Dr. Hugo Tasayco GoginDr. Hugo Tasayco Gogin
Médico NefrólogoMédico Nefrólogo
https://www.youtube.com/watch?
v=R8Y02u51Cm4
Síndrome NefríticoSíndrome Nefrítico
El síndrome nefrítico es laEl síndrome nefrítico es la
expresión clínica de laexpresión clínica de la
inflamación glomerularinflamación glomerular
aguda - o subaguda.aguda - o subaguda.
DefiniciónDefinición
Aparición deAparición de hematuria,hematuria, proteinuria yproteinuria y
caída aguda de la velocidad de filtracióncaída aguda de la velocidad de filtración
glomerularglomerular
Consecuencia:Consecuencia: oliguria, edema eoliguria, edema e
hipertensiónhipertensión
Pronóstico variablePronóstico variable
-- curacióncuración
- cronicidad- cronicidad
EtiologíaEtiología
EnfermedadesEnfermedades infecciosasinfecciosas
-GMNA-GMNA post estreptocócicapost estreptocócica
-GMNA-GMNA no estreptocócica*no estreptocócica*
ºº endocarditis bacterianaendocarditis bacteriana
ºº sepsissepsis
º neumoníaº neumonía neumocócicaneumocócica
GlomerulopatíasGlomerulopatías primitivasprimitivas
EnfermedadesEnfermedades sistémicassistémicas
Epidemiología - PatogeniaEpidemiología - Patogenia
Niños 9 meses - 10 años.Niños 9 meses - 10 años.
Mayor frecuenciaMayor frecuencia entre 2 y 4 años.entre 2 y 4 años.
proporciónproporción de 2: 1de 2: 1
ProteinuriaProteinuria caracteristica fundamentalcaracteristica fundamental
MecanismoMecanismo en relación a respuestaen relación a respuesta
inmunitaria.inmunitaria.
Proteinuria resultadoProteinuria resultado acción tóxica deacción tóxica de
linfocina.(inflamaciòn)linfocina.(inflamaciòn)
EventosEventos
Hematuria tipoHematuria tipo glomerularglomerular (cambios de la(cambios de la
permeabilidad glomerular?permeabilidad glomerular? yy ruptura deruptura de
membrana basalmembrana basal.),.), escape de albúmina yescape de albúmina y
eritrocitos …del glomerulocapilareritrocitos …del glomerulocapilar
LaLa reducción del VFGreducción del VFG causacausa balancebalance
positivo del Na y grado variable depositivo del Na y grado variable de
retención nitrogenada****retención nitrogenada****
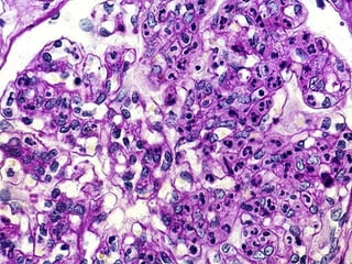
HistopatologíaHistopatología
LesionesLesiones glomerulares mínimas.glomerulares mínimas.
Fusión de podocitos.(inflamacionFusión de podocitos.(inflamacion ))
Proliferación mesangialProliferación mesangial moderada.moderada.
Inmunofluorescencia negativaInmunofluorescencia negativa
Alteraciones histológicasAlteraciones histológicas
ProliferaciónProliferación celularcelular
Infiltración leucocitariaInfiltración leucocitaria
Engrosamiento/alteración MBGEngrosamiento/alteración MBG
Hialinización o esclerosisHialinización o esclerosis
P-I-E-HP-I-E-H
1º1ºFlujo plasmático renal y VFGFlujo plasmático renal y VFG estánestán
variablementevariablemente afectadosafectados debido a ladebido a la
obstrucción vascularobstrucción vascular durante estedurante este
proceso inflamatorio.***proceso inflamatorio.***
2ºSe agrega contracción mesangial2ºSe agrega contracción mesangial yy
vasoconstricción intrarrenalvasoconstricción intrarrenal por predominiopor predominio
de sustancias vasoconstrictoras sobrede sustancias vasoconstrictoras sobre
vasodilatadorasvasodilatadoras
Fisiopatología
EL HALLAZGO DEEL HALLAZGO DE CILINDROS HEMATICOSCILINDROS HEMATICOS EN ELEN EL
SEDIMENTO URINARIOSEDIMENTO URINARIO SUGIERE CLARAMENTESUGIERE CLARAMENTE
HEMORRAGIA DE ORIGENHEMORRAGIA DE ORIGEN GLOMERULARGLOMERULAR Y TIENEY TIENE
POR LO TANTO UN GRAN VALOR DIAGNOSTICO.POR LO TANTO UN GRAN VALOR DIAGNOSTICO.
Fisiopatología
HEMATURIA Y CILINDRURIAHEMATURIA Y CILINDRURIA..
 EL ELEMENTO BASICO DELEL ELEMENTO BASICO DEL SINDROME NEFRITICOSINDROME NEFRITICO
AGUDO ES LA DETECCION DEAGUDO ES LA DETECCION DE ERITROCITOSERITROCITOS ,,
CILINDROS HEMATICOSCILINDROS HEMATICOS YY OTROS TIPOS DEOTROS TIPOS DE
CILINDROS EN EL SEDIMENTO URINARIO.CILINDROS EN EL SEDIMENTO URINARIO.
Fisiopatología
 Como consecuencia a laComo consecuencia a la reducción de VFGreducción de VFG ee
intensointenso estímuloestímulo para lapara la reabsorción tubularreabsorción tubular
de Na+ y aguade Na+ y agua (retención hidrosalina),(retención hidrosalina), sese
activa SRAA.activa SRAA.
 Expansión deExpansión de LEC,LEC, Edema(intravasc)Edema(intravasc) ee
Hipertensión(intersticial)Hipertensión(intersticial) son lasson las
consecuencias sistémicas de este proceso.consecuencias sistémicas de este proceso.
 LasLas modificaciones urinarias visiblesmodificaciones urinarias visibles alal
sedimeto (sedimeto (hematuria,hematuria, proteinuriaproteinuria) reflejan el) reflejan el
proceso inflamatorio intrarrenalproceso inflamatorio intrarrenal
Fisiopatología
PROTEINURIA.PROTEINURIA.
LA PROTEINURIA PUEDE VARIAR DE 150MG/DIA ALA PROTEINURIA PUEDE VARIAR DE 150MG/DIA A
MENOS DE 3 G/DIA.MENOS DE 3 G/DIA.
LA PROTEINA URINARIA CONSISTELA PROTEINA URINARIA CONSISTE DE 1/3 DEDE 1/3 DE
ALBUMINA Y DE 2/3 DE GLOBULINA.**ALBUMINA Y DE 2/3 DE GLOBULINA.**
ELEL AUMENTO DEAUMENTO DE EXCRECION DE ALBUMINAEXCRECION DE ALBUMINA SESE
DEBE A UNDEBE A UN INCREMENTO EN LA PERMEABILIDADINCREMENTO EN LA PERMEABILIDAD
EN LA PARED DEL CAPILAR GLOMERULAR.EN LA PARED DEL CAPILAR GLOMERULAR.
Fisiopatología
EDEMA.EDEMA.
 POR LAPOR LA RETENCION RENAL DE SODIO Y AGUA.RETENCION RENAL DE SODIO Y AGUA.
 HAYHAY DOS MECANISMOS.DOS MECANISMOS.
A)A) REDUCCIONREDUCCION VARIABLEVARIABLE EN LAEN LA TASA DE FILTRACIONTASA DE FILTRACION
GLOMERULAR.GLOMERULAR.
B) POR UNAB) POR UNA REABSORCION TUBULARREABSORCION TUBULAR
AUMENTADA DEAUMENTADA DE
SODIO Y AGUA.****SODIO Y AGUA.****
Fisiopatología
HIPERTENSION ARTERIAL.HIPERTENSION ARTERIAL.
 ES UN COMPONENTE CLINICO COMUNES UN COMPONENTE CLINICO COMUN ADICIONAL.ADICIONAL.
 PARTICIPAN FACTORES RELACIONADOS CON ELPARTICIPAN FACTORES RELACIONADOS CON EL
VOLUMEN Y LA VASOCONTRICCION.VOLUMEN Y LA VASOCONTRICCION.
 SE DEBE PREDOMINANTEMENTE A UNASE DEBE PREDOMINANTEMENTE A UNA
RETENCION DE LIQUIDO.RETENCION DE LIQUIDO.
Fisiopatología
INSUFICIENCIA RENAL.INSUFICIENCIA RENAL.
 LALA TASA DE FILTRACION GLOMERULAR ESTATASA DE FILTRACION GLOMERULAR ESTA
DISMINUIDADISMINUIDA Y CONDUCE A UNY CONDUCE A UN AUMENTO EN LASAUMENTO EN LAS
CONCENTRACIONES SERICAS DECONCENTRACIONES SERICAS DE NITROGENONITROGENO
UREMICO Y CREATININA.***UREMICO Y CREATININA.***
 DISMINUCION DEL FLUJO SANGUINEODISMINUCION DEL FLUJO SANGUINEO
GLOMERULARGLOMERULAR..
Fisiopatología
 DISMINUCION DE LOS GRADIENTES DE PRESIONDISMINUCION DE LOS GRADIENTES DE PRESION
HIDRAULICAHIDRAULICA GLOMERULAR TRANSCAPILAR.GLOMERULAR TRANSCAPILAR.
 DISMINUCION DELDISMINUCION DEL COEFICIENTE DECOEFICIENTE DE
PERMEABILIDAD GLOMERULAR.PERMEABILIDAD GLOMERULAR.
 LALA INSUFICIENCIA RENALINSUFICIENCIA RENAL CASI SIEMPRE ESCASI SIEMPRE ES
TRANSITORIATRANSITORIA , PERO PUEDE APARECER UNA, PERO PUEDE APARECER UNA
INSUFIENCIA RENAL PROGRESIVA.INSUFIENCIA RENAL PROGRESIVA.
Fisiopatología
Sedimento urinarioSedimento urinario
Clínica**Clínica**
Hematuria glomerularHematuria glomerular
OliguriaOliguria
Retención nitrogenadaRetención nitrogenada
Edema …intersticialEdema …intersticial
Hipertensión …..intravascularHipertensión …..intravascular
INFECCION PREVIA*****
Antecedentes de infección de las vías respiratoria, o
la piel, con un porcentaje de desarrollar nefritis con
un serotipo nefritogénico es de un 10 al 15%
Cuadro ClínicoCuadro Clínico
Decaído -pálido-Decaído -pálido- , anorexico sin, anorexico sin
deseos de jugardeseos de jugar
Cefalea-dolor abdominal-vómitosCefalea-dolor abdominal-vómitos
Proteinuria marcada +Proteinuria marcada +
HTA ....10%HTA ....10%
Hematuria macro y microscópica.Hematuria macro y microscópica.
ICC por hipervolemia.**ICC por hipervolemia.**
Oliguria...5%....IRAOliguria...5%....IRA
• Caída F.G y Na/ UCaída F.G y Na/ U. Densidad urinaria. Densidad urinaria
conservadaconservada
• Elevación :Elevación : ASO, Estreptokinasa, Anti-ASO, Estreptokinasa, Anti-
DNAasa.DNAasa. IgG, IgM ..A,E,IIgG, IgM ..A,E,I
• Crioglobulinas Policlonales IgG y IgM yCrioglobulinas Policlonales IgG y IgM y
PDF urinario. Inmuno Complejos CircPDF urinario. Inmuno Complejos Circ ++
• CaídaCaída CH50 y C3.CH50 y C3.
• MortalidadMortalidad 1 % niños ; 25 % ancianos1 % niños ; 25 % ancianos..
DiagnósticoDiagnóstico
Elevación creatinina 1-2mg/dlElevación creatinina 1-2mg/dl
Disminución de C3 y C4Disminución de C3 y C4
CH3CH3 disminuido?disminuido?
ElevaciónElevación ASOASO.......post faringitis........post faringitis.
ElevaciónElevación
antiADNasaantiADNasa.......postimpétigo.......postimpétigo
Disminuyen 3- 4 mesesDisminuyen 3- 4 meses
pronóstico bueno a largo plazo.pronóstico bueno a largo plazo.
DiagnósticoDiagnóstico
Según la edadSegún la edad
< de 15 años< de 15 años :: Post estreptocócicaPost estreptocócica
– SHU - púrpura de H. Schönlein– SHU - púrpura de H. Schönlein
Entre 15 y 50 añosEntre 15 y 50 años : GMN: GMN IgAIgA-GMN-GMN lúpicalúpica
-- Post infecciosaPost infecciosa
> de 50 años> de 50 años:: vasculitis- idiopática-vasculitis- idiopática-
síndrome de goodpasture - enfermedadsíndrome de goodpasture - enfermedad
de Wenegerde Weneger
DiagnósticoDiagnóstico
Inmunológico:Inmunológico:
- anti- antiASOASO
- fracción 3 del complemento- fracción 3 del complemento (C3)(C3)
- anticuerpos antinucleares- anticuerpos antinucleares (ANA)(ANA)
- anticuerpos anticitoplasma de neutrófilos- anticuerpos anticitoplasma de neutrófilos
(ANCA)(ANCA)
Biopsia renal si causa no es claraBiopsia renal si causa no es clara
 Encefalopatia Hipertensiva .........25%
 HTA ligera..................................75%
 ICC: hipervolemia-ingurgitación yugular
taquicardia.
 Encefalopatía HTA + Convulsiones(20%)
 Persistencia de Azoados.............GMNRP
Duración de SignosDuración de Signos
 Edema y oilguriaEdema y oilguria .................. 1.................. 1
semanasemana
 HTAHTA...................................... 1...................................... 1
semanasemana
 HematuriaHematuria.............................1.............................1
semanasemana
 Proteinuria ...........................4Proteinuria ...........................4
semanassemanas
 Azoemia................................4Azoemia................................4
semanassemanas
TratamientoTratamiento
Sintomático:Sintomático: control decontrol de
complicacionescomplicaciones
Control estricto ingesta líquidos**Control estricto ingesta líquidos**
DietaDieta 0,5gr/Kg.0,5gr/Kg.
Tratar edema-Tratar edema- congestióncongestión
circulatoriacirculatoria
Dx de HTA ..Dx de HTA .. aumento de Pad poraumento de Pad por
arriba del percentil 95arriba del percentil 95
ControlControl PAPA cada 6 horascada 6 horas
 Furosemida : 1-2 mg/Kg si PA >Furosemida : 1-2 mg/Kg si PA >
TratamientoTratamiento
 1ºFurosemida1ºFurosemida 5mg/Kg (EV) +5mg/Kg (EV) +
nifedipino 0.1mg/Kg(vo)nifedipino 0.1mg/Kg(vo)
 2ºHTA + convulsiones2ºHTA + convulsiones ……….…..Nitroprusiato……….…..Nitroprusiato
70mg/500cc DW = 5gt/minu + furosemida70mg/500cc DW = 5gt/minu + furosemida
 PNC benzatínicaPNC benzatínica 1´200,0001´200,000
 Criterio de curaciónCriterio de curación: controlar 1º: controlar 1ºHTA-2ºedemaHTA-2ºedema-IRA-IRA
 Pronóstico maloPronóstico malo………Proliferación extracapilar………Proliferación extracapilar

Síndrome nefrítico clase 2015

  • 1.
    Dr. Hugo TasaycoGoginDr. Hugo Tasayco Gogin Médico NefrólogoMédico Nefrólogo https://www.youtube.com/watch? v=R8Y02u51Cm4
  • 2.
    Síndrome NefríticoSíndrome Nefrítico Elsíndrome nefrítico es laEl síndrome nefrítico es la expresión clínica de laexpresión clínica de la inflamación glomerularinflamación glomerular aguda - o subaguda.aguda - o subaguda.
  • 4.
    DefiniciónDefinición Aparición deAparición dehematuria,hematuria, proteinuria yproteinuria y caída aguda de la velocidad de filtracióncaída aguda de la velocidad de filtración glomerularglomerular Consecuencia:Consecuencia: oliguria, edema eoliguria, edema e hipertensiónhipertensión Pronóstico variablePronóstico variable -- curacióncuración - cronicidad- cronicidad
  • 5.
    EtiologíaEtiología EnfermedadesEnfermedades infecciosasinfecciosas -GMNA-GMNA postestreptocócicapost estreptocócica -GMNA-GMNA no estreptocócica*no estreptocócica* ºº endocarditis bacterianaendocarditis bacteriana ºº sepsissepsis º neumoníaº neumonía neumocócicaneumocócica GlomerulopatíasGlomerulopatías primitivasprimitivas EnfermedadesEnfermedades sistémicassistémicas
  • 6.
    Epidemiología - PatogeniaEpidemiología- Patogenia Niños 9 meses - 10 años.Niños 9 meses - 10 años. Mayor frecuenciaMayor frecuencia entre 2 y 4 años.entre 2 y 4 años. proporciónproporción de 2: 1de 2: 1 ProteinuriaProteinuria caracteristica fundamentalcaracteristica fundamental MecanismoMecanismo en relación a respuestaen relación a respuesta inmunitaria.inmunitaria. Proteinuria resultadoProteinuria resultado acción tóxica deacción tóxica de linfocina.(inflamaciòn)linfocina.(inflamaciòn)
  • 7.
    EventosEventos Hematuria tipoHematuria tipoglomerularglomerular (cambios de la(cambios de la permeabilidad glomerular?permeabilidad glomerular? yy ruptura deruptura de membrana basalmembrana basal.),.), escape de albúmina yescape de albúmina y eritrocitos …del glomerulocapilareritrocitos …del glomerulocapilar LaLa reducción del VFGreducción del VFG causacausa balancebalance positivo del Na y grado variable depositivo del Na y grado variable de retención nitrogenada****retención nitrogenada****
  • 8.
    HistopatologíaHistopatología LesionesLesiones glomerulares mínimas.glomerularesmínimas. Fusión de podocitos.(inflamacionFusión de podocitos.(inflamacion )) Proliferación mesangialProliferación mesangial moderada.moderada. Inmunofluorescencia negativaInmunofluorescencia negativa
  • 10.
    Alteraciones histológicasAlteraciones histológicas ProliferaciónProliferacióncelularcelular Infiltración leucocitariaInfiltración leucocitaria Engrosamiento/alteración MBGEngrosamiento/alteración MBG Hialinización o esclerosisHialinización o esclerosis P-I-E-HP-I-E-H
  • 11.
    1º1ºFlujo plasmático renaly VFGFlujo plasmático renal y VFG estánestán variablementevariablemente afectadosafectados debido a ladebido a la obstrucción vascularobstrucción vascular durante estedurante este proceso inflamatorio.***proceso inflamatorio.*** 2ºSe agrega contracción mesangial2ºSe agrega contracción mesangial yy vasoconstricción intrarrenalvasoconstricción intrarrenal por predominiopor predominio de sustancias vasoconstrictoras sobrede sustancias vasoconstrictoras sobre vasodilatadorasvasodilatadoras Fisiopatología
  • 12.
    EL HALLAZGO DEELHALLAZGO DE CILINDROS HEMATICOSCILINDROS HEMATICOS EN ELEN EL SEDIMENTO URINARIOSEDIMENTO URINARIO SUGIERE CLARAMENTESUGIERE CLARAMENTE HEMORRAGIA DE ORIGENHEMORRAGIA DE ORIGEN GLOMERULARGLOMERULAR Y TIENEY TIENE POR LO TANTO UN GRAN VALOR DIAGNOSTICO.POR LO TANTO UN GRAN VALOR DIAGNOSTICO. Fisiopatología
  • 13.
    HEMATURIA Y CILINDRURIAHEMATURIAY CILINDRURIA..  EL ELEMENTO BASICO DELEL ELEMENTO BASICO DEL SINDROME NEFRITICOSINDROME NEFRITICO AGUDO ES LA DETECCION DEAGUDO ES LA DETECCION DE ERITROCITOSERITROCITOS ,, CILINDROS HEMATICOSCILINDROS HEMATICOS YY OTROS TIPOS DEOTROS TIPOS DE CILINDROS EN EL SEDIMENTO URINARIO.CILINDROS EN EL SEDIMENTO URINARIO. Fisiopatología
  • 14.
     Como consecuenciaa laComo consecuencia a la reducción de VFGreducción de VFG ee intensointenso estímuloestímulo para lapara la reabsorción tubularreabsorción tubular de Na+ y aguade Na+ y agua (retención hidrosalina),(retención hidrosalina), sese activa SRAA.activa SRAA.  Expansión deExpansión de LEC,LEC, Edema(intravasc)Edema(intravasc) ee Hipertensión(intersticial)Hipertensión(intersticial) son lasson las consecuencias sistémicas de este proceso.consecuencias sistémicas de este proceso.  LasLas modificaciones urinarias visiblesmodificaciones urinarias visibles alal sedimeto (sedimeto (hematuria,hematuria, proteinuriaproteinuria) reflejan el) reflejan el proceso inflamatorio intrarrenalproceso inflamatorio intrarrenal Fisiopatología
  • 15.
    PROTEINURIA.PROTEINURIA. LA PROTEINURIA PUEDEVARIAR DE 150MG/DIA ALA PROTEINURIA PUEDE VARIAR DE 150MG/DIA A MENOS DE 3 G/DIA.MENOS DE 3 G/DIA. LA PROTEINA URINARIA CONSISTELA PROTEINA URINARIA CONSISTE DE 1/3 DEDE 1/3 DE ALBUMINA Y DE 2/3 DE GLOBULINA.**ALBUMINA Y DE 2/3 DE GLOBULINA.** ELEL AUMENTO DEAUMENTO DE EXCRECION DE ALBUMINAEXCRECION DE ALBUMINA SESE DEBE A UNDEBE A UN INCREMENTO EN LA PERMEABILIDADINCREMENTO EN LA PERMEABILIDAD EN LA PARED DEL CAPILAR GLOMERULAR.EN LA PARED DEL CAPILAR GLOMERULAR. Fisiopatología
  • 16.
    EDEMA.EDEMA.  POR LAPORLA RETENCION RENAL DE SODIO Y AGUA.RETENCION RENAL DE SODIO Y AGUA.  HAYHAY DOS MECANISMOS.DOS MECANISMOS. A)A) REDUCCIONREDUCCION VARIABLEVARIABLE EN LAEN LA TASA DE FILTRACIONTASA DE FILTRACION GLOMERULAR.GLOMERULAR. B) POR UNAB) POR UNA REABSORCION TUBULARREABSORCION TUBULAR AUMENTADA DEAUMENTADA DE SODIO Y AGUA.****SODIO Y AGUA.**** Fisiopatología
  • 17.
    HIPERTENSION ARTERIAL.HIPERTENSION ARTERIAL. ES UN COMPONENTE CLINICO COMUNES UN COMPONENTE CLINICO COMUN ADICIONAL.ADICIONAL.  PARTICIPAN FACTORES RELACIONADOS CON ELPARTICIPAN FACTORES RELACIONADOS CON EL VOLUMEN Y LA VASOCONTRICCION.VOLUMEN Y LA VASOCONTRICCION.  SE DEBE PREDOMINANTEMENTE A UNASE DEBE PREDOMINANTEMENTE A UNA RETENCION DE LIQUIDO.RETENCION DE LIQUIDO. Fisiopatología
  • 18.
    INSUFICIENCIA RENAL.INSUFICIENCIA RENAL. LALA TASA DE FILTRACION GLOMERULAR ESTATASA DE FILTRACION GLOMERULAR ESTA DISMINUIDADISMINUIDA Y CONDUCE A UNY CONDUCE A UN AUMENTO EN LASAUMENTO EN LAS CONCENTRACIONES SERICAS DECONCENTRACIONES SERICAS DE NITROGENONITROGENO UREMICO Y CREATININA.***UREMICO Y CREATININA.***  DISMINUCION DEL FLUJO SANGUINEODISMINUCION DEL FLUJO SANGUINEO GLOMERULARGLOMERULAR.. Fisiopatología
  • 19.
     DISMINUCION DELOS GRADIENTES DE PRESIONDISMINUCION DE LOS GRADIENTES DE PRESION HIDRAULICAHIDRAULICA GLOMERULAR TRANSCAPILAR.GLOMERULAR TRANSCAPILAR.  DISMINUCION DELDISMINUCION DEL COEFICIENTE DECOEFICIENTE DE PERMEABILIDAD GLOMERULAR.PERMEABILIDAD GLOMERULAR.  LALA INSUFICIENCIA RENALINSUFICIENCIA RENAL CASI SIEMPRE ESCASI SIEMPRE ES TRANSITORIATRANSITORIA , PERO PUEDE APARECER UNA, PERO PUEDE APARECER UNA INSUFIENCIA RENAL PROGRESIVA.INSUFIENCIA RENAL PROGRESIVA. Fisiopatología
  • 20.
  • 21.
    Clínica**Clínica** Hematuria glomerularHematuria glomerular OliguriaOliguria RetenciónnitrogenadaRetención nitrogenada Edema …intersticialEdema …intersticial Hipertensión …..intravascularHipertensión …..intravascular
  • 22.
    INFECCION PREVIA***** Antecedentes deinfección de las vías respiratoria, o la piel, con un porcentaje de desarrollar nefritis con un serotipo nefritogénico es de un 10 al 15%
  • 23.
    Cuadro ClínicoCuadro Clínico Decaído-pálido-Decaído -pálido- , anorexico sin, anorexico sin deseos de jugardeseos de jugar Cefalea-dolor abdominal-vómitosCefalea-dolor abdominal-vómitos Proteinuria marcada +Proteinuria marcada + HTA ....10%HTA ....10% Hematuria macro y microscópica.Hematuria macro y microscópica. ICC por hipervolemia.**ICC por hipervolemia.** Oliguria...5%....IRAOliguria...5%....IRA
  • 24.
    • Caída F.Gy Na/ UCaída F.G y Na/ U. Densidad urinaria. Densidad urinaria conservadaconservada • Elevación :Elevación : ASO, Estreptokinasa, Anti-ASO, Estreptokinasa, Anti- DNAasa.DNAasa. IgG, IgM ..A,E,IIgG, IgM ..A,E,I • Crioglobulinas Policlonales IgG y IgM yCrioglobulinas Policlonales IgG y IgM y PDF urinario. Inmuno Complejos CircPDF urinario. Inmuno Complejos Circ ++ • CaídaCaída CH50 y C3.CH50 y C3. • MortalidadMortalidad 1 % niños ; 25 % ancianos1 % niños ; 25 % ancianos..
  • 25.
    DiagnósticoDiagnóstico Elevación creatinina 1-2mg/dlElevacióncreatinina 1-2mg/dl Disminución de C3 y C4Disminución de C3 y C4 CH3CH3 disminuido?disminuido? ElevaciónElevación ASOASO.......post faringitis........post faringitis. ElevaciónElevación antiADNasaantiADNasa.......postimpétigo.......postimpétigo Disminuyen 3- 4 mesesDisminuyen 3- 4 meses pronóstico bueno a largo plazo.pronóstico bueno a largo plazo.
  • 26.
    DiagnósticoDiagnóstico Según la edadSegúnla edad < de 15 años< de 15 años :: Post estreptocócicaPost estreptocócica – SHU - púrpura de H. Schönlein– SHU - púrpura de H. Schönlein Entre 15 y 50 añosEntre 15 y 50 años : GMN: GMN IgAIgA-GMN-GMN lúpicalúpica -- Post infecciosaPost infecciosa > de 50 años> de 50 años:: vasculitis- idiopática-vasculitis- idiopática- síndrome de goodpasture - enfermedadsíndrome de goodpasture - enfermedad de Wenegerde Weneger
  • 27.
    DiagnósticoDiagnóstico Inmunológico:Inmunológico: - anti- antiASOASO -fracción 3 del complemento- fracción 3 del complemento (C3)(C3) - anticuerpos antinucleares- anticuerpos antinucleares (ANA)(ANA) - anticuerpos anticitoplasma de neutrófilos- anticuerpos anticitoplasma de neutrófilos (ANCA)(ANCA) Biopsia renal si causa no es claraBiopsia renal si causa no es clara
  • 28.
     Encefalopatia Hipertensiva.........25%  HTA ligera..................................75%  ICC: hipervolemia-ingurgitación yugular taquicardia.  Encefalopatía HTA + Convulsiones(20%)  Persistencia de Azoados.............GMNRP
  • 29.
    Duración de SignosDuraciónde Signos  Edema y oilguriaEdema y oilguria .................. 1.................. 1 semanasemana  HTAHTA...................................... 1...................................... 1 semanasemana  HematuriaHematuria.............................1.............................1 semanasemana  Proteinuria ...........................4Proteinuria ...........................4 semanassemanas  Azoemia................................4Azoemia................................4 semanassemanas
  • 30.
    TratamientoTratamiento Sintomático:Sintomático: control decontrolde complicacionescomplicaciones Control estricto ingesta líquidos**Control estricto ingesta líquidos** DietaDieta 0,5gr/Kg.0,5gr/Kg. Tratar edema-Tratar edema- congestióncongestión circulatoriacirculatoria Dx de HTA ..Dx de HTA .. aumento de Pad poraumento de Pad por arriba del percentil 95arriba del percentil 95 ControlControl PAPA cada 6 horascada 6 horas  Furosemida : 1-2 mg/Kg si PA >Furosemida : 1-2 mg/Kg si PA >
  • 31.
    TratamientoTratamiento  1ºFurosemida1ºFurosemida 5mg/Kg(EV) +5mg/Kg (EV) + nifedipino 0.1mg/Kg(vo)nifedipino 0.1mg/Kg(vo)  2ºHTA + convulsiones2ºHTA + convulsiones ……….…..Nitroprusiato……….…..Nitroprusiato 70mg/500cc DW = 5gt/minu + furosemida70mg/500cc DW = 5gt/minu + furosemida  PNC benzatínicaPNC benzatínica 1´200,0001´200,000  Criterio de curaciónCriterio de curación: controlar 1º: controlar 1ºHTA-2ºedemaHTA-2ºedema-IRA-IRA  Pronóstico maloPronóstico malo………Proliferación extracapilar………Proliferación extracapilar