Conceptos Generales de Luxaciones Dr. Gómez Ruiz Martha Mayoral Víctor Alfonso Cortez de la Torre Christian Eduardo Tijuana B.C., Miércoles 21 de Agosto de 2007.
Definiciones Articulación Punto de unión de dos o mas huesos del esqueleto.    Permite su movimiento. Clasificación según movimiento y conformación Según conformación: Fibrosas, cartilaginosas y sinoviales. Según movimiento: Sinartrosis, anfiartrosis y diartrosis.
Definiciones Luxación. Perdida completa de contacto entre dos o mas superficies articulares. Infiere una perdida en su estabilidad biomecánica.
Factores estructurales Tres factores que previenen movimientos anormales. Contornos recíprocos Cápsula articular y ligamentos Músculos
 
 
 
 
 
Causas principales Traumatismos directos    Contusión Traumatismos indirectos Distensión Desgarre parcial Desgarre total Avulsión ligamentosa Esguince ligamentoso.
Trauma directo Contusión Golpe directo sobre la articulación Membrana sinovial reacciona produciendo derrame    sangre + liquido sinovial
Contusión
Contusión
Traumatismo indirecto Esguince ligamentoso Sobre-estiramiento de un ligamento provoca desgarre [parcial / total], sin perdida de estabilidad articular. Avulsion ligamentosa Sobre-estiramiento provoca arrancamiento de inserción ósea del ligamento.
Traumatismo indirecto
Lesiones Asociadas Ligamentos Inestabilidad articular oculta    Perdida de contacto solo cuando la articulación es forzada. Sub-Luxacion    Perdida parcial de contacto, aun existe relacion. Luxación    Perdida total de contacto Fractura-Luxacion    Luxación + fractura intra/extra-articular
Lesiones Asociadas a Ligamentos
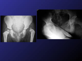
Lesiones Asociadas Cápsula fibrosa. Lux. Intracapsular Cápsula y periostio son distendidos por traumatismo, no se atraviesan por hueso lesionado. Lux. Extracapsular Cápsula y periostio son distendidos y atravesados por algún extremo óseo. En ojal Extremo óseo grande queda atrapado en cápsula y extremo pequeño atraviesa cápsula. EG    Cadera.
Diagnostico Interrogatorio Exploración Física  Exploración Radiológica
Exploración Física Dolor. Inflamación. Presencia o Ausencia de Pulso distal. Dificultad para utilizar o mover normalmente. Deformidad de la articulación afectada. Calor, hematomas y/o eritema en la zona lesionada
 
 
 
 
 
Complicaciones Locales Inmediatas    Lesion neurovascular. Precoces    Infeccion articular (en lesión abierta); Necrosis avascular. Tardías    Subluxaciones + Inestabilidad articular oculta; rigidez articular; artritis postraumática. Generales Osteoporosis postraumática; miositis osificante postraumática; etc.
Complicaciones
Tratamiento Aliviar el dolor. Obtener y mantener una posición satisfactoria. Permitir y estimular la consolidación Restablecer una función optima
Tratamiento Reducir la lesión hasta restaurar la congruencia articular. Inmovilizar la zona el tiempo necesario. Uso de AINES por periodos breves. No usar corticoesteroides.
 
 
 
The more original a discovery…   … the more obvious it seems afterwards Arthur Koestler

Conceptos Generales De Luxaciones

  • 1.
    Conceptos Generales deLuxaciones Dr. Gómez Ruiz Martha Mayoral Víctor Alfonso Cortez de la Torre Christian Eduardo Tijuana B.C., Miércoles 21 de Agosto de 2007.
  • 2.
    Definiciones Articulación Puntode unión de dos o mas huesos del esqueleto.  Permite su movimiento. Clasificación según movimiento y conformación Según conformación: Fibrosas, cartilaginosas y sinoviales. Según movimiento: Sinartrosis, anfiartrosis y diartrosis.
  • 3.
    Definiciones Luxación. Perdidacompleta de contacto entre dos o mas superficies articulares. Infiere una perdida en su estabilidad biomecánica.
  • 4.
    Factores estructurales Tresfactores que previenen movimientos anormales. Contornos recíprocos Cápsula articular y ligamentos Músculos
  • 5.
  • 6.
  • 7.
  • 8.
  • 9.
  • 10.
    Causas principales Traumatismosdirectos  Contusión Traumatismos indirectos Distensión Desgarre parcial Desgarre total Avulsión ligamentosa Esguince ligamentoso.
  • 11.
    Trauma directo ContusiónGolpe directo sobre la articulación Membrana sinovial reacciona produciendo derrame  sangre + liquido sinovial
  • 12.
  • 13.
  • 14.
    Traumatismo indirecto Esguinceligamentoso Sobre-estiramiento de un ligamento provoca desgarre [parcial / total], sin perdida de estabilidad articular. Avulsion ligamentosa Sobre-estiramiento provoca arrancamiento de inserción ósea del ligamento.
  • 15.
  • 16.
    Lesiones Asociadas LigamentosInestabilidad articular oculta  Perdida de contacto solo cuando la articulación es forzada. Sub-Luxacion  Perdida parcial de contacto, aun existe relacion. Luxación  Perdida total de contacto Fractura-Luxacion  Luxación + fractura intra/extra-articular
  • 17.
  • 18.
    Lesiones Asociadas Cápsulafibrosa. Lux. Intracapsular Cápsula y periostio son distendidos por traumatismo, no se atraviesan por hueso lesionado. Lux. Extracapsular Cápsula y periostio son distendidos y atravesados por algún extremo óseo. En ojal Extremo óseo grande queda atrapado en cápsula y extremo pequeño atraviesa cápsula. EG  Cadera.
  • 19.
    Diagnostico Interrogatorio ExploraciónFísica Exploración Radiológica
  • 20.
    Exploración Física Dolor.Inflamación. Presencia o Ausencia de Pulso distal. Dificultad para utilizar o mover normalmente. Deformidad de la articulación afectada. Calor, hematomas y/o eritema en la zona lesionada
  • 21.
  • 22.
  • 23.
  • 24.
  • 25.
  • 26.
    Complicaciones Locales Inmediatas  Lesion neurovascular. Precoces  Infeccion articular (en lesión abierta); Necrosis avascular. Tardías  Subluxaciones + Inestabilidad articular oculta; rigidez articular; artritis postraumática. Generales Osteoporosis postraumática; miositis osificante postraumática; etc.
  • 27.
  • 28.
    Tratamiento Aliviar eldolor. Obtener y mantener una posición satisfactoria. Permitir y estimular la consolidación Restablecer una función optima
  • 29.
    Tratamiento Reducir lalesión hasta restaurar la congruencia articular. Inmovilizar la zona el tiempo necesario. Uso de AINES por periodos breves. No usar corticoesteroides.
  • 30.
  • 31.
  • 32.
  • 33.
    The more originala discovery… … the more obvious it seems afterwards Arthur Koestler