SEMIOLOGIA DE LA CABEZA
DR DAVID ISRAEL BANEGAS DIAZ
MEDICINA INTERNA-DIABETES
INTRODUCCION A LA CLINICA I
FACULTAD DE MEDICINA UNAH
CABEZA
CRANEO
CARA
CRANEO
CRANEO
• INSPECCION
• PALPACION
• AUSCULTACION
Instrumentos
• Estetoscopio ,
• Oftalmoscopio (fondoscopía),
• Otoscopio (nariz y oído externo),
• Lámpara (senos paranasales, cavidad oral y
faringe),
• Baja lenguas,
• Diapasón (para explorar sensibilidad
vibratoria).
Cráneo: Inspección y Palpación
• Tamaño: macrocefalia ,microcefalia
Adulto = 1/9 volumen total del cuerpo, Niño = 40%,
RN = 30%.
• Simetría
Ej. cráneo es asimétrico (hemangioma o quiste).
• Anomalías: prominencias o depresiones.
Craneóstosis. (frontal,parietal,ocipital)
INSPECCION
• TIPOS DE CRANEO :
• BRAQUICEFALO
• DOLICOCEFALO
• MESOCEFALO
Estudio de la cabeza:
1.- Postura 
Dada por el tono muscular de los músculos
cervicales.
Debe estar erguido y sin inclinaciones.
Alteraciones:
• Anteflexión.
• Retroflexión  meningitis.
• Lateralidad  tortícolis.
• 2.-Volumen 
Por el desarrollo del SNC.
Perímetro cefálico:
• Normocefalia  cabeza normal.
• Microcefalia  cabeza chica
• Macrocefalia  cabeza grande
3.- Forma
• Dada por  el desarrollo del SNC.
• Por el crecimiento armónico de las fontanelas.
• Índice Cefálico  relación entre el largo y el
ancho del cráneo.
IC = ancho x 100
largo
Mesocefalia  cráneo normal
Braquicefalia  cráneo ancho
Por cierre temprano de la sutura coronal o
lambdoidea
Dólicocefalia  cráneo largo (por cierre
temprano de sutura sagital)
Craneosinostosis  alteración de la forma por
el cierre prematuro de las suturas
Braquicefalia
Dolicocefalia
SINOSTOSIS
• ESCAFOCEFALIA: SUTURA SAGITAL CERRADA
NO DESARROLLO LATERAL (DESARROLLO EN
SENTIDO ANTEROPOSTERIOR).
• OXICEFALIA: SUTURA CORONARIA (CRANEO
EN TORRE O CAMPANARIO)
ANORMALIDADES CEREBRALES
• MICROCEFALIA
• MACROCEFALIA
• HIDROCEFALIA
• ANENCEFALIA
IMPORTANCIA SEMIOLOGICA DEL
PELO
En estado patológico, sus alteraciones son síntomas
que revelan las repercusiones que los procesos
mórbidos tienen sobre el sistema neuroendocrino y
sobre el trofismo en general.
EXAMEN DEL PELO
• 1. Cantidad.
• 2. Distribución.
• 3. Implantación.
• 4. Calidad, que se traducen en: aspecto, color,
largo, espesor, resistencia y estado trófico en
general.
GUIA PARA EXAMEN DE PELO
EJEMPLO DE REDACCION DE
PELO NORMAL
Pelo. Buena higiene; de color pigmentación,
cantidad, textura y distribución normales,
de acuerdo con su edad, sexo y raza.
APARATO OCULAR
SINTOMAS
• Disminución de la visión
• Dolor ocular
• Lagrimeo
• CEFALEA
• Diplopía
• Fotofobia
CEJAS
• Se disponen en forma de arco de concavidad
inferior.
• ABUNDANCIA (sinofridia)
• ESCASEZ: (lepra mixedema y sífilis secundaria)
PARPADOS
• EXAMEN COMPARATIVO.
• piel (eccemas , tumor , hematoma palpebral,
enfisema,edema)
Edema palpebral
EDEMA UNILATERAL:
• Absceso
• Orzuelo (zeiss ,moll)
• Chalación(meibonio)
• Blefaritis
Conjuntivitis (gonococo)
Globo ocular (glaucoma
• sinusitis
EDEMA BILATERAL:
• ↑ presión hidrostática
(HTA maligna)
• Hipoproteinemia
(nefrosis, edema
caquéctico)
• Retensión sodio
agua(s.cushing)
PESTANA
• Son pelos largos sobre todo parpado superior
dispuesto en una fila. Longitud ↑ en
(diabetes mellitus , hipertrofia tipadica .
LA MADAROSIS: desaparición definitiva de la s
pestaña.(blefaritis ulcerosa)
GLOBO OCULAR
GLOBO OCULAR
• Ubicado dentro de la cavidad orbitaria .
• EXOFTALMO (hipertiroidismo)
• ENOFTALMO
CONJUNTIVA
• La conjuntiva es una capa de tejido que cubre
la esclera conjuntiva bulbar hasta el limbo
corneal, y la pared posterior de los párpados
conjuntiva palpebral.
SIGNO CONJUTIVA
• LA CONGETION CONJUTIVAL
• HEMORRAGIA SUBCONJUNTIVALES
• PINGUECULA
• PTERIGION
ESCLERA
• Normalmente se ve de color blanco. Cuando
existe ictericia, aparece un color amarillento.
Para detectar este signo, la bilirrubina
requiere ser de 2 a 3 mg/mL .
• Esclera azul por transparencia
CORNEA
• La córnea es la continuación de la esclera en
el segmento anterior del ojo. Tiene una
curvatura determinada, es transparente y no
tiene vasos sanguíneos.
• SENSIBILIDAD TRIGEMINO
SEMIOLOGIA OCULAR
GLOSARIO
• ECTROPION
• ENTROPION
• EPIFORA
• PTOSIS
• LAGOFTALMOS
• ENOFTALMOS
• EPICANTO
• ORZUELO
• CHALAZION
• DACRIOCISTITIS
• XANTELASMA
• PINGUECULA
• PTERIGION
• XEROFTALMIA
• NUBECULA
• DISCORIA
• ACORIA
• POLICORIA
• ECTOPIA
• COLOBOMA
REFLEJO CORNEAL
• El reflejo corneal se desencadena al tocar la
córnea y tiene como vía aferente al nervio
trigémino y la respuesta de parpadeo .
NARIZ
• Humidificar
• filtrar
• calentar
NARIZ
• INSPEPCION
• PALPACIÓN
NARIZ
• Se debe observar la forma, la permeabilidad,
si existen secreciones o descargas, el aspecto
de la mucosa.
OTORREA
• SALIDA DE FLUJO NO HEMORRAGICO.
(MUCOSO ,SEROSO ,PURULENTO)
• CANTIDAD ESCASA O ABUNDANTE
OTORRAGIA
• OTITIS MEDIA
• Traumática (rascado ,cuerpo extraño ,heridas)
LABIOS
• Se examina su aspecto y simetría. Entre las alteraciones que
se pueden encontrar destaca el aumento de volumen por
edema, cambios de coloración (p.ej.: palidez en anemia,
cianosis en ambientes fríos, poliglobulia o hipoxemia),
lesiones costrosas (p.ej.: en herpes simple), si están
inflamados, secos y agrietados (queilitis), si existen (queilitis
angular o estomatitis angular), fisuras (p.ej.: labio leporino)
Mucosa bucal
• Se examina la mucosa bucal (humedad, color,
lesiones). En la xerostomía se produce poca
saliva y la boca está seca; en una candidiasis
bucal o muguet (infección por Candida
albicans) se presentan múltiples lesiones
blanquecinas; las aftas bucales son lesiones
ulceradas .
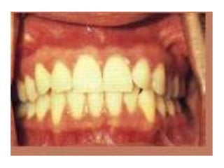
Dientes
• Conveniente fijarse si están todas las piezas
dentales, si existen caries o prótesis de la
arcada superior o la inferior .
Lengua
Normalmente presenta algo de saburra, pero en
cuadros febriles y por falta de aseo, aumenta.
Un aspecto como mapa geográfico (lengua
geográfica) o con surcos profundos (lengua
fisurada o cerebriforme), no significa
enfermedad.
LESIONE PRE CANCEROSAS
• Las leucoplaquias o leucoplasias son lesiones
blanquecinas, planas, ligeramente elevadas,
de aspecto áspero .
Semiologia de la Cabeza
Semiologia de la Cabeza
Semiologia de la Cabeza
Semiologia de la Cabeza
Semiologia de la Cabeza
Semiologia de la Cabeza
Semiologia de la Cabeza
Semiologia de la Cabeza
Semiologia de la Cabeza
Semiologia de la Cabeza
Semiologia de la Cabeza
Semiologia de la Cabeza
Semiologia de la Cabeza
Semiologia de la Cabeza
Semiologia de la Cabeza
Semiologia de la Cabeza
Semiologia de la Cabeza
Semiologia de la Cabeza
Semiologia de la Cabeza
Semiologia de la Cabeza
Semiologia de la Cabeza

Semiologia de la Cabeza

  • 1.
    SEMIOLOGIA DE LACABEZA DR DAVID ISRAEL BANEGAS DIAZ MEDICINA INTERNA-DIABETES INTRODUCCION A LA CLINICA I FACULTAD DE MEDICINA UNAH
  • 2.
  • 4.
  • 7.
  • 8.
    Instrumentos • Estetoscopio , •Oftalmoscopio (fondoscopía), • Otoscopio (nariz y oído externo), • Lámpara (senos paranasales, cavidad oral y faringe), • Baja lenguas, • Diapasón (para explorar sensibilidad vibratoria).
  • 9.
    Cráneo: Inspección yPalpación • Tamaño: macrocefalia ,microcefalia Adulto = 1/9 volumen total del cuerpo, Niño = 40%, RN = 30%. • Simetría Ej. cráneo es asimétrico (hemangioma o quiste). • Anomalías: prominencias o depresiones. Craneóstosis. (frontal,parietal,ocipital)
  • 11.
    INSPECCION • TIPOS DECRANEO : • BRAQUICEFALO • DOLICOCEFALO • MESOCEFALO
  • 13.
    Estudio de lacabeza: 1.- Postura  Dada por el tono muscular de los músculos cervicales. Debe estar erguido y sin inclinaciones. Alteraciones: • Anteflexión. • Retroflexión  meningitis. • Lateralidad  tortícolis.
  • 14.
    • 2.-Volumen  Porel desarrollo del SNC. Perímetro cefálico: • Normocefalia  cabeza normal. • Microcefalia  cabeza chica • Macrocefalia  cabeza grande
  • 15.
    3.- Forma • Dadapor  el desarrollo del SNC. • Por el crecimiento armónico de las fontanelas. • Índice Cefálico  relación entre el largo y el ancho del cráneo. IC = ancho x 100 largo
  • 16.
    Mesocefalia  cráneonormal Braquicefalia  cráneo ancho Por cierre temprano de la sutura coronal o lambdoidea Dólicocefalia  cráneo largo (por cierre temprano de sutura sagital) Craneosinostosis  alteración de la forma por el cierre prematuro de las suturas
  • 17.
  • 18.
  • 19.
    SINOSTOSIS • ESCAFOCEFALIA: SUTURASAGITAL CERRADA NO DESARROLLO LATERAL (DESARROLLO EN SENTIDO ANTEROPOSTERIOR). • OXICEFALIA: SUTURA CORONARIA (CRANEO EN TORRE O CAMPANARIO)
  • 20.
    ANORMALIDADES CEREBRALES • MICROCEFALIA •MACROCEFALIA • HIDROCEFALIA • ANENCEFALIA
  • 22.
    IMPORTANCIA SEMIOLOGICA DEL PELO Enestado patológico, sus alteraciones son síntomas que revelan las repercusiones que los procesos mórbidos tienen sobre el sistema neuroendocrino y sobre el trofismo en general.
  • 23.
    EXAMEN DEL PELO •1. Cantidad. • 2. Distribución. • 3. Implantación. • 4. Calidad, que se traducen en: aspecto, color, largo, espesor, resistencia y estado trófico en general.
  • 24.
  • 25.
    EJEMPLO DE REDACCIONDE PELO NORMAL Pelo. Buena higiene; de color pigmentación, cantidad, textura y distribución normales, de acuerdo con su edad, sexo y raza.
  • 27.
  • 28.
    SINTOMAS • Disminución dela visión • Dolor ocular • Lagrimeo • CEFALEA • Diplopía • Fotofobia
  • 29.
    CEJAS • Se disponenen forma de arco de concavidad inferior. • ABUNDANCIA (sinofridia) • ESCASEZ: (lepra mixedema y sífilis secundaria)
  • 30.
    PARPADOS • EXAMEN COMPARATIVO. •piel (eccemas , tumor , hematoma palpebral, enfisema,edema)
  • 31.
    Edema palpebral EDEMA UNILATERAL: •Absceso • Orzuelo (zeiss ,moll) • Chalación(meibonio) • Blefaritis Conjuntivitis (gonococo) Globo ocular (glaucoma • sinusitis EDEMA BILATERAL: • ↑ presión hidrostática (HTA maligna) • Hipoproteinemia (nefrosis, edema caquéctico) • Retensión sodio agua(s.cushing)
  • 32.
    PESTANA • Son peloslargos sobre todo parpado superior dispuesto en una fila. Longitud ↑ en (diabetes mellitus , hipertrofia tipadica . LA MADAROSIS: desaparición definitiva de la s pestaña.(blefaritis ulcerosa)
  • 33.
  • 34.
    GLOBO OCULAR • Ubicadodentro de la cavidad orbitaria . • EXOFTALMO (hipertiroidismo) • ENOFTALMO
  • 35.
    CONJUNTIVA • La conjuntivaes una capa de tejido que cubre la esclera conjuntiva bulbar hasta el limbo corneal, y la pared posterior de los párpados conjuntiva palpebral.
  • 36.
    SIGNO CONJUTIVA • LACONGETION CONJUTIVAL • HEMORRAGIA SUBCONJUNTIVALES • PINGUECULA • PTERIGION
  • 37.
    ESCLERA • Normalmente seve de color blanco. Cuando existe ictericia, aparece un color amarillento. Para detectar este signo, la bilirrubina requiere ser de 2 a 3 mg/mL . • Esclera azul por transparencia
  • 38.
    CORNEA • La córneaes la continuación de la esclera en el segmento anterior del ojo. Tiene una curvatura determinada, es transparente y no tiene vasos sanguíneos. • SENSIBILIDAD TRIGEMINO
  • 40.
    SEMIOLOGIA OCULAR GLOSARIO • ECTROPION •ENTROPION • EPIFORA • PTOSIS • LAGOFTALMOS • ENOFTALMOS • EPICANTO • ORZUELO • CHALAZION • DACRIOCISTITIS • XANTELASMA • PINGUECULA • PTERIGION • XEROFTALMIA • NUBECULA • DISCORIA • ACORIA • POLICORIA • ECTOPIA • COLOBOMA
  • 41.
    REFLEJO CORNEAL • Elreflejo corneal se desencadena al tocar la córnea y tiene como vía aferente al nervio trigémino y la respuesta de parpadeo .
  • 43.
  • 44.
  • 45.
    NARIZ • Se debeobservar la forma, la permeabilidad, si existen secreciones o descargas, el aspecto de la mucosa.
  • 49.
    OTORREA • SALIDA DEFLUJO NO HEMORRAGICO. (MUCOSO ,SEROSO ,PURULENTO) • CANTIDAD ESCASA O ABUNDANTE
  • 50.
    OTORRAGIA • OTITIS MEDIA •Traumática (rascado ,cuerpo extraño ,heridas)
  • 52.
    LABIOS • Se examinasu aspecto y simetría. Entre las alteraciones que se pueden encontrar destaca el aumento de volumen por edema, cambios de coloración (p.ej.: palidez en anemia, cianosis en ambientes fríos, poliglobulia o hipoxemia), lesiones costrosas (p.ej.: en herpes simple), si están inflamados, secos y agrietados (queilitis), si existen (queilitis angular o estomatitis angular), fisuras (p.ej.: labio leporino)
  • 53.
    Mucosa bucal • Seexamina la mucosa bucal (humedad, color, lesiones). En la xerostomía se produce poca saliva y la boca está seca; en una candidiasis bucal o muguet (infección por Candida albicans) se presentan múltiples lesiones blanquecinas; las aftas bucales son lesiones ulceradas .
  • 54.
    Dientes • Conveniente fijarsesi están todas las piezas dentales, si existen caries o prótesis de la arcada superior o la inferior .
  • 55.
    Lengua Normalmente presenta algode saburra, pero en cuadros febriles y por falta de aseo, aumenta. Un aspecto como mapa geográfico (lengua geográfica) o con surcos profundos (lengua fisurada o cerebriforme), no significa enfermedad.
  • 57.
    LESIONE PRE CANCEROSAS •Las leucoplaquias o leucoplasias son lesiones blanquecinas, planas, ligeramente elevadas, de aspecto áspero .