Universidad Nacional Autónoma de México
Facultad de estudios superiores Iztacala
Medicina
Sistema Respiratorio
Tuberculosis Pulmonar
TUBERCULOSIS
PULMONAR
concepto:
Enfermedad infecto-contagiosa producida por
micobacterias del complejo Mycobacterium
Tuberculosis ( M. hominis, M. bovis, M. africanum),
que afecta al parénquima con alto grado de
contagiosidad 8principalmete vía aerea), pero que sin
embargo , es prevenible y curable
Guía de Practicas Clínicas, Diagnóstico y tratamiento de
casos nuevos de TBP. México, secretaria de Salud, 2008
EPIDEMIOLOGIA
Linfática , Pleural,
Meníngea, Genitourinaria,
Miliar, Peritoneal y Ósea
17 mil casos
nuevos
(NOM)
MORTALIDAD. México 2003
2,500
defunciones
(NOM)
ENFERMEDADES
ASOCIADAS A CASOS
NUEVOS. México 2003
AÑO CASOS DEFUNCIONES
2007 24,151 240
Guía de Practicas Clínicas, Diagnóstico y tratamiento de
casos nuevos de TBP. México, secretaria de Salud, 2008
IMSS
CLASIFICACIÓN
En 1976, la American Lung Associationn propuso la
clasificación dinámica.
epidemiología
inmunologíaClínica
tratamiento
Guía diagnostica de Neumología del Hospital
General de México. Tuberculosis
Clase Características
0 No infectados ni expuestos a la infección
I En contacto con TB con PPD negativo
II Infección Tuberculosa sin enfermedad evidente
BAAR –
PPD +
REQUIEREN VIGILACIA ESTRICTA
III TB activa pulmonar o extrapulmonar
Cultivo +
Evidencia radiológica
Mas estudio (NOM-006-SSA2)
IV TB sin enfermedad activa pero con secuelas
Datos radiografiaos
PPD +
Cultivo negativo
Investiga fecha de Dx y Tx previo
V Sospecha de TB
Dx confirmado antes de 3 meses
Etiología
M. Tuberculosis
Bacteria aerobia fina, no
esporogena, cilíndrica,
que mide de 0-5 – 3 µm
M. Tuberculosis
Bacteria aerobia fina, no
esporogena, cilíndrica,
que mide de 0-5 – 3 µm
Suele no captar el
colorante Gram (neutra),
sin embargo , una vez
teñidas no puede
cambiar de color con el
alcohol ni los ácidos:
Bacilo acidorresistente
Esta falta de coloración
es porque poseen en su
pared celular gran
cantidad de AC.
MICÓLICO, ac. Grasos
de cadena larga y otros
lípidos.
El agente más importante y frecuente
de enfermedad en seres humanos es
la Mycobacterium Tuberculosis
Sin embargo, el complejo de especies patógenas que pertenecen a la familia
Mycobacteriaceae y al orden Acetinomycetales, incluye a:
1) M. Bovi (que en forma característica es resistente a la pirazinamida)
2) M. Caprae (relacionado con M. Bovis)
3) M. Africanum (aislado en casos de Africa central, central y occidental)
4)M. microti ( poco virulento y raras veces encontrado)
5) M. pinnipedii (afecta focas y leones marinos)
6) M. canetti (rara vez aislado en el este africano
En la pared celular de las micobacterias, los lipidos (como el ac. Micólico) están
unidos a Arabinogalactanos y a los péptidoglucanos subyacentes, lo que da como
lugar a una estructura con escasísima permeabilidad celular, lo que explica la
infeciacia de los antibióticos.
Otra molécula muy importante en la pare de las micobacterias es el
Lipoarabinomanano (LAM), el cual interviene en la patogenia de la interacción
patógeno – hospedador y favorece la supervivencia de la M. Tuberculosis
“Al ser vital la pared celular para la supervivencia del M.
tuberculosis, la mayoría de sus genes se dedican a producir
enzimas que participan en el metabolismo de la pared celular”
Manifestaciones
clinicas
Dependiendo de la localización del foco infeccioso, la tuberculosis
puede divirse en pulmonar (la cual a su vez se divide en primaria y
secundaria) y extra pulmonar.
Tuberculosis Pulmonar
Primaria
“Es aquella que aparece consecutivamente a la infección inicial por el
bacilo tuberculoso”
A menudo se observa en niños y en personas con VIH”
“Como la mayor parte del aire
inspirado se distribuye en las zonas
media e inferior de los pulmones,
estas áreas a menudo se infectan con
tuberculosis primaria”
Después de la infección primaria,
suele aprecer una lesión periférica
que conlleva a adenopatías hiliares o
para traqueales (que pueden
desapercibirse en la radiografía) en
donde la lesión cura
espontaneamente dejando un
pequeño nodulo calcificado (lesión
de Ghon)
En los niños y pacientes con
VIH, las manifestaciones clinicas
suelen agravarse rapidamente.
La manifestación más frecuente
es el derrame pleural (por
penetración de los bacilos en
un foco subpleural adyacente)
En los casos graves, la lesión
primaria aumenta de tamaño,
presenta necrosis en la parte
central y forma una cavidad
(Tuberculosis primaria
progresiva)
En niños pequeños, las adenopatías
hiliares o mediastinicas
tuberculosas, ocasiona un
crecimiento de los ganglios que
llega a obstruir al bronquio,
produciendo un colapso
segmentario o lobular
“Si los bacilos logran pasar desde la lesión pulmonar, o los
ganglios linfáticos, al torrente sanguíneo, se disemina la
infección por varios órganos y se producen lesiones
granulomatosas.”
Pacientes con VIH, a veces sufren de tuberculosis miliar,
meningitis tuberculosa o las dos
Tuberculosis Pulmonar Secundaria
“Es también llamada Posprimaria, de reactivación o de tipo adulto.
Se debe a la reactivación endógena de una infección tuberculosa
latente”
“Suele localizarse en los segmentos
apicales y posteriores de los lóbulos
superiores, pues la gran
concentración de O2 favorece el
crecimiento de las micobacterias”
(también puede afectar el segmento
superior del lóbulo inferior)
El grado de infección varía
mucho, desde pequeños
infiltrados hasta un proceso
cavitario extenso
Cavidad en pulmón derecho
Rx que muestra cavidades con niveles
hidroareos e infiltración en el lóbulo
superior
Al formarse las cavernas,
su contenido necrótico y
licuado acaba pasando a
las vías respiratorias,
dando lugar a lesiones
parenquimatosas
satélites que también
pueden terminar
cavitandose
“Cuando hay confluencia de
varias lesiones se afecta
masivamente un segmento o
lóbulo pulmonar,
Dando como consecuencia a
una neumonía tuberculosa”
TUBERCULOSIS BRONQUIAL
El 33% de los pacientes
con tuberculosis
pulmonar fallece pocas
semanas o meses
después del comienzo..
..Otros experimientan
un proceso de
remisión espontánea..
..o bien, siguen en una
evolución crónica cada
vez más constante
(consunción).
En esta circunstancia, algunas
lesiones se vuelven fibroticas
(calcifican después), mientras
que cavidades persisten en otras
zonas del pulmon
En las primeras fases evolutivas de la enfermedad, las manifestaciones clínicas
suelen ser inespecíficas:
 Fiebre y sudores nocturnos
 Perdida de peso y anorexia
 Malestar general
 Debilidad
“Casi siempre termina apareciendo tos (al principio seca y después con
expectoración purulenta, a veces con estrías de sangre)”
La hemoptisis masiva ocurre por la erosión
de un vaso por completo permeable situado
en la pared de una caverna, o consecutivo a
la rotura de un vaso dilatado en la caverna
(Aneurimsa de Rasmussen)
“Solamente las formas extensas
de la enfermedad pueden
producir disnea y, en ocasiones,
Síndrome de insuficiencia
respiratoria del adulto”
Estertores en las zonas afectadas (sobre todo después de toser)
Roncus ocasionado por la obstrucción parcial de bronquios (en dado
caso)
Soplo anfórico en las zonas con cavernas grandes
Muchos pacientes no tienen cambios detectables en la
exploración de tórax, mientras que en otros se escuchan:
“Algunos casos desarrollan
palidez e hipocratismo”
Entre los datos hematológicos más frecuentes
son anemia ligera y leucocitosis
También se ha descrito hiponatremia debida al
Sx de secreción inapropiada de la ADH
Extrapulmonar
“Los sitios con mayor donde se localiza la tuberculosis, por orden de
frecuencia, son:
Meninges
Pleura
Aparato genitourinario
Ganglios linfáticos
Huesos y articulaciones
Tuberculosis Miliar
Signo patognomonico:
Tuberculos en la Coroides del Ojo
Fisiopatología de la
Tuberculosis
• La principal vía de contagio suele ser el Sist. Respiratorio  tos y
estornudo
• Agente causal
Mycobacteryum tuberculosis o Basilo de Koch
Bacilo aeróbeo que depende de O2 y PH óptimo
para su desarrollo
Multiplicación lenta (16-20hrs)
Provoca lesiones tisulares  «tuberculos»
Genera respuesta de CD4, Linfocitos citotóxico y NK
(eliminan)
La infección
• Para que esta se lleve a cabo, es necesario tener presente la
relación entre:
No. De gérmenes
Virulencia
Manifestaciones de hipersensibilidad
Resistencia natural y adquirida
L = N.V.L / Rn+a
Donde L: lesión; N: número de gérmenes; V: virulencia;
H: hipersensibilidad; R: resistencia; n: natural y a:
adquirida
RespuestaPreinmune
Iniciacuandoelbaciloentraencontactoconelhuésped(asintomaticos95%)
Bacilos al salir, generan aerosoles de
pequeñas partículas : Gotas de Flügge (1-3)
Pequeñas para aludir la barrera muco-ciliar
Llegan a los alveolos pulmonares, donde se
encuentran con: Macrófagos, Natural Killer y
Linfocitos T
Macrófagos alveolares actúan
fagocitando a los bacilos Persistencia y replicación de bacilos
dentro de macrófagos alveolares
(enzimas hidrolíticas y productos
nitrogenados)
Producción de interferón, Interleucinas IL12, IL15
y Factor de necrosis tumoral
• Interleucinas reclutan nuevas células: monocitos, macrófagos
y linfocitos
• Respuestaantígenoespecífica
Va a depender de Linfocitos T, Macrófagos y cel. presentadoras de antígeno
• Se produce un crecimiento exponencial de no. De bacilos
• En pulmón  una intensa alveolitis a expensas de cel.
jóvenes del sistema mononuclear fagocítico
El desarrollo de la inmunidad protectora depende de los Linfocitos CD4.
Respuesta de hipersensibilidad retardada, dependen de las células de Memoria
Por eso los pacientes con inmunodeficiencia son más propensos a la enfermedad
Macrófagos transportan al bacilo
Ganglios linfáticos regionales
Se lleva a cabo la respuesta de inmunidad
celular por los Linfocitos T
• Se disemina en el organismo, favorecido por
condiciones locales de vascularización y presión
parcial de oxigeno más elevada
• Figura en primer lugar el Pulmón
y después hígado, bazo, riñón y medula ósea
• De la entrada del bacilo hasta la respuesta
inmunitaria, es el «periodo de incubación» que oscila
entre 6-8 semanas
Zonas apicales y post. De los
lóbulos
«Control inmunitario»
• Inmunidad mediada por células
• Hipersensibilidad retardada Produce destrucción de
macrófagos que contienen
bacilos, formando un «foco de
necrosis caseosa»
Aquí pueden persistir los bacilos durante años, sin reproducirse, eso por la falta de
oxígeno, la acidez y la presencia de ácidos grasos inhibidos
Linfocitos T citotóxicos, citocinas, especies reactivas de oxígeno y óxido nitroso
Se pone en marcha de 2-10 sem.
después
Fact.Necrosistumoralfundamentalparalarespuesta
Granulomatosaadecuada.
Diagnostico clínico
Evidencias clinicas
• TOS 2 o + semanas sin fiebre, perdida peso o alteraciones
en crecimientoNIÑOS
• TOS 2 o + semanas, con hemoptisis, fiebre vespertina o
nocturna, diaforesis, perdida peso, astenia y adinamiaAdultos
• Tos sin explicación, malestar gral.
• Pacientes con neumonías adquiridas en comunidad sin
mejoría después de 7 días con TxOtros
Percusión
• hipersonoridad
auscultación
• Soplo cavitario
• Gorgoteo
• Pectoriloquia
áfona
Rx
• Hiperclaridad
bien definida
• En canas o
algodón de
agusto
-Intradérmica
-Cara anterior antebrazo
-Lejos de venas
-Piel sin lesiones
Prueba de MANTOX
Recomendación
PPD. Caracteristicas:
Guía de Practicas Clínicas, Diagnóstico y tratamiento de casos nuevos de TBP.
México, secretaria de Salud, 2008
Interpretación resultados
Lectura de
induración
•48 a 72 hrs.
•Antes 7 días
eritema =
0
• + = >5mm
• Certeza = 15 mm
Vacunas
imposible
discernir
•Infección
•Recuerdo
de vacuna
• nueva prueba
• 7 o 10 días
después
Inseguridad
en prueba
o
resultados
Resultado
definitivo
Practica repetida de PT no induce sensibilidad Tuberculina
inconveniente
Técnicas in vitro de IFN- 
Detección de IFN-  liberado como respuesta de
estimulación in vitro de LT sensibilizados en sangre
periférica con Ag específicos de M. Tuberculosis
Discriminación entre
Infectados con
M. Tuberculosis
Con vacuna
antituberculosa
Infectados con
otras mico bacterias
Evita subjetividad en
interpretación resultados
Examen microscópico
del esputo
Altamente especifico
Más rápido para
determinar TBP
Identifica
pacientes con >
riesgo de morir
Identifica pacientes con >
riesgo a transmitir la
enfermedad
Pero ….. ¿Qué se pretende encontrar en esta prueba?
Bacilos ácido-alcohol
resistentes (BAAR)
Sensibilidad:51.8%
Especificidad 97.5%
Se requieren 3
muestras
Guía de Practicas Clínicas, Diagnóstico y
tratamiento de casos nuevos de TBP. México,
IDENTIFICACION
BACILO
MEDIOS DE
CULTIVO (< 14
días)
Para detección
de crecimiento
VIH : > tiempo de
incubación
Tratamiento para
tuberculosis
pulmonar
Consideraciones
• Debido a su alta resistencia esquema de 4 antibióticos.
• Debe realizarse investigación de contactos (+++ paciente con
cavernas activas)
• Posterior al tratamiento cuando se considera curado, debe
mantenerse en observación al menos cada 6 meses por el sig.
Año.
• Se considera fracaso de tx. Antifimico, si a 5 meses de
tratamiento continúa con broncoscopía positiva
Tx Farmacológico
• Es un esquema de 6 meses:
• Dos partes:
• 1º Tratamiento antituberculoso con 4 antibióticos.
• 2º Tratamiento de seguimiento por 2 meses más.
• Se recomienda realizar un seguimiento del tratamiento,
porque el paciente al mejorar abandona y esto aumenta
significativamente su riesgo de recaer o producir resistencias.
Medicamento Dosis
Adulto/niño
(mg/kg)
MA Ef. Secundarios
Isoniazida 10/ 5- 10 contra bacilos de la
tuberculosis en
crecimiento activo. Vs
Ac. Micólico de la
pared bacteriana.
Neuropatía
Hepatitis
Rifampicina 15 / 10 activa contra M.
tuberculosis de
crecimiento lento e
intermitente. Bloquea
transmisión de RNA
Hepatits
Hipersensibilidad
Pirazinamida 25-30 / 20-30 microorganismos
intracelulares, sobre
todo en el medio ácido
de los macrófagos.
Modifica pH. +
Efectivo en
crecimiento lento
Gota
Hepatitis
Etambutol 20-30/ 15-25 Inhibe síntesis de RNA Alteración de la
visión.
Estreptomicina 20- 30/ 15 Inhibe síntesis protéica
a nivel 30s ribosomal
Vértigo
Hipoacusia
Dermatosis
Tratamiento primario acortado,
estrictamente supervisado (TAES)
Fase del tratamiento Dosis
Fase intensiva
Se administra de lunes a sábado por 10
semanas hasta 60 tomas
4 grageas por toma
Rifanpicina 600mg
Isoniacida 300mg
Piracinamida 1500- 2000 mg
Etambutol 1200 mg
Fase de sostén
1 dosis 3 veces por semana por 15
semanas hasta 45 dosis
4 cápsulas
Isoniacida 800mg
Rifanpicina 600 mg
Tx. Quirúrgico
• En algunos casos de complicaciones puede llegar a
recomendarse.
• Indicaciones: Bronquiectasias, hemoptisis masivas, estenosis
bronquial irreversible y fístula broncopleural.
Recuperación, incapacidad y
pronóstico
• El paciente debe permanecer aislado al menos por 30 días.
• El paciente no puede regresar a trabajar si la prueba de esputo
no ha salido negativa.
• Pronóstico bueno si es detectada a tiempo y el tratamiento
adecuado.
• La Limitación crónica al flujo aéreo (LCFA) es una secuela
debida a las lesiones de TBP.

Tuberculosis

  • 1.
    Universidad Nacional Autónomade México Facultad de estudios superiores Iztacala Medicina Sistema Respiratorio Tuberculosis Pulmonar
  • 2.
    TUBERCULOSIS PULMONAR concepto: Enfermedad infecto-contagiosa producidapor micobacterias del complejo Mycobacterium Tuberculosis ( M. hominis, M. bovis, M. africanum), que afecta al parénquima con alto grado de contagiosidad 8principalmete vía aerea), pero que sin embargo , es prevenible y curable Guía de Practicas Clínicas, Diagnóstico y tratamiento de casos nuevos de TBP. México, secretaria de Salud, 2008
  • 3.
  • 4.
    Linfática , Pleural, Meníngea,Genitourinaria, Miliar, Peritoneal y Ósea 17 mil casos nuevos (NOM)
  • 5.
  • 6.
  • 7.
    AÑO CASOS DEFUNCIONES 200724,151 240 Guía de Practicas Clínicas, Diagnóstico y tratamiento de casos nuevos de TBP. México, secretaria de Salud, 2008 IMSS
  • 8.
  • 9.
    En 1976, laAmerican Lung Associationn propuso la clasificación dinámica. epidemiología inmunologíaClínica tratamiento Guía diagnostica de Neumología del Hospital General de México. Tuberculosis
  • 10.
    Clase Características 0 Noinfectados ni expuestos a la infección I En contacto con TB con PPD negativo II Infección Tuberculosa sin enfermedad evidente BAAR – PPD + REQUIEREN VIGILACIA ESTRICTA III TB activa pulmonar o extrapulmonar Cultivo + Evidencia radiológica Mas estudio (NOM-006-SSA2) IV TB sin enfermedad activa pero con secuelas Datos radiografiaos PPD + Cultivo negativo Investiga fecha de Dx y Tx previo V Sospecha de TB Dx confirmado antes de 3 meses
  • 11.
  • 12.
    M. Tuberculosis Bacteria aerobiafina, no esporogena, cilíndrica, que mide de 0-5 – 3 µm
  • 13.
    M. Tuberculosis Bacteria aerobiafina, no esporogena, cilíndrica, que mide de 0-5 – 3 µm Suele no captar el colorante Gram (neutra), sin embargo , una vez teñidas no puede cambiar de color con el alcohol ni los ácidos: Bacilo acidorresistente Esta falta de coloración es porque poseen en su pared celular gran cantidad de AC. MICÓLICO, ac. Grasos de cadena larga y otros lípidos.
  • 14.
    El agente másimportante y frecuente de enfermedad en seres humanos es la Mycobacterium Tuberculosis Sin embargo, el complejo de especies patógenas que pertenecen a la familia Mycobacteriaceae y al orden Acetinomycetales, incluye a: 1) M. Bovi (que en forma característica es resistente a la pirazinamida) 2) M. Caprae (relacionado con M. Bovis) 3) M. Africanum (aislado en casos de Africa central, central y occidental) 4)M. microti ( poco virulento y raras veces encontrado) 5) M. pinnipedii (afecta focas y leones marinos) 6) M. canetti (rara vez aislado en el este africano
  • 15.
    En la paredcelular de las micobacterias, los lipidos (como el ac. Micólico) están unidos a Arabinogalactanos y a los péptidoglucanos subyacentes, lo que da como lugar a una estructura con escasísima permeabilidad celular, lo que explica la infeciacia de los antibióticos. Otra molécula muy importante en la pare de las micobacterias es el Lipoarabinomanano (LAM), el cual interviene en la patogenia de la interacción patógeno – hospedador y favorece la supervivencia de la M. Tuberculosis
  • 16.
    “Al ser vitalla pared celular para la supervivencia del M. tuberculosis, la mayoría de sus genes se dedican a producir enzimas que participan en el metabolismo de la pared celular”
  • 17.
  • 18.
    Dependiendo de lalocalización del foco infeccioso, la tuberculosis puede divirse en pulmonar (la cual a su vez se divide en primaria y secundaria) y extra pulmonar.
  • 19.
    Tuberculosis Pulmonar Primaria “Es aquellaque aparece consecutivamente a la infección inicial por el bacilo tuberculoso” A menudo se observa en niños y en personas con VIH” “Como la mayor parte del aire inspirado se distribuye en las zonas media e inferior de los pulmones, estas áreas a menudo se infectan con tuberculosis primaria” Después de la infección primaria, suele aprecer una lesión periférica que conlleva a adenopatías hiliares o para traqueales (que pueden desapercibirse en la radiografía) en donde la lesión cura espontaneamente dejando un pequeño nodulo calcificado (lesión de Ghon)
  • 20.
    En los niñosy pacientes con VIH, las manifestaciones clinicas suelen agravarse rapidamente. La manifestación más frecuente es el derrame pleural (por penetración de los bacilos en un foco subpleural adyacente) En los casos graves, la lesión primaria aumenta de tamaño, presenta necrosis en la parte central y forma una cavidad (Tuberculosis primaria progresiva)
  • 21.
    En niños pequeños,las adenopatías hiliares o mediastinicas tuberculosas, ocasiona un crecimiento de los ganglios que llega a obstruir al bronquio, produciendo un colapso segmentario o lobular “Si los bacilos logran pasar desde la lesión pulmonar, o los ganglios linfáticos, al torrente sanguíneo, se disemina la infección por varios órganos y se producen lesiones granulomatosas.” Pacientes con VIH, a veces sufren de tuberculosis miliar, meningitis tuberculosa o las dos
  • 22.
    Tuberculosis Pulmonar Secundaria “Estambién llamada Posprimaria, de reactivación o de tipo adulto. Se debe a la reactivación endógena de una infección tuberculosa latente” “Suele localizarse en los segmentos apicales y posteriores de los lóbulos superiores, pues la gran concentración de O2 favorece el crecimiento de las micobacterias” (también puede afectar el segmento superior del lóbulo inferior) El grado de infección varía mucho, desde pequeños infiltrados hasta un proceso cavitario extenso
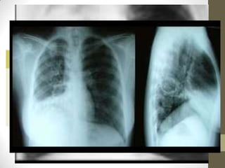
  • 23.
    Cavidad en pulmónderecho Rx que muestra cavidades con niveles hidroareos e infiltración en el lóbulo superior
  • 24.
    Al formarse lascavernas, su contenido necrótico y licuado acaba pasando a las vías respiratorias, dando lugar a lesiones parenquimatosas satélites que también pueden terminar cavitandose “Cuando hay confluencia de varias lesiones se afecta masivamente un segmento o lóbulo pulmonar, Dando como consecuencia a una neumonía tuberculosa” TUBERCULOSIS BRONQUIAL
  • 25.
    El 33% delos pacientes con tuberculosis pulmonar fallece pocas semanas o meses después del comienzo.. ..Otros experimientan un proceso de remisión espontánea.. ..o bien, siguen en una evolución crónica cada vez más constante (consunción). En esta circunstancia, algunas lesiones se vuelven fibroticas (calcifican después), mientras que cavidades persisten en otras zonas del pulmon
  • 26.
    En las primerasfases evolutivas de la enfermedad, las manifestaciones clínicas suelen ser inespecíficas:  Fiebre y sudores nocturnos  Perdida de peso y anorexia  Malestar general  Debilidad “Casi siempre termina apareciendo tos (al principio seca y después con expectoración purulenta, a veces con estrías de sangre)” La hemoptisis masiva ocurre por la erosión de un vaso por completo permeable situado en la pared de una caverna, o consecutivo a la rotura de un vaso dilatado en la caverna (Aneurimsa de Rasmussen)
  • 27.
    “Solamente las formasextensas de la enfermedad pueden producir disnea y, en ocasiones, Síndrome de insuficiencia respiratoria del adulto”
  • 28.
    Estertores en laszonas afectadas (sobre todo después de toser) Roncus ocasionado por la obstrucción parcial de bronquios (en dado caso) Soplo anfórico en las zonas con cavernas grandes Muchos pacientes no tienen cambios detectables en la exploración de tórax, mientras que en otros se escuchan:
  • 29.
    “Algunos casos desarrollan palideze hipocratismo” Entre los datos hematológicos más frecuentes son anemia ligera y leucocitosis También se ha descrito hiponatremia debida al Sx de secreción inapropiada de la ADH
  • 30.
    Extrapulmonar “Los sitios conmayor donde se localiza la tuberculosis, por orden de frecuencia, son:
  • 31.
    Meninges Pleura Aparato genitourinario Ganglios linfáticos Huesosy articulaciones Tuberculosis Miliar Signo patognomonico: Tuberculos en la Coroides del Ojo
  • 33.
  • 34.
    • La principalvía de contagio suele ser el Sist. Respiratorio  tos y estornudo • Agente causal Mycobacteryum tuberculosis o Basilo de Koch Bacilo aeróbeo que depende de O2 y PH óptimo para su desarrollo Multiplicación lenta (16-20hrs) Provoca lesiones tisulares  «tuberculos» Genera respuesta de CD4, Linfocitos citotóxico y NK (eliminan)
  • 35.
    La infección • Paraque esta se lleve a cabo, es necesario tener presente la relación entre: No. De gérmenes Virulencia Manifestaciones de hipersensibilidad Resistencia natural y adquirida L = N.V.L / Rn+a Donde L: lesión; N: número de gérmenes; V: virulencia; H: hipersensibilidad; R: resistencia; n: natural y a: adquirida
  • 36.
    RespuestaPreinmune Iniciacuandoelbaciloentraencontactoconelhuésped(asintomaticos95%) Bacilos al salir,generan aerosoles de pequeñas partículas : Gotas de Flügge (1-3) Pequeñas para aludir la barrera muco-ciliar Llegan a los alveolos pulmonares, donde se encuentran con: Macrófagos, Natural Killer y Linfocitos T
  • 37.
    Macrófagos alveolares actúan fagocitandoa los bacilos Persistencia y replicación de bacilos dentro de macrófagos alveolares (enzimas hidrolíticas y productos nitrogenados) Producción de interferón, Interleucinas IL12, IL15 y Factor de necrosis tumoral
  • 39.
    • Interleucinas reclutannuevas células: monocitos, macrófagos y linfocitos
  • 40.
    • Respuestaantígenoespecífica Va adepender de Linfocitos T, Macrófagos y cel. presentadoras de antígeno • Se produce un crecimiento exponencial de no. De bacilos • En pulmón  una intensa alveolitis a expensas de cel. jóvenes del sistema mononuclear fagocítico El desarrollo de la inmunidad protectora depende de los Linfocitos CD4. Respuesta de hipersensibilidad retardada, dependen de las células de Memoria Por eso los pacientes con inmunodeficiencia son más propensos a la enfermedad Macrófagos transportan al bacilo Ganglios linfáticos regionales Se lleva a cabo la respuesta de inmunidad celular por los Linfocitos T
  • 42.
    • Se diseminaen el organismo, favorecido por condiciones locales de vascularización y presión parcial de oxigeno más elevada • Figura en primer lugar el Pulmón y después hígado, bazo, riñón y medula ósea • De la entrada del bacilo hasta la respuesta inmunitaria, es el «periodo de incubación» que oscila entre 6-8 semanas Zonas apicales y post. De los lóbulos
  • 43.
    «Control inmunitario» • Inmunidadmediada por células • Hipersensibilidad retardada Produce destrucción de macrófagos que contienen bacilos, formando un «foco de necrosis caseosa» Aquí pueden persistir los bacilos durante años, sin reproducirse, eso por la falta de oxígeno, la acidez y la presencia de ácidos grasos inhibidos Linfocitos T citotóxicos, citocinas, especies reactivas de oxígeno y óxido nitroso Se pone en marcha de 2-10 sem. después
  • 45.
  • 46.
  • 47.
    Evidencias clinicas • TOS2 o + semanas sin fiebre, perdida peso o alteraciones en crecimientoNIÑOS • TOS 2 o + semanas, con hemoptisis, fiebre vespertina o nocturna, diaforesis, perdida peso, astenia y adinamiaAdultos • Tos sin explicación, malestar gral. • Pacientes con neumonías adquiridas en comunidad sin mejoría después de 7 días con TxOtros
  • 48.
    Percusión • hipersonoridad auscultación • Soplocavitario • Gorgoteo • Pectoriloquia áfona Rx • Hiperclaridad bien definida • En canas o algodón de agusto
  • 49.
    -Intradérmica -Cara anterior antebrazo -Lejosde venas -Piel sin lesiones Prueba de MANTOX
  • 50.
    Recomendación PPD. Caracteristicas: Guía dePracticas Clínicas, Diagnóstico y tratamiento de casos nuevos de TBP. México, secretaria de Salud, 2008
  • 52.
    Interpretación resultados Lectura de induración •48a 72 hrs. •Antes 7 días eritema = 0 • + = >5mm • Certeza = 15 mm Vacunas imposible discernir •Infección •Recuerdo de vacuna
  • 53.
    • nueva prueba •7 o 10 días después Inseguridad en prueba o resultados Resultado definitivo Practica repetida de PT no induce sensibilidad Tuberculina
  • 54.
  • 55.
    Técnicas in vitrode IFN-  Detección de IFN-  liberado como respuesta de estimulación in vitro de LT sensibilizados en sangre periférica con Ag específicos de M. Tuberculosis Discriminación entre Infectados con M. Tuberculosis Con vacuna antituberculosa Infectados con otras mico bacterias Evita subjetividad en interpretación resultados
  • 57.
    Examen microscópico del esputo Altamenteespecifico Más rápido para determinar TBP Identifica pacientes con > riesgo de morir Identifica pacientes con > riesgo a transmitir la enfermedad Pero ….. ¿Qué se pretende encontrar en esta prueba? Bacilos ácido-alcohol resistentes (BAAR) Sensibilidad:51.8% Especificidad 97.5% Se requieren 3 muestras Guía de Practicas Clínicas, Diagnóstico y tratamiento de casos nuevos de TBP. México,
  • 58.
    IDENTIFICACION BACILO MEDIOS DE CULTIVO (<14 días) Para detección de crecimiento VIH : > tiempo de incubación
  • 59.
  • 60.
    Consideraciones • Debido asu alta resistencia esquema de 4 antibióticos. • Debe realizarse investigación de contactos (+++ paciente con cavernas activas) • Posterior al tratamiento cuando se considera curado, debe mantenerse en observación al menos cada 6 meses por el sig. Año. • Se considera fracaso de tx. Antifimico, si a 5 meses de tratamiento continúa con broncoscopía positiva
  • 61.
    Tx Farmacológico • Esun esquema de 6 meses: • Dos partes: • 1º Tratamiento antituberculoso con 4 antibióticos. • 2º Tratamiento de seguimiento por 2 meses más. • Se recomienda realizar un seguimiento del tratamiento, porque el paciente al mejorar abandona y esto aumenta significativamente su riesgo de recaer o producir resistencias.
  • 62.
    Medicamento Dosis Adulto/niño (mg/kg) MA Ef.Secundarios Isoniazida 10/ 5- 10 contra bacilos de la tuberculosis en crecimiento activo. Vs Ac. Micólico de la pared bacteriana. Neuropatía Hepatitis Rifampicina 15 / 10 activa contra M. tuberculosis de crecimiento lento e intermitente. Bloquea transmisión de RNA Hepatits Hipersensibilidad Pirazinamida 25-30 / 20-30 microorganismos intracelulares, sobre todo en el medio ácido de los macrófagos. Modifica pH. + Efectivo en crecimiento lento Gota Hepatitis
  • 63.
    Etambutol 20-30/ 15-25Inhibe síntesis de RNA Alteración de la visión. Estreptomicina 20- 30/ 15 Inhibe síntesis protéica a nivel 30s ribosomal Vértigo Hipoacusia Dermatosis
  • 64.
    Tratamiento primario acortado, estrictamentesupervisado (TAES) Fase del tratamiento Dosis Fase intensiva Se administra de lunes a sábado por 10 semanas hasta 60 tomas 4 grageas por toma Rifanpicina 600mg Isoniacida 300mg Piracinamida 1500- 2000 mg Etambutol 1200 mg Fase de sostén 1 dosis 3 veces por semana por 15 semanas hasta 45 dosis 4 cápsulas Isoniacida 800mg Rifanpicina 600 mg
  • 65.
    Tx. Quirúrgico • Enalgunos casos de complicaciones puede llegar a recomendarse. • Indicaciones: Bronquiectasias, hemoptisis masivas, estenosis bronquial irreversible y fístula broncopleural.
  • 66.
    Recuperación, incapacidad y pronóstico •El paciente debe permanecer aislado al menos por 30 días. • El paciente no puede regresar a trabajar si la prueba de esputo no ha salido negativa. • Pronóstico bueno si es detectada a tiempo y el tratamiento adecuado. • La Limitación crónica al flujo aéreo (LCFA) es una secuela debida a las lesiones de TBP.