Contusión MiocárdicaJuan Pablo Peña Diaz,  MDMedicina de Urgencias
Caso clínicoContusión MiocárdicaJuan Pablo Peña Diaz,  MDMedicina de Urgencias
JJPG46 añosCasadoTrabajador de la construcciónFecha y hora de Ingreso: 15/02/009 - 17+50 hPaciente traído por APH de Bomberos45 min antes atropellado por camioneta, quedó a 25 m de su motoPérdida de conciencia de 2 minTECTMFTx cervical indirectoTx cerrado Toraco-abdominalContusión MiocárdicaJuan Pablo Peña Diaz,  MDMedicina de Urgencias
Durante la admisión a la sala de trauma, presentó colapso súbito con palidezFC: 40TA: 60/40Diagnósticos posibles ?Que manejo le daría ?Contusión MiocárdicaJuan Pablo Peña Diaz,  MDMedicina de Urgencias
Vía Aérea permeableSe colocó O2 bajo Mascarilla de No ReinhalaciónNo hay lesiones visibles en troncoAbdomen blando, doloroso a la palpación del epigastrioPelvis estableSe colocó un bolo de 1.000 cc de SSN y a los 10 min la TA mejoró a 70/50 y luego 110/70No había déficits neurológicos motores ni sensitivos, ni asimetría pupilarE - FAST NegativoEstudios:Contusión MiocárdicaJuan Pablo Peña Diaz,  MDMedicina de Urgencias
Posibilidades dx: Hipovolemia
 TRM alto con Shock neurogénico
 Ruptura traumática de Aorta torácica
 Contusión miocárdica
 Embolia PulmonarContusión MiocárdicaJuan Pablo Peña Diaz,  MDMedicina de Urgencias
EKG 1Contusión MiocárdicaJuan Pablo Peña Diaz,  MDMedicina de Urgencias
Contusión MiocárdicaJuan Pablo Peña Diaz,  MDMedicina de Urgencias
Contusión MiocárdicaJuan Pablo Peña Diaz,  MDMedicina de Urgencias
No hay signos de lesión traumática de aortaNo hay signos de contusión pulmonarCorazón y arterias pulmonares normalesNo hay hematoma mediastinalNo hay hemo o neumotóraxContusión MiocárdicaJuan Pablo Peña Diaz,  MDMedicina de Urgencias
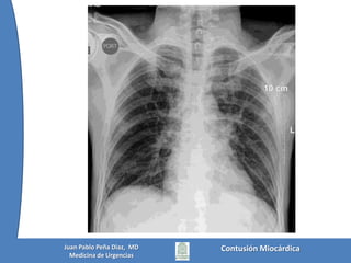
No hay lesiones en vísceras sólidasNo hay sangre ni aire intraperitonealNo hay lesiones en retroperitoneoNo hay lesiones vascularesContusión MiocárdicaJuan Pablo Peña Diaz,  MDMedicina de Urgencias
HLGCreatininaIonogramaGases Arteriales …  NORMALESTroponina T:  0,152Contusión MiocárdicaJuan Pablo Peña Diaz,  MDMedicina de Urgencias
EKG 2Contusión MiocárdicaJuan Pablo Peña Diaz,  MDMedicina de Urgencias
Contusión MiocárdicaJuan Pablo Peña Diaz,  MDMedicina de Urgencias
A las 24 h fue dado de alta por CxgralFue evaluado por CxMaxiloFacial quienes solicitaron TAC de caraFue evaluado por Urgentología quienes inician manejo  como IAM	- ASA		- Clopidogrel	- Enoxaparina (anticoagulación) 		- Metoprolol	- Enalapril 	- DNT IsosorbideY se solicitó evaluación urgente por hemodinamia(FC 66 – 78, TA: 100/70)12 h más tarde fue evaluado por Medicina Interna quienes suspendieron manejo de IAM  y consideraron dx de Contusión miocárdica (FC 70, TA: 90/60), estaba pendiente la ECO CardioContusión MiocárdicaJuan Pablo Peña Diaz,  MDMedicina de Urgencias
Contusión MiocárdicaJuan Pablo Peña Diaz,  MDMedicina de Urgencias
Historia1679: Borch describió el primer caso de ruptura cardiaca en un niño de 8 años que cayó golpeandose su pecho, falleció 4 meses después.  En la autopsia se encontró una herida de la aurícula derecha con trombo1764: Akenside describió el primer caso de contusionmiocardica – Adolescente de 14 años que sufrió Tx cerrado en tórax y murió 6 m después. En la autopsia se apreciaba una zona de necrosis en el VI casi completamente transmuralEntre 1676 a 1868 solo hay 27 casos reportadosMattox, Moore, Feliciano. TRAUMA, Chap 28. McGraw-Hill 2006Contusión MiocárdicaJuan Pablo Peña Diaz,  MDMedicina de Urgencias
Historia1868: Fischer publicó una serie de 76 casos; 69 de rupturas cardiacas y 7 contusiones miocárdicas1932: Kissane reportó una incidencia del 15 %1935: Bright & Beck: demostraron que de 157 pacientes que falecieron secundariamente a trauma cardiaco cerrado y demostraron que para lograr una ruptura cardiaca se necesitaban fuerzas muy altas y  afirmaron que con fuerzas menores se provocaban cambios casi siempre totalmente reversibles y era muy raro que se presentara una ruptura.Describieron al fenómeno de contusión miocárdica en perros como una hemorragia intersticial con necrosis muscular1940: Leinoff reportó 15 casos fatales en accidentes de tránsito, de los cuales el 16 % revelaban macroscópicamente cambios por contusiónMattox, Moore, Feliciano. TRAUMA, Chap 28. McGraw-Hill 2006Contusión MiocárdicaJuan Pablo Peña Diaz,  MDMedicina de Urgencias
IncidenciaHasta el 25 % de las muertes  por trauma  de tórax se deben a contusiones y se generan principalmente en accidentes de tránsito y lesiones relacionadas con el trabajoHasta el 16 % de los pacientes mueren por contusión cardíacaIncidencias reportadas: 0 – 75 %Fegheli NT, Prisant LM. Bluntmyocardialinjury. CHEST 1995, 108: 1673-77Bansal MK, Maraj S, chewaproug D, Amanullah A. Myocardialcontusioninjury: redefiningthediagnosticalgorithm. EmergMed J 2005, 22: 465-469Mattox, Moore, Feliciano. TRAUMA, Chap 28. McGraw-Hill 2006Contusión MiocárdicaJuan Pablo Peña Diaz,  MDMedicina de Urgencias
Definición No existe una definición exacta de esta patología desde el punto de vista clínico, el diagnóstico se realiza por autopsiaNo se ha logrado crear una clasificación universalMattox, Moore, Feliciano. TRAUMA, Chap 28. McGraw-Hill 2006Contusión MiocárdicaJuan Pablo Peña Diaz,  MDMedicina de Urgencias
Mecanismos de LesiónTrauma directo por desaceleración y golpe entre el esternón y la columna (*)Lesiones que generen aumento súbito de la presión intratorácica	- Caídas de grandes alturas	- Explosiones (Lesiones primarias) Mattox, Moore, Feliciano. TRAUMA, Chap 28. McGraw-Hill 2006Contusión MiocárdicaJuan Pablo Peña Diaz,  MDMedicina de Urgencias
Contusión MiocárdicaJuan Pablo Peña Diaz,  MDMedicina de Urgencias
Contusión MiocárdicaJuan Pablo Peña Diaz,  MDMedicina de Urgencias
Contusión MiocárdicaJuan Pablo Peña Diaz,  MDMedicina de Urgencias
Contusión MiocárdicaJuan Pablo Peña Diaz,  MDMedicina de Urgencias
Contusión MiocárdicaJuan Pablo Peña Diaz,  MDMedicina de Urgencias
> 35 Km/hContusión MiocárdicaJuan Pablo Peña Diaz,  MDMedicina de Urgencias
Contusión MiocárdicaJuan Pablo Peña Diaz,  MDMedicina de Urgencias
Contusión MiocárdicaJuan Pablo Peña Diaz,  MDMedicina de Urgencias
Contusión MiocárdicaJuan Pablo Peña Diaz,  MDMedicina de Urgencias
Cuadro clínicoDepende del grado de energía recibida, y la lesión subyacentePuede  ir desde la estabilidad hemodinámica hasta el paro cardiopulmonarPuede encontrarse dolor torácico similar a aun IAM, con o sin lesiones visibles (75%), hasta tórax inestable anteriorPuede debutar como edema pulmonar o cianosis súbita,  incluso taponamiento cardíacoBraunwald E, ed. Braunwald’s heart, 5th ed. Philadelphia: WB Saunders 1997.Snow N. Richardson JD, Flint LM Jr. Myocardial Contusion: Implications for patients with multiple traumatic injuries, Surgery  1982;92:744.Contusión MiocárdicaJuan Pablo Peña Diaz,  MDMedicina de Urgencias
Tipos de lesionesy presentaciónPresentación aguda:* Ruptura de cámara(s) cardíaca(s) con taponamiento cardíaco* Ruptura de cámara(s) cardíaca(s con ruptura pericárdica y hemotórax* Lesión miocárdica directa con shock cardiogénicoVan a requerir intervención inmediata para evitar la muerteMattox, Moore, Feliciano. TRAUMA, Chap 28. McGraw-Hill 2006Contusión MiocárdicaJuan Pablo Peña Diaz,  MDMedicina de Urgencias
Tipos de lesionesy presentaciónPresentación subaguda:* Contusión miocárdica* Taponamiento cardíaco subagudo* IAM * Lesión valvular traumática * Shuntintracardíaco* Trombos murales* ARRITMIASMattox, Moore, Feliciano. TRAUMA, Chap 28. McGraw-Hill 2006Contusión MiocárdicaJuan Pablo Peña Diaz,  MDMedicina de Urgencias
DiagnósticoElectrocardiogramaBiomarcadoresECO-CardiogramaSPECTGammagrafía de perfusiónCoronariografíaContusión MiocárdicaJuan Pablo Peña Diaz,  MDMedicina de Urgencias
ElectrocardiogramaDetecta fenómenos de conducción pero no existe un patrón típicoNewman PG, Feliciano DV: Blunt cardiac Injury. New Horizons 7:26, 1999.Las derivaciones derechas (V4R) no logran detectar lesiones en traumas del VDWalsh P, Marks G, Aranguri C, et al. Use of V4R in patients who sustain bluntchest trauma. J Trauma 2001;51:60–3.Las lesiones del VI pueden verse como cambios isquémicos del ST u onda TLas lesiones del VD pueden manifestarse con BRDHH transitoriosK C Sybrandy, M J M Cramer, C Burgersdijk. Diagnosing cardiac contusion: old wisdom and new Insights. Heart 2003;89:485–489Contusión MiocárdicaJuan Pablo Peña Diaz,  MDMedicina de Urgencias
Hallazgos Electrocardiográficos en contusion cardíacaAnormalidades Inespecificas:CambiostipoPericarditis (SupraST o depresión PT)QT ProlongadoLesionMiocardicaOndas Q nuevasSupra o InfraST y desviación de la onda TTrastornos de la ConducciónBRDHHBloqueos fascicularesBloqueos AV Arritmias:Taquicardia o  bradicardia sinusalLatidos prematurosFA o Taquicardia atrialFV o TVK C Sybrandy, M J M Cramer, C Burgersdijk. Diagnosing cardiac contusion: old wisdom and new Insights. Heart 2003;89:485–489Contusión MiocárdicaJuan Pablo Peña Diaz,  MDMedicina de Urgencias
ElectrocardiogramaLos cambios electrocardiográficos al ingreso pueden predecir peores desenlaces (arritmias)Maenza RL, Seaberg D, D’Amico F. A meta-analysis of blunt cardiac trauma: ending myocardial confusion. Am J Emerg Med 1996;14:237–41.Fulda G, Giberson F, Hailstone D, Law A, Stillabower M. Anevaluation of serumtroponin T and signal-averagedelectrocardiography in predictingelectrocardiographicabnormalitiesafter blunt chest trauma. J Trauma 1997;43:304-310.Salim: Estudio prospectivo de 115 pacientes en salas generales y UCI. Midieron biomarcadores y tomaron EKG al ingreso y 8h.  Todos los pacientes que tenían:Alteraciones EKGElevación de TroponinaAP de enfermedad cardíacaTEC o Trauma cervicalTener EKG o troponina normal significa0% de riesgo de tener un evento cardíaco maligno, lo contrario significa un 62% de riesgoSalim A, Velmahos GC, Jindal A, Chan L, et al. Clinicallysignificantbluntcardiac trauma: role of serumtroponinlevelscombinedwithelectrocardiographicfinding. J Trauma 2001;50:237-243.Contusión MiocárdicaJuan Pablo Peña Diaz,  MDMedicina de Urgencias
ElectrocardiogramaVelmahos: Estudio prospectivo de 333 pacientes44 desarrollaron complicaciones cardíacasFactores de riesgo: Edad  > 50 años
 ISS > 15
 TAS < 90
 TEC o TRM
Fx de huesos largos
 Hemotórax
 Lesiones abdominalesTener EKG (y troponina) normal(es) en las primeras 8 h obtuvo un VPN = 100%Velmahos GC, Karaiskakis M, Salim A, et al. Normal electrocardiography and serumtroponin I levelsprecludethepresence of clinicallysignificantbluntcardiacinjury. J Trauma 2003;54:45-50.Contusión MiocárdicaJuan Pablo Peña Diaz,  MDMedicina de Urgencias
BiomarcadoresDado el alto numero de positivos falsos y bajas sensibilidad y especificidad de la CPK MB y la alta sensibilidad de las troponinas, los estudios más valiosos se  refieren solo a éstas últimasBertinchant JP, Polge A, Mohty D, et al. Evaluation of incidence, clinicalsignificance, and prognostic value of circulating cardiac troponin I and T elevation in hemodynamically stable patients with suspected myocardial contusion after blunt chest trauma. J Trauma 2000;48:924–31.Nagy KK, Krosner SM, Roberts RR, et al. Determiningwhichpatientsrequire evaluation for blunt cardiac injury following blunt chest trauma.World J Surg 2001;25:108–11Keller KD, Shatney CH. Creatinephosphokinase-MB assays in patientswith suspected myocardial contusion: diagnostic test or test of diagnosis.J Trauma 1988;28:58–63.Biffl WL, Moore FA, Moore EE, et al. Cardiacenzymes are irrelevant inthe patient with suspected myocardial contusion. Am J Surg1994;168:523–7.Contusión MiocárdicaJuan Pablo Peña Diaz,  MDMedicina de Urgencias
BiomarcadoresSe ha propuesto que las troponinas T o I se elevan más rápido después de un trauma que de una lesionisquemica.Se desconoce el tiempo adecuado para tomar la primera muestra, pero se sabe que si la primera medición es normal, debe realizarse una segunda medición 4 a 8 h más tarde* Troponina T según estudio de FuldaSensibilidad: 27Especificidad: 91%Fulda G, Giberson F, Hailstone D, Law A, Stillabower M. Anevaluation of serumtroponin T and signal-averagedelectrocardiography in predictingelectrocardiographicabnormalitiesafter blunt chest trauma. J Trauma 1997;43:304-310.Contusión MiocárdicaJuan Pablo Peña Diaz,  MDMedicina de Urgencias
BiomarcadoresSegún el estudio de Salim la Troponina I tiene:VPP: 28 a 48%VPN: 95 %Cuando se asocia a alteraciones en el EKG:VPP: 62 %Cuando los 2 son negativos:VPN: 100 %Salim A, Velmahos GC, Jindal A, Chan L, et al. Clinicallysignificantbluntcardiac trauma: role of serumtroponinlevelscombinedwithelectrocardiographicfinding. J Trauma 2001;50:237-243.Contusión MiocárdicaJuan Pablo Peña Diaz,  MDMedicina de Urgencias
BiomarcadoresEdouard:  Estudio prospectivo realizado en 2 años,  728 pacientes admitidos a la UCI qca.  A todos se les tomó EKG y troponina I seriadas.La elevación de la troponina I se clasificó arbitrariamente así: Muy transitoria (< 12 h) y limitada (TcIn < 2)
 Transitoria  (< 36 h) y significativa (TcIn > 2)
 Sostenida (> 36 h) y significativa (TcIn > 2)Edouard AR, Felten ML, Hebert JL,, Cosson C,, Martin L, Benhamou D. Incidence and Significance of Cardiac Troponin I Releasein Severe Trauma Patients. Anesthesiology 2004; 101:1262–8Contusión MiocárdicaJuan Pablo Peña Diaz,  MDMedicina de Urgencias
BiomarcadoresEdouard:  Conclusiones Puede haber manifestaciones cardiacas incluso con troponinas normales
 Sensibilidad:  63 %
 Especificidad: 98 %

Contusión miocárdica

  • 1.
    Contusión MiocárdicaJuan PabloPeña Diaz, MDMedicina de Urgencias
  • 2.
    Caso clínicoContusión MiocárdicaJuanPablo Peña Diaz, MDMedicina de Urgencias
  • 3.
    JJPG46 añosCasadoTrabajador dela construcciónFecha y hora de Ingreso: 15/02/009 - 17+50 hPaciente traído por APH de Bomberos45 min antes atropellado por camioneta, quedó a 25 m de su motoPérdida de conciencia de 2 minTECTMFTx cervical indirectoTx cerrado Toraco-abdominalContusión MiocárdicaJuan Pablo Peña Diaz, MDMedicina de Urgencias
  • 4.
    Durante la admisióna la sala de trauma, presentó colapso súbito con palidezFC: 40TA: 60/40Diagnósticos posibles ?Que manejo le daría ?Contusión MiocárdicaJuan Pablo Peña Diaz, MDMedicina de Urgencias
  • 5.
    Vía Aérea permeableSecolocó O2 bajo Mascarilla de No ReinhalaciónNo hay lesiones visibles en troncoAbdomen blando, doloroso a la palpación del epigastrioPelvis estableSe colocó un bolo de 1.000 cc de SSN y a los 10 min la TA mejoró a 70/50 y luego 110/70No había déficits neurológicos motores ni sensitivos, ni asimetría pupilarE - FAST NegativoEstudios:Contusión MiocárdicaJuan Pablo Peña Diaz, MDMedicina de Urgencias
  • 6.
  • 7.
    TRM altocon Shock neurogénico
  • 8.
    Ruptura traumáticade Aorta torácica
  • 9.
  • 10.
    Embolia PulmonarContusiónMiocárdicaJuan Pablo Peña Diaz, MDMedicina de Urgencias
  • 11.
    EKG 1Contusión MiocárdicaJuanPablo Peña Diaz, MDMedicina de Urgencias
  • 12.
    Contusión MiocárdicaJuan PabloPeña Diaz, MDMedicina de Urgencias
  • 13.
    Contusión MiocárdicaJuan PabloPeña Diaz, MDMedicina de Urgencias
  • 14.
    No hay signosde lesión traumática de aortaNo hay signos de contusión pulmonarCorazón y arterias pulmonares normalesNo hay hematoma mediastinalNo hay hemo o neumotóraxContusión MiocárdicaJuan Pablo Peña Diaz, MDMedicina de Urgencias
  • 15.
    No hay lesionesen vísceras sólidasNo hay sangre ni aire intraperitonealNo hay lesiones en retroperitoneoNo hay lesiones vascularesContusión MiocárdicaJuan Pablo Peña Diaz, MDMedicina de Urgencias
  • 16.
    HLGCreatininaIonogramaGases Arteriales … NORMALESTroponina T: 0,152Contusión MiocárdicaJuan Pablo Peña Diaz, MDMedicina de Urgencias
  • 17.
    EKG 2Contusión MiocárdicaJuanPablo Peña Diaz, MDMedicina de Urgencias
  • 18.
    Contusión MiocárdicaJuan PabloPeña Diaz, MDMedicina de Urgencias
  • 19.
    A las 24h fue dado de alta por CxgralFue evaluado por CxMaxiloFacial quienes solicitaron TAC de caraFue evaluado por Urgentología quienes inician manejo como IAM - ASA - Clopidogrel - Enoxaparina (anticoagulación) - Metoprolol - Enalapril - DNT IsosorbideY se solicitó evaluación urgente por hemodinamia(FC 66 – 78, TA: 100/70)12 h más tarde fue evaluado por Medicina Interna quienes suspendieron manejo de IAM y consideraron dx de Contusión miocárdica (FC 70, TA: 90/60), estaba pendiente la ECO CardioContusión MiocárdicaJuan Pablo Peña Diaz, MDMedicina de Urgencias
  • 20.
    Contusión MiocárdicaJuan PabloPeña Diaz, MDMedicina de Urgencias
  • 21.
    Historia1679: Borch describióel primer caso de ruptura cardiaca en un niño de 8 años que cayó golpeandose su pecho, falleció 4 meses después. En la autopsia se encontró una herida de la aurícula derecha con trombo1764: Akenside describió el primer caso de contusionmiocardica – Adolescente de 14 años que sufrió Tx cerrado en tórax y murió 6 m después. En la autopsia se apreciaba una zona de necrosis en el VI casi completamente transmuralEntre 1676 a 1868 solo hay 27 casos reportadosMattox, Moore, Feliciano. TRAUMA, Chap 28. McGraw-Hill 2006Contusión MiocárdicaJuan Pablo Peña Diaz, MDMedicina de Urgencias
  • 22.
    Historia1868: Fischer publicóuna serie de 76 casos; 69 de rupturas cardiacas y 7 contusiones miocárdicas1932: Kissane reportó una incidencia del 15 %1935: Bright & Beck: demostraron que de 157 pacientes que falecieron secundariamente a trauma cardiaco cerrado y demostraron que para lograr una ruptura cardiaca se necesitaban fuerzas muy altas y afirmaron que con fuerzas menores se provocaban cambios casi siempre totalmente reversibles y era muy raro que se presentara una ruptura.Describieron al fenómeno de contusión miocárdica en perros como una hemorragia intersticial con necrosis muscular1940: Leinoff reportó 15 casos fatales en accidentes de tránsito, de los cuales el 16 % revelaban macroscópicamente cambios por contusiónMattox, Moore, Feliciano. TRAUMA, Chap 28. McGraw-Hill 2006Contusión MiocárdicaJuan Pablo Peña Diaz, MDMedicina de Urgencias
  • 23.
    IncidenciaHasta el 25% de las muertes por trauma de tórax se deben a contusiones y se generan principalmente en accidentes de tránsito y lesiones relacionadas con el trabajoHasta el 16 % de los pacientes mueren por contusión cardíacaIncidencias reportadas: 0 – 75 %Fegheli NT, Prisant LM. Bluntmyocardialinjury. CHEST 1995, 108: 1673-77Bansal MK, Maraj S, chewaproug D, Amanullah A. Myocardialcontusioninjury: redefiningthediagnosticalgorithm. EmergMed J 2005, 22: 465-469Mattox, Moore, Feliciano. TRAUMA, Chap 28. McGraw-Hill 2006Contusión MiocárdicaJuan Pablo Peña Diaz, MDMedicina de Urgencias
  • 24.
    Definición No existeuna definición exacta de esta patología desde el punto de vista clínico, el diagnóstico se realiza por autopsiaNo se ha logrado crear una clasificación universalMattox, Moore, Feliciano. TRAUMA, Chap 28. McGraw-Hill 2006Contusión MiocárdicaJuan Pablo Peña Diaz, MDMedicina de Urgencias
  • 25.
    Mecanismos de LesiónTraumadirecto por desaceleración y golpe entre el esternón y la columna (*)Lesiones que generen aumento súbito de la presión intratorácica - Caídas de grandes alturas - Explosiones (Lesiones primarias) Mattox, Moore, Feliciano. TRAUMA, Chap 28. McGraw-Hill 2006Contusión MiocárdicaJuan Pablo Peña Diaz, MDMedicina de Urgencias
  • 26.
    Contusión MiocárdicaJuan PabloPeña Diaz, MDMedicina de Urgencias
  • 27.
    Contusión MiocárdicaJuan PabloPeña Diaz, MDMedicina de Urgencias
  • 28.
    Contusión MiocárdicaJuan PabloPeña Diaz, MDMedicina de Urgencias
  • 29.
    Contusión MiocárdicaJuan PabloPeña Diaz, MDMedicina de Urgencias
  • 30.
    Contusión MiocárdicaJuan PabloPeña Diaz, MDMedicina de Urgencias
  • 31.
    > 35 Km/hContusiónMiocárdicaJuan Pablo Peña Diaz, MDMedicina de Urgencias
  • 32.
    Contusión MiocárdicaJuan PabloPeña Diaz, MDMedicina de Urgencias
  • 33.
    Contusión MiocárdicaJuan PabloPeña Diaz, MDMedicina de Urgencias
  • 34.
    Contusión MiocárdicaJuan PabloPeña Diaz, MDMedicina de Urgencias
  • 35.
    Cuadro clínicoDepende delgrado de energía recibida, y la lesión subyacentePuede ir desde la estabilidad hemodinámica hasta el paro cardiopulmonarPuede encontrarse dolor torácico similar a aun IAM, con o sin lesiones visibles (75%), hasta tórax inestable anteriorPuede debutar como edema pulmonar o cianosis súbita, incluso taponamiento cardíacoBraunwald E, ed. Braunwald’s heart, 5th ed. Philadelphia: WB Saunders 1997.Snow N. Richardson JD, Flint LM Jr. Myocardial Contusion: Implications for patients with multiple traumatic injuries, Surgery 1982;92:744.Contusión MiocárdicaJuan Pablo Peña Diaz, MDMedicina de Urgencias
  • 36.
    Tipos de lesionesypresentaciónPresentación aguda:* Ruptura de cámara(s) cardíaca(s) con taponamiento cardíaco* Ruptura de cámara(s) cardíaca(s con ruptura pericárdica y hemotórax* Lesión miocárdica directa con shock cardiogénicoVan a requerir intervención inmediata para evitar la muerteMattox, Moore, Feliciano. TRAUMA, Chap 28. McGraw-Hill 2006Contusión MiocárdicaJuan Pablo Peña Diaz, MDMedicina de Urgencias
  • 37.
    Tipos de lesionesypresentaciónPresentación subaguda:* Contusión miocárdica* Taponamiento cardíaco subagudo* IAM * Lesión valvular traumática * Shuntintracardíaco* Trombos murales* ARRITMIASMattox, Moore, Feliciano. TRAUMA, Chap 28. McGraw-Hill 2006Contusión MiocárdicaJuan Pablo Peña Diaz, MDMedicina de Urgencias
  • 38.
  • 39.
    ElectrocardiogramaDetecta fenómenos deconducción pero no existe un patrón típicoNewman PG, Feliciano DV: Blunt cardiac Injury. New Horizons 7:26, 1999.Las derivaciones derechas (V4R) no logran detectar lesiones en traumas del VDWalsh P, Marks G, Aranguri C, et al. Use of V4R in patients who sustain bluntchest trauma. J Trauma 2001;51:60–3.Las lesiones del VI pueden verse como cambios isquémicos del ST u onda TLas lesiones del VD pueden manifestarse con BRDHH transitoriosK C Sybrandy, M J M Cramer, C Burgersdijk. Diagnosing cardiac contusion: old wisdom and new Insights. Heart 2003;89:485–489Contusión MiocárdicaJuan Pablo Peña Diaz, MDMedicina de Urgencias
  • 40.
    Hallazgos Electrocardiográficos encontusion cardíacaAnormalidades Inespecificas:CambiostipoPericarditis (SupraST o depresión PT)QT ProlongadoLesionMiocardicaOndas Q nuevasSupra o InfraST y desviación de la onda TTrastornos de la ConducciónBRDHHBloqueos fascicularesBloqueos AV Arritmias:Taquicardia o bradicardia sinusalLatidos prematurosFA o Taquicardia atrialFV o TVK C Sybrandy, M J M Cramer, C Burgersdijk. Diagnosing cardiac contusion: old wisdom and new Insights. Heart 2003;89:485–489Contusión MiocárdicaJuan Pablo Peña Diaz, MDMedicina de Urgencias
  • 41.
    ElectrocardiogramaLos cambios electrocardiográficosal ingreso pueden predecir peores desenlaces (arritmias)Maenza RL, Seaberg D, D’Amico F. A meta-analysis of blunt cardiac trauma: ending myocardial confusion. Am J Emerg Med 1996;14:237–41.Fulda G, Giberson F, Hailstone D, Law A, Stillabower M. Anevaluation of serumtroponin T and signal-averagedelectrocardiography in predictingelectrocardiographicabnormalitiesafter blunt chest trauma. J Trauma 1997;43:304-310.Salim: Estudio prospectivo de 115 pacientes en salas generales y UCI. Midieron biomarcadores y tomaron EKG al ingreso y 8h. Todos los pacientes que tenían:Alteraciones EKGElevación de TroponinaAP de enfermedad cardíacaTEC o Trauma cervicalTener EKG o troponina normal significa0% de riesgo de tener un evento cardíaco maligno, lo contrario significa un 62% de riesgoSalim A, Velmahos GC, Jindal A, Chan L, et al. Clinicallysignificantbluntcardiac trauma: role of serumtroponinlevelscombinedwithelectrocardiographicfinding. J Trauma 2001;50:237-243.Contusión MiocárdicaJuan Pablo Peña Diaz, MDMedicina de Urgencias
  • 42.
    ElectrocardiogramaVelmahos: Estudio prospectivode 333 pacientes44 desarrollaron complicaciones cardíacasFactores de riesgo: Edad > 50 años
  • 43.
  • 44.
  • 45.
  • 46.
  • 47.
  • 48.
    Lesiones abdominalesTenerEKG (y troponina) normal(es) en las primeras 8 h obtuvo un VPN = 100%Velmahos GC, Karaiskakis M, Salim A, et al. Normal electrocardiography and serumtroponin I levelsprecludethepresence of clinicallysignificantbluntcardiacinjury. J Trauma 2003;54:45-50.Contusión MiocárdicaJuan Pablo Peña Diaz, MDMedicina de Urgencias
  • 49.
    BiomarcadoresDado el altonumero de positivos falsos y bajas sensibilidad y especificidad de la CPK MB y la alta sensibilidad de las troponinas, los estudios más valiosos se refieren solo a éstas últimasBertinchant JP, Polge A, Mohty D, et al. Evaluation of incidence, clinicalsignificance, and prognostic value of circulating cardiac troponin I and T elevation in hemodynamically stable patients with suspected myocardial contusion after blunt chest trauma. J Trauma 2000;48:924–31.Nagy KK, Krosner SM, Roberts RR, et al. Determiningwhichpatientsrequire evaluation for blunt cardiac injury following blunt chest trauma.World J Surg 2001;25:108–11Keller KD, Shatney CH. Creatinephosphokinase-MB assays in patientswith suspected myocardial contusion: diagnostic test or test of diagnosis.J Trauma 1988;28:58–63.Biffl WL, Moore FA, Moore EE, et al. Cardiacenzymes are irrelevant inthe patient with suspected myocardial contusion. Am J Surg1994;168:523–7.Contusión MiocárdicaJuan Pablo Peña Diaz, MDMedicina de Urgencias
  • 50.
    BiomarcadoresSe ha propuestoque las troponinas T o I se elevan más rápido después de un trauma que de una lesionisquemica.Se desconoce el tiempo adecuado para tomar la primera muestra, pero se sabe que si la primera medición es normal, debe realizarse una segunda medición 4 a 8 h más tarde* Troponina T según estudio de FuldaSensibilidad: 27Especificidad: 91%Fulda G, Giberson F, Hailstone D, Law A, Stillabower M. Anevaluation of serumtroponin T and signal-averagedelectrocardiography in predictingelectrocardiographicabnormalitiesafter blunt chest trauma. J Trauma 1997;43:304-310.Contusión MiocárdicaJuan Pablo Peña Diaz, MDMedicina de Urgencias
  • 51.
    BiomarcadoresSegún el estudiode Salim la Troponina I tiene:VPP: 28 a 48%VPN: 95 %Cuando se asocia a alteraciones en el EKG:VPP: 62 %Cuando los 2 son negativos:VPN: 100 %Salim A, Velmahos GC, Jindal A, Chan L, et al. Clinicallysignificantbluntcardiac trauma: role of serumtroponinlevelscombinedwithelectrocardiographicfinding. J Trauma 2001;50:237-243.Contusión MiocárdicaJuan Pablo Peña Diaz, MDMedicina de Urgencias
  • 52.
    BiomarcadoresEdouard: Estudioprospectivo realizado en 2 años, 728 pacientes admitidos a la UCI qca. A todos se les tomó EKG y troponina I seriadas.La elevación de la troponina I se clasificó arbitrariamente así: Muy transitoria (< 12 h) y limitada (TcIn < 2)
  • 53.
    Transitoria (< 36 h) y significativa (TcIn > 2)
  • 54.
    Sostenida (>36 h) y significativa (TcIn > 2)Edouard AR, Felten ML, Hebert JL,, Cosson C,, Martin L, Benhamou D. Incidence and Significance of Cardiac Troponin I Releasein Severe Trauma Patients. Anesthesiology 2004; 101:1262–8Contusión MiocárdicaJuan Pablo Peña Diaz, MDMedicina de Urgencias
  • 55.
    BiomarcadoresEdouard: ConclusionesPuede haber manifestaciones cardiacas incluso con troponinas normales
  • 56.
  • 57.