Dr. Juan Carlos Vázquez García
Residente 1er. Año Radiologia e imagen diagnostica y terapeutica
EMBRIOLOGIA
EMBRIOLOGIA
ANATOMIA DEL CORDON UMBILICAL
-LONGITUD
- GROSOR (DIAMETRO)
- GIROS
- NUMERO DE VASOS
ANATOMIA Y FISIOLOGIA DEL CORDON UMBILICAL
FLUJOMETRIA NORMAL A LA SEMANA 7 A 10-13
ANORMALIDADES DEL CORDON UMBILICAL
(NUDO)
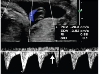
PICO SISTOLICO
VELOCIDAD DE FIN DE DIASTOLE
ANORMALIDADES DEL CORDON UMBILICAL
IR: MENOR DE 0.7
S/D MENOR DE 3.5
RCIU
ANORMALIDADES DEL CORDON UMBILICAL DE ACUERDO A SU : GIRO
CORDON HIPERGIRADO UCI MAYOR DE 0.6
O MAYOR DEL P-90
- RCUI, OBITO, ALT. FCF, ESTRÉS Y CRMSP
CORDON HIPOGIRADO UCI MENOR DE
O.29 O MENOR DEL P-10
-RCUI, OBITO, ALT. FCF, TROMOSIS Y
ESTENOSIS DEL CU.
ANORMALIDADES DEL CORDON UMBILICAL DE ACUERDO A SU: ESPESOR
DELGADO: menor del P-10
RCIU, OLIGO Y DISTRES FETAL
GRUESO: mayor del P-90
M C/DM Y FETOS CON ANEUPLOIDIAS
ANORMALIDADES DEL CORDON UMBILICAL DE ACUERDO A SU: ESPESOR
ANORMALIDADES DEL CORDON UMBILICAL DE ACUERDO A SU : INSERCION
5-7%
1-2%
Compresión y un alto riesgo de RCIU,
anomalías congénitas, parto prematuro,
DP, vasa previa, Apgar bajo, alteración de
la FCF.
ANORMALIDADES DEL CORDON UMBILICAL DE ACUERDO A SU MORFOLOGIA:
INSERCION
ANORMALIDADES DEL CORDON UMBILICAL DE ACUERDO A SU PRESENTACION:
VASA PREVIA
0.4%
F. RIESGO:
-P. Inserción baja
- P. P.
- C. I. Velamentoso.
- Emb. Múltiples.
- FIV
CONSECUENCIAS:
-Ruptura del CU
- Exanguinacion fetal
- Compresion y lesion durante el
TDP.
CORDON FUNICULAR
ANORMALIDADES DEL CORDON UMBILICAL DE ACUERDO A SU PRESENTACION:
PROLAPSO DEL CORDON UMBILICAL
P= 2-3%
TMT= 50%
CESAREA
FACTOR DE RIESGO:
-Peso bajo al nacer
- P. Nalgas.
- Placentación anómala
- Multiparidad
- Polihidramnios
- Insercion velamentosa
- RPM
HIPOXIA
MUERTE
SECUELAS NEUROLOGICAS
BRADICARDIA FETAL
PROLONGADO
ANORMALIDADES DEL CORDON UMBILICAL CON RESPECTO A SU DISTORSION:
TORSION DEL CORDON Y NUDO DEL CORDON
1%
S. SOGA anudada
HIPOXIA
ASFIXIA Y
DESAPARICION
FETAL
HIPOXIA
OLIGO
RCIU
OBITO
ANORMALIDADES DEL CORDON UMBILICAL CON RESPECTO A SU DISTORSION:
NUDO DEL CORDON
ANORMALIDADES DEL CORDON UMBILICAL CON RESPECTO A SU DISTORSION:
FALSO NUDO DEL CORDON
ANORMALIDADES DEL CORDON UMBILICAL CON RESPECTO A SU DISTORSION:
CIRCULAR DE CORDON
O CORDON NUCAL: 5-
29% APRETADO O
SUELTO
CORDON ENREDADO:
Gemelares monoamniotico
Signo de la chuleta
ANORMALIDADES VASCULARES
ARTERIA UMBILICAL UNICA: 1%
FR: edad materna avanzada, raza blanca, multiparidad, tabaquismo, diabetes
hipertesion, preeclampsia, uso materno de drogas y epilepsia
ANOMALIAS: Cardiacas, GI, SNC, GU y 10% de A. Cromosomicas T-13; 18 y 21
ANORMALIDADES VASCULARES:
PERSISTENCIA DE LA VENA UMBILICAL DERECHA
0.1 a 0.3%
- SITUS INVERSUS Y HETEROTAXIA
- GU, GI, cardiaco y esquelético.
ANORMALIDADES VASCULARES:
CORDON VARICOSO:
DVU mayor de 9mm (3mm-----8mm)
5.8%--- aneuploidia (T-21)
28%-----otras anomalias (anemia, RCIU e hidropesía fetal
ANORMALIDADES VASCULARES:
ANEURISMA DE LA ARTERIA UMBILICAL: AUU
Aneuploidías y otras anomalías estructurales
ANORMALIDADES VASCULARES:
TROMBOSIS Y HEMATOMA DEL CORDON UMBILICAL
ESPONTANEOS : 0.02% de los embarazos
IATROGENICAS--------------CORDOCENTESIS
US: masa focal sobre el cordón fetal.
alta mortalidad y morbilidad
Los factores de riesgo i
-Infección
-Prolapso del cordón
-Tracción anormal del cordón
-Torsión
TUMORES O MASAS DEL CORDON UMBILICAL:
HEMANGIOMA
-Alfa fetoproteina
- aumento de mortalidad perinatal
TUMORES O MASAS DEL CORDON UMBILICAL:
TERATOMA:
12 casos reportados
QUISTES DEL CORDON UMBILICAL:
- VERDADEROS: 3.4% , D= 4-60mm
-A. E. F y aneuploidia
TUMORES O MASAS DEL CORDON UMBILICAL:
QUISTES DEL CORDON UMBILICAL:
-FALSOS O PSEUDOQUISTES O QGW
-Trisomía fetal y otras anomalías congénitas, entre ellas defectos vertebrales,
onfalocele, ano imperforado, fistula traqueoesofagica y angiomixomas del
cordón umbilical.
TUMORES O MASAS DEL CORDON UMBILICAL
GRACIAS

Anomalias del cordon umbilical

  • 1.
    Dr. Juan CarlosVázquez García Residente 1er. Año Radiologia e imagen diagnostica y terapeutica
  • 2.
  • 3.
  • 4.
    ANATOMIA DEL CORDONUMBILICAL -LONGITUD - GROSOR (DIAMETRO) - GIROS - NUMERO DE VASOS
  • 5.
    ANATOMIA Y FISIOLOGIADEL CORDON UMBILICAL
  • 8.
    FLUJOMETRIA NORMAL ALA SEMANA 7 A 10-13
  • 9.
    ANORMALIDADES DEL CORDONUMBILICAL (NUDO) PICO SISTOLICO VELOCIDAD DE FIN DE DIASTOLE
  • 10.
  • 13.
    IR: MENOR DE0.7 S/D MENOR DE 3.5
  • 16.
  • 17.
    ANORMALIDADES DEL CORDONUMBILICAL DE ACUERDO A SU : GIRO CORDON HIPERGIRADO UCI MAYOR DE 0.6 O MAYOR DEL P-90 - RCUI, OBITO, ALT. FCF, ESTRÉS Y CRMSP CORDON HIPOGIRADO UCI MENOR DE O.29 O MENOR DEL P-10 -RCUI, OBITO, ALT. FCF, TROMOSIS Y ESTENOSIS DEL CU.
  • 18.
    ANORMALIDADES DEL CORDONUMBILICAL DE ACUERDO A SU: ESPESOR DELGADO: menor del P-10 RCIU, OLIGO Y DISTRES FETAL GRUESO: mayor del P-90 M C/DM Y FETOS CON ANEUPLOIDIAS
  • 19.
    ANORMALIDADES DEL CORDONUMBILICAL DE ACUERDO A SU: ESPESOR
  • 20.
    ANORMALIDADES DEL CORDONUMBILICAL DE ACUERDO A SU : INSERCION 5-7% 1-2% Compresión y un alto riesgo de RCIU, anomalías congénitas, parto prematuro, DP, vasa previa, Apgar bajo, alteración de la FCF.
  • 21.
    ANORMALIDADES DEL CORDONUMBILICAL DE ACUERDO A SU MORFOLOGIA: INSERCION
  • 22.
    ANORMALIDADES DEL CORDONUMBILICAL DE ACUERDO A SU PRESENTACION: VASA PREVIA 0.4% F. RIESGO: -P. Inserción baja - P. P. - C. I. Velamentoso. - Emb. Múltiples. - FIV CONSECUENCIAS: -Ruptura del CU - Exanguinacion fetal - Compresion y lesion durante el TDP. CORDON FUNICULAR
  • 23.
    ANORMALIDADES DEL CORDONUMBILICAL DE ACUERDO A SU PRESENTACION: PROLAPSO DEL CORDON UMBILICAL P= 2-3% TMT= 50% CESAREA FACTOR DE RIESGO: -Peso bajo al nacer - P. Nalgas. - Placentación anómala - Multiparidad - Polihidramnios - Insercion velamentosa - RPM HIPOXIA MUERTE SECUELAS NEUROLOGICAS BRADICARDIA FETAL PROLONGADO
  • 24.
    ANORMALIDADES DEL CORDONUMBILICAL CON RESPECTO A SU DISTORSION: TORSION DEL CORDON Y NUDO DEL CORDON 1% S. SOGA anudada HIPOXIA ASFIXIA Y DESAPARICION FETAL HIPOXIA OLIGO RCIU OBITO
  • 25.
    ANORMALIDADES DEL CORDONUMBILICAL CON RESPECTO A SU DISTORSION: NUDO DEL CORDON
  • 26.
    ANORMALIDADES DEL CORDONUMBILICAL CON RESPECTO A SU DISTORSION: FALSO NUDO DEL CORDON
  • 27.
    ANORMALIDADES DEL CORDONUMBILICAL CON RESPECTO A SU DISTORSION: CIRCULAR DE CORDON O CORDON NUCAL: 5- 29% APRETADO O SUELTO CORDON ENREDADO: Gemelares monoamniotico Signo de la chuleta
  • 28.
    ANORMALIDADES VASCULARES ARTERIA UMBILICALUNICA: 1% FR: edad materna avanzada, raza blanca, multiparidad, tabaquismo, diabetes hipertesion, preeclampsia, uso materno de drogas y epilepsia ANOMALIAS: Cardiacas, GI, SNC, GU y 10% de A. Cromosomicas T-13; 18 y 21
  • 29.
    ANORMALIDADES VASCULARES: PERSISTENCIA DELA VENA UMBILICAL DERECHA 0.1 a 0.3% - SITUS INVERSUS Y HETEROTAXIA - GU, GI, cardiaco y esquelético.
  • 30.
    ANORMALIDADES VASCULARES: CORDON VARICOSO: DVUmayor de 9mm (3mm-----8mm) 5.8%--- aneuploidia (T-21) 28%-----otras anomalias (anemia, RCIU e hidropesía fetal
  • 31.
    ANORMALIDADES VASCULARES: ANEURISMA DELA ARTERIA UMBILICAL: AUU Aneuploidías y otras anomalías estructurales
  • 32.
    ANORMALIDADES VASCULARES: TROMBOSIS YHEMATOMA DEL CORDON UMBILICAL ESPONTANEOS : 0.02% de los embarazos IATROGENICAS--------------CORDOCENTESIS US: masa focal sobre el cordón fetal. alta mortalidad y morbilidad Los factores de riesgo i -Infección -Prolapso del cordón -Tracción anormal del cordón -Torsión
  • 33.
    TUMORES O MASASDEL CORDON UMBILICAL: HEMANGIOMA -Alfa fetoproteina - aumento de mortalidad perinatal
  • 34.
    TUMORES O MASASDEL CORDON UMBILICAL: TERATOMA: 12 casos reportados
  • 35.
    QUISTES DEL CORDONUMBILICAL: - VERDADEROS: 3.4% , D= 4-60mm -A. E. F y aneuploidia TUMORES O MASAS DEL CORDON UMBILICAL:
  • 36.
    QUISTES DEL CORDONUMBILICAL: -FALSOS O PSEUDOQUISTES O QGW -Trisomía fetal y otras anomalías congénitas, entre ellas defectos vertebrales, onfalocele, ano imperforado, fistula traqueoesofagica y angiomixomas del cordón umbilical. TUMORES O MASAS DEL CORDON UMBILICAL
  • 37.