Enfoque clínico
      de las
Glomerulonefritis

                  Héctor Daniel Sarano
       Prof.Adj. Nefrología . Facultad de Cs.Ms. UNR
      Director Carrera de Nefrólogo Universitario. UNR
J.L., varón , 19 años, estudiante
En la tarde de la víspera comenzó con orinas oscuras de
color borravino que se mantuvieron hasta el momento de
la consulta
Decaído y con cefalea frontal desde hace 2 días.
Al levantarse observó edemas faciales en párpados y
labios
Hace 20 días tuvo otitis derecha supurada, medicado con
ATB sin haber completado el tiempo indicado
  Fascie edematizada , blando , frío, indoloro . 160/90

Hto: 39 % Creatininemia 1.2 mg%
Orina: Aspecto hemático .Densidad 1025. pH 6. Proteínas 0.40 gr/L
       Hemoglobina ++++. Sedimento: Hematíes ++++
       Cilindros hemáticos abundantes

           ECO renal: Riñones de 130 x 65 x 40 mm
L.F., mujer , 23 años, cocinera
Desde hace 2 días tiene hematuria indolora, sin coágulos.
Está cursando cuadro de anginas, con fiebre de 38°
En el último año ha tenido 2 episodios similares, que se
resolvieron espontáneamente en 3 días.
Un análisis de orina hace 1 mes reveló microhematuria

            120/70, anginas rojas, resto s/p

Hto 41 %, creatininemia 0.8 mg%
Orina: Aspecto hemático, densidad 1020, pH 5.8. Proteínas 2.4 gr/L
       Hb: +++. Sedimento: campo cubierto de hematíes dismórficos


           ECO renal: Riñones de 116 x 52 x 38 mm
D.G, varón, 30 años, oficinista
Desde hace 15 días manifiesta adinamia, fatiga, anorexia,
con febrícula.
Desde hace 1 semana edemas en cara matinal y en MMII
vespertinos
Desde hace 2 días náuseas y vómitos alimenticios, tos con
esputo hemoptoico
Mal estado general, disneico, pálido, edemas en fascie y
MMII, 150/95

 Hto: 23 %. Creatininemia 4,5 mg%
 Orina: Aspecto turbio. Densidad 1014. pH 5.6. Proteínas 1,3 gr/L
        Hb +++. Sedimento: Hematíes +++. Cilindros hemáticos


         ECO renal: Riñones de 115 x 54 x 39 mm
                    Aumento de ecogenicidad cortical
N.M., mujer, 35 años, ama de casa
Desde hace 2 meses refiere edemas en cara y MMII que
se han incrementado.
Desde hace 1 año padece de poliartritis de articulaciones
medianas y pequeñas, con episodios febriles, alopecía y
úlceras en la boca y nariz

         Edemas en cara, MMII, ascitis. 140/100

Hto 34%, creatininemia 1.8 mg%
Orina: Ligeramente turbia, Densidad 1027 ,pH 5.2, Proteínas 6 gr/L
       Hb+++.Sedimento. Cilindros hialino granulosos ++
       Cilindros epiteliales ++. Cilindros hemáticos ++.
       Cuerpos ovales grasos ++

         ECO renal: Riñones de 110 x 50 x 31 mm
                    Aumento de ecogenicidad cortical
GLOMERULONEFRITIS
Enfermedades caracterizadas por:


        1. Cambios inflamatorios de los capilares glomerulares


        2. Síndrome nefrítico
                   Hematuria – Proteinuria
                   Disminución de la función renal
                   Retención de líquidos
                   Hipertensión arterial
                   Edemas
Eumórficos
HEMATIES




           Dismórficos
Hematíes en
los túbulos




Cilindro
hemático
GLOMERULONEFRITIS
                     Prevalencia


      Causas de IRCT:        1. Diabetes
                             2. Hipertensión
                             3. Glomerulonefritis




      Por cada paciente con GNF clínica aparente,
enfermedad subclínica no diagnosticada : 5 – 10 pacientes
GLOMERULONEFRITIS
               ETIOLOGIA

1. Desconocida
2. Bacterias ( estreptococo beta hemolítico)
3. Virus     ( hepatitis C)

Desencadenan respuesta autoinmune
               Formación de complejos inmunes

               Respuesta inmune mediada por células
Depósito de anticuerpos


Mecanismos inmunes                                         Activación del
mediados por células                                       complemento


                              Glomerulonefritis
Infiltración             Activación de cél. residentes                Alteraciones
leucocitaria                Cambios en la matriz                     hemodinámicas



    Factores genéticos                                   Síntesis de citoquinas y
                                                         factores de crecimiento
                                    Interruptor
                                      si - no
   Inflamación persistente                               Escape de moléculas
                                                       inflamatorias y leucocitos


                  Cicatrización                    Resolución
GLOMERULONEFRITIS
                     DAÑO GLOMERULAR
Fase aguda
Reacción inmune : activación de mediadores de injuria tisular
Complemento: factores quimiotácticos . Reclutamiento leucocitario
C5b9: daño en células glomerulares
Factores coagulación: depósito de fibrina – formación de semilunas
Liberación local y sistémica de factores de crecimiento y citoquinas
Fase crónica
Sobreproducción de oxidantes – proteasas
Cambios fenotípicos
Sobreproducción de matriz extracelular
Alteraciones permanentes de función renal
Mecanismos no inmunológicos : hiperfiltración, hipertensión
                              intraglomerular, stress intravascular
GLOMERULONEFRITIS
1. Enfermedad renal primaria
                       GNF post infecciosa
                       Nefropatía por IgA
                       GNF Rápidamente progresiva
                             Nefritis Anti MBG
                             GNF semilunar idiopática

 2. Manifestación de enfermedad sistémica

                        Lupus eritematoso sistémico
                        Púrpura de Shönlein – Henoch
                        Poliangeitis microscópica
                        Granulomatosis de Wegener
                        Crioglobulinemia mixta esencial
GLOMERULONEFRITIS
PRESENTACION - CLINICA - DIAGNOSTICO



       1. Historia clínica

       2. Examen de orina

       3. Evaluación serológica

       4. Biopsia renal ( si – no )
GLOMERULONEFRITIS
  Marcadores serológicos útiles para el diagnóstico

Glomerulonefritis primaria Marcadores serológicos


 GNF post infecciosa           Anticuerpos estreptocócicos
                               Complemento disminuído


 Nefropatía por IgA            No anormalidades serológicas


 GNF RP
    Nefritis anti MBG          Anti MBG, Anca (+) 30%
    GNF semilunar idiopática   Anca p, Anca c (+)
GLOMERULONEFRITIS
    Marcadores serológicos útiles para el diagnóstico

GNF en enf. sistémicas     Marcadores serológicos


     LES                  FAN, anti DNA,    complemento
     PSH                  No anormalidades serológicas
     PAM                  Anca c y p
     Wegener              Anca c
     Crioglobulinemia     Crioglobulinas (+), FR,
      mixta esencial         complemento
                          HCV, Hepatitis C RNA
Interpretación de estudios serológicos en pacientes con GNF

Marcadores                          Interpretación


Anticuerpos estreptocócicos   (+) infección estreptocócica en
                                  3 meses previos
                              (+) no confirma serotipo nefritógeno


Anticuerpo antinuclear        (+)    anti DNA (LES)


Anti MBG                         Nefritis anti MBG
                                 Goodpasture (c/ hemorrag. pulm.)

                               Concentraciones // actividad enf.
Interpretación de estudios serológicos en pacientes con GNF
Marcadores                  Interpretación

ANCA             p,c    con vasculitis: PAM
                 c      con síntomas respiratorios: Wegener
                 p,c    sin síntomas agregados: GNF necrotizante

Anticuerpos C    + exposición a virus C
                 PCR + confirma enfermedad activa
                   C, crio + , FR: GNF MP asociado a hepatitis C

Complemento       CH50, C3 : GNF post infecciosa
                               GNF MP, LES
                   C1- C4 : GNF MP I , LES
                 = C1- C4 : GNF post estreptocócica,
                                GNF MP II
                 Niveles inversamente relacionados con actividad
Autoanticuerpos antineutrófilos citoplasmáticos


      C ANCA                       P ANCA
Patente citoplasmática        Patente perinuclear
  Anti proteinasa 3          Anti mieloperoxidasa
      PR3 Anca                    MPO Anca
Métodos diagnósticos serológicos para vasculitis
            Cada test requiere: Calidad – Precisión -Especificidad –
                                Sensibilidad – VPP - VPN
Casi nunca un diagnóstico se hace con test de laboratorio aislado , sino con un resultado
                 combinado de test y de hallazgos clínico patológicos
GLOMERULONEFRITIS

Hipocomplementémicas                    Normocomplementémicas

                       Enfermedades sistémicas
Lupus eritematoso sistémico             Poliarteritis nudosa
                (focal 75%)             Granulomatosis de Wegener
                (difusa 90%)            Vasculitis por hipersensibilidad
Crioglobulinemia        (85%)           Púrpura de Schönlein-Henoch
Endocarditis bacteriana (90%)           Sindrome de Goodpasture
Nefritis por shunt      (90%)

                         Enfermedades renales

GNF aguda postestreptocócica (90%)       Nefropatía por IgA
GNF Membrano Proliferativa               GNF RP idiopática
      Tipo I          (50 – 80 %)           Enfermedad anti MBG
      Tipo II         (80 – 90 %)           Pauci inmune
                                            Enf. por depósitos inmunes
GLOMERULONEFRITIS
              BIOPSIA RENAL


Presentación clásica
Marcadores serológicos típicos   NO NECESARIA
Función renal preservada



Confirmación diagnóstica
Actividad / cronicidad             NECESARIA
Reversibilidad potencial
GLOMERULONEFRITIS
        TERAPÉUTICA


a. Ninguna

b. Emergencia médica
       Diagnóstico
           y         URGENTE
       Terapéutica
Patentes estructurales básicas de
       Injuria Glomerular
1. Enfermedad de la célula epitelial
2. Glomeruloesclerosis Focal y Segmentaria
3. Nefropatía Membranosa
4. Glomerulonefritis Proliferativa Difusa ( exudativa )
5. Glomerulonefritis con Semilunas
6. Glomerulonefritis Proliferativa Mesangial
7. Glomerulonefritis Proliferativa Focal ( necrotizante )
8. Anormalidades de la Membrana Basal
9. Glomeruloesclerosis Focal Global
GLOMERULONEFRITIS
   PRESENTACION CLINICA


 Hematuria aislada
 Glomerulonefritis aguda
 GNF rápidamente progresiva
 Sindrome nefrótico
 Glomerulonefritis crónica
J.L., varón , 19 años, estudiante
En la tarde de la víspera comenzó con orinas oscuras de
color borravino que se mantuvieron hasta el momento de
la consulta
Decaído y con cefalea frontal desde hace 2 días.
Al levantarse observó edemas faciales en párpados y
labios
Hace 20 días tuvo otitis derecha supurada, medicado con
ATB sin haber completado el tiempo indicado
  Fascie edematizada , blanda , frío, indoloro . 160/90

Hto: 39 % Creatininemia 1.2 mg%
Orina: Aspecto hemático .Densidad 1025. pH 6. Proteínas 0.40 gr/L
       Hemoglobina ++++. Sedimento: Hematíes ++++
       Cilindros hemáticos abundantes

           ECO renal: Riñones de 130 x 65 x 40 mm
Glomerulonefritis aguda

 Cuadro clínico:
  Inicio agudo de hematuria variable
                  proteinuria
                  disminución del filtrado glomerular
                  retención de agua y sodio
                  congestión circulatoria
                  hipertensión
                  oliguria ocasional


 Tendencia a la recuperación espontánea


 Frecuente asociación con infección microbiana previa
Glomerulonefritis post infecciosa
Microorganismos identificados


  Estreptococo                  Treponema pallidum
  Estafilococo                  Brucella
  Neumococo                     Leptospira
  Enterobacterias               Salmonella
  Meningococo                   Yersinia
                                Rickettsia
                                Legionella
Glomerulonefritis post estreptocócica
                           Epidemiología
Estreptococo grupo A ( beta hemolítico )
Cepas 12, 1, 2, 3, 4, 18, 25, 49, 55, 57, 60. (nefritogénicos )
       31, 52, 56, 59, 61
Estreptococo grupo C ( zooepidemicus )

Países desarrollados : Disminución de frecuencia
Tercer mundo         : Igual incidencia

Post infecciones faríngeas - epidérmicas (esporádicas /epidémicas)

Más frecuente entre 2 - 12 años .
5 % < 2 años - 5 - 10 % > 40 años
Sexo: V / M 2 / 1
Glomerulonefritis post estreptocócica
                   Manifestaciones clínicas

   Infección precedente:
        Faringea : 1 - 2 semanas
        Cutánea : 3 - 6 semanas

   Inicio abrupto
   Rango de severidad variable / asintomático - IRA oligúrica


 Cuadro típico:
        Varón de 2 - 12 años
         Desarrollo súbito de edema palpebral - facial
                              orinas oscuras
                              hipertensión arterial
                              disminución del volumen de orina
Glomerulonefritis post estreptocócica
                 Manifestaciones clínicas

                               Niños (%)    Adultos (%)

 Hematuria                        100          100
     Macro                         33           33
     Micro                         66           66
 Proteinuria                       80           92
 Edema                             90           75
 Hipertensión                     60-80         83
 Oliguria                         10-50         58
 Disnea/Insuf. Cardíaca            <5           43
 Proteinuria Nefrótica              4           20
 Uremia                           25-40         83
 Mortalidad en período agudo        <1          25
Glomerulonefritis post estreptocócica
                         Laboratorio
Hematuria: Macroscópica 33 % - “ óxido “
          Cilindros hemáticos - Hematíes dismórficos > 80 %
          Células epiteliales - Leucocitos
          Cilindros hialinos, granulosos, leucocitarios (ocasionales)

Proteinuria : < 3 gr - 75 %
              < 500mg - 50 %
              Nefrótica : no selectiva

Filtrado glomerular : frecuentemente disminuído
FG < 50 % : retención hidrica - congestión circulatoria
Aumento de endotelina - PAN : retención de Sodio
Excreción fraccional de Na : < 0.5 %
Hiponatremia dilucional - Acidosis hiperclorémica con
hiperkalemia leve (ATR tipo IV)
Glomerulonefritis post estreptocócica
                        Laboratorio

Sistema del complemento:      Activación vía alternativa
    Disminución C3 - CH50      -    C4 normal
    Duración: 8 semanas
    Mayor persistencia: GN MP I-II - Endocarditis - LES - Sepsis
                        oculta - émbolos de colesterol - deficiencia
                        congénita - crioglobulinemia

Crioglobulinas circulantes ( tipo III ): fase aguda
Complejos inmunes circulantes
  Fibrinógeno - Factor VIII - Actividad plasmina : severidad
Glomerulonefritis post estreptocócica
                             Patogenia

  Morfología
  Clínica                 Enfermedad por complejos inmunes
  Serología
 Naturaleza precisa del sistema antígeno - anticuerpo : ?
  Antigenos estreptocócicos en glomérulo> activación complemento

                                             inducción de inflamación

Exoenzima estreptocóccica ( sialidasa ? ) : alteración de IgG autóloga

Complejos : forma alterada de IgG autóloga e IgG a estos determinantes
            alterados o neoantigénicos
Glomerulonefritis post estreptocócica
                         Histopatología

 Microscopía de luz:

 Glomérulos exangues - hipercelulares - llenan espacio de Bowman
 Luces capilares ocluídas por proliferación mesangial y endotelial
 Grados variables de infiltración polimorfonuclear, monocitos y
 eosinófilos
 Paredes capilares delgadas y delicadas
 Depósitos en lado epitelial de MB (Tricrómica de Masson)
 Hematíes en espacio de Bowman y luces tubulares

Glomerulonefritis proliferativa difusa y generalizada endocapilar
GNF post infecciosa
Glomerulonefritis post estreptocócica
                             Histopatología

 Inmunofluorescencia

· Patente cielo estrellado ( 30 % ).
       Depósitos de Ig - C3 difusos e irregulares en pared capilar
       y mesangio.
       (Primeras 2 semanas de enfermedad - asociada con
       hipercelularidad endotelial -mesangial e infiltración leucocitaria)
· Patente mesangial ( 45 % ).
       Depósitos de Ig - C3 en región mesangial
       (Personas jóvenes - asociado a pronóstico favorable)
. Patente en guirnalda ( 25 % ).
       Depósitos de Ig - C3 paredes capilares periféricas con pocos
       depósitos mesangiales
       ( Hombres - Nefróticos. Peor pronóstico a largo plazo)
GNF post infecciosa
Glomerulonefritis post estreptocócica
                         Histopatología


 Microscopía electrónica


 Depósitos intramembranosos, subendoteliales, subepiteliales.


 Depósitos electrodensos subepiteliales ( humps) típicos de GNPE
 No específicos: LES, endocarditis bacteriana, crioglobulinemia
                PS-H, GNF MP I - II
GNF post infecciosa
Glomerulonefritis post estreptocócica

               Indicaciones de Biopsia renal


   ¿ Cuándo una PBR contribuye al manejo de una GN PE ?



          • Proteinuria masiva en el estado agudo
          • Complemento sérico normal
          • Incremento progresivo de creatininemia
          • Persistencia de hipocomplementemia
Glomerulonefritis post estreptocócica
Prevención
·Antibióticos ( penicilina - eritromicina - azitromicina )
  Personas afectadas - familia inmediata - contactos personales
  No previene desarrollo de GN         Si atenúa severidad
·Higiene personal

 Tratamiento

Reposo prolongado en cama : no efectivo - no altera pronóstico
Congestión circulatoria : Furosemida
Hipertensión arterial : Bloqueantes cálcicos - Nitroprusiato
Uremia : Restricción proteica - Diálisis
Hiperkalemia : Resinas de intercambio - Diálisis
Pacientes no respondedores a diuréticos : Diálisis
Drogas frecuentemente utilizadas en Glomerulonefritis
            aguda post estreptocócica

Antibióticos
Prescripción en todos los pacientes aún cuando la infección
estreptocóccica no sea aparente


 Penicilina oral       125 mg V.O. cada 6 horas x 7 - 10 días

 Penicilina benzatínica 1.2 millones unidades ( adultos )
                        600.00 unidades ( niños pequeños ) I.M.

 Eritromicina          250 mg ( adultos ) o 125 mg ( niños )
 ( alergia a           V.O. cada 6 horas x 7 - 10 días
   penicilina)
Drogas frecuentemente utilizadas en Glomerulonefritis
             aguda post estreptocócica

  Diuréticos
   Uso en aproximadamente 70 - 80 % de los niños con sindrome
   nefrítico agudo


 Furosemida        1 - 2 mg / kg I.V. o V.O. cada 12 - 24 horas (*)

 Clorotiazida      10 mg / kg V.O.(**)


(*) Infrecuentemente utilizada por más de 48 horas
(**) Uso limitado. Inefectiva en ptes oligúricos o Creatinina > 2 mg %
J.L., varón , 19 años, estudiante
En la tarde de la víspera comenzó con orinas oscuras de
color borravino que se mantuvieron hasta el momento de
la consulta
Decaído y con cefalea frontal desde hace 2 días.
Al levantarse observó edemas faciales en párpados y
labios
Hace 20 días tuvo otitis derecha supurada, medicado con
ATB sin haber completado el tiempo indicado
  Fascie edematizada , blanda , frío, indoloro . 160/90
Hto: 39 % Creatininemia 1.2 mg%
Orina: Aspecto hemático .Densidad 1025. pH 6. Proteínas 0.40 gr/L
       Hemoglobina ++++. Sedimento: Hematíes ++++
       Cilindros hemáticos abundantes
           ECO renal: Riñones de 130 x 65 x 40 mm

         Glomerulonefritis aguda post infecciosa
L.F., mujer , 23 años, cocinera
Desde hace 2 días tiene hematuria indolora, sin coágulos.
Está cursando cuadro de anginas, con fiebre de 38°
En el último año ha tenido 2 episodios similares, que se
resolvieron espontáneamente en 3 días.
Un análisis de orina hace 1 mes reveló microhematuria

            120/70, anginas rojas, resto s/p

Hto 41 %, creatininemia 0.8 mg%
Orina: Aspecto hemático, densidad 1020, pH 5.8. Proteínas 2.4 gr/L
       Hb: +++. Sedimento: campo cubierto de hematíes dismórficos


           ECO renal: Riñones de 116 x 52 x 38 mm
Nefropatía por IgA                      Presentación clínica

        Frecuente en 2da. – 3ra. Década – H: M 2/1

< 25 años   50%: Macrohematuria
                 Dolor lumbar
                 24-48 hs post infección viral respiratoria o g.i.
                 Proteinuria < 3.5 gr/día
                 Disminución leve función renal ( 7 días)
                 Edema – Hipertensión ( infrecuente)

> 25 años 40% Microhematuria persistente

            10% Glomerulonefritis aguda - Sindrome nefrótico

            IRA transitoria coincidente con macrohematuria
Nefropatía por IgA
 Pronóstico       Variable
 •Episodio único
 •Exacerbaciones repetidas
 •IRCT a 5 – 25 años del diagnóstico : 20 – 40 %

 Factores de riesgo
 Adultos, varones
 Hipertensión arterial, proteinuria persistente
 Ausencia de macrohematuria
 Insuficiencia renal al momento del diagnóstico
 PBR: glomeruloesclerosis, fibrosis intersticial
Nefropatía por IgA
               EVOLUCIÓN
•   Remisión Espontánea                 < 5%
•   Curso Benigno con IgA Persistente    50 %
•   Curso Rápidamente Progresivo        < 10 %
•   Curso Progresivo Lento         30 – 40 %
Nefropatía por IgA                  Fisiopatología

 Respuesta exagerada de secreción de IgA 1 de médula ósea o
 amígdalas a estímulos virales u otros
 Reducción de clearance hepático


Depósito glomerular mesangial de agregados inmunes de IgA 1


Respuesta mesangial a la injuria mediada por anticuerpo y C5b9
        Producción autocrina de factores de crecimiento
                     Proliferación celular
           Cambios en el fenotipo miofibroblástico
           Aumento producción de colágeno tipo I
Patogenia N IgA (1)
•   Estímulo antigénico externo(aparato respiratorio (Virus) o digestivo(gliadina soja, alb.bovina)
•   Predisposición genética y alteración de la respuesta inmune de tipo IgA
    (Bw35, DR4, DRw12, B12, B27 DQw7)

                                    •   Ruptura del eje médula-mucosa
Producción de complejos inmune de IgA1 polimérica, policlonal tipo λ de origen medular

              •    Déficit de la glicosilación de IgA1 (aumenta la agregación)

                                    •   Menor aclaramiento hepático y fagocitosis
                                    •   Hiperreactividad cel. B productoras de IgA

              •    Niveles persistentes de IgA1 polimérica

                                    •   Aumento de tamaño de IC IgA1
                                    •   Carga eléctrica (-)
                                    •   Unión IC IgA1-Fibronectina
                                    •   Unión de IC IgA1- Fc

                  Depósitos Mesangiales de IgA1, IgG, C3
Patogenia N IgA (2)
    Depósitos Mesangiales IgA1, IgG, C3


•    Estímulo de cel. Mesangiales y Monocitos
•    Activación del Complemento por la vía alternativa(C5b-9)


•    Síntesis de factores de Crecimiento(PDGF, TGF, Angioten. II)
•    Síntesis de Interleuquinas (IL-6, TNF, etc,)


•    Proliferación de Cel.Mesangiales
•    Aumento de la Matriz Mesangial
                               Apoptosis de cel.Mesangiales
                               Factores antimitóticos
                               Acción de Proteasas Mesangiales
                               Factores Antifibróticos
                               Productos anti-proinflamatorios
                                            vs
                               Compromiso de los podocitos
                               (escasa capacidad regenerativa)

•    Esclerosis Glomerular e intersticial


                     •   IRC
Nefropatía por IgA                 Métodos diagnósticos

1. Elevación de IgA sérica (50 % de los pacientes)

2. Complementemia normal

3. Biopsia renal

         Clínica clásica            Clínica atípica
       Serología negativa
      Función renal normal        Insuficiencia renal

           Innecesaria               Necesaria


 Diag. Diferencial: Nefritis hereditaria – Enf. M.B. delgada
Hematuria glomerular
                GP. No Proliferativa
                 Hematuria microscópica
                 Suele llamarse “hematuria benigna”
 GP. con
                 porque no es frecuente que evolucione
M.B.Delgada      a insuficiencia renal crónica.
                 Su diagnostico solo se hace con PBR
                 y microscopia electrónica.


                 Enfermedad hereditaria ligada al cromosoma X
                 se altera el gen que codifica la cadena
                 5 alfa del colágeno tipo IV constituyente
Síndrome de      principal de la MBG que se adelgaza.
  Alport         La transmiten las mujeres y la padecen los
                 hombres.
                 Provoca hematuria macro / microscópica.
                 Evoluciona a la IRC en varones afectados.
                 Se diagnostica por ME.
Membrana Basal Delgada
Nefritis hereditaria ( Alport)
Enfermedades asociadas a la nefopatía por IgA
Idiopática (mayoría)
   Limitada al riñón o secundaria a púrpura de Schonlein - Henoch

Asociada a enfermedades generales


Hígado           Hepatopatía crónica con afectación del árbol biliar
Gastrointestinal Enf. celíaca, enf. de Crohn, adenocarcinoma
Respiratorio     Neumonitis intersticial idiopática, bronquiolitis
                 obstructiva, adenocarcinoma
Piel             Dermatitis herpetiforme, micosis fungoide, lepra
Ojos             Epiescleritis, uveítis anterior
Otros             Espondilitis anquilosante, policondritis recidivante,
                  sind. de Sjögren, gammapatía monoclonal por IgA,
                  esquistosomiasis
Púrpura de Schönlein Henoch
GNF Proliferativa mesangial
Depósitos mesangiales de IgA
Depósitos mesangiales de IgA
Tratamiento “Específico” de la Nefropatía
                 por IgA
• Reducción de antígenos de la dieta   Inmunosupresión e inmunomodulación
    Dieta libre de gluten                Corticoides
                                         Ciclofosfamida
• Remoción de antígenos infecciosos
                                         Azatioprina
    Amigdalectomía
                                         Ciclosporina A
    Tetraciclinas
                                         Altas dosis de inmunoglobulinas
• Alteración de la permeabilidad de      Micofenolato Mofetil
la membrana mucosal a antígenos        Antiagregantes Plaquetarios y
alimenticios                           Anticoagulantes
     Cromoglicato de Sodio               Aspirinas
     Acido aminosalicílico               Dipiridamol
                                         Warfarina
• Disolución de inmunocomplejos          Urokinasa
     Danazol                           Otros
                                         Aceite de pescado (limita la produc. de
                                         citoquinas y eicosanoides)
                                         ACE
                                         Bloqueantes de los receptores At1
                                         Estatinas
Recomendaciones Terapéuticas IgA (1)
                         MACROHEMATURIA
                         (MICROHEMATURIA)


    F.R. Normal       F.R. Normal       F.R.     IRA




Cambios Hist. Leves   Cambios Hist. Modern.      NTA        SEMILUNAS
                                                              GNRP

 OBSERVACIÓN          NEFROPROTECCIÓN

                                               DIALISIS     CORTICOIDES
                                                           INMUNOSUPRES
                                                          PLASMAFERESIS
                                                              DIALISIS
Recomendaciones Terapéuticas IgA (2)
                      PROTEINURIA


                    F.R.Normal

< 1g / 24 hs.                         Nefroprotección

                    F.R. Disminuida

                                      Nefroprotección
                    F.R.Normal        Corticoides
                                      Corticoides + Inmuno
1g - 3 g / 24 hs.

                    F.R. Disminuida   Nefroprotección


                                       Corticoides
                    F.R. Normal        Corticoides + Inmuno
                                       Nefroprotección
> 3 g / 24 hs.
                                      Nefroprotección
                    F.R. Disminuida   ¿ Corticoides?
                                      ¿ Corticoides + Inmuno?
Nefropatía x IgA
         “ Anti- Progresión”
(Sugerencia Lee Hebert- Giusseppe Remuzzi)

     Angiotensin Inhibition
     Statins
     Allopurinol
     Prednisona
L.F., mujer , 23 años, cocinera
Desde hace 2 días tiene hematuria indolora, sin coágulos.
Está cursando cuadro de anginas, con fiebre de 38°
En el último año ha tenido 2 episodios similares, que se
resolvieron espontáneamente en 3 días.
Un análisis de orina hace 1 mes reveló microhematuria

            120/70, anginas rojas, resto s/p

Hto 41 %, creatininemia 0.8 mg%
Orina: Aspecto hemático, densidad 1020, pH 5.8. Proteínas 2.4 gr/L
       Hb: +++. Sedimento: campo cubierto de hematíes dismórficos


           ECO renal: Riñones de 116 x 52 x 38 mm

           Glomerulonefritis proliferativa mesangial
D.G, varón, 30 años, oficinista
Desde hace 15 días manifiesta adinamia, fatiga, anorexia,
con febrícula.
Desde hace 1 semana edemas en cara matinal y en MMII
vespertinos
Desde hace 2 días náuseas y vómitos alimenticios, tos con
esputo hemoptoico
Mal estado general, disneico, pálido, edemas en fascie y
MMII, 150/95

 Hto: 23 %. Creatininemia 4,5 mg%
 Orina: Aspecto turbio. Densidad 1014. pH 5.6. Proteínas 1,3 gr/L
        Hb +++. Sedimento: Hematíes +++. Cilindros hemáticos


         ECO renal: Riñones de 115 x 54 x 39 mm
                    Aumento de ecogenicidad cortical
Glomerulonefritis rapidamente progresiva


·Sindrome clinico de declinación rápida y progresiva
 de la función renal
·Asociado con elementos de glomerulonefritis ( hematuria
dismórfica y proteinuria glomerular )
·Sin tratamiento evoluciona a IRCT en semanas o meses




     Con tratamiento agresivo, el pronóstico mejora
Glomerulonefritis rapidamente progresiva
              Elementos de glomerulonefritis
              Curso progresivo, fulminante
                Frecuente oliguria - anuria

        Glomerulonefritis proliferativa extracapilar
              Glomerulonefritis subaguda
         Glomerulonefritis crescéntica(semilunas)

                     Diagnóstico Diferencial
Entidades que no comprometen primariamente al glomérulo, pero
 que se presentan clinicamente como síndrome de GNF RP
  Microangiopatías trombóticas - Enfermedad renal ateroembólica
       Necrosis tubular aguda - Nefritis intersticial aguda
Causas de GNF Rápidamente Progresiva


1. Enfermedades infecciosas
2. Enfermedades sistémicas
3. Drogas
4. Enfermedad glomerular 1ria.
5. Sobreimpuesto a otra enfermedad glomerular
Causas de GNF Rápidamente Progresiva



            Enfermedades infecciosas



GN PEstreptocóccica
Endocarditis
Abceso visceral
Infección por VHB (con vasculitis y/o crioglobulinemia)
Causas de GNF Rápidamente Progresiva
                   Enfermedades sistémicas

LES
Purpura de Henoch-Schönlein
Vasculitis sistémica necrotizante (incluída la granulomatosis de
Wegener)
Poliangitis microscópica
Síndrome de Goodpasture
Crioglobulinemia mixta esencial (IgG e IgM)
Enfermedades malignas
Policondritis recidivante
Vasculitis reumatoide
Causas de GNF Rápidamente Progresiva



                  Drogas

 Penicilamina
 Hidralazina (raro)
 Allopurinol (con vasculitis)
 Rifampicina (raro)
 Propiltiouracilo, carbimazol, benziltiouracilo
 Aminoguanidina
Causas de GNF Rápidamente Progresiva

Enfermedad glomerular primaria
 GNRP Tipo I
 Tipo II
 Tipo III
 Tipo IV combinación de tipos I y III
 Tipo V ANCA-negativa

 Sobreimpuesto a otra enfermedad glomerular
 GNMP tipo II
 GP membranosa
 Nefropatía por Ig A
Vasculitis

  Las vasculitis sistémicas constituyen un
grupo de enfermedades que se caracterizan
 por inflamación multifocal, necrosis de los
   vasos sanguíneos y, en ocasiones, se
   asocian a la formación de granulomas.
   Las vasculitis pueden tener diferentes
 formas de expresión, desde la forma local
   autolimitada hasta la forma difusa muy
                    grave.
La incidencia de las vasculitis, se
calcula en más de 40 casos por
millón de habitantes y la de las
vasculitis asociadas a anticuerpos
anticitoplasma del neutrófilo
(ANCA) en 20 casos por millón.

Las vasculitis renales primarias
tienen una incidencia de 18 casos
por millón de habitantes y su forma
de vasculitis de pequeños vasos se
considera la causa más importante
de gromerulonefritis rápidamente
progresiva.
•Su evolución espontánea es fatal,
 calculándose su mortalidad en un 80% en
               el primer año.
 •Con la introducción de los corticoides, la
  mortalidad en el primer año descendió al
  60%, pero con los tratamientos actuales,
          empleando corticoides e
inmunosupresores, se logra el control de la
    enfermedad en el 91% de los casos.
•La mortalidad ha descendido al 20% a los
  cinco años, pero a expensas de una alta
                morbilidad.
Desde la aparición de los ANCA, y su
determinación como práctica clínica habitual,
 las vasculitis se diagnostican de un modo
   mucho más precoz con el consiguiente
         descenso de la morbilidad

      El hecho de que los ANCA sean
autoanticuerpos dirigidos contra estructuras
propias hace considerar a las vasculitis con
ANCA como un proceso de características
               autoinmunes
VASCULITIS Y RIÑON
    Las manifestaciones renales de las vasculitis pueden
            expresarse en distintos síndromes:

•   Sme nefrítico
•   Sme nefrótico
•   Hematuria macroscópica recurrente
•   HTA
•   IRA
•   IRRP
•   IRC
Las formas de presentación de los sindromes
 renales de las vasculitis sistémicas pueden ser:


• Simultáneas a compromiso de otros
  órganos
• Lesiones renales sin manifestaciones
  sistémicas
Existe sospecha de enfermedad vasculítica
  sistémica cuando al sdme nefrológico se
  asocian:
• Enfermedad de varios órganos
• Signos ó síntomas de isquemia multifocal
• Púrpura palpable
• Mononeuritis múltiple
• Compromiso del SNC
• Dolor abdominal
• Sme febril prolongado
• Infiltrados, nódulos ó cavitación pulmonar
Lesiones renales encontradas en las vasculitis
Glomerulares : GNF proliferativa aguda, GNF MP I,
GNF semilunas, GNF necrotizante

 Arteriales: arteritis granulomatosa de grandes vasos
renales, aneurismas, eosinofilia vascular y
perivascular, infartos renales, necrosis fibrinoide

 Intersticiales: granulomas, infiltrado eosinofílico,
nefritis intersticial por drogas, fibrosis intersticial

 Tubulares: atrofia tubular isquémica

 Lesiones crónicas y secuelares
Vasculitis
Vasos de gran calibre                                          Vasos de mediano calibre
Arteritis células gigantes        Vasculitis de pequeños           Poliarteritis nodosa
Arteritis de Takayasu                                              Sdme de Kawasaki
                                           vasos


    Asociados a Anca                                       Asociadas a inmunocomplejos

Poliangeitis microscópica                          Vasculitis crioglobulinémicas
Granulomatosis de Wegener                          Púrpura de Schonlein Henoch
Sdme Churg Strauss                                 Enfermedad anti MBG
Drogas que inducen vasculitis                      Infección induciendo inmunocomplejos
asociadas a Anca                                    ( ej. Hepatitis B – C )
                                                   Vasculitis de la enfermedad del suero
       Paraneoplásico                              Vasculitis LES
                                                   Vasculitis reumatoidea
 Carcinomas                                        Vasculitis urticariana hipocomplementémica
 Neoplasias linfoproliferativas                    Enfermedad de Behcet
 Neoplasias mieloproliferativas                    Drogas que inducen vasculitis
                                                    por inmunocomplejos

 Vasculitis de enfermedades
 inflamatorias intestinales
GNF con semilunas - Clasificación

Tipo I: Enfermedad asociada a anti - MBG
 A. Enfermedad glomerular primaria sin hemorragia pulmonar
 B. Con hemorragia pulmonar ( enfermedad de Goodpasture)
 C. Sobreimpuesta a otra enfermedad glomerular primaria ( GN M )

Tipo II: Enfermedad asociada a complejos inmunes
 A. Enfermedad glomerular primaria
 B. Enfermedad multisistémica ( LES, crioglobulinemia, hepatitis C )
 C. Sobreimpuesta a otra enfermedad glomerular primaria ( IgA, MP )
 D. Otras ( infecciones, drogas )

Tipo III: Enfermedad asociada a ANCA, pauci inmune
 A. Enfermedad glomerular primaria (PAM limitada al riñón )
 B. Enfermedad multisistémica ( PAM, Wegener )

Tipo IV: Combinación de enfermedad tipo I y III

Tipo V: Enfermedad pauci inmune no asociada a Anti MBG o ANCA
        (GNF con semilunas idiopática)
Glomerulonefritis mediadas por anticuerpos


         Anticuerpos circulantes anti MBG
           (depósitos lineales a la I.F.)




Con hemorragia pulmonar      Sin hemorragia pulmonar




Sindrome de Goodpasture         GNF anti - MBG
NEFRITIS ANTI MEMBRANA BASAL GLOMERULAR
               Sindrome de Goodpasture

                       Cuadro clínico
                    Varones – 3ra década
                  Glomerulonefritis aguda
                   Hemorragia pulmonar
               Anemia con deficiencia de hierro

                 Confirmación diagnóstica
             Anticuerpo IgG circulante contra MBG
Biopsia renal con depósitos lineales en MBG (inmunofluorescencia)
Glomérulo normal
NEFRITIS ANTI MEMBRANA BASAL GLOMERULAR
               Sindrome de Goodpasture
                         Patogenia
    Incierto
    Post infecciones virales o exposición a hidrocarburos
    Sin antecedentes

      Anticuerpo nefritogénico contra región no colágena
  carboxiterminal de cadena alfa 3 del colágeno tipo IV de MBG

Injuria : interacción de anticuerpo con antígeno de MBG
            activación del complemento
            generación de péptido quimiotácticos
            infiltración de neutrófilos con liberación de oxidantes
            y proteasas
            mecanismos inmunes mediados por células ?
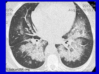
Sindrome de Goodpasture – Hemorragia pulmonar
Hemorragia pulmonar - Macroscopía
Hemorragia pulmonar - Microscopía
Hemorragia pulmonar - Microscopía
Examen Post morten de paciente con GNF Rápidamente Progresiva
NEFRITIS ANTI MEMBRANA BASAL GLOMERULAR
            Sindrome de Goodpasture

                   Tratamiento

 Hemorragia pulmonar: pulsos esteroides
                     30 mg/kg IV – 3 dias alternos


 Enfermedad renal: pulsos de esteroides
                   esteroides orales (1 mg/kg día por 6meses)
                   ciclofosfamida (2-3 mg/kg día por 3 meses)
                   plasmaféresis
Recuperación renal en enfermedad
           por Anti MBG
           ( % a 1 año)
            Creat < 6 mg   Creat > 6 mg %
Enfermedad Anti MBG . Conclusiones I


El diagnóstico rápido se puede establecer por ELISA o IF en
la biopsia renal

El tratamiento con prednisona/ciclofosfamida/plasmaféresis
ha llevado a mejoría del pronóstico

Los pacientes con creatininas < 5 mg% muestran un excelente
pronóstico vital y renal

Los pacientes en diálisis raramente recuperan la función renal
Enfermedad Anti MBG . Conclusiones II


La hemorragia pulmonar ± infecciones son la principal
causa de muerte

Los pacientes con antiMBG y Anca + tienen pronóstico
similar a los anti MBG

La recidiva es infrecuente, por lo que el tratamiento de
mantenimiento no es necesario

Se requieren ensayos terapéuticos mas específicos y menos
tóxicos
Síndromes Pulmón-Riñón

         SPR asociado a anticuerpos anti MBG: Sdme de Godpasture
         SPR en vasculitis sistémicas asociadas a ANCA
         •Granulomatosis de Wegener
         •Poliangeítis microscópica
         •Sdme de Churg-Strauss
         SPR en vasculitis sistémicas NO asociadas a ANCA
         •Púrpura de Schönlein-Henoch
         •Crioglobulinemia mixta esencial
         •Enfermedad de Behcet
         •Nefropatía por IgA
         SPR ANCA (+) sin vasculitis sistémica: SPR idiopático
         •GN necrotizante pauciinmune y capilaritis pulmonar
         SPR en vasculitis ANCA (+) asociadas a drogas
         •Propiltiouracilo, D-Penicilamina, Hidralazina, Allopurinol, Sulfasalazina
         SPR en pacientes ANCA y anti MBG (+)
         SPR en pacientes con enfermedades reumáticas inmunológicas (mediado por
         ANCA o inmunocomplejos):
         •LES
         •Esclerodermia (ANCA?)
         •Polimiositis
         •AR
         •EMTC
         SPR en microangiopatía trombótica:
         •Sme antifosfolípidos
         •PTT
         •Infecciones
         •Neoplasias
         Hemorragia alveolar difusa asociada a GN pauci inmune idiopática

Papiris S.A., Manali, E.D., Kalomenidis, I., Kapotsis, G., Karakatsani A., Roussos, C. Bench -to -bedside review: Pulmonary-renal syndromes-an update
for the intensivist. Critical Care 2007, 11:213
Glomerulonefritis mediadas por anticuerpos
                Localización glomerular de complejos inmunes
                       ( Depósitos granulares a la I..F.)



 IgA sin     IgA con      LES   Infección    Cambios     Depósitos    Depósitos     Fibrillas   Otros
vasculitis   vasculitis          aguda       mesangio     densos         sub         20 nm
             sistémica          strep/staf   capilares     MBG        epiteliales




Nefropatía Púrpura Nefritis GN aguda          GNMP       GNMP          GN            GN      Muchas
   IgA      S-H    lúpica postinfecc.          tipo I    tipo II     Membranosa     Fibrilar otras
Glomerulonefritis mediadas por anticuerpos

             ANCA circulantes con depósitos I.F.
                          leves



    Sin         Vasculitis      Granulomas          Eosinofilia
vasculitis     sin asma ni         sin                asma y
sistémicas     granulomas         asma              granulomas




 GN                          Granulomatosis         Sindrome
                P.A.M.
ANCA                           WEGENER             Churg - Strauss
Frecuencia del compromiso renal en las formas
   severas de vasculitis de pequeños vasos.
Patología                   Compromiso renal
(%)
PSH                    50
Crioglobulinemi        55
PAM
a                      90
GW                     80
SCS                    45
Vasculitis leucocitoclástica ( púrpura)
Púrpura palpable
Vasculitis Leucocitoclástica… (1)




                       (1) Small-Vessel Vasculitis. NEJM 1997; 337:1512-1523
GN Rapidamente Progresiva                 Anatomía Patológica
Microscopía de luz:
     Lesiones necrotizantes focales con formación de semilunas
     en más del 50 % de los glomérulos
Inmunofluorescencia:
     Tipo I : Depósitos lineales, difusos de IgG y C en la MBG
     Tipo II : Depósitos granulares de Ig y C
     Tipo III : Sin depósitos de Ig
      Fibrina en las semilunas, independientemente del mecanismo
Microscopía electrónica:
      Disrupción focal de la membrana basal, células mononucleares
      y fibrina en el espacio urinario, degeneración de células
      epiteliales y endoteliales.
      Depósitos electrodensos en el tipo II y en las etiologías
      secundarias con una patogenia mediada por IC
GNF Rápidamente progresiva
GNF necrotizante
Patentes de inmunofluorescencia
 Lineal                Granular
Depósito de fibrina en semilunas
GNF Rápidamente progresiva
Vasculitis asociadas a ANCA ( EUVAS Group )
                                         Extensión - Severidad
   Categoría                        Definición
   Localizada                       Compromiso de la vía aérea superior y/o inferior, sin
                                    afectación de otro órgano ni síntomas constitucionales



   Sistémica                        Cualquier afectación sin riesgo vital ni amenaza para la
   temprana                         sobrevida de algún órgano. Cr<2.5mg/dl



   Generalizada                     Compromiso renal o de otro órgano, con Cr<5.6mg/dl


   Severa                           Falla renal, o de otro órgano vital, Cr>5.6mg/dl


   Refractaria                      Enfermedad progresiva sin respuesta a corticoides o
                                    ciclofosfamida




•EULAR Recommendations for the Management of Primary Small and Medium Vessel Vasculitis. Ann Rheum Dis 2008; on line 15 April 2008.
GW - PAM                       Inducción remisión                        Mantenimiento
                 Enf. localizada                  Cotrimazol ± corticoides                Cotrimazol ± corticoides
           Enf. sistémica temprana               Metotrexate + corticoides               Metotrexate + corticoides

               Enf. generalizada                  Pulsos ciclofosfamida +                Azatioprina + corticoides
                                                        corticoides
            Vasculitis renal severa            Ciclofosfamida altas dosis +              Azatioprina + corticoides
               y/o hemorragia                      pulsos corticoides +
              pulmonar severa                         plasmaféresis


                 Enf. refractaria            Ig endovenosa
                                             Micofenolato mofetil
                                             15-deoxyspergualina
                                             Globulina antitimocítica
                                             Rituximab
                                             Infliximab




•EULAR Recommendations for the Management of Primary Small and Medium Vessel Vasculitis. Ann Rheum Dis 2008; on line 15 April 2008.
Cuadro 3: Enfermedades que pueden simular una vasculitis sistémica con IRA
             •GNAPE
             •Microangiopatía trombótica (PTT-SHU)
             •Sdme de Goodpasture
             •Hipertensión maligna
             •Esclerosis sistémica progresiva
             •Sdme de embolia múltiple de colesterol
             •Preeclampsia/eclampsia
             •Hipersensibilidad a drogas con nefritis intersticial
             •Sarcoidosis
             •Nefritis túbulointersticial con uveítis (TINU)
             •Fibrosis retroperitoneal
             •Hepatitis viral
             •Endocarditis bacteriana
             •Neumonía con GN
             •Sepsis
             •CID
             •SIDA
             •LES
             •Sdme. antifosfolípido
             •Enfermedad por depósito de cadenas livianas
             •Crioglobulinemia mixta esencial
             •Trombosis de las venas renales con TEP


Sarano, H.D., Gavosto, J.J. “Vasculitis y riñón” en Vasculitis Sistémicas: Toma de decisiones. Battagliotti, C., Pons-Estel, B., Berbotto, G., Kilstein, J. 1999.
D.G, varón, 30 años, oficinista
Desde hace 15 días manifiesta adinamia, fatiga, anorexia,
con febrícula.
Desde hace 1 semana edemas en cara matinal y en MMII
vespertinos
Desde hace 2 días náuseas y vómitos alimenticios, tos con
esputo hemoptoico
Mal estado general, disneico, pálido, edemas en fascie y
MMII, 150/95

 Hto: 23 %. Creatininemia 4,5 mg%
 Orina: Aspecto turbio. Densidad 1014. pH 5.6. Proteínas 1,3 gr/L
        Hb +++. Sedimento: Hematíes +++. Cilindros hemáticos
         ECO renal: Riñones de 115 x 54 x 39 mm
                    Aumento de ecogenicidad cortical

       Glomerulonefritis rápidamente progresiva
N.M., mujer, 35 años, ama de casa
Desde hace 2 meses refiere edemas en cara y MMII que
se han incrementado.
Desde hace 1 año padece de poliartritis de articulaciones
medianas y pequeñas, con episodios febriles, alopecía y
úlceras en la boca y nariz

         Edemas en cara, MMII, ascitis. 140/100

Hto 34%, creatininemia 1.8 mg%
Orina: Ligeramente turbia, Densidad 1027 ,pH 5.2, Proteínas 6 gr/L
       Hb+++.Sedimento. Cilindros hialino granulosos ++
       Cilindros epiteliales ++. Cilindros hemáticos ++.
       Cuerpos ovales grasos ++

         ECO renal: Riñones de 110 x 50 x 31 mm
                    Aumento de ecogenicidad cortical
Glomerulopatías: presentación clinico patológica
Patrón estructural     GN membrano proliferativa
Presentación clínica   Combinación variable de rasgos nefríticos y
                       nefróticos: disminución aguda o subaguda del
                       filtrado glomerular, sedimento urinario activo,
                       proteinuria, a veces sindrome nefrótico

Datos patológicos      Proliferación difusa de células mesangiales e
                       infiltración de los glomérulos por macrófagos,
                       aumento de la matriz mesangial y engrosamiento
                       y repliegue de la membrana basal glomerular.

Causas más comunes GN por inmunocomplejos
                   Asociada a microangiopatías trombóticas
                   Asociadas a enfermedades por depósito
                   Post Tx renal o de médula ósea
Causas de glomerulonefritis membrano proliferativa

 Idiopática
    Tipo I     Depósitos inmunitarios subepiteliales y mesangiales
    Tipo II    Depósitos densos intra mebranosos que contienen
               poca o ninguna Ig, asociado a factor nefrítico C3
    Tipo III   Rasgos de GNMP tipo I y nefropatía membranosa

  Asociada a enfermedades generales o medicamentos
     Enfermedades por inmunocomplejos
     Infecciones crónicas
     Enfermedades malignas
     Hepatopatías
     Otros
Causas de glomerulonefritis membrano proliferativa
Asociada a enfermedades generales o medicamentos
  Enfermedades por inmunocomplejos
   LES, crioglobulinemia mixta, síndrome de Sjögren
  Infecciones crónicas
   Hepatitis B y C , HIV, endocarditis bacteriana, derivaciones
   ventrículo auriculares, abceso visceral
   Enfermedades malignas
    Leucemias, linfomas
   Hepatopatías
     Hepatitis crónica activa y cirrosis ( generalmente asociada a
     hepatitis B o C)
   Otros
    Lipodistrofia parcial, consumo de heroína, sarcoidosis,
    deficiencia hereditaria de C2, microangiopatías trombóticas
GNF Membrano proliferativa
GNF Membrano proliferativa
N.M., mujer, 35 años, ama de casa
Desde hace 2 meses refiere edemas en cara y MMII que
se han incrementado.
Desde hace 1 año padece de poliartritis de articulaciones
medianas y pequeñas, con episodios febriles, alopecía y
úlceras en la boca y nariz

         Edemas en cara, MMII, ascitis. 140/100
Hto 34%, creatininemia 1.8 mg%
Orina: Ligeramente turbia, Densidad 1027 ,pH 5.2, Proteínas 6 gr/L
       Hb+++.Sedimento. Cilindros hialino granulosos ++
       Cilindros epiteliales ++. Cilindros hemáticos ++.
       Cuerpos ovales grasos ++
         ECO renal: Riñones de 110 x 50 x 31 mm
                    Aumento de ecogenicidad cortical

          Glomerulonefritis lúpica proliferativa
Muchas gracias

GNF

  • 1.
    Enfoque clínico de las Glomerulonefritis Héctor Daniel Sarano Prof.Adj. Nefrología . Facultad de Cs.Ms. UNR Director Carrera de Nefrólogo Universitario. UNR
  • 2.
    J.L., varón ,19 años, estudiante En la tarde de la víspera comenzó con orinas oscuras de color borravino que se mantuvieron hasta el momento de la consulta Decaído y con cefalea frontal desde hace 2 días. Al levantarse observó edemas faciales en párpados y labios Hace 20 días tuvo otitis derecha supurada, medicado con ATB sin haber completado el tiempo indicado Fascie edematizada , blando , frío, indoloro . 160/90 Hto: 39 % Creatininemia 1.2 mg% Orina: Aspecto hemático .Densidad 1025. pH 6. Proteínas 0.40 gr/L Hemoglobina ++++. Sedimento: Hematíes ++++ Cilindros hemáticos abundantes ECO renal: Riñones de 130 x 65 x 40 mm
  • 3.
    L.F., mujer ,23 años, cocinera Desde hace 2 días tiene hematuria indolora, sin coágulos. Está cursando cuadro de anginas, con fiebre de 38° En el último año ha tenido 2 episodios similares, que se resolvieron espontáneamente en 3 días. Un análisis de orina hace 1 mes reveló microhematuria 120/70, anginas rojas, resto s/p Hto 41 %, creatininemia 0.8 mg% Orina: Aspecto hemático, densidad 1020, pH 5.8. Proteínas 2.4 gr/L Hb: +++. Sedimento: campo cubierto de hematíes dismórficos ECO renal: Riñones de 116 x 52 x 38 mm
  • 4.
    D.G, varón, 30años, oficinista Desde hace 15 días manifiesta adinamia, fatiga, anorexia, con febrícula. Desde hace 1 semana edemas en cara matinal y en MMII vespertinos Desde hace 2 días náuseas y vómitos alimenticios, tos con esputo hemoptoico Mal estado general, disneico, pálido, edemas en fascie y MMII, 150/95 Hto: 23 %. Creatininemia 4,5 mg% Orina: Aspecto turbio. Densidad 1014. pH 5.6. Proteínas 1,3 gr/L Hb +++. Sedimento: Hematíes +++. Cilindros hemáticos ECO renal: Riñones de 115 x 54 x 39 mm Aumento de ecogenicidad cortical
  • 5.
    N.M., mujer, 35años, ama de casa Desde hace 2 meses refiere edemas en cara y MMII que se han incrementado. Desde hace 1 año padece de poliartritis de articulaciones medianas y pequeñas, con episodios febriles, alopecía y úlceras en la boca y nariz Edemas en cara, MMII, ascitis. 140/100 Hto 34%, creatininemia 1.8 mg% Orina: Ligeramente turbia, Densidad 1027 ,pH 5.2, Proteínas 6 gr/L Hb+++.Sedimento. Cilindros hialino granulosos ++ Cilindros epiteliales ++. Cilindros hemáticos ++. Cuerpos ovales grasos ++ ECO renal: Riñones de 110 x 50 x 31 mm Aumento de ecogenicidad cortical
  • 6.
    GLOMERULONEFRITIS Enfermedades caracterizadas por: 1. Cambios inflamatorios de los capilares glomerulares 2. Síndrome nefrítico Hematuria – Proteinuria Disminución de la función renal Retención de líquidos Hipertensión arterial Edemas
  • 7.
  • 8.
  • 10.
    GLOMERULONEFRITIS Prevalencia Causas de IRCT: 1. Diabetes 2. Hipertensión 3. Glomerulonefritis Por cada paciente con GNF clínica aparente, enfermedad subclínica no diagnosticada : 5 – 10 pacientes
  • 11.
    GLOMERULONEFRITIS ETIOLOGIA 1. Desconocida 2. Bacterias ( estreptococo beta hemolítico) 3. Virus ( hepatitis C) Desencadenan respuesta autoinmune Formación de complejos inmunes Respuesta inmune mediada por células
  • 12.
    Depósito de anticuerpos Mecanismosinmunes Activación del mediados por células complemento Glomerulonefritis Infiltración Activación de cél. residentes Alteraciones leucocitaria Cambios en la matriz hemodinámicas Factores genéticos Síntesis de citoquinas y factores de crecimiento Interruptor si - no Inflamación persistente Escape de moléculas inflamatorias y leucocitos Cicatrización Resolución
  • 13.
    GLOMERULONEFRITIS DAÑO GLOMERULAR Fase aguda Reacción inmune : activación de mediadores de injuria tisular Complemento: factores quimiotácticos . Reclutamiento leucocitario C5b9: daño en células glomerulares Factores coagulación: depósito de fibrina – formación de semilunas Liberación local y sistémica de factores de crecimiento y citoquinas Fase crónica Sobreproducción de oxidantes – proteasas Cambios fenotípicos Sobreproducción de matriz extracelular Alteraciones permanentes de función renal Mecanismos no inmunológicos : hiperfiltración, hipertensión intraglomerular, stress intravascular
  • 14.
    GLOMERULONEFRITIS 1. Enfermedad renalprimaria GNF post infecciosa Nefropatía por IgA GNF Rápidamente progresiva Nefritis Anti MBG GNF semilunar idiopática 2. Manifestación de enfermedad sistémica Lupus eritematoso sistémico Púrpura de Shönlein – Henoch Poliangeitis microscópica Granulomatosis de Wegener Crioglobulinemia mixta esencial
  • 15.
    GLOMERULONEFRITIS PRESENTACION - CLINICA- DIAGNOSTICO 1. Historia clínica 2. Examen de orina 3. Evaluación serológica 4. Biopsia renal ( si – no )
  • 16.
    GLOMERULONEFRITIS Marcadoresserológicos útiles para el diagnóstico Glomerulonefritis primaria Marcadores serológicos GNF post infecciosa Anticuerpos estreptocócicos Complemento disminuído Nefropatía por IgA No anormalidades serológicas GNF RP Nefritis anti MBG Anti MBG, Anca (+) 30% GNF semilunar idiopática Anca p, Anca c (+)
  • 17.
    GLOMERULONEFRITIS Marcadores serológicos útiles para el diagnóstico GNF en enf. sistémicas Marcadores serológicos LES FAN, anti DNA, complemento PSH No anormalidades serológicas PAM Anca c y p Wegener Anca c Crioglobulinemia Crioglobulinas (+), FR, mixta esencial complemento HCV, Hepatitis C RNA
  • 18.
    Interpretación de estudiosserológicos en pacientes con GNF Marcadores Interpretación Anticuerpos estreptocócicos (+) infección estreptocócica en 3 meses previos (+) no confirma serotipo nefritógeno Anticuerpo antinuclear (+) anti DNA (LES) Anti MBG Nefritis anti MBG Goodpasture (c/ hemorrag. pulm.) Concentraciones // actividad enf.
  • 19.
    Interpretación de estudiosserológicos en pacientes con GNF Marcadores Interpretación ANCA p,c con vasculitis: PAM c con síntomas respiratorios: Wegener p,c sin síntomas agregados: GNF necrotizante Anticuerpos C + exposición a virus C PCR + confirma enfermedad activa C, crio + , FR: GNF MP asociado a hepatitis C Complemento CH50, C3 : GNF post infecciosa GNF MP, LES C1- C4 : GNF MP I , LES = C1- C4 : GNF post estreptocócica, GNF MP II Niveles inversamente relacionados con actividad
  • 20.
    Autoanticuerpos antineutrófilos citoplasmáticos C ANCA P ANCA Patente citoplasmática Patente perinuclear Anti proteinasa 3 Anti mieloperoxidasa PR3 Anca MPO Anca
  • 21.
    Métodos diagnósticos serológicospara vasculitis Cada test requiere: Calidad – Precisión -Especificidad – Sensibilidad – VPP - VPN Casi nunca un diagnóstico se hace con test de laboratorio aislado , sino con un resultado combinado de test y de hallazgos clínico patológicos
  • 22.
    GLOMERULONEFRITIS Hipocomplementémicas Normocomplementémicas Enfermedades sistémicas Lupus eritematoso sistémico Poliarteritis nudosa (focal 75%) Granulomatosis de Wegener (difusa 90%) Vasculitis por hipersensibilidad Crioglobulinemia (85%) Púrpura de Schönlein-Henoch Endocarditis bacteriana (90%) Sindrome de Goodpasture Nefritis por shunt (90%) Enfermedades renales GNF aguda postestreptocócica (90%) Nefropatía por IgA GNF Membrano Proliferativa GNF RP idiopática Tipo I (50 – 80 %) Enfermedad anti MBG Tipo II (80 – 90 %) Pauci inmune Enf. por depósitos inmunes
  • 23.
    GLOMERULONEFRITIS BIOPSIA RENAL Presentación clásica Marcadores serológicos típicos NO NECESARIA Función renal preservada Confirmación diagnóstica Actividad / cronicidad NECESARIA Reversibilidad potencial
  • 24.
    GLOMERULONEFRITIS TERAPÉUTICA a. Ninguna b. Emergencia médica Diagnóstico y URGENTE Terapéutica
  • 28.
    Patentes estructurales básicasde Injuria Glomerular 1. Enfermedad de la célula epitelial 2. Glomeruloesclerosis Focal y Segmentaria 3. Nefropatía Membranosa 4. Glomerulonefritis Proliferativa Difusa ( exudativa ) 5. Glomerulonefritis con Semilunas 6. Glomerulonefritis Proliferativa Mesangial 7. Glomerulonefritis Proliferativa Focal ( necrotizante ) 8. Anormalidades de la Membrana Basal 9. Glomeruloesclerosis Focal Global
  • 29.
    GLOMERULONEFRITIS PRESENTACION CLINICA Hematuria aislada Glomerulonefritis aguda GNF rápidamente progresiva Sindrome nefrótico Glomerulonefritis crónica
  • 31.
    J.L., varón ,19 años, estudiante En la tarde de la víspera comenzó con orinas oscuras de color borravino que se mantuvieron hasta el momento de la consulta Decaído y con cefalea frontal desde hace 2 días. Al levantarse observó edemas faciales en párpados y labios Hace 20 días tuvo otitis derecha supurada, medicado con ATB sin haber completado el tiempo indicado Fascie edematizada , blanda , frío, indoloro . 160/90 Hto: 39 % Creatininemia 1.2 mg% Orina: Aspecto hemático .Densidad 1025. pH 6. Proteínas 0.40 gr/L Hemoglobina ++++. Sedimento: Hematíes ++++ Cilindros hemáticos abundantes ECO renal: Riñones de 130 x 65 x 40 mm
  • 32.
    Glomerulonefritis aguda Cuadroclínico: Inicio agudo de hematuria variable proteinuria disminución del filtrado glomerular retención de agua y sodio congestión circulatoria hipertensión oliguria ocasional Tendencia a la recuperación espontánea Frecuente asociación con infección microbiana previa
  • 33.
    Glomerulonefritis post infecciosa Microorganismosidentificados Estreptococo Treponema pallidum Estafilococo Brucella Neumococo Leptospira Enterobacterias Salmonella Meningococo Yersinia Rickettsia Legionella
  • 34.
    Glomerulonefritis post estreptocócica Epidemiología Estreptococo grupo A ( beta hemolítico ) Cepas 12, 1, 2, 3, 4, 18, 25, 49, 55, 57, 60. (nefritogénicos ) 31, 52, 56, 59, 61 Estreptococo grupo C ( zooepidemicus ) Países desarrollados : Disminución de frecuencia Tercer mundo : Igual incidencia Post infecciones faríngeas - epidérmicas (esporádicas /epidémicas) Más frecuente entre 2 - 12 años . 5 % < 2 años - 5 - 10 % > 40 años Sexo: V / M 2 / 1
  • 35.
    Glomerulonefritis post estreptocócica Manifestaciones clínicas Infección precedente: Faringea : 1 - 2 semanas Cutánea : 3 - 6 semanas Inicio abrupto Rango de severidad variable / asintomático - IRA oligúrica Cuadro típico: Varón de 2 - 12 años Desarrollo súbito de edema palpebral - facial orinas oscuras hipertensión arterial disminución del volumen de orina
  • 36.
    Glomerulonefritis post estreptocócica Manifestaciones clínicas Niños (%) Adultos (%) Hematuria 100 100 Macro 33 33 Micro 66 66 Proteinuria 80 92 Edema 90 75 Hipertensión 60-80 83 Oliguria 10-50 58 Disnea/Insuf. Cardíaca <5 43 Proteinuria Nefrótica 4 20 Uremia 25-40 83 Mortalidad en período agudo <1 25
  • 37.
    Glomerulonefritis post estreptocócica Laboratorio Hematuria: Macroscópica 33 % - “ óxido “ Cilindros hemáticos - Hematíes dismórficos > 80 % Células epiteliales - Leucocitos Cilindros hialinos, granulosos, leucocitarios (ocasionales) Proteinuria : < 3 gr - 75 % < 500mg - 50 % Nefrótica : no selectiva Filtrado glomerular : frecuentemente disminuído FG < 50 % : retención hidrica - congestión circulatoria Aumento de endotelina - PAN : retención de Sodio Excreción fraccional de Na : < 0.5 % Hiponatremia dilucional - Acidosis hiperclorémica con hiperkalemia leve (ATR tipo IV)
  • 38.
    Glomerulonefritis post estreptocócica Laboratorio Sistema del complemento: Activación vía alternativa Disminución C3 - CH50 - C4 normal Duración: 8 semanas Mayor persistencia: GN MP I-II - Endocarditis - LES - Sepsis oculta - émbolos de colesterol - deficiencia congénita - crioglobulinemia Crioglobulinas circulantes ( tipo III ): fase aguda Complejos inmunes circulantes Fibrinógeno - Factor VIII - Actividad plasmina : severidad
  • 39.
    Glomerulonefritis post estreptocócica Patogenia Morfología Clínica Enfermedad por complejos inmunes Serología Naturaleza precisa del sistema antígeno - anticuerpo : ? Antigenos estreptocócicos en glomérulo> activación complemento inducción de inflamación Exoenzima estreptocóccica ( sialidasa ? ) : alteración de IgG autóloga Complejos : forma alterada de IgG autóloga e IgG a estos determinantes alterados o neoantigénicos
  • 40.
    Glomerulonefritis post estreptocócica Histopatología Microscopía de luz: Glomérulos exangues - hipercelulares - llenan espacio de Bowman Luces capilares ocluídas por proliferación mesangial y endotelial Grados variables de infiltración polimorfonuclear, monocitos y eosinófilos Paredes capilares delgadas y delicadas Depósitos en lado epitelial de MB (Tricrómica de Masson) Hematíes en espacio de Bowman y luces tubulares Glomerulonefritis proliferativa difusa y generalizada endocapilar
  • 41.
  • 42.
    Glomerulonefritis post estreptocócica Histopatología Inmunofluorescencia · Patente cielo estrellado ( 30 % ). Depósitos de Ig - C3 difusos e irregulares en pared capilar y mesangio. (Primeras 2 semanas de enfermedad - asociada con hipercelularidad endotelial -mesangial e infiltración leucocitaria) · Patente mesangial ( 45 % ). Depósitos de Ig - C3 en región mesangial (Personas jóvenes - asociado a pronóstico favorable) . Patente en guirnalda ( 25 % ). Depósitos de Ig - C3 paredes capilares periféricas con pocos depósitos mesangiales ( Hombres - Nefróticos. Peor pronóstico a largo plazo)
  • 43.
  • 44.
    Glomerulonefritis post estreptocócica Histopatología Microscopía electrónica Depósitos intramembranosos, subendoteliales, subepiteliales. Depósitos electrodensos subepiteliales ( humps) típicos de GNPE No específicos: LES, endocarditis bacteriana, crioglobulinemia PS-H, GNF MP I - II
  • 45.
  • 46.
    Glomerulonefritis post estreptocócica Indicaciones de Biopsia renal ¿ Cuándo una PBR contribuye al manejo de una GN PE ? • Proteinuria masiva en el estado agudo • Complemento sérico normal • Incremento progresivo de creatininemia • Persistencia de hipocomplementemia
  • 47.
    Glomerulonefritis post estreptocócica Prevención ·Antibióticos( penicilina - eritromicina - azitromicina ) Personas afectadas - familia inmediata - contactos personales No previene desarrollo de GN Si atenúa severidad ·Higiene personal Tratamiento Reposo prolongado en cama : no efectivo - no altera pronóstico Congestión circulatoria : Furosemida Hipertensión arterial : Bloqueantes cálcicos - Nitroprusiato Uremia : Restricción proteica - Diálisis Hiperkalemia : Resinas de intercambio - Diálisis Pacientes no respondedores a diuréticos : Diálisis
  • 48.
    Drogas frecuentemente utilizadasen Glomerulonefritis aguda post estreptocócica Antibióticos Prescripción en todos los pacientes aún cuando la infección estreptocóccica no sea aparente Penicilina oral 125 mg V.O. cada 6 horas x 7 - 10 días Penicilina benzatínica 1.2 millones unidades ( adultos ) 600.00 unidades ( niños pequeños ) I.M. Eritromicina 250 mg ( adultos ) o 125 mg ( niños ) ( alergia a V.O. cada 6 horas x 7 - 10 días penicilina)
  • 49.
    Drogas frecuentemente utilizadasen Glomerulonefritis aguda post estreptocócica Diuréticos Uso en aproximadamente 70 - 80 % de los niños con sindrome nefrítico agudo Furosemida 1 - 2 mg / kg I.V. o V.O. cada 12 - 24 horas (*) Clorotiazida 10 mg / kg V.O.(**) (*) Infrecuentemente utilizada por más de 48 horas (**) Uso limitado. Inefectiva en ptes oligúricos o Creatinina > 2 mg %
  • 50.
    J.L., varón ,19 años, estudiante En la tarde de la víspera comenzó con orinas oscuras de color borravino que se mantuvieron hasta el momento de la consulta Decaído y con cefalea frontal desde hace 2 días. Al levantarse observó edemas faciales en párpados y labios Hace 20 días tuvo otitis derecha supurada, medicado con ATB sin haber completado el tiempo indicado Fascie edematizada , blanda , frío, indoloro . 160/90 Hto: 39 % Creatininemia 1.2 mg% Orina: Aspecto hemático .Densidad 1025. pH 6. Proteínas 0.40 gr/L Hemoglobina ++++. Sedimento: Hematíes ++++ Cilindros hemáticos abundantes ECO renal: Riñones de 130 x 65 x 40 mm Glomerulonefritis aguda post infecciosa
  • 52.
    L.F., mujer ,23 años, cocinera Desde hace 2 días tiene hematuria indolora, sin coágulos. Está cursando cuadro de anginas, con fiebre de 38° En el último año ha tenido 2 episodios similares, que se resolvieron espontáneamente en 3 días. Un análisis de orina hace 1 mes reveló microhematuria 120/70, anginas rojas, resto s/p Hto 41 %, creatininemia 0.8 mg% Orina: Aspecto hemático, densidad 1020, pH 5.8. Proteínas 2.4 gr/L Hb: +++. Sedimento: campo cubierto de hematíes dismórficos ECO renal: Riñones de 116 x 52 x 38 mm
  • 53.
    Nefropatía por IgA Presentación clínica Frecuente en 2da. – 3ra. Década – H: M 2/1 < 25 años 50%: Macrohematuria Dolor lumbar 24-48 hs post infección viral respiratoria o g.i. Proteinuria < 3.5 gr/día Disminución leve función renal ( 7 días) Edema – Hipertensión ( infrecuente) > 25 años 40% Microhematuria persistente 10% Glomerulonefritis aguda - Sindrome nefrótico IRA transitoria coincidente con macrohematuria
  • 55.
    Nefropatía por IgA Pronóstico Variable •Episodio único •Exacerbaciones repetidas •IRCT a 5 – 25 años del diagnóstico : 20 – 40 % Factores de riesgo Adultos, varones Hipertensión arterial, proteinuria persistente Ausencia de macrohematuria Insuficiencia renal al momento del diagnóstico PBR: glomeruloesclerosis, fibrosis intersticial
  • 56.
    Nefropatía por IgA EVOLUCIÓN • Remisión Espontánea < 5% • Curso Benigno con IgA Persistente 50 % • Curso Rápidamente Progresivo < 10 % • Curso Progresivo Lento 30 – 40 %
  • 57.
    Nefropatía por IgA Fisiopatología Respuesta exagerada de secreción de IgA 1 de médula ósea o amígdalas a estímulos virales u otros Reducción de clearance hepático Depósito glomerular mesangial de agregados inmunes de IgA 1 Respuesta mesangial a la injuria mediada por anticuerpo y C5b9 Producción autocrina de factores de crecimiento Proliferación celular Cambios en el fenotipo miofibroblástico Aumento producción de colágeno tipo I
  • 58.
    Patogenia N IgA(1) • Estímulo antigénico externo(aparato respiratorio (Virus) o digestivo(gliadina soja, alb.bovina) • Predisposición genética y alteración de la respuesta inmune de tipo IgA (Bw35, DR4, DRw12, B12, B27 DQw7) • Ruptura del eje médula-mucosa Producción de complejos inmune de IgA1 polimérica, policlonal tipo λ de origen medular • Déficit de la glicosilación de IgA1 (aumenta la agregación) • Menor aclaramiento hepático y fagocitosis • Hiperreactividad cel. B productoras de IgA • Niveles persistentes de IgA1 polimérica • Aumento de tamaño de IC IgA1 • Carga eléctrica (-) • Unión IC IgA1-Fibronectina • Unión de IC IgA1- Fc Depósitos Mesangiales de IgA1, IgG, C3
  • 59.
    Patogenia N IgA(2) Depósitos Mesangiales IgA1, IgG, C3 • Estímulo de cel. Mesangiales y Monocitos • Activación del Complemento por la vía alternativa(C5b-9) • Síntesis de factores de Crecimiento(PDGF, TGF, Angioten. II) • Síntesis de Interleuquinas (IL-6, TNF, etc,) • Proliferación de Cel.Mesangiales • Aumento de la Matriz Mesangial Apoptosis de cel.Mesangiales Factores antimitóticos Acción de Proteasas Mesangiales Factores Antifibróticos Productos anti-proinflamatorios vs Compromiso de los podocitos (escasa capacidad regenerativa) • Esclerosis Glomerular e intersticial • IRC
  • 60.
    Nefropatía por IgA Métodos diagnósticos 1. Elevación de IgA sérica (50 % de los pacientes) 2. Complementemia normal 3. Biopsia renal Clínica clásica Clínica atípica Serología negativa Función renal normal Insuficiencia renal Innecesaria Necesaria Diag. Diferencial: Nefritis hereditaria – Enf. M.B. delgada
  • 61.
    Hematuria glomerular GP. No Proliferativa Hematuria microscópica Suele llamarse “hematuria benigna” GP. con porque no es frecuente que evolucione M.B.Delgada a insuficiencia renal crónica. Su diagnostico solo se hace con PBR y microscopia electrónica. Enfermedad hereditaria ligada al cromosoma X se altera el gen que codifica la cadena 5 alfa del colágeno tipo IV constituyente Síndrome de principal de la MBG que se adelgaza. Alport La transmiten las mujeres y la padecen los hombres. Provoca hematuria macro / microscópica. Evoluciona a la IRC en varones afectados. Se diagnostica por ME.
  • 62.
  • 63.
  • 64.
    Enfermedades asociadas ala nefopatía por IgA Idiopática (mayoría) Limitada al riñón o secundaria a púrpura de Schonlein - Henoch Asociada a enfermedades generales Hígado Hepatopatía crónica con afectación del árbol biliar Gastrointestinal Enf. celíaca, enf. de Crohn, adenocarcinoma Respiratorio Neumonitis intersticial idiopática, bronquiolitis obstructiva, adenocarcinoma Piel Dermatitis herpetiforme, micosis fungoide, lepra Ojos Epiescleritis, uveítis anterior Otros Espondilitis anquilosante, policondritis recidivante, sind. de Sjögren, gammapatía monoclonal por IgA, esquistosomiasis
  • 65.
  • 66.
  • 67.
  • 68.
  • 69.
    Tratamiento “Específico” dela Nefropatía por IgA • Reducción de antígenos de la dieta Inmunosupresión e inmunomodulación Dieta libre de gluten Corticoides Ciclofosfamida • Remoción de antígenos infecciosos Azatioprina Amigdalectomía Ciclosporina A Tetraciclinas Altas dosis de inmunoglobulinas • Alteración de la permeabilidad de Micofenolato Mofetil la membrana mucosal a antígenos Antiagregantes Plaquetarios y alimenticios Anticoagulantes Cromoglicato de Sodio Aspirinas Acido aminosalicílico Dipiridamol Warfarina • Disolución de inmunocomplejos Urokinasa Danazol Otros Aceite de pescado (limita la produc. de citoquinas y eicosanoides) ACE Bloqueantes de los receptores At1 Estatinas
  • 70.
    Recomendaciones Terapéuticas IgA(1) MACROHEMATURIA (MICROHEMATURIA) F.R. Normal F.R. Normal F.R. IRA Cambios Hist. Leves Cambios Hist. Modern. NTA SEMILUNAS GNRP OBSERVACIÓN NEFROPROTECCIÓN DIALISIS CORTICOIDES INMUNOSUPRES PLASMAFERESIS DIALISIS
  • 71.
    Recomendaciones Terapéuticas IgA(2) PROTEINURIA F.R.Normal < 1g / 24 hs. Nefroprotección F.R. Disminuida Nefroprotección F.R.Normal Corticoides Corticoides + Inmuno 1g - 3 g / 24 hs. F.R. Disminuida Nefroprotección Corticoides F.R. Normal Corticoides + Inmuno Nefroprotección > 3 g / 24 hs. Nefroprotección F.R. Disminuida ¿ Corticoides? ¿ Corticoides + Inmuno?
  • 72.
    Nefropatía x IgA “ Anti- Progresión” (Sugerencia Lee Hebert- Giusseppe Remuzzi) Angiotensin Inhibition Statins Allopurinol Prednisona
  • 73.
    L.F., mujer ,23 años, cocinera Desde hace 2 días tiene hematuria indolora, sin coágulos. Está cursando cuadro de anginas, con fiebre de 38° En el último año ha tenido 2 episodios similares, que se resolvieron espontáneamente en 3 días. Un análisis de orina hace 1 mes reveló microhematuria 120/70, anginas rojas, resto s/p Hto 41 %, creatininemia 0.8 mg% Orina: Aspecto hemático, densidad 1020, pH 5.8. Proteínas 2.4 gr/L Hb: +++. Sedimento: campo cubierto de hematíes dismórficos ECO renal: Riñones de 116 x 52 x 38 mm Glomerulonefritis proliferativa mesangial
  • 75.
    D.G, varón, 30años, oficinista Desde hace 15 días manifiesta adinamia, fatiga, anorexia, con febrícula. Desde hace 1 semana edemas en cara matinal y en MMII vespertinos Desde hace 2 días náuseas y vómitos alimenticios, tos con esputo hemoptoico Mal estado general, disneico, pálido, edemas en fascie y MMII, 150/95 Hto: 23 %. Creatininemia 4,5 mg% Orina: Aspecto turbio. Densidad 1014. pH 5.6. Proteínas 1,3 gr/L Hb +++. Sedimento: Hematíes +++. Cilindros hemáticos ECO renal: Riñones de 115 x 54 x 39 mm Aumento de ecogenicidad cortical
  • 76.
    Glomerulonefritis rapidamente progresiva ·Sindromeclinico de declinación rápida y progresiva de la función renal ·Asociado con elementos de glomerulonefritis ( hematuria dismórfica y proteinuria glomerular ) ·Sin tratamiento evoluciona a IRCT en semanas o meses Con tratamiento agresivo, el pronóstico mejora
  • 77.
    Glomerulonefritis rapidamente progresiva Elementos de glomerulonefritis Curso progresivo, fulminante Frecuente oliguria - anuria Glomerulonefritis proliferativa extracapilar Glomerulonefritis subaguda Glomerulonefritis crescéntica(semilunas) Diagnóstico Diferencial Entidades que no comprometen primariamente al glomérulo, pero que se presentan clinicamente como síndrome de GNF RP Microangiopatías trombóticas - Enfermedad renal ateroembólica Necrosis tubular aguda - Nefritis intersticial aguda
  • 78.
    Causas de GNFRápidamente Progresiva 1. Enfermedades infecciosas 2. Enfermedades sistémicas 3. Drogas 4. Enfermedad glomerular 1ria. 5. Sobreimpuesto a otra enfermedad glomerular
  • 79.
    Causas de GNFRápidamente Progresiva Enfermedades infecciosas GN PEstreptocóccica Endocarditis Abceso visceral Infección por VHB (con vasculitis y/o crioglobulinemia)
  • 80.
    Causas de GNFRápidamente Progresiva Enfermedades sistémicas LES Purpura de Henoch-Schönlein Vasculitis sistémica necrotizante (incluída la granulomatosis de Wegener) Poliangitis microscópica Síndrome de Goodpasture Crioglobulinemia mixta esencial (IgG e IgM) Enfermedades malignas Policondritis recidivante Vasculitis reumatoide
  • 81.
    Causas de GNFRápidamente Progresiva Drogas Penicilamina Hidralazina (raro) Allopurinol (con vasculitis) Rifampicina (raro) Propiltiouracilo, carbimazol, benziltiouracilo Aminoguanidina
  • 82.
    Causas de GNFRápidamente Progresiva Enfermedad glomerular primaria GNRP Tipo I Tipo II Tipo III Tipo IV combinación de tipos I y III Tipo V ANCA-negativa Sobreimpuesto a otra enfermedad glomerular GNMP tipo II GP membranosa Nefropatía por Ig A
  • 83.
    Vasculitis Lasvasculitis sistémicas constituyen un grupo de enfermedades que se caracterizan por inflamación multifocal, necrosis de los vasos sanguíneos y, en ocasiones, se asocian a la formación de granulomas. Las vasculitis pueden tener diferentes formas de expresión, desde la forma local autolimitada hasta la forma difusa muy grave.
  • 84.
    La incidencia delas vasculitis, se calcula en más de 40 casos por millón de habitantes y la de las vasculitis asociadas a anticuerpos anticitoplasma del neutrófilo (ANCA) en 20 casos por millón. Las vasculitis renales primarias tienen una incidencia de 18 casos por millón de habitantes y su forma de vasculitis de pequeños vasos se considera la causa más importante de gromerulonefritis rápidamente progresiva.
  • 85.
    •Su evolución espontáneaes fatal, calculándose su mortalidad en un 80% en el primer año. •Con la introducción de los corticoides, la mortalidad en el primer año descendió al 60%, pero con los tratamientos actuales, empleando corticoides e inmunosupresores, se logra el control de la enfermedad en el 91% de los casos. •La mortalidad ha descendido al 20% a los cinco años, pero a expensas de una alta morbilidad.
  • 86.
    Desde la apariciónde los ANCA, y su determinación como práctica clínica habitual, las vasculitis se diagnostican de un modo mucho más precoz con el consiguiente descenso de la morbilidad El hecho de que los ANCA sean autoanticuerpos dirigidos contra estructuras propias hace considerar a las vasculitis con ANCA como un proceso de características autoinmunes
  • 87.
    VASCULITIS Y RIÑON Las manifestaciones renales de las vasculitis pueden expresarse en distintos síndromes: • Sme nefrítico • Sme nefrótico • Hematuria macroscópica recurrente • HTA • IRA • IRRP • IRC
  • 88.
    Las formas depresentación de los sindromes renales de las vasculitis sistémicas pueden ser: • Simultáneas a compromiso de otros órganos • Lesiones renales sin manifestaciones sistémicas
  • 89.
    Existe sospecha deenfermedad vasculítica sistémica cuando al sdme nefrológico se asocian: • Enfermedad de varios órganos • Signos ó síntomas de isquemia multifocal • Púrpura palpable • Mononeuritis múltiple • Compromiso del SNC • Dolor abdominal • Sme febril prolongado • Infiltrados, nódulos ó cavitación pulmonar
  • 90.
    Lesiones renales encontradasen las vasculitis Glomerulares : GNF proliferativa aguda, GNF MP I, GNF semilunas, GNF necrotizante Arteriales: arteritis granulomatosa de grandes vasos renales, aneurismas, eosinofilia vascular y perivascular, infartos renales, necrosis fibrinoide Intersticiales: granulomas, infiltrado eosinofílico, nefritis intersticial por drogas, fibrosis intersticial Tubulares: atrofia tubular isquémica Lesiones crónicas y secuelares
  • 92.
    Vasculitis Vasos de grancalibre Vasos de mediano calibre Arteritis células gigantes Vasculitis de pequeños Poliarteritis nodosa Arteritis de Takayasu Sdme de Kawasaki vasos Asociados a Anca Asociadas a inmunocomplejos Poliangeitis microscópica Vasculitis crioglobulinémicas Granulomatosis de Wegener Púrpura de Schonlein Henoch Sdme Churg Strauss Enfermedad anti MBG Drogas que inducen vasculitis Infección induciendo inmunocomplejos asociadas a Anca ( ej. Hepatitis B – C ) Vasculitis de la enfermedad del suero Paraneoplásico Vasculitis LES Vasculitis reumatoidea Carcinomas Vasculitis urticariana hipocomplementémica Neoplasias linfoproliferativas Enfermedad de Behcet Neoplasias mieloproliferativas Drogas que inducen vasculitis por inmunocomplejos Vasculitis de enfermedades inflamatorias intestinales
  • 93.
    GNF con semilunas- Clasificación Tipo I: Enfermedad asociada a anti - MBG A. Enfermedad glomerular primaria sin hemorragia pulmonar B. Con hemorragia pulmonar ( enfermedad de Goodpasture) C. Sobreimpuesta a otra enfermedad glomerular primaria ( GN M ) Tipo II: Enfermedad asociada a complejos inmunes A. Enfermedad glomerular primaria B. Enfermedad multisistémica ( LES, crioglobulinemia, hepatitis C ) C. Sobreimpuesta a otra enfermedad glomerular primaria ( IgA, MP ) D. Otras ( infecciones, drogas ) Tipo III: Enfermedad asociada a ANCA, pauci inmune A. Enfermedad glomerular primaria (PAM limitada al riñón ) B. Enfermedad multisistémica ( PAM, Wegener ) Tipo IV: Combinación de enfermedad tipo I y III Tipo V: Enfermedad pauci inmune no asociada a Anti MBG o ANCA (GNF con semilunas idiopática)
  • 94.
    Glomerulonefritis mediadas poranticuerpos Anticuerpos circulantes anti MBG (depósitos lineales a la I.F.) Con hemorragia pulmonar Sin hemorragia pulmonar Sindrome de Goodpasture GNF anti - MBG
  • 95.
    NEFRITIS ANTI MEMBRANABASAL GLOMERULAR Sindrome de Goodpasture Cuadro clínico Varones – 3ra década Glomerulonefritis aguda Hemorragia pulmonar Anemia con deficiencia de hierro Confirmación diagnóstica Anticuerpo IgG circulante contra MBG Biopsia renal con depósitos lineales en MBG (inmunofluorescencia)
  • 96.
  • 100.
    NEFRITIS ANTI MEMBRANABASAL GLOMERULAR Sindrome de Goodpasture Patogenia Incierto Post infecciones virales o exposición a hidrocarburos Sin antecedentes Anticuerpo nefritogénico contra región no colágena carboxiterminal de cadena alfa 3 del colágeno tipo IV de MBG Injuria : interacción de anticuerpo con antígeno de MBG activación del complemento generación de péptido quimiotácticos infiltración de neutrófilos con liberación de oxidantes y proteasas mecanismos inmunes mediados por células ?
  • 102.
    Sindrome de Goodpasture– Hemorragia pulmonar
  • 105.
  • 106.
  • 107.
  • 108.
    Examen Post mortende paciente con GNF Rápidamente Progresiva
  • 109.
    NEFRITIS ANTI MEMBRANABASAL GLOMERULAR Sindrome de Goodpasture Tratamiento Hemorragia pulmonar: pulsos esteroides 30 mg/kg IV – 3 dias alternos Enfermedad renal: pulsos de esteroides esteroides orales (1 mg/kg día por 6meses) ciclofosfamida (2-3 mg/kg día por 3 meses) plasmaféresis
  • 110.
    Recuperación renal enenfermedad por Anti MBG ( % a 1 año) Creat < 6 mg Creat > 6 mg %
  • 111.
    Enfermedad Anti MBG. Conclusiones I El diagnóstico rápido se puede establecer por ELISA o IF en la biopsia renal El tratamiento con prednisona/ciclofosfamida/plasmaféresis ha llevado a mejoría del pronóstico Los pacientes con creatininas < 5 mg% muestran un excelente pronóstico vital y renal Los pacientes en diálisis raramente recuperan la función renal
  • 112.
    Enfermedad Anti MBG. Conclusiones II La hemorragia pulmonar ± infecciones son la principal causa de muerte Los pacientes con antiMBG y Anca + tienen pronóstico similar a los anti MBG La recidiva es infrecuente, por lo que el tratamiento de mantenimiento no es necesario Se requieren ensayos terapéuticos mas específicos y menos tóxicos
  • 113.
    Síndromes Pulmón-Riñón SPR asociado a anticuerpos anti MBG: Sdme de Godpasture SPR en vasculitis sistémicas asociadas a ANCA •Granulomatosis de Wegener •Poliangeítis microscópica •Sdme de Churg-Strauss SPR en vasculitis sistémicas NO asociadas a ANCA •Púrpura de Schönlein-Henoch •Crioglobulinemia mixta esencial •Enfermedad de Behcet •Nefropatía por IgA SPR ANCA (+) sin vasculitis sistémica: SPR idiopático •GN necrotizante pauciinmune y capilaritis pulmonar SPR en vasculitis ANCA (+) asociadas a drogas •Propiltiouracilo, D-Penicilamina, Hidralazina, Allopurinol, Sulfasalazina SPR en pacientes ANCA y anti MBG (+) SPR en pacientes con enfermedades reumáticas inmunológicas (mediado por ANCA o inmunocomplejos): •LES •Esclerodermia (ANCA?) •Polimiositis •AR •EMTC SPR en microangiopatía trombótica: •Sme antifosfolípidos •PTT •Infecciones •Neoplasias Hemorragia alveolar difusa asociada a GN pauci inmune idiopática Papiris S.A., Manali, E.D., Kalomenidis, I., Kapotsis, G., Karakatsani A., Roussos, C. Bench -to -bedside review: Pulmonary-renal syndromes-an update for the intensivist. Critical Care 2007, 11:213
  • 114.
    Glomerulonefritis mediadas poranticuerpos Localización glomerular de complejos inmunes ( Depósitos granulares a la I..F.) IgA sin IgA con LES Infección Cambios Depósitos Depósitos Fibrillas Otros vasculitis vasculitis aguda mesangio densos sub 20 nm sistémica strep/staf capilares MBG epiteliales Nefropatía Púrpura Nefritis GN aguda GNMP GNMP GN GN Muchas IgA S-H lúpica postinfecc. tipo I tipo II Membranosa Fibrilar otras
  • 115.
    Glomerulonefritis mediadas poranticuerpos ANCA circulantes con depósitos I.F. leves Sin Vasculitis Granulomas Eosinofilia vasculitis sin asma ni sin asma y sistémicas granulomas asma granulomas GN Granulomatosis Sindrome P.A.M. ANCA WEGENER Churg - Strauss
  • 116.
    Frecuencia del compromisorenal en las formas severas de vasculitis de pequeños vasos. Patología Compromiso renal (%) PSH 50 Crioglobulinemi 55 PAM a 90 GW 80 SCS 45
  • 117.
  • 118.
  • 119.
    Vasculitis Leucocitoclástica… (1) (1) Small-Vessel Vasculitis. NEJM 1997; 337:1512-1523
  • 120.
    GN Rapidamente Progresiva Anatomía Patológica Microscopía de luz: Lesiones necrotizantes focales con formación de semilunas en más del 50 % de los glomérulos Inmunofluorescencia: Tipo I : Depósitos lineales, difusos de IgG y C en la MBG Tipo II : Depósitos granulares de Ig y C Tipo III : Sin depósitos de Ig Fibrina en las semilunas, independientemente del mecanismo Microscopía electrónica: Disrupción focal de la membrana basal, células mononucleares y fibrina en el espacio urinario, degeneración de células epiteliales y endoteliales. Depósitos electrodensos en el tipo II y en las etiologías secundarias con una patogenia mediada por IC
  • 121.
  • 123.
  • 124.
  • 125.
  • 126.
  • 127.
    Vasculitis asociadas aANCA ( EUVAS Group ) Extensión - Severidad Categoría Definición Localizada Compromiso de la vía aérea superior y/o inferior, sin afectación de otro órgano ni síntomas constitucionales Sistémica Cualquier afectación sin riesgo vital ni amenaza para la temprana sobrevida de algún órgano. Cr<2.5mg/dl Generalizada Compromiso renal o de otro órgano, con Cr<5.6mg/dl Severa Falla renal, o de otro órgano vital, Cr>5.6mg/dl Refractaria Enfermedad progresiva sin respuesta a corticoides o ciclofosfamida •EULAR Recommendations for the Management of Primary Small and Medium Vessel Vasculitis. Ann Rheum Dis 2008; on line 15 April 2008.
  • 128.
    GW - PAM Inducción remisión Mantenimiento Enf. localizada Cotrimazol ± corticoides Cotrimazol ± corticoides Enf. sistémica temprana Metotrexate + corticoides Metotrexate + corticoides Enf. generalizada Pulsos ciclofosfamida + Azatioprina + corticoides corticoides Vasculitis renal severa Ciclofosfamida altas dosis + Azatioprina + corticoides y/o hemorragia pulsos corticoides + pulmonar severa plasmaféresis Enf. refractaria Ig endovenosa Micofenolato mofetil 15-deoxyspergualina Globulina antitimocítica Rituximab Infliximab •EULAR Recommendations for the Management of Primary Small and Medium Vessel Vasculitis. Ann Rheum Dis 2008; on line 15 April 2008.
  • 129.
    Cuadro 3: Enfermedadesque pueden simular una vasculitis sistémica con IRA •GNAPE •Microangiopatía trombótica (PTT-SHU) •Sdme de Goodpasture •Hipertensión maligna •Esclerosis sistémica progresiva •Sdme de embolia múltiple de colesterol •Preeclampsia/eclampsia •Hipersensibilidad a drogas con nefritis intersticial •Sarcoidosis •Nefritis túbulointersticial con uveítis (TINU) •Fibrosis retroperitoneal •Hepatitis viral •Endocarditis bacteriana •Neumonía con GN •Sepsis •CID •SIDA •LES •Sdme. antifosfolípido •Enfermedad por depósito de cadenas livianas •Crioglobulinemia mixta esencial •Trombosis de las venas renales con TEP Sarano, H.D., Gavosto, J.J. “Vasculitis y riñón” en Vasculitis Sistémicas: Toma de decisiones. Battagliotti, C., Pons-Estel, B., Berbotto, G., Kilstein, J. 1999.
  • 130.
    D.G, varón, 30años, oficinista Desde hace 15 días manifiesta adinamia, fatiga, anorexia, con febrícula. Desde hace 1 semana edemas en cara matinal y en MMII vespertinos Desde hace 2 días náuseas y vómitos alimenticios, tos con esputo hemoptoico Mal estado general, disneico, pálido, edemas en fascie y MMII, 150/95 Hto: 23 %. Creatininemia 4,5 mg% Orina: Aspecto turbio. Densidad 1014. pH 5.6. Proteínas 1,3 gr/L Hb +++. Sedimento: Hematíes +++. Cilindros hemáticos ECO renal: Riñones de 115 x 54 x 39 mm Aumento de ecogenicidad cortical Glomerulonefritis rápidamente progresiva
  • 132.
    N.M., mujer, 35años, ama de casa Desde hace 2 meses refiere edemas en cara y MMII que se han incrementado. Desde hace 1 año padece de poliartritis de articulaciones medianas y pequeñas, con episodios febriles, alopecía y úlceras en la boca y nariz Edemas en cara, MMII, ascitis. 140/100 Hto 34%, creatininemia 1.8 mg% Orina: Ligeramente turbia, Densidad 1027 ,pH 5.2, Proteínas 6 gr/L Hb+++.Sedimento. Cilindros hialino granulosos ++ Cilindros epiteliales ++. Cilindros hemáticos ++. Cuerpos ovales grasos ++ ECO renal: Riñones de 110 x 50 x 31 mm Aumento de ecogenicidad cortical
  • 133.
    Glomerulopatías: presentación clinicopatológica Patrón estructural GN membrano proliferativa Presentación clínica Combinación variable de rasgos nefríticos y nefróticos: disminución aguda o subaguda del filtrado glomerular, sedimento urinario activo, proteinuria, a veces sindrome nefrótico Datos patológicos Proliferación difusa de células mesangiales e infiltración de los glomérulos por macrófagos, aumento de la matriz mesangial y engrosamiento y repliegue de la membrana basal glomerular. Causas más comunes GN por inmunocomplejos Asociada a microangiopatías trombóticas Asociadas a enfermedades por depósito Post Tx renal o de médula ósea
  • 134.
    Causas de glomerulonefritismembrano proliferativa Idiopática Tipo I Depósitos inmunitarios subepiteliales y mesangiales Tipo II Depósitos densos intra mebranosos que contienen poca o ninguna Ig, asociado a factor nefrítico C3 Tipo III Rasgos de GNMP tipo I y nefropatía membranosa Asociada a enfermedades generales o medicamentos Enfermedades por inmunocomplejos Infecciones crónicas Enfermedades malignas Hepatopatías Otros
  • 135.
    Causas de glomerulonefritismembrano proliferativa Asociada a enfermedades generales o medicamentos Enfermedades por inmunocomplejos LES, crioglobulinemia mixta, síndrome de Sjögren Infecciones crónicas Hepatitis B y C , HIV, endocarditis bacteriana, derivaciones ventrículo auriculares, abceso visceral Enfermedades malignas Leucemias, linfomas Hepatopatías Hepatitis crónica activa y cirrosis ( generalmente asociada a hepatitis B o C) Otros Lipodistrofia parcial, consumo de heroína, sarcoidosis, deficiencia hereditaria de C2, microangiopatías trombóticas
  • 139.
  • 140.
  • 141.
    N.M., mujer, 35años, ama de casa Desde hace 2 meses refiere edemas en cara y MMII que se han incrementado. Desde hace 1 año padece de poliartritis de articulaciones medianas y pequeñas, con episodios febriles, alopecía y úlceras en la boca y nariz Edemas en cara, MMII, ascitis. 140/100 Hto 34%, creatininemia 1.8 mg% Orina: Ligeramente turbia, Densidad 1027 ,pH 5.2, Proteínas 6 gr/L Hb+++.Sedimento. Cilindros hialino granulosos ++ Cilindros epiteliales ++. Cilindros hemáticos ++. Cuerpos ovales grasos ++ ECO renal: Riñones de 110 x 50 x 31 mm Aumento de ecogenicidad cortical Glomerulonefritis lúpica proliferativa
  • 142.