Incrustar presentación
Descargar para leer sin conexión








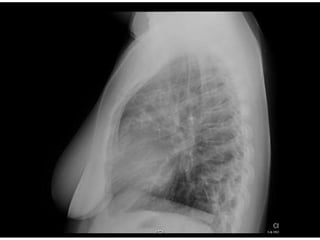
Este documento presenta el caso de una mujer de 28 años de Guinea Ecuatorial que consulta por tos de un mes de evolución. La exploración física muestra crepitantes en ambos campos pulmonares. Las pruebas complementarias revelan anemia microcítica y una PCR elevada. Las serologías son negativas para VIH y VHC pero positivas para anticuerpos de citomegalovirus y del núcleo del virus de la hepatitis B.






