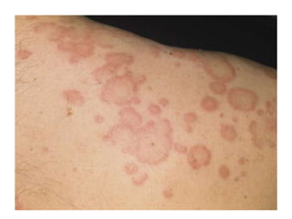
URTICARIA
Definicion: denominamos urticaria a un
patron de reaccion inespecifico de la
piel, caracterizado semiologicamente por
lesiones de carácter
fugaz, transitorias, eritematosas y
edematosas, pruriginosas, de tamaños y
morfologia variables.
Habitualmente son redondeadas, ovaladas o
anulares, llamadas habones o ¨ronchas¨.
Estas reacciones se producen por la activacion
del mastocito y la accion de sus mediadores
sobre receptores celulares especificos
Etiologia y patogenesis
A la urticaria actualmente podemos considerarla como
el resultado de estimulos inmunologicos (alergicos) y
otros no inmunologicos.
La celula efectora primaria (mastocito) es el productor
de los mediadores de la inflamacion que finalmente
dan la respuesta tisular urticariana. La piel humana
contiene normalmente unos 7000 mastocitos /mm3
que producen y liberan moleculas diversas, llamadas
mediadores, como respuesta a fenomenos inmunes y
no inmunes, originando manifestaciones inflamatorias
inmediatas o tardias.
Los mediadores del mastocito son de 3 tipos:
-preformada
-generados por la interaccion de los primarios con
tejidos y celulas vecinas
-preformadas pero no disociados inmediatamente sino
horas despues de que fagocitan
El fenomeno de los cambios en la permeabilidad
vascular ES EL ELEMENTO CENTRAL EN LA
PATOGENESIS DE TODOS LOS TIPOS DE URTICARIA:
existe una dilatacion de las venulas, con el aumento de
la permeabilidad que ocaciona un edema
dermico, acompañado de un minimo infiltrado celular
en la dermis reticular y papilar y en las pequeñas
venulas. Independientepente del mediador
implicado, hay una salida de macromoleculas al
espacio dermico sin daño de la celula endotelial.
MEDIADORES DERIVADOS DE LOS MASTOCITOS
Preformados: Histamina, Arilsulfatasa A, Aniones superoxidos
Secundarios o ¨generados de novo¨: leucotrienos
(ltc, ltd, lte), prostaglandinas, tromboxanos, factor activador de
plaquetas.
Derivados de la matriz del granulo pero que no se disocian
rapidamente: Heparina proteasas(tripsina y
quimiotripsina), arilsulfatasa B
TIPOS DE ACCIONES
Vasoactivos: histamina, bradiquinina,PAF (factor activador de
plaquetas), leucotrienos adenosina prostaglandinas
Quimiotacticos: quimiotactico neutrofilos, quimiotactico
eosinofilos, leucotrieno B4, PAF, histamina
Espasmogenicos: leucotrienos, histamina, PAF, prostaglandina
D2, prostaglandina F2 tromboxano adenosina
Secresion Mucosa: leucotrienos, PAF
Enzimaticos: calicreina, triptasa, hidrolasas lisosomicas
Antiinflamatorio: Heparina, factor liberador de histamina
Destruccion Tisular: radicales libres de O2
Inmunomodulador: histamina, leucotrieno B4 PAF
El prurito es casi omnipresente en todas las
urticarias y causante de la mayor incomodidad
del enfermo, esta mediado principalmente por
la histamina, especialmente en la dermis papilar
o la epidermis. Si la histamina se encuentra en
la dermis profunda ocasiona dolor;
compromete receptores H1 solamente, pero
puede ser sinergista con las prostaglandinas E.
Los leucotrienos LTC y LTD tambien provocan
dolor tipo ardiente y quizas aumenten el
prurito.
EPIDEMIOLOGIA
*prevalencia del 15-25 % con mayor afectacion
femenina.
*aparece con frecuencia despues de la
adolescencia.
*pico maximo de incidencia entre 30-40 años
*Un estimado del 20% de la poblacion a
padecido una erupcion de urticaria en alguna
etapa de su vida
*urticaria aguda reportada como muy comun
en niñez
*urticaria cronica mas frecuente en adultos
CLASIFICACION
a) Urticaria Aguda
Duracion del episodio no excede las 6 semanas.
Es la mas frecuente y mediada por la
IgE, teniendo como base una dermatitis
atopica.
Es de causas multiples, entre los antigenos mas
frecuentes se encuentran los
alimentos(huevos, frutos
secos, mariscos, pescados chocolate), los
farmacos, las infecciones y las picaduras de
insectos.
Es de rapida evolucion, poca severidad y pronta
desaparicion, generalmente no son tratados
por medicos.
Es comun en niños pequeños de cualquier sexo.
Se volveran cronicas entre un 10-30 %
b) Urticaria Cronica
La urticaria persiste por mas de 6
semanas.
La causa es incierta en un 75-90% a
pesar de estudiar bien a los
pacientes, siendo etiquetadas como
idiopaticas.
Las lesiones aparecen a diario y son de
menor tamaño, muy pruriginosas.
Cerca al 30% de los pacientes
presentan ataques con enronchamiento
y/o angioedema despues de ingerir
algun AINES.
CUADRO CLINICO
-Pueden aparecer en cualquier parte del cuerpo
siendo pocas o sentenares, desarrollarse por oleadas o
brotes y desaparecer sin dejar huellas.
-Raras veces hay signos o sintomas sistemicos de
importancia
-Son habones circunscritos , con halo eritematoso.
-El tamaño de las ronchas es variable desde milimetros
hasta placas amplias de varios centimetos
acompañadas de prurito y con resolucion o cambio
morfologico a las 4-8 hrs sin que dure mas de 24 hrs.
-En aquelas de mayor duracion generalmente se trata
de otra reaccion vascular como el eritema multiforme
o vasculitis.
-El 50% de los pacientes se cura dentro de los 6 meses
de aparicion de la enfermedad
--Los restantes un 40% sigue con su problema
despues de 10años.
AGENTES ETIOLOGICOS
La causa de U. aguda muchas veces es
descubierta, lo contrario pasa con la U.
cronica donde la mayoria de las veces
no se encuentra el agente causal.
U. Aguda
a)Infeccion:
Bacteriana (estreptococica)
Viral ( enterovirus y adenovirus)
Micotica (
candidiasis, histoplasmosis, coccidiodo
micosis)
Parasitarias ( virtualmente todos)
b) Ingestion:
Medicamentos
(penicilinas, cefalosporinas, sulfonamidas, AI
NES)
Comidas
(nueces, mariscos, chocolates, fresas, lacteo
s y cereales)
Inyecciones ( antibioticos e inmunizaciones)
Inhalaciones (Polen y polvos)
Urticaria anafilactica
-Es la mas grave,encontrar antigeno causal.
-Aparece en la 1er hora de reexposicion
- Presenta prurito palpebral, lagrimeo, disnea y sincope.
-En 2-10% de los asmaticos puede ocurrir por la ingestion de
aspirina
Urticaria por Inhalantes
-Asociado con la rinitis alergica o asma.
-De aparicion estacionaria, sugiere como inhalantes al polen, polvo
de casa, caspa o sustancias quimicas
Urticaria de la enfermedad del suero
-Parte de un sindrome, presenta fiebre, linfadenopatia y
artritis, pudiendose asociar con la neuritis, glomerulonefritis o
vasculitis por hipersensibilidad.
Urticaria por presion
-Luego de 4-6hrs de haber soportado una presion intensa y
persistentes,aparecen unas placas eritematosas y dolorosas que
permanecen por varias horas.
-Habitualmente en las manos, pies y gluteos. Parece que la
activacion de las cinicas es muy importante y poco el efecto de la
histamina.
- Los corticosteroides inhiben en forma efectiva la reaccion.
ANGIOEDEMA (urticaria gigante o edema de quincke)
-aparece en ambos sexos a cualquier edad.
-los agentes causales son la aspirina, codeina, pescado
fresco, fresa, plumas de aves.
-Se caracteriza por edema masivo, usualmente en los
parpados, lengua, genitales, manos y pies.
-No hay prurito pero si la sensacion leve de ardor.
-El mediador es un factor del tipo de las cinicas, pero
diferente a la bradiquinina y a la anafilotoxina.
-El unico tratamiento es la infusion de plasma
fresco, el cual contiene el inhibidor de la CL entearasa.
-Se ha demostrado que el acido epsilonaminocaproico
y el acido tranexamico previenen la apricion de nuevos
ataques.
DIAGNOSTICO
1.- Historia clinica detallada al maximo.
2.- Examen fisico: buscar dermografismo, focos
septicos dentales, determinar el tipo de roncha.
3.- Hemograma completo(serologia)
4.- parasitologico seriado
5.- Radiografia de senos paranasales, torax y
dientes.
6.- Pruebas cutaneas (inhalantes.
Formol, dermatofitos, candida)
7.- Prueba de metacolina: produce
normalmente una roncha de 7-8 mm con
eritema de 15mm; en urticaria colinergica hay
una reaccion mas amplia y lesiones urticarianas
satelites
8.- Pruebas de contacto : frio , calor, luz
( cuando la historia lo indique)
TRATAMIENTO
Basicamente consiste en aislar la causa
y retirar al paciente de ella, cuando sea
posible. En la U. Cronica es muy comun
(20%) el efecto agravante de la aspirina.
El cual se la prohibe estrictamente.
La terapia de la urticaria y el
angioedema adquirido se realiza con los
bloqueadores de los receptores
histaminicos H1, la prednisona, la
epinefrina, el danasol o el estanozol
pueden ser utiles en la profilaxis del
raro angioedema hereditario.
MEDICAMENTOS EN EL TRATAMIENTO DE
LA URTICARIA
Bloqueo de los receptores histaminicos
tisulares
a) Antihistaminicos H1 :
etanolaminas, etilendiaminas, alquilamidas,
piperacinas, fenotiazinas, piperidinas.
b)Bloqueadores H2: Clemastina y Ranitidina
Bloqueo de la liberacion de la Histamina +
mediadores del mastocito
c)Bloqueadores Beta adrenergicos:
Epinefrina, terbutalina y efedrina
d)Drogas tipo cromolin: cromoglicato
disodico Doxantrazol, ketotifen y oxatomida

Urticaria

  • 1.
    URTICARIA Definicion: denominamos urticariaa un patron de reaccion inespecifico de la piel, caracterizado semiologicamente por lesiones de carácter fugaz, transitorias, eritematosas y edematosas, pruriginosas, de tamaños y morfologia variables. Habitualmente son redondeadas, ovaladas o anulares, llamadas habones o ¨ronchas¨. Estas reacciones se producen por la activacion del mastocito y la accion de sus mediadores sobre receptores celulares especificos
  • 4.
    Etiologia y patogenesis Ala urticaria actualmente podemos considerarla como el resultado de estimulos inmunologicos (alergicos) y otros no inmunologicos. La celula efectora primaria (mastocito) es el productor de los mediadores de la inflamacion que finalmente dan la respuesta tisular urticariana. La piel humana contiene normalmente unos 7000 mastocitos /mm3 que producen y liberan moleculas diversas, llamadas mediadores, como respuesta a fenomenos inmunes y no inmunes, originando manifestaciones inflamatorias inmediatas o tardias.
  • 5.
    Los mediadores delmastocito son de 3 tipos: -preformada -generados por la interaccion de los primarios con tejidos y celulas vecinas -preformadas pero no disociados inmediatamente sino horas despues de que fagocitan El fenomeno de los cambios en la permeabilidad vascular ES EL ELEMENTO CENTRAL EN LA PATOGENESIS DE TODOS LOS TIPOS DE URTICARIA: existe una dilatacion de las venulas, con el aumento de la permeabilidad que ocaciona un edema dermico, acompañado de un minimo infiltrado celular en la dermis reticular y papilar y en las pequeñas venulas. Independientepente del mediador implicado, hay una salida de macromoleculas al espacio dermico sin daño de la celula endotelial.
  • 7.
    MEDIADORES DERIVADOS DELOS MASTOCITOS Preformados: Histamina, Arilsulfatasa A, Aniones superoxidos Secundarios o ¨generados de novo¨: leucotrienos (ltc, ltd, lte), prostaglandinas, tromboxanos, factor activador de plaquetas. Derivados de la matriz del granulo pero que no se disocian rapidamente: Heparina proteasas(tripsina y quimiotripsina), arilsulfatasa B TIPOS DE ACCIONES Vasoactivos: histamina, bradiquinina,PAF (factor activador de plaquetas), leucotrienos adenosina prostaglandinas Quimiotacticos: quimiotactico neutrofilos, quimiotactico eosinofilos, leucotrieno B4, PAF, histamina Espasmogenicos: leucotrienos, histamina, PAF, prostaglandina D2, prostaglandina F2 tromboxano adenosina Secresion Mucosa: leucotrienos, PAF Enzimaticos: calicreina, triptasa, hidrolasas lisosomicas Antiinflamatorio: Heparina, factor liberador de histamina Destruccion Tisular: radicales libres de O2 Inmunomodulador: histamina, leucotrieno B4 PAF
  • 8.
    El prurito escasi omnipresente en todas las urticarias y causante de la mayor incomodidad del enfermo, esta mediado principalmente por la histamina, especialmente en la dermis papilar o la epidermis. Si la histamina se encuentra en la dermis profunda ocasiona dolor; compromete receptores H1 solamente, pero puede ser sinergista con las prostaglandinas E. Los leucotrienos LTC y LTD tambien provocan dolor tipo ardiente y quizas aumenten el prurito.
  • 9.
    EPIDEMIOLOGIA *prevalencia del 15-25% con mayor afectacion femenina. *aparece con frecuencia despues de la adolescencia. *pico maximo de incidencia entre 30-40 años *Un estimado del 20% de la poblacion a padecido una erupcion de urticaria en alguna etapa de su vida *urticaria aguda reportada como muy comun en niñez *urticaria cronica mas frecuente en adultos
  • 10.
    CLASIFICACION a) Urticaria Aguda Duraciondel episodio no excede las 6 semanas. Es la mas frecuente y mediada por la IgE, teniendo como base una dermatitis atopica. Es de causas multiples, entre los antigenos mas frecuentes se encuentran los alimentos(huevos, frutos secos, mariscos, pescados chocolate), los farmacos, las infecciones y las picaduras de insectos. Es de rapida evolucion, poca severidad y pronta desaparicion, generalmente no son tratados por medicos. Es comun en niños pequeños de cualquier sexo. Se volveran cronicas entre un 10-30 %
  • 13.
    b) Urticaria Cronica Laurticaria persiste por mas de 6 semanas. La causa es incierta en un 75-90% a pesar de estudiar bien a los pacientes, siendo etiquetadas como idiopaticas. Las lesiones aparecen a diario y son de menor tamaño, muy pruriginosas. Cerca al 30% de los pacientes presentan ataques con enronchamiento y/o angioedema despues de ingerir algun AINES.
  • 16.
    CUADRO CLINICO -Pueden apareceren cualquier parte del cuerpo siendo pocas o sentenares, desarrollarse por oleadas o brotes y desaparecer sin dejar huellas. -Raras veces hay signos o sintomas sistemicos de importancia -Son habones circunscritos , con halo eritematoso. -El tamaño de las ronchas es variable desde milimetros hasta placas amplias de varios centimetos acompañadas de prurito y con resolucion o cambio morfologico a las 4-8 hrs sin que dure mas de 24 hrs. -En aquelas de mayor duracion generalmente se trata de otra reaccion vascular como el eritema multiforme o vasculitis. -El 50% de los pacientes se cura dentro de los 6 meses de aparicion de la enfermedad --Los restantes un 40% sigue con su problema despues de 10años.
  • 17.
    AGENTES ETIOLOGICOS La causade U. aguda muchas veces es descubierta, lo contrario pasa con la U. cronica donde la mayoria de las veces no se encuentra el agente causal. U. Aguda a)Infeccion: Bacteriana (estreptococica) Viral ( enterovirus y adenovirus) Micotica ( candidiasis, histoplasmosis, coccidiodo micosis) Parasitarias ( virtualmente todos)
  • 18.
    b) Ingestion: Medicamentos (penicilinas, cefalosporinas,sulfonamidas, AI NES) Comidas (nueces, mariscos, chocolates, fresas, lacteo s y cereales) Inyecciones ( antibioticos e inmunizaciones) Inhalaciones (Polen y polvos)
  • 19.
    Urticaria anafilactica -Es lamas grave,encontrar antigeno causal. -Aparece en la 1er hora de reexposicion - Presenta prurito palpebral, lagrimeo, disnea y sincope. -En 2-10% de los asmaticos puede ocurrir por la ingestion de aspirina Urticaria por Inhalantes -Asociado con la rinitis alergica o asma. -De aparicion estacionaria, sugiere como inhalantes al polen, polvo de casa, caspa o sustancias quimicas Urticaria de la enfermedad del suero -Parte de un sindrome, presenta fiebre, linfadenopatia y artritis, pudiendose asociar con la neuritis, glomerulonefritis o vasculitis por hipersensibilidad. Urticaria por presion -Luego de 4-6hrs de haber soportado una presion intensa y persistentes,aparecen unas placas eritematosas y dolorosas que permanecen por varias horas. -Habitualmente en las manos, pies y gluteos. Parece que la activacion de las cinicas es muy importante y poco el efecto de la histamina. - Los corticosteroides inhiben en forma efectiva la reaccion.
  • 20.
    ANGIOEDEMA (urticaria giganteo edema de quincke) -aparece en ambos sexos a cualquier edad. -los agentes causales son la aspirina, codeina, pescado fresco, fresa, plumas de aves. -Se caracteriza por edema masivo, usualmente en los parpados, lengua, genitales, manos y pies. -No hay prurito pero si la sensacion leve de ardor. -El mediador es un factor del tipo de las cinicas, pero diferente a la bradiquinina y a la anafilotoxina. -El unico tratamiento es la infusion de plasma fresco, el cual contiene el inhibidor de la CL entearasa. -Se ha demostrado que el acido epsilonaminocaproico y el acido tranexamico previenen la apricion de nuevos ataques.
  • 22.
    DIAGNOSTICO 1.- Historia clinicadetallada al maximo. 2.- Examen fisico: buscar dermografismo, focos septicos dentales, determinar el tipo de roncha. 3.- Hemograma completo(serologia) 4.- parasitologico seriado 5.- Radiografia de senos paranasales, torax y dientes. 6.- Pruebas cutaneas (inhalantes. Formol, dermatofitos, candida) 7.- Prueba de metacolina: produce normalmente una roncha de 7-8 mm con eritema de 15mm; en urticaria colinergica hay una reaccion mas amplia y lesiones urticarianas satelites 8.- Pruebas de contacto : frio , calor, luz ( cuando la historia lo indique)
  • 23.
    TRATAMIENTO Basicamente consiste enaislar la causa y retirar al paciente de ella, cuando sea posible. En la U. Cronica es muy comun (20%) el efecto agravante de la aspirina. El cual se la prohibe estrictamente. La terapia de la urticaria y el angioedema adquirido se realiza con los bloqueadores de los receptores histaminicos H1, la prednisona, la epinefrina, el danasol o el estanozol pueden ser utiles en la profilaxis del raro angioedema hereditario.
  • 24.
    MEDICAMENTOS EN ELTRATAMIENTO DE LA URTICARIA Bloqueo de los receptores histaminicos tisulares a) Antihistaminicos H1 : etanolaminas, etilendiaminas, alquilamidas, piperacinas, fenotiazinas, piperidinas. b)Bloqueadores H2: Clemastina y Ranitidina Bloqueo de la liberacion de la Histamina + mediadores del mastocito c)Bloqueadores Beta adrenergicos: Epinefrina, terbutalina y efedrina d)Drogas tipo cromolin: cromoglicato disodico Doxantrazol, ketotifen y oxatomida