intersticial y/o alveolar.
 El fallo cardiaco izquierdo es la causa más
frecuente de edema pulmonar diseminado.
1. Edema pulmonar
FRECUENTES
Agónico
Aspiración
Cardíaco
Cerebral
Reacciones a drogas
Sueros excesivos
Embolismo graso
Gases tóxicos
Heroína
Embolismo pulmonar
Uremia
Trauma torácico “shock lung”
CAUSAS RARAS
Reacciones alérgicas
Colagenosis
Ahorcamiento y sofocación
Altitud elevada
Hipoproteinemia
Malaria
Inmersión
Toxicidad por oxígeno.
Neumotórax con succión brusca
“tormenta tiroidea”
Reacción post-transfusión
Reacciones a medios de contraste
Epiglotis aguda
Mola hidatidiforme
Fallo hepático fulminante
Laringospasmo
1. Edema pulmonar
 Extravasación anormal de líquido en el
tejido pulmonar
 Puede ser intersticial y/o alveolar.
 El fallo cardiaco izquierdo es la causa más
frecuente de edema pulmonar diseminado.
Cardiogénico
1. Edema pulmonar
 Generalmente existe congestión vascular
pulmonar, como fase preedematosa en la
que las venas pulmonares están distendidas
y existe una redistribución del flujo
sanguíneo pulmonar, con distensión de las
ramas de los lóbulos inferiores, al contrario
de lo que sucede en el individuo normal.
1. Edema pulmonar
 La congestión pulmonar se complica
primeramente con edema intersticial,
viéndose borrosidad de los vasos debido al
edema perivascular, más frecuentemente a
nivel de los hilios.
 Trama
broncovascular
normal.
 Más intensa en
las bases.
1. Edema pulmonar
 La presencia de ingurgitación en los
espacios interlobulares produce la aparición
de edema septal, que se caracteriza
radiográficamente por la presencia de líneas
de Kerley.
 Infiltrado en
alas de
mariposa ó de
murciélago, por
edema
pulmonar.
 Líneas B de
Kerley.
1. Edema pulmonar
 Lineas de Kerley A:
 Son líneas muy finas, largas, rectas o
ligeramente anguladas que se distribuyen
fundamentealmente por los campos superiores,
y que son más claramente visibles en la
radiografía lateral de torax.
1. Edema pulmonar
 Lineas de Kerley B:
 Son líneas rectas, cortas de aproximadamente
2cms de longitud, son perpendiculares a la
superficie pleural y se ven fundamentalmente en
los senos costodiafragmáticos.
 Existe también
cefalización de
flujo.
 También
llamado
redistribución
de flujo.
1. Edema pulmonar
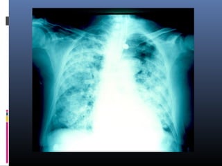
 La fase siguiende del edema es la aparición
del edema alveolar, en el cual el aire de los
alvéolos se reemplaza por líquido de edema.
Este relleno produce la imagen de
distribución en “alas de mariposa”.
 La uremia es causa frecuente también de
edema pulmonar con distribución similar.
1. Edema pulmonar
 El edema por exceso de líquido es frecuente
en los enfermos operados en los que se
administran líquidos intravenosos. Suelen
presentar lesiones extensas alveolares
típicas, con cardiomegalia frecuente, debido
al aumento de volumen sanguíneo, aunque
lo habitual es que el corazón sea de tamaño
normal.
1. Edema pulmonar
 La presencia de edema pulmonar difuso sin
cardiomegalia puede deberse, como luego
se discute en las cardiopatías, a enfermedad
aguda cardiovascular.
 Los pacientes con infarto del miocardio
agudo o incluso con enfermedad isquémica
cardiaca pueden tener edema pulmonar sin
cardiopatía.
1. Edema pulmonar
 Edema unilateral:
 Puede ocurrir debido a:
 causas locales pulmonares
 manipulación médica de una lesión pleural
 neumotórax
 derrame pleural masivo con aspiración
demasiado rápida del mismo
1. Edema pulmonar
 Edema unilateral:
 Pueden clasificarse dependiendo de la
localización de la causa como edema unilateral
1. Ipsilateral
2. Contralateral
1. Edema pulmonar
 Edema unilateral:
 Edema ipsilateral
 son habitualmente debidas a alteración aguda
alveolocapilar.
 Edema unilateral contralateral
 Ocurre habitualmente en el lado opuesto a un
pulmón que tiene un defecto de perfusión.
Lesiones difusas
Agudas
ENFERMEDADES ALVEOLARES
DEISEMINADAS AGUDAS
FRECUENTES
1. Edema pulmonar
2. Neumonía de etiología no habitual
3. Distress respiratorio del recién nacido
4. Aspiración
POCO FRECUENTES
1. Hemorragia pulmonar
­ Trauma
­ Anticoagulantes
­ Hemosiderosis ideopática
­ Goodpasture
1. Aspergilosis alérgica broncopulmonar
2. Infiltrados leucémicos.
1. Edema pulmonar
 Extravasación anormal de líquido en el
tejido pulmonar
 Puede ser intersticial y/o alveolar.
 El fallo cardiaco izquierdo es la causa más
frecuente de edema pulmonar diseminado.
1. Edema pulmonar
FRECUENTES
Agónico
Aspiración
Cardíaco
Cerebral
Reacciones a drogas
Sueros excesivos
Embolismo graso
Gases tóxicos
Heroína
Embolismo pulmonar
Uremia
Trauma torácico “shock lung”
CAUSAS RARAS
Reacciones alérgicas
Colagenosis
Ahorcamiento y sofocación
Altitud elevada
Hipoproteinemia
Malaria
Inmersión
Toxicidad por oxígeno.
Neumotórax con succión brusca
“tormenta tiroidea”
Reacción post-transfusión
Reacciones a medios de
contraste
Epiglotis aguda
Mola hidatidiforme
Fallo hepático fulminante
Laringospasmo
1. Edema pulmonar
 Extravasación anormal de líquido en el
tejido pulmonar
 Puede ser intersticial y/o alveolar.
 El fallo cardiaco izquierdo es la causa más
frecuente de edema pulmonar diseminado.
Cardiogénico
1. Edema pulmonar
 Generalmente existe congestión vascular
pulmonar, como fase preedematosa en la
que las venas pulmonares están distendidas
y existe una redistribución del flujo
sanguíneo pulmonar, con distensión de las
ramas de los lóbulos superiores, al contrario
de lo que sucede en el individuo normal.
1. Edema pulmonar
 La congestión pulmonar se complica
primeramente con edema intersticial,
viéndose borrosidad de los vasos debido al
edema perivascular, más frecuentemente a
nivel de los hilios.
 Trama
broncovascular
normal.
 Más intensa en
las bases.
1. Edema pulmonar
 La presencia de ingurgitación en los
espacios interlobulares produce la aparición
de edema septal, que se caracteriza
radiográficamente por la presencia de líneas
de Kerley.
 Infiltrado en alas
de mariposa ó
de murciélago,
por edema
pulmonar.
 Líneas B de Kerley.
1. Edema pulmonar
 Lineas de Kerley A:
 Son líneas muy finas, largas, rectas o
ligeramente anguladas que se distribuyen
fundamentealmente por los campos superiores,
y que son más claramente visibles en la
radiografía lateral de torax.
1. Edema pulmonar
 Lineas de Kerley B:
 Son líneas rectas, cortas de aproximadamente
2cms de longitud, son perpendiculares a la
superficie pleural y se ven fundamentalmente en
los senos costodiafragmáticos.
 Existe también
cefalización de
flujo.
 También
llamado
redistribución de
flujo.
1. Edema pulmonar
 La fase siguiende del edema es la aparición
del edema alveolar, en el cual el aire de los
alvéolos se reemplaza por líquido de edema.
Este relleno produce la imagen de
distribución en “alas de mariposa”.
 La uremia es causa frecuente también de
edema pulmonar con distribución similar.
1. Edema pulmonar
 El edema por exceso de líquido es frecuente
en los enfermos operados en los que se
administran líquidos intravenosos. Suelen
presentar lesiones extensas alveolares
típicas, con cardiomegalia frecuente, debido
al aumento de volumen sanguíneo, aunque
lo habitual es que el corazón sea de tamaño
normal.
1. Edema pulmonar
 La presencia de edema pulmonar difuso sin
cardiomegalia puede deberse, como luego
se discute en las cardiopatías, a enfermedad
aguda cardiovascular.
 Los pacientes con infarto del miocardio
agudo o incluso con enfermedad isquémica
cardiaca pueden tener edema pulmonar sin
cardiopatía.
1. Edema pulmonar
 Edema unilateral:
 Puede ocurrir debido a:
 causas locales pulmonares
 manipulación médica de una lesión pleural
 neumotórax
 derrame pleural masivo con aspiración
demasiado rápida del mismo
1. Edema pulmonar
 Edema unilateral:
 Pueden clasificarse dependiendo de la
localización de la causa como edema unilateral
1. Ipsilateral
2. Contralateral
1. Edema pulmonar
 Edema unilateral:
 Edema ipsilateral
 son habitualmente debidas a alteración aguda
alveolocapilar.
 Edema unilateral contralateral
 Ocurre habitualmente en el lado opuesto a un
pulmón que tiene un defecto de perfusión.
NEUMONIA DE ORIGEN NO HABITUAL
 Presenta un patrón alveolar difuso agudo
de origen neumónico.
 Poco frecuentes.
 CAUSAS: Disminución de las defensas de
individuo, alcoholismo, estancia
hospitalaria con contaminación
secundaria.
NEUMONIA POR LEGIONELLA PNEUMONIA O
“ENFERMEDAD DE LOS LEGIONARIOS”
 Neumonía atípica con fiebre alta, gran postración, síntomas
abdominales y tos no productiva, asociada a dolor pleurítico.
 Radiológicamente presenta infiltrados bilaterales
confluentes.
 Diseminación local.
 Afectación lobar frecuente.
 Derrame pleural más del 50 % de los casos.
NEUMONIA POR PNEUMOCISTIS
CARINII Enfermos inmunodeprimidos.
 Complicación principal en px con S.I.D.A.
 Es frecuente infiltrados difusos confluentes.
HEMORRAGIA PULMONAR
CAUSAS
• FRECUENTES:
1. Traumatismo (contusión).
2. Síndrome de Goodpasture
Síndrome de Goodpasture
• POCO FRECUENTES:
1. Terapéutica anticoagulante.
2. Aspiración de lesión pulmonar
sangrante.
3. Coagulopatías.
4. Leucemia
5. Cirugía cardiaca.
6. Blast injury.
7. Hemosiderosis pulmonar idiopática.
8. Estenosis mitral.
9. Stress del recién nacido.
10. Postlinfografía.
11. Etiología desconocida.
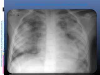
Síndrome de GoodPasture (Hemorragia pulmonar por nefropatía)
Opacidadesmoteadasdifusas,zonasdeconsolidaciónbilateralesdiseminadasde
modouniformeenamboscampospulmonares,confluyentes.Seconservanángulos
costodiafragmáticosindemnesaligualquelaszonasapicales.Adenomegalias
parahiliaresderechas.
LESIONES ALVEOLARES DISEMINADAS
CRONICAS
• FRECUENTES:
1. Sarcoidosis.
2. Tuberculosis.
3. Hongos.
4. Carcinoma alveolar.
5. Linfoma.
6. Proteinosis alveolar.
• RARAS:
1. Neumonia de Hair Spray
2. Neumonia descamativa
3. Neumonitis linfocitica intersticial
4. Neumonitis lipodea exógena
5. Microlitiasis alveolar
6. Histiocitosis X
7. Granulomatosis inespecifica

Lesiones alveolares

  • 1.
    UNIVERSIDAD AUTONOMA DE DURANGO CAMPUSLOS MOCHIS FACULTAD DE MEDICINA
  • 2.
    LESION ALVEOLAR  Sonaquellas en las que el aire de los alveolos pulmonares esta reemplazado por exudado o trasudado.
  • 3.
    Aspecto algodonoso enlosAspecto algodonoso en los bordesbordes
  • 4.
    Tendencia a lacoalescenciaTendencia a la coalescencia
  • 5.
    Distribución lobar oDistribuciónlobar o segmentariasegmentaria
  • 6.
    Distribución en alasdeDistribución en alas de mariposamariposa
  • 8.
    Broncograma aereo (avecesBroncograma aereo (a veces alveolograma)alveolograma)
  • 9.
  • 11.
    Gran importancia enla localizacion de las lesiones y masas pulmonares.
  • 12.
    “SIGNO DE LASILUETA” Hecho que cualquier opacidad intratoracica, si esta en contacto con el borde del corazon, de la aorta o del diafragma lo borrara, mientras que una lesion intratoracica que no esta en contigüidad con el borde de una de estas estructuras no oblitera su borde.
  • 13.
    44 11 1.Cuando una lesiónalveolar borra el borde cardiaco, parcial o totalmente, su localización es anterior, y por lo tanto tiene que estar en el lóbulo medio, lingula o segmento anterior del lóbulo superior 2. Cuando una densidad se superpone al borde cardiaco y no lo borra, esta situada en el lobulo inferior, aunque tambien las lesiones del mediastino posterior y de la cavidad pleural posterior pueden presentar la misma imagen.22 33 3. Cuando el borde derecho de la aorta ascendente esta obliterado, la lesion esta situada en el segmento anterior del lobulo superior derecho o en el lobulo medio
  • 14.
    55 66 77 88 5. Cuando elborde izquierdo del arco aórtico esta obliterado, la lesión debe suponerse localizada en el segmento apicoposterior del lóbulo superior izquierdo 6. Cuando la densidad que se supone al arco aórtico no lo oblitera, la lesión es anterior 7. El borde lateral de la aorta descendente es claramente visible, cuando las radiografías están adecuadamente penetradas. Cuando existe afectación de los segmentos superior y posterobasal, este borde esta obliterado y no es visible. 8. En el lado izquierdo , el diafragme es visible parcialmente a través de la sombra cardiaca
  • 15.
    → Borde cardíacoborrado..............La lesión es anterior → Aorta ascendente borrada............La lesión es anterior → Borde cardíaco conservado...........La lesión es posterior → Aorta ascendente conservada.........La lesión es posterior → Boton aórtico borrada...............La lesión es posterior → Aorta descendente borrada...........La lesión es posterior
  • 16.
    Clasificación de laslesiones alveolares:  Localizadas  Difusas  Agudas  Crónicas
  • 17.
    LESIONES ALVEOLARES LOCALIZADAS FRECUENTES -Neumonía -Infarto -Tuberculosis -Atelectasia -Contusiónpulmonar -Impacto mucoso POCO FRECUENTES -Sarcoidosis -Carcinoma de células alveolares -Linfoma -Seudolinfoma -Micosis -Edema pulmonar localizado -Neumonitis de loeffer -Aspiración
  • 18.
     La lesiónalveolar aguda localizada mas típica es la neumonía por neumococos esta puede ser segmentaria o lobar.  La afectación pleural acompañante es frecuente.
  • 19.
     La neumoníade friedlander es también lobar en su distribución.  Signo de la “ hinchazón del lóbulo”  Puede haber cavitación en el seno de la lesión, así como derrame pleural.
  • 21.
     Los impactosmucosos- pueden ocluir bronquios segmentarios. Afecta fundamentalmente a los lóbulos superiores.  Radiológicamente se ve una opacidad alargada, con bordes ondulantes, como una V dirigida hacia hilio “signo de la V”.
  • 23.
     Lesiones localizadascavitarias múltiples DENSIDADES ALVEOLARES CAVITADAS MULTIPLES CAUSAS: AGUDAS 1.-Tromboembolismo pulmonar con infartos a)No séptico b)Séptico* 2.- Neumonía CRONICAS 1.- tuberculosis 2.- micosis 3.-sarcoidosis 4.-linfoma 5.-carcinoma de celulas alveolares 6.-granulomatosis no infecciosa a)Wegener b)Granulomatosis linfomatiode c)Sarcoide necrotizante d)Granulomatosis broncocentrica e)Síndrome de Churg- Strauss
  • 24.
     La mayoríade los pacientes presentan densidades pulmonares, con una cavidad de paredes finas distribuidas periféricamente.  “Signo de la diana” es frec en infartos sépticos.  En las enfermedades crónicas que pueden presentar densidades alveolares múltiples de cavitación.
  • 25.
  • 26.
    ENFERMEDADES ALVEOLARES DEISEMINADAS AGUDAS FRECUENTES 1.Edema pulmonar 2. Neumonía de etiología no habitual 3. Distress respiratorio del recién nacido 4. Aspiración POCO FRECUENTES 1. Hemorragia pulmonar ­ Trauma ­ Anticoagulantes ­ Hemosiderosis ideopática ­ Goodpasture 1. Aspergilosis alérgica broncopulmonar 2. Infiltrados leucémicos.
  • 28.
    1. Edema pulmonar Extravasación anormal de líquido en el tejido pulmonar  Puede ser intersticial y/o alveolar.  El fallo cardiaco izquierdo es la causa más frecuente de edema pulmonar diseminado.
  • 29.
    1. Edema pulmonar FRECUENTES Agónico Aspiración Cardíaco Cerebral Reaccionesa drogas Sueros excesivos Embolismo graso Gases tóxicos Heroína Embolismo pulmonar Uremia Trauma torácico “shock lung” CAUSAS RARAS Reacciones alérgicas Colagenosis Ahorcamiento y sofocación Altitud elevada Hipoproteinemia Malaria Inmersión Toxicidad por oxígeno. Neumotórax con succión brusca “tormenta tiroidea” Reacción post-transfusión Reacciones a medios de contraste Epiglotis aguda Mola hidatidiforme Fallo hepático fulminante Laringospasmo
  • 30.
    1. Edema pulmonar Extravasación anormal de líquido en el tejido pulmonar  Puede ser intersticial y/o alveolar.  El fallo cardiaco izquierdo es la causa más frecuente de edema pulmonar diseminado.
  • 31.
  • 32.
    1. Edema pulmonar Generalmente existe congestión vascular pulmonar, como fase preedematosa en la que las venas pulmonares están distendidas y existe una redistribución del flujo sanguíneo pulmonar, con distensión de las ramas de los lóbulos inferiores, al contrario de lo que sucede en el individuo normal.
  • 34.
    1. Edema pulmonar La congestión pulmonar se complica primeramente con edema intersticial, viéndose borrosidad de los vasos debido al edema perivascular, más frecuentemente a nivel de los hilios.
  • 35.
  • 36.
    1. Edema pulmonar La presencia de ingurgitación en los espacios interlobulares produce la aparición de edema septal, que se caracteriza radiográficamente por la presencia de líneas de Kerley.
  • 37.
     Infiltrado en alasde mariposa ó de murciélago, por edema pulmonar.  Líneas B de Kerley.
  • 38.
    1. Edema pulmonar Lineas de Kerley A:  Son líneas muy finas, largas, rectas o ligeramente anguladas que se distribuyen fundamentealmente por los campos superiores, y que son más claramente visibles en la radiografía lateral de torax.
  • 40.
    1. Edema pulmonar Lineas de Kerley B:  Son líneas rectas, cortas de aproximadamente 2cms de longitud, son perpendiculares a la superficie pleural y se ven fundamentalmente en los senos costodiafragmáticos.
  • 41.
     Existe también cefalizaciónde flujo.  También llamado redistribución de flujo.
  • 42.
    1. Edema pulmonar La fase siguiende del edema es la aparición del edema alveolar, en el cual el aire de los alvéolos se reemplaza por líquido de edema. Este relleno produce la imagen de distribución en “alas de mariposa”.  La uremia es causa frecuente también de edema pulmonar con distribución similar.
  • 44.
    1. Edema pulmonar El edema por exceso de líquido es frecuente en los enfermos operados en los que se administran líquidos intravenosos. Suelen presentar lesiones extensas alveolares típicas, con cardiomegalia frecuente, debido al aumento de volumen sanguíneo, aunque lo habitual es que el corazón sea de tamaño normal.
  • 46.
    1. Edema pulmonar La presencia de edema pulmonar difuso sin cardiomegalia puede deberse, como luego se discute en las cardiopatías, a enfermedad aguda cardiovascular.  Los pacientes con infarto del miocardio agudo o incluso con enfermedad isquémica cardiaca pueden tener edema pulmonar sin cardiopatía.
  • 48.
    1. Edema pulmonar Edema unilateral:  Puede ocurrir debido a:  causas locales pulmonares  manipulación médica de una lesión pleural  neumotórax  derrame pleural masivo con aspiración demasiado rápida del mismo
  • 49.
    1. Edema pulmonar Edema unilateral:  Pueden clasificarse dependiendo de la localización de la causa como edema unilateral 1. Ipsilateral 2. Contralateral
  • 50.
    1. Edema pulmonar Edema unilateral:  Edema ipsilateral  son habitualmente debidas a alteración aguda alveolocapilar.  Edema unilateral contralateral  Ocurre habitualmente en el lado opuesto a un pulmón que tiene un defecto de perfusión.
  • 51.
  • 52.
    ENFERMEDADES ALVEOLARES DEISEMINADAS AGUDAS FRECUENTES 1.Edema pulmonar 2. Neumonía de etiología no habitual 3. Distress respiratorio del recién nacido 4. Aspiración POCO FRECUENTES 1. Hemorragia pulmonar ­ Trauma ­ Anticoagulantes ­ Hemosiderosis ideopática ­ Goodpasture 1. Aspergilosis alérgica broncopulmonar 2. Infiltrados leucémicos.
  • 54.
    1. Edema pulmonar Extravasación anormal de líquido en el tejido pulmonar  Puede ser intersticial y/o alveolar.  El fallo cardiaco izquierdo es la causa más frecuente de edema pulmonar diseminado.
  • 55.
    1. Edema pulmonar FRECUENTES Agónico Aspiración Cardíaco Cerebral Reaccionesa drogas Sueros excesivos Embolismo graso Gases tóxicos Heroína Embolismo pulmonar Uremia Trauma torácico “shock lung” CAUSAS RARAS Reacciones alérgicas Colagenosis Ahorcamiento y sofocación Altitud elevada Hipoproteinemia Malaria Inmersión Toxicidad por oxígeno. Neumotórax con succión brusca “tormenta tiroidea” Reacción post-transfusión Reacciones a medios de contraste Epiglotis aguda Mola hidatidiforme Fallo hepático fulminante Laringospasmo
  • 56.
    1. Edema pulmonar Extravasación anormal de líquido en el tejido pulmonar  Puede ser intersticial y/o alveolar.  El fallo cardiaco izquierdo es la causa más frecuente de edema pulmonar diseminado.
  • 57.
  • 58.
    1. Edema pulmonar Generalmente existe congestión vascular pulmonar, como fase preedematosa en la que las venas pulmonares están distendidas y existe una redistribución del flujo sanguíneo pulmonar, con distensión de las ramas de los lóbulos superiores, al contrario de lo que sucede en el individuo normal.
  • 60.
    1. Edema pulmonar La congestión pulmonar se complica primeramente con edema intersticial, viéndose borrosidad de los vasos debido al edema perivascular, más frecuentemente a nivel de los hilios.
  • 61.
  • 62.
    1. Edema pulmonar La presencia de ingurgitación en los espacios interlobulares produce la aparición de edema septal, que se caracteriza radiográficamente por la presencia de líneas de Kerley.
  • 63.
     Infiltrado enalas de mariposa ó de murciélago, por edema pulmonar.  Líneas B de Kerley.
  • 64.
    1. Edema pulmonar Lineas de Kerley A:  Son líneas muy finas, largas, rectas o ligeramente anguladas que se distribuyen fundamentealmente por los campos superiores, y que son más claramente visibles en la radiografía lateral de torax.
  • 66.
    1. Edema pulmonar Lineas de Kerley B:  Son líneas rectas, cortas de aproximadamente 2cms de longitud, son perpendiculares a la superficie pleural y se ven fundamentalmente en los senos costodiafragmáticos.
  • 67.
     Existe también cefalizaciónde flujo.  También llamado redistribución de flujo.
  • 68.
    1. Edema pulmonar La fase siguiende del edema es la aparición del edema alveolar, en el cual el aire de los alvéolos se reemplaza por líquido de edema. Este relleno produce la imagen de distribución en “alas de mariposa”.  La uremia es causa frecuente también de edema pulmonar con distribución similar.
  • 70.
    1. Edema pulmonar El edema por exceso de líquido es frecuente en los enfermos operados en los que se administran líquidos intravenosos. Suelen presentar lesiones extensas alveolares típicas, con cardiomegalia frecuente, debido al aumento de volumen sanguíneo, aunque lo habitual es que el corazón sea de tamaño normal.
  • 72.
    1. Edema pulmonar La presencia de edema pulmonar difuso sin cardiomegalia puede deberse, como luego se discute en las cardiopatías, a enfermedad aguda cardiovascular.  Los pacientes con infarto del miocardio agudo o incluso con enfermedad isquémica cardiaca pueden tener edema pulmonar sin cardiopatía.
  • 74.
    1. Edema pulmonar Edema unilateral:  Puede ocurrir debido a:  causas locales pulmonares  manipulación médica de una lesión pleural  neumotórax  derrame pleural masivo con aspiración demasiado rápida del mismo
  • 75.
    1. Edema pulmonar Edema unilateral:  Pueden clasificarse dependiendo de la localización de la causa como edema unilateral 1. Ipsilateral 2. Contralateral
  • 76.
    1. Edema pulmonar Edema unilateral:  Edema ipsilateral  son habitualmente debidas a alteración aguda alveolocapilar.  Edema unilateral contralateral  Ocurre habitualmente en el lado opuesto a un pulmón que tiene un defecto de perfusión.
  • 77.
    NEUMONIA DE ORIGENNO HABITUAL  Presenta un patrón alveolar difuso agudo de origen neumónico.  Poco frecuentes.  CAUSAS: Disminución de las defensas de individuo, alcoholismo, estancia hospitalaria con contaminación secundaria.
  • 80.
    NEUMONIA POR LEGIONELLAPNEUMONIA O “ENFERMEDAD DE LOS LEGIONARIOS”  Neumonía atípica con fiebre alta, gran postración, síntomas abdominales y tos no productiva, asociada a dolor pleurítico.  Radiológicamente presenta infiltrados bilaterales confluentes.  Diseminación local.  Afectación lobar frecuente.  Derrame pleural más del 50 % de los casos.
  • 81.
    NEUMONIA POR PNEUMOCISTIS CARINIIEnfermos inmunodeprimidos.  Complicación principal en px con S.I.D.A.  Es frecuente infiltrados difusos confluentes.
  • 83.
    HEMORRAGIA PULMONAR CAUSAS • FRECUENTES: 1.Traumatismo (contusión). 2. Síndrome de Goodpasture Síndrome de Goodpasture • POCO FRECUENTES: 1. Terapéutica anticoagulante. 2. Aspiración de lesión pulmonar sangrante. 3. Coagulopatías. 4. Leucemia 5. Cirugía cardiaca. 6. Blast injury. 7. Hemosiderosis pulmonar idiopática. 8. Estenosis mitral. 9. Stress del recién nacido. 10. Postlinfografía. 11. Etiología desconocida.
  • 84.
    Síndrome de GoodPasture(Hemorragia pulmonar por nefropatía) Opacidadesmoteadasdifusas,zonasdeconsolidaciónbilateralesdiseminadasde modouniformeenamboscampospulmonares,confluyentes.Seconservanángulos costodiafragmáticosindemnesaligualquelaszonasapicales.Adenomegalias parahiliaresderechas.
  • 85.
    LESIONES ALVEOLARES DISEMINADAS CRONICAS •FRECUENTES: 1. Sarcoidosis. 2. Tuberculosis. 3. Hongos. 4. Carcinoma alveolar. 5. Linfoma. 6. Proteinosis alveolar. • RARAS: 1. Neumonia de Hair Spray 2. Neumonia descamativa 3. Neumonitis linfocitica intersticial 4. Neumonitis lipodea exógena 5. Microlitiasis alveolar 6. Histiocitosis X 7. Granulomatosis inespecifica