“Temblores
Esenciales”
Esther Blanco Vicente
4 Octubre 2016
Temblor Esencial
• Es el temblor patológico más frecuente
• Prevalencia del 0,9%, aumentando al 4,6% en >65 años
• Temblor 8-12 Hz Cinético > Postural en MMSS
(también vocal y cefálico)
• MMSS=>Cabeza=>Mandíbula (en orden de
aparición e intensidad)
TE: Heterogeneidad Clínica
• Diferentes síntomas motores y no motores
• Temblor cefálico o vocal, temblor de reposo
• Inestabilidad postural, ataxia de la marcha
• Alteraciones en el seguimiento ocular. Supresión de ROV.
• Mayor incidencia de Demencia (x2)
• Sintomatología psiquiátrica: depresión, ansiedad, trastornos de
personalidad
• Parkinsonismo
TE: Heterogeneidad Terapéutica
• Diferente respuesta a diferentes fármacos
• Primidona, propranolol, DBS, otros...
• 50% responden algo al tratamiento
• 50% no responden nada al tratamiento
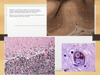
TE: Heterogeneidad Patológica
• Dos tipos de cambios estructurales
• TE Cerebeloso (75%)
• Cambios degenerativos cerebelosos
• Disminución del 40% del número de células de Purkinje
• Aumento de 6 veces el número de torpedos
• Heterotopia de células de Purkinje
• Ausencia de Cuerpos de Lewy
• Variante Cerebelosa de TE (25%)
• Presencia de Cuerpos de Lewy en Locus Ceruleus exclusivamente
1. Matthew et al. Purkinje cell loss in essential tremor:
random sampling quantification and nearest neighbor
analysis. Movement Disorders 2016 (31): 393-401.
2. Shill et al. Lewy bodies in essential tremor. Parkinsonism and
related Disorders 2016 (23): 106-107.
• DATSCAN
• Mínimo déficit dopaminérgico en el núcleo caudado de los
pacientes con TE. Se trata de un patrón diferente al de la EP
(mayor implicación del putamen)
Heterogeneidad Genética
• Asociación familiar (AD)
• Variabilidad clínica intrafamiliar
• Edad de inicio, localización e intensidad del temblor
• Intervención de factores ambientales
• Genes asociados:
• Asociación entre LINGO1 con TE > EP
• HTRA2 p.G399S, asociado con TE y con EP
• Desarrollo de TE en individuos heterocigotos y homocigotos
• Homocigosis relacionada con edad de inicio más temprana y mayor
severidad del temblor
• Otros genes asociados: TENM4, NOS3, KCNS2, HAPLN4,
USP46
Temblor Esencial
• ¿Estamos ante una o varias enfermedades?
• Parkinsonismos: EP, PSP, DCB, AMS
• Probable origen degenerativo
• Heterogeneidad clínica: Entre un 30 y un 50% de
pacientes diagnosticados de TE, no tienen realmente
TE.
Temblor Esencial y
Deterioro Cognitivo
• Estudio NEDICES: 2375 participantes
• 135 casos de TE establecido
• 56 casos de TE premotor
• 2184 controles
Estudio NEDICES, 3 años de seguimiento
• Los pacientes con TE premotor y TE establecido respecto a los
controles:
• > Edad
• > Analfabetos, y procedentes de un área de clase obrera
• > Tomaban fármacos con efectos en SNC y tenían más síntomas
depresivos
• Los pacientes con TE establecido y premotor tenían una
puntuación en el MMSE basal más baja que los
controles(siendo esta diferencia significativa únicamente en el
TE establecido)
Estudio NEDICES, 3 años de seguimiento
• Empeoramiento en la puntuación del MMSE significativamente
mayor en TE premotor respecto a controles
• Empeoramiento de 0,7 +/- 3,3 puntos en TE establecido; 1,1 +/-
3,5 puntos en TE premotor; 0,1 +/-3,9 puntos en controles
• Excluyendo a los pacientes con TE con un MMSE por debajo de la
media de los controles, el empeoramiento fue de 1,3 +/-2,9; 1,3 +/-
3,3 y 0,1 +/- 3,9 puntos respectivamente
• Los tests cognitivos basales fueron más bajos en TE
premotores respecto a controles; además, a los 3 años de
seguimiento, el empeoramiento en los tests cognitivos era
significativamente más rápido en TE premotores respecto a
controles (reducción de 1,1 puntos en MMSE)
Estudio NEDICES, 3 años de seguimiento
• Estos datos sugieren la posibilidad de que existan síntomas
no motores que precedan la aparición de la sintomatología
motora
• La depresión se asociaba en el estudio NEDICES a un
mayor riesgo de TE. ¿La depresión se trata de una
característica primaria, o precede a la enfermedad al igual
que en otras patologías degenerativas?
Caso 1
• Varón de 68 años diagnosticado de TE en 2008
• Temblor de acción que repercute para comer y escribir
• Exploración: Temblor postural bilateral leve y de acción leve-
moderado I>D. Fromment + bilateral.
• DATSCAN y Eco SN normales
• Valoración NPS DCL de tipo disejecutivo + bradipsiquia (GDS
3)
• MMSE 29/30 (falla en dibujo)
Temblor Esencial
y
Enfermedad de Parkinson
• 12/64 (18,8%) pacientes con TE, tenían temblor de reposo, lo que
se asoció a mayor duración de la enfermedad mayor severidad del
temblor y presencia de temblor cefálico (Cohen et al. 2003)
• Aunque el temblor mandibular se asocia típicamente a EP, se
identificó en el 7,5% de pacientes con TE de una muestra
poblacional. Se asoció a mayor edad, mayor severidad de temblor en
manos, cabeza y vocal, y la presencia de temblor de reposo (Louis
et al. 2006)
• El temblor cefálico se observa típicamente en pacientes con TE,
pero se objetivó en 5 pacientes con EP, respondía a L-dopa y tenía
una frecuencia similar al temblor en extremidades (4-6 Hz) (Roze
et al. 2006)
• Los pacientes con TE tuvieron mayor dificultad en los movimientos
repetidos de dedos, así como en el tiempo de reacción visual,
comparados con controles (Jiménez-Jiménez et al. 2010)
• Los pacientes con TE, comparados con controles, tenían más dificultad
para la marcha en tándem, y mayor inestabilidad postural. Durante la
marcha normal, un aumento en la base de sustentación en los pacientes
con TE, se correlacionaba con la gravedad del temblor axial.
(Hoskocova et al. 2013)
• Los pacientes con TE-EP eran mayormente hombres, de forma similar
a la EP. El lado de mayor severidad de la EP se correspondía al sitio
de mayor afectación del TE. (Minen and Louis 2008)
• Los pacientes con TE-EP tenían temblor en menos territorios
comparados con aquellos con TE, y requirieron menos medicaciones
para TE. Los pacientes con TE-EP y EP tenían puntuaciones similares
en escalas UPDRS, H&Y y Schwab. (Simoes et al. 2012)
• 90% pacientes con EP tienen temblor de acción
• 18% pacientes con TE tienen temblor de reposo
• La coexistencia de ambos tipos de temblor puede
ocurrir en un 5,8% de los pacientes en 3,3 años de
seguimiento.
• TE puede ser asimétrico, puede asociar ligera
bradicinesia o rigidez
Temblor Esencial vs Enfermedad de
Parkinson Tremórica
• TE: historia familiar 68%, menor edad de inicio, mayor tiempo
de evolución de la enfermedad
• EP-T tienen más síntomas no motores que TE
• Hiposmia, TCSREM, alucinaciones, sueños vívidos, ortostatismo,
estreñimiento, fatiga, alteraciones cognitivas, urgencia urinaraia
• Desde el punto de vista clínico, el subtipo de temblor no puede
usarse para discriminar entre EP y TE, salvo en el caso del
temblor de reposo en MMII:
• Temblor de EP, mayor asimetría, más de reposo
• Temblor de TE, más temblor cefálico, más postural o cinético
• Estudio EMG de temblor de MMSS
• Temblor de reposo 5,5 Hz en TE vs. 4,7 Hz en EP
• Temblor postural 6,7 Hz en TE vs. 6 Hz en EP
• Temblor de acción 7,3 Hz en TE vs 6,1 Hz en EP
• Únicamente los patrones de contracción muscular del
temblor cinético pueden diferenciar entre ET y EP
• TE: co-contracción de flexores y extensores
• EP: contracción alternante de flexores y extensores
Temblor Esencial vs Enfermedad de
Parkinson Tremórica
Coexistencia TE y EP
• 27 pacientes TE-EP comparados con 35 pacientes EP y 109
pacientes TE
• Ajustada la edad, el tiempo de evolución y la puntuación en la
UPDRS en EP y EP-TE, la puntuación en el temblor era
mayor en TE-EP que en EP
• El número de horas al día de temblor fue más bajo en EP (3 h
de media), intermedia en TE (10 h) y más alta en TE-EP (14 h)
• La valoración de movilidad y equilibrio fue mejor en TE>EP >TE-EP
• Puntuación en MMSE: mejor TE >EP> TE-EP
• Somnolencia diurna: mayor en TE-EP>EP>TE
• Historia familiar de TE: 70,3% de TE, 62,5% en TE-EP y 32,4% en EP
• Historia familiar de EP: 23,6% de EP, 12,5% en TE-EP y 9,6% en ET
• 24 pacientes habían sido tratados con DBS: 8 TE, 3 EP y 13 TE-EP. El
análisis primario de este grupo tenía resultados reproducibles a los
anteriores
Coexistencia TE y EP
• 30 pacientes con TE-EP y 53 con EP (duración similar de la EP en
ambos grupos)
• MMSE y TICS
• MMSE: 26,5+/- 3,1 puntos en TE-EP vs. 28,4+/-2,2 puntos en EP
• Orientación, lenguaje, memoria de trabajo (memoria diferida p=0,06)
• No diferencias en item motor y de construcción
• La puntuación de ambas escalas estaba inversamente correlacionada con
la duración de la enfermedad
Coexistencia TE y EP
• Los pacientes con TE-EP pueden experimentar más
dificultades cognitivas que los enfermos con EP
únicamente; Además tienen mayor riesgo de
desarrollar una demencia
• Los dominios afectados en la exploración no reflejan
únicamente un mayor déficit subcortical, sino que
afectan a habilidades que suelen afectar más
típicamente a demencias corticales (EA)
Caso 2
• Mujer 79 años. Temblor de intención y menos de reposo en
MSD>MSI de 1 año de evolución. Sensación de inestabilidad
de la marcha. Insomnio, sueños vívidos. Hiposmia y sd.
Depresivo de larga evolución. Alucinaciones visuales leves hace
3-4 años. Quejas cognitivas leves.
• Exploración: Palmomentoniano + bilat. Sacadas oculares lentas.
Hipocinesia generalizada. Temblor postural y cinético muy leve
bilateral D>I. Disminución de braceo global
• Eco SN normal.
• Valoración NPS DCL disejecutivo + sd. Ansioso-depresivo,
GDS 3
Temblor Asociado a la Edad
TE: dos grupos de edad
• 839 pacientes diagnosticados de ET
probable o definitivo cuya edad de inicio era
conocida. Reclutamiento transversal en toda
una región.
• Valoración de temblor con Espiral de
Arquímedes y Escala de Fahn-Tolosa-Marin
• Dos grupos de edad bien definidos:
• Inicio temprano: inicio antes de los 24 años
• Inicio tardío: inicio después de los 46 años
TE: dos grupos de edad
• Inicio temprano
• Historia familiar de temblor (75%
frente a 59%)
• Mayor sensibilidad al alcohol (76%
frente a 45%)
• Inicio tardío
• Progresión más rápida
• No diferencias significativas en la
respuesta terapéutica en ambos grupos
ni en la localización del temblor
Progresión clínica según Espiral de Arquímedes
Temblor Asociado a
la Edad
• Numerosos ancianos con temblor unilateral que suele ser de
reposo, catalogados de TE, a pesar de no cumplir criterios
clínicos
• 2448 sujetos >70 años del “Longitudinal Study of Aging
Danish Twins 2001”, 84% participaron
• 134 pacientes con screening de TE positivo y 128 controles
• Clasificados en TE definitivo, posible y probable, según Espiral de
Arquímedes
• El porcentaje de sujetos con temblor aumenta con la edad, igual
que la intensidad del temblor, medida con la espiral
• La mortalidad (11 años de seguimiento) fue mayor en los sujetos
que tenían un valor de la espiral mayor al inicio, además puntuaban
peor en escalas de cognición y en ABVD.
• Los sujetos con diagnóstico de TE no tenían peor puntuación que
los controles en parámetros de envejecimiento físicos, cognitivos y
de mortalidad
• El temblor que debuta en >70 años se asocia a peores parámetros
asociados al envejecimiento y mortalidad que los sujetos control o
con TE, por lo que se ha propuesto llamarlo Aging-Related Tremor
(ART)
Temblor Asociado
a la Edad
• Temblor de acción de inicio tardío
• Normalmente esporádico, sin historia familiar
• Clínica asociada relacionada con el envejecimiento:
alteración cognitiva, Actividades de la vida diaria,
disminución de la fuerza, envejecimiento rápido
• 10 pacientes con ART + 10 pacientes con TE de inicio precoz + 10
controles de TE
• Grupos ajustados al tiempo de evolución de la enfermedad. El grupo
TE(C) se ajustó de acuerdo a las amplitudes del EMG, que eran
similares
• Registro EEG paralelamente a EMG de superficie en tres diferentes
situaciones:
• Postura de brazos contra gravedad
• Contracción isométrica de 1º interóseo dorsal (fuerza media, peso 30g)
• Movimientos lentos de flexo-extensión (0,2-0,5 Hz) con ambos brazos
• Valoración de parámetros relacionados con la edad: fuerza en cada
mano y batería psicométrica
• Fuerza significativamente menor en el grupo de ART
• Test cognitivos peores en ART
• Implicación de red córtico-mesencéfalo-cerebelo-
tálamo-cortical en TE; en ART red córtico-talámica
únicamente.
Muthuraman Muthuraman, Günther Deuschl, et al. Essential and Aging-Related Tremor: Differences of Central Control.
Movement Disorders 2015, 30(12):1673-80.
Caso 3
• Mujer de 75 años, temblor bilateral de 2-3 años de evolución, de
acción, repercute al comer, también de reposo. Sd. Depresivo.
• Exploración: Palmomentoniano + bilateral. Seguimiento
sacádico lento. Temblor postural leve 7,2 Hz drcho y 7,7 Hz
izdo, Temblor de reposo en MSD leve. Dificultad para la
marcha (mecánica)
• Eco SN normal
• No mejoría con propranolol. Mala tolerancia con primidona. Se
inicia ZNS.
Conclusiones
• El Temblor Esencial es una enfermedad degenerativa
• El TE se asocia a mayor riesgo de desarrollo de EP y de
Deterioro Cognitivo
• El TE-EP se asocia a mayor temblor, alteración postural y
cognitiva
• El TE es una enfermedad heterogénea, “Temblores Esenciales”
• El nuevo concepto de “Temblor Asociado a la Edad” se asocia
a peores parámetros de envejecimiento y mayor mortalidad
Gracias por vuestra
atención

Temblores esenciales

  • 1.
  • 2.
    Temblor Esencial • Esel temblor patológico más frecuente • Prevalencia del 0,9%, aumentando al 4,6% en >65 años • Temblor 8-12 Hz Cinético > Postural en MMSS (también vocal y cefálico) • MMSS=>Cabeza=>Mandíbula (en orden de aparición e intensidad)
  • 4.
    TE: Heterogeneidad Clínica •Diferentes síntomas motores y no motores • Temblor cefálico o vocal, temblor de reposo • Inestabilidad postural, ataxia de la marcha • Alteraciones en el seguimiento ocular. Supresión de ROV. • Mayor incidencia de Demencia (x2) • Sintomatología psiquiátrica: depresión, ansiedad, trastornos de personalidad • Parkinsonismo
  • 5.
    TE: Heterogeneidad Terapéutica •Diferente respuesta a diferentes fármacos • Primidona, propranolol, DBS, otros... • 50% responden algo al tratamiento • 50% no responden nada al tratamiento
  • 6.
    TE: Heterogeneidad Patológica •Dos tipos de cambios estructurales • TE Cerebeloso (75%) • Cambios degenerativos cerebelosos • Disminución del 40% del número de células de Purkinje • Aumento de 6 veces el número de torpedos • Heterotopia de células de Purkinje • Ausencia de Cuerpos de Lewy • Variante Cerebelosa de TE (25%) • Presencia de Cuerpos de Lewy en Locus Ceruleus exclusivamente
  • 7.
    1. Matthew etal. Purkinje cell loss in essential tremor: random sampling quantification and nearest neighbor analysis. Movement Disorders 2016 (31): 393-401. 2. Shill et al. Lewy bodies in essential tremor. Parkinsonism and related Disorders 2016 (23): 106-107.
  • 8.
    • DATSCAN • Mínimodéficit dopaminérgico en el núcleo caudado de los pacientes con TE. Se trata de un patrón diferente al de la EP (mayor implicación del putamen)
  • 9.
    Heterogeneidad Genética • Asociaciónfamiliar (AD) • Variabilidad clínica intrafamiliar • Edad de inicio, localización e intensidad del temblor • Intervención de factores ambientales • Genes asociados: • Asociación entre LINGO1 con TE > EP • HTRA2 p.G399S, asociado con TE y con EP • Desarrollo de TE en individuos heterocigotos y homocigotos • Homocigosis relacionada con edad de inicio más temprana y mayor severidad del temblor • Otros genes asociados: TENM4, NOS3, KCNS2, HAPLN4, USP46
  • 11.
    Temblor Esencial • ¿Estamosante una o varias enfermedades? • Parkinsonismos: EP, PSP, DCB, AMS • Probable origen degenerativo • Heterogeneidad clínica: Entre un 30 y un 50% de pacientes diagnosticados de TE, no tienen realmente TE.
  • 12.
  • 13.
    • Estudio NEDICES:2375 participantes • 135 casos de TE establecido • 56 casos de TE premotor • 2184 controles
  • 14.
    Estudio NEDICES, 3años de seguimiento • Los pacientes con TE premotor y TE establecido respecto a los controles: • > Edad • > Analfabetos, y procedentes de un área de clase obrera • > Tomaban fármacos con efectos en SNC y tenían más síntomas depresivos • Los pacientes con TE establecido y premotor tenían una puntuación en el MMSE basal más baja que los controles(siendo esta diferencia significativa únicamente en el TE establecido)
  • 15.
    Estudio NEDICES, 3años de seguimiento • Empeoramiento en la puntuación del MMSE significativamente mayor en TE premotor respecto a controles • Empeoramiento de 0,7 +/- 3,3 puntos en TE establecido; 1,1 +/- 3,5 puntos en TE premotor; 0,1 +/-3,9 puntos en controles • Excluyendo a los pacientes con TE con un MMSE por debajo de la media de los controles, el empeoramiento fue de 1,3 +/-2,9; 1,3 +/- 3,3 y 0,1 +/- 3,9 puntos respectivamente • Los tests cognitivos basales fueron más bajos en TE premotores respecto a controles; además, a los 3 años de seguimiento, el empeoramiento en los tests cognitivos era significativamente más rápido en TE premotores respecto a controles (reducción de 1,1 puntos en MMSE)
  • 16.
    Estudio NEDICES, 3años de seguimiento • Estos datos sugieren la posibilidad de que existan síntomas no motores que precedan la aparición de la sintomatología motora • La depresión se asociaba en el estudio NEDICES a un mayor riesgo de TE. ¿La depresión se trata de una característica primaria, o precede a la enfermedad al igual que en otras patologías degenerativas?
  • 17.
    Caso 1 • Varónde 68 años diagnosticado de TE en 2008 • Temblor de acción que repercute para comer y escribir • Exploración: Temblor postural bilateral leve y de acción leve- moderado I>D. Fromment + bilateral. • DATSCAN y Eco SN normales • Valoración NPS DCL de tipo disejecutivo + bradipsiquia (GDS 3) • MMSE 29/30 (falla en dibujo)
  • 18.
  • 20.
    • 12/64 (18,8%)pacientes con TE, tenían temblor de reposo, lo que se asoció a mayor duración de la enfermedad mayor severidad del temblor y presencia de temblor cefálico (Cohen et al. 2003) • Aunque el temblor mandibular se asocia típicamente a EP, se identificó en el 7,5% de pacientes con TE de una muestra poblacional. Se asoció a mayor edad, mayor severidad de temblor en manos, cabeza y vocal, y la presencia de temblor de reposo (Louis et al. 2006) • El temblor cefálico se observa típicamente en pacientes con TE, pero se objetivó en 5 pacientes con EP, respondía a L-dopa y tenía una frecuencia similar al temblor en extremidades (4-6 Hz) (Roze et al. 2006)
  • 21.
    • Los pacientescon TE tuvieron mayor dificultad en los movimientos repetidos de dedos, así como en el tiempo de reacción visual, comparados con controles (Jiménez-Jiménez et al. 2010) • Los pacientes con TE, comparados con controles, tenían más dificultad para la marcha en tándem, y mayor inestabilidad postural. Durante la marcha normal, un aumento en la base de sustentación en los pacientes con TE, se correlacionaba con la gravedad del temblor axial. (Hoskocova et al. 2013) • Los pacientes con TE-EP eran mayormente hombres, de forma similar a la EP. El lado de mayor severidad de la EP se correspondía al sitio de mayor afectación del TE. (Minen and Louis 2008) • Los pacientes con TE-EP tenían temblor en menos territorios comparados con aquellos con TE, y requirieron menos medicaciones para TE. Los pacientes con TE-EP y EP tenían puntuaciones similares en escalas UPDRS, H&Y y Schwab. (Simoes et al. 2012)
  • 22.
    • 90% pacientescon EP tienen temblor de acción • 18% pacientes con TE tienen temblor de reposo • La coexistencia de ambos tipos de temblor puede ocurrir en un 5,8% de los pacientes en 3,3 años de seguimiento. • TE puede ser asimétrico, puede asociar ligera bradicinesia o rigidez
  • 23.
    Temblor Esencial vsEnfermedad de Parkinson Tremórica • TE: historia familiar 68%, menor edad de inicio, mayor tiempo de evolución de la enfermedad • EP-T tienen más síntomas no motores que TE • Hiposmia, TCSREM, alucinaciones, sueños vívidos, ortostatismo, estreñimiento, fatiga, alteraciones cognitivas, urgencia urinaraia • Desde el punto de vista clínico, el subtipo de temblor no puede usarse para discriminar entre EP y TE, salvo en el caso del temblor de reposo en MMII: • Temblor de EP, mayor asimetría, más de reposo • Temblor de TE, más temblor cefálico, más postural o cinético
  • 24.
    • Estudio EMGde temblor de MMSS • Temblor de reposo 5,5 Hz en TE vs. 4,7 Hz en EP • Temblor postural 6,7 Hz en TE vs. 6 Hz en EP • Temblor de acción 7,3 Hz en TE vs 6,1 Hz en EP • Únicamente los patrones de contracción muscular del temblor cinético pueden diferenciar entre ET y EP • TE: co-contracción de flexores y extensores • EP: contracción alternante de flexores y extensores Temblor Esencial vs Enfermedad de Parkinson Tremórica
  • 25.
    Coexistencia TE yEP • 27 pacientes TE-EP comparados con 35 pacientes EP y 109 pacientes TE • Ajustada la edad, el tiempo de evolución y la puntuación en la UPDRS en EP y EP-TE, la puntuación en el temblor era mayor en TE-EP que en EP • El número de horas al día de temblor fue más bajo en EP (3 h de media), intermedia en TE (10 h) y más alta en TE-EP (14 h)
  • 26.
    • La valoraciónde movilidad y equilibrio fue mejor en TE>EP >TE-EP • Puntuación en MMSE: mejor TE >EP> TE-EP • Somnolencia diurna: mayor en TE-EP>EP>TE • Historia familiar de TE: 70,3% de TE, 62,5% en TE-EP y 32,4% en EP • Historia familiar de EP: 23,6% de EP, 12,5% en TE-EP y 9,6% en ET • 24 pacientes habían sido tratados con DBS: 8 TE, 3 EP y 13 TE-EP. El análisis primario de este grupo tenía resultados reproducibles a los anteriores
  • 27.
    Coexistencia TE yEP • 30 pacientes con TE-EP y 53 con EP (duración similar de la EP en ambos grupos) • MMSE y TICS • MMSE: 26,5+/- 3,1 puntos en TE-EP vs. 28,4+/-2,2 puntos en EP • Orientación, lenguaje, memoria de trabajo (memoria diferida p=0,06) • No diferencias en item motor y de construcción • La puntuación de ambas escalas estaba inversamente correlacionada con la duración de la enfermedad
  • 28.
    Coexistencia TE yEP • Los pacientes con TE-EP pueden experimentar más dificultades cognitivas que los enfermos con EP únicamente; Además tienen mayor riesgo de desarrollar una demencia • Los dominios afectados en la exploración no reflejan únicamente un mayor déficit subcortical, sino que afectan a habilidades que suelen afectar más típicamente a demencias corticales (EA)
  • 29.
    Caso 2 • Mujer79 años. Temblor de intención y menos de reposo en MSD>MSI de 1 año de evolución. Sensación de inestabilidad de la marcha. Insomnio, sueños vívidos. Hiposmia y sd. Depresivo de larga evolución. Alucinaciones visuales leves hace 3-4 años. Quejas cognitivas leves. • Exploración: Palmomentoniano + bilat. Sacadas oculares lentas. Hipocinesia generalizada. Temblor postural y cinético muy leve bilateral D>I. Disminución de braceo global • Eco SN normal. • Valoración NPS DCL disejecutivo + sd. Ansioso-depresivo, GDS 3
  • 30.
  • 31.
    TE: dos gruposde edad • 839 pacientes diagnosticados de ET probable o definitivo cuya edad de inicio era conocida. Reclutamiento transversal en toda una región. • Valoración de temblor con Espiral de Arquímedes y Escala de Fahn-Tolosa-Marin • Dos grupos de edad bien definidos: • Inicio temprano: inicio antes de los 24 años • Inicio tardío: inicio después de los 46 años
  • 32.
    TE: dos gruposde edad • Inicio temprano • Historia familiar de temblor (75% frente a 59%) • Mayor sensibilidad al alcohol (76% frente a 45%) • Inicio tardío • Progresión más rápida • No diferencias significativas en la respuesta terapéutica en ambos grupos ni en la localización del temblor Progresión clínica según Espiral de Arquímedes
  • 33.
    Temblor Asociado a laEdad • Numerosos ancianos con temblor unilateral que suele ser de reposo, catalogados de TE, a pesar de no cumplir criterios clínicos • 2448 sujetos >70 años del “Longitudinal Study of Aging Danish Twins 2001”, 84% participaron • 134 pacientes con screening de TE positivo y 128 controles • Clasificados en TE definitivo, posible y probable, según Espiral de Arquímedes
  • 34.
    • El porcentajede sujetos con temblor aumenta con la edad, igual que la intensidad del temblor, medida con la espiral • La mortalidad (11 años de seguimiento) fue mayor en los sujetos que tenían un valor de la espiral mayor al inicio, además puntuaban peor en escalas de cognición y en ABVD. • Los sujetos con diagnóstico de TE no tenían peor puntuación que los controles en parámetros de envejecimiento físicos, cognitivos y de mortalidad • El temblor que debuta en >70 años se asocia a peores parámetros asociados al envejecimiento y mortalidad que los sujetos control o con TE, por lo que se ha propuesto llamarlo Aging-Related Tremor (ART)
  • 35.
    Temblor Asociado a laEdad • Temblor de acción de inicio tardío • Normalmente esporádico, sin historia familiar • Clínica asociada relacionada con el envejecimiento: alteración cognitiva, Actividades de la vida diaria, disminución de la fuerza, envejecimiento rápido
  • 36.
    • 10 pacientescon ART + 10 pacientes con TE de inicio precoz + 10 controles de TE • Grupos ajustados al tiempo de evolución de la enfermedad. El grupo TE(C) se ajustó de acuerdo a las amplitudes del EMG, que eran similares • Registro EEG paralelamente a EMG de superficie en tres diferentes situaciones: • Postura de brazos contra gravedad • Contracción isométrica de 1º interóseo dorsal (fuerza media, peso 30g) • Movimientos lentos de flexo-extensión (0,2-0,5 Hz) con ambos brazos • Valoración de parámetros relacionados con la edad: fuerza en cada mano y batería psicométrica • Fuerza significativamente menor en el grupo de ART • Test cognitivos peores en ART
  • 37.
    • Implicación dered córtico-mesencéfalo-cerebelo- tálamo-cortical en TE; en ART red córtico-talámica únicamente. Muthuraman Muthuraman, Günther Deuschl, et al. Essential and Aging-Related Tremor: Differences of Central Control. Movement Disorders 2015, 30(12):1673-80.
  • 38.
    Caso 3 • Mujerde 75 años, temblor bilateral de 2-3 años de evolución, de acción, repercute al comer, también de reposo. Sd. Depresivo. • Exploración: Palmomentoniano + bilateral. Seguimiento sacádico lento. Temblor postural leve 7,2 Hz drcho y 7,7 Hz izdo, Temblor de reposo en MSD leve. Dificultad para la marcha (mecánica) • Eco SN normal • No mejoría con propranolol. Mala tolerancia con primidona. Se inicia ZNS.
  • 39.
    Conclusiones • El TemblorEsencial es una enfermedad degenerativa • El TE se asocia a mayor riesgo de desarrollo de EP y de Deterioro Cognitivo • El TE-EP se asocia a mayor temblor, alteración postural y cognitiva • El TE es una enfermedad heterogénea, “Temblores Esenciales” • El nuevo concepto de “Temblor Asociado a la Edad” se asocia a peores parámetros de envejecimiento y mayor mortalidad
  • 40.

Notas del editor

  • #3 EP 0,3% de prevalencia, del 1% en >65 años
  • #7 Más cuerpos de lewy que en sujetos control., este patrón tampoco descrito en cerebros con cuerpos de lewy atípicos. En The arizona study of aging and neurodegeneration se describió una incidencia incidental de LB de 21% en TE, similar a la descrita en sujetos control (19%), lo que sugiere que EP y TE son dos entidades claramente independientes Torpedos: inflamación de la porción proximal del axón de las células de purkinje, representan una respuesta celular a la lesión. acumulaciones masivas de neurofilamentos desorientados que desplazan las estructuras neuronales normales. Los torpedos se producen en las células de Purkinje en proceso de degeneración; también pueden ser un signo de recuperación de las células de Purkinje en respuesta a la lesión. Se han descrito en procesos patológicos caracterizados por la degeneración de tejido cerebeloso, incluyendo ataxias cerebelosas, daño cerebeloso debido a la toxicidad del mercurio y ataxia cerebelosa paraneoplásica
  • #11 Esquema de la heterogeneidad del TE. Puede estar organizada en etiología de la enfermedad, cambios a nivel tisular, que ocurren después de que se inicie el proceso de enfermedad, y según se desarrolle, características clínicas que son el resultado de los procesos patológicos subyacentes.
  • #14 Rate of cognitive decline during the premotor phase of essential tremor Estudio NEDICES: población >65 años de Las Margaritas, Lista y Arévalo
  • #20 Temblor postural en EP: Reemergente Temblor de acción en TE: Intencional Temblor cefálico: más asociado a TE; cuando aparece en EP suele ser de reposo, con respuesta a L-dopa Temblor mandibular: mayor asociación con EP; cuando aparece en TE, relacionado con mayor edad, mayor gravedad del temblor de acción y otras localizaciones del temblor
  • #24 Este estudio trató de eliminar la coexistencia de ambas enfermedades, usando criterios de inclusión en varios pasos.
  • #26 ET-PD: diagnóstico de TE al menos 5 años antes del diagnóstico de PD
  • #28 Telephone Interview for Cognitive Status TICS
  • #30 Pte. DATSCAN y TC, iniciado rexer Sospecha de sinucleopatía
  • #32 46% de los pacientes no estaban previamente diagnosticados de TE. El reclutamiento se hizo a través de anuncios en periódicos,
  • #33 Progresión clínica según la espiral de arquímedes En inicio tardío, 59% de antecedentes familiares de temblor Sensibilidad al alcohol 45% en inicio tardío
  • #34 84% participaron haciendo espiral de arquímedes, además 276 cumplían criterios de screening de TE, 14 excluidos por EP y otros 14 por diagnóstico incierto. Los individuos de más edad tenían valores más altos de temblor.
  • #37 De una selección de 61 pacientes de una cohorte de TE de 846 pacientes evaluados desde 2002. 1º interóseo dorsal y extensores de antebrazo En este estudio consideran TE precoz, a menores de 30 años y ART a mayores de 50 años Homogeneidad en cuanto a la severidad del temblor (EMG similar) y el tiempo de evolución de enfermedad
  • #38 Esto podría reflejar un origen más cortical en ART comparado con EG Otros tipos de temblor pueden separarse de acuerdo a sus características clínicas. Sin embargo TE y ART son clinicamente similares desde el punto de vista de la fenomenología del temblor. Esta diferencia en su red neuronal puede deja entreve las diferencias subyacentes entre ellas