Toxoplasmosis
ARANTXA CECILIA VALLES GARZA
Etiología
 Parásito intracelular obligado
Toxoplasma Gondii
 La enfermedad es de
importancia en salud pública
porque puede ocasionar
abortos, malformaciones o
muerte en los seres humanos y
animales domésticos.
Clasificación
Reino Protista
Filo Apicomplexa
Clase Conoidasida
Orden Eucoccidiorida
Familia Sarcystidae
Género Toxoplasma
Especie Gondii (Nicole &
Manceaux, 1980)
Nombre
Del griego:
Toxos » arcos
Plasma » forma
Ctenodactylus
gondii
Huésped definitivo
Huésped Intermediario
Cualquier animal de sangre caliente y aves
Morfología
•Ooquistes
•Taquizoitos
•Bradizoitos
La
enfermedad
se presenta
en tres
formas:
Ooquiste
Forma
esferoide
Miden de 11-
15 x 9-11 µm
Contienen dos
esporoquistes
elipsoidales,
cada uno con 4
esporozoitos
Felinos
eliminan los
ooquistes no
esporulados en
heces fecales
Taquizoito
Forma replicativa, intracelular, responsable de la
diseminación y la destrucción tisular
Miden 3 x 6 µm
Forma oval, con un extremo en punta y el otro redondeado
Se reproducen rápidamente por división binaria en vacuolas
parasitóforas que forman en células nucleadas.
La replicación conduce a la lisis celular y a la diseminación a
diferentes tejidos
Contenidos en quistes tisulares
Reproducción lenta
Miden 1.5 x 7.0 µm
En condiciones de inmunocompromiso se
reactivan y diseminan como taquizoítos
Bradizoito
Quiste Los quistes maduros
miden en promedio 70
μm y contienen unos
1000 bradizoitos.
Presentan una delgada
membrana elástica, y
pueden persistir en
tejidos durante el resto
de la vida del
hospedero.
Se ubican
principalmente en
cerebro, músculo
esquelético y cardíaco.
Transmisión
 Ingesta o manipulación de carne contaminada con quistes
tisulares (cruda/malcocida)
 Ingesta de agua/alimentos contaminados con ooquistes esporulados
 Transmisión congénita (transplacentaria) — taquizoitos
 Manipulación inadecuada de las cajas de arena de gatos
 Transplante de órganos — quistes tisulares, taquizoitos
 Transfusión sanguínea — taquizoitos
 Inoculación accidental en laboratorios
CicloBiológico
Patogenia.
 Los bradizoitos
penetran en las células
del epitelio intestinal y
se multiplican
ejerciendo una acción
expoliatríz al
alimentarse del
citoplasma de las células
parasitadas
 Acción traumática por la
ruptura de la célula
ocupada por el parasito.
 Hay invasión de ganglios mesentéricos y
otros órganos por vía linfática y sanguínea.
 No se ha demostrado producción de
toxinas pero hay focos de necrosis a nivel
de ganglios mesentéricos, intestino y
otros órganos como corazón, adrenales,
etc. Por lo cual el huésped puede morir
debido a una toxoplasmosis aguda.
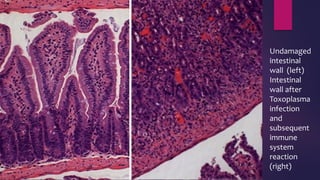
Undamaged
intestinal
wall (left)
Intestinal
wall after
Toxoplasma
infection
and
subsequent
immune
system
reaction
(right)
 Lo mas común es que haya una recuperación y se
adquiera inmunidad con la aparición de anticuerpos
humorales.
 Los taquizoitos empiezan a desaparecer de los tejidos
viscerales, pero permanecen como quistes en tejido
nervioso como medula y cerebro, siendo al inmunidad
menos efectiva a nivel nervioso que a nivel visceral.
Quistes de Toxoplasma
gondii en diferentes
tejidos. (A) Cerebro. (B)
Pulmón. (C) Hígado. (D)
Cerebro (Tinción de
PAS). (E) Hígado.
Detección del parásito
mediante
inmunohistoquímica.
Diagnóstico
 Inmunofluorescencia indirecta
(IFI).
 Prueba de Sabin y
Feldman (S-F).
Prueba de
ELISA (PCR)
 Prueba de
hemaglutinación
indirecta (HIA).
 Se puede reconocer
por medio de
examen
microscópico de
muestras al fresco o
teñidas.
Tratamiento
 La mayoría de pacientes
inmunocompetentes no
requieren de tratamiento
 Debe tenerse en cuenta que los
fármacos existentes no
destruyen los quistes tisulares.
 Se emplean: espiramicina,
pirimetamina, sulfadiazina y
ácido fólico, clindamicina,
trimetoprim-sulfametoxazol.
La clindamicina, antibiótico del grupo de las
lincosamidas
Perro (10-20 mg/kg/12 h, durante 2 semanas)
Gato (12,5-25 mg/kg/12 h, durante 2 semanas)
Vía parenteral u oral
La sulfadiazina, a la dosis de 30 mg/kg y la pirimetamina a 0,4
mg/kg combinadas son muy eficaces en ambas especies.
 Se administran por la vía oral, cada 12 horas durante 14 días
 La pirimetamina puede desarrollar supresión de la médula ósea, por
lo tanto se recomienda la administración preventiva de ácido fólico.
 En los gestantes, la droga de elección es la espiramicina
 En gatos, también hay un tratamiento para evitar la
excreción de ooquistes con drogas anticoccidiósicas
(toltrazuril, monensina, sulfamidas).
Control y Profilaxis
 Las mujeres embarazadas deben observar particular higiene en su relación con
los gatos.
 El lavado frecuente de las manos antes de alimentarse.
 El lavado de manos después de manipular carne cruda o vegetales frescos.
 Ingestión de carne bien cocida, ahumada o en salmuera.
 Alimentarse con vegetales frescos sólo cuando se sepa que fueron bien
lavados.
 El trabajo de jardinería siempre con guantes.
 Evitar el contacto directo con excretas de gatos.
Bibliografía
 Parasitología y enfermedades parasitarias de los animales domésticos.
Hector Quiroz Romero
Editorial Limusa, 1984 - 876 pag.
 www.veterinariargentina.com/revista/2009/08/toxoplasma-gondii-infeccion-
en-perros-y-gatos/
 www.facmed.unam.mx/deptos/microbiologia/parasitologia/toxoplasmosis.ht
ml
 www.ecured.cu/index.php/Toxoplasmosis_en_animales
Esporozoíto, eritrocito. Microscopía de de barrido.
T. gondii oocysts in a fecal flotation
Corte histopatológico. Taquizoítos en cerebro.
Corte histopatológico. Taquizoítos en músculo cardíaco.

Toxoplasmosis

  • 1.
  • 2.
    Etiología  Parásito intracelularobligado Toxoplasma Gondii  La enfermedad es de importancia en salud pública porque puede ocasionar abortos, malformaciones o muerte en los seres humanos y animales domésticos.
  • 3.
    Clasificación Reino Protista Filo Apicomplexa ClaseConoidasida Orden Eucoccidiorida Familia Sarcystidae Género Toxoplasma Especie Gondii (Nicole & Manceaux, 1980)
  • 4.
    Nombre Del griego: Toxos »arcos Plasma » forma Ctenodactylus gondii
  • 5.
  • 6.
    Huésped Intermediario Cualquier animalde sangre caliente y aves
  • 7.
  • 8.
    Ooquiste Forma esferoide Miden de 11- 15x 9-11 µm Contienen dos esporoquistes elipsoidales, cada uno con 4 esporozoitos Felinos eliminan los ooquistes no esporulados en heces fecales
  • 9.
    Taquizoito Forma replicativa, intracelular,responsable de la diseminación y la destrucción tisular Miden 3 x 6 µm Forma oval, con un extremo en punta y el otro redondeado Se reproducen rápidamente por división binaria en vacuolas parasitóforas que forman en células nucleadas. La replicación conduce a la lisis celular y a la diseminación a diferentes tejidos
  • 10.
    Contenidos en quistestisulares Reproducción lenta Miden 1.5 x 7.0 µm En condiciones de inmunocompromiso se reactivan y diseminan como taquizoítos Bradizoito
  • 11.
    Quiste Los quistesmaduros miden en promedio 70 μm y contienen unos 1000 bradizoitos. Presentan una delgada membrana elástica, y pueden persistir en tejidos durante el resto de la vida del hospedero. Se ubican principalmente en cerebro, músculo esquelético y cardíaco.
  • 12.
    Transmisión  Ingesta omanipulación de carne contaminada con quistes tisulares (cruda/malcocida)  Ingesta de agua/alimentos contaminados con ooquistes esporulados  Transmisión congénita (transplacentaria) — taquizoitos  Manipulación inadecuada de las cajas de arena de gatos  Transplante de órganos — quistes tisulares, taquizoitos  Transfusión sanguínea — taquizoitos  Inoculación accidental en laboratorios
  • 13.
  • 14.
    Patogenia.  Los bradizoitos penetranen las células del epitelio intestinal y se multiplican ejerciendo una acción expoliatríz al alimentarse del citoplasma de las células parasitadas  Acción traumática por la ruptura de la célula ocupada por el parasito.
  • 15.
     Hay invasiónde ganglios mesentéricos y otros órganos por vía linfática y sanguínea.  No se ha demostrado producción de toxinas pero hay focos de necrosis a nivel de ganglios mesentéricos, intestino y otros órganos como corazón, adrenales, etc. Por lo cual el huésped puede morir debido a una toxoplasmosis aguda.
  • 16.
  • 17.
     Lo mascomún es que haya una recuperación y se adquiera inmunidad con la aparición de anticuerpos humorales.  Los taquizoitos empiezan a desaparecer de los tejidos viscerales, pero permanecen como quistes en tejido nervioso como medula y cerebro, siendo al inmunidad menos efectiva a nivel nervioso que a nivel visceral.
  • 18.
    Quistes de Toxoplasma gondiien diferentes tejidos. (A) Cerebro. (B) Pulmón. (C) Hígado. (D) Cerebro (Tinción de PAS). (E) Hígado. Detección del parásito mediante inmunohistoquímica.
  • 19.
  • 20.
     Prueba deSabin y Feldman (S-F).
  • 21.
  • 22.
  • 24.
     Se puedereconocer por medio de examen microscópico de muestras al fresco o teñidas.
  • 25.
    Tratamiento  La mayoríade pacientes inmunocompetentes no requieren de tratamiento  Debe tenerse en cuenta que los fármacos existentes no destruyen los quistes tisulares.  Se emplean: espiramicina, pirimetamina, sulfadiazina y ácido fólico, clindamicina, trimetoprim-sulfametoxazol.
  • 26.
    La clindamicina, antibióticodel grupo de las lincosamidas Perro (10-20 mg/kg/12 h, durante 2 semanas) Gato (12,5-25 mg/kg/12 h, durante 2 semanas) Vía parenteral u oral
  • 27.
    La sulfadiazina, ala dosis de 30 mg/kg y la pirimetamina a 0,4 mg/kg combinadas son muy eficaces en ambas especies.  Se administran por la vía oral, cada 12 horas durante 14 días  La pirimetamina puede desarrollar supresión de la médula ósea, por lo tanto se recomienda la administración preventiva de ácido fólico.  En los gestantes, la droga de elección es la espiramicina
  • 28.
     En gatos,también hay un tratamiento para evitar la excreción de ooquistes con drogas anticoccidiósicas (toltrazuril, monensina, sulfamidas).
  • 29.
    Control y Profilaxis Las mujeres embarazadas deben observar particular higiene en su relación con los gatos.  El lavado frecuente de las manos antes de alimentarse.  El lavado de manos después de manipular carne cruda o vegetales frescos.  Ingestión de carne bien cocida, ahumada o en salmuera.  Alimentarse con vegetales frescos sólo cuando se sepa que fueron bien lavados.  El trabajo de jardinería siempre con guantes.  Evitar el contacto directo con excretas de gatos.
  • 30.
    Bibliografía  Parasitología yenfermedades parasitarias de los animales domésticos. Hector Quiroz Romero Editorial Limusa, 1984 - 876 pag.  www.veterinariargentina.com/revista/2009/08/toxoplasma-gondii-infeccion- en-perros-y-gatos/  www.facmed.unam.mx/deptos/microbiologia/parasitologia/toxoplasmosis.ht ml  www.ecured.cu/index.php/Toxoplasmosis_en_animales
  • 31.
  • 32.
    T. gondii oocystsin a fecal flotation
  • 34.
    Corte histopatológico. Taquizoítosen cerebro. Corte histopatológico. Taquizoítos en músculo cardíaco.