TRAUMA PEDIATRICO
MC ROBERTO JOSE MANUEL ESPINOZA LLERENA
CMP 46523 RNE 29990
• ASISTENTE DE CIRUGIA GENERALY TRAUMA DEL HOSPITAL REGIONAL
DOCENTE DE TRUJILLO
• PROFESOR DE LA FACULTAD DE MEDICINA-UPAO
• MEMBRO DE LA SOCIEDAD PERUANA DE CIRUGIA ENDOSCOPICA
TRAUMA PEDIATRICO
 Primer lugar como causa de mortalidad y
discapacidades en el mundo
 Son prevenibles en su mayoría
 Un sistema organizado de atención en
trauma pediátrico mejora el pronóstico
TRAUMA PEDIATRICO
 El manejo precoz y efectivo es vital para
mejorar la supervivencia.
 Generalmente desencadena falla
respiratoria y/o choque
TRAUMA PEDIATRICO
 Los principios generales de reanimación
post-trauma son los mismos para la mayoría
de procesos de reanimación
 Ciertas lesiones traumáticas afectan las
prioridades de reanimación:
 Posible lesión cervical
 Hemorragia
 Trauma torácico
CONSIDERACIONES ESPECIALES EN
TRAUMA PEDIATRICO
1. Menor tamaño. Se debe minimizar el margen de error
2. Incremento del área de superficie con respecto al peso
3. Manejo del balance de líquidos y electrolitos
4. Manejo de medicamentos
5. Coexistencia de posibles anomalías congénitas
6. Anatomía de la vía aérea
7. Falta de habilidad para expresar dolor y localizar síntomas
8. Ileo paralítico post-trauma
LAS LESIONES MULTISISTEMICAS
SON LA REGLA EN PEDIATRIA
DESCRIPCIÓN PICTORICA DE LOS CAMBIOS CORPORALES SEGÚN LA
EDAD
Recien
nacido
3
años
6
años
12
años
25
años
CENTRO DE GRAVEDAD EN RELACIÓN CON LA ESTATURA
Centímetros
150
125
100
75
50
25
0
2 años 12 años
ACCIDENTES POR VEHICULO AUTOMOTOR
Sitio anatómico de impacto según edad
FORMULAS PARA PESO, PRESION ARTERIAL Y
VOLUMEN SANGUINEO
 Peso estimado 8 + (2x (edad)) = Kg
 Presión arterial mínima 70 + (2x (edad)) = Sistólica
2/3 Sistólica = Diastólica
 Volumen sanguíneo <2 años = 100ml/kg
>2 años = 80 ml/kg
ATENCION DEL PACIENTE
POLITRAUMATIZADO
Traslado
PRIMERA HORA
“HORA DE ORO”
Lesión
Evaluación
inicial
Estabilización
Reevaluación Intervención
ABC
Evaluación cardiopulmonar rápida
(debe incluirse la evaluación toraco-abdominal)
+
Evaluación neurológica rápida
D = Discapacidad
+
Control de la temperatura
E = Exposición
TRAUMA PEDIATRICO
Evaluación Cardiopulmonar Rápida
Evaluación Primaria (A-B-C-D-E)
 APARIENCIA
 RESPIRATORIO
 CIRCULACION
TRAUMA PEDIATRICO
RECONOCIMIENTO DEL NIÑO CRITICO
 ESTABLE
 POTENCIALMENTE INESTABLE
 INESTABLE
TRAUMA PEDIATRICO
RECONOCIMIENTO DEL NIÑO CRITICO
PICOS DE MORTALIDAD
EN TRAUMA
Lesiones
letales
 Ruptura
grandes
vasos
 Ruptura
corazón
Lesiones Amenaza
vital
 Hemoneumotórax
 TEC
 Rotura hígado -
bazo
Días
Semanas
 Sepsis
 Falla
multiorgánica
 Usar maniobra de tracción de la mandíbula
y estabilización de la columna
 SE PUEDE USAR maniobra inclinación de
la cabeza-elevación del mentón
 NUNCA pasar al B de la evaluación sin
tener adecuado control de columna
cervical
TRAUMA PEDIATRICO
Inmovilización Cervical
 4% de los pacientes pediátricos
traumatizados tienen lesión espinal
 Lesión mas frecuente en menores de
8 años: C1 a C4
 Frecuente Lesión de la médula
espinal sin lesión ósea aparente
(SCIWORA)
TRAUMA PEDIATRICO
Inmovilización Cervical
SOSPECHA DE LESIONES DE COLUMNA
CERVICAL
 Evidencia de lesiones que comprometan la cara, cuello
y cráneo
 Dolor cervical, parestesias, debilidad de extremidades
 Paciente traumatizado y depresión del estado de
conciencia
 Mecanismos con sospecha de alto impacto en región
cráneo - cervical
 Cualquier niño con politraumatismo
 Pacientes conscientes con extremidades flácidas
EVALUACION CLINICA VS RADIOLOGICA DE COLUMNA
CERVICAL EN PACIENTE POLITRAUMATIZADO
Mecanismo severo de trauma Inmovilizar - Rx
Si
Alteración conciencia menor 5 años Inmovilizar - Rx
Si
Examen neurológico anormal en
cualquier momento
Inmovilizar - Rx
Si
Dolor cervical Inmovilizar - Rx
Si
Limitación movimiento cervical por dolor Inmovilizar - Rx
Si
Considerar evaluación clínica sin Rx Inmovilizar - Rx
Si
No
No
No
No
No
PATRONES DE LESION ESPINAL EN PEDIATRIA
 Fracturas (41%)
 Fracturas con subluxación (33%)
 Subluxación (10%)
 SCIWORA (16%)
Inmovilización de la columna
cervical
Mantener la cabeza en posición neutral
TRAUMA PEDIATRICO
Inmovilización Cervical
TRAUMA PEDIATRICO
Inmovilización Cervical e Inmovilización Espinal
Paciente intubada estabilizada e inmovilizada
en TIP
 Succión
 Subluxación de la mandíbula
 Cánula orofaríngea (Guedel)
 Ventilación asistida con máscara
 Intubación traqueal
 Cricotirotomía
TRAUMA PEDIATRICO
Maniobras para Permeabilizar la Vía Aérea
“DE LO SIMPLE A LO COMPLEJO”
TRAUMA PEDIATRICO
Evaluación Cardiopulmonar Rápida
INDICACIONES PARA INTUBACIÓN TRAQUEAL
 Paro respiratorio
 Falla respiratoria con o sin lesión pulmonar
 Obstrucción de la vía aérea (actual o esperada)
 Alteración marcada estado de conciencia GCS 8
 Sospecha de hipertensión intracraneana
 Necesidad de soporte ventilatorio prolongado
 Choque que no responde a reanimación con
líquidos
TRAUMA PEDIATRICO
Evaluación Cardiopulmonar Rápida
COMO INTUBAR ?
INTUBACION DE SECUENCIA RAPIDA
 Facilita la intubación de emergencia
 Disminución de efectos adversos
(Aumento de la TA, PIC, trauma en vía aerea,
regurgitacion, broncoaspiración arritmias,
muerte)
TRAUMA PEDIATRICO
Intubación con Inmovilización Cervical
Maniobra combinada de
estabilización de columna cervical
y tracción mandibular
Intubación con inmovilización de
columna cervical
 Despierto - Alerta - O2 máscara
 Alteración de conciencia - Ventilación asistida
o dificultad respiratoria con máscara
 No respuesta neurológica - Intubación traqueal
o falla respiratoria
TRAUMA PEDIATRICO
B: VENTILACION
Administrar O2 al 100%
TRAUMA PEDIATRICO
B. VENTILACION
Evaluación de la ventilación minuto (VM)
VM = VC X FR
 Evaluación de la expansión torácica
INSPECCION
TRAUMA PEDIATRICO
Herramientas de Evaluación Respiratoria
PALPACION
PERCUSION
AUSCULTACION
Causas Potenciales que Afectan
Tórax y la Respiración
Hemoneumotórax Neumotórax a
tensión
Contusión
Pulmonar
Tórax Inestable
Neumotórax abierto
 Diagnóstico CLINICO
 Importante causa de muerte recuperable
en Trauma
 Requiere descompresión inmediata
 No Buscar hacer diagnóstico radiológico
TRAUMA PEDIATRICO
NEUMOTORAX A TENSION
TRAUMA PEDIATRICO
Neumotorax a Tensión
 Trauma alta energía
 Fracturas de 3 o mas costillas en 2 o mas
sitios
 Contusión -Hemoneumotorax
 Falla ventilatoria
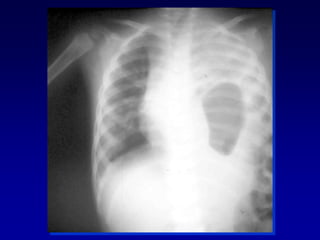
TRAUMA PEDIATRICO
TORAX INESTABLE
 Trauma alta energía
 > 15 cc/Kg inicial o mayor de 3-4
cc/Kg/hora
 Falla Ventilatoria
 Choque hipovolémico
TRAUMA PEDIATRICO
HEMOTORAX MASIVO
TRAUMA PEDIATRICO
Lesiones Torácicas Potencialmente Fatales
Tipo Tratamiento Inicial
 Hemotórax ABC
Neumotórax Tubo tórax (TDC)
Hemoneumotórax
 Neumotórax abierto ABC
Oclusión
Tubo tórax (TDC)
 Tórax inestable ABC
Ventilación presión positiva
 Detener la fuente de sangrado
 Reconocer el estado de choque y restablecer el
volumen circulatorio (Regla 3 x 1)
 Consulta a cirugía
 TAPONAMIENTO CARDIACO
TRAUMA PEDIATRICO
C. CIRCULACION
TRAUMA PEDIATRICO
CIRCULACION
DETENCION DEL SANGRADO
 Presión directa
 Torniquetes solo en amputaciones
totales
 No hay datos que respalden el uso
de pantalones antichoque
RESPUESTA HEMODINAMICA A LA
HEMORRAGIA
Resistencia
vascular
Presión arterial
Gasto
cardíaco
140
100
60
20
25 50 75
Porcentaje de déficit de volemia
Porcentaje
de
control
TRAUMA PEDIATRICO
SIGNOS DE CHOQUE HEMORRÁGICO
Taquicardia leve Taquicardia Mod. Taquicardia severa
C/V P. perif. Débil P. Perif muy débil P. perif. Ausentes
P. Cent. Normal P. Cent débil P. Cent. muy débill
T. A NORMAL HIPOTENSION HIPOTENSION
RESP leve Taquipnea Mod. Taquipnea Severa taquipnea
NEUR Irritable letárgico Comatoso
PIEL llen. Cap. > 2 seg llen. Cap. > 3 seg. Llen. Cap. >5 seg.
SISTEMA compensado
< 30% volemia
Descompensado
30-45% Volemia
Falla cardiopulm.
>45% volemia)
 Disminución de pulsos periféricos y
perfusión distal
 taquicardia
 Oliguria
 Alteración del estado de conciencia
TRAUMA PEDIATRICO
SIGNOS DE CHOQUE COMPENSADO
HIPOTENSION ARTERIAL
(< percentil 5 de TAS)
 < 60 mmHg en menores de 1 mes
 <70 mmHg de 1 mes a 1 año
 < de 70 + (2 x edad en años) hasta los
10 años
TRAUMA PEDIATRICO
SIGNOS DE CHOQUE DESCOMPENSADO
 CRISTALOIDES son de elección en
reanimación en trauma pediátrico por:
 Disponibilidad
 Costos
 Menores efectos adversos
 Dósis de depende de estado de choque.
TRAUMA PEDIATRICO
Cual es la solución ideal?
REANIMACION HIDRICA EN
CHOQUE HEMORRAGICO CON
PULSOS PERIFERICOS
20 ml/kg cristaloides
Reevalue
20 ml/kg cristaloides
Reevalue
20 ml/kg cristaloides o
considere 10-20 ml/kg GR
REANIMACION HIDRICA EN
CHOQUE HEMORRAGICO CON
PULSO FEMORAL
40 ml/kg cristaloides
Reevalue
10 – 20 ml/kg GR
Reevalue
VALORACION CIRUGIA
REANIMACION HIDRICA EN
CHOQUE HEMORRAGICO CON
PULSO CAROTIDEO
Cristaloides hasta recuperar
pulsos
VALORACION
CIRUGIA
 Evite llegar a percentiles 90 de tensión arterial
 SIEMPRE CONSIDERE EL CONCURSO PRECOZ
DEL EQUIPO QUIRURGICO RESPECTIVO
TRAUMA PEDIATRICO
Manejo del choque
TRAUMA PEDIATRICO
Accesos Vasculares en paciente Politraumatizado
Tuberosidad
tibial
TRAUMA PEDIATRICO
Infusión Intraósea (IO)
Borde
anterior
90° respecto de la superficie
interna
SELECCIÓN DE PRODUCTOS SANGUINEOS EN PACIENTES
CON HEMORRAGIA AGUDA
Producto Uso Disponibilidad
Glóbulos rojos tipo O Exanguinación Inmediata
no cruzados
G. Rojos tipo Paciente con 10 - 30 minutos
específico pérdidas
significativas
G. Rojos tipo Capacidad de 45-60 minutos
específico y cruzados transporte de sin anticuerpos
oxígeno > 1 hora si hay
anticuerpos
PRINCIPALES ERRORES Y COMPLICACIONES MAS
FRECUENTES EN LA REANIMACION INICIAL DE SHOCK
HIPOVOLEMICO
1. Hemorragia no controlada
2. Sobrecarga de líquidos
3. Cuando la respuesta no es adecuada
a) Administración precoz drogas vasoactivas
b) Empleo indiscriminado de bicarbonato
c) Movilización sin estabilización
d) Empleo indebido sedantes-analgésicos
4 Choque Espinal.
 Frecuencia cardíaca y Tensión Arterial
 Tamaño y Reactividad pupilar
 Escala de Glasgow modificada
TRAUMA PEDIATRICO
D. Evaluación Neurológica
ESCALA DE GLASGOW-ADAPTADA
3. Respuesta motora
Obedece 6
Localiza 5
Retirada al dolor 4
Decorticación 3
Descerebración 2
No 1
2. Respuesta verbal
<2 años > 2 años
Balbuceo Orientado 5
Irritable Confuso 4
Quejido Inapropiado 3
Murmullo Incomprensible 2
No No 1
1. Apertura Ocular
Espontánea 4
Al habla 3
Al dolor 2
No responde 1
Alerta
TRAUMA PEDIATRICO
Herramientas de Evaluación Neurológica
Respuesta estímulos verbales
Respuesta estímulos dolorosos
Inconciencia
TRAUMA PEDIATRICO
EVALUACION NEUROLOGICA
SINDROME DE HIPERTENSION
ENDOCRANEANA
 Bradicardia
 Hipertensión
 Patrón respiratorio irregular
 Alteración conciencia
TRAUMA PEDIATRICO
EVALUACION NEUROLOGICA
SINDROME DE HERNIACION
 Anisocoria o midriasis fija
 Bradicardia
 Hipertensión
 Patrón respiratorio irregular
TRAUMA PEDIATRICO
EVALUACION NEUROLOGICA
SINDROME DE HIPERTENSION
ENDOCRANEANA
ASEGURAR VÍA AEREA
 Oxigenación, ventilación, perfusión
 Normoventilación de rutina
 Mantener sedación y relajación
TRAUMA PEDIATRICO
EVALUACION NEUROLOGICA
SINDROME DE HERNIACION
MANEJO
 Asegurar via aérea.
 Oxigenación, ventilación, perfusión
 Normoventilación de rutina
 Hiperventilación (ocasional)
 Agentes osmóticos
 BUSCAR CAUSA
TRAUMA PEDIATRICO
EVALUACION NEUROLOGICA
SINDROME DE HERNIACION
MANEJO
 HIPERVENTILACION
 20 - 30 min en < de 1 año
 15 – 20 min en > de 1 año
 Transitorio
 BUSCAR CAUSA
TRAUMA PEDIATRICO
EVALUACION NEUROLOGICA
SINDROME DE HERNIACION
MANEJO
 Agentes osmóticos
 Manitol 0,5 gr/kg
 SS 3% 10-20 cc/kg
RELACIÓN ESCALA DE GLASGOW
Y MORTALIDAD
0
10
20
30
40
50
60
70
80
90
100
2 3 4 5 6 7 8 9 10 11 12 14 16
Escala de Glasgow
Mortalidad
Jane JA. En Dacey Raven Press 1985. P28
 Descompresión naso u orogástrica
 Sonda vesical
TRAUMA PEDIATRICO
Manejo de Paciente Politraumatizado
 Los familiares se sienten culpables
 Tenga a la familia informada
 Permita a los padres permanecer con
el niño el mayor tiempo posible
TRAUMA PEDIATRICO
ABCDE - F: FAMILIA
 Evaluación de la cabeza al pulgar
 Mantenimiento de medio térmico neutro (Evite
hipo e hipertermia)
 Solicitud de Rx cervical, torax y pelvis obligadas
y otras opcionales
TRAUMA PEDIATRICO
Evaluación Secundaria
RECONOCIMIENTO SECUNDARIO Y CUIDADO
DEFINITIVO
 Alergias
 Medicamentos
 ANTtecedentes médicos y
quirúrgicos
 Eventos que precedieron al
accidente
ALGORITMO DEL RECONOCIMIENTO SECUNDARIO EN PACIENTE
POLITRAUMATIZADO
RECONOCIMIENTO SECUNDARIO
Cabeza
Cuello
Tórax
Pelvis
Abdomen
Génito urinario
Rectal
Extremidades
Espalda
TAC Cerebral
RX lateral cuello
Rx Tórax
Cisto - uretrograma?
TAC Abdominal
Sonda - vesical?
Inmovilizar fracturas
Síndrome compartimental
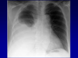
TRAUMA CRANEO-ENCEFALICO
HEMATOMA EPIDURAL vs HEMATOMA SUBDURAL
TRAUMA CRANEOENCEFALICO HEMATOMA
INTRAPARENQUIMATOSO
HIPOXIA TAPONAMIENTO CARDIACO
HIPOVOLEMIA TENSION NEUMOTORAX
HIPOTERMIA TROMBOEMBOLISMO
HIPO-HIPERKALEMIA TOXICOS
TRAUMA PEDIATRICO
POTENCIALES CAUSAS DE DETERIORO
CARDIORESPIRATORIO
LESION NEUROLÓGICA CENTRAL
LESION CARDIOVASCULAR
RUPTURA DE LA PARED DE LA CAJA
TORACICA
CIRCUNSTANCIAS CONCOMITANTES
TRAUMA PEDIATRICO
POTENCIALES CAUSAS DE DETERIORO
CARDIORESPIRATORIO
 El soporte vital avanzado del paciente pediátrico
politraumatizado incluye la evaluación y el
soporte de:
 Ventilación acompañada de inmovilización
cervical
 Oxigenación
 Perfusión
 Evaluación cardiopulmonar rápida, maniobras
básicas de la vía aérea, habilidades en accesos
vasculares
TRAUMA PEDIATRICO
Resumen
GRACIAS…!!!

388688890-Trauma-Pediatrico-Atls.ppt

  • 1.
    TRAUMA PEDIATRICO MC ROBERTOJOSE MANUEL ESPINOZA LLERENA CMP 46523 RNE 29990 • ASISTENTE DE CIRUGIA GENERALY TRAUMA DEL HOSPITAL REGIONAL DOCENTE DE TRUJILLO • PROFESOR DE LA FACULTAD DE MEDICINA-UPAO • MEMBRO DE LA SOCIEDAD PERUANA DE CIRUGIA ENDOSCOPICA
  • 2.
    TRAUMA PEDIATRICO  Primerlugar como causa de mortalidad y discapacidades en el mundo  Son prevenibles en su mayoría  Un sistema organizado de atención en trauma pediátrico mejora el pronóstico
  • 3.
    TRAUMA PEDIATRICO  Elmanejo precoz y efectivo es vital para mejorar la supervivencia.  Generalmente desencadena falla respiratoria y/o choque
  • 4.
    TRAUMA PEDIATRICO  Losprincipios generales de reanimación post-trauma son los mismos para la mayoría de procesos de reanimación  Ciertas lesiones traumáticas afectan las prioridades de reanimación:  Posible lesión cervical  Hemorragia  Trauma torácico
  • 5.
    CONSIDERACIONES ESPECIALES EN TRAUMAPEDIATRICO 1. Menor tamaño. Se debe minimizar el margen de error 2. Incremento del área de superficie con respecto al peso 3. Manejo del balance de líquidos y electrolitos 4. Manejo de medicamentos 5. Coexistencia de posibles anomalías congénitas 6. Anatomía de la vía aérea 7. Falta de habilidad para expresar dolor y localizar síntomas 8. Ileo paralítico post-trauma
  • 6.
    LAS LESIONES MULTISISTEMICAS SONLA REGLA EN PEDIATRIA
  • 8.
    DESCRIPCIÓN PICTORICA DELOS CAMBIOS CORPORALES SEGÚN LA EDAD Recien nacido 3 años 6 años 12 años 25 años
  • 9.
    CENTRO DE GRAVEDADEN RELACIÓN CON LA ESTATURA Centímetros 150 125 100 75 50 25 0 2 años 12 años
  • 10.
    ACCIDENTES POR VEHICULOAUTOMOTOR Sitio anatómico de impacto según edad
  • 11.
    FORMULAS PARA PESO,PRESION ARTERIAL Y VOLUMEN SANGUINEO  Peso estimado 8 + (2x (edad)) = Kg  Presión arterial mínima 70 + (2x (edad)) = Sistólica 2/3 Sistólica = Diastólica  Volumen sanguíneo <2 años = 100ml/kg >2 años = 80 ml/kg
  • 12.
    ATENCION DEL PACIENTE POLITRAUMATIZADO Traslado PRIMERAHORA “HORA DE ORO” Lesión Evaluación inicial Estabilización Reevaluación Intervención
  • 13.
    ABC Evaluación cardiopulmonar rápida (debeincluirse la evaluación toraco-abdominal) + Evaluación neurológica rápida D = Discapacidad + Control de la temperatura E = Exposición TRAUMA PEDIATRICO Evaluación Cardiopulmonar Rápida Evaluación Primaria (A-B-C-D-E)
  • 14.
     APARIENCIA  RESPIRATORIO CIRCULACION TRAUMA PEDIATRICO RECONOCIMIENTO DEL NIÑO CRITICO
  • 15.
     ESTABLE  POTENCIALMENTEINESTABLE  INESTABLE TRAUMA PEDIATRICO RECONOCIMIENTO DEL NIÑO CRITICO
  • 16.
    PICOS DE MORTALIDAD ENTRAUMA Lesiones letales  Ruptura grandes vasos  Ruptura corazón Lesiones Amenaza vital  Hemoneumotórax  TEC  Rotura hígado - bazo Días Semanas  Sepsis  Falla multiorgánica
  • 17.
     Usar maniobrade tracción de la mandíbula y estabilización de la columna  SE PUEDE USAR maniobra inclinación de la cabeza-elevación del mentón  NUNCA pasar al B de la evaluación sin tener adecuado control de columna cervical TRAUMA PEDIATRICO Inmovilización Cervical
  • 18.
     4% delos pacientes pediátricos traumatizados tienen lesión espinal  Lesión mas frecuente en menores de 8 años: C1 a C4  Frecuente Lesión de la médula espinal sin lesión ósea aparente (SCIWORA) TRAUMA PEDIATRICO Inmovilización Cervical
  • 19.
    SOSPECHA DE LESIONESDE COLUMNA CERVICAL  Evidencia de lesiones que comprometan la cara, cuello y cráneo  Dolor cervical, parestesias, debilidad de extremidades  Paciente traumatizado y depresión del estado de conciencia  Mecanismos con sospecha de alto impacto en región cráneo - cervical  Cualquier niño con politraumatismo  Pacientes conscientes con extremidades flácidas
  • 20.
    EVALUACION CLINICA VSRADIOLOGICA DE COLUMNA CERVICAL EN PACIENTE POLITRAUMATIZADO Mecanismo severo de trauma Inmovilizar - Rx Si Alteración conciencia menor 5 años Inmovilizar - Rx Si Examen neurológico anormal en cualquier momento Inmovilizar - Rx Si Dolor cervical Inmovilizar - Rx Si Limitación movimiento cervical por dolor Inmovilizar - Rx Si Considerar evaluación clínica sin Rx Inmovilizar - Rx Si No No No No No
  • 21.
    PATRONES DE LESIONESPINAL EN PEDIATRIA  Fracturas (41%)  Fracturas con subluxación (33%)  Subluxación (10%)  SCIWORA (16%)
  • 22.
    Inmovilización de lacolumna cervical Mantener la cabeza en posición neutral
  • 23.
  • 24.
  • 25.
    Paciente intubada estabilizadae inmovilizada en TIP
  • 26.
     Succión  Subluxaciónde la mandíbula  Cánula orofaríngea (Guedel)  Ventilación asistida con máscara  Intubación traqueal  Cricotirotomía TRAUMA PEDIATRICO Maniobras para Permeabilizar la Vía Aérea “DE LO SIMPLE A LO COMPLEJO”
  • 27.
    TRAUMA PEDIATRICO Evaluación CardiopulmonarRápida INDICACIONES PARA INTUBACIÓN TRAQUEAL  Paro respiratorio  Falla respiratoria con o sin lesión pulmonar  Obstrucción de la vía aérea (actual o esperada)  Alteración marcada estado de conciencia GCS 8  Sospecha de hipertensión intracraneana  Necesidad de soporte ventilatorio prolongado  Choque que no responde a reanimación con líquidos
  • 28.
    TRAUMA PEDIATRICO Evaluación CardiopulmonarRápida COMO INTUBAR ? INTUBACION DE SECUENCIA RAPIDA  Facilita la intubación de emergencia  Disminución de efectos adversos (Aumento de la TA, PIC, trauma en vía aerea, regurgitacion, broncoaspiración arritmias, muerte)
  • 29.
    TRAUMA PEDIATRICO Intubación conInmovilización Cervical
  • 30.
    Maniobra combinada de estabilizaciónde columna cervical y tracción mandibular
  • 31.
  • 32.
     Despierto -Alerta - O2 máscara  Alteración de conciencia - Ventilación asistida o dificultad respiratoria con máscara  No respuesta neurológica - Intubación traqueal o falla respiratoria TRAUMA PEDIATRICO B: VENTILACION Administrar O2 al 100%
  • 33.
    TRAUMA PEDIATRICO B. VENTILACION Evaluaciónde la ventilación minuto (VM) VM = VC X FR  Evaluación de la expansión torácica
  • 34.
    INSPECCION TRAUMA PEDIATRICO Herramientas deEvaluación Respiratoria PALPACION PERCUSION AUSCULTACION
  • 35.
    Causas Potenciales queAfectan Tórax y la Respiración Hemoneumotórax Neumotórax a tensión Contusión Pulmonar Tórax Inestable Neumotórax abierto
  • 36.
     Diagnóstico CLINICO Importante causa de muerte recuperable en Trauma  Requiere descompresión inmediata  No Buscar hacer diagnóstico radiológico TRAUMA PEDIATRICO NEUMOTORAX A TENSION
  • 37.
  • 39.
     Trauma altaenergía  Fracturas de 3 o mas costillas en 2 o mas sitios  Contusión -Hemoneumotorax  Falla ventilatoria TRAUMA PEDIATRICO TORAX INESTABLE
  • 41.
     Trauma altaenergía  > 15 cc/Kg inicial o mayor de 3-4 cc/Kg/hora  Falla Ventilatoria  Choque hipovolémico TRAUMA PEDIATRICO HEMOTORAX MASIVO
  • 43.
    TRAUMA PEDIATRICO Lesiones TorácicasPotencialmente Fatales Tipo Tratamiento Inicial  Hemotórax ABC Neumotórax Tubo tórax (TDC) Hemoneumotórax  Neumotórax abierto ABC Oclusión Tubo tórax (TDC)  Tórax inestable ABC Ventilación presión positiva
  • 44.
     Detener lafuente de sangrado  Reconocer el estado de choque y restablecer el volumen circulatorio (Regla 3 x 1)  Consulta a cirugía  TAPONAMIENTO CARDIACO TRAUMA PEDIATRICO C. CIRCULACION
  • 45.
    TRAUMA PEDIATRICO CIRCULACION DETENCION DELSANGRADO  Presión directa  Torniquetes solo en amputaciones totales  No hay datos que respalden el uso de pantalones antichoque
  • 48.
    RESPUESTA HEMODINAMICA ALA HEMORRAGIA Resistencia vascular Presión arterial Gasto cardíaco 140 100 60 20 25 50 75 Porcentaje de déficit de volemia Porcentaje de control
  • 49.
    TRAUMA PEDIATRICO SIGNOS DECHOQUE HEMORRÁGICO Taquicardia leve Taquicardia Mod. Taquicardia severa C/V P. perif. Débil P. Perif muy débil P. perif. Ausentes P. Cent. Normal P. Cent débil P. Cent. muy débill T. A NORMAL HIPOTENSION HIPOTENSION RESP leve Taquipnea Mod. Taquipnea Severa taquipnea NEUR Irritable letárgico Comatoso PIEL llen. Cap. > 2 seg llen. Cap. > 3 seg. Llen. Cap. >5 seg. SISTEMA compensado < 30% volemia Descompensado 30-45% Volemia Falla cardiopulm. >45% volemia)
  • 50.
     Disminución depulsos periféricos y perfusión distal  taquicardia  Oliguria  Alteración del estado de conciencia TRAUMA PEDIATRICO SIGNOS DE CHOQUE COMPENSADO
  • 51.
    HIPOTENSION ARTERIAL (< percentil5 de TAS)  < 60 mmHg en menores de 1 mes  <70 mmHg de 1 mes a 1 año  < de 70 + (2 x edad en años) hasta los 10 años TRAUMA PEDIATRICO SIGNOS DE CHOQUE DESCOMPENSADO
  • 52.
     CRISTALOIDES sonde elección en reanimación en trauma pediátrico por:  Disponibilidad  Costos  Menores efectos adversos  Dósis de depende de estado de choque. TRAUMA PEDIATRICO Cual es la solución ideal?
  • 53.
    REANIMACION HIDRICA EN CHOQUEHEMORRAGICO CON PULSOS PERIFERICOS 20 ml/kg cristaloides Reevalue 20 ml/kg cristaloides Reevalue 20 ml/kg cristaloides o considere 10-20 ml/kg GR
  • 54.
    REANIMACION HIDRICA EN CHOQUEHEMORRAGICO CON PULSO FEMORAL 40 ml/kg cristaloides Reevalue 10 – 20 ml/kg GR Reevalue VALORACION CIRUGIA
  • 55.
    REANIMACION HIDRICA EN CHOQUEHEMORRAGICO CON PULSO CAROTIDEO Cristaloides hasta recuperar pulsos VALORACION CIRUGIA
  • 56.
     Evite llegara percentiles 90 de tensión arterial  SIEMPRE CONSIDERE EL CONCURSO PRECOZ DEL EQUIPO QUIRURGICO RESPECTIVO TRAUMA PEDIATRICO Manejo del choque
  • 57.
    TRAUMA PEDIATRICO Accesos Vascularesen paciente Politraumatizado
  • 58.
    Tuberosidad tibial TRAUMA PEDIATRICO Infusión Intraósea(IO) Borde anterior 90° respecto de la superficie interna
  • 59.
    SELECCIÓN DE PRODUCTOSSANGUINEOS EN PACIENTES CON HEMORRAGIA AGUDA Producto Uso Disponibilidad Glóbulos rojos tipo O Exanguinación Inmediata no cruzados G. Rojos tipo Paciente con 10 - 30 minutos específico pérdidas significativas G. Rojos tipo Capacidad de 45-60 minutos específico y cruzados transporte de sin anticuerpos oxígeno > 1 hora si hay anticuerpos
  • 60.
    PRINCIPALES ERRORES YCOMPLICACIONES MAS FRECUENTES EN LA REANIMACION INICIAL DE SHOCK HIPOVOLEMICO 1. Hemorragia no controlada 2. Sobrecarga de líquidos 3. Cuando la respuesta no es adecuada a) Administración precoz drogas vasoactivas b) Empleo indiscriminado de bicarbonato c) Movilización sin estabilización d) Empleo indebido sedantes-analgésicos 4 Choque Espinal.
  • 61.
     Frecuencia cardíacay Tensión Arterial  Tamaño y Reactividad pupilar  Escala de Glasgow modificada TRAUMA PEDIATRICO D. Evaluación Neurológica
  • 62.
    ESCALA DE GLASGOW-ADAPTADA 3.Respuesta motora Obedece 6 Localiza 5 Retirada al dolor 4 Decorticación 3 Descerebración 2 No 1 2. Respuesta verbal <2 años > 2 años Balbuceo Orientado 5 Irritable Confuso 4 Quejido Inapropiado 3 Murmullo Incomprensible 2 No No 1 1. Apertura Ocular Espontánea 4 Al habla 3 Al dolor 2 No responde 1
  • 63.
    Alerta TRAUMA PEDIATRICO Herramientas deEvaluación Neurológica Respuesta estímulos verbales Respuesta estímulos dolorosos Inconciencia
  • 64.
    TRAUMA PEDIATRICO EVALUACION NEUROLOGICA SINDROMEDE HIPERTENSION ENDOCRANEANA  Bradicardia  Hipertensión  Patrón respiratorio irregular  Alteración conciencia
  • 65.
    TRAUMA PEDIATRICO EVALUACION NEUROLOGICA SINDROMEDE HERNIACION  Anisocoria o midriasis fija  Bradicardia  Hipertensión  Patrón respiratorio irregular
  • 66.
    TRAUMA PEDIATRICO EVALUACION NEUROLOGICA SINDROMEDE HIPERTENSION ENDOCRANEANA ASEGURAR VÍA AEREA  Oxigenación, ventilación, perfusión  Normoventilación de rutina  Mantener sedación y relajación
  • 67.
    TRAUMA PEDIATRICO EVALUACION NEUROLOGICA SINDROMEDE HERNIACION MANEJO  Asegurar via aérea.  Oxigenación, ventilación, perfusión  Normoventilación de rutina  Hiperventilación (ocasional)  Agentes osmóticos  BUSCAR CAUSA
  • 68.
    TRAUMA PEDIATRICO EVALUACION NEUROLOGICA SINDROMEDE HERNIACION MANEJO  HIPERVENTILACION  20 - 30 min en < de 1 año  15 – 20 min en > de 1 año  Transitorio  BUSCAR CAUSA
  • 69.
    TRAUMA PEDIATRICO EVALUACION NEUROLOGICA SINDROMEDE HERNIACION MANEJO  Agentes osmóticos  Manitol 0,5 gr/kg  SS 3% 10-20 cc/kg
  • 70.
    RELACIÓN ESCALA DEGLASGOW Y MORTALIDAD 0 10 20 30 40 50 60 70 80 90 100 2 3 4 5 6 7 8 9 10 11 12 14 16 Escala de Glasgow Mortalidad Jane JA. En Dacey Raven Press 1985. P28
  • 71.
     Descompresión nasou orogástrica  Sonda vesical TRAUMA PEDIATRICO Manejo de Paciente Politraumatizado
  • 74.
     Los familiaresse sienten culpables  Tenga a la familia informada  Permita a los padres permanecer con el niño el mayor tiempo posible TRAUMA PEDIATRICO ABCDE - F: FAMILIA
  • 75.
     Evaluación dela cabeza al pulgar  Mantenimiento de medio térmico neutro (Evite hipo e hipertermia)  Solicitud de Rx cervical, torax y pelvis obligadas y otras opcionales TRAUMA PEDIATRICO Evaluación Secundaria
  • 76.
    RECONOCIMIENTO SECUNDARIO YCUIDADO DEFINITIVO  Alergias  Medicamentos  ANTtecedentes médicos y quirúrgicos  Eventos que precedieron al accidente
  • 77.
    ALGORITMO DEL RECONOCIMIENTOSECUNDARIO EN PACIENTE POLITRAUMATIZADO RECONOCIMIENTO SECUNDARIO Cabeza Cuello Tórax Pelvis Abdomen Génito urinario Rectal Extremidades Espalda TAC Cerebral RX lateral cuello Rx Tórax Cisto - uretrograma? TAC Abdominal Sonda - vesical? Inmovilizar fracturas Síndrome compartimental
  • 78.
  • 79.
  • 83.
    HIPOXIA TAPONAMIENTO CARDIACO HIPOVOLEMIATENSION NEUMOTORAX HIPOTERMIA TROMBOEMBOLISMO HIPO-HIPERKALEMIA TOXICOS TRAUMA PEDIATRICO POTENCIALES CAUSAS DE DETERIORO CARDIORESPIRATORIO
  • 84.
    LESION NEUROLÓGICA CENTRAL LESIONCARDIOVASCULAR RUPTURA DE LA PARED DE LA CAJA TORACICA CIRCUNSTANCIAS CONCOMITANTES TRAUMA PEDIATRICO POTENCIALES CAUSAS DE DETERIORO CARDIORESPIRATORIO
  • 85.
     El soportevital avanzado del paciente pediátrico politraumatizado incluye la evaluación y el soporte de:  Ventilación acompañada de inmovilización cervical  Oxigenación  Perfusión  Evaluación cardiopulmonar rápida, maniobras básicas de la vía aérea, habilidades en accesos vasculares TRAUMA PEDIATRICO Resumen
  • 86.