Fracturas Diafisiarias de la Tibia
      Dr. Humberto Maldonado R.
        ortopedia y Traumatología
Localizadas 5 - 6 cm por debajo de la
interlínea articular de la rodilla y 6 cm por
    encima de la, interlínea articular de la
                    articulación del tobillo
Anatomia
Vista Posterior
CONOCIMIENTOS ANATOMICOS IMPORTANTES


 La tibia,, tiene extensas áreas desprovistas de
  inserciones musculares, lo que determina una pobreza
  vascular; sobre todo en la mitad distal del hueso.
 El rasgo de fractura del 1/3 medio o distal, con
  frecuencia compromete la arteria nutricia del hueso,
  agravando aún más el déficit vascular.
 Cara antero-interna Subcutanea.
 Con frecuencia la fractura es el resultado de un
  traumatismo violento y directo; la piel queda contra el
  plano óseo, duro, subyacente.
Fracturas Diafisiarias de la Tibia
vascularización de la tibia
  2 sistemas principales.
 Circulación endóstica y circulación perióstica
  siendo responsable la endóstica de la nutrición de la
  mayor parte del espesor del hueso.
 La circulación endóstica ingresa al hueso a través de su
  arteria nutricia en la unión del tercio proximal con el
  tercio medio de la diáfisis por encima de la inserción
  del músculo Sóleo. Es rama de la arteria tibial posterior
  y al ingresar se ramifica en tres ramas ascendentes y
  una rama descendente.
Fracturas Diafisiarias de Tibia
Mecanismos de lesión:
    Directo: Mas Frecuente
     Trauma de alta energía:
   Accidentes automovilístico o motocicleta
   Atropellamiento
   Caídas de altura
   Heridas por arma de fuego
   Heridas por arma contuso cortante
   Accidentes Deportivos(Football)

   Trauma de baja energía
 Fracturas por stress
 Patológicas
Fracturas Diafisiarias de Tibia
Mecanismos de lesión:
  Indirecto:
    Característico trazo espiroideo u oblicuo largo
 Torsión (Ej. Esquiadores)
 Incurvacion
Fracturas diafisarias de la Tibia
        EPIDEMIOLOGIA


 Fx de huesos largos más frecuente
 Traumatismos de alta energía
 Gran incidencia de complicaciones
 Es frecuente las fracturas expuestas
 Alta probabilidad de Síndrome Compartamental
 Lesiones asociadas
Fracturas Diafisiarias de Tibia
 El paciente debe inmovilizarse con algún tipo de
 férula en posición anatómica desde el momento
 de la evaluación inicial evitando así
 complicaciones e incomodidades para el paciente
 durante su movilizacion.
Fracturas Diafisiarias de Tibia
Diagnostico Clínico
 Inspección:
  -Impotencia Funcional
  -Deformidad
  -Rotación interna del pie
  -Acortamiento
   -Edema
   -Equimosis
 Palpación :
  -Dolor al movimiento en el foco de fractura
  -Movilidad anormal
  -Crepitos Óseos
Fracturas Diafisiarias de tibia
 No olvidar “JAMAS” el
examen neurovascular.
         neurovascular.
Fracturas Diafisiarias de la tibia
 Cuando exista déficit de pulso o signos de mala
 perfusión de la extremidad se debe alinear la
 extremidad a posición anatómica y evaluar
 nuevamente ya que ocasionalmente se debe a la
 compresión vascular o la angulación de la arteria
 resultado de la deformidad. Cuando persiste se debe
 sospechar lesión vascular la cual se debe confirmar con
 un estudio arteriográfico evaluando al paciente
 conjuntamente con el especialista en cirugía vascular.
Fracturas diafisarias de la Tibia
EVALUACION RADIOLOGICA




   Rx Anteroposterior
   Rx Lateral
    Toda la pierna incluyendo
    rodilla y tobillo
   TAC
   RM
   Angiografía
Fracturas Diafisiarias de Tibia
Fracturas diafisarias de la Tibia
CLASIFICACION DESCRIPTIVA

 Abierta o cerrada
 Localización:
      -1/3 proximal, medio o distal
   Trazo:
      - Espiroideo, oblícuo , transversal
   Angulación:
       -varo, valgo,antecurvatum o recurvatum
   Desplazamiento:
      - cabalgamiento o distracción
   Fragmento conminuto, segmentario o en mariposa
Fracturas Diafisiarias de Tibia
 El tratamiento de las fracturas de diáfisis de tibia
  es uno de los puntos que genera más controversia
  con partidarios y detractores tanto del
  tratamiento quirúrgico como ortopédico
Fracturas Diafisiarias de Tibia
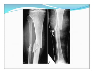
Tratamiento
 Ortopédico:
 reducción cerrada y yeso muslopedico
 Yeso Funcional (Sarmiento)
 Quirúrgico:
     reducción y fijación externa
     Osteosíntesis con placas de compresión
     Clavo intramedular de Kuntscher/Lottes
     Clavo Intramedular bloqueado
Fracturas Diafisiarias de Tibia
 El manejo cerrado u Ortopédico se lleva a cabo en
  aquellos pacientes con fracturas generalmente
  cerradas que tengan un trazo estable que permita
  mantener una posición “aceptable” entre los
  fragmentos luego de realizar la reducción y que
  conserve esta reducción con una férula o con un yeso
  circular.
Fracturas Diafisiarias de Tibia

Tratamiento ortopédico
Los tres postulados fundamentales:Bohler (1916)

A) Reducción lo más exacta posible de la fractura.
B) Inmovilización prolongada hasta la total
 consolidación
C) Programa inmediato e intensivo de recuperación
 funcional activa.
Fracturas Diafisiarias de Tibia
 Si en el control radiológico se observa perdida de la
  reducción de la fractura debe entonces tomarse una
  decisión entre un manejo quirúrgico o un nuevo
  intento de reducción de acuerdo a las características de
  cada caso.
 Algunas angulaciones en varo, valgo, antecurvatum y
  recurvatum pueden ser corregidas realizando cuñas al
  yeso (Yesotomia). Las cuñas son cortes que se le
  realizan al yeso para corregir pequeñas deformidades
  angulares.
Fracturas Diafisiarias de la Tibia
Criterios de Reducción Aceptable
 ¿Qué se considera como una reducción aceptable?
 Reducción aceptable puede definirse como la posición
  de los fragmentos de la fractura que permite una
  consolidación adecuada de la misma sin repercusión
  sobre la función de la extremidad. Lo ideal es una
  reducción anatómica de fractura (aposición del 100%
  de las corticales, sin deformidades angulares ni
  rotacionales)
Fracturas diafisarias de la Tibia

   Reducción aceptable
-   Varo : 5°
-   valgo :10°
-   Antecurvatum :10°
-   Recurvatum :10°
-   Rotación Interna: 5°
-   Rotación Externa : 10°
-   Acortamiento : 1 Cm
-   Más del 50% de contacto cortical
Fracturas Diafisiarias de la Tibia
 Para determinar la consolidación de la fractura
  clínicamente debe existir estabilidad del foco de
  fractura, ausencia de dolor con el apoyo.
  Radiológicamente debe existir callo óseo entre los
  fragmentos de la fractura.
Fracturas Diafisiarias de la Tibia
Tratamiento Quirúrgico
Quizás sea la fractura de tibia donde el tratamiento
  quirúrgico (osteosíntesis) ha sido más discutido.
 Indicaciones
 Fractura expuesta.
 Fractura irreductible.
 Fractura inestable.
 Fractura con compromiso vascular.
 Fractura en hueso patológico.
Fracturas diafisarias de la Tibia

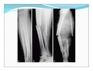
Tratamiento Quirúrgico
 Clavo Intramedular
Fracturas diafisarias de la Tibia

Tratamiento Quirúrgico
 Clavo Intramedular Bloqueado
Fracturas diafisarias de la Tibia

Tratamiento Quirúrgico
 Placas de compresión
Fracturas diafisarias de la Tibia
Tratamiento Quirúrgico
 Fijación externa
Fijación externa
Fracturas del Peroné

 El peroné raramente se lesiona de forma aislada.
 Generalmente se asocia a otras lesiones en la
 misma extremidad principalmente a fracturas de
 tibia. Cuando se observe una fractura aislada de la
 diáfisis peroneal se debe prestar especial atención
 a la articulación del tobillo ya que puede tratarse
 de una fractura de Maissoneuve con lesión
 asociada del ligamento Deltoideo o fractura del
 maléolo interno de la tibia
Fracturas del Peroné
 Cuando se descarte otras lesiones en la
 extremidad y se trate verdaderamente de una
 fractura aislada del peroné su inmovilización no
 es necesaria y ocasionalmente se realiza como
 analgésica. Las fracturas en la porción proximal y
 distal generalmente se asocian a lesiones en las
 articulaciones de la rodilla y del tobillo
 respectivamente.
Fracturas Diafisiarias de la Tibia

Complicaciones Agudas
      Sd. Compartamental
      Sd. Embolia Grasa
      Lesión neurovascular
      Lesión de partes blandas(Expuesta)
      Infección superficial y profunda
Fracturas Diafisiarias de Tibia
Complicaciones Tardías
      Pseudoartrosis
      Retardo de Consolidación
      Consolidación viciosa
      Osteomielitis
      Sinostosis
      Acortamiento
      Rigidez articular
Fracturas Diafisiarias de la Tibia
Algunos de los factores que pueden influir sobre el
  tiempo de consolidación son:

 Edad
 Desplazamiento de la fractura
 Grado de conminución
 Lesión de los tejidos blandos alrededor de la tibia
 Fracturas abiertas por pérdida del hematoma de la fractura
  Infección del foco de fractura
 Peroné integro que no permita coaptación del foco de
  fractura de la tibia
 Demora en el apoyo de la extremidad
Fracturas Diafisiarias de la Tibia
Tracción Transcalcanea
 Indicaciones
 Fracturas con gran edema de la pierna
 Escoriaciones
 quemaduras
 Fracturas inestables
 Fracturas expuestas
Fracturas Diafisiarias de la Tibia
 En la actualidad hay un convencimiento casi universal
 en el sentido de que el tratamiento ortopédico, no
 quirúrgico, sería, en la mayoría de los casos, el más
 eficaz y el que menos riesgos presenta al enfermo.
 Métodos no agresivos, usados en forma simple o
 complementados con técnicas de tracción, empleando
 el yeso como elemento de contensión e
 inmovilización, con una técnica correcta, logran
 conseguir, en la inmensa mayoría de los casos,
 consolidaciones perfectas en plazos variables entre 3 a
 5 meses.
Fracturas Diafisiarias de La Tibia
Pronostico
Los factores que más influyen en el pronóstico
de la fractura son:
1) Grado de desplazamiento inicial
2) La Conminución
3) La presencia o ausencia de infección
4) La gravedad de la lesión de partes blandas
5) Síndrome Compartamental

Fracturas diafisiarias de la tibia pptx

  • 1.
    Fracturas Diafisiarias dela Tibia Dr. Humberto Maldonado R. ortopedia y Traumatología
  • 2.
    Localizadas 5 -6 cm por debajo de la interlínea articular de la rodilla y 6 cm por encima de la, interlínea articular de la articulación del tobillo
  • 3.
  • 7.
    CONOCIMIENTOS ANATOMICOS IMPORTANTES La tibia,, tiene extensas áreas desprovistas de inserciones musculares, lo que determina una pobreza vascular; sobre todo en la mitad distal del hueso.  El rasgo de fractura del 1/3 medio o distal, con frecuencia compromete la arteria nutricia del hueso, agravando aún más el déficit vascular.  Cara antero-interna Subcutanea.  Con frecuencia la fractura es el resultado de un traumatismo violento y directo; la piel queda contra el plano óseo, duro, subyacente.
  • 8.
    Fracturas Diafisiarias dela Tibia vascularización de la tibia 2 sistemas principales.  Circulación endóstica y circulación perióstica siendo responsable la endóstica de la nutrición de la mayor parte del espesor del hueso.  La circulación endóstica ingresa al hueso a través de su arteria nutricia en la unión del tercio proximal con el tercio medio de la diáfisis por encima de la inserción del músculo Sóleo. Es rama de la arteria tibial posterior y al ingresar se ramifica en tres ramas ascendentes y una rama descendente.
  • 9.
    Fracturas Diafisiarias deTibia Mecanismos de lesión: Directo: Mas Frecuente Trauma de alta energía:  Accidentes automovilístico o motocicleta  Atropellamiento  Caídas de altura  Heridas por arma de fuego  Heridas por arma contuso cortante  Accidentes Deportivos(Football) Trauma de baja energía  Fracturas por stress  Patológicas
  • 10.
    Fracturas Diafisiarias deTibia Mecanismos de lesión: Indirecto: Característico trazo espiroideo u oblicuo largo  Torsión (Ej. Esquiadores)  Incurvacion
  • 11.
    Fracturas diafisarias dela Tibia EPIDEMIOLOGIA  Fx de huesos largos más frecuente  Traumatismos de alta energía  Gran incidencia de complicaciones  Es frecuente las fracturas expuestas  Alta probabilidad de Síndrome Compartamental  Lesiones asociadas
  • 14.
    Fracturas Diafisiarias deTibia  El paciente debe inmovilizarse con algún tipo de férula en posición anatómica desde el momento de la evaluación inicial evitando así complicaciones e incomodidades para el paciente durante su movilizacion.
  • 15.
    Fracturas Diafisiarias deTibia Diagnostico Clínico  Inspección: -Impotencia Funcional -Deformidad -Rotación interna del pie -Acortamiento -Edema -Equimosis  Palpación : -Dolor al movimiento en el foco de fractura -Movilidad anormal -Crepitos Óseos
  • 16.
    Fracturas Diafisiarias detibia No olvidar “JAMAS” el examen neurovascular. neurovascular.
  • 17.
    Fracturas Diafisiarias dela tibia  Cuando exista déficit de pulso o signos de mala perfusión de la extremidad se debe alinear la extremidad a posición anatómica y evaluar nuevamente ya que ocasionalmente se debe a la compresión vascular o la angulación de la arteria resultado de la deformidad. Cuando persiste se debe sospechar lesión vascular la cual se debe confirmar con un estudio arteriográfico evaluando al paciente conjuntamente con el especialista en cirugía vascular.
  • 18.
    Fracturas diafisarias dela Tibia EVALUACION RADIOLOGICA  Rx Anteroposterior  Rx Lateral Toda la pierna incluyendo rodilla y tobillo  TAC  RM  Angiografía
  • 19.
  • 20.
    Fracturas diafisarias dela Tibia CLASIFICACION DESCRIPTIVA  Abierta o cerrada  Localización: -1/3 proximal, medio o distal  Trazo: - Espiroideo, oblícuo , transversal  Angulación: -varo, valgo,antecurvatum o recurvatum  Desplazamiento: - cabalgamiento o distracción  Fragmento conminuto, segmentario o en mariposa
  • 21.
    Fracturas Diafisiarias deTibia  El tratamiento de las fracturas de diáfisis de tibia es uno de los puntos que genera más controversia con partidarios y detractores tanto del tratamiento quirúrgico como ortopédico
  • 22.
    Fracturas Diafisiarias deTibia Tratamiento  Ortopédico:  reducción cerrada y yeso muslopedico  Yeso Funcional (Sarmiento)  Quirúrgico: reducción y fijación externa Osteosíntesis con placas de compresión Clavo intramedular de Kuntscher/Lottes Clavo Intramedular bloqueado
  • 23.
    Fracturas Diafisiarias deTibia  El manejo cerrado u Ortopédico se lleva a cabo en aquellos pacientes con fracturas generalmente cerradas que tengan un trazo estable que permita mantener una posición “aceptable” entre los fragmentos luego de realizar la reducción y que conserve esta reducción con una férula o con un yeso circular.
  • 24.
    Fracturas Diafisiarias deTibia Tratamiento ortopédico Los tres postulados fundamentales:Bohler (1916) A) Reducción lo más exacta posible de la fractura. B) Inmovilización prolongada hasta la total consolidación C) Programa inmediato e intensivo de recuperación funcional activa.
  • 28.
    Fracturas Diafisiarias deTibia  Si en el control radiológico se observa perdida de la reducción de la fractura debe entonces tomarse una decisión entre un manejo quirúrgico o un nuevo intento de reducción de acuerdo a las características de cada caso.  Algunas angulaciones en varo, valgo, antecurvatum y recurvatum pueden ser corregidas realizando cuñas al yeso (Yesotomia). Las cuñas son cortes que se le realizan al yeso para corregir pequeñas deformidades angulares.
  • 29.
    Fracturas Diafisiarias dela Tibia Criterios de Reducción Aceptable  ¿Qué se considera como una reducción aceptable?  Reducción aceptable puede definirse como la posición de los fragmentos de la fractura que permite una consolidación adecuada de la misma sin repercusión sobre la función de la extremidad. Lo ideal es una reducción anatómica de fractura (aposición del 100% de las corticales, sin deformidades angulares ni rotacionales)
  • 30.
    Fracturas diafisarias dela Tibia  Reducción aceptable - Varo : 5° - valgo :10° - Antecurvatum :10° - Recurvatum :10° - Rotación Interna: 5° - Rotación Externa : 10° - Acortamiento : 1 Cm - Más del 50% de contacto cortical
  • 31.
    Fracturas Diafisiarias dela Tibia  Para determinar la consolidación de la fractura clínicamente debe existir estabilidad del foco de fractura, ausencia de dolor con el apoyo. Radiológicamente debe existir callo óseo entre los fragmentos de la fractura.
  • 32.
    Fracturas Diafisiarias dela Tibia Tratamiento Quirúrgico Quizás sea la fractura de tibia donde el tratamiento quirúrgico (osteosíntesis) ha sido más discutido.  Indicaciones  Fractura expuesta.  Fractura irreductible.  Fractura inestable.  Fractura con compromiso vascular.  Fractura en hueso patológico.
  • 33.
    Fracturas diafisarias dela Tibia Tratamiento Quirúrgico  Clavo Intramedular
  • 34.
    Fracturas diafisarias dela Tibia Tratamiento Quirúrgico  Clavo Intramedular Bloqueado
  • 35.
    Fracturas diafisarias dela Tibia Tratamiento Quirúrgico  Placas de compresión
  • 36.
    Fracturas diafisarias dela Tibia Tratamiento Quirúrgico  Fijación externa
  • 37.
  • 38.
    Fracturas del Peroné El peroné raramente se lesiona de forma aislada. Generalmente se asocia a otras lesiones en la misma extremidad principalmente a fracturas de tibia. Cuando se observe una fractura aislada de la diáfisis peroneal se debe prestar especial atención a la articulación del tobillo ya que puede tratarse de una fractura de Maissoneuve con lesión asociada del ligamento Deltoideo o fractura del maléolo interno de la tibia
  • 39.
    Fracturas del Peroné Cuando se descarte otras lesiones en la extremidad y se trate verdaderamente de una fractura aislada del peroné su inmovilización no es necesaria y ocasionalmente se realiza como analgésica. Las fracturas en la porción proximal y distal generalmente se asocian a lesiones en las articulaciones de la rodilla y del tobillo respectivamente.
  • 40.
    Fracturas Diafisiarias dela Tibia Complicaciones Agudas  Sd. Compartamental  Sd. Embolia Grasa  Lesión neurovascular  Lesión de partes blandas(Expuesta)  Infección superficial y profunda
  • 41.
    Fracturas Diafisiarias deTibia Complicaciones Tardías  Pseudoartrosis  Retardo de Consolidación  Consolidación viciosa  Osteomielitis  Sinostosis  Acortamiento  Rigidez articular
  • 42.
    Fracturas Diafisiarias dela Tibia Algunos de los factores que pueden influir sobre el tiempo de consolidación son:  Edad  Desplazamiento de la fractura  Grado de conminución  Lesión de los tejidos blandos alrededor de la tibia  Fracturas abiertas por pérdida del hematoma de la fractura  Infección del foco de fractura  Peroné integro que no permita coaptación del foco de fractura de la tibia  Demora en el apoyo de la extremidad
  • 43.
    Fracturas Diafisiarias dela Tibia Tracción Transcalcanea  Indicaciones  Fracturas con gran edema de la pierna  Escoriaciones  quemaduras  Fracturas inestables  Fracturas expuestas
  • 44.
    Fracturas Diafisiarias dela Tibia  En la actualidad hay un convencimiento casi universal en el sentido de que el tratamiento ortopédico, no quirúrgico, sería, en la mayoría de los casos, el más eficaz y el que menos riesgos presenta al enfermo. Métodos no agresivos, usados en forma simple o complementados con técnicas de tracción, empleando el yeso como elemento de contensión e inmovilización, con una técnica correcta, logran conseguir, en la inmensa mayoría de los casos, consolidaciones perfectas en plazos variables entre 3 a 5 meses.
  • 45.
    Fracturas Diafisiarias deLa Tibia Pronostico Los factores que más influyen en el pronóstico de la fractura son: 1) Grado de desplazamiento inicial 2) La Conminución 3) La presencia o ausencia de infección 4) La gravedad de la lesión de partes blandas 5) Síndrome Compartamental