NIVELES DE COMPACTACIÓN DEL ADN:
 Secuencia de
nucleótidos.
 Doble hélice.
 Nucleosoma
NIVELES DE COMPACTACIÓN DEL ADN:
NUCLEOSOMA: Unidad estructural del
CROMOSOMA
NIVELES DE COMPACTACIÓN DEL ADN:
 Solenoide
NIVELES DE COMPACTACIÓN DEL ADN:
 Fibras de
Cromatina
 Cromosoma
NIVELES DE COMPACTACIÓN DEL ADN:
Brazo Corto (p)
Brazo Largo (q)
Fibra de Cromatina
CROMATINA
CROMATINA:
 Los solenoides se enrollan
formando la cromatina.
 Se divide en eucromatina y
heterocromatina, de acuerdo a
la capacidad que tienen de
teñirse con determinados
colorantes.
 Eucromatina: o cromatina
verdadera, se tiñe débil y en
ella se encuentran la mayor
parte de los genes activos o
funcionales de un individuo.
 Heterocromatina, que se tiñe
más fuertemente, la podemos
dividir en dos clases:
constitutiva y facultativa.
Heterocromatina:
 La heterocromatina
constitutiva, cromatina que
nunca se activa, se encuentra
principalmente en las zonas
cercanas al centrómero del
cromosoma.
 La heterocromatina
facultativa es aquella que en
un momento dado es
necesaria para expresar
información pero se inactiva
después de esto, por ejemplo,
los cromosomas X de la
hembra, formando lo que se
denomina Cuerpo de Barr.
CUERPOS DE BARR:
 En mamíferos, se
condensa uno de los
cromosomas X de la
hembra, seguido por la
inactivación de los genes
que en él se encuentran,
formando lo que se
denomina Cuerpo o
Corpúsculo de Barr.
Inactivación del Cromosoma X:
• Es un proceso regulado que se produce en hembras de
mamíferos durante la embriogénesis (Día 16 = Blastocisto.)
• XIST es un gen localizado dentro de una región denominada
XIC (Xq13.2); codifica para un RNA de 17 kb poliadenilado que
no se traduce
• Unos pocos genes del cromosoma X inactivo, 15%, permanecen
activos, incluyendo el gen XIST.
• La inactivación se mantiene a lo largo de la vida.
• Su estado heterocromático depende de la etapa del desarrollo
y del tipo celular.
• Permite mantener el equilibrio génico entre ambos sexos
Número de Corpúsculos de Barr:
 Fórmula = (# X) – 1:
 Mujer normal (46 XX) = 1 corpúsculo
 Mujer Turner (45 X) = 0 corpúsculos
 “Super Hembras” (47 XXX) = 2 corpúsculos
 Varones normales (46 XY) = 0 corpúsculos
 Varón Klinefelter (47 XXY) = 1 corpúsculo
 “Super Machos” (47 XYY) = 0 corpúsculos
CARIOTIPO CUERPOS DE
BARR
FENOTIPO ESQUEMA
46, XY 0 Varón normal
47, XYY 0 Síndrome de “Súper Macho”
45, X 0 Síndrome de Turner
46, XX 1 Mujer normal
47, XXY 1 Síndrome de Klinefelter
47, XXX 2 Síndrome de “Súper Hembra”
48, XXXY 2 Variante S. de Klinefelter
Número de Corpúsculos de Barr:
CROMOSOMAS
CROMOSOMAS:
 # ESPECÍFICO
 En humanos: 23 pares (n)
o 46 cromosomas (2n)
 AUTOSOMICOS
(1-22)
 GONOSÓMICOS
(X,Y)
 Metacéntricos
 Submetacéntricos
 Acrocéntricos
(Telocéntricos)
Generalidades:
Tipos según Posición
del Centrómero:
Partes del Cromosoma:
TIPOS DE CROMOSOMAS:
Metacéntrico
(Cromosoma 1)
Submetacéntrico
(Cromosoma 9)
Acrocéntrico
(Cromosoma 14)
CITOGENÉTICA:
 La citogenética es el estudio de los cromosomas y de
las enfermedades relacionadas, causadas por
anomalías cromosómicas numéricas o estructurales.
 Para recoger células con sus cromosomas en este
estado condensado se las expone a un inhibidor de la
mitosis, que bloquea la formación del huso mitótico y
detiene la división celular en la etapa de metafase.
 Se pueden usar distintos tejidos para obtener
preparaciones de cromosomas; por ejemplo, sangre
periférica, medula ósea, fluido amniótico y productos
de la concepción.
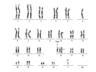
CARIOTIPOS:
 Tras el análisis al microscopio, se toman imágenes de
las células en metafase que tengan mejor calidad, bien
mediante fotografía o por digitalización de imagen
computarizada.
 Cada cromosoma puede entonces disponerse en pares
de acuerdo con su tamaño y patrón de bandas,
formando un cariotipo.
 CARIOTIPO: Ordenamiento cromosómico, según
tamaño y tipo de cromosoma; se ordenan del más
grande al más pequeño, en diferente grupos
nombrados por letras.
Grupos del Cariotipo:
 En el grupo A se tienen los cromosomas 1, 2, 3. Grandes metacéntricos,
excepto el 2, el cual es un cromosoma grande submetacéntrico.
 En el grupo B se tienen los cromosomas 4 y 5, que son submetacéntricos
grandes.
 En el grupo C se tienen los cromosomas 6,7,8,9,10,11 y 12, que son los
submetacéntricos medianos.
 En el grupo D se tienen a los cromosomas 13,14 y 15, que son acrocéntricos
medianos y presentan satélites en sus brazos cortos.
 El grupo E se encuentra constituido por los cromosomas 16, 17, 18,
submetacéntricos pequeños.
 En el grupo F se tienen a los cromosomas 19 y 20, metacéntricos pequeños.
 El grúpo G se constituye por los cromosomas 21 y 22, acrocéntricos
pequeños.
 El par de gonosomas o sexocromosomas se constituyen por X (metacéntrico
mediano) e Y considerado acrocéntrico sin satélites, aunque en algunas
revisiones de la literatura se le refiere como submetacéntrico.
Cariotipo (Bandas G) Idiograma (Bandas G)
Caritipo: Ordenación de los
cromosomas por parejas, tamaño y
posición del centrómero
Idiograma: Representación esquemática
mediante un dibujo a escala, que
incluya las bandas e interbandas, del
cariotipo de una especie.
Diferencias:
 El CARIOTIPO es una prueba que se realiza para identificar
anomalías cromosómicas como causa de malformaciones o de
enfermedad. Por medio de esta prueba se puede no sólo contar
la cantidad de cromosomas sino también detectar cambios
cromosómicos estructurales, que puedan indicar cambios
genéticos asociados con un aumento en el riesgo de enfermedad.
El nombre alternativo es Análisis cromosómico.
 Un IDIOGRAMA es la representación esquemática del tamaño,
forma y patrón de bandas de todo el complemento cromosómico,
los cromosomas se sitúan alineados por el centrómero, y con el
brazo largo siempre hacia abajo. Es un instrumento.
Cariotipo Espectral Multicolor:
VARIANTES O POLIMORFISMOS
CROMOSÓMICOS
 Los polimorfismos son variantes morfológicas de
segmentos cromosómicos de algunos individuos, sin
que esto repercuta necesariamente en una patología
específica.
 No implican enfermedad y pueden ser útiles en
estudios de exclusión de paternidad.
 Son variantes cuya frecuencia en la población es más
elevada de lo que se esperaría.
TIPOS DE POLIMORFISMOS CROMOSÓMICOS:
 Tamaño: Son cambios en el tamaño de algunos segmentos
cromosómicos. Ej. cromosoma Y, 10 % de varones lo presentan
 Satélites: Se encuentran variaciones en cuanto al tamaño de los
satélites, estos pueden aparecer duplicados, en tándem, o
separados; Los satélites pueden estar presentes en algunos
cromosomas que normalmente carecen de ellos, como el 17 y el Y.
 Constricciones Secundarias: Corresponden a las regiones que se
tiñen pálidamente con las técnicas usuales y que con las bandas C
revelan la localización de la heterocromatina constitutiva. Ej.
cromosoma X, Y, de los cromosomas acrocéntricos 1, 3, 4, 9 y 16.
Arreglos del ADN Y Cromosomas (Genética Médica)
Arreglos del ADN Y Cromosomas (Genética Médica)
Arreglos del ADN Y Cromosomas (Genética Médica)

Arreglos del ADN Y Cromosomas (Genética Médica)

  • 2.
    NIVELES DE COMPACTACIÓNDEL ADN:  Secuencia de nucleótidos.  Doble hélice.
  • 3.
     Nucleosoma NIVELES DECOMPACTACIÓN DEL ADN:
  • 4.
  • 5.
    NIVELES DE COMPACTACIÓNDEL ADN:  Solenoide
  • 6.
    NIVELES DE COMPACTACIÓNDEL ADN:  Fibras de Cromatina
  • 7.
     Cromosoma NIVELES DECOMPACTACIÓN DEL ADN: Brazo Corto (p) Brazo Largo (q) Fibra de Cromatina
  • 9.
  • 10.
    CROMATINA:  Los solenoidesse enrollan formando la cromatina.  Se divide en eucromatina y heterocromatina, de acuerdo a la capacidad que tienen de teñirse con determinados colorantes.  Eucromatina: o cromatina verdadera, se tiñe débil y en ella se encuentran la mayor parte de los genes activos o funcionales de un individuo.  Heterocromatina, que se tiñe más fuertemente, la podemos dividir en dos clases: constitutiva y facultativa.
  • 11.
    Heterocromatina:  La heterocromatina constitutiva,cromatina que nunca se activa, se encuentra principalmente en las zonas cercanas al centrómero del cromosoma.  La heterocromatina facultativa es aquella que en un momento dado es necesaria para expresar información pero se inactiva después de esto, por ejemplo, los cromosomas X de la hembra, formando lo que se denomina Cuerpo de Barr.
  • 12.
    CUERPOS DE BARR: En mamíferos, se condensa uno de los cromosomas X de la hembra, seguido por la inactivación de los genes que en él se encuentran, formando lo que se denomina Cuerpo o Corpúsculo de Barr.
  • 13.
    Inactivación del CromosomaX: • Es un proceso regulado que se produce en hembras de mamíferos durante la embriogénesis (Día 16 = Blastocisto.) • XIST es un gen localizado dentro de una región denominada XIC (Xq13.2); codifica para un RNA de 17 kb poliadenilado que no se traduce • Unos pocos genes del cromosoma X inactivo, 15%, permanecen activos, incluyendo el gen XIST. • La inactivación se mantiene a lo largo de la vida. • Su estado heterocromático depende de la etapa del desarrollo y del tipo celular. • Permite mantener el equilibrio génico entre ambos sexos
  • 14.
    Número de Corpúsculosde Barr:  Fórmula = (# X) – 1:  Mujer normal (46 XX) = 1 corpúsculo  Mujer Turner (45 X) = 0 corpúsculos  “Super Hembras” (47 XXX) = 2 corpúsculos  Varones normales (46 XY) = 0 corpúsculos  Varón Klinefelter (47 XXY) = 1 corpúsculo  “Super Machos” (47 XYY) = 0 corpúsculos
  • 15.
    CARIOTIPO CUERPOS DE BARR FENOTIPOESQUEMA 46, XY 0 Varón normal 47, XYY 0 Síndrome de “Súper Macho” 45, X 0 Síndrome de Turner 46, XX 1 Mujer normal 47, XXY 1 Síndrome de Klinefelter 47, XXX 2 Síndrome de “Súper Hembra” 48, XXXY 2 Variante S. de Klinefelter Número de Corpúsculos de Barr:
  • 16.
  • 17.
    CROMOSOMAS:  # ESPECÍFICO En humanos: 23 pares (n) o 46 cromosomas (2n)  AUTOSOMICOS (1-22)  GONOSÓMICOS (X,Y)  Metacéntricos  Submetacéntricos  Acrocéntricos (Telocéntricos) Generalidades: Tipos según Posición del Centrómero:
  • 19.
  • 20.
    TIPOS DE CROMOSOMAS: Metacéntrico (Cromosoma1) Submetacéntrico (Cromosoma 9) Acrocéntrico (Cromosoma 14)
  • 21.
    CITOGENÉTICA:  La citogenéticaes el estudio de los cromosomas y de las enfermedades relacionadas, causadas por anomalías cromosómicas numéricas o estructurales.  Para recoger células con sus cromosomas en este estado condensado se las expone a un inhibidor de la mitosis, que bloquea la formación del huso mitótico y detiene la división celular en la etapa de metafase.  Se pueden usar distintos tejidos para obtener preparaciones de cromosomas; por ejemplo, sangre periférica, medula ósea, fluido amniótico y productos de la concepción.
  • 23.
    CARIOTIPOS:  Tras elanálisis al microscopio, se toman imágenes de las células en metafase que tengan mejor calidad, bien mediante fotografía o por digitalización de imagen computarizada.  Cada cromosoma puede entonces disponerse en pares de acuerdo con su tamaño y patrón de bandas, formando un cariotipo.  CARIOTIPO: Ordenamiento cromosómico, según tamaño y tipo de cromosoma; se ordenan del más grande al más pequeño, en diferente grupos nombrados por letras.
  • 24.
    Grupos del Cariotipo: En el grupo A se tienen los cromosomas 1, 2, 3. Grandes metacéntricos, excepto el 2, el cual es un cromosoma grande submetacéntrico.  En el grupo B se tienen los cromosomas 4 y 5, que son submetacéntricos grandes.  En el grupo C se tienen los cromosomas 6,7,8,9,10,11 y 12, que son los submetacéntricos medianos.  En el grupo D se tienen a los cromosomas 13,14 y 15, que son acrocéntricos medianos y presentan satélites en sus brazos cortos.  El grupo E se encuentra constituido por los cromosomas 16, 17, 18, submetacéntricos pequeños.  En el grupo F se tienen a los cromosomas 19 y 20, metacéntricos pequeños.  El grúpo G se constituye por los cromosomas 21 y 22, acrocéntricos pequeños.  El par de gonosomas o sexocromosomas se constituyen por X (metacéntrico mediano) e Y considerado acrocéntrico sin satélites, aunque en algunas revisiones de la literatura se le refiere como submetacéntrico.
  • 25.
    Cariotipo (Bandas G)Idiograma (Bandas G) Caritipo: Ordenación de los cromosomas por parejas, tamaño y posición del centrómero Idiograma: Representación esquemática mediante un dibujo a escala, que incluya las bandas e interbandas, del cariotipo de una especie.
  • 26.
    Diferencias:  El CARIOTIPOes una prueba que se realiza para identificar anomalías cromosómicas como causa de malformaciones o de enfermedad. Por medio de esta prueba se puede no sólo contar la cantidad de cromosomas sino también detectar cambios cromosómicos estructurales, que puedan indicar cambios genéticos asociados con un aumento en el riesgo de enfermedad. El nombre alternativo es Análisis cromosómico.  Un IDIOGRAMA es la representación esquemática del tamaño, forma y patrón de bandas de todo el complemento cromosómico, los cromosomas se sitúan alineados por el centrómero, y con el brazo largo siempre hacia abajo. Es un instrumento.
  • 27.
  • 29.
    VARIANTES O POLIMORFISMOS CROMOSÓMICOS Los polimorfismos son variantes morfológicas de segmentos cromosómicos de algunos individuos, sin que esto repercuta necesariamente en una patología específica.  No implican enfermedad y pueden ser útiles en estudios de exclusión de paternidad.  Son variantes cuya frecuencia en la población es más elevada de lo que se esperaría.
  • 30.
    TIPOS DE POLIMORFISMOSCROMOSÓMICOS:  Tamaño: Son cambios en el tamaño de algunos segmentos cromosómicos. Ej. cromosoma Y, 10 % de varones lo presentan  Satélites: Se encuentran variaciones en cuanto al tamaño de los satélites, estos pueden aparecer duplicados, en tándem, o separados; Los satélites pueden estar presentes en algunos cromosomas que normalmente carecen de ellos, como el 17 y el Y.  Constricciones Secundarias: Corresponden a las regiones que se tiñen pálidamente con las técnicas usuales y que con las bandas C revelan la localización de la heterocromatina constitutiva. Ej. cromosoma X, Y, de los cromosomas acrocéntricos 1, 3, 4, 9 y 16.