ANEMIAS Pérdida de sangre. Destrucción aumentada. Alteración en la producción.
 
 
ANEMIAS Menor capacidad de la sangre para efectuar el transporte de oxígeno. Reducción por debajo de los límites normales de la masa total de hematíes circulantes. Hto, CMHG, Hb. Falso  disminución del volumen circulante. Tamaño: microcitos, normocitos y macrocitos. Contenido de Hb.- Hipocrómicos, normocrómicos. Volumen corpuscular medio, CMHG. Eosinophil   Basophil    Neutrophil                 Lymphocytes    Monocytes                          Monocytes
ANEMIAS. Palidez, debilidad, malestar, astenia. Disnea, coiloniquia, uñas quebradizas. Anoxia. PÉRDIDAS AGUDAS DE SANGRE.- Pérdida de volumen. Aparición de reticulocitos, leucocitosis y trombocitosis. PÉRDIDA CRÓNICA DE SANGRE: Deficiencia de hierro o de precursores.
ANEMIAS HEMOLÍTICAS. Disminución de la sobrevida de los eritrocitos. Acumulo del producto del catabolismo de la hemoglobina. Aumento de la eritropoyesis en la MO. Hemólisis extravascular: SER. Hemólisis intravascular: lesiones mecánicas, fijación del complemento, tóxicos. Hemoglobinemia, hemoglobinuria, metahemalbuminemia, ictericia, hemosiderinuria.
ANEMIAS HEMOLÍTICAS Extravascular: esplenomegalia. Eritropoyetina  > No de normoblastos en MO, Hematopoyesis extramedular. Colelitiasis. Intrínsecos: hereditarios.- forma corpuscular. Extrínsecos: adquiridos, autoanticuerpos.
Defecto de la membrana del eritrocito. Autosómico dominante (75%). Espectrina. Esferocitos por los cordones de Billroth. Esplenomegalia con eritrofagocitosis. Aumento de la eritropoyesis, hemosiderosis, colelitiasis. Anemia, esplenomegalia, ictericia. Crisis aplásica o hemolíticas. ESFEROCITOSIS HEREDITARIA
DEF. DE GLUCOSA 6-P DESHIDROGENASA. El hematíe y la membrana son sensibles a los agentes oxidantes exógenos y endógenos. Protege contra el Plasmodium. Gen mutante ligado al cromosomaX. Infecciones, fármacos, favismo. Células mordidas (Cuerpos de Heinz). Hemoglobinemia, hemoglobinuria y descenso del hematocrito.
DREPANOCITOSIS Hemoglobina estructuralmente anormal. HbS.- sustitución de ácido glutáqmico por valina en la posición 6 de la globina Beta. Forma de hoz   rasgo falciforme. Anemia hemolítica crónica, oclusión de vasos pequeños con lesiones isquémicas de los tejidos. Anemia, hemoglobinemia, ictericia. Hiperplasia de MO, esplenomegalia, autoesplenectomía. Crisis dolorosas óseas, Sd mano-pié.
 
 
SD TALASÉMICOS Falta de síntesis de una de las dos cadenas: alfa o beta. TALASANEMIA BETA: falta de síntesis de cadena beta. Eritrocitos hipocrómicos. Muerte de eritrocitos por apoptosis. Eritropoyesis ineficaz. Hemocromatosis secundaria. Cráneo en cepillo, hepatoesplenomegalia.
Falta de producción de globina alfa. Estado de portador asintomático. HEMOGLOBINA H: Aumento de la afinidad por el oxígeno. Hidropesía fetal: ausencia de los cuatro genes de la globina alfa. TALASEMIA ALFA
HEMOGLOBINURIA PAROXÍSTICA NOCTURNA Única con defecto adquirido de la membrana de los eritrocitos. Activa el sistema del complemento. Hemosiderinuria y pérdida de hierro. Trombosis hepática, de la porta, cerebrales, etc.
ANEMIA INMUNOHEMOLÍTICA Anticuerpos (antiglobina de Cooms). Anticuerpos calientes (fármaco). IgG. Esplenomegalia. Anticuerpos fríos: IgM (0-4ºC).- palidez, cianosis de las partes expuestas alfrío, fenómeno de Raynaud. Anemia hemolítica por hemolisinas frías: Hemoglobinuria paroxística al frío: IgG.
ANEMIAS HEMOLÍTICAS POR TRAUMATISMOS. Prótesis valvulares cardiacas. Estrechez por obstrucción. Anemia hemolítica microangiopática: LES, Hipertensión maligna, PTT, Sd. Hemolítico urémico, Ca diseminado. Hematíes en casco y hematíes en triángulo.
DISMINUCIÓN DE LA ERITROPOYESIS ANEMIAS MEGALOBLÁSTICAS Vit B12 (Anemia perniciosa, falta de producción del factor intrínseco), Folato. Células parietales. Síntesis disminuída del DNA. Macrocitosis con macropolimorfonucleares multisegmentados. Embarazo, lactancia, anemias hemolíticas, Ca diseminado.
ANEMIA FERROPÉNICA Adolescentes y mujeres en edad reproductiva. Transferrina. Ferritina, Carencia dietética, absorción disminuída, aumento de las necesidades, pérdida crónica de sangre. Ancianos, indigentes, lactantes, esprue. Anemia hipocrómica microcítica. Sd de Plummer-Vinson: Anemia hipocrómica microcítica, glositis atrófica, repliegues esofágicos.
 
ENFERMEDADES CRÓNICAS Infecciones microbianas crónicas. Procesos inmunitarios. Neoplasias. Ferritina sérica elevada. Hemosiderosis.
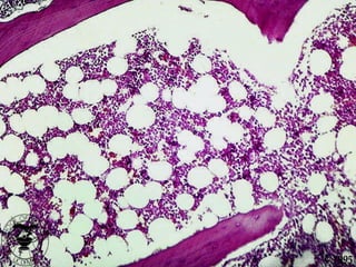
ANEMIA APLÁSICA Fármacos y sustancias químicas. Radiación corporal total. Infecciones: VIH. Anemia de Fanconi: Falta de reparación del DNA. Inhibición de la proliferación de células madre por las células T activadas. MO con punción seca, hipocelular. Pancitopenia.
 
 
APLASIA ERITROCITARIA Timoma. Leucemia de Linfocitos grandes granulosos. Otras formas: Lesiones ocupantes de espacio. Mieloma múltiple, Leucemia, osteosclerosis o Linfoma. Hepatopatías difusas. Insuficiencia renal crónica (eritropoyetina).
 
Carrera

Anemias

  • 1.
    ANEMIAS Pérdida desangre. Destrucción aumentada. Alteración en la producción.
  • 2.
  • 3.
  • 4.
    ANEMIAS Menor capacidadde la sangre para efectuar el transporte de oxígeno. Reducción por debajo de los límites normales de la masa total de hematíes circulantes. Hto, CMHG, Hb. Falso  disminución del volumen circulante. Tamaño: microcitos, normocitos y macrocitos. Contenido de Hb.- Hipocrómicos, normocrómicos. Volumen corpuscular medio, CMHG. Eosinophil   Basophil    Neutrophil                 Lymphocytes   Monocytes                      Monocytes
  • 5.
    ANEMIAS. Palidez, debilidad,malestar, astenia. Disnea, coiloniquia, uñas quebradizas. Anoxia. PÉRDIDAS AGUDAS DE SANGRE.- Pérdida de volumen. Aparición de reticulocitos, leucocitosis y trombocitosis. PÉRDIDA CRÓNICA DE SANGRE: Deficiencia de hierro o de precursores.
  • 6.
    ANEMIAS HEMOLÍTICAS. Disminuciónde la sobrevida de los eritrocitos. Acumulo del producto del catabolismo de la hemoglobina. Aumento de la eritropoyesis en la MO. Hemólisis extravascular: SER. Hemólisis intravascular: lesiones mecánicas, fijación del complemento, tóxicos. Hemoglobinemia, hemoglobinuria, metahemalbuminemia, ictericia, hemosiderinuria.
  • 7.
    ANEMIAS HEMOLÍTICAS Extravascular:esplenomegalia. Eritropoyetina  > No de normoblastos en MO, Hematopoyesis extramedular. Colelitiasis. Intrínsecos: hereditarios.- forma corpuscular. Extrínsecos: adquiridos, autoanticuerpos.
  • 8.
    Defecto de lamembrana del eritrocito. Autosómico dominante (75%). Espectrina. Esferocitos por los cordones de Billroth. Esplenomegalia con eritrofagocitosis. Aumento de la eritropoyesis, hemosiderosis, colelitiasis. Anemia, esplenomegalia, ictericia. Crisis aplásica o hemolíticas. ESFEROCITOSIS HEREDITARIA
  • 9.
    DEF. DE GLUCOSA6-P DESHIDROGENASA. El hematíe y la membrana son sensibles a los agentes oxidantes exógenos y endógenos. Protege contra el Plasmodium. Gen mutante ligado al cromosomaX. Infecciones, fármacos, favismo. Células mordidas (Cuerpos de Heinz). Hemoglobinemia, hemoglobinuria y descenso del hematocrito.
  • 10.
    DREPANOCITOSIS Hemoglobina estructuralmenteanormal. HbS.- sustitución de ácido glutáqmico por valina en la posición 6 de la globina Beta. Forma de hoz  rasgo falciforme. Anemia hemolítica crónica, oclusión de vasos pequeños con lesiones isquémicas de los tejidos. Anemia, hemoglobinemia, ictericia. Hiperplasia de MO, esplenomegalia, autoesplenectomía. Crisis dolorosas óseas, Sd mano-pié.
  • 11.
  • 12.
  • 13.
    SD TALASÉMICOS Faltade síntesis de una de las dos cadenas: alfa o beta. TALASANEMIA BETA: falta de síntesis de cadena beta. Eritrocitos hipocrómicos. Muerte de eritrocitos por apoptosis. Eritropoyesis ineficaz. Hemocromatosis secundaria. Cráneo en cepillo, hepatoesplenomegalia.
  • 14.
    Falta de producciónde globina alfa. Estado de portador asintomático. HEMOGLOBINA H: Aumento de la afinidad por el oxígeno. Hidropesía fetal: ausencia de los cuatro genes de la globina alfa. TALASEMIA ALFA
  • 15.
    HEMOGLOBINURIA PAROXÍSTICA NOCTURNAÚnica con defecto adquirido de la membrana de los eritrocitos. Activa el sistema del complemento. Hemosiderinuria y pérdida de hierro. Trombosis hepática, de la porta, cerebrales, etc.
  • 16.
    ANEMIA INMUNOHEMOLÍTICA Anticuerpos(antiglobina de Cooms). Anticuerpos calientes (fármaco). IgG. Esplenomegalia. Anticuerpos fríos: IgM (0-4ºC).- palidez, cianosis de las partes expuestas alfrío, fenómeno de Raynaud. Anemia hemolítica por hemolisinas frías: Hemoglobinuria paroxística al frío: IgG.
  • 17.
    ANEMIAS HEMOLÍTICAS PORTRAUMATISMOS. Prótesis valvulares cardiacas. Estrechez por obstrucción. Anemia hemolítica microangiopática: LES, Hipertensión maligna, PTT, Sd. Hemolítico urémico, Ca diseminado. Hematíes en casco y hematíes en triángulo.
  • 18.
    DISMINUCIÓN DE LAERITROPOYESIS ANEMIAS MEGALOBLÁSTICAS Vit B12 (Anemia perniciosa, falta de producción del factor intrínseco), Folato. Células parietales. Síntesis disminuída del DNA. Macrocitosis con macropolimorfonucleares multisegmentados. Embarazo, lactancia, anemias hemolíticas, Ca diseminado.
  • 19.
    ANEMIA FERROPÉNICA Adolescentesy mujeres en edad reproductiva. Transferrina. Ferritina, Carencia dietética, absorción disminuída, aumento de las necesidades, pérdida crónica de sangre. Ancianos, indigentes, lactantes, esprue. Anemia hipocrómica microcítica. Sd de Plummer-Vinson: Anemia hipocrómica microcítica, glositis atrófica, repliegues esofágicos.
  • 20.
  • 21.
    ENFERMEDADES CRÓNICAS Infeccionesmicrobianas crónicas. Procesos inmunitarios. Neoplasias. Ferritina sérica elevada. Hemosiderosis.
  • 22.
    ANEMIA APLÁSICA Fármacosy sustancias químicas. Radiación corporal total. Infecciones: VIH. Anemia de Fanconi: Falta de reparación del DNA. Inhibición de la proliferación de células madre por las células T activadas. MO con punción seca, hipocelular. Pancitopenia.
  • 23.
  • 24.
  • 25.
    APLASIA ERITROCITARIA Timoma.Leucemia de Linfocitos grandes granulosos. Otras formas: Lesiones ocupantes de espacio. Mieloma múltiple, Leucemia, osteosclerosis o Linfoma. Hepatopatías difusas. Insuficiencia renal crónica (eritropoyetina).
  • 26.
  • 27.