SEGUNDO CURSO
“GENERALIDADES EN PATOLOGÍA QUIRÚRGICA NO TRAUMÁTICA”
Dr. Ricardo Roffo
Servicio de Cirugía General del Hospital de
Emergencias de Rosario, Dr. Clemente Álvarez.
H.E.C.A.
LITIASIS VESICULAR
SEGUNDO CURSO
“GENERALIDADES EN PATOLOGÍA
QUIRÚRGICA NO TRAUMÁTICA”
Dr. Ricardo Roffo
Servicio de Cirugía General del Hospital de
Emergencias de Rosario, Dr. Clemente
Álvarez. H.E.C.A.
LITIASIS VESICULAR
Etiologia
 Los cálculos biliares se forman cuando la
concentración de colesterol en la bilis excede
la capacidad de las sales biliares para
mantenerlo soluble.
 de colesterol o mixtos 70 %
 de bilirrubina 20 %
 de calcio- + raros 10 %
PREVALENCIA
 El 10 % de la población tiene litiasis vesicular
 La incidencia de cálculos en mayores de 60
años es del 25 %
 Y por arriba de 80 años es del 35 %
 HIV y litiasis vesicular
 Inmunocomprometidos
ETIOLOGIA : 4 F
1. Mujer
2. Cuarenta años
3. Exceso de peso
4. Multípara
5. Anticoncepción oral
6. Diabetes
SINTOMAS
 INTOLERANCIAA LAS GRASAS
 FLATULENCIAS
 DIGESTIONES LENTAS
 CEFALEAS
 CONSTIPACIÓN
 SENSACIONES DISPLACENTERAS POST
PRANDIALES
 PIROSIS
 CONFUSIÓNCON SINTOMAS GASTRICOS
LITIASIS VESICULAR
ASINTOMATICA
Hasta el 60 % de los pacientes pueden ser asintomáticos
COLICO BILIAR
Primer motivo de consulta médica
“en serio”
CLINICA DEL COLICO BILIAR
 DOLOR COLICO EN HIPOCONDRIO
DERECHO,FOSA LUMBAR DERY
EPIGASTRIO. DE INSTALACION BRUSCA
 NAUSEASYVÓMITOS.
 POSTTRANSGRESIÓNALIMENTICIA
 MEJORIACON ANTIESPASMODICOS
 SIN FIEBRE
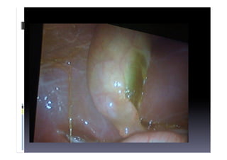
COMPLICACIONES
 Litiasis coledociana
 Colangitis
 Colecistitis aguda
 Pancreatitis aguda
 Cáncer de vesícula
 Ileo biliar
DIAGNOSTICO
DIAGNOSTICO
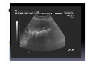
ECOGRAFIA
HEPATO-BILIO-PANCREATICA
Falsos Negativos
Pueden ser cálculos pigmentarios o de muy
pequeño tamaño que no muestran sombra
acústica posterior, por litiasis impactadas o por
vesículas contraídas
Falsos Positivos
Por gas interpuesto del duodeno
diagnostico
 Foto ecografia
Barro Biliar
La presencia de bilis espesa puede
manifestarse como barro biliar, con ecos de
bajo nivel sin sombra acústica posterior,
creando un nivel líquido-líquido y a veces
dando imágenes amorfas simulando tumores
COLECISTITIS AGUDA
 La incidencia aumenta con la edad
 Las complicaciones son más comunes en
adultos mayores.
 Es potencialmente grave en pacientes
diabéticos
 El tratamiento de elección es la
colecistectomía
CLINICA DE LA COLECISTITIS
AGUDA
 Dolor cólico que luego se vuelve continuo en
epigastrio e hipocondrio derecho.
 Nauseas y vómitos que no alivian el dolor
 Fiebre
 Dolor a la palpación
 Alivia o desaparece transitoriamente con
analgésicos EV
 Antecedente ingesta copiosa
 Antecedente de cólicos biliares menos intensos
Complicaciones de la
colecistitis aguda
 Piocolecisto
 Perforación vesicular
 Peritonitis localizada
 Peritonitis generalizada
 Hidrocolecisto
 Fistulas internas y externas
ICTERICIA
 Coloración amarillenta de piel y mucosas por
el aumento de la bilirrubinemia.
 Ictericia obstructiva o post-hepática
 DIAGNOSTICO DIFERENCIAL DE LAS
ICTERICIAS
DIAGNOSTICO DIFERENCIAL DE
LAS ICTERICIAS
Métodos de Estudios de la vía
biliar
 Ecografía
 CPRE
 Colangio RMI
 TAC
SINDROME COLEDOCIANO
FORMA DE PRESENTACION
 Dolor: epigástrico irradiado a H.D., dorso y
fosa lumbar
 Ictericia
 Febricula
 Coluria
 Acolia
Triada de Charcot
 Dolor
 Ictericia
 Fiebre
COLANGITIS AGUDA
COLANGITIS ASCENDENTE o
SEPSIS BILIAR
 Es una complicación de la litiasis coledociana.
 Se presenta en adultos mayores
 Potencialmente mortal
 Mortal de diabéticos
 Frecuente en jóvenes HIV
POSIBILIDADES TERAPEUTICAS
COLECISTECTOMIA LAPAROSCOPICA
 Colecistectomia a cielo abierto
 Drenaje percutáneo
 CPRE con papilotomia y extracción de
cálculos
 Enfriar el cuadro – wait and see -
Acido Ursodesoxicolico
 Es un ácido presente en la bilis altamente
hidrofílico, que disuelve el colesterol y emulsiona
las grasas en el intestino.
 Disminuye el contenido de colesterol de la bilis.
 Indicado solamente para los cálculos colesterol
 Cirrosis biliar primaria
 Colangitis esclerosante
 Cualquier situación de colestasis
LO QUE Ud. SIEMPRE QUISO
PREGUNTAR
 Es necesario operarme si me cuido en las
comidas?
 Se puede vivir sin vesícula?
 Se pueden tener cálculos a los 20 años?
 Mi médico me dijo que si no tengo síntomas
no necesito operarme!
 Soy diabético y tengo cálculos en la vesícula
 La cirugía video laparoscópica es sencilla, no?
 Después voy a comer de todo no?
 Hay un medicamento que disuelve los
cálculos? Porque no probamos?
 Es conveniente enfriar una colecistitis?
 Todo me hace mal porque sufro del hígado
 Es mejor operarse x laparoscopía?
 Con una ecografía ya está?
 Ya tengo 65 años. Para que me voy a operar?
 Tengo una ecografía con cálculos y otra
normal. Que hago?

LITIASIS VESICULAR

  • 1.
    SEGUNDO CURSO “GENERALIDADES ENPATOLOGÍA QUIRÚRGICA NO TRAUMÁTICA” Dr. Ricardo Roffo Servicio de Cirugía General del Hospital de Emergencias de Rosario, Dr. Clemente Álvarez. H.E.C.A. LITIASIS VESICULAR
  • 2.
    SEGUNDO CURSO “GENERALIDADES ENPATOLOGÍA QUIRÚRGICA NO TRAUMÁTICA” Dr. Ricardo Roffo Servicio de Cirugía General del Hospital de Emergencias de Rosario, Dr. Clemente Álvarez. H.E.C.A.
  • 3.
  • 4.
    Etiologia  Los cálculosbiliares se forman cuando la concentración de colesterol en la bilis excede la capacidad de las sales biliares para mantenerlo soluble.  de colesterol o mixtos 70 %  de bilirrubina 20 %  de calcio- + raros 10 %
  • 6.
    PREVALENCIA  El 10% de la población tiene litiasis vesicular  La incidencia de cálculos en mayores de 60 años es del 25 %  Y por arriba de 80 años es del 35 %  HIV y litiasis vesicular  Inmunocomprometidos
  • 7.
    ETIOLOGIA : 4F 1. Mujer 2. Cuarenta años 3. Exceso de peso 4. Multípara 5. Anticoncepción oral 6. Diabetes
  • 10.
    SINTOMAS  INTOLERANCIAA LASGRASAS  FLATULENCIAS  DIGESTIONES LENTAS  CEFALEAS  CONSTIPACIÓN  SENSACIONES DISPLACENTERAS POST PRANDIALES  PIROSIS  CONFUSIÓNCON SINTOMAS GASTRICOS
  • 11.
    LITIASIS VESICULAR ASINTOMATICA Hasta el60 % de los pacientes pueden ser asintomáticos
  • 12.
    COLICO BILIAR Primer motivode consulta médica “en serio”
  • 13.
    CLINICA DEL COLICOBILIAR  DOLOR COLICO EN HIPOCONDRIO DERECHO,FOSA LUMBAR DERY EPIGASTRIO. DE INSTALACION BRUSCA  NAUSEASYVÓMITOS.  POSTTRANSGRESIÓNALIMENTICIA  MEJORIACON ANTIESPASMODICOS  SIN FIEBRE
  • 14.
    COMPLICACIONES  Litiasis coledociana Colangitis  Colecistitis aguda  Pancreatitis aguda  Cáncer de vesícula  Ileo biliar
  • 15.
  • 16.
  • 17.
    Falsos Negativos Pueden sercálculos pigmentarios o de muy pequeño tamaño que no muestran sombra acústica posterior, por litiasis impactadas o por vesículas contraídas
  • 18.
    Falsos Positivos Por gasinterpuesto del duodeno
  • 19.
  • 21.
    Barro Biliar La presenciade bilis espesa puede manifestarse como barro biliar, con ecos de bajo nivel sin sombra acústica posterior, creando un nivel líquido-líquido y a veces dando imágenes amorfas simulando tumores
  • 23.
    COLECISTITIS AGUDA  Laincidencia aumenta con la edad  Las complicaciones son más comunes en adultos mayores.  Es potencialmente grave en pacientes diabéticos  El tratamiento de elección es la colecistectomía
  • 24.
    CLINICA DE LACOLECISTITIS AGUDA  Dolor cólico que luego se vuelve continuo en epigastrio e hipocondrio derecho.  Nauseas y vómitos que no alivian el dolor  Fiebre  Dolor a la palpación  Alivia o desaparece transitoriamente con analgésicos EV  Antecedente ingesta copiosa  Antecedente de cólicos biliares menos intensos
  • 28.
    Complicaciones de la colecistitisaguda  Piocolecisto  Perforación vesicular  Peritonitis localizada  Peritonitis generalizada  Hidrocolecisto  Fistulas internas y externas
  • 29.
    ICTERICIA  Coloración amarillentade piel y mucosas por el aumento de la bilirrubinemia.  Ictericia obstructiva o post-hepática  DIAGNOSTICO DIFERENCIAL DE LAS ICTERICIAS
  • 30.
  • 31.
    Métodos de Estudiosde la vía biliar  Ecografía  CPRE  Colangio RMI  TAC
  • 32.
  • 33.
    FORMA DE PRESENTACION Dolor: epigástrico irradiado a H.D., dorso y fosa lumbar  Ictericia  Febricula  Coluria  Acolia
  • 34.
    Triada de Charcot Dolor  Ictericia  Fiebre
  • 36.
  • 37.
    COLANGITIS ASCENDENTE o SEPSISBILIAR  Es una complicación de la litiasis coledociana.  Se presenta en adultos mayores  Potencialmente mortal  Mortal de diabéticos  Frecuente en jóvenes HIV
  • 41.
  • 44.
    COLECISTECTOMIA LAPAROSCOPICA  Colecistectomiaa cielo abierto  Drenaje percutáneo  CPRE con papilotomia y extracción de cálculos  Enfriar el cuadro – wait and see -
  • 47.
    Acido Ursodesoxicolico  Esun ácido presente en la bilis altamente hidrofílico, que disuelve el colesterol y emulsiona las grasas en el intestino.  Disminuye el contenido de colesterol de la bilis.  Indicado solamente para los cálculos colesterol  Cirrosis biliar primaria  Colangitis esclerosante  Cualquier situación de colestasis
  • 50.
    LO QUE Ud.SIEMPRE QUISO PREGUNTAR  Es necesario operarme si me cuido en las comidas?  Se puede vivir sin vesícula?  Se pueden tener cálculos a los 20 años?  Mi médico me dijo que si no tengo síntomas no necesito operarme!  Soy diabético y tengo cálculos en la vesícula  La cirugía video laparoscópica es sencilla, no?
  • 51.
     Después voya comer de todo no?  Hay un medicamento que disuelve los cálculos? Porque no probamos?  Es conveniente enfriar una colecistitis?  Todo me hace mal porque sufro del hígado  Es mejor operarse x laparoscopía?  Con una ecografía ya está?  Ya tengo 65 años. Para que me voy a operar?
  • 52.
     Tengo unaecografía con cálculos y otra normal. Que hago?