Angel Mendez Sanchez
Alvaro Daniel Plata Trejo
Francisco Sanchez
David Perez
 Son

un grupo heterogéneo de lesiones,
siendo raros comparados con los tumores
malignos pulmonares
 Representan < del 5 % de los tumores
primarios de pulmón
 Los mas comunes son los hamartomas y
los adenomas (90%)
1.

Benignos
1.1 Papilomas






Papiloma de Cel. Escamosas
Exofítico
Invertido
Papiloma glandular
Papiloma escamoso y glandular mixto.

1.2 Adenomas



Adenoma alveolar.
Adenoma papilar
3
 Adenoma tipo Glándula salival
 Adenoma de la mucosa glandular
 Adenoma pleomórfico
 Otros
• Cistoadenoma mucinoso
• Otros

1.3 Tumores Misceláneos
 Harmatoma
 Hemangioma escleroso
 Tumores de cél. Claras
 Neoplasias de las cél. Germinativas
 Teratoma inmaduro
 Teratoma maduro

4
• Otros tumores de cel. Germinales
• Timoma

• Melanoma
• Otros

5
Neoplasias Benignas
 Se

localizan en las vias aereas o se
manifiestan en forma de nodulos en la Rx
de Torax
 Es la neoplasia mas comun de la laringe y
la segunda causa mas comun de disfonia
en niños
 La

enfermedad se relaciona con más
frecuencia con la exposición
ororrespiratoria durante el nacimiento por
vía vaginal, manifestando los síntomas
generalmente en la infancia (6 meses de
edad a 10 años)
 Edad adulta  enfermedad de transmisión
sexual
 Puede

afectar a personas de cualquier

edad
 Comúnmente niños de 2-4 años
 Adultos comúnmente 20-40 años
 17-40 % es agresiva  necesidad de
operciones
 Madres

con infecciones genitales por VPH
(Transmisión vertical)
 Adultos contacto Orogenital
 Virus

papiloma Humano
 VPH6 y VPH11 mas comunes
 Niños infectados con VPH11  tienen una
obstruccion mas severa al inicio  mayor
necesidad de traqueotomía
Subdividen
 Papiloma de cél escamosas +++, múltiples
o solitarios
• Relacionada con infección de VPH 6 y 11

transcisional, “in situ” variante
del carcinoma epidermoide
 Papiloma escamoso y Glandular
 Papiloma

12
Estridor

Signos y
sintomas de
obstruccion
de las vias
aereas
superiores

Disfonía

Disnea
 Aparece

como una masa pediculada con
proyecciones parecidas a dedos de
epitelio escamoso estratificados no
queratinizado sobre una base de tejido
conectivo altamente vascularizado
 Radiografía

de tórax

 TAC
 Fibrobroncoscopia
 Crioterapia

endoscopica o por cirugia laser
 Terapia con cidofovir intralesional
Neoplasias Benignas


Grupo heterogéneo de tumores que
surgen de las glándulas mucosas y los
conductos de la tráquea (tráquea) o los
bronquios
 15

a 60 años promedio de 45 a.
 50% total tumores benignos
 Lesiones intrabronquiales
 80% centrales
• 80 a 90% son tumores carcinoides

• 10 a 15% son adenomas quísticos/cilindromas,

Qx crecen en profundidad y pueden ser
agresivos
• 2 a 3% son tumores microepidermoides
20
 Monomórficos:
• Tumores de cél acinosas: (raros), originan de

glanulas serosas y ductales localizadas en la
pared bronquial.
Encapsulados o bien ciscunscritos, simulan acinos
serosos y el citoplasma tiene granulos
• Tumor de cél mucosas: originan en gld mucosas,
crecimiento exofítico
• Adenoma de cel claras: (bronquiolos), columnares
o cúbicas con granulos citoplasmáticos

21
• Adenoma alveolar: periféricos, circunscritos,

pequeños rodeados de parénquima
• Oncocitoma: cél del ducto glandular con cambio
oncocítico (grandamiento del citoplasma
ocasionado por la acumulación de mitocondrias)
• Cel gdes, poligonales, citoplasma abundante,
núcleo pequeño ,redondo y central.
 Endobronquial
 Parenquimatosa

22
• Adenoma pleomófico: (tracto respiratorio inferior).

Cél epiteliales Cél mioepiteliales
 Enndobronquial , polipoide, parenquimatoso o
encapsulado
 Cél epiteliales en cordones, láminas, conductos, acinos

23
 Esputo

sanguinolento

 Tos
 Sibilancias
 Neumonía

recurrente
 Neumonía de resolución lenta
 Colapso de un lóbulo o segmento pulmonar
 Tos que dura más de seis semanas
 Otros síntomas que rara vez se presentan
con esta enfermedad son:
 Enrojecimiento/rubor de la piel
 Radiografía

de Tórax: dilatación localizada
de una parte irreversible del árbol
bronquial, provocando la obstrucción del
flujo de aire y la alteración en la
depuración de las secreciones
 Broncoscopia

 Tomografía

axial computarizada
 Sangrado

 Obstrucción

de las vías respiratorias

 Neumonía
 Diseminación

del tumor a los ganglios
linfáticos en el área (esto puede variar
dependiendo del tumor
 Cirugia:

extirpacion del tumor
 Cirugia con broncoscopio
Neoplasias Benignas de Pulmon
 Son

las neoplasias pulmonares mas
frecuentes y se componen de cartilago,
tejido conectivo, grasa, musculo liso y
epitelio respiratorio.
 Se presenta como nódulo pulmonar
solitario
 10% endonbronquial
 Hallazgo

Rx: NPS
 Incidencia máx. 60 años, ♂2:1♀
 Ubicación periférica
 Desconocida

2

Teorias
 1° resultado de una malformacion
congenita de tejido bronquial de tejido
bronquial desplazado que luego desarrolla
alteraciones en sus elementos
cartilaginosos
 2° Hiperplasia de las estructuras normales
 formación del tumor
 Tipo

central 10 a 20 % U.endobronquial
 Tipo parenquimatosoNPS
 Tumores bien circunscritos, gris pálido,
consistencia cartilaginosa, 1 a 2 cm
 Interior calcificaciones “palomitas de maíz”
 TC densidad de tejido graso
 Múltiples: Triada de Carney
 Leiomiosarcoma gástrico
 Paragangliomas extraadrenales + Hipertensión
Maligna
 Harmatomas pulmonares

33
 Asintomático

 Tos

moderada no productiva
 Ligero dolor torácico
 Incidental

 Rx
 TC
 Broncoscopía

 Biopsia

percutánea: Los tumores benignos
se considerarán malignos hasta tanto el
exámen anatomopatológico demuestre lo
contrario.
 Radiografía:

opacidad de 1-20 cm de D o
calcificaciones
 TC densidad de tejido graso
37
 Quirúrgico:

enucleación de la masa o
resección pulmonar segmentaria
Neoplasias benignas de pulmon
• Lesión nodular, única, bien delimitada,

intraparenquimatosa, sin relación con
estructuras bronquiales, con un tamaño
medio de 3 cm.
• Sólido.
• Papilar.
• Esclerosante.
• Hemorrágico.
– Poligonales con citoplasma amplio

eosinófilo.
– Cúbicas tapizando las papilas.
– adenocarcinoma (intraoperatorias).

– Carcinoma bronquioloalveolar.
– Metástasis de carcinoma de tiroides.
– Mesotelioma.

– Angiosarcoma/hemangioma epiteliode.
– Tumor carcinoide
– Adenoma papilar de pulmón.
 Origen

mesenquimatoso
 Mayor frecuencia varones
 Localización ; intrabronquial
 Parenquimatoso
 Crecen invadiendo la luz
 Tubular
 La

TAC torácica y de
abdomen superior
mostró una atelectasia
segmentaria en
segmento B6 derecho,
sin objetivar lesiones
hiliares o
parenquimatosas
pulmonares ni
adenopatías
patológicas hiliares ni
mediastínicas
Irritación de la vía aérea
 Y obstrucción ;tos ,sibilantes
 Hemoptisis.
 Lesiones 1 a 2 cm duros ,
 Blancos ,aéreas calcificadas.

 Fibroma

pleural benigno
 Localizado; mesotelio
 Tumores compuestos de células
mesenquimales indiferenciadas
 Dolor

torácico

 Tos
 Tumores

pequeños que se encuentran por
hallazgo clínico
 Lipoma

de origen
 Mesotelial
 El lipoma endobronquial
 Localización; primaras divisiones del árbol
traqueobronquial
 Tabaquismo

y Obesidad
 Tumores

pedunculados, cubiertos por
mucosas respiratoria normal
 Histológicamente ; capa de adipocitos
separados de tejido conectivo
 Neoplasia

de células fusiformes, dispuestas en
ejes irregulares, separadas por fibras de
colágeno y con vasos de pared engrosada. En
conclusión, los aspectos morfológicos e
inmunocitoquímicos coincidían con el
diagnóstico de tumor fibroso solitario.
 El

neurofibroma es una lesión benigna de
origen desconocido que puede ocurrir en
el nervio periférico, tejidos blandos.
 Neurofibroma

solitario lesiones papulares,
nódulos o pedúnculos de color blanco o
grisáceo. ,poco invasivos y asintomáticos
 Asociada

con obstrucción de vías aéreas
 Disnea, disfagia síndrome mediastinico clásico
 Los tumores en laringe provocan ronquera en
estadios tempranos
 Neoplasia

infrecuente en glándulas salivales,
también puede encontrarse en pulmón ,mama.
Piel.
 Bajo grado de agresividad .
 Encapsulado

y crecimiento lento
 Se distinguen 5 patrones celulares en el
mioepitelioma benigno:
 1) células fusimormes, 2) células
plasmocitoides, 3) patrón reticular, 4) células
claras, y 5) combinación de varios tipos.
Diagnostico
RADIOGRAFÍA DE
TÓRAX

Lesión lítica intraosea

ECOGRAFIA

Masa hipogenica bien definida

TAC

Hipodensidad, patrón de calcificación
Lipoma; densidad grasa

RESONANCIA
MAGNETICA

Lesión brillante
Área central de densidad baja

MACROSCOPICAMENT
E

Masa gris, blanca, pedúnculos,
nódulos

MICROSCOPICAMENTE
BIOPSIA

Manojo de células entrelazadas
(largas)
Con fibras de colágeno intracelular

ANGIOGRAFÍA

ENDOSCOPIA
 Neoplasia

Nuevo Crecimiento

“Masa anormal del tejido cuyo crecimiento
excede y esta descordinado con el de los
tejidos normales, y persiste de la misma
forma excesiva despues de cesar los
estimulos que desencadenaron el cambio”
Inocentes: Localizados

Benignas

No Diseminan
Susceptible extirpacion Qx.
Sufijo : Oma

Neoplasias

Invade y destruye estructuras
adyacentes

Malignas

Metastasis
No susceptible extirpacion Qx
Sarcoma: Tejido Mesenquimatoso
Carcinoma: Origen epitelial
Caracteristicas
Diferenciacion

Benignas
Bien diferenciados

Malignas
Indiferenciados
Anaplasia
•Pleomorfismo
•Morfologia nuclear anormal
•Mitosis
•Perdida de la Polaridad

Velocidad de
Crecimiento
Invasion Local

Metastasis

Progresiva y lenta:
puede estabilizarse o
regresar

Erratica, desde lenta
hasta rapido

Masas expansivas;
cohesivas, bien
delimitadas, no invaden
ni infiltran los tejidos
normales circundantes

Localmente invasivos,
infiltrando tejido
circundante; pueden ser
cohesivos y expansivos

No presente

Presente:
•Siembra de cavidades y
superficie corporal
•Linfatica
•Hematogena
©2012, Sociedad Americana Contra El Cáncer, Surveillance Research

http://www.cancer.org/acs/groups/content/@epidemiologysurveilanc
e/documents/document/acspc-036792.pdf
En mexico es la segunda causa de muerte
por cancer.
Se estima que para el año 2020 sera el
cancer mas frecuente y mortal.
Incidencia es igual en hombres y mujeres.
Ca epidermoide es mas frecuente en el
hombre y adenocarcinoma en la mujer
Inegi Estadisticas a proposito del día mundial contra el
cancer (2008)
http://www.inegi.org.mx/inegi/contenidos/espanol/prens
a/contenidos/estadisticas/2011/cancer11.asp?c=2781&
ep=51
 Es

la principal causa
de Ca de pulmón y
es positivo en 90 –
95 % de los casos.
 El riesgo aumenta
de acuerdo a los
cigarrillos al día, los
años fumando y la
tendencia a la
inhalación.
Cantidad fumada

Riesgo de Cáncer de pulmón

No fuma

1

Fuma < de media cajetilla al día

15

Fuma de media a una cajetilla al día

17

Fuma de uno a dos cajetillas al día

42

Fuma > de dos cajetillas al día

64
 El

radón. De acuerdo con la Agencia de
Protección Ambiental, el radón causa unos
20,000 casos anuales de cáncer de pulmón.
Se calcula que cerca de 1 de cada 15 casas
en EU tienen niveles altos de radiación por
radón.
 El asbesto (o amianto) a demostrado un
aumento de 7 veces de riesgo de CP si a
esto se le suma el tabaquismo el riesgo sube
de 50 – 90 veces.
 La contaminación atmosférica, en las
grandes ciudades (metales de transición,
iones sulfato y nitrato, y compuestos
orgánicos).
 Carcinógenos Pulmonares del Grupo
• Humo de cigarrillo
• Radón
• Asbesto
• Arsenico
• Berilio
• Cadmio
• Cromo
• Niquel
• Plutonio
• Gases Diesel
• Humos por combustión (casa y chimenea)

1
 Resulta

claro que la exposición a ciertas
sustancias inducen o facilitan la
transformación maligna (factor extrínseco)
 A esto se añade que la transformación es
modulada por variaciones genéticas
(factor intrínseco).
 Esto se demuestra por el hecho de que
solo 15% de los fumadores desarrollaran
cáncer de pulmón.
Exposición a
carcinógenos
Patogenia
Genéticos y
Moleculares
Geneticos y
Moleculares
Patogenia
Factores
Inmunitarios
Exposicion a
carcinogenos

Mutaciones

Dominantes
Ras y Myc

Inactivacion de
Oncogenes
Lesion ADN
Activacion de
genes
estimuladores de
Crecimiento

Recesivos
Retinoblastoma y p53
(Oncosupresores)

Myc : Tumor de
celulas pequeñas
Ras:
Adenocarcionoma
 Un

10 a 15 % de los canceres de pulmón
surgen en personas que no fuman. Por
ello se están buscando mutaciones que
predispongan al desarrollo del cáncer. Una
de ellas es de EGRF se presenta
mayormente en mujeres y da lugar a
adenocarcinoma.
Cáncer pulmonar no de células pequeñas
Sistema
Carcinoma
epidermoide*

Organización Mundial de la Salud
No. 2 (OMS- No. 2)

Instituto de Patología de las
Fuerzas Armadas (AFIP)

Grupo de Trabajo del cáncer de
Pulmón (WPLC)

Adenocarci-noma

Variante de
células en huso

Acinar
•Papilar
•Bronquioloalveolar
•Carcinoma sólido
con mucina

Bien diferenciado
•Moderadamente
diferenciado
•Mal diferenciado

Bien diferenciado
•Moderadamente
diferenciado
•Mal diferenciado
•Bronquioloalveolar

Bien diferenciado
•Moderadamente
diferenciado
•Mal diferenciado

Bien diferenciado
•Moderadamente
diferenciado
•Mal diferenciado
•Bronquioloalveolar/papilar

Carcinoma de células
grandes

•Células gigantes
•Células claras

•Indiferenciado
•Células gigantes
•Células claras

Con producción de
mucina
•Con estratificación
•Células gigantes
•Células claras

Cáncer de células
pequeñas+

•Células en avena
•Células intermedias
•Combinado

Semejante a linfocitos (células
en avena)
•Poligonal (intermedio)
•Combinado (por lo general
escamoso)

Semejante a linfocitos (células
en avena)
•Células intermedias
(fusiforme, poligonal, otros)
Adenocarcinoma (40-45%)
Carcinoma Epidermoide (30-35%)

Malignas

Carcinoma de Células Grandes (10%)
Carcinoma de Células Pequeñas (10-15%)

90-95%

Carcinoma Adenoepidermoide (1-2%)

Neoplasias Pulmonares

Hamartoma (75%)
Benignas
10-5%

Fibroma
Lipoma
Condroma
Hemangioendotelioma
Adenocarcinoma

Carcinoma de
Celulas Grandre

Carcinoma
de Celulas
no
pequeñas

Carcinoma
Epidermoide
Caracteristicas
Anatomopatologicas

Bronquios Lobares o
segmentarios

Lesion Inicial: Inadevertido o con
elevaciones blancas en forma de
placa de la mucosa bronquial
Macroscopicamente
Lesion avanzada: Masa polipoide o
papilar interior de luz bronquial

Microscopicamente

Presencia de puentes intercelulares y/o
queratinizacion
Se manifiesta como nodulo
(Circunscrito, mal definido
o espiculado)
Localizado en la periferia
del pulmon, a menudo en
situacion pleural.
Nodulos (1-5mm) de color
gris (Focos proliferativos
de epitelizacion alveolar)
Crecimiento Lento
Carcinoma
bronquioalveolar

• Crecimiento en las paredes alveolares con
preservacion de la arquitectura pulmonar
• Nodulo unico

• Crecimiento que destruye la arquitectura
pulmonar.
• Acino
• Estructuras papilares
Carcinoma No
Bronquioalvelar
• Mucina intracelular
Tumor sin aspecto tipico de carcinoma
microcitico, epidermoide o glandular

• Voluminoso
localizado en la
periferia del
parenquima
• Presencia de focos
multiples o necrosis

Macroscopicamente:

• Crecimiento de
celulas, con
citoplasma
eosinofilos
abundantes
• Nucleo Grande y
nucleolo Prominente
Microscopicamente:
Via Respiratoria Proximal, relación con
bronquios principales o lobares

Invade
Submucosa y
tejido conjuntivo

CRECIMIENTO
Y
DISEMINACION
RAPIDA

Masa delimitada
que oblitera via
respiratoria
 Microscopicamente:

• Celulas de pequeño tamaño
• Citoplasma escaso
• Nucleo pequeño e hipercromico
• Cromatina Dispersa
 Carcinoma

microcitico
tiene diferenciacion
neuroendocrina y con mas
frecuencia a sindromes
paraneoplasicos
 Granulos de secrecion
• Liberador de Gastrina
• Polipeptido Intestinal

• Serotonina
• Hormona Corticotropina
 Histológicamente

se presentan cambios
secuenciales que han sido mejor
documentados para el carcinoma de
células escamosas.
Tumor primario

Síntomas
inespecíficos

Metástasis

Síndromes
paraneoplasicos
Tumor periférico
• Tos
• Dolor torácico
• Disnea de tipo restrictivo

Tumor central o
endobronquial
• Tos
Disnea
• Sibilancias

Hemoptisis
La invasión por contigüidad del
mediastino o las metástasis a ganglios
mediastinales ocasionan:
 Obstrucción de la tráquea que
genera estridor.
 Compresión del esófago que genera
disfagia.
 Parálisis del nervio laríngeo
recurrente que genera ronquera.
 Parálisis del nervio frénico que
genera elevación de un
hemidiafragma y disnea.
 Si el tumor se encuentra en el ápice
pulmonar síndrome de Horner.
 Síndrome de vena cava superior.
En cerebro se presentan con cefalea, nausea y
déficit neurológico.
 En hueso provocan dolor y fracturas patológicas.
 Al invadir medula ósea producen citopenias.
 Las metástasis hepáticas llevan a alteraciones en
las PFH, obstrucción biliar y dolor.
 Las metástasis a glándulas suprarrenales son
frecuentes pero generalmente no se acompañan
de síntomas.
 Se pueden observar adenopatías principalmente
en la región supraclavicular, ocasionalmente en
region axilar e ingles.

 Astenia

/ Adinamia / Anorexia

 Fiebre
 Perdida

de peso
 Son

signos y síntomas que simulan las de
un trastorno primario de tipo endocrino,
metabólico, hematológico o
neuromuscular.
Productos del
tumor

Respuestas
autoinmunes

Efecto
citolitico del
tumor
Endocrinos

Hematológicos

Neurológicos

• Hipercalcemia
• Síndrome de secreción inadecuada de
hormona antidiurética
• Síndrome de ACTH ectópica
• Acromegalia

• Granulocitosis
• Trombocitosis
• Tromboembolia

• Encefalomielitis / neuropatía periférica
• Degeneración cerebelosa
• Síndrome de miastenia de Lambert - Eaton
 El

servicio de Neumología el objetivo es
confirmar el diagnóstico y realizar un
estudio adecuado de operabilidad y
resecabilidad clasificando adecuadamente
al paciente y al tumor.
 Anamnesis

y exploración física

• Edad
• Factores de riesgo
• Enfermedades asociadas

• Estado clínico
• Signos y síntomas
 Se

trata de una opacificación radiológica
 Hasta 3 cm de diámetro mayor
 Rodeada de parénquima pulmonar sano
 Con bordes bien delimitados
 No asociada a atelectasia o adenopatías.


NPS benigno. Es aquel nódulo menor de 3
centímetros, no asociado a atelectasias o
adenopatías, que presenta márgenes
moderadamente definidos, que permanece sin
cambios, presenta resolución espontánea, o
reducción de tamaño durante el seguimiento
radiológico por al menos 2 años, o se observa su
benignidad en el análisis histopatológico, ya sea
en piezas quirúrgicas o biopsia.



NPS maligno. El diagnóstico de malignidad está
basado en el análisis histológico del tejido.



NPS sin diagnóstico. Es aquel nódulo que no
cumple con ninguno de los criterios previamente
descritos.
NPS se detecta 1 en cada 500 a 1000 Rx
Hallazgo incidental

La mayoría sin sintomatología
 50 al 60% suelen ser lesiones benignas
• 80% son procesos inflamatorios
 Mayormente granulomas asociados a Tb o micóticas
 40 a 50% resultan ser malignos
• 75% corresponden a carcinomas brocógenos
 Adenocarcinoma
 Carcinoma de células escamosas

 Hamartomas
 Edad:

35 años.
 Fumador
 Neoplasia previa
 Tiempo de crecimiento: un NPS sin
cambios de tamaño durante más de dos
años es benigno. En general, los nódulos
benignos tienen un tiempo de duplicación
menor de 30 días o mayor de 400 días.
 Calcificación

 Márgenes
 El

signo de la "corona radiada" es
altamente sugestivo de malignidad.
 Tamaño: casi todos los nódulos de más de
2 cm de diámetro son malignos, en
contraposición a los de menos de 2 cm (50
% de malignidad).
 Cavitación: las cavidades de paredes
gruesas sugieren malignidad.
• Lesión habitualmente rodeada de
aire, excepto cuando contacta
con la pleura
2/3 partes de su circunferencia
está rodeada de aire
CALCIFICACIÓN DEL NPS

Centrales
LESIÓN BENIGNA

Periféricas. Casquete
LESIÓN BENIGNA

Moteada difusa
LESIÓN BENIGNA

Central densa
LESIÓN BENIGNA

EXCENTRICA: LESIÓN MALIGNA
Consecuencia del atrapamiento de
una calcificación pulmonar
previa por un nódulo maligno
CONTORNO DEL NPS

Nítido. Redondeado
LESIÓN BENIGNA
Multiabollonado
LESIÓN MALIGNA

Umbilicado
LESIÓN MALIGNA
Espiculado
LESIÓN MALIGNA
 Si

dobla su volumen en menos de un
mes o en más de 18 meses
 BENIGNO
 Si no crece en un período de dos años

 BENIGNO
 De acuerdo a su contenido:
•
•
•
•

La sangre “crece” en horas
El pus “tarda” días
Los granulomas “utilizan” meses
Los tumores “aumentan” en años
 FRECUENTES

• Metástasis
• Granulomas
• Quistes hidatídicos

• Abscesos hematógenos
• Linfoma
• Infartos
 MENOS

FRECUENTES

• Hamartomas
• Bullas infectadas
• Fístulas arteriovenosas

• Artritis reumatoide
• Enf. de Wegener
• Impactos mucoides
• Amiloidosis
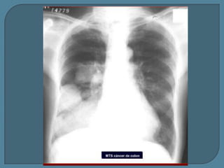
Metástasis de Ca. de colon
Metástasis de Ca. de ovario
Abscesos hematógenos
CONDUCTA ANTE UN NÓDULO PULMONAR

Tórax PA y Lat.
Calcificación “benigna”
No crecimiento en dos años
Disminución de tamaño

Características “malignas” o dudosas
Tumor previo
Calcificación excéntrica
Evidencia de crecimiento

Control anual
TOMOGRAFÍA COMPUTARIZADA
NPS
Calcificación “benigna”

Benigna
Alto

Nódulos múltiples
No calcificado
Calcio excéntrico

Biopsia aspiración
Negativo
Cirugía

Alto
Biopsia aspiración

Maligna
TC. Estadiaje

Positivo
Tratamiento
CONDUCTA ANTE NÓDULOS MÚLTIPLES PULMONARES
Tórax PA y Lat.

Tumor maligno conocido

Alto

No hay tumor conocido

Tomografía computarizada

Evidencia de
fístula A-V

TC dinámica
o
Angiografía

Quistes
hidatídicos

Dudoso

Alto

Biopsia
aspiración
 Edad<35

 >35

 Diámetro

 >2

del nódulo<2
 No fumador
 Tiempo duplicación >400
 calcificación benigna
 PAAF: enferm. benigna
 PAAF: No específica

 Fumador
 30

a 400 días
 Patrón indeterminado
 Enfermedad maligna
 Células sospechosas
A

B

Radiografía simple (A) y TC (B) muestran una gran
masa maligna que mide más de 3 cm.
Radiografía anteroposterior (A) y TC (B) muestran un nódulo de 1.5 cm de aspecto
benigno - granuloma calcificado
Carcinoma broncogénico. Pequeño nódulo de 2 cm de diámetro (< 3.0cm) que
resultó ser un adenocarcinoma en la biopsia.
NPS: carcinoma broncogénico: nódulo de 2.5
cm con bordes lobulados y espiculados
A

B

Márgenes lobulados: Carcinoma broncogénico mostrando márgenes lobulados en la
radiografía simple (A) y TC (B)
A

B

Márgenes bien definidos: carcinoma broncogénico de bordes lisos en la Rx (A) y
contornos ligeramente lobulados en TC (B)
Márgenes irregulares: neumonia focal manifestada como un nódulo solitario de
bordes irregulares - márgenes irregulares sugiere agresividad y tanto infecciones
como neoplasias pueden manifestarse de esta manera.
Granuloma +
adenopatía hiliar
calcificada

Hamartoma
El foco de calcificación en este nódulo, que resultó ser un carcinoma broncogénico,
representa una calcificación preexistente, post-infecciosa, que fue englobada por la
lesión tumoral en su crecimiento. Este tipo de calcificación no confiere benignidad
al nódulo.
Ca. células grandes en Rx y TC (calcificaciones amorfas)
C

A

Mayo 99

B

Julio 99

Tiempo de duplicación de 60 días, sugestivo de malignidad. La TC muestra un nódulo
lobulado que se biopsió: adenocarcinoma
1994

1999

Granuloma. 2 Radiografías de tórax con 5 años de separación muestran una lesión
que no ha sufrido cambios en la región suprahiliar izquierda. La lesión resultó ser
un granuloma.
Tuberculosis: Nódulo cavitado con lesiones satélite en Rx y TC
 Radiografía

de tórax

• PA y lateral
 Tomografía

computarizada

• TCAR y TC torácica con contraste para lesiones

menores de 1 cm.
• 40% lesiones sincrónicas
• Evalúa adenopatías
• Evalúa accesibilidad para biopsia o la extirpación
 TEP
 Centellografia

 Pruebas

de antígenos cutáneos
 Marcadores sanguíneos de inflamación o
infección
 Análisis del esputo
 Es

un método de diagnóstico sencillo y no
invasivo pero de rentabilidad muy variable.
Reservado únicamente para los pacientes
que rechazan o son incapaces de tolerar
otros procedimientos más agresivos
 Técnicas

de biopsia
 Broncoscopía
 Aspiración con aguja delgada guiada por
TC (BAADTC)
 Toracoscopía tradicional
 Cirugía Toracoscopica asistida por video
(CTAV)
A

todos los pacientes que se pretenda a
tratamiento quirúrgico

 Superior

en los tumores centrales

 Diagnostica

un 90% de tumores
endoscopicamente visibles (necróticas o
compresivas)
 En

tumores periféricos es <60% y
disminuye a menos del 30% si la lesión es
menor de 2 cm.

 Mediante

fluroscopía el dx se incrementa
hasta el 80%.
 Primera

elección en los tumores
periféricos alcanzando 90% incluyendo
lesiones <2cm

 Complicación

mas frecuente es el
neumotórax (12-30%)

 Es

necesario drenaje torácico (3-15%)
 PAAF

o BIOPSIA de lesiones metastásicas
extratorácicas

 Toracocentesis
 Biopsia

y/o biopsia pleural

quirúrgica
T

Tumor primario

N

Nódulos linfáticos regionales

M

Metástasis a distancia.
Estadificación del carcinoma broncogénico
Clasificación TNM 1997 (AJCC-UICC-SEPAR)
 Tx.

Tumor primario que no puede ser
evaluado, o tumor probado por la presencia
de células malignas en esputo o aspirado
bronquial, sin que el tumor sea visible por
imagen ni por broncoscopía

 T0.

Sin evidencia de tumor primario

 Tis.

Carcinoma in situ
T

I .Tumor < 3 cm de diámetro mayor,
rodeado por pulmón sano o pleura visceral,
sin evidencia broncoscópica de invasión más
proximal que el bronquio lobar (es decir, no
hay afectación del bronquio principal). Se
subdivide en:
• T 1a: tumor < 2 cm de diámetro mayor1 11
• T 1b: tumor > 2 cm pero < 3 cm de diámetro mayor
 T2.

Tumor > 3 cm pero < 7 cm de diámetro
mayor, o tumor con cualquiera de los siguientes
datos:
• Afectación del bronquio principal a más d e 2 cm de la carina

traqueal
• Invasión de la pleura visceral
• Atelectasia o neumonía obstructiva que se extienda hasta la
reglón hiliar, pero no de t o d o el pulmón.
Se subdivide en:
• T2a: tumor > 3 cm pero < 5 cm de diámetro mayor
• T2b: tumor > 5 cm pero < 7 cm de diámetro mayor
T3. Cualquiera de las siguientes características:
• Tumor > 7 cm de diámetro mayor
• Invasión directa de cualquiera de las siguientes estructuras:

pared torácica (Incluyendo tumor del sulcus superior),
diafragma, nervio frénico, pleura mediastínica, pericardio
parietal
• Tumor en bronquio principal a menos de 2 cm de la carina
traqueal, sin llegar a invadirla
• Neumonía obstructiva o atelectasia de t o do el pulmón
• Presencia de nódulo(s) tumoral(es) separado(s) del tumor
primario pero en el mismo lóbulo que éste


T4. Tumor de cualquier tamaño que cumpla alguna de las
siguientes características:
• Invasión de cualquiera de lo siguiente: mediastino,

grandes vasos, corazón, nervio recurrente, tráquea,
carina traqueal, esófago, cuerpo vertebral
• Presencia de nódulo(s) tumoral(es) separados del t u m o

r primario, en el mismo pulmón que éste pero en
diferente lóbulo
NODULOS LINFATICOS









NX: No se pueden valorar los ganglios regionales
N0: No hay mets a linfáticos regionales.
N1: Mets peribronquiales o región hiliar ipsilateral o
ambos, y nódulo intrapulmonar involucrado por
extensión directa del tumor primario.
N2: Mets a ganglios mediastínicos y subcarinales
ipsilaterales
N3: Mets a ganglios mediastínicos e hiliares
contraleterales, a escalenos ipsi y
contralaterales o supraclaviculares.
METASTASIS A DISTANCIA
No se conoce la presencia de
metástasis a distancia.
 M0:
No existen metástasis a
distancia.
 M1:
Existen metástasis a distancia.


Mx:

• M 1a: cualquiera de las siguientes:
 Presencia de nódulo(s) tumoral(es) en el pulmón contralateral al t u
m o r primario
 Presencia de nódulos pleurales tumorales
 Existencia de derrame pleural o pericardios maligno
• M 1b: metástasis a distancia
Carcionma
oculto

Tx

N0

M0

Estadio 0

Tis

N0

M0

Estadio Ia

67%

T1a-b

N0

M0

Estadio Ib

57%

T2a

N0

M0

Estadio IIa

55%

T1a-b, T2a

N1

M0

T2b

N0

M0

T2b

N1

M0

T3

N0

M0

T1-2

N2

M0

T3

N1-2

M0

T4

N0-2

M0

T4

N2

M0

Cualquier T

N3

M0

Cualquier T

Cualquier N

M1a-b

Estadio IIb
Estadio IIIa

Estadio IIIb
Estadio IV

39%
23-25%

3-7%
1%
 Enfermedad Limitada (EL)
• Tumor confinado a un hemotórax y sus ganglios

linfáticos regionales (hiliares y mediastínicos homo y
contralaterales y supraclaviculares ipsilaterales).
• Corresponde a estadios I-III del TNM.
 Enfermedad Extendida (EE)
• Todos los tumores que excedan de los límites antes

reseñados.
• Corresponde a estadio IV y IIIB con derrame pleural
del TNM.
 La

capacidad del paciente para tolerar una
cirugía de resección pulmonar sin
excesivo riesgo para su vida ni de
secuelas invalidantes.
• Mal estado clínico (Karnofsky < 50 % )
• Enfermedades asociadas graves e incontrolables
 80 años y estadio superior a I
 >70 Estadio superior a II , tumor central y precisa
neumonectomía
 Rechazo del paciente

• FEV, preoperatorio real <1 L, irreversible y 3 0 %
• FEV, posoperatorio predicho < 0,80
• Disfunción pulmonar (DLCO ) < 40 %
• VC < 45 % irreversible
• PaC02 > 45 mmHg irreversible
• Hipertensión pulmonar grave

Cardiopatía grave incontrolable
Estenosis carotidea igual o mayor 70% incontrolable


Un Karnofsky de 50 o inferior indica elevado riesgo de muerte
durante los 6 meses siguientes.
• 100: Normal, sin quejas, sin indicios de enfermedad.
• 90: Actividades normales, pero con signos y síntomas leves de enfermedad.
• 80: Actividad normal con esfuerzo, con algunos signos y síntomas de
•
•
•
•
•
•
•
•

enfermedad.
70: Capaz de cuidarse, pero incapaz de llevar a término actividades normales o
trabajo activo.
60: Requiere atención ocasional, pero puede cuidarse a sí mismo.
50: Requiere gran atención, incluso de tipo médico. Encamado menos del 50%
del día.
40: Inválido, incapacitado, necesita cuidados y atenciones especiales. Encamado
más del 50% del día.
30: Inválido grave, severamente incapacitado, tratamiento de soporte activo.
20: Encamado por completo, paciente muy grave, necesita hospitalización y
tratamiento activo.
10: Moribundo.
0: Fallecido.
 <65

años
 Lateralidad derecha
 Resección mayor a lobectomía
 Comorbilidad
 Perdida de peso
 Hipoalbuminemia
 Bajo IMC
 La

cualidad que expresa la posibilidad
evaluada en el estudio prequirúrgico de
que el tejido tumoral pueda ser extirpado
en su totalidad y con la obtención de un
beneficio pronóstico demostrado o muy
probable.
 Derrame

pleural positivo a células
tumorales y/o biopsia pleural
 Afectación neoplasica del N. recurrente
 Invasión extensa de la pared torácica por
encima de 2cm proximales del bronquio
principal.
 Invasión extensa del cuerpo vertebral,
foramen neural, vasos subclavios o Sx de
Horner
 Síndrome

de vena cava superior

 Cáncer

broncógeno de células pequeñas
con estadio mayor de I C

 Metástasis

en adenopatías mediastínicas
homolaterales y contralaterales

 Metástasis

viscerales

a distancia ganglionares,
 Técnicas

de imagen para cribado inicial

• TAC helicoidal con contraste
• Tomografía de emisión de positrones (PET)
 Técnicas

de confirmación
citohistológica
• Mediastinoscopía
• Punción aspiración con aguja fina transbronquial,

transtorácica o transesofágica
Las estaciones, o
áreas, ganglionares
intratorácicas
han sido definidas
en 1997 y
sustentadas por la
AJCC, UICC,
SEPAR, ATS y
ERS.
Superior Mediastinal
Nodes
• 1 Highest Mediastinal
• 2 Uper Paratracheal
• 3 Pre-vascular and
Retrotracheal
• 4 Lower Paratracheal
(includig Azygos Nodes)

Interior Mediastinal Nodes
• 7 Subcarinal
• 8 Paraesophageal
(below carina)
• 9 Pulmonary Ligament

N1 Nodes
• 10 Hiliar
• 11 Interlobar
Aortic Nodes
• 12 Lobar
• 5 Subaortic (AP window) • 13 Segmental
• 6 Para-aortic
• 11 Subsegmental
(ascending aorta or
phrenic)
 ¿Es

factible a nivel técnico la resección
quirúrgica completa?
 ¿El paciente es capaz de tolerar la
operación con mortalidad y morbilidad
aceptables?
Estadio

Tratamiento primario

Tratamiento
adyuvante

Pronostico

Cáncer de células no pequeñas
I

Resección quirúrgica

Quimioterapia solo
en el estadio IB

Supervivencia a 5
años > 60 -70 %

II

Resección quirúrgica

Quimioterapia
asociada o no a
radioterapia.

Supervivencia a 5
años > 40 – 50 %

IIIA (resecable)

Quimioterapia
preoperatoria seguida de
resección quirúrgica o
quimioterapia seguida de
radioterapia.

Quimioterapia o no
asociada a
radioterapia.

Supervivencia a 5
años: 15 – 30 %

IIIA no
Quimioterapia mas
resecable o IIIB radioterapia simultanea.
con ganglios
supraclavicular
es

Ninguno

Supervivencia a 5
años: 10 – 20 %

IIIB (derrame
pleural) o IV

Ninguno

Media de
supervivencia 8 –
10 meses

Quimioterapia con 2
fármacos 4 – 6 ciclos.
Estadio

Tratamiento primario

Tratamiento
adyuvante

Pronostico

Cáncer de células pequeñas

Enfermedad
limitada

Quimioterapia mas
radioterapia
simultanea

Ninguno

Supervivencia a 5
años 15 – 25 %

Enfermedad
extensa

Quimioterapia

Ninguno

Supervivencia a 5
años < al 5%
 Fishman,

Manual de enfermedades
pulmonares
 Kumar, Abbas, Patologia estructural y
funcional
 Neoplasias pleurales malignas y
neoplasias pulmonares benignas .Howard
West,Md
 http://www.binasss.sa.cr/revistas/rmcc/rme
dica/364/art2.pdf
 http://escuela.med.puc.cl/publ/anatomiapat

ologica/02Respiratorio/2cancer_bronquial.
html
 http://www.radiolegsdecatalunya.cat/forma
cio/resums/GE07ET07_R.pdf
 http://www.uvirtual.sld.cu/clinica/casos/dec
aimiento-y-dificultad-para-comunicarsecon-los-familiares/

Neoplasias pulmonares completo

  • 1.
    Angel Mendez Sanchez AlvaroDaniel Plata Trejo Francisco Sanchez David Perez
  • 2.
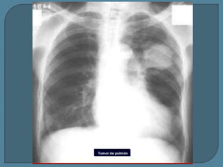
     Son un grupoheterogéneo de lesiones, siendo raros comparados con los tumores malignos pulmonares  Representan < del 5 % de los tumores primarios de pulmón  Los mas comunes son los hamartomas y los adenomas (90%)
  • 3.
    1. Benignos 1.1 Papilomas      Papiloma deCel. Escamosas Exofítico Invertido Papiloma glandular Papiloma escamoso y glandular mixto. 1.2 Adenomas   Adenoma alveolar. Adenoma papilar 3
  • 4.
     Adenoma tipoGlándula salival  Adenoma de la mucosa glandular  Adenoma pleomórfico  Otros • Cistoadenoma mucinoso • Otros 1.3 Tumores Misceláneos  Harmatoma  Hemangioma escleroso  Tumores de cél. Claras  Neoplasias de las cél. Germinativas  Teratoma inmaduro  Teratoma maduro 4
  • 5.
    • Otros tumoresde cel. Germinales • Timoma • Melanoma • Otros 5
  • 6.
  • 7.
     Se localizan enlas vias aereas o se manifiestan en forma de nodulos en la Rx de Torax  Es la neoplasia mas comun de la laringe y la segunda causa mas comun de disfonia en niños
  • 8.
     La enfermedad serelaciona con más frecuencia con la exposición ororrespiratoria durante el nacimiento por vía vaginal, manifestando los síntomas generalmente en la infancia (6 meses de edad a 10 años)  Edad adulta  enfermedad de transmisión sexual
  • 9.
     Puede afectar apersonas de cualquier edad  Comúnmente niños de 2-4 años  Adultos comúnmente 20-40 años  17-40 % es agresiva  necesidad de operciones
  • 10.
     Madres con infeccionesgenitales por VPH (Transmisión vertical)  Adultos contacto Orogenital
  • 11.
     Virus papiloma Humano VPH6 y VPH11 mas comunes  Niños infectados con VPH11  tienen una obstruccion mas severa al inicio  mayor necesidad de traqueotomía
  • 12.
    Subdividen  Papiloma decél escamosas +++, múltiples o solitarios • Relacionada con infección de VPH 6 y 11 transcisional, “in situ” variante del carcinoma epidermoide  Papiloma escamoso y Glandular  Papiloma 12
  • 13.
    Estridor Signos y sintomas de obstruccion delas vias aereas superiores Disfonía Disnea
  • 14.
     Aparece como unamasa pediculada con proyecciones parecidas a dedos de epitelio escamoso estratificados no queratinizado sobre una base de tejido conectivo altamente vascularizado
  • 15.
     Radiografía de tórax TAC  Fibrobroncoscopia
  • 17.
     Crioterapia endoscopica opor cirugia laser  Terapia con cidofovir intralesional
  • 18.
  • 19.
     Grupo heterogéneo detumores que surgen de las glándulas mucosas y los conductos de la tráquea (tráquea) o los bronquios
  • 20.
     15 a 60años promedio de 45 a.  50% total tumores benignos  Lesiones intrabronquiales  80% centrales • 80 a 90% son tumores carcinoides • 10 a 15% son adenomas quísticos/cilindromas, Qx crecen en profundidad y pueden ser agresivos • 2 a 3% son tumores microepidermoides 20
  • 21.
     Monomórficos: • Tumoresde cél acinosas: (raros), originan de glanulas serosas y ductales localizadas en la pared bronquial. Encapsulados o bien ciscunscritos, simulan acinos serosos y el citoplasma tiene granulos • Tumor de cél mucosas: originan en gld mucosas, crecimiento exofítico • Adenoma de cel claras: (bronquiolos), columnares o cúbicas con granulos citoplasmáticos 21
  • 22.
    • Adenoma alveolar:periféricos, circunscritos, pequeños rodeados de parénquima • Oncocitoma: cél del ducto glandular con cambio oncocítico (grandamiento del citoplasma ocasionado por la acumulación de mitocondrias) • Cel gdes, poligonales, citoplasma abundante, núcleo pequeño ,redondo y central.  Endobronquial  Parenquimatosa 22
  • 23.
    • Adenoma pleomófico:(tracto respiratorio inferior). Cél epiteliales Cél mioepiteliales  Enndobronquial , polipoide, parenquimatoso o encapsulado  Cél epiteliales en cordones, láminas, conductos, acinos 23
  • 24.
     Esputo sanguinolento  Tos Sibilancias  Neumonía recurrente  Neumonía de resolución lenta  Colapso de un lóbulo o segmento pulmonar  Tos que dura más de seis semanas  Otros síntomas que rara vez se presentan con esta enfermedad son:  Enrojecimiento/rubor de la piel
  • 25.
     Radiografía de Tórax:dilatación localizada de una parte irreversible del árbol bronquial, provocando la obstrucción del flujo de aire y la alteración en la depuración de las secreciones
  • 26.
  • 27.
     Sangrado  Obstrucción delas vías respiratorias  Neumonía  Diseminación del tumor a los ganglios linfáticos en el área (esto puede variar dependiendo del tumor
  • 28.
     Cirugia: extirpacion deltumor  Cirugia con broncoscopio
  • 29.
  • 30.
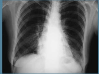
     Son las neoplasiaspulmonares mas frecuentes y se componen de cartilago, tejido conectivo, grasa, musculo liso y epitelio respiratorio.  Se presenta como nódulo pulmonar solitario  10% endonbronquial
  • 31.
     Hallazgo Rx: NPS Incidencia máx. 60 años, ♂2:1♀  Ubicación periférica
  • 32.
     Desconocida 2 Teorias  1°resultado de una malformacion congenita de tejido bronquial de tejido bronquial desplazado que luego desarrolla alteraciones en sus elementos cartilaginosos  2° Hiperplasia de las estructuras normales  formación del tumor
  • 33.
     Tipo central 10a 20 % U.endobronquial  Tipo parenquimatosoNPS  Tumores bien circunscritos, gris pálido, consistencia cartilaginosa, 1 a 2 cm  Interior calcificaciones “palomitas de maíz”  TC densidad de tejido graso  Múltiples: Triada de Carney  Leiomiosarcoma gástrico  Paragangliomas extraadrenales + Hipertensión Maligna  Harmatomas pulmonares 33
  • 34.
     Asintomático  Tos moderadano productiva  Ligero dolor torácico
  • 35.
     Incidental  Rx TC  Broncoscopía  Biopsia percutánea: Los tumores benignos se considerarán malignos hasta tanto el exámen anatomopatológico demuestre lo contrario.
  • 36.
     Radiografía: opacidad de1-20 cm de D o calcificaciones  TC densidad de tejido graso
  • 37.
  • 39.
     Quirúrgico: enucleación dela masa o resección pulmonar segmentaria
  • 40.
  • 41.
    • Lesión nodular,única, bien delimitada, intraparenquimatosa, sin relación con estructuras bronquiales, con un tamaño medio de 3 cm.
  • 42.
    • Sólido. • Papilar. •Esclerosante. • Hemorrágico.
  • 43.
    – Poligonales concitoplasma amplio eosinófilo. – Cúbicas tapizando las papilas.
  • 44.
    – adenocarcinoma (intraoperatorias). –Carcinoma bronquioloalveolar. – Metástasis de carcinoma de tiroides. – Mesotelioma. – Angiosarcoma/hemangioma epiteliode. – Tumor carcinoide – Adenoma papilar de pulmón.
  • 45.
     Origen mesenquimatoso  Mayorfrecuencia varones  Localización ; intrabronquial  Parenquimatoso  Crecen invadiendo la luz  Tubular
  • 46.
     La TAC torácicay de abdomen superior mostró una atelectasia segmentaria en segmento B6 derecho, sin objetivar lesiones hiliares o parenquimatosas pulmonares ni adenopatías patológicas hiliares ni mediastínicas
  • 47.
    Irritación de lavía aérea  Y obstrucción ;tos ,sibilantes  Hemoptisis.  Lesiones 1 a 2 cm duros ,  Blancos ,aéreas calcificadas. 
  • 48.
     Fibroma pleural benigno Localizado; mesotelio  Tumores compuestos de células mesenquimales indiferenciadas
  • 49.
     Dolor torácico  Tos Tumores pequeños que se encuentran por hallazgo clínico
  • 50.
     Lipoma de origen Mesotelial  El lipoma endobronquial  Localización; primaras divisiones del árbol traqueobronquial
  • 51.
  • 52.
     Tumores pedunculados, cubiertospor mucosas respiratoria normal  Histológicamente ; capa de adipocitos separados de tejido conectivo
  • 53.
     Neoplasia de célulasfusiformes, dispuestas en ejes irregulares, separadas por fibras de colágeno y con vasos de pared engrosada. En conclusión, los aspectos morfológicos e inmunocitoquímicos coincidían con el diagnóstico de tumor fibroso solitario.
  • 54.
     El neurofibroma esuna lesión benigna de origen desconocido que puede ocurrir en el nervio periférico, tejidos blandos.
  • 55.
     Neurofibroma solitario lesionespapulares, nódulos o pedúnculos de color blanco o grisáceo. ,poco invasivos y asintomáticos
  • 56.
     Asociada con obstrucciónde vías aéreas  Disnea, disfagia síndrome mediastinico clásico  Los tumores en laringe provocan ronquera en estadios tempranos
  • 58.
     Neoplasia infrecuente englándulas salivales, también puede encontrarse en pulmón ,mama. Piel.  Bajo grado de agresividad .
  • 59.
     Encapsulado y crecimientolento  Se distinguen 5 patrones celulares en el mioepitelioma benigno:  1) células fusimormes, 2) células plasmocitoides, 3) patrón reticular, 4) células claras, y 5) combinación de varios tipos.
  • 61.
    Diagnostico RADIOGRAFÍA DE TÓRAX Lesión líticaintraosea ECOGRAFIA Masa hipogenica bien definida TAC Hipodensidad, patrón de calcificación Lipoma; densidad grasa RESONANCIA MAGNETICA Lesión brillante Área central de densidad baja MACROSCOPICAMENT E Masa gris, blanca, pedúnculos, nódulos MICROSCOPICAMENTE BIOPSIA Manojo de células entrelazadas (largas) Con fibras de colágeno intracelular ANGIOGRAFÍA ENDOSCOPIA
  • 63.
     Neoplasia Nuevo Crecimiento “Masaanormal del tejido cuyo crecimiento excede y esta descordinado con el de los tejidos normales, y persiste de la misma forma excesiva despues de cesar los estimulos que desencadenaron el cambio”
  • 64.
    Inocentes: Localizados Benignas No Diseminan Susceptibleextirpacion Qx. Sufijo : Oma Neoplasias Invade y destruye estructuras adyacentes Malignas Metastasis No susceptible extirpacion Qx Sarcoma: Tejido Mesenquimatoso Carcinoma: Origen epitelial
  • 65.
    Caracteristicas Diferenciacion Benignas Bien diferenciados Malignas Indiferenciados Anaplasia •Pleomorfismo •Morfologia nuclearanormal •Mitosis •Perdida de la Polaridad Velocidad de Crecimiento Invasion Local Metastasis Progresiva y lenta: puede estabilizarse o regresar Erratica, desde lenta hasta rapido Masas expansivas; cohesivas, bien delimitadas, no invaden ni infiltran los tejidos normales circundantes Localmente invasivos, infiltrando tejido circundante; pueden ser cohesivos y expansivos No presente Presente: •Siembra de cavidades y superficie corporal •Linfatica •Hematogena
  • 67.
    ©2012, Sociedad AmericanaContra El Cáncer, Surveillance Research http://www.cancer.org/acs/groups/content/@epidemiologysurveilanc e/documents/document/acspc-036792.pdf
  • 68.
    En mexico esla segunda causa de muerte por cancer. Se estima que para el año 2020 sera el cancer mas frecuente y mortal. Incidencia es igual en hombres y mujeres. Ca epidermoide es mas frecuente en el hombre y adenocarcinoma en la mujer
  • 69.
    Inegi Estadisticas aproposito del día mundial contra el cancer (2008) http://www.inegi.org.mx/inegi/contenidos/espanol/prens a/contenidos/estadisticas/2011/cancer11.asp?c=2781& ep=51
  • 72.
     Es la principalcausa de Ca de pulmón y es positivo en 90 – 95 % de los casos.  El riesgo aumenta de acuerdo a los cigarrillos al día, los años fumando y la tendencia a la inhalación.
  • 73.
    Cantidad fumada Riesgo deCáncer de pulmón No fuma 1 Fuma < de media cajetilla al día 15 Fuma de media a una cajetilla al día 17 Fuma de uno a dos cajetillas al día 42 Fuma > de dos cajetillas al día 64
  • 74.
     El radón. Deacuerdo con la Agencia de Protección Ambiental, el radón causa unos 20,000 casos anuales de cáncer de pulmón. Se calcula que cerca de 1 de cada 15 casas en EU tienen niveles altos de radiación por radón.  El asbesto (o amianto) a demostrado un aumento de 7 veces de riesgo de CP si a esto se le suma el tabaquismo el riesgo sube de 50 – 90 veces.  La contaminación atmosférica, en las grandes ciudades (metales de transición, iones sulfato y nitrato, y compuestos orgánicos).
  • 75.
     Carcinógenos Pulmonaresdel Grupo • Humo de cigarrillo • Radón • Asbesto • Arsenico • Berilio • Cadmio • Cromo • Niquel • Plutonio • Gases Diesel • Humos por combustión (casa y chimenea) 1
  • 76.
     Resulta claro quela exposición a ciertas sustancias inducen o facilitan la transformación maligna (factor extrínseco)  A esto se añade que la transformación es modulada por variaciones genéticas (factor intrínseco).  Esto se demuestra por el hecho de que solo 15% de los fumadores desarrollaran cáncer de pulmón.
  • 77.
  • 78.
  • 79.
    Exposicion a carcinogenos Mutaciones Dominantes Ras yMyc Inactivacion de Oncogenes Lesion ADN Activacion de genes estimuladores de Crecimiento Recesivos Retinoblastoma y p53 (Oncosupresores) Myc : Tumor de celulas pequeñas Ras: Adenocarcionoma
  • 80.
     Un 10 a15 % de los canceres de pulmón surgen en personas que no fuman. Por ello se están buscando mutaciones que predispongan al desarrollo del cáncer. Una de ellas es de EGRF se presenta mayormente en mujeres y da lugar a adenocarcinoma.
  • 83.
    Cáncer pulmonar node células pequeñas Sistema Carcinoma epidermoide* Organización Mundial de la Salud No. 2 (OMS- No. 2) Instituto de Patología de las Fuerzas Armadas (AFIP) Grupo de Trabajo del cáncer de Pulmón (WPLC) Adenocarci-noma Variante de células en huso Acinar •Papilar •Bronquioloalveolar •Carcinoma sólido con mucina Bien diferenciado •Moderadamente diferenciado •Mal diferenciado Bien diferenciado •Moderadamente diferenciado •Mal diferenciado •Bronquioloalveolar Bien diferenciado •Moderadamente diferenciado •Mal diferenciado Bien diferenciado •Moderadamente diferenciado •Mal diferenciado •Bronquioloalveolar/papilar Carcinoma de células grandes •Células gigantes •Células claras •Indiferenciado •Células gigantes •Células claras Con producción de mucina •Con estratificación •Células gigantes •Células claras Cáncer de células pequeñas+ •Células en avena •Células intermedias •Combinado Semejante a linfocitos (células en avena) •Poligonal (intermedio) •Combinado (por lo general escamoso) Semejante a linfocitos (células en avena) •Células intermedias (fusiforme, poligonal, otros)
  • 84.
    Adenocarcinoma (40-45%) Carcinoma Epidermoide(30-35%) Malignas Carcinoma de Células Grandes (10%) Carcinoma de Células Pequeñas (10-15%) 90-95% Carcinoma Adenoepidermoide (1-2%) Neoplasias Pulmonares Hamartoma (75%) Benignas 10-5% Fibroma Lipoma Condroma Hemangioendotelioma
  • 85.
    Adenocarcinoma Carcinoma de Celulas Grandre Carcinoma deCelulas no pequeñas Carcinoma Epidermoide
  • 86.
    Caracteristicas Anatomopatologicas Bronquios Lobares o segmentarios LesionInicial: Inadevertido o con elevaciones blancas en forma de placa de la mucosa bronquial Macroscopicamente Lesion avanzada: Masa polipoide o papilar interior de luz bronquial Microscopicamente Presencia de puentes intercelulares y/o queratinizacion
  • 88.
    Se manifiesta comonodulo (Circunscrito, mal definido o espiculado) Localizado en la periferia del pulmon, a menudo en situacion pleural. Nodulos (1-5mm) de color gris (Focos proliferativos de epitelizacion alveolar) Crecimiento Lento
  • 90.
    Carcinoma bronquioalveolar • Crecimiento enlas paredes alveolares con preservacion de la arquitectura pulmonar • Nodulo unico • Crecimiento que destruye la arquitectura pulmonar. • Acino • Estructuras papilares Carcinoma No Bronquioalvelar • Mucina intracelular
  • 91.
    Tumor sin aspectotipico de carcinoma microcitico, epidermoide o glandular • Voluminoso localizado en la periferia del parenquima • Presencia de focos multiples o necrosis Macroscopicamente: • Crecimiento de celulas, con citoplasma eosinofilos abundantes • Nucleo Grande y nucleolo Prominente Microscopicamente:
  • 93.
    Via Respiratoria Proximal,relación con bronquios principales o lobares Invade Submucosa y tejido conjuntivo CRECIMIENTO Y DISEMINACION RAPIDA Masa delimitada que oblitera via respiratoria
  • 94.
     Microscopicamente: • Celulasde pequeño tamaño • Citoplasma escaso • Nucleo pequeño e hipercromico • Cromatina Dispersa
  • 95.
     Carcinoma microcitico tiene diferenciacion neuroendocrinay con mas frecuencia a sindromes paraneoplasicos  Granulos de secrecion • Liberador de Gastrina • Polipeptido Intestinal • Serotonina • Hormona Corticotropina
  • 96.
     Histológicamente se presentancambios secuenciales que han sido mejor documentados para el carcinoma de células escamosas.
  • 97.
  • 98.
    Tumor periférico • Tos •Dolor torácico • Disnea de tipo restrictivo Tumor central o endobronquial • Tos Disnea • Sibilancias Hemoptisis
  • 99.
    La invasión porcontigüidad del mediastino o las metástasis a ganglios mediastinales ocasionan:  Obstrucción de la tráquea que genera estridor.  Compresión del esófago que genera disfagia.  Parálisis del nervio laríngeo recurrente que genera ronquera.  Parálisis del nervio frénico que genera elevación de un hemidiafragma y disnea.  Si el tumor se encuentra en el ápice pulmonar síndrome de Horner.  Síndrome de vena cava superior.
  • 100.
    En cerebro sepresentan con cefalea, nausea y déficit neurológico.  En hueso provocan dolor y fracturas patológicas.  Al invadir medula ósea producen citopenias.  Las metástasis hepáticas llevan a alteraciones en las PFH, obstrucción biliar y dolor.  Las metástasis a glándulas suprarrenales son frecuentes pero generalmente no se acompañan de síntomas.  Se pueden observar adenopatías principalmente en la región supraclavicular, ocasionalmente en region axilar e ingles. 
  • 101.
     Astenia / Adinamia/ Anorexia  Fiebre  Perdida de peso
  • 102.
     Son signos ysíntomas que simulan las de un trastorno primario de tipo endocrino, metabólico, hematológico o neuromuscular. Productos del tumor Respuestas autoinmunes Efecto citolitico del tumor
  • 103.
    Endocrinos Hematológicos Neurológicos • Hipercalcemia • Síndromede secreción inadecuada de hormona antidiurética • Síndrome de ACTH ectópica • Acromegalia • Granulocitosis • Trombocitosis • Tromboembolia • Encefalomielitis / neuropatía periférica • Degeneración cerebelosa • Síndrome de miastenia de Lambert - Eaton
  • 107.
     El servicio deNeumología el objetivo es confirmar el diagnóstico y realizar un estudio adecuado de operabilidad y resecabilidad clasificando adecuadamente al paciente y al tumor.
  • 108.
     Anamnesis y exploraciónfísica • Edad • Factores de riesgo • Enfermedades asociadas • Estado clínico • Signos y síntomas
  • 110.
     Se trata deuna opacificación radiológica  Hasta 3 cm de diámetro mayor  Rodeada de parénquima pulmonar sano  Con bordes bien delimitados  No asociada a atelectasia o adenopatías.
  • 111.
     NPS benigno. Esaquel nódulo menor de 3 centímetros, no asociado a atelectasias o adenopatías, que presenta márgenes moderadamente definidos, que permanece sin cambios, presenta resolución espontánea, o reducción de tamaño durante el seguimiento radiológico por al menos 2 años, o se observa su benignidad en el análisis histopatológico, ya sea en piezas quirúrgicas o biopsia.  NPS maligno. El diagnóstico de malignidad está basado en el análisis histológico del tejido.  NPS sin diagnóstico. Es aquel nódulo que no cumple con ninguno de los criterios previamente descritos.
  • 112.
    NPS se detecta1 en cada 500 a 1000 Rx Hallazgo incidental La mayoría sin sintomatología
  • 113.
     50 al60% suelen ser lesiones benignas • 80% son procesos inflamatorios  Mayormente granulomas asociados a Tb o micóticas  40 a 50% resultan ser malignos • 75% corresponden a carcinomas brocógenos  Adenocarcinoma  Carcinoma de células escamosas  Hamartomas
  • 116.
     Edad: 35 años. Fumador  Neoplasia previa  Tiempo de crecimiento: un NPS sin cambios de tamaño durante más de dos años es benigno. En general, los nódulos benignos tienen un tiempo de duplicación menor de 30 días o mayor de 400 días.
  • 117.
     Calcificación  Márgenes El signo de la "corona radiada" es altamente sugestivo de malignidad.  Tamaño: casi todos los nódulos de más de 2 cm de diámetro son malignos, en contraposición a los de menos de 2 cm (50 % de malignidad).  Cavitación: las cavidades de paredes gruesas sugieren malignidad.
  • 119.
    • Lesión habitualmenterodeada de aire, excepto cuando contacta con la pleura 2/3 partes de su circunferencia está rodeada de aire
  • 120.
    CALCIFICACIÓN DEL NPS Centrales LESIÓNBENIGNA Periféricas. Casquete LESIÓN BENIGNA Moteada difusa LESIÓN BENIGNA Central densa LESIÓN BENIGNA EXCENTRICA: LESIÓN MALIGNA Consecuencia del atrapamiento de una calcificación pulmonar previa por un nódulo maligno
  • 122.
    CONTORNO DEL NPS Nítido.Redondeado LESIÓN BENIGNA Multiabollonado LESIÓN MALIGNA Umbilicado LESIÓN MALIGNA Espiculado LESIÓN MALIGNA
  • 123.
     Si dobla suvolumen en menos de un mes o en más de 18 meses  BENIGNO  Si no crece en un período de dos años  BENIGNO  De acuerdo a su contenido: • • • • La sangre “crece” en horas El pus “tarda” días Los granulomas “utilizan” meses Los tumores “aumentan” en años
  • 124.
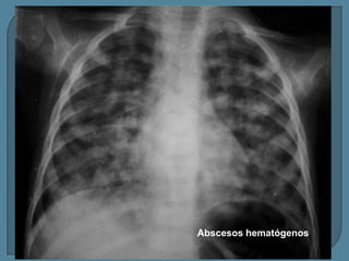
     FRECUENTES • Metástasis •Granulomas • Quistes hidatídicos • Abscesos hematógenos • Linfoma • Infartos
  • 125.
     MENOS FRECUENTES • Hamartomas •Bullas infectadas • Fístulas arteriovenosas • Artritis reumatoide • Enf. de Wegener • Impactos mucoides • Amiloidosis
  • 126.
  • 127.
  • 128.
  • 130.
    CONDUCTA ANTE UNNÓDULO PULMONAR Tórax PA y Lat. Calcificación “benigna” No crecimiento en dos años Disminución de tamaño Características “malignas” o dudosas Tumor previo Calcificación excéntrica Evidencia de crecimiento Control anual TOMOGRAFÍA COMPUTARIZADA NPS Calcificación “benigna” Benigna Alto Nódulos múltiples No calcificado Calcio excéntrico Biopsia aspiración Negativo Cirugía Alto Biopsia aspiración Maligna TC. Estadiaje Positivo Tratamiento
  • 131.
    CONDUCTA ANTE NÓDULOSMÚLTIPLES PULMONARES Tórax PA y Lat. Tumor maligno conocido Alto No hay tumor conocido Tomografía computarizada Evidencia de fístula A-V TC dinámica o Angiografía Quistes hidatídicos Dudoso Alto Biopsia aspiración
  • 132.
     Edad<35  >35 Diámetro  >2 del nódulo<2  No fumador  Tiempo duplicación >400  calcificación benigna  PAAF: enferm. benigna  PAAF: No específica  Fumador  30 a 400 días  Patrón indeterminado  Enfermedad maligna  Células sospechosas
  • 133.
    A B Radiografía simple (A)y TC (B) muestran una gran masa maligna que mide más de 3 cm.
  • 134.
    Radiografía anteroposterior (A)y TC (B) muestran un nódulo de 1.5 cm de aspecto benigno - granuloma calcificado
  • 135.
    Carcinoma broncogénico. Pequeñonódulo de 2 cm de diámetro (< 3.0cm) que resultó ser un adenocarcinoma en la biopsia.
  • 136.
    NPS: carcinoma broncogénico:nódulo de 2.5 cm con bordes lobulados y espiculados
  • 137.
    A B Márgenes lobulados: Carcinomabroncogénico mostrando márgenes lobulados en la radiografía simple (A) y TC (B)
  • 138.
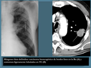
    A B Márgenes bien definidos:carcinoma broncogénico de bordes lisos en la Rx (A) y contornos ligeramente lobulados en TC (B)
  • 139.
    Márgenes irregulares: neumoniafocal manifestada como un nódulo solitario de bordes irregulares - márgenes irregulares sugiere agresividad y tanto infecciones como neoplasias pueden manifestarse de esta manera.
  • 140.
  • 141.
    El foco decalcificación en este nódulo, que resultó ser un carcinoma broncogénico, representa una calcificación preexistente, post-infecciosa, que fue englobada por la lesión tumoral en su crecimiento. Este tipo de calcificación no confiere benignidad al nódulo.
  • 142.
    Ca. células grandesen Rx y TC (calcificaciones amorfas)
  • 143.
    C A Mayo 99 B Julio 99 Tiempode duplicación de 60 días, sugestivo de malignidad. La TC muestra un nódulo lobulado que se biopsió: adenocarcinoma
  • 144.
    1994 1999 Granuloma. 2 Radiografíasde tórax con 5 años de separación muestran una lesión que no ha sufrido cambios en la región suprahiliar izquierda. La lesión resultó ser un granuloma.
  • 145.
    Tuberculosis: Nódulo cavitadocon lesiones satélite en Rx y TC
  • 149.
     Radiografía de tórax •PA y lateral  Tomografía computarizada • TCAR y TC torácica con contraste para lesiones menores de 1 cm. • 40% lesiones sincrónicas • Evalúa adenopatías • Evalúa accesibilidad para biopsia o la extirpación  TEP
  • 151.
     Centellografia  Pruebas deantígenos cutáneos  Marcadores sanguíneos de inflamación o infección  Análisis del esputo
  • 152.
     Es un métodode diagnóstico sencillo y no invasivo pero de rentabilidad muy variable. Reservado únicamente para los pacientes que rechazan o son incapaces de tolerar otros procedimientos más agresivos
  • 153.
     Técnicas de biopsia Broncoscopía  Aspiración con aguja delgada guiada por TC (BAADTC)  Toracoscopía tradicional  Cirugía Toracoscopica asistida por video (CTAV)
  • 154.
    A todos los pacientesque se pretenda a tratamiento quirúrgico  Superior en los tumores centrales  Diagnostica un 90% de tumores endoscopicamente visibles (necróticas o compresivas)
  • 155.
     En tumores periféricoses <60% y disminuye a menos del 30% si la lesión es menor de 2 cm.  Mediante fluroscopía el dx se incrementa hasta el 80%.
  • 156.
     Primera elección enlos tumores periféricos alcanzando 90% incluyendo lesiones <2cm  Complicación mas frecuente es el neumotórax (12-30%)  Es necesario drenaje torácico (3-15%)
  • 157.
     PAAF o BIOPSIAde lesiones metastásicas extratorácicas  Toracocentesis  Biopsia y/o biopsia pleural quirúrgica
  • 158.
    T Tumor primario N Nódulos linfáticosregionales M Metástasis a distancia. Estadificación del carcinoma broncogénico Clasificación TNM 1997 (AJCC-UICC-SEPAR)
  • 159.
     Tx. Tumor primarioque no puede ser evaluado, o tumor probado por la presencia de células malignas en esputo o aspirado bronquial, sin que el tumor sea visible por imagen ni por broncoscopía  T0. Sin evidencia de tumor primario  Tis. Carcinoma in situ
  • 160.
    T I .Tumor <3 cm de diámetro mayor, rodeado por pulmón sano o pleura visceral, sin evidencia broncoscópica de invasión más proximal que el bronquio lobar (es decir, no hay afectación del bronquio principal). Se subdivide en: • T 1a: tumor < 2 cm de diámetro mayor1 11 • T 1b: tumor > 2 cm pero < 3 cm de diámetro mayor
  • 161.
     T2. Tumor >3 cm pero < 7 cm de diámetro mayor, o tumor con cualquiera de los siguientes datos: • Afectación del bronquio principal a más d e 2 cm de la carina traqueal • Invasión de la pleura visceral • Atelectasia o neumonía obstructiva que se extienda hasta la reglón hiliar, pero no de t o d o el pulmón. Se subdivide en: • T2a: tumor > 3 cm pero < 5 cm de diámetro mayor • T2b: tumor > 5 cm pero < 7 cm de diámetro mayor
  • 162.
    T3. Cualquiera delas siguientes características: • Tumor > 7 cm de diámetro mayor • Invasión directa de cualquiera de las siguientes estructuras: pared torácica (Incluyendo tumor del sulcus superior), diafragma, nervio frénico, pleura mediastínica, pericardio parietal • Tumor en bronquio principal a menos de 2 cm de la carina traqueal, sin llegar a invadirla • Neumonía obstructiva o atelectasia de t o do el pulmón • Presencia de nódulo(s) tumoral(es) separado(s) del tumor primario pero en el mismo lóbulo que éste
  • 163.
     T4. Tumor decualquier tamaño que cumpla alguna de las siguientes características: • Invasión de cualquiera de lo siguiente: mediastino, grandes vasos, corazón, nervio recurrente, tráquea, carina traqueal, esófago, cuerpo vertebral • Presencia de nódulo(s) tumoral(es) separados del t u m o r primario, en el mismo pulmón que éste pero en diferente lóbulo
  • 164.
    NODULOS LINFATICOS      NX: Nose pueden valorar los ganglios regionales N0: No hay mets a linfáticos regionales. N1: Mets peribronquiales o región hiliar ipsilateral o ambos, y nódulo intrapulmonar involucrado por extensión directa del tumor primario. N2: Mets a ganglios mediastínicos y subcarinales ipsilaterales N3: Mets a ganglios mediastínicos e hiliares contraleterales, a escalenos ipsi y contralaterales o supraclaviculares.
  • 165.
    METASTASIS A DISTANCIA Nose conoce la presencia de metástasis a distancia.  M0: No existen metástasis a distancia.  M1: Existen metástasis a distancia.  Mx: • M 1a: cualquiera de las siguientes:  Presencia de nódulo(s) tumoral(es) en el pulmón contralateral al t u m o r primario  Presencia de nódulos pleurales tumorales  Existencia de derrame pleural o pericardios maligno • M 1b: metástasis a distancia
  • 166.
    Carcionma oculto Tx N0 M0 Estadio 0 Tis N0 M0 Estadio Ia 67% T1a-b N0 M0 EstadioIb 57% T2a N0 M0 Estadio IIa 55% T1a-b, T2a N1 M0 T2b N0 M0 T2b N1 M0 T3 N0 M0 T1-2 N2 M0 T3 N1-2 M0 T4 N0-2 M0 T4 N2 M0 Cualquier T N3 M0 Cualquier T Cualquier N M1a-b Estadio IIb Estadio IIIa Estadio IIIb Estadio IV 39% 23-25% 3-7% 1%
  • 167.
     Enfermedad Limitada(EL) • Tumor confinado a un hemotórax y sus ganglios linfáticos regionales (hiliares y mediastínicos homo y contralaterales y supraclaviculares ipsilaterales). • Corresponde a estadios I-III del TNM.  Enfermedad Extendida (EE) • Todos los tumores que excedan de los límites antes reseñados. • Corresponde a estadio IV y IIIB con derrame pleural del TNM.
  • 168.
     La capacidad delpaciente para tolerar una cirugía de resección pulmonar sin excesivo riesgo para su vida ni de secuelas invalidantes.
  • 169.
    • Mal estadoclínico (Karnofsky < 50 % ) • Enfermedades asociadas graves e incontrolables  80 años y estadio superior a I  >70 Estadio superior a II , tumor central y precisa neumonectomía  Rechazo del paciente • FEV, preoperatorio real <1 L, irreversible y 3 0 % • FEV, posoperatorio predicho < 0,80 • Disfunción pulmonar (DLCO ) < 40 % • VC < 45 % irreversible • PaC02 > 45 mmHg irreversible • Hipertensión pulmonar grave Cardiopatía grave incontrolable Estenosis carotidea igual o mayor 70% incontrolable
  • 170.
     Un Karnofsky de50 o inferior indica elevado riesgo de muerte durante los 6 meses siguientes. • 100: Normal, sin quejas, sin indicios de enfermedad. • 90: Actividades normales, pero con signos y síntomas leves de enfermedad. • 80: Actividad normal con esfuerzo, con algunos signos y síntomas de • • • • • • • • enfermedad. 70: Capaz de cuidarse, pero incapaz de llevar a término actividades normales o trabajo activo. 60: Requiere atención ocasional, pero puede cuidarse a sí mismo. 50: Requiere gran atención, incluso de tipo médico. Encamado menos del 50% del día. 40: Inválido, incapacitado, necesita cuidados y atenciones especiales. Encamado más del 50% del día. 30: Inválido grave, severamente incapacitado, tratamiento de soporte activo. 20: Encamado por completo, paciente muy grave, necesita hospitalización y tratamiento activo. 10: Moribundo. 0: Fallecido.
  • 172.
     <65 años  Lateralidadderecha  Resección mayor a lobectomía  Comorbilidad  Perdida de peso  Hipoalbuminemia  Bajo IMC
  • 173.
     La cualidad queexpresa la posibilidad evaluada en el estudio prequirúrgico de que el tejido tumoral pueda ser extirpado en su totalidad y con la obtención de un beneficio pronóstico demostrado o muy probable.
  • 174.
     Derrame pleural positivoa células tumorales y/o biopsia pleural  Afectación neoplasica del N. recurrente  Invasión extensa de la pared torácica por encima de 2cm proximales del bronquio principal.  Invasión extensa del cuerpo vertebral, foramen neural, vasos subclavios o Sx de Horner
  • 175.
     Síndrome de venacava superior  Cáncer broncógeno de células pequeñas con estadio mayor de I C  Metástasis en adenopatías mediastínicas homolaterales y contralaterales  Metástasis viscerales a distancia ganglionares,
  • 176.
     Técnicas de imagenpara cribado inicial • TAC helicoidal con contraste • Tomografía de emisión de positrones (PET)  Técnicas de confirmación citohistológica • Mediastinoscopía • Punción aspiración con aguja fina transbronquial, transtorácica o transesofágica
  • 177.
    Las estaciones, o áreas,ganglionares intratorácicas han sido definidas en 1997 y sustentadas por la AJCC, UICC, SEPAR, ATS y ERS.
  • 179.
    Superior Mediastinal Nodes • 1Highest Mediastinal • 2 Uper Paratracheal • 3 Pre-vascular and Retrotracheal • 4 Lower Paratracheal (includig Azygos Nodes) Interior Mediastinal Nodes • 7 Subcarinal • 8 Paraesophageal (below carina) • 9 Pulmonary Ligament N1 Nodes • 10 Hiliar • 11 Interlobar Aortic Nodes • 12 Lobar • 5 Subaortic (AP window) • 13 Segmental • 6 Para-aortic • 11 Subsegmental (ascending aorta or phrenic)
  • 180.
     ¿Es factible anivel técnico la resección quirúrgica completa?  ¿El paciente es capaz de tolerar la operación con mortalidad y morbilidad aceptables?
  • 181.
    Estadio Tratamiento primario Tratamiento adyuvante Pronostico Cáncer decélulas no pequeñas I Resección quirúrgica Quimioterapia solo en el estadio IB Supervivencia a 5 años > 60 -70 % II Resección quirúrgica Quimioterapia asociada o no a radioterapia. Supervivencia a 5 años > 40 – 50 % IIIA (resecable) Quimioterapia preoperatoria seguida de resección quirúrgica o quimioterapia seguida de radioterapia. Quimioterapia o no asociada a radioterapia. Supervivencia a 5 años: 15 – 30 % IIIA no Quimioterapia mas resecable o IIIB radioterapia simultanea. con ganglios supraclavicular es Ninguno Supervivencia a 5 años: 10 – 20 % IIIB (derrame pleural) o IV Ninguno Media de supervivencia 8 – 10 meses Quimioterapia con 2 fármacos 4 – 6 ciclos.
  • 182.
    Estadio Tratamiento primario Tratamiento adyuvante Pronostico Cáncer decélulas pequeñas Enfermedad limitada Quimioterapia mas radioterapia simultanea Ninguno Supervivencia a 5 años 15 – 25 % Enfermedad extensa Quimioterapia Ninguno Supervivencia a 5 años < al 5%
  • 183.
     Fishman, Manual deenfermedades pulmonares  Kumar, Abbas, Patologia estructural y funcional  Neoplasias pleurales malignas y neoplasias pulmonares benignas .Howard West,Md  http://www.binasss.sa.cr/revistas/rmcc/rme dica/364/art2.pdf
  • 184.