Osteoporosis
Reyes Torres Bruno Eduardo
Benemérita Universidad Autónoma de Puebla
Facultad de Medicina
Definición
Enfermedad esquelética crónica de origen
metabólico caracterizada por la reducción de la
masa ósea con deterioro de la microarquitectura
del tejido óseo con una pérdida paralela de
mineral óseo y matriz colágena a causa de una
tasa de resorción mayor a la de su síntesis.
Manual CTO de medicina y cirugía (2010). Reumatología. Pp.56-58. Editorial CTO.
Guía de practica clínica. Diagnostico y tratamiento de osteoporosis en el adulto. México. Secretaría de salud. 2009
Epidemiología
• Nivel mundial: 75 millones de personas
• Países más afectados: Estados Unidos y Japón.
• Se relaciona con 8.2 millones de fracturas por
año a nivel mundial.
Guía de practica clínica. Diagnostico y tratamiento de osteoporosis en el adulto. México. Secretaría de salud. 2009
En México…
• Prevalencia nacional oscila entre el 11% y 17% de la
población.
• Se presenta en mayor proporción en mujeres 2-6 : 1
– Mujeres mayores de 50 años: 16%
– Mujeres mayores de 80 años: 25% - 50%
Guía de practica clínica. Diagnostico y tratamiento de osteoporosis en el adulto. México. Secretaría de salud. 2009
Asociación de la osteoporosis y incidencia de fracturas.
Estudio epidemiológico de la osteoporosis en México. 2011
Recordatorio de Fisiología ósea
 El tejido óseo posee la capacidad de autorrenovación; turnover oseo.
 Participación de osteoblastos y osteoclastos.
 Unidad de remodelación.
 Remodelación ósea y modelación.
 Tasa de renovación anual es del 10%.
 Balance de remodelación: 0
 2 tipos de patrones de remodelación: lagunar y longitudinal.
 Es influida por factores sistémicos: acción de PTH, estrógenos,
corticoesteroides.
 Presenta distintos estadios de actividad en relación a la edad.
Edad Remodelación/modelación
12-35 años 100%/70%
35-50 años 70%/15%
Jesús G(2010). Fisiopatología de la osteoporosis y mecanismo de acción de la PTH. Hospital marqués de Valdecilla.
Remodelación ósea
Hueso
cortical
Hueso
esponjoso
29/01/2016 6
29/01/2016 7
Estimulación de la osteogénesis por
factores sistémicos
• Estrogenos [RANK-L libre] función
osteoblástica
• Fuerzas mecánicas activación de osteoclastos
Desarrolla la Vía MAPK
SÍNTESIS DE OSTEOBLASTOS
29/01/2016 8
INHIBIDORES DE LA OSTEOGÉNESIS
• HPT estimula osteoblastos para producción de RANK-L
• CORTISOL metabolismo de Vit. D [Calcio]
• HORMONA TIROIDEA Proteolítica
[Osteoprotegerina]
Actividad osteoclástica
29/01/2016 9
Fisiopatología
a) Balance de remodelación de orden negativo.
a) Menor producción de osteoblastos.
b) Mayor actividad de osteoclastos.
Jesús G(2010). Fisiopatología de la osteoporosis y mecanismo de acción de la PTH. Hospital marqués de Valdecilla.
Reabsorción ósea > producción ósea
Las cualidades del hueso formado
son normales, sin embargo, se
encuentra en menor proporción.
B)Aumento en el recambio óseo:
Incremento en el número de unidades de remodelación.
Actividad osteoclástica
Masa ósea
Jesús G(2010). Fisiopatología de la osteoporosis y mecanismo de acción de la PTH. Hospital marqués de Valdecilla.
C) Factores de acción sistémica
Factor Acción
Hiperparatiroidismo Incrementa la producción de RANK-L en los osteoblastos y
linfocitos T; esto permite la activación de los osteoclastos
incrementando la reabsorción ósea.
Hipogonadismo La ausencia de estrógenos permite la sobre activación de los
RANK; esto permite la activación de los osteoclastos
incrementando la reabsorción ósea.
Hipertiroidismo La alta concentración de hormonas tiroideas generan un
efecto proteolítico ; esto puede influir en la disminución de
síntesis de proteínas útiles para el crecimiento y en la
osteopotegerina.
Hipercorticismo El cortisol disminuye el metabolismo de la vitamina D, y
merma el manejo del calcio.
29/01/2016 12
Clasificación
Tipo I (postmenopausica)
 Mujeres postmenopáusicas
 Entre los 50 y 70 años de
edad
 Afecta a hombres en menor
proporción 1:6
 Hay mayor pérdida de hueso
trabecular que cortical.
 HPT disminuida.
 Fx vertebral y colles
Tipo II (senil)
 Predomina en las mujeres
2:1
 Mayores de 70 años
 Pérdida de hueso trabecular
y cortical
 HPT aumentada
 Fx vertebral y huesos largos
Manual CTO de medicina y cirugía (2010). Reumatología. Pp.56-58. Editorial CTO.
Osteoporosis primaria
Factores predisponenetes
Enfermedades
metabólicas
Enfermedades
genéticas
Fármacos
Hipogonadismo Osteogénesis
Imperfecta
Corticosteroides
Hiperparatiroidismo Homocistinuria Diuréticos
Hipercortcismo Síndrome de Ehlers -
Danlos
Antiestrogenicos
Hipertiroidismo Síandrome de
Marfan
Heparina
Otros
Inmovilizaciones Falta de ejercicio Tabaquismo
Hipovitaminosis Alcoholismo Desnutrición
Artritis Reumatoide Mieloma
Escasa exposición al
sol
O
S
T
E
O
P
O
R
O
S
I
S
S
E
C
U
N
D
A
R
I
A
Guía de practica clínica. Diagnostico y tratamiento de osteoporosis en el adulto. México. Secretaría de salud. 2009
Manifestaciones clínicas
• La pérdida de masa ósea no produce ningún
síntoma.
• Las manifestaciones clínicas se deben a la
aparición de fracturas.
Manual CTO de medicina y cirugía (2010). Reumatología. Pp.56-58. Editorial CTO.
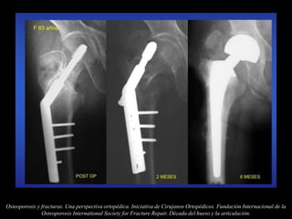
Osteoporosis y fracturas. Una perspectiva ortopédica. Iniciativa de Cirujanos Ortopédicos. Fundación Internacional de la
Osteoporosis International Society for Fracture Repair. Década del hueso y la articulación.
Osteoporosis y fracturas. Una perspectiva ortopédica. Iniciativa de Cirujanos Ortopédicos. Fundación Internacional de la
Osteoporosis International Society for Fracture Repair. Década del hueso y la articulación.
Cuadro clínico
 Incapacidad para la bipedestación
 Dolor moderado a severo
 Presencia de miembro inferior acortado
29/01/2016 19
Osteoporosis y fracturas. Una perspectiva ortopédica. Iniciativa de Cirujanos Ortopédicos. Fundación Internacional de la
Osteoporosis International Society for Fracture Repair. Década del hueso y la articulación.
Cuadro clínico
Dolor de espalda
Pérdida de altura
Reducción de la función pulmonar
deformidad
29/01/2016 21
29/01/2016 22
Osteoporosis y fracturas. Una perspectiva ortopédica. Iniciativa de Cirujanos Ortopédicos. Fundación Internacional de la
Osteoporosis International Society for Fracture Repair. Década del hueso y la articulación.
Diagnóstico
• Medición de la densidad ósea.
• DEXA (Absorciómetro dual de rayos X)
29/01/2016 24
29/01/2016 25
Indicaciones
1. Presencia de factores de riesgo mayor
 Deficiencia de estrógenos
 Menopausia prematura
 Hipogonadismo en mujeres y hombres
 Antecedente de terapia con esteroides
 Historia familiar materna de fractura de cadera
 IMC bajo (<19Kg/m)
 Presencia de otra alteración asociada:
 Hiperparatiroidismo, hipercorticismo, etc.
 Evidencia Radiográfica de osteopenia y/o
deformación vertebral.
 Pérdida de altura. 26
Estudios de Laboratorio
• El perfil bioquímico de los pacientes con
osteoporosis es normal en más de un 80%
• El 20% presenta solamente hipercalcemia.
• Puede estar elevada la cifra de FA (normal: 44
a 147 UI/L)
29/01/2016 27
Índice de Singh
• Permite evaluar el grado de osteoporosis usando
como base una Rx AP del cuello y cabeza del
femur.
29/01/2016 28
Fase VII (normal). Las
pequeñas y densas
trabéculas llenan todo el
cuello
• Fase VI Fase VI. Aparece la
imagen del triangulo de
Ward.
Fase V. El triangulo de Ward está vacío por
desaparición de trabéculas accesorias
Fase IV. Desaparecen totalmente las trabéculas
accesorias.
Fase III. Desaparición casi total de las trabéculas curvadas.
Fase II. Desaparición total de las arcadas curvadas
Fase I desaparición parcial del haz de compresión de la cabeza.29/01/2016 29
Fase VI. Aparece la imagen del triangulo de Ward.
Fase V. El triangulo de Ward está vacío por desaparición de trabéculas
accesorias
Fase IV. Desaparecen totalmente las trabéculas accesorias.
Fase III. Desaparición casi
total de las trabéculas
curvadas.
Fase II. Desaparición total
de las arcadas curvadas
Fase I desaparición parcial
del haz de compresión de la
cabeza.
30
Interpretación
• Fase 7 es un fémur normal
• Fase 6 y 5 es una osteoporosis leve
• Fases 4 y 3 es una osteoporosis progresiva
• Fases 2 y 1 indican una osteoporosis severa.
29/01/2016 31
Tratamiento
• El objetivo del tratamiento para osteoporosis se
centra en inhibir la resorción ósea.
• En pacientes con osteoporosis sin fractura se
recomienda el empleo de Bifosfonatos:
– Alendronato, Risedronato, Zolendronato e ibandronato.
Alendronato vía Oral 10 mg +500 mg de
calcio + 400 UI de vitamina D al día.
Guía de practica clínica. Diagnostico y tratamiento de osteoporosis en el adulto. México. Secretaría de salud. 2009
Pacientes con fracturas previas por
fragilidad
• Para mujeres > de 75 años con T-score < 2.5
• Mujeres de 65-74 años con T-score < 3
• Mujeres <64 años con T-score < 3.5
Risendronato Vía oral 5 mg día o 35 mg una vez por semana +
500 mg de calcio + 400UI de vitamina D al día.
Guía de practica clínica. Diagnostico y tratamiento de osteoporosis en el adulto. México. Secretaría de salud. 2009
Mujeres Postmenopáusicas con
antecedente de fractura y diagnostico
confirmado de osteoporosis
• Alendronato vía Oral 10 mg o 70 mg a la semana + 500
mg de calcio + 400 UI de vitamina D al día.
Guía de practica clínica. Diagnostico y tratamiento de osteoporosis en el adulto. México. Secretaría de salud. 2009
Terapia Hormonal de Remplazo
• Previene la pérdida ósea en mujeres
• Tiene efecto potencial sobre las fracturas de
cadera y antebrazo.
• Raloxifeno: modulador selectivo de los
receptores de estrógenos.
– 60 mg + 500 mg de calcio y 500 UI de vitamina D.
Guía de practica clínica. Diagnostico y tratamiento de osteoporosis en el adulto. México. Secretaría de salud. 2009
Tratamiento de las fracturas
osteoporóticas
Dr. Cs. Alfredo Ceballos M, Dr. C. Roberto Balmaseda M. Osteoporosis y osteosíntesis. Centro de Investigaciones Médico
Quirúrgicas (CIMEQ). La Habana, Cuba.
Osteoporosis y fracturas. Una perspectiva ortopédica. Iniciativa de Cirujanos Ortopédicos. Fundación Internacional de la
Osteoporosis International Society for Fracture Repair. Década del hueso y la articulación.
Osteoporosis y fracturas. Una perspectiva ortopédica. Iniciativa de Cirujanos Ortopédicos. Fundación Internacional de la
Osteoporosis International Society for Fracture Repair. Década del hueso y la articulación.
Osteoporosis y fracturas. Una perspectiva ortopédica. Iniciativa de Cirujanos Ortopédicos. Fundación Internacional de la
Osteoporosis International Society for Fracture Repair. Década del hueso y la articulación.
Osteoporosis y fracturas. Una perspectiva ortopédica. Iniciativa de Cirujanos Ortopédicos. Fundación Internacional de la
Osteoporosis International Society for Fracture Repair. Década del hueso y la articulación.
CIFOPLASTÍA
Osteoporosis y fracturas. Una perspectiva ortopédica. Iniciativa de Cirujanos Ortopédicos. Fundación Internacional de la
Osteoporosis International Society for Fracture Repair. Década del hueso y la articulación.
Osteoporosis y fracturas. Una perspectiva ortopédica. Iniciativa de Cirujanos Ortopédicos. Fundación Internacional de la
Osteoporosis International Society for Fracture Repair. Década del hueso y la articulación.
Rehabilitación
Pronostico
• Bueno: la detección oportuna en pacientes
menores de 70 años sin otra enfermedad
asociada.
• Reservado: presencia de una enfermedad
metabólica asociada, en pacientes mayores de
70 años y fractura de cadera.
29/01/2016 44
Prevención Primaria
Guía de practica clínica. Diagnostico y tratamiento de osteoporosis en el adulto. México. Secretaría de salud. 2009
Prevención primaria
29/01/2016 46
29/01/2016 47
48Reyes Torres Bruno Eduardo

Osteoporosis

  • 1.
    Osteoporosis Reyes Torres BrunoEduardo Benemérita Universidad Autónoma de Puebla Facultad de Medicina
  • 2.
    Definición Enfermedad esquelética crónicade origen metabólico caracterizada por la reducción de la masa ósea con deterioro de la microarquitectura del tejido óseo con una pérdida paralela de mineral óseo y matriz colágena a causa de una tasa de resorción mayor a la de su síntesis. Manual CTO de medicina y cirugía (2010). Reumatología. Pp.56-58. Editorial CTO. Guía de practica clínica. Diagnostico y tratamiento de osteoporosis en el adulto. México. Secretaría de salud. 2009
  • 3.
    Epidemiología • Nivel mundial:75 millones de personas • Países más afectados: Estados Unidos y Japón. • Se relaciona con 8.2 millones de fracturas por año a nivel mundial. Guía de practica clínica. Diagnostico y tratamiento de osteoporosis en el adulto. México. Secretaría de salud. 2009
  • 4.
    En México… • Prevalencianacional oscila entre el 11% y 17% de la población. • Se presenta en mayor proporción en mujeres 2-6 : 1 – Mujeres mayores de 50 años: 16% – Mujeres mayores de 80 años: 25% - 50% Guía de practica clínica. Diagnostico y tratamiento de osteoporosis en el adulto. México. Secretaría de salud. 2009 Asociación de la osteoporosis y incidencia de fracturas. Estudio epidemiológico de la osteoporosis en México. 2011
  • 5.
    Recordatorio de Fisiologíaósea  El tejido óseo posee la capacidad de autorrenovación; turnover oseo.  Participación de osteoblastos y osteoclastos.  Unidad de remodelación.  Remodelación ósea y modelación.  Tasa de renovación anual es del 10%.  Balance de remodelación: 0  2 tipos de patrones de remodelación: lagunar y longitudinal.  Es influida por factores sistémicos: acción de PTH, estrógenos, corticoesteroides.  Presenta distintos estadios de actividad en relación a la edad. Edad Remodelación/modelación 12-35 años 100%/70% 35-50 años 70%/15% Jesús G(2010). Fisiopatología de la osteoporosis y mecanismo de acción de la PTH. Hospital marqués de Valdecilla.
  • 6.
  • 7.
  • 8.
    Estimulación de laosteogénesis por factores sistémicos • Estrogenos [RANK-L libre] función osteoblástica • Fuerzas mecánicas activación de osteoclastos Desarrolla la Vía MAPK SÍNTESIS DE OSTEOBLASTOS 29/01/2016 8
  • 9.
    INHIBIDORES DE LAOSTEOGÉNESIS • HPT estimula osteoblastos para producción de RANK-L • CORTISOL metabolismo de Vit. D [Calcio] • HORMONA TIROIDEA Proteolítica [Osteoprotegerina] Actividad osteoclástica 29/01/2016 9
  • 10.
    Fisiopatología a) Balance deremodelación de orden negativo. a) Menor producción de osteoblastos. b) Mayor actividad de osteoclastos. Jesús G(2010). Fisiopatología de la osteoporosis y mecanismo de acción de la PTH. Hospital marqués de Valdecilla. Reabsorción ósea > producción ósea Las cualidades del hueso formado son normales, sin embargo, se encuentra en menor proporción.
  • 11.
    B)Aumento en elrecambio óseo: Incremento en el número de unidades de remodelación. Actividad osteoclástica Masa ósea Jesús G(2010). Fisiopatología de la osteoporosis y mecanismo de acción de la PTH. Hospital marqués de Valdecilla.
  • 12.
    C) Factores deacción sistémica Factor Acción Hiperparatiroidismo Incrementa la producción de RANK-L en los osteoblastos y linfocitos T; esto permite la activación de los osteoclastos incrementando la reabsorción ósea. Hipogonadismo La ausencia de estrógenos permite la sobre activación de los RANK; esto permite la activación de los osteoclastos incrementando la reabsorción ósea. Hipertiroidismo La alta concentración de hormonas tiroideas generan un efecto proteolítico ; esto puede influir en la disminución de síntesis de proteínas útiles para el crecimiento y en la osteopotegerina. Hipercorticismo El cortisol disminuye el metabolismo de la vitamina D, y merma el manejo del calcio. 29/01/2016 12
  • 13.
    Clasificación Tipo I (postmenopausica) Mujeres postmenopáusicas  Entre los 50 y 70 años de edad  Afecta a hombres en menor proporción 1:6  Hay mayor pérdida de hueso trabecular que cortical.  HPT disminuida.  Fx vertebral y colles Tipo II (senil)  Predomina en las mujeres 2:1  Mayores de 70 años  Pérdida de hueso trabecular y cortical  HPT aumentada  Fx vertebral y huesos largos Manual CTO de medicina y cirugía (2010). Reumatología. Pp.56-58. Editorial CTO. Osteoporosis primaria
  • 14.
    Factores predisponenetes Enfermedades metabólicas Enfermedades genéticas Fármacos Hipogonadismo Osteogénesis Imperfecta Corticosteroides HiperparatiroidismoHomocistinuria Diuréticos Hipercortcismo Síndrome de Ehlers - Danlos Antiestrogenicos Hipertiroidismo Síandrome de Marfan Heparina Otros Inmovilizaciones Falta de ejercicio Tabaquismo Hipovitaminosis Alcoholismo Desnutrición Artritis Reumatoide Mieloma Escasa exposición al sol O S T E O P O R O S I S S E C U N D A R I A
  • 15.
    Guía de practicaclínica. Diagnostico y tratamiento de osteoporosis en el adulto. México. Secretaría de salud. 2009
  • 16.
    Manifestaciones clínicas • Lapérdida de masa ósea no produce ningún síntoma. • Las manifestaciones clínicas se deben a la aparición de fracturas. Manual CTO de medicina y cirugía (2010). Reumatología. Pp.56-58. Editorial CTO.
  • 17.
    Osteoporosis y fracturas.Una perspectiva ortopédica. Iniciativa de Cirujanos Ortopédicos. Fundación Internacional de la Osteoporosis International Society for Fracture Repair. Década del hueso y la articulación.
  • 18.
    Osteoporosis y fracturas.Una perspectiva ortopédica. Iniciativa de Cirujanos Ortopédicos. Fundación Internacional de la Osteoporosis International Society for Fracture Repair. Década del hueso y la articulación.
  • 19.
    Cuadro clínico  Incapacidadpara la bipedestación  Dolor moderado a severo  Presencia de miembro inferior acortado 29/01/2016 19
  • 20.
    Osteoporosis y fracturas.Una perspectiva ortopédica. Iniciativa de Cirujanos Ortopédicos. Fundación Internacional de la Osteoporosis International Society for Fracture Repair. Década del hueso y la articulación.
  • 21.
    Cuadro clínico Dolor deespalda Pérdida de altura Reducción de la función pulmonar deformidad 29/01/2016 21
  • 22.
  • 23.
    Osteoporosis y fracturas.Una perspectiva ortopédica. Iniciativa de Cirujanos Ortopédicos. Fundación Internacional de la Osteoporosis International Society for Fracture Repair. Década del hueso y la articulación.
  • 24.
    Diagnóstico • Medición dela densidad ósea. • DEXA (Absorciómetro dual de rayos X) 29/01/2016 24
  • 25.
  • 26.
    Indicaciones 1. Presencia defactores de riesgo mayor  Deficiencia de estrógenos  Menopausia prematura  Hipogonadismo en mujeres y hombres  Antecedente de terapia con esteroides  Historia familiar materna de fractura de cadera  IMC bajo (<19Kg/m)  Presencia de otra alteración asociada:  Hiperparatiroidismo, hipercorticismo, etc.  Evidencia Radiográfica de osteopenia y/o deformación vertebral.  Pérdida de altura. 26
  • 27.
    Estudios de Laboratorio •El perfil bioquímico de los pacientes con osteoporosis es normal en más de un 80% • El 20% presenta solamente hipercalcemia. • Puede estar elevada la cifra de FA (normal: 44 a 147 UI/L) 29/01/2016 27
  • 28.
    Índice de Singh •Permite evaluar el grado de osteoporosis usando como base una Rx AP del cuello y cabeza del femur. 29/01/2016 28
  • 29.
    Fase VII (normal).Las pequeñas y densas trabéculas llenan todo el cuello • Fase VI Fase VI. Aparece la imagen del triangulo de Ward. Fase V. El triangulo de Ward está vacío por desaparición de trabéculas accesorias Fase IV. Desaparecen totalmente las trabéculas accesorias. Fase III. Desaparición casi total de las trabéculas curvadas. Fase II. Desaparición total de las arcadas curvadas Fase I desaparición parcial del haz de compresión de la cabeza.29/01/2016 29
  • 30.
    Fase VI. Aparecela imagen del triangulo de Ward. Fase V. El triangulo de Ward está vacío por desaparición de trabéculas accesorias Fase IV. Desaparecen totalmente las trabéculas accesorias. Fase III. Desaparición casi total de las trabéculas curvadas. Fase II. Desaparición total de las arcadas curvadas Fase I desaparición parcial del haz de compresión de la cabeza. 30
  • 31.
    Interpretación • Fase 7es un fémur normal • Fase 6 y 5 es una osteoporosis leve • Fases 4 y 3 es una osteoporosis progresiva • Fases 2 y 1 indican una osteoporosis severa. 29/01/2016 31
  • 32.
    Tratamiento • El objetivodel tratamiento para osteoporosis se centra en inhibir la resorción ósea. • En pacientes con osteoporosis sin fractura se recomienda el empleo de Bifosfonatos: – Alendronato, Risedronato, Zolendronato e ibandronato. Alendronato vía Oral 10 mg +500 mg de calcio + 400 UI de vitamina D al día. Guía de practica clínica. Diagnostico y tratamiento de osteoporosis en el adulto. México. Secretaría de salud. 2009
  • 33.
    Pacientes con fracturasprevias por fragilidad • Para mujeres > de 75 años con T-score < 2.5 • Mujeres de 65-74 años con T-score < 3 • Mujeres <64 años con T-score < 3.5 Risendronato Vía oral 5 mg día o 35 mg una vez por semana + 500 mg de calcio + 400UI de vitamina D al día. Guía de practica clínica. Diagnostico y tratamiento de osteoporosis en el adulto. México. Secretaría de salud. 2009
  • 34.
    Mujeres Postmenopáusicas con antecedentede fractura y diagnostico confirmado de osteoporosis • Alendronato vía Oral 10 mg o 70 mg a la semana + 500 mg de calcio + 400 UI de vitamina D al día. Guía de practica clínica. Diagnostico y tratamiento de osteoporosis en el adulto. México. Secretaría de salud. 2009
  • 35.
    Terapia Hormonal deRemplazo • Previene la pérdida ósea en mujeres • Tiene efecto potencial sobre las fracturas de cadera y antebrazo. • Raloxifeno: modulador selectivo de los receptores de estrógenos. – 60 mg + 500 mg de calcio y 500 UI de vitamina D. Guía de practica clínica. Diagnostico y tratamiento de osteoporosis en el adulto. México. Secretaría de salud. 2009
  • 36.
    Tratamiento de lasfracturas osteoporóticas Dr. Cs. Alfredo Ceballos M, Dr. C. Roberto Balmaseda M. Osteoporosis y osteosíntesis. Centro de Investigaciones Médico Quirúrgicas (CIMEQ). La Habana, Cuba.
  • 37.
    Osteoporosis y fracturas.Una perspectiva ortopédica. Iniciativa de Cirujanos Ortopédicos. Fundación Internacional de la Osteoporosis International Society for Fracture Repair. Década del hueso y la articulación.
  • 38.
    Osteoporosis y fracturas.Una perspectiva ortopédica. Iniciativa de Cirujanos Ortopédicos. Fundación Internacional de la Osteoporosis International Society for Fracture Repair. Década del hueso y la articulación.
  • 39.
    Osteoporosis y fracturas.Una perspectiva ortopédica. Iniciativa de Cirujanos Ortopédicos. Fundación Internacional de la Osteoporosis International Society for Fracture Repair. Década del hueso y la articulación.
  • 40.
    Osteoporosis y fracturas.Una perspectiva ortopédica. Iniciativa de Cirujanos Ortopédicos. Fundación Internacional de la Osteoporosis International Society for Fracture Repair. Década del hueso y la articulación.
  • 41.
    CIFOPLASTÍA Osteoporosis y fracturas.Una perspectiva ortopédica. Iniciativa de Cirujanos Ortopédicos. Fundación Internacional de la Osteoporosis International Society for Fracture Repair. Década del hueso y la articulación.
  • 42.
    Osteoporosis y fracturas.Una perspectiva ortopédica. Iniciativa de Cirujanos Ortopédicos. Fundación Internacional de la Osteoporosis International Society for Fracture Repair. Década del hueso y la articulación.
  • 43.
  • 44.
    Pronostico • Bueno: ladetección oportuna en pacientes menores de 70 años sin otra enfermedad asociada. • Reservado: presencia de una enfermedad metabólica asociada, en pacientes mayores de 70 años y fractura de cadera. 29/01/2016 44
  • 45.
    Prevención Primaria Guía depractica clínica. Diagnostico y tratamiento de osteoporosis en el adulto. México. Secretaría de salud. 2009
  • 46.
  • 47.
  • 48.