Testículo.
David Esteban Estrada V.
Urología.
Universidad de Nariño.
San Juan de Pasto.
24/09/2014.
Patología
Genitales
Externos
Masculinos
(Testículos).
Anatomía.
Anatomía.
Anatomía.
Anatomía.
IRRIGACION : Arteria testicular (rama de la aorta abdominal)
INERVACION: Plexo pampiniforme, Nervio genitocrural
SOSTEN:
Musculo cremaster.
Musculo dartos.
Anatomía.
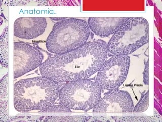
Celulas de sertoli (de
sosten):
+ Se extienden a través
de todo el epitelio
seminifero
+ No se dividen hasta
después de la
pubertad
Células
espermatogénicas:
+ Se dividen y se
diferencian en
espermatozoides
+ Derivan de las
germinativas primordiales
+Las Maduras
(espermatides) en
contacto con la luz del
túbulo.
+ Las Inmaduras
(espermatogonios) en la
lamina basal
Anatomía.
Células de Leydig (puntas de flecha), secretoras de testosterona, asociadas a un capilar sanguíneo, en el que
se resalta el núcleo de la célula endotelial (flecha). Obsérvense los eritrocitos de color rojo intenso. Tinción con
tricrómico de Masson.
Anatomía.
SINORQUIA: fusión de ambos
testículos.
ANORQUIA: Ausencia de uno o
dos testículos.
ECTOPÍA: Fuera de la vía
habitual.
QUISTES.
ANOMALIAS CONGÉNITAS:
• Criptorquidia.
ALTERACIONES REGRESIVAS:
• Atrofia.
Criptorquidia.
Ausencia de testículos en la bolsa
escrotal debido a falta de
descenso o descenso ectópico.
Criptorquidia.
Frecuencia: 4.5% al nacer.
Prematuros: 30%.
Bilateral 10-20%.
Factores que intervienen
en el descenso testicular:
• Hormonales: testosterona,
dehidrotestosterona y
sustancia inhibidora
mulleriana.
• Mecánicos: gubernaculum,
presión abdominal y nervio
genitofemoral.
Criptorquidia.
Criptorquidia.
Testículos no palpables:
•Intra abdominales o porción
profunda del anillo inguinal,
50%.
•Ausentes 50%
•Remanente atrófico en canal
inguinal o escroto.
Criptorquidia.
Criptorquidia.
Hidrocele.
Hidrocele.
Acumulación de líquido intraescrotal,
originado entre:
las capas visceral y parietal de la túnica
vaginal.
CONGENITO ADQUIRIDO
Hidrocele.
Tumefacción de instauración progresiva
asociada o no a molestias.
Puede presentarse en uno o en ambos
lados.
Hidrocele.
Diagnostico Exploración física
Signo del rebote:
Al comprimir se vacía el
escroto y la bolsa topa con
el orificio peritoneal del
canal inguinal.
B) Al descomprimir, la masa
regresa de inmediato a
llenar el escroto.
Diagnostico
Diagnostico
Ecografía
En jóvenes entre 18 y 35 años con aparición
espontánea del hidrocele, tenemos que tener esto
muy en cuenta y solicitar siempre en estos casos una
ecografía testicular.
Atrofia.
Estrechamiento
aterosclerótico
progresivo de
la
vascularización
en la edad
avanzada.
Estadio terminal de orquitis
inflamatoria
Criptorquidia
Admón..
Prolongada
de
hormonas
femeninas
Malnutrición
generalizada o
caquexia
IrritaciónHipopituitarismo
Cuando el proceso es
bilateral se produce
esterilidad
En ocasiones se
desarrolla
insuficiencia primaria
de origen genético.
El proceso resultante
es el sx. Klinefelter
Inflamación.
Inflamación.
Las inflamaciones
son más comunes
en el epidídimo
que en los
testículos.
La gonorrea y la
tuberculosis.
Epididimitis y orquitis inespecíficas.
 Se relacionan comúnmente con infecciones del tracto
urinario que presumiblemente alcanza el epidídimo y el
testículo a través del conducto deferente o de los linfáticos
del cordón espermático.
Cistitis Uretritis Genitoprostatitis
Epididimitis y orquitis inespecíficas.
Infancia: Suele asociarse
con una anomalía
genitourinaria congénita e
infección por bacilos G(-).
<35 años sexualmente
activos: Chlamydia
trachomatys y Neisseria
gonorrhoeae.
>35 años: E. coli y
Pseudomonas.
Epididimitis y orquitis inespecíficas.
Morfología:
Inflamaciones
Específicas.
Parotiditis.
Enfermedad vírica sistémica
que muy comúnmente
afecta a los niños en edad
escolar. La afectación
testicular es muy infrecuente.
20-30% púberes  orquitis
aguda después de 1 sem.
Tuberculosis.
 Caverna en epidídimo. Foco de necrosis caseosa en hilio testicular con folículos
tuberculosos en el seno del parénquima testicular
Sífilis.
• La producción de gomas o una
inflamación intersticial difusa
caracterizada por edema.
• E infiltración de células
linfocíticas y plasmáticas con el
sello distintivo característico
(endarteritis obliterativa con
infiltrado perivascular de
linfocitos y células plasmáticas).
El patrón
morfológico
de la
reacción
adopta dos
formas:
Trastornos
Vasculares.
Torsión.
La torsión del cordón
espermático puede
cortar el drenaje venoso
y la vascularización
arterial al testículo.
No obstante, por lo
general las arterias de
paredes gruesas
permanecen
permeables, de modo
que se producen una
intensa congestión
vascular e infarto venoso.
Torsión testicular
Neonatal
Se produce en el
útero materno o
poco después
del nacimiento
Adulto
(adolescencia)
Se manifiesta
como comienzo
súbito de dolor
testicular
Torsión testicular
En último termino se
produce un infarto
hemorrágico de la
totalidad del
testículo.
Tumor del
testículo y otros
tumores de
Células
Germinales.
Tumores de
Células
Germinales.
Tumor del Testículo y otros tumores de
Células Germinales.
TCG.
Células
Primordiales
Germinales.
95% Tumores
Testiculares.
Tumor del Testículo y otros tumores de
Células Germinales.
Tumores del testículo
de células
germinales
• Seminoma.
• Tumores de células
germinales no
seminomatosos
(tumores
embrionarios,
teratoma,
coriocarcinoma y
tumores mixtos).
Tumores del testículo
de células no
germinales
• Tumores de células
de Leydig.
• Tumores de células
de Sertoli.
• Gonadoblastomas.
Tumores secundarios
del testículo
• Linfoma.
• Leucemia.
• Tumores
metastásicos.
Tumor del Testículo y otros tumores de
Células Germinales.
Tumor del Testículo y otros tumores de
Células Germinales.
Tumor del Testículo y otros tumores de
Células Germinales.
Epidemiología.
90-95% tumores de células
germinales.
Resto: Neoplasias no germinales.
Asociado a Criptorquidia.
Seminoma  tumor más común
de células germinales en tumores
testiculares primarios bilaterales.
Linfoma maligno  tumor bilateral
más común del testículo.
2,5 a 14%.
Epidemiología.
Incidencia:
Tumores sólidos más frecuentes (20 a 35 años).
Infancia. 25 a 40 años. 60 años.
Epidemiología y Etiopatogenia:
Principalmente en hombre de raza blanca (*5 Riesgo vs Raza Negra).
Importante componente genético.
Mutaciones: Receptor
Corigonadotrofina, Hormona
Luteinizante.
1 de cada 10 Pacientes tiene
historia de Criptorquidia.
Modelo tumorigénico para los tumores de células germinales en testículo
EpidemiologíayEtiopatogenia: Espermatocito
normal.
Célula germinal
totipotencial.
Carcinoma
embrionario
(célula tumoral
totipotencial).
Diferenciación
extraembrionaria
.
Vía trofoblástica

coriocarcinoma.
Vía de saco
vitelino  tumor
del saco vitelino.
Diferenciación
intraembrionaria.
Teratoma.
Seminoma.
Criptorquidia
Antecedentes
familiares
Historia
personal de
cáncer en el
otro testículo
Atrofia
testicular
Infección por
VIH
Factores de Riesgo.
CRIPTORQUIDIA
(10%)
DISGENESIA
TESTICULAR
FACTORES
GENETICOS
(brazo corto del
cromosoma 12);
alteración en el
gen DAD-R
Seminoma.
Son los tumores de
células germinales mas
frecuentes (35-50%).
Incidencia máxima en
la tercera década de
la vida.
Contiene un
isocromosoma 12p.
Seminoma.
Tres grados de diferenciación:
1) Bien diferenciados o tipo I
(10%).
2) Moderadamente
diferenciados o tipo II (60%).
3) Mal diferenciados o tipo III
o seminoma atípico (28%).
•85% de todos los seminomas.
•4° década de vida.
•Macroscópicamente  nódulos grises coalescentes.
•Microscópicamente láminas con grandes células con
citoplasma claro y núcleos densamente teñidos.
Clásico.
•5-10% de todos los seminomas.
•Dx requiere presencia de 3 o mas mitosis por campo de
alta potencia.
Anaplásico.
•5-10% de todos los seminomas.
•Mayores de 50 años.
•Microscópicamente  cels varían de tamaño y se
caracterizan por citoplasma densamente teñido y
núcleos redondos con cromatina condensada.
Espermatocítico.
Es un tumor infrecuente
que representa 1-2%.
Los individuos afectados
suelen superar los 65 años.
Tiene lento crecimiento y
no produce metástasis.
Espermatocítico:
Según la extensión del tumor y eventuales metástasis se distinguen tres
estadios:
-Estadio I : tumor confinado al testículo.
-Estadio II : tumor con metástasis ganglionar linfática
infradiafragmática.
-Estadio III : tumor con metástasis supradiafragmática o viscerales o
ambas.
Este tumor es altamente radiosensible: La sobrevida a los 5 años para el
estadio I es de 100%; para el estadio II, 95%, y para el estadio III, 90%.
Seminoma.
Más común.
Tiende a crecer más rápidamente que los seminomas.
Compuestos de diferentes tipos de células :
1. Carcinoma embrionario.
2. Tumores del saco vitelino.
3. Coriocarcinoma.
4. Teratoma.
No Seminomatosos:
Las células tienen aspecto epitelial,
grandes, de aspecto embrionario con
núcleos hipercrómicos y nucléolos
prominentes.
Las células crecen adoptando patrones
alveolares o tubulares.
Se presentan usualmente a los 20-30
años de edad.
Carcinoma Embrionario:
CarcinomaEmbrionario
(20%).
El tipo adulto.
Histológicamente,
pleoformismo y bordes
celulares difusos.
Macroscópicamente
hemorragia extensa y necrosis.
El tipo infantil.
Tumor testicular más común
en lactantes y niños.
Microscópicamente, células
con citoplasma vacuolado
secundario a depósitos de
grasa y glucógeno.
Carcinoma Embrionario:
El 75% de los
carcinomas
embrionarios
producen a-feto-
proteína
No se la encuentra
nunca en
seminomas ni
coriocarcinomas
puros.
El 80% de los
carcinomas
embrionarios
producen
gonadotropina
coriónica humana
(subunidad beta).
Neoplasia testicular
primaria más frecuente
en menores de 3 años.
Macroscópicamente
grandes y bien
delimitados.
Tumores del Saco Vitelino:
Histológicamente revela células epiteliales
cubicas que forman Microquistes, glándulas y
papilas.
Teratoma (5%).
Tanto en niños
como en
adultos.
Más de una capa de
cels germinales en varios
estadios de maduración
y diferenciación.
Macroscópicamente,
tumor lobulado con
quistes de tamaño
variable llenos con
material gelatinoso.
Puede estar compuesto por tejidos maduros y bien diferenciados (teratomas
maduros) o en un estado más embrionario o menos diferenciados (teratomas
inmaduros).
Gran tamaño
(diámetro de
5 a10 cm).
Contenido
heterogéneo
Áreas solidas,
cartilaginosas
y quísticas
Coriocarcinoma
(1%)
Lesiones
pequeñas dentro
del testículo.
Hemorragia
central en
inspección
macroscópica.
Clínicamente de
carácter agresivo,
diseminación
hematógena
temprana.
Tipo celular
mixto (40%)
La mayor parte,
teratocarcinomas
(teratoma +
carcinoma
embrionario).
Coriocarcinoma.
No causan aumento del tamaño testicular y son detectados como nódulos
palpables pequeños.
Estadificación clínica:
Estadio I  lesión confinada al
testículo.
Estadio II  compromiso ganglionar
retroperitoneal (IIA < 2 cm, IIB > 2 cm)
Estadio III  compromiso nodular
supradiafragmático o compromiso
visceral.
Boden y Gibbs.
Datos Clínicos:
• Crecimiento indoloro del
testículo.
• Inflamación miembros
inferiores (Obstrucción
venocaval).
• 10% asintomáticos.
Síntomas
• Tumor firme e indoloro.
• Epidídimo delimitado con facilidad.
• Se realiza transiluminación del escroto
para distinguir entre líquido y sólido.
Signos
Imagenología:
USG escrotal  si el tumor es intratesticular.
Distinguir el tumor de patología epididimaria.
Facilitar exploración testicular en presencia de hidrocele.
Rx tórax y TC de abdomen y pelvis  metástasis.
Tratamiento:
Si no se puede excluir el cáncer, con el estudio del
testículo, la orquiectomía radical está justificada.
Deben evitarse los abordajes escrotales y las biopsias
testiculares abiertas.
Tx posterior dependerá de características
histológicas del tumor, así como del estadio clínico.
• Intensamente radiosensible.
• 95% se curan con orquiectomía
radical y radiación retroperitoneal.
• Quimioterapia utilizada como tx
de salvamiento en pacientes que
recaen después de radiación.
Estadio Bajo.
• Quimioterapia primaria.
• Cisplatino, etopósido y
bleomicina (PEB).
• Vinblastina, ciclofosfamida,
dactinomicina, bleomicina y
cisplatino.
Estadio Alto.
Tratamiento.
• Vigilancia
(mensualmente durante
los dos primeros años y
cada 2 meses en el
tercer año.
• Disección Ganglionar
Linfática RetroPeritoneal
(DGLRP).
Tumores de
células
germinales no
seminomatosos
de estadio bajo.
• Quimioterapia primaria
posterior a
orquiectomía.
Tumores de
células
germinales no
seminomatosos
de estadio alto.
Tratamiento.
Tumores de
Células No
Germinales.
Tumor de células de Leydig.
Tumor más común del testículo en
esta categoría.
1-3% de todos los tumores de
testículo.
Causa desconocida.
No hay asociación con criptorquidia.
Tumor de células de Leydig.
Estudio patológico  lesión
pequeña, amarilla, bien circunscrita,
libre de hemorragia o necrosis.
Microscópicamente  células
hexagonales con citoplasma
granular y eosinofílico.
Datos clínicos:
 Niños en etapa prepuberal  virilización y
tumores benignos.
 Adultos asintomáticos (20-25% ginecomastia).
 Tratamiento:
Orquiectomía radical.
DGLRP en lesiones malignas.
TumordecélulasdeSertoli. Extremadamente raros.
Menos del 1% de todos los tumores de
testículo.
Menores de 1 año y 20-45 años.
10% lesiones malignas.
Lesión amarilla ó gris blanquecina con
quistes.
Lesiones benignas bien circunscritas.
Lesiones malignas bordes mal definidos.
Gracias.

Patología testicular 2014.

  • 1.
    Testículo. David Esteban EstradaV. Urología. Universidad de Nariño. San Juan de Pasto. 24/09/2014.
  • 2.
  • 3.
  • 4.
  • 5.
  • 6.
  • 7.
    IRRIGACION : Arteriatesticular (rama de la aorta abdominal) INERVACION: Plexo pampiniforme, Nervio genitocrural SOSTEN: Musculo cremaster. Musculo dartos. Anatomía.
  • 9.
    Celulas de sertoli(de sosten): + Se extienden a través de todo el epitelio seminifero + No se dividen hasta después de la pubertad Células espermatogénicas: + Se dividen y se diferencian en espermatozoides + Derivan de las germinativas primordiales +Las Maduras (espermatides) en contacto con la luz del túbulo. + Las Inmaduras (espermatogonios) en la lamina basal Anatomía.
  • 10.
    Células de Leydig(puntas de flecha), secretoras de testosterona, asociadas a un capilar sanguíneo, en el que se resalta el núcleo de la célula endotelial (flecha). Obsérvense los eritrocitos de color rojo intenso. Tinción con tricrómico de Masson. Anatomía.
  • 11.
    SINORQUIA: fusión deambos testículos. ANORQUIA: Ausencia de uno o dos testículos. ECTOPÍA: Fuera de la vía habitual. QUISTES. ANOMALIAS CONGÉNITAS: • Criptorquidia. ALTERACIONES REGRESIVAS: • Atrofia.
  • 12.
  • 13.
    Ausencia de testículosen la bolsa escrotal debido a falta de descenso o descenso ectópico. Criptorquidia. Frecuencia: 4.5% al nacer. Prematuros: 30%. Bilateral 10-20%.
  • 14.
    Factores que intervienen enel descenso testicular: • Hormonales: testosterona, dehidrotestosterona y sustancia inhibidora mulleriana. • Mecánicos: gubernaculum, presión abdominal y nervio genitofemoral. Criptorquidia.
  • 15.
  • 16.
    Testículos no palpables: •Intraabdominales o porción profunda del anillo inguinal, 50%. •Ausentes 50% •Remanente atrófico en canal inguinal o escroto. Criptorquidia.
  • 17.
  • 19.
  • 20.
    Hidrocele. Acumulación de líquidointraescrotal, originado entre: las capas visceral y parietal de la túnica vaginal.
  • 21.
  • 22.
    Tumefacción de instauraciónprogresiva asociada o no a molestias. Puede presentarse en uno o en ambos lados. Hidrocele.
  • 23.
    Diagnostico Exploración física Signodel rebote: Al comprimir se vacía el escroto y la bolsa topa con el orificio peritoneal del canal inguinal. B) Al descomprimir, la masa regresa de inmediato a llenar el escroto.
  • 24.
  • 25.
    Diagnostico Ecografía En jóvenes entre18 y 35 años con aparición espontánea del hidrocele, tenemos que tener esto muy en cuenta y solicitar siempre en estos casos una ecografía testicular.
  • 26.
  • 27.
    Estrechamiento aterosclerótico progresivo de la vascularización en laedad avanzada. Estadio terminal de orquitis inflamatoria Criptorquidia Admón.. Prolongada de hormonas femeninas Malnutrición generalizada o caquexia IrritaciónHipopituitarismo
  • 28.
    Cuando el procesoes bilateral se produce esterilidad En ocasiones se desarrolla insuficiencia primaria de origen genético. El proceso resultante es el sx. Klinefelter
  • 29.
  • 30.
    Inflamación. Las inflamaciones son máscomunes en el epidídimo que en los testículos. La gonorrea y la tuberculosis.
  • 31.
    Epididimitis y orquitisinespecíficas.  Se relacionan comúnmente con infecciones del tracto urinario que presumiblemente alcanza el epidídimo y el testículo a través del conducto deferente o de los linfáticos del cordón espermático. Cistitis Uretritis Genitoprostatitis
  • 32.
    Epididimitis y orquitisinespecíficas. Infancia: Suele asociarse con una anomalía genitourinaria congénita e infección por bacilos G(-). <35 años sexualmente activos: Chlamydia trachomatys y Neisseria gonorrhoeae. >35 años: E. coli y Pseudomonas.
  • 33.
    Epididimitis y orquitisinespecíficas. Morfología:
  • 34.
  • 35.
    Parotiditis. Enfermedad vírica sistémica quemuy comúnmente afecta a los niños en edad escolar. La afectación testicular es muy infrecuente. 20-30% púberes  orquitis aguda después de 1 sem.
  • 36.
    Tuberculosis.  Caverna enepidídimo. Foco de necrosis caseosa en hilio testicular con folículos tuberculosos en el seno del parénquima testicular
  • 38.
    Sífilis. • La producciónde gomas o una inflamación intersticial difusa caracterizada por edema. • E infiltración de células linfocíticas y plasmáticas con el sello distintivo característico (endarteritis obliterativa con infiltrado perivascular de linfocitos y células plasmáticas). El patrón morfológico de la reacción adopta dos formas:
  • 41.
  • 42.
    Torsión. La torsión delcordón espermático puede cortar el drenaje venoso y la vascularización arterial al testículo. No obstante, por lo general las arterias de paredes gruesas permanecen permeables, de modo que se producen una intensa congestión vascular e infarto venoso.
  • 43.
    Torsión testicular Neonatal Se produceen el útero materno o poco después del nacimiento Adulto (adolescencia) Se manifiesta como comienzo súbito de dolor testicular
  • 44.
    Torsión testicular En últimotermino se produce un infarto hemorrágico de la totalidad del testículo.
  • 46.
    Tumor del testículo yotros tumores de Células Germinales.
  • 47.
  • 48.
    Tumor del Testículoy otros tumores de Células Germinales. TCG. Células Primordiales Germinales. 95% Tumores Testiculares.
  • 49.
    Tumor del Testículoy otros tumores de Células Germinales. Tumores del testículo de células germinales • Seminoma. • Tumores de células germinales no seminomatosos (tumores embrionarios, teratoma, coriocarcinoma y tumores mixtos). Tumores del testículo de células no germinales • Tumores de células de Leydig. • Tumores de células de Sertoli. • Gonadoblastomas. Tumores secundarios del testículo • Linfoma. • Leucemia. • Tumores metastásicos.
  • 51.
    Tumor del Testículoy otros tumores de Células Germinales.
  • 52.
    Tumor del Testículoy otros tumores de Células Germinales.
  • 53.
    Tumor del Testículoy otros tumores de Células Germinales.
  • 54.
    Epidemiología. 90-95% tumores decélulas germinales. Resto: Neoplasias no germinales. Asociado a Criptorquidia. Seminoma  tumor más común de células germinales en tumores testiculares primarios bilaterales. Linfoma maligno  tumor bilateral más común del testículo. 2,5 a 14%.
  • 55.
    Epidemiología. Incidencia: Tumores sólidos másfrecuentes (20 a 35 años). Infancia. 25 a 40 años. 60 años.
  • 56.
    Epidemiología y Etiopatogenia: Principalmenteen hombre de raza blanca (*5 Riesgo vs Raza Negra). Importante componente genético. Mutaciones: Receptor Corigonadotrofina, Hormona Luteinizante. 1 de cada 10 Pacientes tiene historia de Criptorquidia.
  • 57.
    Modelo tumorigénico paralos tumores de células germinales en testículo EpidemiologíayEtiopatogenia: Espermatocito normal. Célula germinal totipotencial. Carcinoma embrionario (célula tumoral totipotencial). Diferenciación extraembrionaria . Vía trofoblástica  coriocarcinoma. Vía de saco vitelino  tumor del saco vitelino. Diferenciación intraembrionaria. Teratoma. Seminoma.
  • 58.
    Criptorquidia Antecedentes familiares Historia personal de cáncer enel otro testículo Atrofia testicular Infección por VIH Factores de Riesgo.
  • 59.
  • 60.
  • 61.
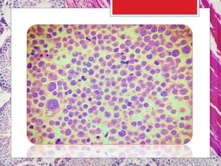
    Son los tumoresde células germinales mas frecuentes (35-50%). Incidencia máxima en la tercera década de la vida. Contiene un isocromosoma 12p. Seminoma. Tres grados de diferenciación: 1) Bien diferenciados o tipo I (10%). 2) Moderadamente diferenciados o tipo II (60%). 3) Mal diferenciados o tipo III o seminoma atípico (28%).
  • 62.
    •85% de todoslos seminomas. •4° década de vida. •Macroscópicamente  nódulos grises coalescentes. •Microscópicamente láminas con grandes células con citoplasma claro y núcleos densamente teñidos. Clásico. •5-10% de todos los seminomas. •Dx requiere presencia de 3 o mas mitosis por campo de alta potencia. Anaplásico. •5-10% de todos los seminomas. •Mayores de 50 años. •Microscópicamente  cels varían de tamaño y se caracterizan por citoplasma densamente teñido y núcleos redondos con cromatina condensada. Espermatocítico.
  • 63.
    Es un tumorinfrecuente que representa 1-2%. Los individuos afectados suelen superar los 65 años. Tiene lento crecimiento y no produce metástasis. Espermatocítico:
  • 69.
    Según la extensióndel tumor y eventuales metástasis se distinguen tres estadios: -Estadio I : tumor confinado al testículo. -Estadio II : tumor con metástasis ganglionar linfática infradiafragmática. -Estadio III : tumor con metástasis supradiafragmática o viscerales o ambas. Este tumor es altamente radiosensible: La sobrevida a los 5 años para el estadio I es de 100%; para el estadio II, 95%, y para el estadio III, 90%. Seminoma.
  • 70.
    Más común. Tiende acrecer más rápidamente que los seminomas. Compuestos de diferentes tipos de células : 1. Carcinoma embrionario. 2. Tumores del saco vitelino. 3. Coriocarcinoma. 4. Teratoma. No Seminomatosos:
  • 71.
    Las células tienenaspecto epitelial, grandes, de aspecto embrionario con núcleos hipercrómicos y nucléolos prominentes. Las células crecen adoptando patrones alveolares o tubulares. Se presentan usualmente a los 20-30 años de edad. Carcinoma Embrionario:
  • 73.
    CarcinomaEmbrionario (20%). El tipo adulto. Histológicamente, pleoformismoy bordes celulares difusos. Macroscópicamente hemorragia extensa y necrosis. El tipo infantil. Tumor testicular más común en lactantes y niños. Microscópicamente, células con citoplasma vacuolado secundario a depósitos de grasa y glucógeno. Carcinoma Embrionario:
  • 74.
    El 75% delos carcinomas embrionarios producen a-feto- proteína No se la encuentra nunca en seminomas ni coriocarcinomas puros. El 80% de los carcinomas embrionarios producen gonadotropina coriónica humana (subunidad beta).
  • 75.
    Neoplasia testicular primaria másfrecuente en menores de 3 años. Macroscópicamente grandes y bien delimitados. Tumores del Saco Vitelino: Histológicamente revela células epiteliales cubicas que forman Microquistes, glándulas y papilas.
  • 77.
    Teratoma (5%). Tanto enniños como en adultos. Más de una capa de cels germinales en varios estadios de maduración y diferenciación. Macroscópicamente, tumor lobulado con quistes de tamaño variable llenos con material gelatinoso. Puede estar compuesto por tejidos maduros y bien diferenciados (teratomas maduros) o en un estado más embrionario o menos diferenciados (teratomas inmaduros).
  • 78.
    Gran tamaño (diámetro de 5a10 cm). Contenido heterogéneo Áreas solidas, cartilaginosas y quísticas
  • 80.
    Coriocarcinoma (1%) Lesiones pequeñas dentro del testículo. Hemorragia centralen inspección macroscópica. Clínicamente de carácter agresivo, diseminación hematógena temprana. Tipo celular mixto (40%) La mayor parte, teratocarcinomas (teratoma + carcinoma embrionario). Coriocarcinoma. No causan aumento del tamaño testicular y son detectados como nódulos palpables pequeños.
  • 82.
    Estadificación clínica: Estadio I lesión confinada al testículo. Estadio II  compromiso ganglionar retroperitoneal (IIA < 2 cm, IIB > 2 cm) Estadio III  compromiso nodular supradiafragmático o compromiso visceral. Boden y Gibbs.
  • 83.
    Datos Clínicos: • Crecimientoindoloro del testículo. • Inflamación miembros inferiores (Obstrucción venocaval). • 10% asintomáticos. Síntomas • Tumor firme e indoloro. • Epidídimo delimitado con facilidad. • Se realiza transiluminación del escroto para distinguir entre líquido y sólido. Signos
  • 84.
    Imagenología: USG escrotal si el tumor es intratesticular. Distinguir el tumor de patología epididimaria. Facilitar exploración testicular en presencia de hidrocele. Rx tórax y TC de abdomen y pelvis  metástasis.
  • 88.
    Tratamiento: Si no sepuede excluir el cáncer, con el estudio del testículo, la orquiectomía radical está justificada. Deben evitarse los abordajes escrotales y las biopsias testiculares abiertas. Tx posterior dependerá de características histológicas del tumor, así como del estadio clínico.
  • 89.
    • Intensamente radiosensible. •95% se curan con orquiectomía radical y radiación retroperitoneal. • Quimioterapia utilizada como tx de salvamiento en pacientes que recaen después de radiación. Estadio Bajo. • Quimioterapia primaria. • Cisplatino, etopósido y bleomicina (PEB). • Vinblastina, ciclofosfamida, dactinomicina, bleomicina y cisplatino. Estadio Alto. Tratamiento.
  • 90.
    • Vigilancia (mensualmente durante losdos primeros años y cada 2 meses en el tercer año. • Disección Ganglionar Linfática RetroPeritoneal (DGLRP). Tumores de células germinales no seminomatosos de estadio bajo. • Quimioterapia primaria posterior a orquiectomía. Tumores de células germinales no seminomatosos de estadio alto. Tratamiento.
  • 91.
  • 92.
    Tumor de célulasde Leydig. Tumor más común del testículo en esta categoría. 1-3% de todos los tumores de testículo. Causa desconocida. No hay asociación con criptorquidia.
  • 93.
    Tumor de célulasde Leydig. Estudio patológico  lesión pequeña, amarilla, bien circunscrita, libre de hemorragia o necrosis. Microscópicamente  células hexagonales con citoplasma granular y eosinofílico.
  • 94.
    Datos clínicos:  Niñosen etapa prepuberal  virilización y tumores benignos.  Adultos asintomáticos (20-25% ginecomastia).  Tratamiento: Orquiectomía radical. DGLRP en lesiones malignas.
  • 95.
    TumordecélulasdeSertoli. Extremadamente raros. Menosdel 1% de todos los tumores de testículo. Menores de 1 año y 20-45 años. 10% lesiones malignas. Lesión amarilla ó gris blanquecina con quistes. Lesiones benignas bien circunscritas. Lesiones malignas bordes mal definidos.
  • 96.

Notas del editor

  • #57 Células germinales con migración anormal.