Anemia Megaloblástica 
Dr. Daniel Agüero Velásquez 
Residente Medicina Interna 
Agosto 2014
ENFERMEDAD ACTUAL 
Sexo: Femenino 
Procedencia: Valdivia 
Edad: 65 años 
11 mm 11mm 
Astenia y 
Palidez 
Astenia y 
Palidez 
Dolor 
Abdominal 
Vómitos 
Dolor 
Abdominal 
Vómitos 
Sexo: Femenino 
Procedencia: Valdivia 
Edad: 65 años 
11 mm 
AAnnoorreexxiaia 
11mm 
LLipipoottimimiaia??
ANTECEDENTES
ANTECEDENTES
PA=142/64 FC=100x’ T°: EXAMEN FÍSICO 
PA=142/64 FC=100x’ T°: 
36,4 
36,4 
Piel y Mucosas: ictéricas, 
Pálidas 
Linf: No adenopatías. 
Pulmonar: 
MP (+) SRA 
General: Edematosa 
CV: RR2T Soplo Sistólico 
Aórtico II/VI 
Abdomen: BDI, no masas, 
no matidez, no circulación 
colateral, no visceromegalias 
Extremidades: Edema (+++/ 
+++)sin signos TVP SNC: Glasgow 15, sin signos de 
focalidad
HEMEOXGÁRAMMEANES AUXILIARES 
HB 4,1 
HCTO 13 
VCM/HCM 98,5/31,1 
LEUCOCITOS 19820 
RAN/RAL 11900/4200 
PLAQUETAS 85000 
VHS 60 mm/hr 
Anisocitosis +++ 
Poiquilocitosis +++ 
Policromatofilia ++ 
Hipocromía ++ 
Macroplaquetas + 
Eritroblastos 
10 
Reticulocitos/Co 
1%/ 0,2% 
rregido 
BIOQUÍMICO 
Glucosa 150 
Urea 50 
Creatinina 1,19 
Sodio 139 
Potasio 3,6 
Cloro 100 
PCR 0,73
Examenes Laboratorio 
Perfil Hepático 
Ingreso 
Bilirrubina Total 3,54 
BD/BI 1,52 / 
2,02 
GOT 36 
GPT 22 
Proteínas Totales 5,7 
Albumina 3,5 
Calcio 8,0 
Calcio corregido 10,6 
Perfil Hepático 
Bilirrubina Total 4,58 
BD/BI 2,64 / 
1,94 
TAD (-) 
LDH 1346
Mujer 
65 años 
Compromiso 
del Sensorio
TSH/ T4L 4,8/1,3 
C3/C4 85/11 
Inmunoglobulinas Normales 
Ferritina 718 
Panel Inmunológico Negativo
HEMOGRAMA 
HB 4.4 
HCTO 14.1 
VCM/HCM 98,6/30,8 
LEUCOCITOS 31760 
Blastos/Mielocitos 1.0/1.0 
PLAQUETAS 68000 
VHS 60 mm/hr 
Anisocitosis ++ 
Macrocitosis ++ 
Policromatofilia ++ 
Macroplaquetas + 
Eritroblastos 
Reticulocitos/Corre 
gido 
5 1,6%/ 0,5%
HEMOGRAMA Un mes 
antes de su Ingreso 
HB 5.8 
HCTO 17.5 
VCM/HCM 100/33,1 
LEUCOCITOS 13110 
PLAQUETAS 90000
Revisión:
Anemia
Definición: 
• Anemia se define como la disminución de la concentración de hemoglobina al 
menos en dos desviaciones estándar por debajo de la cifra normal estimada para 
un colectivo de individuos de la misma edad, sexo y condiciones 
medioambientales. 
– Hb <13 g/dl en el varón adulto 
– Hb <12 g/dl en la mujer adulta 
Organización Mundial de la Salud 
• Un descenso de Hb a partir de un valor basal, incluso dentro de los límites 
normales, puede indicar un proceso anémico. 
• Determinadas situaciones que aumentan el volumen plasmático causan por 
hemodilución valores disminuidos de Hb (embarazo, macroglobulinemia, 
hipoalbuminemia, ortostatismo, etc).
Epidemiología:
Mecanismos Básicos que causan 
Anemia 
• Una disminución en la producción de eritrocitos. 
• Una destrucción acelerada (hiperhemólisis). 
• La pérdida de sangre a través de una solución de 
continuidad en el sistema vascular (hemorragia).
Manifestaciones clínicas 
• Determinadas por: 
– Severidad 
– Rapidez de instalación 
– Edad del paciente 
– Patologías concomitantes
Manifestaciones Clínicas 
• Originadas por procesos de compensación: 
– Palidez: por redistribución de flujo desde la piel. 
– Taquicardia, pulsatilidad aumentada, soplos funcionales, tinnitus. 
– Disnea de esfuerzo, ortopnea. 
– Sensibilidad o dolor en huesos hematopoyéticos por eritropoyesis compensadora. 
– Astenia, adinamia. 
• Relacionados a la Hipoxia Tisular: 
– Musculares: angina, insuf. cardiaca, claudicación intermitente, calambres nocturnos, fatigabilidad. 
– Cerebrales: cefalea, falta de concentración, somnolencia. 
• Examen Físico: 
– Palidez de piel y mucosas - Ictericia 
– Taquicardia - Esplenomegalia 
– Pulso amplio 
– Soplo sistólico de eyección 
– Discreto edema periférico.
Nuestra Paciente:
Mujer 
65 años 
Somnolencia
Síndrome Anémico
Enfrentamiento 
• Anamnesis acuiciosa 
• Consultar por sangrados 
• Consumo medicamentos o drogas 
• Antecedentes nutricionales 
• Antecedentes familiares 
• Examen físico detallado 
• Exámenes de laboratorio: 
Diagnóstico Sindromático 
– Hemograma con frotis, rcto reticulocitos, VHS, 
ferritina, PBQ, LDH, pruebas de coagulación, sed. 
urinario.
Clasificación Funcional 
de las Anemias 
• En las regenerativas o "periféricas" la M.O. conserva o tiene 
aumentada su capacidad de producción, lo que suele ocurrir 
cuando hay un aumento de la destrucción eritrocitaria o 
pérdidas en forma de hemorragia aguda. 
• Las arregenerativas o "centrales" se caracterizan porque la 
médula ósea es incapaz de mantener la producción 
eritrocitaria de forma adecuada, ya sea por defecto de la 
propia médula o por falta de los factores necesarios. 
• Algunas entidades son difícilmente clasificables en alguno 
de los grupos descritos.
Clasificación Según Indices 
Eritrocitarios 
Anemias Normocíticas 
Anemias aplásicas 
Anemias hemolíticas 
Anemia de enfermedades crónicas 
Mieloptisis 
Anemias macrocíticas 
Anemias megaloblásticas 
Enfermedades hepáticas 
Hipotiroidismo 
Algunas anemias refractarias 
Mielodisplasias 
Anemias microcíticas 
Anemia ferropénica 
Anemias sideroblásticas 
Rasgo talasémico 
Según HCM y CCMH 
Hipocrómicas 
Normocrómicas 
Hipercrómicas 
VCM
Anemias Macrocíticas 
VCM >100 fL 
A. MEGALOBLASTICAS 
 Déficit de B12 
 Déficit de folatos 
 Fármacos 
B. NO MEGALOBLASTICAS 
 Síndromes mielodisplásicos 
 Enfermedad hepática 
 Hipotiroidismo
Anemia Megaloblástica
Anemia Megaloblástica 
• Las anemias megaloblásticas son 
consecuencia de un mal aporte de vitamina 
B12 y/o ácido fólico, produciendo trastornos 
en la maduración celular con gigantismo de 
los precursores eritroides, mieloides y 
megacariociticos.
Anemia Megaloblástica 
• Anemia macrocitica. 
• Síntesis Defectuosa del ADN en células 
hematopoyeticas: MACROCITOSIS + 
ANEMIA. 
• Expresión de un trastorno madurativo 
de los precursores eritroides y 
mieloides. 
• Causas: Déficit de Vitamina B 12 y/o de 
Acido fólico (95%).
Epidemiología 
• Su prevalencia en la población general es del 1 %. 
• La edad más frecuente de presentación es en mayores 
de 60 años. 
• Un 5 a 10 % de ancianos a nivel mundial presentan AM. 
• Sólo un 10% de los pacientes tienen menos de 40 años. 
• Es infrecuente en niños. 
• Afecta por igual a ambos sexos 
• La anemia perniciosa es la causa más frecuente de 
déficit de B12 adquirido.
VViittaammiinnaa BB1122 oo CCoobbaallaammiinnaa:: 
• Coenzima en la Síntesis de ADN y en la Maduración Celular, 
así como en la Síntesis de Lípidos Neuronales. 
• Organismo Humano es incapaz de Sintetizarla. 
– Aporte alimentos: Carnes, Leche y Derivados, Huevo y 
Pescados. 
• Sitio de Absorción: Ileon Distal, unida al Factor Intrinseco 
(Células Parietales del Fundus Gastrico).
• Requerimiento Mínimo Diarios: 0.5-5μg. 
• Reservas Corporales cubren los requerimientos diarios 
luego de un periodo de 3-4 años con déficit en el aporte 
vitamínico.
CCaarreenncciiaa ddee CCoobbaallaammiinnaa:: 
.
• UUssoo ddee FFáárrmmaaccooss:: 
– Omeprazol, metformina, antiácidos, acido animosalicilico, colchicina, 
neomicina, difenilhidantoina, barbitúricos, anticonceptivo orales, 
sulfasalacina, colestiramina.
AAcciiddoo FFóólliiccoo oo FFoollaattoo:: 
• Es Vitamina hidrosoluble del Complejo B sintetizadas por las Bacterias 
de la Flora Intestinal y aportadas en pequeñas cantidades por alimentos 
(Frutas, Verduras, Lacteos, Cereales, Algunas Visceras animales). 
• Esenciales para Síntesis de ADN y ARN. 
• Sitio de Absorción: Yeyuno. 
• Necesidades Diarias Mínimas: 50-200μg 
• Reservas Corporales cubren los requerimientos diarios luego de un 
periodo de 2-4 meses cuando hay carencia en el aporte.
CCaarreenncciiaa ddee FFoollaattooss:: 
• IInnggeessttaa IInnaaddeeccuuaaddaa:: 
– Lactancia materna en madres vegetarianas, alcoholismo crónico. 
• MMaallaa AAbbssoorrcciióónn:: 
– Esprue tropical, enfermedad celiaca, enteritis regional, esclerodermia, 
amiloidosis, enfermedad de Whipple y lesiones diverticulares del 
intestino delgado. 
• IInnccrreemmeennttoo ddee llooss RReeqquueerriimmiieennttooss:: 
– Embarazo, prematuridad y lactancia. 
– Neoplasias malignas, aumento de la hematopoyesis en las anemias 
hemolíticas crónicas, procesos exfolativos crónicos de la piel, 
hemodiálisis. 
• UUssoo ddee FFáárrmmaaccooss:: 
– Antagonistas del acido fólico: metotrexate, pirimetamina, pentamidina, 
trimetroprim, triamtirene.
Fisiopatología:
Clínica:
Hemograma 
• Anemia en grado variable®de leve a severa macrocìtica 
(VCM>100.) 
• Algunos casos Pancitopenia Marcada. 
• El frotis sanguíneo : 
– Anisocitosis, 
– Macrocitosis 
– Megalocitos (glóbulos rojos grandes, ovalados, hipercromos, poiquilocitosis con 
dacriocitos.. 
– Si la anemia es marcada ® presencia de eritroblastos, e inclusiones en los 
eritrocitos como cuerpos de Howell Jolly, punteado basófilo o anillos de Cabot. 
• Leucocitos ® Neutrófilos poli o hipersegmentados (más de 5 
lóbulos nucleares). 
• Plaquetas ® Trombocitopenia, en grado variable.
Mielograma: 
• En la MO, la celularidad esta aumentada 
con marcada hiperplasia de la serie roja. 
• Se observa el asincronismo en la 
maduración del núcleo y del citoplasma. 
• La serie blanca también es exuberante. 
• Los granulocitos muestran 
metamielocitos y bandas gigantes, 
neutrófilos polisegmantados. 
• Los megacariocitos presentan núcleo 
polisegmentado
Mielograma 
HA ESTE MOMENTO DE LA HISTORIA PENDIENTE PERO..
Vitamina B12 y Acido Fólico: 
• Niveles Plasmáticos: Valores bajo son diagnóstico 
• VN: 
• Vit B12: 150-400 pg/ml 
Folato eritrocitario: 6-20 ng/ml 
Folato sérico: 150-600 ng/cm3 
• En PBQ: LDH aumentada.
Tratamiento:
Pronóstico: 
• Una vez determinado el déficit de vitamina, la respuesta 
al tratamiento es eficaz 
• Rápida respuesta de parámetros hematológicos, con 
recuperación neurológica variable. 
• En términos generales se puede decir que el pronóstico 
es favorable
Prevención: 
• El organismo es incapaz de sintetizar B12 por lo cual 
debe ser aportado por los alimentos, al igual que ácido 
fólico. 
• Las alteraciones morfológicas de la MO cambian 
rápidamente con la administración de B12, a las 24-48 
horas, por lo cual se recomienda tomar el mielograma o 
medición de niveles plasmáticos, antes de iniciar el 
aporte de B1 
• En ancianos puede haber suma de factores que pueden 
contribuir a su aparición (bajos aportes, disminución de 
acidez gástrica, fármacos etc.).
• Un 4 % de pacientes con AM desarrollan un carcinoma 
gástrico a lo largo de su vida, por lo cual se recomienda 
control endoscópico regular o según sintomatología. 
• Considerar mayores aportes de folato en situaciones de 
aumento de requerimientos o consumo: embarazo, 
lactancia, prematuros, hemodiálisis cuadros de 
hemólisis, resección ileon terminal o gastrectomizados
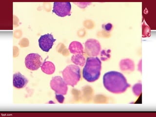
Mielograma de Paciente:
Muchas gracias…
HEMOGRAMA Un mes 
antes de su Ingreso 
HB 5.8 
HCTO 17.5 
VCM/HCM 100/33,1 
LEUCOCITOS 13110 
PLAQUETAS 90000 
HEMOGRAMA 
HB 4,1 
HCTO 13 
VCM/HCM 98,5/31,1 
LEUCOCITOS 19820 
RAN/RAL 11900/4200 
PLAQUETAS 85000 
VHS 60 mm/hr 
Neutrofilos Hipersegmentados 
Poiquilocitosis +++ 
Policromatofilia ++ 
Macrocitosis + 
Macroplaquetas + 
Eritroblastos 
10 
Reticulocitos/Corre 
1%/ 0,2% 
gido 
- Anemia Macrocitica Severa 
Hiporregenerativa 
- Leucocitosis con Neutrofilia 
- Trombocitopenia

Anemia Megaloblastica

  • 1.
    Anemia Megaloblástica Dr.Daniel Agüero Velásquez Residente Medicina Interna Agosto 2014
  • 3.
    ENFERMEDAD ACTUAL Sexo:Femenino Procedencia: Valdivia Edad: 65 años 11 mm 11mm Astenia y Palidez Astenia y Palidez Dolor Abdominal Vómitos Dolor Abdominal Vómitos Sexo: Femenino Procedencia: Valdivia Edad: 65 años 11 mm AAnnoorreexxiaia 11mm LLipipoottimimiaia??
  • 4.
  • 5.
  • 6.
    PA=142/64 FC=100x’ T°:EXAMEN FÍSICO PA=142/64 FC=100x’ T°: 36,4 36,4 Piel y Mucosas: ictéricas, Pálidas Linf: No adenopatías. Pulmonar: MP (+) SRA General: Edematosa CV: RR2T Soplo Sistólico Aórtico II/VI Abdomen: BDI, no masas, no matidez, no circulación colateral, no visceromegalias Extremidades: Edema (+++/ +++)sin signos TVP SNC: Glasgow 15, sin signos de focalidad
  • 7.
    HEMEOXGÁRAMMEANES AUXILIARES HB4,1 HCTO 13 VCM/HCM 98,5/31,1 LEUCOCITOS 19820 RAN/RAL 11900/4200 PLAQUETAS 85000 VHS 60 mm/hr Anisocitosis +++ Poiquilocitosis +++ Policromatofilia ++ Hipocromía ++ Macroplaquetas + Eritroblastos 10 Reticulocitos/Co 1%/ 0,2% rregido BIOQUÍMICO Glucosa 150 Urea 50 Creatinina 1,19 Sodio 139 Potasio 3,6 Cloro 100 PCR 0,73
  • 8.
    Examenes Laboratorio PerfilHepático Ingreso Bilirrubina Total 3,54 BD/BI 1,52 / 2,02 GOT 36 GPT 22 Proteínas Totales 5,7 Albumina 3,5 Calcio 8,0 Calcio corregido 10,6 Perfil Hepático Bilirrubina Total 4,58 BD/BI 2,64 / 1,94 TAD (-) LDH 1346
  • 9.
    Mujer 65 años Compromiso del Sensorio
  • 10.
    TSH/ T4L 4,8/1,3 C3/C4 85/11 Inmunoglobulinas Normales Ferritina 718 Panel Inmunológico Negativo
  • 11.
    HEMOGRAMA HB 4.4 HCTO 14.1 VCM/HCM 98,6/30,8 LEUCOCITOS 31760 Blastos/Mielocitos 1.0/1.0 PLAQUETAS 68000 VHS 60 mm/hr Anisocitosis ++ Macrocitosis ++ Policromatofilia ++ Macroplaquetas + Eritroblastos Reticulocitos/Corre gido 5 1,6%/ 0,5%
  • 12.
    HEMOGRAMA Un mes antes de su Ingreso HB 5.8 HCTO 17.5 VCM/HCM 100/33,1 LEUCOCITOS 13110 PLAQUETAS 90000
  • 13.
  • 14.
  • 15.
    Definición: • Anemiase define como la disminución de la concentración de hemoglobina al menos en dos desviaciones estándar por debajo de la cifra normal estimada para un colectivo de individuos de la misma edad, sexo y condiciones medioambientales. – Hb <13 g/dl en el varón adulto – Hb <12 g/dl en la mujer adulta Organización Mundial de la Salud • Un descenso de Hb a partir de un valor basal, incluso dentro de los límites normales, puede indicar un proceso anémico. • Determinadas situaciones que aumentan el volumen plasmático causan por hemodilución valores disminuidos de Hb (embarazo, macroglobulinemia, hipoalbuminemia, ortostatismo, etc).
  • 16.
  • 19.
    Mecanismos Básicos quecausan Anemia • Una disminución en la producción de eritrocitos. • Una destrucción acelerada (hiperhemólisis). • La pérdida de sangre a través de una solución de continuidad en el sistema vascular (hemorragia).
  • 20.
    Manifestaciones clínicas •Determinadas por: – Severidad – Rapidez de instalación – Edad del paciente – Patologías concomitantes
  • 21.
    Manifestaciones Clínicas •Originadas por procesos de compensación: – Palidez: por redistribución de flujo desde la piel. – Taquicardia, pulsatilidad aumentada, soplos funcionales, tinnitus. – Disnea de esfuerzo, ortopnea. – Sensibilidad o dolor en huesos hematopoyéticos por eritropoyesis compensadora. – Astenia, adinamia. • Relacionados a la Hipoxia Tisular: – Musculares: angina, insuf. cardiaca, claudicación intermitente, calambres nocturnos, fatigabilidad. – Cerebrales: cefalea, falta de concentración, somnolencia. • Examen Físico: – Palidez de piel y mucosas - Ictericia – Taquicardia - Esplenomegalia – Pulso amplio – Soplo sistólico de eyección – Discreto edema periférico.
  • 22.
  • 23.
    Mujer 65 años Somnolencia
  • 24.
  • 25.
    Enfrentamiento • Anamnesisacuiciosa • Consultar por sangrados • Consumo medicamentos o drogas • Antecedentes nutricionales • Antecedentes familiares • Examen físico detallado • Exámenes de laboratorio: Diagnóstico Sindromático – Hemograma con frotis, rcto reticulocitos, VHS, ferritina, PBQ, LDH, pruebas de coagulación, sed. urinario.
  • 26.
    Clasificación Funcional delas Anemias • En las regenerativas o "periféricas" la M.O. conserva o tiene aumentada su capacidad de producción, lo que suele ocurrir cuando hay un aumento de la destrucción eritrocitaria o pérdidas en forma de hemorragia aguda. • Las arregenerativas o "centrales" se caracterizan porque la médula ósea es incapaz de mantener la producción eritrocitaria de forma adecuada, ya sea por defecto de la propia médula o por falta de los factores necesarios. • Algunas entidades son difícilmente clasificables en alguno de los grupos descritos.
  • 28.
    Clasificación Según Indices Eritrocitarios Anemias Normocíticas Anemias aplásicas Anemias hemolíticas Anemia de enfermedades crónicas Mieloptisis Anemias macrocíticas Anemias megaloblásticas Enfermedades hepáticas Hipotiroidismo Algunas anemias refractarias Mielodisplasias Anemias microcíticas Anemia ferropénica Anemias sideroblásticas Rasgo talasémico Según HCM y CCMH Hipocrómicas Normocrómicas Hipercrómicas VCM
  • 29.
    Anemias Macrocíticas VCM>100 fL A. MEGALOBLASTICAS  Déficit de B12  Déficit de folatos  Fármacos B. NO MEGALOBLASTICAS  Síndromes mielodisplásicos  Enfermedad hepática  Hipotiroidismo
  • 30.
  • 31.
    Anemia Megaloblástica •Las anemias megaloblásticas son consecuencia de un mal aporte de vitamina B12 y/o ácido fólico, produciendo trastornos en la maduración celular con gigantismo de los precursores eritroides, mieloides y megacariociticos.
  • 32.
    Anemia Megaloblástica •Anemia macrocitica. • Síntesis Defectuosa del ADN en células hematopoyeticas: MACROCITOSIS + ANEMIA. • Expresión de un trastorno madurativo de los precursores eritroides y mieloides. • Causas: Déficit de Vitamina B 12 y/o de Acido fólico (95%).
  • 33.
    Epidemiología • Suprevalencia en la población general es del 1 %. • La edad más frecuente de presentación es en mayores de 60 años. • Un 5 a 10 % de ancianos a nivel mundial presentan AM. • Sólo un 10% de los pacientes tienen menos de 40 años. • Es infrecuente en niños. • Afecta por igual a ambos sexos • La anemia perniciosa es la causa más frecuente de déficit de B12 adquirido.
  • 34.
    VViittaammiinnaa BB1122 ooCCoobbaallaammiinnaa:: • Coenzima en la Síntesis de ADN y en la Maduración Celular, así como en la Síntesis de Lípidos Neuronales. • Organismo Humano es incapaz de Sintetizarla. – Aporte alimentos: Carnes, Leche y Derivados, Huevo y Pescados. • Sitio de Absorción: Ileon Distal, unida al Factor Intrinseco (Células Parietales del Fundus Gastrico).
  • 35.
    • Requerimiento MínimoDiarios: 0.5-5μg. • Reservas Corporales cubren los requerimientos diarios luego de un periodo de 3-4 años con déficit en el aporte vitamínico.
  • 36.
  • 39.
    • UUssoo ddeeFFáárrmmaaccooss:: – Omeprazol, metformina, antiácidos, acido animosalicilico, colchicina, neomicina, difenilhidantoina, barbitúricos, anticonceptivo orales, sulfasalacina, colestiramina.
  • 40.
    AAcciiddoo FFóólliiccoo ooFFoollaattoo:: • Es Vitamina hidrosoluble del Complejo B sintetizadas por las Bacterias de la Flora Intestinal y aportadas en pequeñas cantidades por alimentos (Frutas, Verduras, Lacteos, Cereales, Algunas Visceras animales). • Esenciales para Síntesis de ADN y ARN. • Sitio de Absorción: Yeyuno. • Necesidades Diarias Mínimas: 50-200μg • Reservas Corporales cubren los requerimientos diarios luego de un periodo de 2-4 meses cuando hay carencia en el aporte.
  • 41.
    CCaarreenncciiaa ddee FFoollaattooss:: • IInnggeessttaa IInnaaddeeccuuaaddaa:: – Lactancia materna en madres vegetarianas, alcoholismo crónico. • MMaallaa AAbbssoorrcciióónn:: – Esprue tropical, enfermedad celiaca, enteritis regional, esclerodermia, amiloidosis, enfermedad de Whipple y lesiones diverticulares del intestino delgado. • IInnccrreemmeennttoo ddee llooss RReeqquueerriimmiieennttooss:: – Embarazo, prematuridad y lactancia. – Neoplasias malignas, aumento de la hematopoyesis en las anemias hemolíticas crónicas, procesos exfolativos crónicos de la piel, hemodiálisis. • UUssoo ddee FFáárrmmaaccooss:: – Antagonistas del acido fólico: metotrexate, pirimetamina, pentamidina, trimetroprim, triamtirene.
  • 42.
  • 44.
  • 49.
    Hemograma • Anemiaen grado variable®de leve a severa macrocìtica (VCM>100.) • Algunos casos Pancitopenia Marcada. • El frotis sanguíneo : – Anisocitosis, – Macrocitosis – Megalocitos (glóbulos rojos grandes, ovalados, hipercromos, poiquilocitosis con dacriocitos.. – Si la anemia es marcada ® presencia de eritroblastos, e inclusiones en los eritrocitos como cuerpos de Howell Jolly, punteado basófilo o anillos de Cabot. • Leucocitos ® Neutrófilos poli o hipersegmentados (más de 5 lóbulos nucleares). • Plaquetas ® Trombocitopenia, en grado variable.
  • 50.
    Mielograma: • Enla MO, la celularidad esta aumentada con marcada hiperplasia de la serie roja. • Se observa el asincronismo en la maduración del núcleo y del citoplasma. • La serie blanca también es exuberante. • Los granulocitos muestran metamielocitos y bandas gigantes, neutrófilos polisegmantados. • Los megacariocitos presentan núcleo polisegmentado
  • 51.
    Mielograma HA ESTEMOMENTO DE LA HISTORIA PENDIENTE PERO..
  • 55.
    Vitamina B12 yAcido Fólico: • Niveles Plasmáticos: Valores bajo son diagnóstico • VN: • Vit B12: 150-400 pg/ml Folato eritrocitario: 6-20 ng/ml Folato sérico: 150-600 ng/cm3 • En PBQ: LDH aumentada.
  • 56.
  • 58.
    Pronóstico: • Unavez determinado el déficit de vitamina, la respuesta al tratamiento es eficaz • Rápida respuesta de parámetros hematológicos, con recuperación neurológica variable. • En términos generales se puede decir que el pronóstico es favorable
  • 59.
    Prevención: • Elorganismo es incapaz de sintetizar B12 por lo cual debe ser aportado por los alimentos, al igual que ácido fólico. • Las alteraciones morfológicas de la MO cambian rápidamente con la administración de B12, a las 24-48 horas, por lo cual se recomienda tomar el mielograma o medición de niveles plasmáticos, antes de iniciar el aporte de B1 • En ancianos puede haber suma de factores que pueden contribuir a su aparición (bajos aportes, disminución de acidez gástrica, fármacos etc.).
  • 60.
    • Un 4% de pacientes con AM desarrollan un carcinoma gástrico a lo largo de su vida, por lo cual se recomienda control endoscópico regular o según sintomatología. • Considerar mayores aportes de folato en situaciones de aumento de requerimientos o consumo: embarazo, lactancia, prematuros, hemodiálisis cuadros de hemólisis, resección ileon terminal o gastrectomizados
  • 61.
  • 62.
  • 63.
    HEMOGRAMA Un mes antes de su Ingreso HB 5.8 HCTO 17.5 VCM/HCM 100/33,1 LEUCOCITOS 13110 PLAQUETAS 90000 HEMOGRAMA HB 4,1 HCTO 13 VCM/HCM 98,5/31,1 LEUCOCITOS 19820 RAN/RAL 11900/4200 PLAQUETAS 85000 VHS 60 mm/hr Neutrofilos Hipersegmentados Poiquilocitosis +++ Policromatofilia ++ Macrocitosis + Macroplaquetas + Eritroblastos 10 Reticulocitos/Corre 1%/ 0,2% gido - Anemia Macrocitica Severa Hiporregenerativa - Leucocitosis con Neutrofilia - Trombocitopenia