ENFERMEDADES
DEL TRACTO BILIAR - TC Y RM
DR. J. LUIS DE LA TORRE GASTÉLUM R2RX
HGE “DR. ERNESTO RAMOS BOURS”.
QUISTES DEL COLÉDOCO
Dilatación aneurismática segmentaria
de los conductos biliares.
• congénito
• ↑ vía biliar extrahepática
Tamaño
• 2-15 cm
Niñez
• ♀
(80-90%)
Frecuencia
• raro
Morfología
• lesión congénita más
frecuente de la VB
• continuidad con el árbol
biliar
• ↑ + desórdenes
quísticos/fibróticos del
hígado
Cuadro clínico
• tríada: dolor CSD +
ictericia + masa palpable
• dolor abdominal
(fusiforme)
• fiebre intermitente
• vómito
• prurito
Clasificació
n de Todani
I II
III IV
Hallazgos por TC
• lesión quística c/densidad líquida bien definida
en el trayecto de los conductos biliares
• dilatación de conductos intra-/extrahepáticos
• + C
• sin reforzamiento
Dilatación extra/intrapancreática de la vía biliar extrahepática, Todani I.
Quiste gigante de colédoco, Todani I.
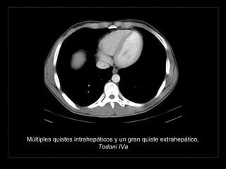
Múltiples quistes intrahepáticos y un gran quiste extrahepático,
Todani IVa
Hallazgos por RM
• T1: hipointensa
• T2: hiperintensa
• T1 + C: sin reforzamiento
• CPRM: bilis hiperintensa en comparación con
la vena porta.
Quiste de colédoco, Todani I.
Quiste de colédoco Todani I + IPMN de rama
Diagnósticos
diferenciales
• Obstrucción maligna
del colédoco
• Enfermedad de Caroli
• Pseudoquiste
pancreático
• Colangitis piogénica
recurrente
Complicaciones
• calculos, colangitis,
pancreatitis
• ruptura, peritonitis
biliar, absceso y
hemorragia
• Degeneración maligna
rara:
Colangiocarcinoma
Tratamiento
• Excisión quirúrgica
• Hepatoyeyunoanastomosis
en Y de Roux
ENFERMEDAD DE CAROLI
Enfermedad de Caroli:
Dilatación biliar sacular
intrahepática, congénita,
multifocal y segmentaria.
Sx. de Caroli: Dilatación
quística de conductos biliares +
fibrosis hepática.
Ectasia biliar cavernosa comunicante
Localización
• difusa, lobar o
segmentaria
Tamaño
• pocos mm - cm
• Todani V
Edad
• adolescentes, ↓ RN e
infantes
Epidemiología
• herencia autosómica recesiva
• rara
• ♀=♂
• se asocia a:
• riñón medular en esponja
• enfermedad renal poliquística
autosómica dominante
• Tipo simple
• Malformación del platillo
ductal del conducto biliar
intrahepático central
• adultos
• Tipo fibrosis periportal
• Malformación del platillo
ductal del conducto biliar
intrahepático central +
conductos biliares
periféricos más pequeños
• provocan fibrosis
• infancia
Cuadro clínico
• Tipo simple
• dolor CSD
• ataques recurrentes de colangitis,
fiebre e ictericia
• Tipo fibrosis periportal
• dolor, hepatoesplenomagalia
• hematemesis (várices)
• Asintomática en etapas tempranas
• ↑ enzimas hepáticas y bilirrubina
Hallazgos por TC
• áreas hipodensas, pequeñas y múltiples que
son inseparables de la VBIH dilatada.
• + C
• pequeños puntos que refuerzan (radículos
portales) entre la VBIH dilatada.
Enfermedad de Caroli Típica
Enfermedad de Caroli + Riñones poliquísticos
Enfermedad de Caroli + Riñones poliquísticos
Hallazgos por RM
• T1: dilataciones
saculares hipointensas,
múltiples y pequeñas
• T2: hiperintensas
• T1 + C: reforzamiento
de los radículos entre la
VBIH dilatada
• CPRM: múltiples
estructuras ovaladas
hiperintensas
• continuidad con la vía
biliar
• contenido
hiperintenso de los
conductos biliares en
contraste con la vena
porta, que aparece
como ausencia de la
señal.
Enfermedad de Caroli Típica
Enfermedad de Caroli Típica
Enfermedad de Caroli + Riñones poliquísticos
Diagnósticos diferenciales
• Enfermedad hepática poliquística
• Hamartomas biliares
• Colangitis esclerosante primaria
• Colangitis ascendente
• Colangitis piogénica recurrente
Tratamiento
• localizado a un lóbulo o
segmento
• lobectomía hepática
o segmentectomía
• enfermedad difusa
• conservador
• descompresión del
tracto biliar: drenaje
o anastomosis
bilioentérica
• litotripsia
extracorpórea
• sales biliares orales
• transplante hepático
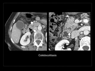
COLÉDOCOLITIASIS
• Estasis biliar:
formación de cálculos
de bilirrubinato
• Infección: E. coli,
Klebsiella y otros Gram
(-) con actividad β-
glucoronidasa
Colangiolitiasis o cálculo biliar
obstrucción dilatación esclerosis estenosis
Etiología
• cálculos
• tamaño 1-15 mm
• causa más frecuente de
obstrucción de la vía biliar
sin dilatación
• composición
• colesterol 70-80%
• pigmento 20-30%
occidente
• bilirrubinato de calcio 20-
30% oriente
• 15% colelitiasis tienen
colédocolitiasis
• 15-25% colecistitis aguda
tienen colédocolitiasis
• 12-15% colecistectomías
tienen colédocolitiasis
• Cálculos ductales primarios (5%)
• enfermedad hemolítica crónica
• colangitis recurrente
• anomalías congénitas de los conductos
biliares (Enf. de Caroli)
• alteración motora del esfínter de Oddi
• dieta baja en grasa y proteínas
• cuerpo extraño
• parásitos: Clonorchis sinensis y Ascaris
• Cálculos ductales secundarios (95%)
• obesidad
• enfermedad de Crohn y resección ileal
• anemias hemolíticas
• anemia de células falciformes
• esferocitosis hereditaria
• triglicéridos aumentados,
hiperalimentación
• nativo americano
vesícula biliar
Epidemiología
• 25 millones de
americanos
• 95% de colédocolitiasis
por cálculos
secundarios
Incidencia en México
• 14.3% TOTAL
• 8.5% ♂
• 20.4% ♀
Cuadro clínico
• dolor CSD, prurito,
ictericia, pancreatitis
• perfil: 4 F’s
Laboratorio
• ↑ FA y BD
• TGO y TGP (tardío)
Sensibilidad
CPRE Gold Santard
CPRM 83-100%
CT C- 75-85%
US 50-60%
Hallazgos por TC
• densidad del cálculo
aire - < agua - tejidos blandos -
calcio
• mixtas: anillo calcificado y nido central
• ↑ atenuación (75-85%)
• signo “ojo de buey”: anillo de bilis rodeando un cálculo en un
conducto
• colesterol puro = isodensas con la bilis
• terminación abrupta del colédoco
• dilatación de la VBIH y EH
• Cálculos
• posición posterior (dependiente)
• semiluna de bilis o aire rodeando la
porción anterior del cálculo
• forma geométrica o angulada
• apariencia multilaminar
• signos de inflamación
• edema periductal, engrosamiento
epitelial biliar y reforzamiento
mural.
• mejor valoración
• cortes delgados y MPR
• contraste oral (-) > (+)
• oscurecimiento litos
ampulares
• parámetros altos del
tubo 140 kVp
• litos hiperdensos >
bilis
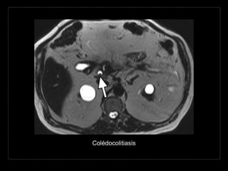
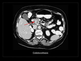
Colédocolitiasis
Colédocolitiasis
Colédocolitiasis
Colédocolitiasis
Colédocolitiasis
Colédocolitiasis + contraste de eliminación biliar
2 mm
Hallazgos por RM
• CPRM (RARE - HASTE)
• bilis: muy hiperintensa
• cálculos: foco hipointenso
• defectos de llenado
hipointensos entre la bilis
hiperintensa.
• T1
• apariencia variable.
CPRM
S 89-100%
E 83-100%
S 50%
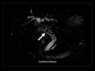
Colédocolitiasis
Colédocolitiasis
Colédocolitiasis
Colédocolitiasis
Colédocolitiasis
Colédocolitiasis
Colédocolitiasis + lito de pigmento
“Pitfalls” de la RM
• cálculos < 3 mm
• segmento biliar con múltiples cálculos y escasa bilis
• constricción/estenosis
• neumobilia
• ausencia de señal
• localización no dependiente
• artefacto de florecimiento o “blooming artifact”
(T1-GE)
Diagnósticos diferenciales
• Cáncer de páncreas o ampular
• Pancreatitis crónica
• Colangiocarcinoma
• Estenosis o disfunción papilar
• Colangitis esclerosante primaria
Tratamiento
• cálculos < 3 mm: paso
espontáneo
• cálculos 3-10 mm:
esfinterotomía
endoscópica
• cálculos >10-15 mm:
litotripsia mecánica.
CÁLCULOS INTRAHEPÁTICOS
• raros
• común en pacientes con
colangitis piógena
recurrente
• común en conductos de
calibre mayor
• lóbulo hepático izquierdo
(5x)
• segmento posterior del
lóbulo hepático derecho
Hepatolitiasis
D I50%
V
V
B
60%
• Asociación con
anomalías biliares
• enfermedad de
Caroli
• atresia biliar
• fibrosis quística
• cirugía biliar previa
Epidemiología
• endémico Este de Asia
• Taiwan
• 40% de colelitiasis
• cálculos
• 90% bilirrubinato de calcio
• bacterias entéricas y anaerobias
• E. coli, Klebsiella, Aerobacter,
Streptococcus feacalis
• Clostridium y Bacteroides
• factor de riesgo para
colangiocarcinoma
50
%
30
%
mixto cultivos
Cuadro clínico
• dolor abdominal
• fiebre
• ictericia
• colangitis*
Laboratorios
• ↑FA
• ↑GGT
Hallazgos por TC y RM
• similares a los de la colédocolitiasis
Cálculos intrahepáticos
Cálculos intrahepáticos
Cálculos intrahepáticos
Cálculos intrahepáticos
Cálculos intrahepáticos
SÍNDROME DE MIRIZZI
Obstrucción parcial o
completa del conducto
hepático común
debido a un cálculo
impactado en el
conducto cístico o en
el infundíbulo de la
vesícula biliar.
• Cirujano argentino
• Profesor de cirugía
• Ictericia obstructiva
por cálculo
impactado + proceso
inflamatorio
• bolsa de Hartmann
• infundíbulo
• conducto cístico
Profesor Pablo Luis Mirizzi
(1893-1964).
Mejor pista diagnóstica
• cálculo impactado en el
conducto cístico en US con
dilatación proximal del
conducto hepático común.
• Tamaño: 1-3 cm
• Morfología: defecto de
llenado suave en la CPRE a
nivel del conducto hepático
común.
Etiología
• anatomía del c. cístico orientado
paralelo al c. hepático común e
inserción baja
• impactación de uno o varios
cálculos en el c. cístico o en el cuello
de la vesícula biliar
• obstrucción parcial o completa del
conducto hepático común.
Epidemiología
• similar a la de la colelitiasis
• > 40 años ♂ 1:2 ♀(70%)
Clasificación
Tipo I Compresión extrínseca del CHC
por una cálculo del CC
Tipo II
Fístula colecistobiliar <1/3 de la
circunferencia de la pared del
conducto
Tipo III
Fístula colecistobiliar 2/3 de la
circunferencia de la pared del
conducto
Tipo IV
Fístula colecistobiliar de toda la
circunferencia de la pared del
conducto
Tipo V
Cuadro clínico
• fiebre
• ictericia
• dolor en CSD
• colangitis*
↑ CA19-9
Certeza Diagnóstica
CPRE 55-90%
CPRM 50%
US 29%
CT + C
Exclusión malignidad
en el hilio porta o
hígado
Hallazgos por TC
• + C
• conductos intrahepáticos
dilatados
• cálculo en el cuello de la
vesícula
• colédoco normal
• cambios inflamatorios
pericolecísticos por
colecistitis aguda/crónica
Hallazgos por RM
• T2
• conductos
intrahepáticos
dilatados
hiperintensos
• defectos de llenado
hipointensos =
cálculos (vesícula y
c. cístico)
• T1 + C
• conductos
intrahepáticos
dilatados
hipointensos
• cálculos en el c.
cístico
• colédoco normal
• CPRM
• conductos intrahepáticos dilatados
• defectos de llenado en conducto hepático
común.
Síndrome de Mirizzi
Síndrome de Mirizzi
Síndrome de Mirizzi
Diagnósticos diferenciales
• Cálculos del conducto cístico
• Obstrucción del conducto hepático común por
nódulos
• Colangiocarcinoma.
Tratamiento
• colecistectomía con disección del c. cístico para
evitar lesión del conducto hepático común.
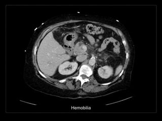
HEMOBILIA
Presencia de sangrado hacia el
árbol biliar y sangre en la bilis.
• Causas:
• trauma/biopsia
• enfermedad inflamatoria
• colelitiasis
• tumor
• anormalidades vasculares
Hallazgos por TC y RM
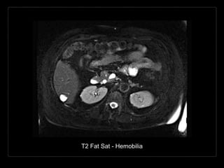
• contenido con densidad/intensidad hemática
• contenido heterogéneo de la vesícula biliar
• posición dependiente
• vesícula distendida con engrosamiento de su
pared
• + C
• reforzamiento de la pared vesicular
Hemobilia
Hemobilia
Hemobilia
Hemobilia
Hemobilia
T2 Fat Sat - Hemobilia
T2 Fat Sat - Hemobilia
NEUMOBILIA
Acumulación de aire
en el árbol biliar.
Aerobilia
Causas
• instrumenación reciente de la
vía biliar
• CPRE
• colangiografía percutánea o
intraoperatoria
• incompetencia del esfínter de
Oddi
• esfinterotomía (50% al año)
• después del paso de un
cálculo
• cicatrizal (pancreatitis
crónica)
• fármacos (atropina)
• congénito
• anastomosis quirúrgica bilio-
entérica
• colecistoenterostomia
• colédocoduodenostomia
• procedimiento de Whipple.
• fístula bilio-entérica
espontánea
• íleo biliar
• úlcera péptica
• traumático
• neoplasia
(colangiocarcinoma,
ampuloma)
• infección (raro)
• colangitis
• colecistitis
enfisematosa (20%)
• absceso hepático*
• fístula bilio-broncopleural
(rara)
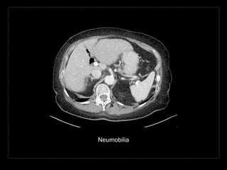
Hallazgos por imagen
• ramificaciones lineales de aire en el hígado
• más prominente en los conductos de mayor calibre
• central
• gas en el sistema venoso portal*
• ramificaciones de aire de calibre pequeño hacia la
periferia
Neumobilia
Neumobilia
Neumobilia
INFECCIONES
DEL ÁRBOL
BILIAR
TC Y RM
COLANGITIS BACTERIANA
AGUDA
Inflamación de las paredes
de los conductos biliares
intra-/extrahepáticos
secundario a obstrucción e
infección.
Colangitis ascendente
contaminación
bacteriana
bilis
estancada
presión intrabiliar
(>20 cm H₂O)
+
+
flujo
anterógrado
esfínter de
Oddi
IgAsales biliares
BILIS ESTÉRIL :
Etiología
• cálculo biliar, estenosis y estenosis papilar
cálculo → obstrucción → estasis biliar
→ infección
Epidemiología
• 20-50 años
• ♀=♂
• tipo más común de colangitis
• colelitiasis asociada
• desnutrición y parasitosis*
(E. coli)
Colédocolitiasis 80%
Tumores 10-30%
Factores de riesgo
• > 70 años
• enfermedad neurológica
• divertículo periampular.
Cuadro clínico
• dolor abdominal
• fiebre
• ictericia
• choque
• confusión
Laboratorios
• ↑FA
• ↑GGT
TRIADA DE
CHARCOT
O
PENTADA DE
REYNOLDS
Clasificación de
colangitis
• colangitis
esclerosante primaria
• colangitis
esclerosante
secundaria
• colangitis
ascendente
• colangitis piogénica
recurrente
• colangitis relacionada
al SIDA
• colangitis inducida
por quimioterapia
• colangitis isquémica
• colangitis no
esclerosante
secundaria
• patología
hepática/biliar
maligna o benigna
Hallazgos por TC
• cálculo obstructivo
• signo del “ojo de buey”
• dilatación de la vía biliar intra-/extrahepática
• engrosamiento y reforzamiento de la pared
• material intraductal hiperdenso (bilis purulenta)
• neumobilia
• pequeños abscesos hepáticos comunicados.
Colangitis aguda
Colangitis aguda
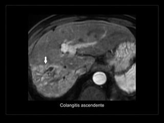
Colangitis ascendente
Hallazgos por RM
• T1
• cálculos hipointensos
• bilis hipointensa
• dilatación, estenosis,
engrosamiento de la
pared de la via biliar
• T2
• cálculos hipointensos
• bilis hiperintensa
• hiperintensidad
parenquimatosa en
cuña o peribiliar
• MRCP
• defectos de llenado
hipointensos (cálculos)
entre la bilis hiperintensa
• estenosis irregulares,
dilatación proximal de los
conductos biliares
Colangitis ascendente
Colangitis ascendente
Colangitis ascendente
Complicaciones
Agudas
• abscesos hepáticos
• trombosis de la vena
porta
• peritonitis biliar
Crónicas
• trombosis de la vena
porta
• estenosis biliar
• colangitis esclerosante
• colangiocarcinoma
Absceso hepático complicando una colangitis bacteriana
Absceso hepático complicando una colangitis bacteriana
Trombosis de la vena porta
Diagnósticos diferenciales
• Colangitis esclerosante primaria
• Colangitis piogénica recurrente
• SIDA
• Colangitis por quimioterapia
Tratamiento
antibióticos para Gram (-)
intervención de cálculos o
estenosis
• CPRE (10%) o CTP (5-
10%)
• Cirugía (35%)
Mortalidad
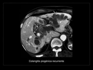
COLANGITIS PIOGÉNICA
RECURRENTE
Cálculos de pigmento
biliar intra- y
extrahepáticos en
pacientes e
inmigrantes del sureste
de Asia.
Colangitis oriental, colangiohepatitis oriental
1-4 cm
Etiología
• infección parasitaria Clonorchis
sinensis y/o Ascaris
lumbricoides
• infección por E. coli
• desnutrición
cálculos de
pigmento
intraductales
fibrosis
proliferativa de
las paredes de la
vía biliar
abscesos
periductales
cirrosis biliar estadio terminal
Epidemiología
• inmigrantes o residentes del
Sudeste de Asia
• China, Vietnam y Filipinas
• síndrome similar en
latinoamericanos y
caucásicos
• nivel socioeconómico bajo
• ambiente rural
• > 40 años
• ♀=♂
Localización
• lóbulo izquierdo
• segmento lateral
• todos los segmentos
ductales biliares y el
colédoco
Cuadro clínico
• dolor CSD
• fiebre recurrente
• ictericia
Laboratorios
• leucocitosis
• ↑ FA y BT
Hallazgos por TC
• cálculos hiperdensos o isodensos al hígado
• + C
• dilatación biliar intra- y extrahepática*
• dilatación del colédoco
• disminución del calibre abrupta en “cabeza de flecha”
• abscesos hepáticos (20%)
• neumobilia*
• atrofia grasa de segmentos hepáticos.
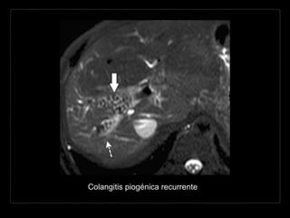
Colangitis piogénica recurrente
Colangitis piogénica recurrente
Colangitis piogénica recurrente
Colangitis piogénica recurrente
Colangitis piogénica recurrente
Hallazgos por RM
• T1: dilatación biliar hipointensa + cálculos de
intensidad intermedia (anillo hiperintenso)
• T2: bilis hiperintensa con cálculos hipointensos
• T1 + C: dilatación biliar hipointensa + cálculos de
intensidad intermedia (anillo hiperintenso)
• CPRM: dilatación intra- y extrahepática con
defectos de llenado representando cálculos.
Colangitis piogénica recurrente
Colangitis piogénica recurrente
Colangitis piogénica recurrente
Colangitis piogénica recurrente
Complicaciones
• benignas
• abscesos hepáticos
• estenosis biliar
• cálculos biliares
• cirrosis biliar
• malignas
• colangiocarcinoma
(5-18%)
Tratamiento
• esfinterotomía
endoscópica
• quirúrgico
• drenaje biliar +
hepato-yeyuno
anastomosis
• resección lóbulo
hepático izquierdo
• radiología
intervencionista
• drenaje biliar
percutáneo
• remoción de los
cálculos de pigmento
• dilatación de las
estenosis
• antibiótico a largo
plazo
Diagnósticos diferenciales
• Cálculos intrahepáticos secundario a estenosis biliar
• Colangitis esclerosante
• Colangitis bacteriana
• Colangiocarcinoma
Colangiografía post-drenaje
COLANGIOPATÍA EN SIDA
Espectro de lesiones
inflamatorias causadas por
infecciones oportunistas
relacionadas al SIDA que
provocan estenosis/obstrucción
o colecistitis.
Colangitis esclerosante relacionada al SIDA
Paciente con SIDA
• estenosis
intrahepáticas
• estenosis ampular
• engrosamiento de la
pared de la vesícula
biliar (colecistitis).
Localización
• vesícula biliar
• colédoco
• vía biliar intrahepática
Tamaño
• estenosis focales
pequeñas hasta
segmentos largos
CD4
<100/mm³
Etiología
• infecciones
oportunistas
• Cryptosporidium parvum
• Mycobacterium avium
complex
• Cytomegalovirus
• Herpes simplex
• HIV
Cuadro clínico
• dolor CSD + PFH
alteradas
• ↑ ↑ ↑ FA (20x)
Clasificación
Tipo I Estenosis distal del colédoco desde
la estenosis ampular (15-20%).
Tipo II Estenosis biliares intrahepáticas
difusas (20%).
Tipo III Tipos I y II combinados (50%).
Tipo IV Estenosis de un segmento largo del
colédoco con posible ulceración.
Tipo V
Colecistitis acalculosa, engrosamiento
de la pared e inflamación
pericolecística.
Hallazgos por TC
• +C
• dilatación intra- y extrahepática
• dilatación asimétrica de los conductos
intrahepáticos
Colecistitis acalculosa
Hallazgos por RM
• T1: dilatación hipointensa de los conductos biliares
• T2: dilatación hiperintensa de los conductos biliares y
el colédoco
• engrosamiento de la pared de la vesícula
• T1 + C: … + cambios inflamatorios pericolecísticos
• CPRM: dilatación hiperintensa de los conductos
biliares + estenosis intra- y extrahepáticas
Colecistitis acalculosa
Diagnósticos diferenciales
• Colangitis esclerosante
• Estenosis ampular
• Colecistitis acalculosa
• Colangiocarcinoma
Tratamiento
• esfinterotomía
• stent biliar
• dilatación de estenosis
• médico
• TMP-SFX (C. parvum)
• Ganciclovir (CMV)
Bibliografía

Tracto biliar TC y RM

  • 1.
    ENFERMEDADES DEL TRACTO BILIAR- TC Y RM DR. J. LUIS DE LA TORRE GASTÉLUM R2RX HGE “DR. ERNESTO RAMOS BOURS”.
  • 2.
    QUISTES DEL COLÉDOCO Dilataciónaneurismática segmentaria de los conductos biliares. • congénito • ↑ vía biliar extrahepática Tamaño • 2-15 cm Niñez • ♀ (80-90%)
  • 3.
    Frecuencia • raro Morfología • lesióncongénita más frecuente de la VB • continuidad con el árbol biliar • ↑ + desórdenes quísticos/fibróticos del hígado
  • 4.
    Cuadro clínico • tríada:dolor CSD + ictericia + masa palpable • dolor abdominal (fusiforme) • fiebre intermitente • vómito • prurito
  • 5.
  • 7.
    Hallazgos por TC •lesión quística c/densidad líquida bien definida en el trayecto de los conductos biliares • dilatación de conductos intra-/extrahepáticos • + C • sin reforzamiento
  • 8.
    Dilatación extra/intrapancreática dela vía biliar extrahepática, Todani I.
  • 9.
    Quiste gigante decolédoco, Todani I.
  • 10.
    Múltiples quistes intrahepáticosy un gran quiste extrahepático, Todani IVa
  • 11.
    Hallazgos por RM •T1: hipointensa • T2: hiperintensa • T1 + C: sin reforzamiento • CPRM: bilis hiperintensa en comparación con la vena porta.
  • 12.
  • 13.
    Quiste de colédocoTodani I + IPMN de rama
  • 14.
    Diagnósticos diferenciales • Obstrucción maligna delcolédoco • Enfermedad de Caroli • Pseudoquiste pancreático • Colangitis piogénica recurrente Complicaciones • calculos, colangitis, pancreatitis • ruptura, peritonitis biliar, absceso y hemorragia • Degeneración maligna rara: Colangiocarcinoma
  • 15.
    Tratamiento • Excisión quirúrgica •Hepatoyeyunoanastomosis en Y de Roux
  • 16.
    ENFERMEDAD DE CAROLI Enfermedadde Caroli: Dilatación biliar sacular intrahepática, congénita, multifocal y segmentaria. Sx. de Caroli: Dilatación quística de conductos biliares + fibrosis hepática. Ectasia biliar cavernosa comunicante
  • 17.
    Localización • difusa, lobaro segmentaria Tamaño • pocos mm - cm • Todani V Edad • adolescentes, ↓ RN e infantes
  • 18.
    Epidemiología • herencia autosómicarecesiva • rara • ♀=♂ • se asocia a: • riñón medular en esponja • enfermedad renal poliquística autosómica dominante
  • 19.
    • Tipo simple •Malformación del platillo ductal del conducto biliar intrahepático central • adultos • Tipo fibrosis periportal • Malformación del platillo ductal del conducto biliar intrahepático central + conductos biliares periféricos más pequeños • provocan fibrosis • infancia
  • 20.
    Cuadro clínico • Tiposimple • dolor CSD • ataques recurrentes de colangitis, fiebre e ictericia • Tipo fibrosis periportal • dolor, hepatoesplenomagalia • hematemesis (várices) • Asintomática en etapas tempranas • ↑ enzimas hepáticas y bilirrubina
  • 21.
    Hallazgos por TC •áreas hipodensas, pequeñas y múltiples que son inseparables de la VBIH dilatada. • + C • pequeños puntos que refuerzan (radículos portales) entre la VBIH dilatada.
  • 22.
  • 23.
    Enfermedad de Caroli+ Riñones poliquísticos
  • 24.
    Enfermedad de Caroli+ Riñones poliquísticos
  • 25.
    Hallazgos por RM •T1: dilataciones saculares hipointensas, múltiples y pequeñas • T2: hiperintensas • T1 + C: reforzamiento de los radículos entre la VBIH dilatada • CPRM: múltiples estructuras ovaladas hiperintensas • continuidad con la vía biliar • contenido hiperintenso de los conductos biliares en contraste con la vena porta, que aparece como ausencia de la señal.
  • 26.
  • 27.
  • 28.
    Enfermedad de Caroli+ Riñones poliquísticos
  • 29.
    Diagnósticos diferenciales • Enfermedadhepática poliquística • Hamartomas biliares • Colangitis esclerosante primaria • Colangitis ascendente • Colangitis piogénica recurrente
  • 30.
    Tratamiento • localizado aun lóbulo o segmento • lobectomía hepática o segmentectomía • enfermedad difusa • conservador • descompresión del tracto biliar: drenaje o anastomosis bilioentérica • litotripsia extracorpórea • sales biliares orales • transplante hepático
  • 31.
    COLÉDOCOLITIASIS • Estasis biliar: formaciónde cálculos de bilirrubinato • Infección: E. coli, Klebsiella y otros Gram (-) con actividad β- glucoronidasa Colangiolitiasis o cálculo biliar obstrucción dilatación esclerosis estenosis
  • 32.
    Etiología • cálculos • tamaño1-15 mm • causa más frecuente de obstrucción de la vía biliar sin dilatación • composición • colesterol 70-80% • pigmento 20-30% occidente • bilirrubinato de calcio 20- 30% oriente • 15% colelitiasis tienen colédocolitiasis • 15-25% colecistitis aguda tienen colédocolitiasis • 12-15% colecistectomías tienen colédocolitiasis
  • 33.
    • Cálculos ductalesprimarios (5%) • enfermedad hemolítica crónica • colangitis recurrente • anomalías congénitas de los conductos biliares (Enf. de Caroli) • alteración motora del esfínter de Oddi • dieta baja en grasa y proteínas • cuerpo extraño • parásitos: Clonorchis sinensis y Ascaris
  • 34.
    • Cálculos ductalessecundarios (95%) • obesidad • enfermedad de Crohn y resección ileal • anemias hemolíticas • anemia de células falciformes • esferocitosis hereditaria • triglicéridos aumentados, hiperalimentación • nativo americano vesícula biliar
  • 35.
    Epidemiología • 25 millonesde americanos • 95% de colédocolitiasis por cálculos secundarios Incidencia en México • 14.3% TOTAL • 8.5% ♂ • 20.4% ♀
  • 36.
    Cuadro clínico • dolorCSD, prurito, ictericia, pancreatitis • perfil: 4 F’s Laboratorio • ↑ FA y BD • TGO y TGP (tardío)
  • 37.
    Sensibilidad CPRE Gold Santard CPRM83-100% CT C- 75-85% US 50-60%
  • 38.
    Hallazgos por TC •densidad del cálculo aire - < agua - tejidos blandos - calcio • mixtas: anillo calcificado y nido central • ↑ atenuación (75-85%) • signo “ojo de buey”: anillo de bilis rodeando un cálculo en un conducto • colesterol puro = isodensas con la bilis • terminación abrupta del colédoco • dilatación de la VBIH y EH
  • 39.
    • Cálculos • posiciónposterior (dependiente) • semiluna de bilis o aire rodeando la porción anterior del cálculo • forma geométrica o angulada • apariencia multilaminar • signos de inflamación • edema periductal, engrosamiento epitelial biliar y reforzamiento mural.
  • 40.
    • mejor valoración •cortes delgados y MPR • contraste oral (-) > (+) • oscurecimiento litos ampulares • parámetros altos del tubo 140 kVp • litos hiperdensos > bilis
  • 41.
  • 42.
  • 43.
  • 44.
  • 45.
  • 46.
    Colédocolitiasis + contrastede eliminación biliar
  • 47.
    2 mm Hallazgos porRM • CPRM (RARE - HASTE) • bilis: muy hiperintensa • cálculos: foco hipointenso • defectos de llenado hipointensos entre la bilis hiperintensa. • T1 • apariencia variable. CPRM S 89-100% E 83-100% S 50%
  • 48.
  • 49.
  • 50.
  • 51.
  • 52.
  • 53.
  • 54.
  • 55.
    “Pitfalls” de laRM • cálculos < 3 mm • segmento biliar con múltiples cálculos y escasa bilis • constricción/estenosis • neumobilia • ausencia de señal • localización no dependiente • artefacto de florecimiento o “blooming artifact” (T1-GE)
  • 56.
    Diagnósticos diferenciales • Cáncerde páncreas o ampular • Pancreatitis crónica • Colangiocarcinoma • Estenosis o disfunción papilar • Colangitis esclerosante primaria
  • 57.
    Tratamiento • cálculos <3 mm: paso espontáneo • cálculos 3-10 mm: esfinterotomía endoscópica • cálculos >10-15 mm: litotripsia mecánica.
  • 58.
    CÁLCULOS INTRAHEPÁTICOS • raros •común en pacientes con colangitis piógena recurrente • común en conductos de calibre mayor • lóbulo hepático izquierdo (5x) • segmento posterior del lóbulo hepático derecho Hepatolitiasis D I50% V V B 60%
  • 59.
    • Asociación con anomalíasbiliares • enfermedad de Caroli • atresia biliar • fibrosis quística • cirugía biliar previa
  • 60.
    Epidemiología • endémico Estede Asia • Taiwan • 40% de colelitiasis • cálculos • 90% bilirrubinato de calcio • bacterias entéricas y anaerobias • E. coli, Klebsiella, Aerobacter, Streptococcus feacalis • Clostridium y Bacteroides • factor de riesgo para colangiocarcinoma 50 % 30 % mixto cultivos
  • 61.
    Cuadro clínico • dolorabdominal • fiebre • ictericia • colangitis* Laboratorios • ↑FA • ↑GGT
  • 62.
    Hallazgos por TCy RM • similares a los de la colédocolitiasis
  • 63.
  • 64.
  • 65.
  • 66.
  • 67.
  • 68.
    SÍNDROME DE MIRIZZI Obstrucciónparcial o completa del conducto hepático común debido a un cálculo impactado en el conducto cístico o en el infundíbulo de la vesícula biliar.
  • 69.
    • Cirujano argentino •Profesor de cirugía • Ictericia obstructiva por cálculo impactado + proceso inflamatorio • bolsa de Hartmann • infundíbulo • conducto cístico Profesor Pablo Luis Mirizzi (1893-1964).
  • 70.
    Mejor pista diagnóstica •cálculo impactado en el conducto cístico en US con dilatación proximal del conducto hepático común. • Tamaño: 1-3 cm • Morfología: defecto de llenado suave en la CPRE a nivel del conducto hepático común.
  • 71.
    Etiología • anatomía delc. cístico orientado paralelo al c. hepático común e inserción baja • impactación de uno o varios cálculos en el c. cístico o en el cuello de la vesícula biliar • obstrucción parcial o completa del conducto hepático común. Epidemiología • similar a la de la colelitiasis • > 40 años ♂ 1:2 ♀(70%)
  • 72.
    Clasificación Tipo I Compresiónextrínseca del CHC por una cálculo del CC Tipo II Fístula colecistobiliar <1/3 de la circunferencia de la pared del conducto Tipo III Fístula colecistobiliar 2/3 de la circunferencia de la pared del conducto Tipo IV Fístula colecistobiliar de toda la circunferencia de la pared del conducto Tipo V
  • 74.
    Cuadro clínico • fiebre •ictericia • dolor en CSD • colangitis* ↑ CA19-9 Certeza Diagnóstica CPRE 55-90% CPRM 50% US 29% CT + C Exclusión malignidad en el hilio porta o hígado
  • 75.
    Hallazgos por TC •+ C • conductos intrahepáticos dilatados • cálculo en el cuello de la vesícula • colédoco normal • cambios inflamatorios pericolecísticos por colecistitis aguda/crónica
  • 76.
    Hallazgos por RM •T2 • conductos intrahepáticos dilatados hiperintensos • defectos de llenado hipointensos = cálculos (vesícula y c. cístico) • T1 + C • conductos intrahepáticos dilatados hipointensos • cálculos en el c. cístico • colédoco normal
  • 77.
    • CPRM • conductosintrahepáticos dilatados • defectos de llenado en conducto hepático común.
  • 78.
  • 79.
  • 80.
  • 81.
    Diagnósticos diferenciales • Cálculosdel conducto cístico • Obstrucción del conducto hepático común por nódulos • Colangiocarcinoma.
  • 82.
    Tratamiento • colecistectomía condisección del c. cístico para evitar lesión del conducto hepático común.
  • 83.
    HEMOBILIA Presencia de sangradohacia el árbol biliar y sangre en la bilis. • Causas: • trauma/biopsia • enfermedad inflamatoria • colelitiasis • tumor • anormalidades vasculares
  • 84.
    Hallazgos por TCy RM • contenido con densidad/intensidad hemática • contenido heterogéneo de la vesícula biliar • posición dependiente • vesícula distendida con engrosamiento de su pared • + C • reforzamiento de la pared vesicular
  • 85.
  • 86.
  • 87.
  • 88.
  • 89.
  • 90.
    T2 Fat Sat- Hemobilia
  • 91.
    T2 Fat Sat- Hemobilia
  • 92.
    NEUMOBILIA Acumulación de aire enel árbol biliar. Aerobilia
  • 93.
    Causas • instrumenación recientede la vía biliar • CPRE • colangiografía percutánea o intraoperatoria • incompetencia del esfínter de Oddi • esfinterotomía (50% al año) • después del paso de un cálculo • cicatrizal (pancreatitis crónica) • fármacos (atropina) • congénito • anastomosis quirúrgica bilio- entérica • colecistoenterostomia • colédocoduodenostomia • procedimiento de Whipple.
  • 94.
    • fístula bilio-entérica espontánea •íleo biliar • úlcera péptica • traumático • neoplasia (colangiocarcinoma, ampuloma) • infección (raro) • colangitis • colecistitis enfisematosa (20%) • absceso hepático* • fístula bilio-broncopleural (rara)
  • 95.
    Hallazgos por imagen •ramificaciones lineales de aire en el hígado • más prominente en los conductos de mayor calibre • central • gas en el sistema venoso portal* • ramificaciones de aire de calibre pequeño hacia la periferia
  • 96.
  • 97.
  • 98.
  • 99.
  • 100.
    COLANGITIS BACTERIANA AGUDA Inflamación delas paredes de los conductos biliares intra-/extrahepáticos secundario a obstrucción e infección. Colangitis ascendente contaminación bacteriana bilis estancada presión intrabiliar (>20 cm H₂O) + + flujo anterógrado esfínter de Oddi IgAsales biliares BILIS ESTÉRIL :
  • 101.
    Etiología • cálculo biliar,estenosis y estenosis papilar cálculo → obstrucción → estasis biliar → infección Epidemiología • 20-50 años • ♀=♂ • tipo más común de colangitis • colelitiasis asociada • desnutrición y parasitosis* (E. coli) Colédocolitiasis 80% Tumores 10-30%
  • 102.
    Factores de riesgo •> 70 años • enfermedad neurológica • divertículo periampular.
  • 103.
    Cuadro clínico • dolorabdominal • fiebre • ictericia • choque • confusión Laboratorios • ↑FA • ↑GGT TRIADA DE CHARCOT O PENTADA DE REYNOLDS
  • 104.
    Clasificación de colangitis • colangitis esclerosanteprimaria • colangitis esclerosante secundaria • colangitis ascendente • colangitis piogénica recurrente • colangitis relacionada al SIDA • colangitis inducida por quimioterapia • colangitis isquémica • colangitis no esclerosante secundaria • patología hepática/biliar maligna o benigna
  • 105.
    Hallazgos por TC •cálculo obstructivo • signo del “ojo de buey” • dilatación de la vía biliar intra-/extrahepática • engrosamiento y reforzamiento de la pared • material intraductal hiperdenso (bilis purulenta) • neumobilia • pequeños abscesos hepáticos comunicados.
  • 106.
  • 107.
  • 108.
  • 109.
    Hallazgos por RM •T1 • cálculos hipointensos • bilis hipointensa • dilatación, estenosis, engrosamiento de la pared de la via biliar • T2 • cálculos hipointensos • bilis hiperintensa • hiperintensidad parenquimatosa en cuña o peribiliar • MRCP • defectos de llenado hipointensos (cálculos) entre la bilis hiperintensa • estenosis irregulares, dilatación proximal de los conductos biliares
  • 110.
  • 111.
  • 112.
  • 113.
    Complicaciones Agudas • abscesos hepáticos •trombosis de la vena porta • peritonitis biliar Crónicas • trombosis de la vena porta • estenosis biliar • colangitis esclerosante • colangiocarcinoma
  • 114.
    Absceso hepático complicandouna colangitis bacteriana
  • 115.
    Absceso hepático complicandouna colangitis bacteriana
  • 116.
    Trombosis de lavena porta
  • 117.
    Diagnósticos diferenciales • Colangitisesclerosante primaria • Colangitis piogénica recurrente • SIDA • Colangitis por quimioterapia
  • 118.
    Tratamiento antibióticos para Gram(-) intervención de cálculos o estenosis • CPRE (10%) o CTP (5- 10%) • Cirugía (35%) Mortalidad
  • 119.
    COLANGITIS PIOGÉNICA RECURRENTE Cálculos depigmento biliar intra- y extrahepáticos en pacientes e inmigrantes del sureste de Asia. Colangitis oriental, colangiohepatitis oriental 1-4 cm
  • 120.
    Etiología • infección parasitariaClonorchis sinensis y/o Ascaris lumbricoides • infección por E. coli • desnutrición cálculos de pigmento intraductales fibrosis proliferativa de las paredes de la vía biliar abscesos periductales cirrosis biliar estadio terminal
  • 121.
    Epidemiología • inmigrantes oresidentes del Sudeste de Asia • China, Vietnam y Filipinas • síndrome similar en latinoamericanos y caucásicos • nivel socioeconómico bajo • ambiente rural • > 40 años • ♀=♂
  • 122.
    Localización • lóbulo izquierdo •segmento lateral • todos los segmentos ductales biliares y el colédoco Cuadro clínico • dolor CSD • fiebre recurrente • ictericia Laboratorios • leucocitosis • ↑ FA y BT
  • 123.
    Hallazgos por TC •cálculos hiperdensos o isodensos al hígado • + C • dilatación biliar intra- y extrahepática* • dilatación del colédoco • disminución del calibre abrupta en “cabeza de flecha” • abscesos hepáticos (20%) • neumobilia* • atrofia grasa de segmentos hepáticos.
  • 124.
  • 125.
  • 126.
  • 127.
  • 128.
  • 129.
    Hallazgos por RM •T1: dilatación biliar hipointensa + cálculos de intensidad intermedia (anillo hiperintenso) • T2: bilis hiperintensa con cálculos hipointensos • T1 + C: dilatación biliar hipointensa + cálculos de intensidad intermedia (anillo hiperintenso) • CPRM: dilatación intra- y extrahepática con defectos de llenado representando cálculos.
  • 130.
  • 131.
  • 132.
  • 133.
  • 134.
    Complicaciones • benignas • abscesoshepáticos • estenosis biliar • cálculos biliares • cirrosis biliar • malignas • colangiocarcinoma (5-18%)
  • 135.
    Tratamiento • esfinterotomía endoscópica • quirúrgico •drenaje biliar + hepato-yeyuno anastomosis • resección lóbulo hepático izquierdo • radiología intervencionista • drenaje biliar percutáneo • remoción de los cálculos de pigmento • dilatación de las estenosis • antibiótico a largo plazo
  • 136.
    Diagnósticos diferenciales • Cálculosintrahepáticos secundario a estenosis biliar • Colangitis esclerosante • Colangitis bacteriana • Colangiocarcinoma
  • 137.
  • 138.
    COLANGIOPATÍA EN SIDA Espectrode lesiones inflamatorias causadas por infecciones oportunistas relacionadas al SIDA que provocan estenosis/obstrucción o colecistitis. Colangitis esclerosante relacionada al SIDA
  • 139.
    Paciente con SIDA •estenosis intrahepáticas • estenosis ampular • engrosamiento de la pared de la vesícula biliar (colecistitis). Localización • vesícula biliar • colédoco • vía biliar intrahepática Tamaño • estenosis focales pequeñas hasta segmentos largos CD4 <100/mm³
  • 140.
    Etiología • infecciones oportunistas • Cryptosporidiumparvum • Mycobacterium avium complex • Cytomegalovirus • Herpes simplex • HIV Cuadro clínico • dolor CSD + PFH alteradas • ↑ ↑ ↑ FA (20x)
  • 141.
    Clasificación Tipo I Estenosisdistal del colédoco desde la estenosis ampular (15-20%). Tipo II Estenosis biliares intrahepáticas difusas (20%). Tipo III Tipos I y II combinados (50%). Tipo IV Estenosis de un segmento largo del colédoco con posible ulceración. Tipo V Colecistitis acalculosa, engrosamiento de la pared e inflamación pericolecística.
  • 142.
    Hallazgos por TC •+C • dilatación intra- y extrahepática • dilatación asimétrica de los conductos intrahepáticos
  • 143.
  • 144.
    Hallazgos por RM •T1: dilatación hipointensa de los conductos biliares • T2: dilatación hiperintensa de los conductos biliares y el colédoco • engrosamiento de la pared de la vesícula • T1 + C: … + cambios inflamatorios pericolecísticos • CPRM: dilatación hiperintensa de los conductos biliares + estenosis intra- y extrahepáticas
  • 145.
  • 146.
    Diagnósticos diferenciales • Colangitisesclerosante • Estenosis ampular • Colecistitis acalculosa • Colangiocarcinoma
  • 147.
    Tratamiento • esfinterotomía • stentbiliar • dilatación de estenosis • médico • TMP-SFX (C. parvum) • Ganciclovir (CMV)
  • 148.

Notas del editor

  • #3 Se presenta en la niñez. La probable causa es la unión proximal a la papila duodenal, del colédoco con el conducto pancreático, creado un canal común largo. Se asocia con el tipo I y IV.
  • #4 Frecuentemente coexisten con desórdenes qúisticos o fibróticos del hígado
  • #6 Tipo I. Fusiforme y solitario - extrahepático (80-90% en el colédoco) Dilatación quística del colédoco. Dilatación focal/segmentaria del colédoco. Dilatación fusiforme del colédoco. Tipo II. Divertículo extrahepático supraduodenal. Tipo III. Divertículo intraduodenal (coledococele) Tipo IVa. Fusiforme + quistes intrahepáticos. Tipo IVb. Múltiples quites extrahepáticos Tipo V. Múltiples quistes intrahepáticos; Enf. de Caroli.
  • #7 Tipo I. Fusiforme y solitario - extrahepático (80-90% en el colédoco) Dilatación quística del colédoco. Dilatación focal/segmentaria del colédoco. Dilatación fusiforme del colédoco. Tipo II. Divertículo extrahepático supraduodenal. Tipo III. Divertículo intraduodenal (coledococele) Tipo IVa. Fusiforme + quistes intrahepáticos. Tipo IVb. Múltiples quites extrahepáticos Tipo V. Múltiples quistes intrahepáticos; Enf. de Caroli.
  • #9 Derecha axial, izquierda reconstrucción coronal.
  • #10 Female, 26y, Abdominal pain and right upper quadrant palpable mass at physical exam. Findings of the CT is compatible with giant choledochal cyst (Type I), which is causing bile duct dilatation. 
  • #13 There is a fusiform dilatation of the common hepatic and common bile ducts. dilatation is up to the junction with main pancreatic duct. Abnormal high junction of pancreatic duct and CBD with abnormally long common channel. This could be the predisposing factor for the development of choledochal cyst.
  • #14 There is fusiform dilatation of the extrahepatic bile ducts (both common hepatic and CBD) containing multiple low signal intensities on all sequences dependently in keeping with stones. No intrahepatic biliary dilatation. There is a small cystic (high T2, low T1 and no enhancement) in the head of the pancreas with connection to what appears to be a side branch duct, consistent with side branch IPMN. No dilatation of the main pancreatic duct. No evidence of enhancing component.
  • #23 TC sin contraste muestra dilatación quística y fusiforme de los conductos biliares intrahepáticos, peor del lado derecho. Nótese los litos calcificados en una posición dependiente de la gravedad (flecha). US que muestra lesión quística del hígado; algunos con cálculos hiperecoicos.
  • #24 Multiple small cystic attenuation areas are seen in bilateral kidneys, suggesting ARPKD. Multiple hypodense cystic areas are seen in right lobe of liver, which appear to be of similar attenuation to few linear dilated intrahepatic biliary radicals. Some of the lesions show a central enhancing focus ("central dot sign"), suggesting Caroli's disease. Associated findings such as atrophied right lobe, left lobe hypertrophy, massive splenomegaly (due to portal hypertension), are also seen. Large number of varices around the spleen. 
  • #25 Multiple small cystic attenuation areas are seen in bilateral kidneys, suggesting ARPKD. Multiple hypodense cystic areas are seen in right lobe of liver, which appear to be of similar attenuation to few linear dilated intrahepatic biliary radicals. Some of the lesions show a central enhancing focus ("central dot sign"), suggesting Caroli's disease. Associated findings such as atrophied right lobe, left lobe hypertrophy, massive splenomegaly (due to portal hypertension), are also seen. Large number of varices around the spleen. 
  • #26 La mejor herramienta de imagen: CPRE o CPRM 3D.
  • #27 Imagen axial potenciada T2 muestra dilatación quística y fusiforme de los conductos biliares intrahepáticos. Colangiopancretografía por RM muestra comunicación entre los espacios saculares hipertensos y el árbol biliar. Vesícula biliar (flecha).
  • #28 Imagen axial potenciada T2 muestra dilatación sacular de los conductos intrahepáticos, muchos contienen cálculos hipointensos (flechas). Colangiografía percutánea muestra dilatación generalizada de los conductos biliares intrahepáticos.
  • #29 Ectatic cystically dilated peripheral intrahepatic biliary radicals are seen, communicating with biliary tree. Common bile duct and main hepatic duct are relatively prominent measuring 8-9 mm, however appear to have smooth regular outline and does not appear ectatic.
  • #32 La actividad beta glucoronidasa es la que desconjuga la bilirrubina y propicia la unión con el calcio, formando el bilirrubinato de calcio.
  • #34 Son de pigmento Los parásitos son de las causas principales en Asia.
  • #36 95% en EUA
  • #38 La CPRE es el Gold Santard en ausencia de sonda en T.
  • #39 Cortes < 5 mm. El aire es por contener lóculos de gas nitrógeno
  • #40 Signs of inflammation may point to local irritation caused by stones, or to associated cholangitis or cholecystitis.
  • #41 Cortes < 5 mm. MPR, multiplanar reconstruction.
  • #42 (Left) Axial CECT shows calcific density within the dependent portion of the gallbladder. Dilated CBD (arrow) from obstructing biliary calculus. (Right) Axial CECT shows soft tissue density stone (arrow) causing abrupt obstruction of CBD. Note thin meniscus of bile around stone, within CBD.
  • #43 CBD stone. (a) Axial contrast-enhanced CT scan shows a normal-appearing nondilated CBD 5 mm in diameter with an imperceptible wall (arrow).The duct lumen demonstrates fluid attenuation. (b) CT scan obtained caudad to a shows a CBD stone (arrow) that is slightly hyperattenuating relative to fluid and is associated with bile duct mural hyperenhancement and thickening.
  • #44 CBD stones. (a) Axial contrast-enhanced CT scan shows a mildly dilated CBD with a lamellated 6-mm stone in a dependent location (arrow). A crescent of lower-attenuation bile (arrowhead) is seen anterior to the stone. (b) Axial contrast-enhanced CT scan obtained in a different patient shows a normal-caliber CBD with a stone in the dependent portion of the duct (arrow).
  • #45 (Left) Oblique sagittal sonogram shows dilated CBD (arrow) and obstructing stone (open arrow). Note acoustic shadow behind stone. (Right) Axial CECT following attempted ERCP extraction of CBD stone. The stone (arrow) remains within the distal CBD. Extraluminal gas in retroperitoneum and peritoneal cavity due to duodenal perforation.
  • #47 CBD stone. Curved planar reformatted image from CT cholangiographic data obtained with iodipamide meglumine (Cholografin; Bracco Diagnostics, Princeton, NJ) shows dense excreted contrast material outlining a stone (arrow), which has an attenuation similar to that of fluid.
  • #48 RARE: Single-slab rapid acquisition with relaxation enhancement HASTE: Multisilice half-Fourier acquisition single-shot turbo spin-echo. MR cholangiography can demonstrate calculi as small as 2 mm despite its limited spatial resolution compared with ERCP. Con cálculos menores a 3 mm la sensibilidad disminuye hasta el 50%. Such small biliary stones are also missed at ERCP, with their presence often confirmed only when a blind balloon sweep brings them into view with an optical endoscope. Cortes 3 mm o menos.
  • #49 Obscuration of CBD stones. (a) On a full-volume MIP image obtained in a patient with cholelithiasis and choledocholithiasis, no calculi are seen. (b) Subvolume MIP image clearly depicts numerous calculi in the CBD (arrow), findings that are compatible with choledocholithiasis. (Reprinted, with permission, from reference 4.) (c, d) Axial 2D MR cholangiopancreatograms (d obtained caudad to c) show multiple filling defects in the CBD (arrow), findings that correspond to the calculi seen in b.
  • #50 Obscuration of CBD stones. (a) On a full-volume MIP image obtained in a patient with cholelithiasis and choledocholithiasis, no calculi are seen. (b) Subvolume MIP image clearly depicts numerous calculi in the CBD (arrow), findings that are compatible with choledocholithiasis. (Reprinted, with permission, from reference 4.) (c, d) Axial 2D MR cholangiopancreatograms (d obtained caudad to c) show multiple filling defects in the CBD (arrow), findings that correspond to the calculi seen in b.
  • #54 Obscuration of CBD stones. (b) Subvolume MIP image clearly depicts numerous calculi in the CBD (arrow), findings that are compatible with choledocholithiasis. (Reprinted, with permission, from reference 4.) (c, d) Axial 2D MR cholangiopancreatograms (d obtained caudad to c) show multiple filling defects in the CBD (arrow), findings that correspond to the calculi seen in b.
  • #57 Siempre descartar otras causas de obstrucción del colédoco.
  • #59 El 50% de los pacientes tiene cálculos en conductos de ambos lóbulos. El 60% tiene cálculos concomitantes. Hasta el 90% de los casos se pueden ver por ultrasonido.
  • #61 El 40% de las colelitiasis en Taiwan tienen hepatolitiasis. En América se presenta en inmigrantes de Asia. Mencionar que las bacterias entéricas predisponen a la formación de cálculos intrahepáticos, debido a que producen glucoronidasa, la cual se encarga de desconjugar a bilirrubina y le da oportunidad a unirse al calcio.
  • #62  (abscesos hepáticos)
  • #65 43-year-old woman with intrahepatic bile duct stones. ERCP image obtained after injection of contrast material with balloon occlusion of duct (arrow) shows dilatation of intrahepatic and extrahepatic bile ducts. No definite stones are seen in bile ducts.
  • #66 Coronal multislice half-Fourier acquisition single-shot turbo spin-echo MR cholangiopancreatography (MRCP) image (TR/TE, infinite/95) clearly shows intrahepatic stones (arrows) in right posteroinferior segment of liver. Coronal single-slab rapid acquisition with relaxation enhancement MRCP image (infinite/1200) also shows intrahepatic stones (solid arrow) in right lobe. However, conspicuity of intrahepatic stones is poor compared with visualization in B. Extrahepatic bile duct is not visualized because of biliary air (open arrows).
  • #67 66-year-old man with intrahepatic bile duct stones. ERCP image shows dilatation of intrahepatic and extrahepatic bile ducts. No definite bile duct stones are visualized.
  • #68 Coronal multislice half-Fourier acqui- sition single-shot turbo spin-echo MR cholangiopancreatography (MRCP) im- age (TR/TE, infinite/95) clearly shows intrahepatic stones (arrows) in liver segment IV.
  • #69 The pathophysiological process leading to the subtypes of Mirizzi syndrome has been explained by means of a pressure ulcer caused by an impacted gallstone at the gallbladder infundibulum, leading to an inflammatory response causing first external obstruction of the bile duct, and eventually eroding into the bile duct and evolving to a cholecystocholedochal or cholecystohepatic fistula.
  • #70 The syndrome that Mirizzi described, consisted of an uncommon and benign cause of obstructive jaundice, caused by a gallstone impacted at the Hartmann’s pouch, gallbladder infundibulum or the cystic duct and its associated inflammatory process, thereby causing obstruction of the common hepatic duct.
  • #72 Muchas veces se trata de una vesícula escleroatrófica con paredes muy gruesas fibróticas, o bien con paredes delgadas. Existe una ulceración secundaria al proceso inflamatorio y al aumento de la presión, ya sea del cístico o de la pared de la vesícula biliar hacia el colédoco, formando posteriormente la fístula.
  • #73 Any aforementioned type plus a cholecystoenteric fistula without gallstone ileus (type Va), or with gallstone ileus (type Vb).
  • #74 Mirizzi syndrome type I to type V. A: Mirizzi type I is the extrinsic compression of the common bile duct by an impacted gallstone; B: Mirizzi type II consists of a cholecystobiliary fistula involving one third of the circumference of the bile duct; C: In Mirizzi type III, the cholecystobiliary fistula compromises up to two-thirds of the circumference of the bile duct; D: In Mirizzi type IV, the cholecystobiliary fistula has destroyed the bile duct wall, and comprises the whole circumference of the bile duct; E: Mirizzi type V corresponds to any type of Mirizzi associated with a bilioenteric fistula with or without gallstone ileus (original drawings from World Journal of Surgery 2008; 32, pages 2239 to 2241).
  • #75 Colangitis si no hay tratamiento oportuno. Recently, extremely high levels of the malignancy marker, CA19-9, have been consistently found in patients with Mirizzi syndrome type II or higher[38-40]. Consequently, the CA19-9 must be interpreted cautiously in patients with suspected biliary malignancy, because if Mirizzi syndrome is not ruled out, the patient would be incorrectly labeled as having biliary tract or gallbladder cancer and could miss the opportunity for curative surgery.
  • #81  MRCP examination of patient with Mirizzi syndrome shows narrowing of the proximal CBD (white arrow). The intrahepatic ducts are dilated (white-dashed arrow) (Case 1).
  • #84 Definitive confirmation of bleeding from the biliary tree depends on either direct endoscopic observation of blood issuing from the papilla of Vater or angiographic delineation of a bleeding site within the liver, gallbladder, or bile ducts.
  • #85 Cortes < 5 mm. El aire es por contener lóbulos de gas nitrógeno
  • #86 Pared engrosada con reforzamiento. Contenido denso con zonas más hiperdensas hacia la parte declive.
  • #87 Mismo paciente 8 días después. Se ve el contenido hiperdenso.
  • #88 Coágulo bien formado.
  • #89 CT scans performed before and after liver biopsy. There is a change in diffuse internal density of the common bile duct status post biopsy secondary to hemobilia.
  • #90 CT scans performed before and after liver biopsy. There is a change in diffuse internal density of the common bile duct status post biopsy secondary to hemobilia.
  • #91 There is a change in common bile duct (CBD) internal intensity status post liver biopsy. Pre-biopsy MRI demonstrates normal internal hyperintensity of CBD. Post-biopsy demonstrates heterogenous low T2 and mild T1 in phase hyperintensity. The post contrast T1 fat sat image has internal mild hyperintense debris. Findings are consistent with hemobilia after recent liver biopsy. 
  • #92 There is a change in common bile duct (CBD) internal intensity status post liver biopsy. Pre-biopsy MRI demonstrates normal internal hyperintensity of CBD. Post-biopsy demonstrates heterogenous low T2 and mild T1 in phase hyperintensity. The post contrast T1 fat sat image has internal mild hyperintense debris. Findings are consistent with hemobilia after recent liver biopsy. 
  • #95 20% de las colecisititis enfisematosas tienen aire en la vía biliar. El absceso hepático sólo si éste contiene aire y comunica con la vía biliar.
  • #96 Es mas central debido a que el flujo de la bilis empuja el aire hacia el hilio. El aire en el sistema porta es periférico porque el flujo se aleja del hilio.
  • #97 Post-CPRE
  • #98 Post-CPRE
  • #99 A large irregular pancreatic head mass with extensive necrosis is noted. It is inseperable from the measenteric vessels, partial thrombosis of the portal vein, dilated pancreatic duct, invades the 2nd part of the duodenum and associated with massive pneumobilia. There is also contrast filling of the CHD and right posterior hepatic duct suggesting choledoco-duodenal fistula formation. Multiple hypodense hepatic focal lesions as a metastatic deposits.
  • #101 Factores protectores para que la bilis se mantenga estéril: Flujo anterógrado al duodeno. Efecto protector del esfínter de Oddi. Las sales biliares son bacteriostáticas. Secreción de la inmunoglobulina A. La carga bacteriana a nivel del duodeno y yeyuno proximal es baja.
  • #102 La colédocolitiasis es la causa más frecuente aún de colangitis bacteriana. Malignidad del 10-30% La desnutrición y parasitos en países en vías de desarrollo.
  • #104 Clinical diagnosis is challenging, since the classic Charcot triad occurs in fewer than 75% of patients and blood cultures are positive in only 20%–30%
  • #107 (Left) Axial CECT shows an abscess in right hepatic lobe due to ascending cholangitis. (Right) ERCP shows moderate dilatation of bile ducts, extravasation into a liver abscess (arrow). CBO stone was extracted endoscopically earlier.
  • #108 Gas en el sistema porta. Female 65 ys. Right upper quadrant adominal pain and acute renal failure. Partly calcified gallstone at the neck of the gallbladder. No pericholecystic fluid or fat stranding. Gallbladder wall is difficult to appreciate but may be mildly thickened. High density within a grossly dilated common bile duct is highly suspicious for choledocholithiasis. Gas is present within the liver within portal vein branches and there is a small locule of gas within the superior mesenteric vein with more substantial volume of gas within tributaries from the mid to distal stomach. Bowel resection noted with rectosigmoid anastomotic sutures. 3 cm right basal pulmonary mass.
  • #109 BAC in a patient with CBD stones. Coronal image from contrast material–enhanced multidetector computed tomography (CT) shows pus (arrowhead) layering within one of several dilated intrahepatic ducts (arrows). Intraductal sludge could have the same appearance. The patient underwent biliary drainage; abundant pus was aspirated.
  • #111 Parenchymal changes in BAC. Axial fat-saturated T2-weighted MR image shows cholangitis as both patchy (thin arrows) and wedge-shaped (arrowhead) areas of increased parenchymal signal intensity. There are inflamed dilated intrahepatic bile ducts with pneumobilia (thick arrows). * = incidental hemangiomas.
  • #112 Parenchymal changes in BAC. Axial fat- saturated T1-weighted MR image shows segmental parenchymal enhancement (arrow).
  • #113 Parenchymal changes in BAC. Axial gadolinium-enhanced fat-saturated T1-weighted MR image shows inflammation as areas of markedly increased pa- renchymal enhancement in a peribiliary (arrowheads) and wedge-shaped (arrow) distribution. * = abscesses.
  • #114 Es indispensable el uso de antibióticos y el drenaje de la vía biliar. El uso de antibióticos solos tiene una mortalidad del 87-100%. CTP: Colangiografía transhepática percutánea.
  • #115 Liver abscesses complicating BAC. (a) Ultrasonographic (US) image of the liver shows an abscess as an oval anechoic area (arrowhead) with internal hyperechoic foci due to gas bubbles.
  • #116 (b) Coronal image from contrast-enhanced multidetector CT shows pneumobilia within dilated intrahepatic ducts (arrow) and gas within one of multiple liver abscesses (arrowheads). * = gallstone in the gallbladder. (c) Axial gadolinium-enhanced fat-saturated T1- weighted MR image shows an abscess (arrowhead), pneumobilia within dilated intrahepatic ducts (arrow), and thickened enhancing bile duct walls.
  • #117 Portal vein thrombosis complicating BAC. Reformatted image from contrast-enhanced multidetector CT shows gallbladder stones (curved arrow) and choledocholithiasis (arrowhead).The main portal vein enhances proximally (thin straight solid arrow) but is occluded high in the porta hepatis due to thrombosis (dashed arrow). Note the thickened and enhancing CBD wall (thick arrow).
  • #119 Es indispensable el uso de antibióticos y el drenaje de la vía biliar. El uso de antibióticos solos tiene una mortalidad del 87-100%. CTP: Colangiografía transhepática percutánea.
  • #120 Combinación de cálculos de pigmento y lodo biliar. Los cálculos se encuentran en el 80% de los casos. CLAVE: Sin COLELITIASIS
  • #121 Infestación de dichos parásitos, con estasis de la bilis y formación de los cálculos.
  • #123 El cuadro clínico son episodios recurrentes de colangitis.
  • #124 Mejor clave diagnóstica: cálculos biliares intra- y extrahepáticos sin colelitiasis. La dilatación es de los segmentos involucrados. La nuemobilia es común, y es secundario al paso de aire desde el intestino después de que un cálculo pasa el ámpula, o por bacterias formadoras de gas.
  • #125 Axial CECT of recurrent pyogenic cholangitis demonstrates marked intrahepatic biliary dilatation with numerous intrahepatic stones (arrows).
  • #126 (Left) Axial NECT of intrahepatic stones in recurrent pyogenic cholangitis. Note high attenuation stones in right lobe (arrow). (Right) Axial NECT of intrahepatic stones in recurrent pyogenic cholangitis. Note high attenuation stones in left lobe (arrow).
  • #127 (Left) Axial CECT of recurrent pyogenic cholangitis. Note dilated intrahepatic ducts (arrow) with numerous right lobe intrahepatic calculi (open arrow). (Right) Coronal CECT reformation of recurrent pyogenic cholangitis demonstrates lack of stones in gallbladder but numerous intrahepatic stones (arrows).
  • #128 (Left) Axial CECT demonstrates massive dilatation of common bile duct due to stones from recurrent pyogenic cholangitis. Note large pigment stone in common bile duct (arrow). (Right) ERCP of common bile duct in recurrent pyogenic cholangitis demonstrates massive filling defect in common bile duct due to stone (arrows).
  • #129 Imaging findings in RPC. (a) Axial image from non-enhanced multidetector CT shows pigment stones (solid arrow) in dilated left bile ducts; the stones appear partially calcifed. Dashed arrow = biliary drainage catheters.
  • #130 Los cálculos son ligeramente mas hipertensos que el hígado en T1.
  • #131 Imaging findings in RPC. (a) Axial fat- saturated T2-weighted MR image shows dilatation of the intrahepatic biliary tree (dashed arrow), which contains multiple intrahepatic duct stones (solid arrow).
  • #132 Axial fat-saturated T1-weighted MR image shows dilatation of the intrahepatic biliary tree (arrow) with thickened enhanced bile duct walls and parenchymal atrophy.
  • #133 Coronal oblique image from T2-weighted MR cholangiopancreatography shows dilatation of the intrahepatic biliary tree (dashed arrows) and multiple intrahepatic duct stones of different sizes (top solid arrows), as well as stones in the CBD (bottom solid arrows).
  • #134 Axial nonenhanced fat-saturated T1-weighted MR image shows that the stones (arrow) are hyperintense relative to surrounding parenchyma. Note the associated atrophy of the left lobe.
  • #135 El colangiocarcinoma tiende a ocurrir en los segmentos atróficos o donde había mayor carga de cálculos. A low-attenuation mass with a thin rim of contrast enhancement and narrowing or obliteration of the portal vein should raise the suspicion of cholangiocarcinoma.
  • #136 Resección del lóbulo hepático izquierdo si esta limitada.
  • #138 Cholangiographic image, obtained by means of a transhepatic biliary drainage catheter (arrows) after percutaneous and endoscopic procedures for stone removal and stent placement, shows persistent ductal dilatation.
  • #139 Es una forma de colangitis esclerosante secundaria en paciente severamente inmunocomprometidos.
  • #144 Axial CECT demonstrates gallbladder wall edema and pericholecystic inflammatory changes (arrow) in CMV acalculous cholecystitis.
  • #146 HIV-related cholangitis. (19) Coronal oblique image from T2-weighted MR cholangiopancreatography shows pruning and dilatation of intrahepatic ducts (dashed arrows), edematous folds in the CBD (straight solid arrow), and sphincter of Oddi stenosis (curved arrow).