CASO CLÍNICO
MICROBIOLOGÍA – MIR
INFECCIOSAS
Mireia Vicens Anton
R1 Neumología
Hospital Universitario Son Espases
PRESENTACIÓN DEL
CASO
Paciente de 79 años, COVID + des del día 16/07 por prueba de antígenos en
centro privado. Des del diagnóstico ha sido tratado con Prednisona 30 mg,
Levofloxacino y broncodilatadores y ha preferido manejo ambulatorio.
Acude a urgencias el 20/07 por empeoramiento clínico con mal estado general,
fiebre, tos y disnea.
Antecedentes personales
- Alergias: no.
- Hábitos tóxicos: no.
- Situación social: vive solo. Buen
apoyo familiar.
- Situación basal: IABVD, Barthel
100, no deterioro cognitivo.
- No vacunación COVID19 (rechaza).
Tratamiento domiciliario:
Acenocumarol 3mg/24h, Bisoprolol
5mg/12h, Clonazepam 0,8mg/24h,
Fluticasona/Vilanterol 1Puff/24h.
Antecedentes patológicos
- EPOC, espirometría en AP y
seguimiento por NML privado.
- Asma bronquial.
- Prótesis valvular aórtica a los
35años.
- Flutter auricular 08/2009 y
07/2010. CVE en dos ocasiones
(10/2010 y 09/2011).
- FA permanente.
- Aneurisma aorta abdominal 4,6
cm.
- Hiperplasia benigna de próstata
grado III.
- Litiasis renal.
Constantes Vitales:
Tª 38,1ºC
FC 108 lpm
TA 163/88 mmHG
Sat O2 94%
Exploración Física
- Estado general conservado
- AC: tonos cardiacos arrítmicos,
sin signos de ICC.
- AP: Roncus y sibilancias
bilaterales.
PRUEBAS EN
URGENCIAS
ECG: FA a 100 lpm, BRIHH, déficit de crecimiento de la onda R
en precordiales.
GSA aa: pH 7.5, pCO2 31, pO2 60, Lact 0.9, Glu 107, K 3.8, Na
134, PAFI 285.
Hemocultivos.
PCR SARS CoV2
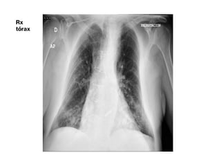
Rx
tórax
- Se inicia oxigenoterapia a
bajo flujo.
- Tratamiento:
- Salbutamol 100mcg +
Ipratropio 20mcg.
- Levofloxacino 500mg
vo.
- Prednisona 30 mg vo.
- Omeprazol 20 mg vo.
- Paracetamol 1g vo.
Se decide INGRESO a cargo de
MEDICINA INTERNA
OD: Neumonía por SARS-CoV2, Exacerbación
EPOC, Hipoxemia
EVOLUCIÓN
HOSPITALARIA
Día 7
(26/07)
Día 1
(20/07)
AS 20/07/2021: leucos 6040 (N82% L10%), linfos 630, neutros 4990,
Plaquetas 173000, Dímero D 117, Glu 105, Cr 0,95, Na 137, K 3,9, PCR 3,05,
Procalcitnonina 0,14
AS 26/07/2021: leucos 6650 (N80% L10%), linfos 700, neutros 5380, RNL
7,67, Plaquetas 183.000; Dímero D 3222; Glu 95 Cr 0,68, LDH 445, ferritina
915, PCR 1,19, Prcocalcitonina 0,06
Cultivo Esputo: no valorable.
Hemocultivo: negativo a los 5 días.
Serologías VIH, VHB, VHC: negativas.
PCR SARS-CoV 2: positiva. Posible variante delta.
Máxima FiO2 requerida: cánulas nasales 4 lpm (FiO2 0,36).
Tratamiento recibido:
- Metilprednisolona 80mg/24h (4 días) --> Prednisona 40
mg/24h (inicio 25/07).
Empeoramiento
clínico-analítico
Incremento TOS con
EXPECTORACIÓN
PURULENTA
GSA: pH 7.49, pO2 56, pCO2 41, HCO3 31
Se cambia tratamiento con Levofloxacino a Ceftazidima
1g/8h ev.
Cultivo de esputo: hongos filamentosos.
EVOLUCIÓN
HOSPITALARIA
¿ORIENTACIÓN
DIAGNÓSTICA?
¿QUÉ PRUEBAS
SOLICITARÍAMOS?
¿CÓMO
ACTUAMOS?

Presentacion

  • 1.
    CASO CLÍNICO MICROBIOLOGÍA –MIR INFECCIOSAS Mireia Vicens Anton R1 Neumología Hospital Universitario Son Espases
  • 2.
    PRESENTACIÓN DEL CASO Paciente de79 años, COVID + des del día 16/07 por prueba de antígenos en centro privado. Des del diagnóstico ha sido tratado con Prednisona 30 mg, Levofloxacino y broncodilatadores y ha preferido manejo ambulatorio. Acude a urgencias el 20/07 por empeoramiento clínico con mal estado general, fiebre, tos y disnea. Antecedentes personales - Alergias: no. - Hábitos tóxicos: no. - Situación social: vive solo. Buen apoyo familiar. - Situación basal: IABVD, Barthel 100, no deterioro cognitivo. - No vacunación COVID19 (rechaza). Tratamiento domiciliario: Acenocumarol 3mg/24h, Bisoprolol 5mg/12h, Clonazepam 0,8mg/24h, Fluticasona/Vilanterol 1Puff/24h. Antecedentes patológicos - EPOC, espirometría en AP y seguimiento por NML privado. - Asma bronquial. - Prótesis valvular aórtica a los 35años. - Flutter auricular 08/2009 y 07/2010. CVE en dos ocasiones (10/2010 y 09/2011). - FA permanente. - Aneurisma aorta abdominal 4,6 cm. - Hiperplasia benigna de próstata grado III. - Litiasis renal.
  • 3.
    Constantes Vitales: Tª 38,1ºC FC108 lpm TA 163/88 mmHG Sat O2 94% Exploración Física - Estado general conservado - AC: tonos cardiacos arrítmicos, sin signos de ICC. - AP: Roncus y sibilancias bilaterales.
  • 4.
    PRUEBAS EN URGENCIAS ECG: FAa 100 lpm, BRIHH, déficit de crecimiento de la onda R en precordiales. GSA aa: pH 7.5, pCO2 31, pO2 60, Lact 0.9, Glu 107, K 3.8, Na 134, PAFI 285. Hemocultivos. PCR SARS CoV2
  • 6.
  • 7.
    - Se iniciaoxigenoterapia a bajo flujo. - Tratamiento: - Salbutamol 100mcg + Ipratropio 20mcg. - Levofloxacino 500mg vo. - Prednisona 30 mg vo. - Omeprazol 20 mg vo. - Paracetamol 1g vo. Se decide INGRESO a cargo de MEDICINA INTERNA OD: Neumonía por SARS-CoV2, Exacerbación EPOC, Hipoxemia
  • 8.
    EVOLUCIÓN HOSPITALARIA Día 7 (26/07) Día 1 (20/07) AS20/07/2021: leucos 6040 (N82% L10%), linfos 630, neutros 4990, Plaquetas 173000, Dímero D 117, Glu 105, Cr 0,95, Na 137, K 3,9, PCR 3,05, Procalcitnonina 0,14 AS 26/07/2021: leucos 6650 (N80% L10%), linfos 700, neutros 5380, RNL 7,67, Plaquetas 183.000; Dímero D 3222; Glu 95 Cr 0,68, LDH 445, ferritina 915, PCR 1,19, Prcocalcitonina 0,06 Cultivo Esputo: no valorable. Hemocultivo: negativo a los 5 días. Serologías VIH, VHB, VHC: negativas. PCR SARS-CoV 2: positiva. Posible variante delta. Máxima FiO2 requerida: cánulas nasales 4 lpm (FiO2 0,36). Tratamiento recibido: - Metilprednisolona 80mg/24h (4 días) --> Prednisona 40 mg/24h (inicio 25/07). Empeoramiento clínico-analítico Incremento TOS con EXPECTORACIÓN PURULENTA
  • 9.
    GSA: pH 7.49,pO2 56, pCO2 41, HCO3 31 Se cambia tratamiento con Levofloxacino a Ceftazidima 1g/8h ev. Cultivo de esputo: hongos filamentosos. EVOLUCIÓN HOSPITALARIA
  • 10.