Cáncer de
Colon
Elizabeth Escamilla
Medicina
Universidad Autónoma de Baja California
Bibliografía
• Sociedad Mexicana de oncología, Cancer de colon, Gaceta mexicana de
oncología, VOLUMEN 7, SUPLEMENTO 4 2008
• Globocan 2012, incidence and mortality, colorectal cáncer.
• Clara Ibet Juárez-Vázquez. Cáncer colorrectal (CCR): alteraciones genéticas
y moleculares . Gaceta Médica de México. 2014;150: 154-64.
• José P.(2012) Metilación en el cáncer colorrectal. Rev. esp. enferm.
dig. vol.104 no.3 Madrid
• Cáncer de Colon, Oncología, Guías Diagnósticas. Versión 1.2013. Hosp. Gral.
México.
• F. I. Téllez-Ávila . 2015. Cáncer de colon . Revista de Gastroenterología de
México. 2015;80(Supl 1):96-98
• Robins y Cotran. Patologia funcional y estructural. Tubo digestivo8va Ed.
El cáncer colorrectal (CCR) es
el cáncer más común del tracto
gastrointestinal.
Factores ambientales y
genéticos.
Antecedentes de CCR en
familiares de primer grado
aumenta el riesgo de CCR en 2
a 3 veces. En el caso de los
familiares de segundo grado
con CCR, el riesgo aumenta tan
sólo el 25 a 50% del riesgo de
la población promedio.
Epidemiologia
HIGHER
lung (1.59 million deaths)
liver (745 000 deaths)
stomach (723 000 deaths)
colorectal (694 000 deaths)
breast (521 000 deaths)
oesophageal cancer (400 000 deaths)
Finlay A Macrae, MD
2016
3:
*Ca
*Mortalidad
LOWER
134,490 CN
95,270 colon
52%
mortalidad
países – D.
i= 746,000 614,000
m=694,000
*Edad de aparición de 69 años.
*Sobrevida a 5 años de 64%
i= 5.4-9
m= 4.1-58
i= 4.5-7.6
M= - 3.5
2012
2008
Factores de riesgo
Factores
Demográficos
• Edad. Factor demográfico + importante.
• Patrón Migratorio. Adoptan incidencia al migrar de zona de bajo riesgo a alto riesgo (ej.
Asiáticos hacia EU).
Factores biologicos
• Cambio Anatómico. Mayor frecuencia del lado derecho: multifactorial (longevidad,
carcinógenos, genética).
•Adenomas +1cm: Prevalencia +50a:
Factores Ambientales
• Dieta. Carne roja (Frita/procesada).
• Estilo de vida. Sedentarismo aumenta RR mientras que el ejercicio disminuye incidencia e
inclusive mortalidad/recurrencia después del diagnóstico de CCR
• Alcoholismo. > 2 veces Riesgo de incidencia.
• Tabaquismo. 20–35 cajetillas al año ◊ CCR.
• Ingesta de café. Contiene sustancias antimutagénicas y disminuye el tiempo de contacto
de la mucosa con los agentes mutagénicos.
• AINES. (protector) La duración y el tipo de AINE no tiene relación.
Factores Gené8cos: Síndromes Polipósicos
Mecanismos mutacionales asociados al desarrollo de CCR
Mecanismos
epigenéticos
Metilacion CpG
(segundo mecanismo
genético más común
relacionado con el CCR
esporádico (15%).
inactivan la expresión génica
incluyendo la metilación de las islas
CpG en secuencias promotoras y
modificaciones en proteínas como
las histonas e hipometilación global;
se ha reportado que ocurren en
estadios tempranos de la
carcinogénesis colorrectal.
Inestabilidad
cromosómica
(CCR esporádico
(70-85%)
Diversos cambios en el
número de copias y la
estructura cromosómica,
ocasionando pérdida de la
heterocigosidad en genes
supresores de tumor y
mutaciones en
protooncogenes.
Inestabilidad de
microsatélites
(La vía mutadora)
Errores en el sistema
de reparación por
daño al ADN.
Principalmente por
fallo en la
complementariedad
de bases, lo que
genera la expansión
de secuencias cortas
en tándem y un
aumento en el número
de mutaciones.
Modelo genético del CCR
Por Vogelstein
Se explica la progresion del CCR desde la mucosa normal del colomn hasta el carcinoma. Se describen las difetrentes vuas
relacionadas con el origen del CCR, la supresora ( Inestabilidad cromosomica, CIN) , la mutadora (Inestabilidad
microsatelital, MSI) y la de metilacion (Fenotipo de metilacion de las islas CpG). Genes del sistema de reparacion de bases
mal apareadas (MMR)
Genes supresores de tumor (APC, DCC Y
TP53)
Inactivacion de genes que codifican proteínas
que inhiben la proliferación celular o promueven
la apoptosis
ONCOGENES (K-RAS Y CTNNB1)
inducen la proliferación celular.
Aceleran el crecimiento celular y contribuir a la formación
del tumor
APC
(FAP)
CTNNB
1
genes
MMR
Esporádicos
85%
No esporádicos
15%
[HNPCC]
homólogo humano mutS
(MSH2), homólogo 1 humano
mutL, gen de segregación
posmeiótica tipo 2 ((PMS2).
p53 70%, DCC 70%, KRAS 40% y BAX 50%.
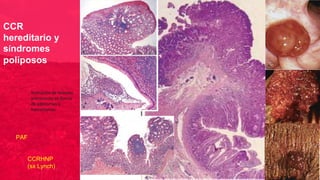
CCR
hereditario y
síndromes
poliposos
formación de lesiones
precursoras en forma
de adenomas o
hamartomas
PAF
CCRHNP
(sx Lynch)
CCR
causa
Inflamatoria
RIESGO:
Pancolitis: 5.4%
Chron: 3.7%
EII
10 a. enfermedad: 2%
20 a. enfermedad: 8%
30 a. enfermedad: 18%
Historia natural del CCR
Adenocarcinoma
Lesión
PremalignaPólipo: Proyección de la superficie de la mucosa intestinal,
con tipo histológico especifico: el más frecuente es el
hiperplásico (inflamatorio). 34-52% hombres y 29-45%
mujeres > 50 años.
Adenoma: Lesión benigna más frecuente. Su capacidad de
transformación maligna es dependiente de su histología y
tamaño. Macroscópico: Pedunculados y sésiles.
El 85–90% son AdCa sin características
morfológicas especiales.
El Dx diferencial del CCR incluye
carcinoide, linfoma, tumores estromales
ó metastásicos.
La progresión del CCR es: Hematógena
(hígado 38-60%, pulmonar 38%, cerebro
8%, hueso 10%), Continuidad (Pared
abdominal 28%) y Linfática 39%
Factores
hormonales
asociados a cáncer
colorrectal
Receptor
estrogenico
β
Experimento
ratones
(estrogenos
enfogenos)
Receptor del
factor de
crecimiento
epidérmico
Receptor
a
Inhibe
crecimiento
Idea
bloqueo de la progresión
de fase G1 a S inducida
por sobreexpresión de
receptor β
Incremento en la
expresión de receptor en
el tejido blanco. Protege
ante formación de tumores
asociados a APC.
Estradiol
efecto trofico
Menos expresión en células
tumorales que en tejido sano
(perdida selectiva)
Esta reducción de riesgo puede llegar a ser hasta de 30% y se inicia
después de tres años de uso de la terapia de reem
mal pronóstico en
pacientes con cáncer
colorrectal en etapa IV
y localmente
avanzados tratados
con radioterapia.
= terapia blanco
molecular
40% en
riesgo para
cáncer de
mama y
200%
Cuadro clinico
Colon
izquierdo
Colon
derecho
Dolor 80%, masa 70%, sangrado
20%, diarrea 40%, pérdida
ponderal 50%, vómito 30%,
obstrucción 5%.
Dolor 60%, masa 40%,
sangrado 20%, pérdida
ponderal 15%, vómito 10%.
Diagnóstico histológico y
estadificación
Lesiones precursoras del carcinoma colorrectal
Clasificación de las neoplasias colorrectales
Estadificación
Manejo e interpretación de la pieza quirúrgica
Lesiones precursoras del
carcinoma colorrectal
criptas aberrantes,
adenomas y pólipos
75% de los casos nuevos de
carcinoma colorrectal se
presentan en forma esporádica;
en el 15 al 20% de los casos hay
antecedentes familiares de
carcinoma colorrectal; el 5%
corresponde a carcinoma
colorrectal hereditario no
asociado con poliposis; el 1% de
los casos está asociado con
poliposis adenomatosa familiar;
y otro 1%, se relaciona con
enfermedad inflamatoria
intestinal.
Clasificación de las neoplasias colorrectales
(9%)
(11%)
(6%)
(13%)
(55%)
Carcinoma de tipo exofítico/fungante. El
volumen mayor de la neoplasia se
encuentra localizado hacia la luz del
tercio distal del recto.
Carcinoma endofítico/ulcerado. El recto muestra
una lesión ulcerada, excavada, con bordes irregulares y mal
delimitados. No hay crecimiento tumoral hacia la luz intestinal
CLASIFICACION AMCROSCOPICA
. Carcinoma anular. Nótese cómo el tejido neoplásico
sustituye y engruesa la pared colónica en forma de
anillo. Esta forma macroscópica es la que con mayor
frecuencia tiene la imagen radiológica en “reloj de
arena”.
infiltrante difuso (linitis plástica), con crecimiento endofítico poco aparente
ETAPIFICACION
AJCC2010
cadenas o relevos de ganglios linfáticos
Ciego
cecales anteriores y
posteriores, ileocólicos y
cólicos derechos.
Colon ascendente:
ileocólicos, cólicos
derechos y cólicos
medios
Ángulo hepático: cólicos
derechos y medios.
Colon transverso: cólicos
medios.
Ángulo esplénico: cólicos
medios, cólicos izquierdos
y
mesentéricos inferiores
Colon descendente: cólicos
izquierdos, mesentéricos
inferiores y sigmoideos
Sigmoides: mesentéricos
inferiores,
rectosigmoideos
superiores y mesentéricos
sigmoideos (pericólicos).
Recto-sigmoides:
perirectales (mesorectales
o paraproctales,
sacros laterales,
presacros, del
promontorio sacro
o de Gerota, rectales
medios e inferiores o
hemorroidales),
cólicos izquierdos,
mesentéricos sigmoideos,
mesentéricos
inferiores, rectales
superiores y medios.
. Recto: perirectales (mesorectales o paraproctales, sacros
laterales, presacros, del promontorio sacro o de Gerota, rectales
medios o hemorroidales y rectales inferiores o hemorroidales),
mesentéricos sigmoideos, mesentéricos inferiores.
WANT BIG IMPACT?
Use big image.
Tratamiento quirúrgico en
colon
Resección en bloque del tumor y
su drenaje linfático
curación de los casos iniciales en etapas I y II
hasta en el 70% de los casos
Los tipos de manejo quirúrgico van a depender de
la ubicación del tumor primario.
Estudios preoperatorios
colonoscopia con biopsia y revisión de patología, laboratorio con biometría
hemática y química sanguí- nea completas, incluyendo antígeno
carcinoembrionario (ACE), radiografías de tórax AP y lateral, TAC
abdominopélvica, PET-scan sólo en caso de considerar metástasis hepáticas
resecables durante el procedimiento quirúrgico inicial.
Thanks!
Hernicolectomía derecha.
Incluye la resección de los
últimos 8 cm del íleo
terminal, colon ascendente,
flexura hepática, hasta
antes de la arteria cólica
media, está indicada para
tumores de la región de
ciego y colon ascendente.
Hemicolectomía derecha extendida.
Incluye lo anterior más resección de
cólica media en su base y los 2/3
proximales del colon transverso.
evacuaciones diarreicas.
Colectomía transversa.
Hemicolectomía izquierda. La
resección abarca la parte distal del
colon transverso, ligadura de la rama
derecha de la cólica media y todo el
colon descendente hasta sigmoides,
asimismo, ligadura de la rama
izquierda de la mesentérica inferior.
Sigmoidectomía. Incluye la resección
de la porción distal del colon
descendente y todo sigmoides, con
ligadura en su base de los vasos
mesentéricos inferiores.
Colectomía subtotal. Incluye la resección de todo el colon dejando la
región rectal, este tipo de cirugía se realiza para lesiones
multicéntricas o para aquellas que coinciden con poliposis, siempre
que la región del recto tenga menos de 20 pólipos, en este caso se
debe considerar la proctocolectomía con reservorio.
Tratamiento segun el
estadio
etapa 0
no han crecido más allá del
revestimiento interno del colon,
extirpación del pólipo
(polipectomía) o escisión local por
medio de un colonoscopio.
etapa I
Colectomía parcial (cirugía para
extirpar la sección del colon que
contiene cáncer y los ganglios
linfáticos cercanos).
etapa II
(colectomía parcial) +
quimioterapia adyuvante 5-FU y
leucovorín o capecitabina
etapa III
colectomía parcial) seguida de
quimio adyuvante FOLFOX (5-FU,
leucovorín, y oxaliplatino) o el
régimen CapeOx (capecitabina y
oxaliplatino).
Se puede considerar radioterapia.
Colectomia
Quimio neoadyuvante
( mets pequeñas o abundantes)
FOLFOX: leucovorín, 5-FU, y
oxaliplatino (Eloxatin)
FOLFIRI: leucovorín, 5-FU, e
irinotecán (Camptosar)
CapeOX: capecitabina (Xeloda) y
oxaliplatino
FOLFOXIRI: leucovorín, 5-FU,
oxaliplatino e irinotecán
cáncer de colon
recurrente
LO MAS RECIENTE
trastuzumab intravenosa en
dosis de carga / kg (4 mg
seguidos de 2 mg / kg / semana
) y lapatinib oral a 1000 mg por
día
No se detectaron efectos
adversos graves
relacionados con las
drogas. Si hay actividad y
buena tolerancia en
pacientes refractarios al
tratamiento con cáncer
colorrectal metastásico
positivo para HER2.
Evaluar la actividad
antitumoral de trastuzumab y
lapatinib en pacientes con
cáncer colorrectal HER2
positivo.
Poliposis Adenomatosa Familiar
Aproximadamente 50–60%
de los pacientes con CCR
desarrollará enfermedad
metastásica y 90% de ellos
tendrá enfermedad hepática
irresecable
La RT adyuvante está indicada en aquellos casos en que los márgenes de la
resección quirúrgica se encuentra comprometidos, como en el caso de adherencia o
infiltración a órganos vecinos ó infiltración al espacio retroperitoneal.
Los pacientes con
enfermedad metastásica
pulmonar ó hepáKca
potencialmente resecable ó
irresecable es candidato a
terapia neoadyuvante 2–3
meses con FOLFIRI ó
FOLFOX, seguido de
colectomía/metastasectomí
a y conKnuar el esquema
asignado por 6 meses más.
SEGUIMIENTO
1
Seguimiento Se debe tener un seguimiento estrecho con citas entre 3 a 6
meses por 2 años y posteriormente cada 6 meses hasta 5 años, con ACE
en cada cita. CT anual por 5 años, colonoscopia al año y dependiendo los
hallazgos se solicitarán, por ejemplo, PET–CT.
Existen diversos factores que predicen el comportamiento del CCR ya
mencionados para la EC II. Los Factores pronósKcos más importantes son TNM,
ILV, márgenes de resección, ACE, Kpo histológico, MSI.
PRONOSTICO
Thanks!
Any questions?

Cáncer de colon

  • 1.
  • 2.
    Bibliografía • Sociedad Mexicanade oncología, Cancer de colon, Gaceta mexicana de oncología, VOLUMEN 7, SUPLEMENTO 4 2008 • Globocan 2012, incidence and mortality, colorectal cáncer. • Clara Ibet Juárez-Vázquez. Cáncer colorrectal (CCR): alteraciones genéticas y moleculares . Gaceta Médica de México. 2014;150: 154-64. • José P.(2012) Metilación en el cáncer colorrectal. Rev. esp. enferm. dig. vol.104 no.3 Madrid • Cáncer de Colon, Oncología, Guías Diagnósticas. Versión 1.2013. Hosp. Gral. México. • F. I. Téllez-Ávila . 2015. Cáncer de colon . Revista de Gastroenterología de México. 2015;80(Supl 1):96-98 • Robins y Cotran. Patologia funcional y estructural. Tubo digestivo8va Ed.
  • 3.
    El cáncer colorrectal(CCR) es el cáncer más común del tracto gastrointestinal. Factores ambientales y genéticos. Antecedentes de CCR en familiares de primer grado aumenta el riesgo de CCR en 2 a 3 veces. En el caso de los familiares de segundo grado con CCR, el riesgo aumenta tan sólo el 25 a 50% del riesgo de la población promedio.
  • 4.
    Epidemiologia HIGHER lung (1.59 milliondeaths) liver (745 000 deaths) stomach (723 000 deaths) colorectal (694 000 deaths) breast (521 000 deaths) oesophageal cancer (400 000 deaths) Finlay A Macrae, MD 2016 3: *Ca *Mortalidad LOWER 134,490 CN 95,270 colon 52% mortalidad países – D. i= 746,000 614,000 m=694,000 *Edad de aparición de 69 años. *Sobrevida a 5 años de 64% i= 5.4-9 m= 4.1-58 i= 4.5-7.6 M= - 3.5 2012 2008
  • 6.
    Factores de riesgo Factores Demográficos •Edad. Factor demográfico + importante. • Patrón Migratorio. Adoptan incidencia al migrar de zona de bajo riesgo a alto riesgo (ej. Asiáticos hacia EU). Factores biologicos • Cambio Anatómico. Mayor frecuencia del lado derecho: multifactorial (longevidad, carcinógenos, genética). •Adenomas +1cm: Prevalencia +50a: Factores Ambientales • Dieta. Carne roja (Frita/procesada). • Estilo de vida. Sedentarismo aumenta RR mientras que el ejercicio disminuye incidencia e inclusive mortalidad/recurrencia después del diagnóstico de CCR • Alcoholismo. > 2 veces Riesgo de incidencia. • Tabaquismo. 20–35 cajetillas al año ◊ CCR. • Ingesta de café. Contiene sustancias antimutagénicas y disminuye el tiempo de contacto de la mucosa con los agentes mutagénicos. • AINES. (protector) La duración y el tipo de AINE no tiene relación. Factores Gené8cos: Síndromes Polipósicos
  • 7.
    Mecanismos mutacionales asociadosal desarrollo de CCR Mecanismos epigenéticos Metilacion CpG (segundo mecanismo genético más común relacionado con el CCR esporádico (15%). inactivan la expresión génica incluyendo la metilación de las islas CpG en secuencias promotoras y modificaciones en proteínas como las histonas e hipometilación global; se ha reportado que ocurren en estadios tempranos de la carcinogénesis colorrectal. Inestabilidad cromosómica (CCR esporádico (70-85%) Diversos cambios en el número de copias y la estructura cromosómica, ocasionando pérdida de la heterocigosidad en genes supresores de tumor y mutaciones en protooncogenes. Inestabilidad de microsatélites (La vía mutadora) Errores en el sistema de reparación por daño al ADN. Principalmente por fallo en la complementariedad de bases, lo que genera la expansión de secuencias cortas en tándem y un aumento en el número de mutaciones.
  • 8.
    Modelo genético delCCR Por Vogelstein Se explica la progresion del CCR desde la mucosa normal del colomn hasta el carcinoma. Se describen las difetrentes vuas relacionadas con el origen del CCR, la supresora ( Inestabilidad cromosomica, CIN) , la mutadora (Inestabilidad microsatelital, MSI) y la de metilacion (Fenotipo de metilacion de las islas CpG). Genes del sistema de reparacion de bases mal apareadas (MMR) Genes supresores de tumor (APC, DCC Y TP53) Inactivacion de genes que codifican proteínas que inhiben la proliferación celular o promueven la apoptosis ONCOGENES (K-RAS Y CTNNB1) inducen la proliferación celular. Aceleran el crecimiento celular y contribuir a la formación del tumor APC (FAP) CTNNB 1 genes MMR Esporádicos 85% No esporádicos 15% [HNPCC] homólogo humano mutS (MSH2), homólogo 1 humano mutL, gen de segregación posmeiótica tipo 2 ((PMS2). p53 70%, DCC 70%, KRAS 40% y BAX 50%.
  • 9.
    CCR hereditario y síndromes poliposos formación delesiones precursoras en forma de adenomas o hamartomas PAF CCRHNP (sx Lynch)
  • 13.
    CCR causa Inflamatoria RIESGO: Pancolitis: 5.4% Chron: 3.7% EII 10a. enfermedad: 2% 20 a. enfermedad: 8% 30 a. enfermedad: 18%
  • 14.
    Historia natural delCCR Adenocarcinoma Lesión PremalignaPólipo: Proyección de la superficie de la mucosa intestinal, con tipo histológico especifico: el más frecuente es el hiperplásico (inflamatorio). 34-52% hombres y 29-45% mujeres > 50 años. Adenoma: Lesión benigna más frecuente. Su capacidad de transformación maligna es dependiente de su histología y tamaño. Macroscópico: Pedunculados y sésiles. El 85–90% son AdCa sin características morfológicas especiales. El Dx diferencial del CCR incluye carcinoide, linfoma, tumores estromales ó metastásicos. La progresión del CCR es: Hematógena (hígado 38-60%, pulmonar 38%, cerebro 8%, hueso 10%), Continuidad (Pared abdominal 28%) y Linfática 39%
  • 15.
    Factores hormonales asociados a cáncer colorrectal Receptor estrogenico β Experimento ratones (estrogenos enfogenos) Receptordel factor de crecimiento epidérmico Receptor a Inhibe crecimiento Idea bloqueo de la progresión de fase G1 a S inducida por sobreexpresión de receptor β Incremento en la expresión de receptor en el tejido blanco. Protege ante formación de tumores asociados a APC. Estradiol efecto trofico Menos expresión en células tumorales que en tejido sano (perdida selectiva) Esta reducción de riesgo puede llegar a ser hasta de 30% y se inicia después de tres años de uso de la terapia de reem mal pronóstico en pacientes con cáncer colorrectal en etapa IV y localmente avanzados tratados con radioterapia. = terapia blanco molecular 40% en riesgo para cáncer de mama y 200%
  • 17.
    Cuadro clinico Colon izquierdo Colon derecho Dolor 80%,masa 70%, sangrado 20%, diarrea 40%, pérdida ponderal 50%, vómito 30%, obstrucción 5%. Dolor 60%, masa 40%, sangrado 20%, pérdida ponderal 15%, vómito 10%.
  • 18.
    Diagnóstico histológico y estadificación Lesionesprecursoras del carcinoma colorrectal Clasificación de las neoplasias colorrectales Estadificación Manejo e interpretación de la pieza quirúrgica
  • 19.
    Lesiones precursoras del carcinomacolorrectal criptas aberrantes, adenomas y pólipos
  • 20.
    75% de loscasos nuevos de carcinoma colorrectal se presentan en forma esporádica; en el 15 al 20% de los casos hay antecedentes familiares de carcinoma colorrectal; el 5% corresponde a carcinoma colorrectal hereditario no asociado con poliposis; el 1% de los casos está asociado con poliposis adenomatosa familiar; y otro 1%, se relaciona con enfermedad inflamatoria intestinal. Clasificación de las neoplasias colorrectales (9%) (11%) (6%) (13%) (55%)
  • 21.
    Carcinoma de tipoexofítico/fungante. El volumen mayor de la neoplasia se encuentra localizado hacia la luz del tercio distal del recto. Carcinoma endofítico/ulcerado. El recto muestra una lesión ulcerada, excavada, con bordes irregulares y mal delimitados. No hay crecimiento tumoral hacia la luz intestinal CLASIFICACION AMCROSCOPICA
  • 22.
    . Carcinoma anular.Nótese cómo el tejido neoplásico sustituye y engruesa la pared colónica en forma de anillo. Esta forma macroscópica es la que con mayor frecuencia tiene la imagen radiológica en “reloj de arena”. infiltrante difuso (linitis plástica), con crecimiento endofítico poco aparente
  • 23.
  • 27.
    cadenas o relevosde ganglios linfáticos Ciego cecales anteriores y posteriores, ileocólicos y cólicos derechos. Colon ascendente: ileocólicos, cólicos derechos y cólicos medios Ángulo hepático: cólicos derechos y medios. Colon transverso: cólicos medios. Ángulo esplénico: cólicos medios, cólicos izquierdos y mesentéricos inferiores Colon descendente: cólicos izquierdos, mesentéricos inferiores y sigmoideos Sigmoides: mesentéricos inferiores, rectosigmoideos superiores y mesentéricos sigmoideos (pericólicos). Recto-sigmoides: perirectales (mesorectales o paraproctales, sacros laterales, presacros, del promontorio sacro o de Gerota, rectales medios e inferiores o hemorroidales), cólicos izquierdos, mesentéricos sigmoideos, mesentéricos inferiores, rectales superiores y medios. . Recto: perirectales (mesorectales o paraproctales, sacros laterales, presacros, del promontorio sacro o de Gerota, rectales medios o hemorroidales y rectales inferiores o hemorroidales), mesentéricos sigmoideos, mesentéricos inferiores.
  • 28.
  • 29.
  • 30.
    Resección en bloquedel tumor y su drenaje linfático curación de los casos iniciales en etapas I y II hasta en el 70% de los casos Los tipos de manejo quirúrgico van a depender de la ubicación del tumor primario. Estudios preoperatorios colonoscopia con biopsia y revisión de patología, laboratorio con biometría hemática y química sanguí- nea completas, incluyendo antígeno carcinoembrionario (ACE), radiografías de tórax AP y lateral, TAC abdominopélvica, PET-scan sólo en caso de considerar metástasis hepáticas resecables durante el procedimiento quirúrgico inicial.
  • 31.
    Thanks! Hernicolectomía derecha. Incluye laresección de los últimos 8 cm del íleo terminal, colon ascendente, flexura hepática, hasta antes de la arteria cólica media, está indicada para tumores de la región de ciego y colon ascendente. Hemicolectomía derecha extendida. Incluye lo anterior más resección de cólica media en su base y los 2/3 proximales del colon transverso. evacuaciones diarreicas. Colectomía transversa. Hemicolectomía izquierda. La resección abarca la parte distal del colon transverso, ligadura de la rama derecha de la cólica media y todo el colon descendente hasta sigmoides, asimismo, ligadura de la rama izquierda de la mesentérica inferior. Sigmoidectomía. Incluye la resección de la porción distal del colon descendente y todo sigmoides, con ligadura en su base de los vasos mesentéricos inferiores. Colectomía subtotal. Incluye la resección de todo el colon dejando la región rectal, este tipo de cirugía se realiza para lesiones multicéntricas o para aquellas que coinciden con poliposis, siempre que la región del recto tenga menos de 20 pólipos, en este caso se debe considerar la proctocolectomía con reservorio.
  • 32.
    Tratamiento segun el estadio etapa0 no han crecido más allá del revestimiento interno del colon, extirpación del pólipo (polipectomía) o escisión local por medio de un colonoscopio. etapa I Colectomía parcial (cirugía para extirpar la sección del colon que contiene cáncer y los ganglios linfáticos cercanos). etapa II (colectomía parcial) + quimioterapia adyuvante 5-FU y leucovorín o capecitabina etapa III colectomía parcial) seguida de quimio adyuvante FOLFOX (5-FU, leucovorín, y oxaliplatino) o el régimen CapeOx (capecitabina y oxaliplatino). Se puede considerar radioterapia. Colectomia Quimio neoadyuvante ( mets pequeñas o abundantes) FOLFOX: leucovorín, 5-FU, y oxaliplatino (Eloxatin) FOLFIRI: leucovorín, 5-FU, e irinotecán (Camptosar) CapeOX: capecitabina (Xeloda) y oxaliplatino FOLFOXIRI: leucovorín, 5-FU, oxaliplatino e irinotecán cáncer de colon recurrente
  • 34.
    LO MAS RECIENTE trastuzumabintravenosa en dosis de carga / kg (4 mg seguidos de 2 mg / kg / semana ) y lapatinib oral a 1000 mg por día No se detectaron efectos adversos graves relacionados con las drogas. Si hay actividad y buena tolerancia en pacientes refractarios al tratamiento con cáncer colorrectal metastásico positivo para HER2. Evaluar la actividad antitumoral de trastuzumab y lapatinib en pacientes con cáncer colorrectal HER2 positivo.
  • 35.
    Poliposis Adenomatosa Familiar Aproximadamente50–60% de los pacientes con CCR desarrollará enfermedad metastásica y 90% de ellos tendrá enfermedad hepática irresecable La RT adyuvante está indicada en aquellos casos en que los márgenes de la resección quirúrgica se encuentra comprometidos, como en el caso de adherencia o infiltración a órganos vecinos ó infiltración al espacio retroperitoneal. Los pacientes con enfermedad metastásica pulmonar ó hepáKca potencialmente resecable ó irresecable es candidato a terapia neoadyuvante 2–3 meses con FOLFIRI ó FOLFOX, seguido de colectomía/metastasectomí a y conKnuar el esquema asignado por 6 meses más.
  • 36.
    SEGUIMIENTO 1 Seguimiento Se debetener un seguimiento estrecho con citas entre 3 a 6 meses por 2 años y posteriormente cada 6 meses hasta 5 años, con ACE en cada cita. CT anual por 5 años, colonoscopia al año y dependiendo los hallazgos se solicitarán, por ejemplo, PET–CT. Existen diversos factores que predicen el comportamiento del CCR ya mencionados para la EC II. Los Factores pronósKcos más importantes son TNM, ILV, márgenes de resección, ACE, Kpo histológico, MSI. PRONOSTICO
  • 37.

Notas del editor

  • #4 colonoscopia a los 40 años y repetir cada cinco años.2
  • #5 En los Estados Unidos, la incidencia y la mortalidad han sido lenta pero constante disminución de [2]. Anualmente, se diagnostican aproximadamente 134.490 nuevos casos de cáncer de intestino grueso, de los cuales 95.270 son de colon y los cánceres rectales resto [3]. Cada año, aproximadamente 49.190 estadounidenses mueren de CRC, que representa aproximadamente el 8 por ciento de todas las muertes por cáncer. 1 de cada 20 estadounidenses lo padecerá a lo largo de su vida). El 39% de los pacientes Kene enfermedad localizada al diagnósKco. Epidemiología u Mundial El Cáncer de Colorectal (CCR) ocupa el 3er lugar en incidencia y el 4to en mortalidad a nivel mundial.1 Según el SEER2 (E.U.) la tasa de incidencia es de 46/100,000, una media de edad de aparición de 69 años, sobrevida a 5 años de 64% y un riesgo acumulado de 5% (es decir, 1 de cada 20 estadounidenses lo padecerá a lo largo de su vida). El 39% de los pacientes Kene enfermedad localizada al diagnósKco. u México El GLOBOCAN 20081 reporta una incidencia de 6,437 casos (5%) y una mortalidad 4,009 casos (5.2%) Cuadro 1. El INEGI4 reportó 74,685 muertes por cáncer en 2010 (13% de las muertes en México) de las cuales 5.4% son por CCR.
  • #7 RR= TATE RATIO ( PROPORCION DE LA TASA) Grasas La ingesta de dietas ricas en lípidos saturados de origen animal aumenta el riesgo de CCR.1,2 Se ha señalado que no importa tanto el tipo de grasas una vez que se ha ajustado el consumo total de calorías para el peso y la edad.2 En cambio, se ha demostrado que la ingesta de lípidos poliinsaturados del tipo omega 3 tiene un efecto protector ya que inhibe la señal β II de la protein cinasa C y restituye la respuesta del receptor II del factor de crecimiento transformante β (TGFβ). *dieta rica en grasas, que es asociada con un riesgo incrementado de CCR, por lo que se ha investigado la relación de los receptores activadores de la proliferación de peroxisomas (PPAR). Los PPAR son activados en respuesta a compuestos de derivados lipídicos y ácidos grasos; algunos de estos genes relacionados son el PPARD y PPARG, han sido encontrados sobreexpresados en células de cáncer de colon. Carnes rojas Su ingesta aumenta el riesgo de CCR. Influyen la temperatura de preparación de la carne ya que a mayor temperatura mayor cantidad de aminas heterocíclicas; de igual forma, influye si la carne se fríe o no y si usa Barbecue; de hecho, en estos casos la ingesta de carne con estas características incrementa dos veces la prevalencia de adenomas. Fibra Se ha asociado la ingesta abundante de fibra a una baja incidencia de CCR.8 Entre los mecanismos propuestos se encuentran que la fibra favorece la disminución del pH intraluminal lo que disminuye la mutagenicidad de los ácidos biliares secundarios, la dilución de los carcinógenos, da lugar a la formación de ácidos grasos de cadena corta a través de la fermentación bacteriana, e induce la fijación de ácidos biliares aumentando su excreción. Consumo de café La ingesta de café podría disminuir el riesgo de CCR debido a su contenido de sustancias antimutagénicas y compuestos fenólicos, además aumenta la motilidad intestinal disminuyendo el tiempo de contacto de la mucosa con los agentes mutagénicos. La cafeína, por su parte, disminuye la excreción de ácidos biliares y esteroles. Uso de analgésicos no esteroideos Los analgésicos no esteroideos (AINE) pueden actuar de forma selectiva inhibiendo la enzima COX-2 o no selectiva inhibiendo ambas enzimas (COX-1 y COX-2). La prostaglandina E2, es un potente agente mitogénico en los cultivos de células de cáncer de colon, esta prostaglandina refuerza la señal de la vía Wnt. el uso de AINE se asocia con una disminución del riesgo de CCR, los estudios epidemiológicos reportan disminución en la incidencia de adenomas, CCR y muerte por CCR.21 De igual manera, se ha reportado que el uso de AINE, específicamente sulindac y celecoxib favorecen la disminución del número y tamaño de los adenomas en la poliposis adenomatosa familiar (PAF) e incluso pueden provocar la regresión de las lesiones. Terapia de restitución hormonal en posmenopáusicas Se sugiere una disminución del riesgo de CCR en mujeres posmenopáusicas que están bajo tratamiento de restitución hormonal17,22,23,24 y este efecto se mantiene hasta 10 años después de suspender el tratamiento. si el primer embarazo se presenta de forma tardía se incrementa el riesgo. Hereditario: polimorfismos es el del gen APC, éste se caracteriza por tener una región hipermutable y sólo se encuentra en los judíos Ashkenazi, en quienes se presenta en 6% de la población general y hasta en 28% de los casos de CCR.
  • #8 La epigenética es un término que se usa para describir aquellos mecanismos susceptibles de modificar a diferentes niveles la expresión de determinados genes, sin necesidad de alterar la secuencia del ADN correspondiente, y que incluye la metilación del ADN, la remodelación de la cromatina, y otros procesos mediados por moléculas de ARN no codificante. El Fenotipo Metilador se relaciona con los cambios que suceden a nivel epigenético, y más concretamente, a nivel de la metilación del ADN. Las islas CpG son regiones del ADN que conforman aproximadamente un 40% de los promotores de los genes de mamíferos. Son regiones donde existe una gran concentración de pares de citosina y guanina enlazados por fosfatos. Estos sitios CpG se encuentran desmetilados si los genes están expresados, y por tanto, la metilación de dichos sitios CpG en los promotores de los genes puede inhibir la expresión del gen en cuestión, inactivándolo. La inactivación transcripcional mediante la metilación de islas CpG promotoras de genes supresores de tumores es un importante mecanismo de carcinogénesis, y es lo que viene denominándose fenotipo metilador. afecta a la expresión de los genes de reparación del ADN
  • #9 Los genes que participan en este modelo genético se dividen en dos clases: genes supresores de tumor (APC, DCC y TP53) y oncogenes, como K-RAS y CTNNB1 (B1- CATENINA) o. Las mutaciones más frecuentes son: APC 60%, p53 70%, DCC 70%, KRAS 40% y BAX 50%. *PTGS2, mejor conocido como ciclooxigenasa 2 (COX-2), juega un papel importante en la patogénesis molecular del carcinoma colorrectal. Las ciclooxigenasas regulan la producción de los metabolitos del ácido araquidónico, los cuales son mediadores de procesos inflamatorios. En líneas celulares de cáncer de colon que sobreexpresan PTGS2 se ha demostrado que producen factores que promueven la angiogénesis.
  • #10 predisposición genética para desarrollar CCR usualmente se caracteriza por la formación de lesiones precursoras en forma de adenomas o hamartomas Un adenoma y un hamartoma difieren por el origen celular: el adenoma deriva de células del epitelio colónico y el hamartoma, de células del estroma. dos tipos de síndromes con predisposición familiar a desarrollar adenomas: la FAP y el HNPCC, con mutaciones encontradas en el gen APC y en los genes de reparación del ADN, y un síndrome con predisposición familiar a desarrollar hamartomas, el conocido como síndrome poliposo juvenil (JPS)
  • #14 predisposición genética para desarrollar CCR usualmente se caracteriza por la formación de lesiones precursoras en forma de adenomas o hamartomas Un adenoma y un hamartoma difieren por el origen celular: el adenoma deriva de células del epitelio colónico y el hamartoma, de células del estroma. dos tipos de síndromes con predisposición familiar a desarrollar adenomas: la FAP y el HNPCC, con mutaciones encontradas en el gen APC y en los genes de reparación del ADN, y un síndrome con predisposición familiar a desarrollar hamartomas, el conocido como síndrome poliposo juvenil (JPS)
  • #16 quimioprevención en mujeres, en quienes estos riesgos sean rebasados por la perspectiva de beneficio, considerando además que el efecto protector se sostiene mientras dure el tratamiento, ya que una vez se suspende el riesgo de cáncer colorrectal vuelve a ser el original.
  • #21 El carcinoma colorrectal se presenta, en orden de frecuencia, en la región rectosigmoidea (55%), ciego (13%), colon transverso (11%), colon ascendente (9%) y colon descendente (6%).
  • #22 Es recomendable iniciar las colonoscopias a los 7 a 8 años con toma de biopsias al azar cada 10 cm y repetir el estudio de forma anual o bianual.26 En la población general la detección se inicia a partir de los 50 años, utilizando diversos procedimientos como sangre oculta en heces cada año, sigmoidoscopía flexible cada cinco años de forma individual o en combinación. De la misma manera es necesario realizar enema de bario a doble contraste y colonoscopía cada 10 años.
  • #28 Las cadenas o relevos de ganglios linfáticos pueden dividirse en regiones18 y en sentido proximal a distal son: 1. Ciego: cecales anteriores y posteriores, ileocólicos y cólicos derechos. 2. Colon ascendente: ileocólicos, cólicos derechos y cólicos medios. 3. Ángulo hepático: cólicos derechos y medios. 4. Colon transverso: cólicos medios.
  • #31 resección en bloque del tumor y su drenaje linfático, con márgenes adecuados tanto longitudinal como circunferencial, con esto se pretende lograr la curación de los casos iniciales en etapas I y II hasta en el 70% de los casos en etapas mayores, la cirugía adecuada, aunque oncológicamente correcta, no garantiza ni previene una recaída local o a distancia.
  • #35 Terapia doble dirigida con trastuzumab y lapatinib en tratamiento refractario, KRAS codón de tipo anomalo 12/13, el cáncer colorrectal metastásico HER2 positivo (Heracles): una prueba de concepto, multicéntrico, abierto, de fase 2 del ensayo Un paciente se considera refractario cuando no responde tratamientos iniciale Un exón es la porción de gen que codifica aminoácidos. Seis (22%) de 27 pacientes con eventos adversos grado 3, que consistieron en fatiga en cuatro pacientes, erupción cutánea en un paciente, y una mayor concentración de bilirrubina en un paciente. No se informó de grado 4 o 5 eventos adversos. No se detectaron efectos adversos graves relacionados con las drogas.