NEOPLASIAS BENIGNAS Y MALIGNAS GENERALIDADES
NEOPLASIA CONCEPTO: “  ES UNA MASA  ANORMAL DE TEJIDO, CON UN CRECIMIENTO QUE SOBREPASA AL DE LOS TEJIDOS  NORMALES Y NO COORDINADO CON EL DE ESTOS, QUE CONSERVA EL MISMO  CARÁCTER EXCESIVO UNA VEZ CONCLUIDO EL ESTIMULO QUE PROVOCO EL CAMBIO”.
NEOPLASIAS BIOLOGICO: BENIGNAS- MALIGNAS NOMENCLATURA BENIGNAS EPITELIALES: PAPILOMA POLIPO CISTADENOMA ADENOMA MALIGNAS EPITELIALES (carcinomas) CARCINOMA EPIDERM. ADENOCARCINOMA
NEOPLASIAS BENIGNAS, TEJIDO CONJUN. (OMA) FIBROMA CONDROMA LIPOMA ETC.  MALIGNAS TEJIDO CONJUN. ( SARCOMA) FIBROSARCOMA CONDROSARCOMA LIPOSARCOMAetc.etc.
NEOPLASIA TERATOMA: BENIGNO (QUISTICO) MALIGNO (SÓLIDO) OTROS:  NOMBRE PROPIO: SARCOMA DE KAPOSI,TUMOR DE KRUKEMBERG,LINFOMA DE BURKITT. DERIVADO ORGNO O TEJIDO.HEPATOMA
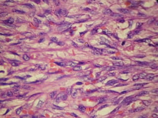
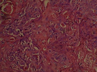
NEOPLASIA CARACTERISTICAS NEOPLASIAS BENIGNAS Y MALIGNAS. A) DIFERENCIACION Y ANAPLASIA B) VELOCIDAD DE CRECIMIENTO C) INVASION LOCAL D) METASTASIS
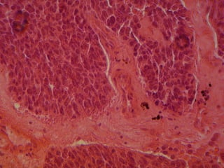
NEOPLASIA DIFERENCIACION Y ANAPLASIA BENIGNOS: BIEN DIFERENCIADOS MALIGNOS: BIEN DIFERENCIADOS  (grado I).MODERADAMENTE DIFERENCIADO (grado II).POCO DIFERENCIADOS (grado III).INDIFERENCIADOS (grado IV). ANAPLASICOS
 
 
 
 
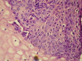
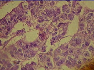
NEOPLASIA CARACTERISTICAS MICROSCOPICAS DE LAS CELULAS MALIGNAS. AUMENTO TAMAÑO NUCLEO (N/C) PLEOMORFISMO NUCLEAR. MITOSIS ATIPICAS CROMATINA GRUMOSA (MEMBRANA CELULAR  ENGROSADA) d)  PERDIDA DE LA ADHESIVIDAD.
 
 
 
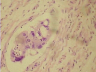
NEOPLASIAS VIAS DE DISEMINACION A) SIEMBRAS A CAVIDADES CORPOR. B) DISEMINACION LINFAGICA (CARCINOMAS) C) DISEMINACION HEMATOGENA (SARCOMAS).
 
 
 
 
 
NEOPLASIAS FACTORES RELACIONADOS CON EL CANCER GEOGRAFICOS. AMBIENTALES. EDAD. VIRAL-BACTERIANA CARCINOGENOS QUIMICOS PROFESIONALES HERENCIA CONDICIONES PRENEOPLASICAS ADQUIRIDAS
NEOPLASIAS CANCERES PROFESIONALES ARSENICO Y COMPUESTOS DE ARSENICO (HERBICIDAS,FUNGICIDAS,ALIMENTOS ANIMALES). PULMON, PIEL.ANGIOS. CADMIO YCOMPUESTOS(SOLDADURA MADURAR FRUTAS) PROSTATA. OXIDO DE ETILENO:( FUMIGANTES ALIMENTOS,MADURAR FRUTAS).LEUCEMIA
 
 
 
 
 
 
 
 
 
 
 
NEOPLASIAS CINÉTICA: MULTIPLICACION DE LA CELULA TRANSFORMADA Y DE LA PERDIDA CELULAR. ANGIOGENESIS TUMORAL: 1 a 2 mm.DISTANCIA MAXIMA DIFUSION OXIGENO Y NUTRIENTES.  IMPORTANTE PARA LA MALIGNIDAD
NEOPLASIAS CELULA NORMAL LESION DEL DNA (Fracaso reparación del DNA)  MUTACIONES GENOMA DE CEL. ACTIVACION DE LOS ONCOGENES ALTERACION GENES REG.APOTOSIS INACTIVACION GENES SUPR.CANC. NEOPLASIA MALIGNA
NEOPLASIA DIAGNOSTICO: BIOPSIA CITOLOGIA INMUNOHISTOQUIMICA MARCADORES TUMORALES

Neoplasias Anatomia Patologica

  • 1.
    NEOPLASIAS BENIGNAS YMALIGNAS GENERALIDADES
  • 2.
    NEOPLASIA CONCEPTO: “ ES UNA MASA ANORMAL DE TEJIDO, CON UN CRECIMIENTO QUE SOBREPASA AL DE LOS TEJIDOS NORMALES Y NO COORDINADO CON EL DE ESTOS, QUE CONSERVA EL MISMO CARÁCTER EXCESIVO UNA VEZ CONCLUIDO EL ESTIMULO QUE PROVOCO EL CAMBIO”.
  • 3.
    NEOPLASIAS BIOLOGICO: BENIGNAS-MALIGNAS NOMENCLATURA BENIGNAS EPITELIALES: PAPILOMA POLIPO CISTADENOMA ADENOMA MALIGNAS EPITELIALES (carcinomas) CARCINOMA EPIDERM. ADENOCARCINOMA
  • 4.
    NEOPLASIAS BENIGNAS, TEJIDOCONJUN. (OMA) FIBROMA CONDROMA LIPOMA ETC. MALIGNAS TEJIDO CONJUN. ( SARCOMA) FIBROSARCOMA CONDROSARCOMA LIPOSARCOMAetc.etc.
  • 5.
    NEOPLASIA TERATOMA: BENIGNO(QUISTICO) MALIGNO (SÓLIDO) OTROS: NOMBRE PROPIO: SARCOMA DE KAPOSI,TUMOR DE KRUKEMBERG,LINFOMA DE BURKITT. DERIVADO ORGNO O TEJIDO.HEPATOMA
  • 6.
    NEOPLASIA CARACTERISTICAS NEOPLASIASBENIGNAS Y MALIGNAS. A) DIFERENCIACION Y ANAPLASIA B) VELOCIDAD DE CRECIMIENTO C) INVASION LOCAL D) METASTASIS
  • 7.
    NEOPLASIA DIFERENCIACION YANAPLASIA BENIGNOS: BIEN DIFERENCIADOS MALIGNOS: BIEN DIFERENCIADOS (grado I).MODERADAMENTE DIFERENCIADO (grado II).POCO DIFERENCIADOS (grado III).INDIFERENCIADOS (grado IV). ANAPLASICOS
  • 8.
  • 9.
  • 10.
  • 11.
  • 12.
    NEOPLASIA CARACTERISTICAS MICROSCOPICASDE LAS CELULAS MALIGNAS. AUMENTO TAMAÑO NUCLEO (N/C) PLEOMORFISMO NUCLEAR. MITOSIS ATIPICAS CROMATINA GRUMOSA (MEMBRANA CELULAR ENGROSADA) d) PERDIDA DE LA ADHESIVIDAD.
  • 13.
  • 14.
  • 15.
  • 16.
    NEOPLASIAS VIAS DEDISEMINACION A) SIEMBRAS A CAVIDADES CORPOR. B) DISEMINACION LINFAGICA (CARCINOMAS) C) DISEMINACION HEMATOGENA (SARCOMAS).
  • 17.
  • 18.
  • 19.
  • 20.
  • 21.
  • 22.
    NEOPLASIAS FACTORES RELACIONADOSCON EL CANCER GEOGRAFICOS. AMBIENTALES. EDAD. VIRAL-BACTERIANA CARCINOGENOS QUIMICOS PROFESIONALES HERENCIA CONDICIONES PRENEOPLASICAS ADQUIRIDAS
  • 23.
    NEOPLASIAS CANCERES PROFESIONALESARSENICO Y COMPUESTOS DE ARSENICO (HERBICIDAS,FUNGICIDAS,ALIMENTOS ANIMALES). PULMON, PIEL.ANGIOS. CADMIO YCOMPUESTOS(SOLDADURA MADURAR FRUTAS) PROSTATA. OXIDO DE ETILENO:( FUMIGANTES ALIMENTOS,MADURAR FRUTAS).LEUCEMIA
  • 24.
  • 25.
  • 26.
  • 27.
  • 28.
  • 29.
  • 30.
  • 31.
  • 32.
  • 33.
  • 34.
  • 35.
    NEOPLASIAS CINÉTICA: MULTIPLICACIONDE LA CELULA TRANSFORMADA Y DE LA PERDIDA CELULAR. ANGIOGENESIS TUMORAL: 1 a 2 mm.DISTANCIA MAXIMA DIFUSION OXIGENO Y NUTRIENTES. IMPORTANTE PARA LA MALIGNIDAD
  • 36.
    NEOPLASIAS CELULA NORMALLESION DEL DNA (Fracaso reparación del DNA) MUTACIONES GENOMA DE CEL. ACTIVACION DE LOS ONCOGENES ALTERACION GENES REG.APOTOSIS INACTIVACION GENES SUPR.CANC. NEOPLASIA MALIGNA
  • 37.
    NEOPLASIA DIAGNOSTICO: BIOPSIACITOLOGIA INMUNOHISTOQUIMICA MARCADORES TUMORALES