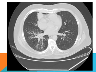
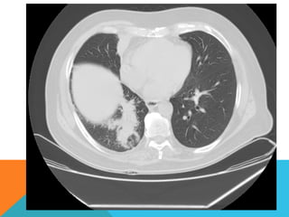
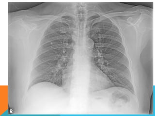
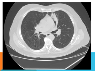
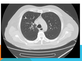
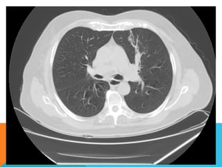
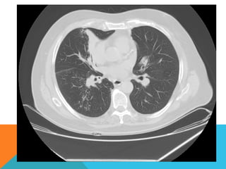
ABORDAJE TÉCNICO: Se realiza estudio con ventana mediastinal y de parénquima pulmonar con técnica de ALTA
RESOLUCION, en inspiración y espiración, mediante  cortes axiales, desde ápices hasta bases pulmonares, con las
siguientes observaciones
En las partes blandas y las estructuras óseas dentro de los límites de la normalidad. Las regiones axilares libres.
Ambos pulmones con neumatización conservada, con sobredistensión pulmonar, y áreas de atrapamiento aéreo,
bilateral con cambios fibrosos cicatriciales apicales derechos. Se demuestran áreas de condensación en topografía
predominantemente parenquimatosa pulmonar derecha, la mayor de ellas evidenciada hacia la base, acompañada
de broncograma aéreo, la medición máxima al corte axial de 6.1 por 2.2 cm, en topografía del segmento posterior
del lóbulo inferior, S10 así como también otra más se definen topografía de similares características en topografía
del segmento medial del lóbulo medio, S5. En topografía parenquimatosa pulmonar izquierda imagen de similares
características a las ya descritas en topografía del segmento lingular inferior, S4.
No hay derrame ni áreas de engrosamiento pleurales.
El patrón vascular es de características normales donde no se delimitan imágenes de lesiones aneurismáticas
únicamente cambios por aortoesclerosis incipiente.
El corazón de dimensiones conservada, de contornos regulares, sin desplazamientos; en la región hiliar derecha se
define adenopatía de medición máxima corte axial de 1.6 por 1.4 cm.
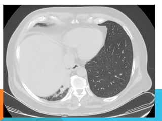
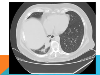
En los cortes realizados hacia las bases pulmonares es posible delimitar los órganos sólidos intraabdominales
tales como el hígado sin anormalidades que consignar; se demuestra imagen hiperdensa puntiforme en
topografía del parénquima esplénico en relación a calcificación inespecífica. Hay distensión aérea esofágica
que lo define prácticamente su totalidad.
Se demuestran imágenes hiperdensas en topografía intraluminal vesicular que corresponden con colelitiasis.
Se define imagen hipodensa parenquimatosa renal superior derecha con patrón de atenuación homogéneo,
líquido que condiciona la sospecha de lesión focal benigna tipo quística simple.
INTERPRETACIÓN DIAGNÓSTICA:  
ESTUDIO ANORMAL QUE DEMUESTRA HALLAZGO INESPECIFICO DE SOBREDISTENSIÓN PULMONAR  CON
CAMBIOS FIBROSOS CICATRICIALES APICALES DERECHOS Y ÁREAS DE CONDENSACIÓN PARENQUIMATOSAS
PULMONARES, DE PREDOMINIO DERECHO, LA DE MAYORES DIMENSIONES BASAL DERECHA, ASOCIADA CON
BRONCOGRAMA AÉREO.
COLELITIASIS.
El estudio radiológico simple
evidencia una lesión nodular
menor del centímetro,
radiodensa, caracterizada como
granuloma cálcico.
En mi opinión el estudio de
TCAR fue realizado por ese
motivo y ello permito identificar
los hallazgos “floridos” que ya
se señalan y se muestran en las
imagen axiales ya
seleccionadas.
La TCAR es la técnica mas específica y sensible para localizar,
examinar el tamaño, la forma, y los contornos (márgenes) de un
nódulo e identificar su calcificación. Además de considerar el
patrón de crecimiento.
Tipo 1
Tipo 2
Tipo 3
Tipo 4
RECOMENDACIÓN:
http://es.slideshare.net/betomotta/nodulo-
pulmonar-1831433
T C A R, TOMOGRAFÍA COMPUTADA DE ALTA RESOLUCIÓN
Es el estudio del tórax que intenta optimizar la representación anatómica pulmonar. Esto se logra
gracias a las características técnicas diferentes a las utilizadas en la TC torácica convencional: grosor
de corte muy fino, algoritmo de reconstrucción de alta frecuencia espacial, tiempo de corte muy
breve, y elevado miliamperaje.
Se realiza generalmente efectuando cortes únicos a intervalos espaciados y por tanto no se explora la
totalidad del tórax.
La TCAR de rutina se obtiene durante la plena inspiración suspendida, aunque también puede
efectuarse como complemento en espiración forzada para identificar zonas pulmonares con
atrapamiento aéreo. Por lo general en la TCAR no se utiliza contraste intravenoso.
Indicaciones.
La TCAR se utiliza fundamentalmente para:
Estudio de enfermedades difusas pulmonares intersticiales.
Valoración de bronquiectasias de pequeño calibre.
Diagnóstico de pacientes con una enfermedad obstructiva.
T C A R, TOMOGRAFÍA COMPUTADA DE ALTA RESOLUCIÓN
1.  Alta resolución (valoración de estructuras < 1 mm).
2.  Baja exposición a radiación (dosis bajas por 1 a 2
segundos)
3.  Representación clara y precisa de la anatomía
pulmonar
4.  Excelente correlación con el examen macroscópico
5.  Distingue distintos tipos de lesiones pulmonares
difusas
http://www.medigraphic.com/pdfs/anaradmex/arm-2008/
arm081e.pdf
6.  Colimación: La colimación mas pequeña
disponible (1 – 1,5 mm)
7.  Algoritmo de reconstrucción: Alta frecuencia
espacial o un algoritmo nítido
8.  Tiempo de exploración: Tan corto como sea
posible (1 -2 segundos)
9.  kVp; mA; mAs: kVp 120 – 140; mA 140 – 240;
mAs 240 – 400
T C A R, TOMOGRAFÍA COMPUTADA DE ALTA RESOLUCIÓN
http://www.medigraphic.com/pdfs/anaradmex/arm-2008/
arm081e.pdf
10. Tamaño de la matriz: La mayor disponible (512 x
512).
11. Ventanas: Al menos es necesaria una ventana
pulmonar consistente. Una ventana con valores de –
600 UH a –700 UH/1.000 UH a 1.500 UH son
apropiados. –700/1.000 UH o –600/1.500 UH son
una buena combinación. Ventanas para tejidos blandos
de aproximadamente 50/350 UH deben utilizarse para
mediastino, hilio y pleura.
T C A R, TOMOGRAFÍA COMPUTADA DE ALTA RESOLUCIÓN
http://www.medigraphic.com/pdfs/anaradmex/arm-2008/
arm081e.pdf
La radiografía de tórax es una exploración muy útil pero tiene limitaciones. Algunas partes de
tórax no se ven claramente en la imagen. Por otra parte una radiografía de tórax normal no
descarta todos los problemas del tórax. Por ejemplo, pacientes con ataques de asma pueden
tener una placa normal. Hay algunos canceres demasiado pequeños o difíciles de visualizar y
puede que no sean visibles. El embolismo pulmonar no puede verse en la radiografía de tórax y
requiere un estudio adicional.
Un estudio de TC de tórax puede ser necesario para aclarar un hallazgo visto en la radiografía de
tórax o en la realización de la TC demostrar anormalidades no identificadas en la radiografía de
tórax y que pudiesen dar respuesta al problema clínico que motiva el abordaje diagnostico.
El grado de afectación del pulmón así como la distribución de la enfermedad y localización
anatómica puede ser evaluada mejor con un TC.
Algunas enfermedades como las enfermedades pulmonares crónicas son evaluadas con TC de alta
resolución.
La radiografía de tórax y la exploración física deben tener correlación. La información que
proporciona cada exploración puede dar al médico una clara comprensión de la salud del paciente.
TELERRADIOGRAFÍA de tórax versus T C A R,
http://www.inforadiologia.org/modules.php?
name=webstructure&lang=ES&idwebstructure=306
La TCAR posee una mayor sensibilidad que la radiografía de tórax y
la TC convencional en la detección y caracterización de varios
hallazgos histopatológicos en la enfermedad intersticial pulmonar
en pacientes con enfermedad del colágeno.
La TCAR permite evaluar la proporción relativa de fibrosis e
inflamación.
T C A R, TOMOGRAFÍA COMPUTADA DE ALTA RESOLUCIÓN
Las técnicas de imagen son herramientas diagnósticas muy útiles en el estudio de las
enfermedades de la vía aérea pequeña. Sin embargo, a pesar de ser diferentes, desde un
punto de vista clínico-patológico, las enfermedades de la vía aérea pequeña presentan
manifestaciones radiológicas similares.
La TCAR es la técnica de elección para estudiar las enfermedades difusas y las de la vía
aérea pequeña; los cortes complementarios en espiración deben formar parte del protocolo
de estudio de la patología de la vía aérea pequeña.
Sobre la base de los hallazgos de la TCAR, las enfermedades de la vía aérea pequeña se
dividen en dos grandes grupos: a) las que presentan signos morfológico directos de
afectación bronquiolar, y b) las que presentan signos indirectos de afectación bronquiolar
(atrapamiento aéreo/patrón “en mosaico”).
T C A R, TOMOGRAFÍA COMPUTADA DE ALTA RESOLUCIÓN
Arch Bronconeumol. 2011;47(Supl 2):20-26
PATRÓN
RETICULAR
•  De los elementos unitarios
•  que se repiten en el espacio
•  de acuerdo a simetrías
PATRÓN = ORGANIZACIÓN
PATRÓN NODULAR
PATRÓN
ALVEOLAR
PATRÓN
QUÍSTICO
T C A R, TOMOGRAFÍA COMPUTADA DE ALTA RESOLUCIÓN
http://www.medigraphic.com/
pdfs/anaradmex/arm-2008/
arm081e.pdf
Caso núm. 8

Caso núm. 8

  • 17.
    ABORDAJE TÉCNICO: Serealiza estudio con ventana mediastinal y de parénquima pulmonar con técnica de ALTA RESOLUCION, en inspiración y espiración, mediante  cortes axiales, desde ápices hasta bases pulmonares, con las siguientes observaciones En las partes blandas y las estructuras óseas dentro de los límites de la normalidad. Las regiones axilares libres. Ambos pulmones con neumatización conservada, con sobredistensión pulmonar, y áreas de atrapamiento aéreo, bilateral con cambios fibrosos cicatriciales apicales derechos. Se demuestran áreas de condensación en topografía predominantemente parenquimatosa pulmonar derecha, la mayor de ellas evidenciada hacia la base, acompañada de broncograma aéreo, la medición máxima al corte axial de 6.1 por 2.2 cm, en topografía del segmento posterior del lóbulo inferior, S10 así como también otra más se definen topografía de similares características en topografía del segmento medial del lóbulo medio, S5. En topografía parenquimatosa pulmonar izquierda imagen de similares características a las ya descritas en topografía del segmento lingular inferior, S4. No hay derrame ni áreas de engrosamiento pleurales. El patrón vascular es de características normales donde no se delimitan imágenes de lesiones aneurismáticas únicamente cambios por aortoesclerosis incipiente. El corazón de dimensiones conservada, de contornos regulares, sin desplazamientos; en la región hiliar derecha se define adenopatía de medición máxima corte axial de 1.6 por 1.4 cm.
  • 18.
    En los cortesrealizados hacia las bases pulmonares es posible delimitar los órganos sólidos intraabdominales tales como el hígado sin anormalidades que consignar; se demuestra imagen hiperdensa puntiforme en topografía del parénquima esplénico en relación a calcificación inespecífica. Hay distensión aérea esofágica que lo define prácticamente su totalidad. Se demuestran imágenes hiperdensas en topografía intraluminal vesicular que corresponden con colelitiasis. Se define imagen hipodensa parenquimatosa renal superior derecha con patrón de atenuación homogéneo, líquido que condiciona la sospecha de lesión focal benigna tipo quística simple. INTERPRETACIÓN DIAGNÓSTICA:   ESTUDIO ANORMAL QUE DEMUESTRA HALLAZGO INESPECIFICO DE SOBREDISTENSIÓN PULMONAR  CON CAMBIOS FIBROSOS CICATRICIALES APICALES DERECHOS Y ÁREAS DE CONDENSACIÓN PARENQUIMATOSAS PULMONARES, DE PREDOMINIO DERECHO, LA DE MAYORES DIMENSIONES BASAL DERECHA, ASOCIADA CON BRONCOGRAMA AÉREO. COLELITIASIS.
  • 19.
    El estudio radiológicosimple evidencia una lesión nodular menor del centímetro, radiodensa, caracterizada como granuloma cálcico. En mi opinión el estudio de TCAR fue realizado por ese motivo y ello permito identificar los hallazgos “floridos” que ya se señalan y se muestran en las imagen axiales ya seleccionadas.
  • 20.
    La TCAR esla técnica mas específica y sensible para localizar, examinar el tamaño, la forma, y los contornos (márgenes) de un nódulo e identificar su calcificación. Además de considerar el patrón de crecimiento. Tipo 1 Tipo 2 Tipo 3 Tipo 4 RECOMENDACIÓN: http://es.slideshare.net/betomotta/nodulo- pulmonar-1831433
  • 21.
    T C AR, TOMOGRAFÍA COMPUTADA DE ALTA RESOLUCIÓN Es el estudio del tórax que intenta optimizar la representación anatómica pulmonar. Esto se logra gracias a las características técnicas diferentes a las utilizadas en la TC torácica convencional: grosor de corte muy fino, algoritmo de reconstrucción de alta frecuencia espacial, tiempo de corte muy breve, y elevado miliamperaje. Se realiza generalmente efectuando cortes únicos a intervalos espaciados y por tanto no se explora la totalidad del tórax. La TCAR de rutina se obtiene durante la plena inspiración suspendida, aunque también puede efectuarse como complemento en espiración forzada para identificar zonas pulmonares con atrapamiento aéreo. Por lo general en la TCAR no se utiliza contraste intravenoso. Indicaciones. La TCAR se utiliza fundamentalmente para: Estudio de enfermedades difusas pulmonares intersticiales. Valoración de bronquiectasias de pequeño calibre. Diagnóstico de pacientes con una enfermedad obstructiva.
  • 22.
    T C AR, TOMOGRAFÍA COMPUTADA DE ALTA RESOLUCIÓN 1.  Alta resolución (valoración de estructuras < 1 mm). 2.  Baja exposición a radiación (dosis bajas por 1 a 2 segundos) 3.  Representación clara y precisa de la anatomía pulmonar 4.  Excelente correlación con el examen macroscópico 5.  Distingue distintos tipos de lesiones pulmonares difusas http://www.medigraphic.com/pdfs/anaradmex/arm-2008/ arm081e.pdf
  • 23.
    6.  Colimación: Lacolimación mas pequeña disponible (1 – 1,5 mm) 7.  Algoritmo de reconstrucción: Alta frecuencia espacial o un algoritmo nítido 8.  Tiempo de exploración: Tan corto como sea posible (1 -2 segundos) 9.  kVp; mA; mAs: kVp 120 – 140; mA 140 – 240; mAs 240 – 400 T C A R, TOMOGRAFÍA COMPUTADA DE ALTA RESOLUCIÓN http://www.medigraphic.com/pdfs/anaradmex/arm-2008/ arm081e.pdf
  • 24.
    10. Tamaño dela matriz: La mayor disponible (512 x 512). 11. Ventanas: Al menos es necesaria una ventana pulmonar consistente. Una ventana con valores de – 600 UH a –700 UH/1.000 UH a 1.500 UH son apropiados. –700/1.000 UH o –600/1.500 UH son una buena combinación. Ventanas para tejidos blandos de aproximadamente 50/350 UH deben utilizarse para mediastino, hilio y pleura. T C A R, TOMOGRAFÍA COMPUTADA DE ALTA RESOLUCIÓN http://www.medigraphic.com/pdfs/anaradmex/arm-2008/ arm081e.pdf
  • 25.
    La radiografía detórax es una exploración muy útil pero tiene limitaciones. Algunas partes de tórax no se ven claramente en la imagen. Por otra parte una radiografía de tórax normal no descarta todos los problemas del tórax. Por ejemplo, pacientes con ataques de asma pueden tener una placa normal. Hay algunos canceres demasiado pequeños o difíciles de visualizar y puede que no sean visibles. El embolismo pulmonar no puede verse en la radiografía de tórax y requiere un estudio adicional. Un estudio de TC de tórax puede ser necesario para aclarar un hallazgo visto en la radiografía de tórax o en la realización de la TC demostrar anormalidades no identificadas en la radiografía de tórax y que pudiesen dar respuesta al problema clínico que motiva el abordaje diagnostico. El grado de afectación del pulmón así como la distribución de la enfermedad y localización anatómica puede ser evaluada mejor con un TC. Algunas enfermedades como las enfermedades pulmonares crónicas son evaluadas con TC de alta resolución. La radiografía de tórax y la exploración física deben tener correlación. La información que proporciona cada exploración puede dar al médico una clara comprensión de la salud del paciente. TELERRADIOGRAFÍA de tórax versus T C A R, http://www.inforadiologia.org/modules.php? name=webstructure&lang=ES&idwebstructure=306
  • 26.
    La TCAR poseeuna mayor sensibilidad que la radiografía de tórax y la TC convencional en la detección y caracterización de varios hallazgos histopatológicos en la enfermedad intersticial pulmonar en pacientes con enfermedad del colágeno. La TCAR permite evaluar la proporción relativa de fibrosis e inflamación. T C A R, TOMOGRAFÍA COMPUTADA DE ALTA RESOLUCIÓN
  • 27.
    Las técnicas deimagen son herramientas diagnósticas muy útiles en el estudio de las enfermedades de la vía aérea pequeña. Sin embargo, a pesar de ser diferentes, desde un punto de vista clínico-patológico, las enfermedades de la vía aérea pequeña presentan manifestaciones radiológicas similares. La TCAR es la técnica de elección para estudiar las enfermedades difusas y las de la vía aérea pequeña; los cortes complementarios en espiración deben formar parte del protocolo de estudio de la patología de la vía aérea pequeña. Sobre la base de los hallazgos de la TCAR, las enfermedades de la vía aérea pequeña se dividen en dos grandes grupos: a) las que presentan signos morfológico directos de afectación bronquiolar, y b) las que presentan signos indirectos de afectación bronquiolar (atrapamiento aéreo/patrón “en mosaico”). T C A R, TOMOGRAFÍA COMPUTADA DE ALTA RESOLUCIÓN Arch Bronconeumol. 2011;47(Supl 2):20-26
  • 28.
    PATRÓN RETICULAR •  De loselementos unitarios •  que se repiten en el espacio •  de acuerdo a simetrías PATRÓN = ORGANIZACIÓN PATRÓN NODULAR PATRÓN ALVEOLAR PATRÓN QUÍSTICO T C A R, TOMOGRAFÍA COMPUTADA DE ALTA RESOLUCIÓN
  • 29.