FRANCISCO  M.  INFANTES  GÓMEZ HOSPITAL  REGIONAL  DOCENTE TRUJILLO
ANATOMIA http://www.google.com.pe/imgres?imgurl=http://www.cancer.ie/cancerInfo/types/images/Lung/Lung%2520Pleura.JPG&imgrefurl=http://www.cancer.ie/cancerInfo/lung_lungs.php&usg=__kgtgCwLYF0J-AjemTOpiPEhXqGM=&h=311&w=490&sz=26&hl=es&start=8&sig2=pNCw9YqfJE6RRX5f4-WOrA&zoom=1&tbnid=oQgSJh7wb1nDhM:&tbnh=83&tbnw=130&ei=GTjOToDMJNHCgAfF4ZGsDQ&prev=/search%3Fq%3DPLEURA%26um%3D1%26hl%3Des%26sa%3DN%26tbm%3Disch&um=1&itbs=1
HISTOEMBRIOLOGÍA La pleura: Constituida por una capa mesotelial monocelular, sustentada sobre una membrana basal y una o más capas fibroelásticas (dependiendo de la zona), con sus correspondientes vasos sanguíneos y linfáticos. La célula mesotelial, de origen  mesodérmico, no se limita a cumplir la función de revestimiento, sino que desarrolla una amplia  actividad metabólica , en estrecha relación con el pulmón vecino, pudiendo  producir  diferentes  proteínas  fundamentalmente  colágeno y elastina . Segado A, Rodriguez Panadero F. Fisiopatología de la pleura: Manejo del derrame pleural. En Manual de Neumología y Cirugia Torácica. Caminero JA, Fernandez Fau L (eds.). Madrid; SEPAR. 1998: 1671-1684.
Pleura:  Es una membrana serosa compuesta por dos láminas que se adosan entre sí; ejercen presión negativa que evita el colapso pulmonar.  De células mesoteliales además de tejido elástico y conectivo en interacción con capilares arteriales, venosos, linfáticos y nervios.  DERRAME PLEURAL SYLVIA PÁEZ, MD - JAIRO H. ROA, MD HTTP://www.aibarra.org/guias/default.htm   tomado de manual de urgencias en medicina interna. Asociación colombiana de medicina interna. ediciones acta médica colombiana, 1994
LA PLEURA Compone por dos hojas: Hoja Visceral Hoja Parietal Línea de reflexión Cavidad Pleural Ligamento triangular
El espacio pleural: Se encuentra entre el pulmón y la pared torácica que contiene una capa fina de liquido , ES UN ESPACIO VIRTUAL Ligtht R., Harrinson 2006, tratado de medicina interna
El espacio pleural :0 a 20 micras de espesor.  El volumen normal de líquido pleural contenido en esta cavidad es de  0.1 a 0.2 ml/Kg. de peso .  DERRAME PLEURAL  Fraser- Muler. Diagnostico de las enfermedades del torax. Volumen IV 2002
 
Oscar Asensio de la Cruza, Javier Blanco Gonzálezb, Antonio Moreno Galdóc, Javier  Pérez Fríasd, Antonio Salcedo Posadase, Lidia Sanz Borrellf Neumología Pediátrica Sociedad Española de Neumología Pediátrica
DEFINICIÓN Oscar Asensio de la Cruza, Javier Blanco Gonzálezb, Antonio Moreno Galdóc, Javier  Pérez Fríasd, Antonio Salcedo Posadase, Lidia Sanz Borrellf Es una acumulación de líquido entre las capas de tejido que recubren el pulmón y la cavidad torácica, que se desarrolla en el marco de una  neumonía .
Manejo de derrames por neumonías bacterianas según criterios Light: 1. Derrame paraneumónico:  cualquier derrame asociado a una neumonía bacteriana, absceso  pulmonar o bronquiectasias. 2. Derrame paraneumónico no complicado:  derrame pleural que no ha precisado drenaje para  su resolución. 3. Derrame paraneumónico complicado:  derrames que no se resuelven sin drenaje torácico. Muchos de ellas son empiemas, pero algunos corresponden a líquido pleural de aspecto no purulento. 4. Empiema:  por definición el empiema es pus en el espacio pleural. Light RW. Parapneumonic effusions and empyema. En: Light RW, ed. Pleural diseases. 3ª  ed. Baltimore, MD: Williams & Wilkins; 1995: 129-153.
ETIOLOGIA http://www.elsevier.es/sites/default/files/elsevier/images/6/6v42n07/grande/6v42n07-13090586tab02.gif
http://www.elsevier.es/sites/default/files/elsevier/images/6/6v42n07/grande/6v42n07-13090586tab02.gif
CLASIFICACIÓN http://www.elsevier.es/sites/default/files/elsevier/images/6/6v42n07/grande/6v42n07-13090586tab03.gif
Manual de Urgencias Hospital Toledo 2010 3ra ED Tipo Clasificación Características Manejo I No Significante <1 cm de ancho en la radiografía lateral de tórax. Observación y control clínico y radiológico. II Derrame típico paraneumónico Glucosa >40 mg/dL, pH >7,2 , LDH <3x el valor normal. Antibióticos y toracentesis repetidas. III Derrame pleural complicado límite Glucosa > 40mg/dL, pH 7-7,2 , LDH >3x el  valor normal. antibióticos y toracostomía cerrada vs. toracentesis repetidas IV Derrame complicado simple Glucosa <40 mg/dL, pH <7, Gram o cultivo positivos. antibioticoterapia y toracostomía cerrada. V Derrame complicado. Igual que el anterior, pero multiloculado antibioticoterapia y toracoscopia de limpieza (pleudoresis) VI Empiema simple Material purulento Toracoscopia cerrada y antibioticoterapia. Según evolución, cirugía. VII Empiema complicado Igual que el anterior, pero multiloculado Antibioticoterapia y toracotomia o toracoscopia de limpieza. (pleudoresis)
http://www.elsevier.es/sites/default/files/elsevier/images/6/6v42n07/grande/6v42n07-13090586tab03.gif
http://www.elsevier.es/sites/default/files/elsevier/images/6/6v42n07/grande/6v42n07-13090586tab03.gif
TIPOS DE DERRAMES  A.- TRASUDADOS INSUFICIENCIA CARDIACA CONGESTIVA HIPOPROTEINEMIA CIRROSIS HEPÁTICAB.- B.- EXUDADOS INFECCIÓN  NEOPLASIAS MALIGNAS TRAUMA  DAÑO TISULAR LUPUS ERITEMATOSO  ARTRITIS REUMATOIDE PANCREATITIS C.- QUILOSO RUPTURA DE CONDUCTO TORACICO OBSTRUCCIÓN DE CONDUCTO TORÁCICO
Signos y síntomas de derrame Pleural: Relación a la VELOCIDAD y CANTIDAD Acumulación de liquido lenta mejor tolerancia Clasificación: Volumen:  Pequeños  Medianos  Masivos  <300cc  300-1500cc  >1500cc Síntomas: Dolor  Disnea  Tos seca
PATOGENIA Oscar Asensio de la Cruza, Javier Blanco Gonzálezb, Antonio Moreno Galdóc, Javier  Pérez Fríasd, Antonio Salcedo Posadase, Lidia Sanz Borrellf
Fisiología  de acumulación de líquido: *Microvasculatura sistémica *Espacio pleural *Presión hidrostática:  ****  Pleura parietal (30 cm. H2O) ****  Pleura visceral (10 cm. H2O) *Presión oncótica: 25cm de H2O *Principal vía de drenaje:  linfático DERRAME PLEURAL  Fraser- Muler. Diagnostico de las enfermedades del torax. Volumen IV 2002
Fisiologia  de acumulación de liquido: Trasudado:  Ultrafiltrado del plasma Presión hidrostatica  Presión oncótica Alteraciones en circulación sistémica Exudado:  Permeabilidad vasos pleurales a proteínas.  Obstrucción de vasos linfáticos  Enfermedades de la pleura DERRAME PLEURAL  Fraser- Muler. Diagnostico de las enfermedades del torax. Volumen IV 2002
DIAGNÓSTICO
Inspección Abombamiento del hemitórax correspondiente al área localizada del derrame (necesita 1 lt ó más para abombar) Disminución de la expansión torácica Aumento de frecuencia respiratoria
Palpación Revela disminución de la elasticidad y expansión Abolición marcada o por completo de las vibraciones vocales (frémito vocal)
 
Percusión Matidez intensa o hídrica (curva parabólica o de Damoiseau): depende de la cantidad de derrame Se debe percutir desde la base hacia arriba   El ruido normal a la percusión del tórax es resonante.
 
Auscultación Desaparición del murmullo vesicular en zonas sobre el derrame (no se oye nada).  Por arriba del derrame se puede oír ruido vesicular, en la parte libre del pulmón que está funcionando.
 
DIAGNÓSTICO  CLÍNICO M. Navarro Merino, G. Pérez Pérez, L. Bardallo Cruzado, M.M. Romero Pérez.  Derrame pleural paraneumónico IGUALES  A LA NAC: Fiebre. Tos. Dolor torácico. Taquipnea. Sospechar  la presencia de un  derrame paraneumónico  si la  fiebre persiste más de 48 horas  después de haber iniciado el  tratamiento antibiótico de una neumonía . Si el derrame es  importante  puede aparecer  disnea de esfuerzo o de reposo y signos de dificultad respiratoria.
http://www.elsevier.es/sites/default/files/elsevier/images/6/6v42n07/grande/6v42n07-13090586tab04.gif
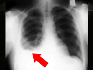
DIAGNÓSTICO POR  IMAGENOLOGÍA Oscar Asensio de la Cruza, Javier Blanco Gonzálezb, Antonio Moreno Galdóc, Javier  Pérez Fríasd, Antonio Salcedo Posadase, Lidia Sanz Borrellf Radiografía   PA y L :  hallazgo típico del derrame pleural:  obliteración del ángulo costofrénico posterior   que da una  imagen de menisco , bien notorio  >  de 175 ml de líquido .
RADIOLOGIA:  Detecta la presencia del derrame y sugiere su etiología  En la radiografía PA y lateral, el hallazgo típico del derrame pleural es la obliteración del ángulo costofrénico posterior (imagen de menisco). Un derrame masivo produce desviación contra lateral del mediastino; la causa más frecuente es la malignidad
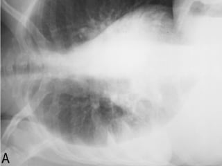
RADIOLOGIA:  Se observan hallazgos atípicos: aplanamiento o desplazamiento en la cúpula  aumento de la distancia del diafragma a la burbuja gástrica (2 cm) u opacidad eliptoidea o &quot;pseudotumor&quot;. La proyección en decúbito lateral ayuda en casos de duda.  Importante cuando se va a puncionar (seguridad). .
 
 
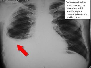
Signo de Daimasseau Ellis Manual de Urgencias Hospital Toledo 2010 3ra ED
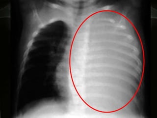
Densa opacidad en base derecha con borramiento del hemidiafragma correspondiente y la parrilla costal
Hemitorax derecho: Derrame pleural Hemitorax Izquierdo: Derrame sub pulmonar
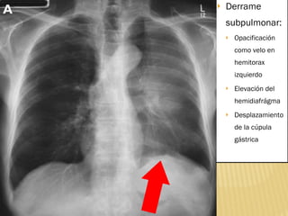
Derrame subpulmonar: Opacificación como velo en hemitorax izquierdo Elevación del hemidiafrágma Desplazamiento de la cúpula gástrica
 
Donnely E. F.  MD. PhD. ;Medical Student’s Guide to Plain Chest Film 2006; 1ra ED ISBN 1-4116-9538-0
 
 
DIAGNÓSTICO PATOLÓGICO
http://www.elsevier.es/sites/default/files/elsevier/images/6/6v42n07/grande/6v42n07-13090586tab03.gif
 
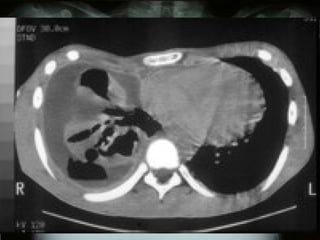
Toracentesis y análisis del líquido pleural. Requiere menos de 30 ml de líquido.  En derrames enquistados es útil la ecografía para localizar con precisión el líquido, y con ello hacer la toracentesis más fácil y sin riesgos
TABLA # 2 ESTUDIO DIFERENCIAL DE LOS DERRAMES PLEURALES TRASUDADO EXUDADO APARIENCIA CLARO, PAJA TURBIO, PURULENTO, HEMORRAGICO GRAVEDAD ESPECÍFICA  Menor de 1015 Más de 1015 PROTEINAS TOTALES Menor de 3.0 g/DL Más de 3.0 g/DL RELACIÓN PROTEÍNA LÍQUIDO PLEURAL/SUERO  Menor de 0.5  Más de 0.5 DEHIDROGENASA LÁCTICA Menor de 2/3 del suero  Más de 2/3 de LDH sérica RELACIÓN DE LDH PLEURAL/SUERO Menor de 0.6  Más de 0.6 COLESTEROL Menor de 45 mg/dl  Más de 45 mg/dl RELACIÓN COLESTEROL PLEURAL/SUERO Menor de 0.3 Más de 0.3 GRADIENTE DE ALBUMINA SUERO/PLEURA > 1.2 g/dl Menor de 1.2 g/dl
http://www.elsevier.es/sites/default/files/elsevier/images/6/6v42n07/grande/6v42n07-13090586tab03.gif
http://www.elsevier.es/sites/default/files/elsevier/images/6/6v42n07/grande/6v42n07-13090586tab03.gif
Está indicada la toracocentesis en todos los pacientes con DP de etiología desconocida y volumen suficiente: distancia superior a 1 cm entre la línea del DP y la pared torácica en la radiografía de tórax en decúbito homolateral (D). La guía ecográfica de la toracocentesis es útil en DP pequeño o loculado (C). No es imprescindible hacer una radiografía de tórax tras la toracocentesis salvo si se sospecha que se ha producido un neumotórax (D). Se debe valorar la apariencia y olor del LP (D). La determinación de pH, proteínas, LDH y recuento y fórmula leucocitaria están indicadas en los DP no purulentos (B). PUNTOS  CLAVE  MBE
Otros parámetros bioquímicos en LP o su relación con el suero son también útiles en la valoración de estos pacientes: glucosa, colesterol, triglicéridos, albúmina, ADA o IFN- γ (D). Los estudios citológicos del LP están indicados en todos los DP, y su repetición aumenta la sensibilidad (C). Se deben remitir al menos 4 muestras de biopsia pleural para análisis histológico, y una para cultivo de  M. tuberculosis  (D). Si las pruebas menos invasivas no son diagnósticas, se debe considerar la indicación de una toracoscopia (C). La broncofibroscopia está indicada si hay síntomas pulmonares o alteraciones radiológicas en el parénquima pulmonar (C).
TRATAMIENTO
El tratamiento antibiótico por vía intravenosa está indicado  en todos los casos   y su duración se hará sobre la  base de la evolución del paciente , teniendo en cuenta que gérmenes intracelulares o con capacidad de fácil reproducción se trataran como mínimo 14 días. El   tratamiento empírico  incluirá antibióticos efectivos contra  Streptococcus pneumoniae  y  Staphylococcus aureus .  cefuroxima (150 mg/[kg · día], 3 subdosis) cefotaxima (200 mg/[kg · día], 4 subdosis) ceftriaxona (100 mg/[kg · día], 2 subdosis) La utilización de la  vancomicina (40 mg/[kg · día], 4 subdosis),  sólo se usará en casos que provengan de áreas donde el  Staphylococcus aureus , resistente a la meticilina, es endémico ( Rec C) . Piriz Assa Alberto Rubén, Trinchet Soler Rafael, Varela Carlos Trinchet, Iparraguirre Góngora Oriberto, Arenado Duran Alexander. Derrame pleural complicado en el niño: guía práctica cubana. Rev Cubana Pediatr  [revista en la Internet]. 2009  Mar [citado  2011  Nov  24] ;  81(1): . Disponible en: http://scielo.sld.cu/scielo.php?script=sci_arttext&pid=S0034-75312009000100011&lng=es.
En pacientes que tengan un aislamiento de un germen con antibiograma se cambiará el tratamiento  (Rec C) , si es: Streptococcus pneumoniae   sensible a la penicilina:  penicilina cristalina, 500 000 a 1 000 000 U/(kg · día). Streptococcus pneumoniae   resistente a la penicilina:  cefuroxima, 150 mg/(kg · día) en 3 subdosis   o cefotaxima, 200 mg/(kg · día) en 4 subdosis o ceftriazona, 100 mg/(kg · día) en 2 subdosis. Staphylococcus aureus   sensible al oxacilina:  cefazolina, 100 mg/(kg · día) en 3 subdosis   o cefuroxima, 150 mg/(kg · día) en 3 subdosis o trifamox 100 mg/(kg · día) en 2 subdosis. Streptococcus pneumoniae   resistente a oxacilina y  Staphylococcus aureus  resistente a oxacillin:  vancomicina, 40 mg/(kg · día) en 4 subdosis.
Pseudomonas aeruginosa :  ceftazidima, 200 mg/(kg · día) en 3 subdosis. Streptococcus pyogenes :  cefazolina, 100 mg/(kg · día) en 3 subdosis  o cefuroxima, 150 mg/(kg · día) en 3 subdosis o cefalosporinas de tercera generación en las dosis antes mencionadas. Streptococcus pyogenes   resistentes a cefalosporinas:  vancomicina 40 mg/(kg · día) en 4 subdosis. Candida :  anfotericin B, comenzar con 0,25 mg/(kg · día),  incrementar las dosis hasta 1 mg/(kg · día), luego utilizar días alternos, según la respuesta pasar a fluconazol 6 a 3 mg/(kg · día), vía oral por 3 semanas.
 
 
 
 
CONTRAINDICACIONES COMPLICACIONES No hay absolutas, solo relativas Plaquetas <50.000/mm3 TP o PTT 2 veces el control Ventilación mecánica Paciente que no colabora o se rehúsa Derrames menores a 10mm en Rx decúbito-lateral Si dolor torácico, disnea o tos durante el procedimiento, interrumpirlo Usar guía por ecografía si derrame loculado o paciente embarazada Notas Reacción vagal (10%) Neumotórax (3-8%) Mason: Murray and Nadel's Textbook of Respiratory Medicine, 5th ed. 2010
1) Segado A, Rodriguez Panadero F. Fisiopatología de la pleura: Manejo del derrame pleural. En Manual de Neumología y Cirugia Torácica. Caminero JA, Fernandez Fau L (eds.). Madrid; SEPAR. 1998: 1671-1684. 2) DeLuca A, Kurland G. Empyema in children: epidemiology, diagnosis and management. Seminars in Pediatrics Infectious Diseases 1998; 9 : 205-211. 3) Hamm H, Light RW. Parapneumonic effusion and empyema. Eur Respir J 1997; 10: 1150- 1156. 4) Sahn SA. The pleura. Am Rev Respir Dis 1988; 138: 184-234. 5) Light RW. Parapneumonic effusions and empyema. En: Light RW, ed. Pleural diseases. 3ª  ed. Baltimore, MD: Williams & Wilkins; 1995: 129-153. 6) Sahn SA. Management of complicated parapneumonic effusions and empyema. Am Rev  Respir Dis 1993; 148: 813-817. 7) Freij B, Kusmiesz H, Nelson JD, McCracken GH. Parapneumonic effussions and empyema in  hospitalized children: a retrospective review of 277 cases. Pediatr Infect Dis J 1984; 3: 578-592. 8) Brémont F, Baunin C, Juchet A et al. Evolution clinique et traitement d l’empyème pleural chez l’enfant. Arch Pediatr 1996; 3 :335-341. 9) Sarihan H, Cahy A, Aynaci M, Akyazici R, Baki A. Empyema in children. J Thorac  Cardiovasc Surg 1998; 39: 113-116. 10) Hardie WD, Roberts NE, Reising SF, Cristie CDC. Complicated parapneumonic effusions in  children caused by penicillin-nonsusceptible Streptococcus pneumoniae. Pediatrics 1998; 101:  388-392. REVISIÓN  BIBLIOGRAFICA

Dr panchito derrame paraneumonico

  • 1.
    FRANCISCO M. INFANTES GÓMEZ HOSPITAL REGIONAL DOCENTE TRUJILLO
  • 2.
  • 3.
    HISTOEMBRIOLOGÍA La pleura:Constituida por una capa mesotelial monocelular, sustentada sobre una membrana basal y una o más capas fibroelásticas (dependiendo de la zona), con sus correspondientes vasos sanguíneos y linfáticos. La célula mesotelial, de origen mesodérmico, no se limita a cumplir la función de revestimiento, sino que desarrolla una amplia actividad metabólica , en estrecha relación con el pulmón vecino, pudiendo producir diferentes proteínas fundamentalmente colágeno y elastina . Segado A, Rodriguez Panadero F. Fisiopatología de la pleura: Manejo del derrame pleural. En Manual de Neumología y Cirugia Torácica. Caminero JA, Fernandez Fau L (eds.). Madrid; SEPAR. 1998: 1671-1684.
  • 4.
    Pleura: Esuna membrana serosa compuesta por dos láminas que se adosan entre sí; ejercen presión negativa que evita el colapso pulmonar. De células mesoteliales además de tejido elástico y conectivo en interacción con capilares arteriales, venosos, linfáticos y nervios. DERRAME PLEURAL SYLVIA PÁEZ, MD - JAIRO H. ROA, MD HTTP://www.aibarra.org/guias/default.htm tomado de manual de urgencias en medicina interna. Asociación colombiana de medicina interna. ediciones acta médica colombiana, 1994
  • 5.
    LA PLEURA Componepor dos hojas: Hoja Visceral Hoja Parietal Línea de reflexión Cavidad Pleural Ligamento triangular
  • 6.
    El espacio pleural:Se encuentra entre el pulmón y la pared torácica que contiene una capa fina de liquido , ES UN ESPACIO VIRTUAL Ligtht R., Harrinson 2006, tratado de medicina interna
  • 7.
    El espacio pleural:0 a 20 micras de espesor. El volumen normal de líquido pleural contenido en esta cavidad es de 0.1 a 0.2 ml/Kg. de peso . DERRAME PLEURAL Fraser- Muler. Diagnostico de las enfermedades del torax. Volumen IV 2002
  • 8.
  • 9.
    Oscar Asensio dela Cruza, Javier Blanco Gonzálezb, Antonio Moreno Galdóc, Javier Pérez Fríasd, Antonio Salcedo Posadase, Lidia Sanz Borrellf Neumología Pediátrica Sociedad Española de Neumología Pediátrica
  • 10.
    DEFINICIÓN Oscar Asensiode la Cruza, Javier Blanco Gonzálezb, Antonio Moreno Galdóc, Javier Pérez Fríasd, Antonio Salcedo Posadase, Lidia Sanz Borrellf Es una acumulación de líquido entre las capas de tejido que recubren el pulmón y la cavidad torácica, que se desarrolla en el marco de una  neumonía .
  • 11.
    Manejo de derramespor neumonías bacterianas según criterios Light: 1. Derrame paraneumónico: cualquier derrame asociado a una neumonía bacteriana, absceso pulmonar o bronquiectasias. 2. Derrame paraneumónico no complicado: derrame pleural que no ha precisado drenaje para su resolución. 3. Derrame paraneumónico complicado: derrames que no se resuelven sin drenaje torácico. Muchos de ellas son empiemas, pero algunos corresponden a líquido pleural de aspecto no purulento. 4. Empiema: por definición el empiema es pus en el espacio pleural. Light RW. Parapneumonic effusions and empyema. En: Light RW, ed. Pleural diseases. 3ª ed. Baltimore, MD: Williams & Wilkins; 1995: 129-153.
  • 12.
  • 13.
  • 14.
  • 15.
    Manual de UrgenciasHospital Toledo 2010 3ra ED Tipo Clasificación Características Manejo I No Significante <1 cm de ancho en la radiografía lateral de tórax. Observación y control clínico y radiológico. II Derrame típico paraneumónico Glucosa >40 mg/dL, pH >7,2 , LDH <3x el valor normal. Antibióticos y toracentesis repetidas. III Derrame pleural complicado límite Glucosa > 40mg/dL, pH 7-7,2 , LDH >3x el valor normal. antibióticos y toracostomía cerrada vs. toracentesis repetidas IV Derrame complicado simple Glucosa <40 mg/dL, pH <7, Gram o cultivo positivos. antibioticoterapia y toracostomía cerrada. V Derrame complicado. Igual que el anterior, pero multiloculado antibioticoterapia y toracoscopia de limpieza (pleudoresis) VI Empiema simple Material purulento Toracoscopia cerrada y antibioticoterapia. Según evolución, cirugía. VII Empiema complicado Igual que el anterior, pero multiloculado Antibioticoterapia y toracotomia o toracoscopia de limpieza. (pleudoresis)
  • 16.
  • 17.
  • 18.
    TIPOS DE DERRAMES A.- TRASUDADOS INSUFICIENCIA CARDIACA CONGESTIVA HIPOPROTEINEMIA CIRROSIS HEPÁTICAB.- B.- EXUDADOS INFECCIÓN NEOPLASIAS MALIGNAS TRAUMA DAÑO TISULAR LUPUS ERITEMATOSO ARTRITIS REUMATOIDE PANCREATITIS C.- QUILOSO RUPTURA DE CONDUCTO TORACICO OBSTRUCCIÓN DE CONDUCTO TORÁCICO
  • 19.
    Signos y síntomasde derrame Pleural: Relación a la VELOCIDAD y CANTIDAD Acumulación de liquido lenta mejor tolerancia Clasificación: Volumen: Pequeños Medianos Masivos <300cc 300-1500cc >1500cc Síntomas: Dolor Disnea Tos seca
  • 20.
    PATOGENIA Oscar Asensiode la Cruza, Javier Blanco Gonzálezb, Antonio Moreno Galdóc, Javier Pérez Fríasd, Antonio Salcedo Posadase, Lidia Sanz Borrellf
  • 21.
    Fisiología deacumulación de líquido: *Microvasculatura sistémica *Espacio pleural *Presión hidrostática: **** Pleura parietal (30 cm. H2O) **** Pleura visceral (10 cm. H2O) *Presión oncótica: 25cm de H2O *Principal vía de drenaje: linfático DERRAME PLEURAL Fraser- Muler. Diagnostico de las enfermedades del torax. Volumen IV 2002
  • 22.
    Fisiologia deacumulación de liquido: Trasudado: Ultrafiltrado del plasma Presión hidrostatica Presión oncótica Alteraciones en circulación sistémica Exudado: Permeabilidad vasos pleurales a proteínas. Obstrucción de vasos linfáticos Enfermedades de la pleura DERRAME PLEURAL Fraser- Muler. Diagnostico de las enfermedades del torax. Volumen IV 2002
  • 23.
  • 24.
    Inspección Abombamiento delhemitórax correspondiente al área localizada del derrame (necesita 1 lt ó más para abombar) Disminución de la expansión torácica Aumento de frecuencia respiratoria
  • 25.
    Palpación Revela disminuciónde la elasticidad y expansión Abolición marcada o por completo de las vibraciones vocales (frémito vocal)
  • 26.
  • 27.
    Percusión Matidez intensao hídrica (curva parabólica o de Damoiseau): depende de la cantidad de derrame Se debe percutir desde la base hacia arriba El ruido normal a la percusión del tórax es resonante.
  • 28.
  • 29.
    Auscultación Desaparición delmurmullo vesicular en zonas sobre el derrame (no se oye nada). Por arriba del derrame se puede oír ruido vesicular, en la parte libre del pulmón que está funcionando.
  • 30.
  • 31.
    DIAGNÓSTICO CLÍNICOM. Navarro Merino, G. Pérez Pérez, L. Bardallo Cruzado, M.M. Romero Pérez. Derrame pleural paraneumónico IGUALES A LA NAC: Fiebre. Tos. Dolor torácico. Taquipnea. Sospechar la presencia de un derrame paraneumónico si la fiebre persiste más de 48 horas después de haber iniciado el tratamiento antibiótico de una neumonía . Si el derrame es importante puede aparecer disnea de esfuerzo o de reposo y signos de dificultad respiratoria.
  • 32.
  • 33.
    DIAGNÓSTICO POR IMAGENOLOGÍA Oscar Asensio de la Cruza, Javier Blanco Gonzálezb, Antonio Moreno Galdóc, Javier Pérez Fríasd, Antonio Salcedo Posadase, Lidia Sanz Borrellf Radiografía PA y L : hallazgo típico del derrame pleural: obliteración del ángulo costofrénico posterior que da una imagen de menisco , bien notorio > de 175 ml de líquido .
  • 34.
    RADIOLOGIA: Detectala presencia del derrame y sugiere su etiología En la radiografía PA y lateral, el hallazgo típico del derrame pleural es la obliteración del ángulo costofrénico posterior (imagen de menisco). Un derrame masivo produce desviación contra lateral del mediastino; la causa más frecuente es la malignidad
  • 35.
    RADIOLOGIA: Seobservan hallazgos atípicos: aplanamiento o desplazamiento en la cúpula aumento de la distancia del diafragma a la burbuja gástrica (2 cm) u opacidad eliptoidea o &quot;pseudotumor&quot;. La proyección en decúbito lateral ayuda en casos de duda. Importante cuando se va a puncionar (seguridad). .
  • 36.
  • 37.
  • 38.
    Signo de DaimasseauEllis Manual de Urgencias Hospital Toledo 2010 3ra ED
  • 39.
    Densa opacidad enbase derecha con borramiento del hemidiafragma correspondiente y la parrilla costal
  • 40.
    Hemitorax derecho: Derramepleural Hemitorax Izquierdo: Derrame sub pulmonar
  • 41.
    Derrame subpulmonar: Opacificacióncomo velo en hemitorax izquierdo Elevación del hemidiafrágma Desplazamiento de la cúpula gástrica
  • 42.
  • 43.
    Donnely E. F. MD. PhD. ;Medical Student’s Guide to Plain Chest Film 2006; 1ra ED ISBN 1-4116-9538-0
  • 44.
  • 45.
  • 46.
  • 47.
  • 48.
  • 49.
    Toracentesis y análisisdel líquido pleural. Requiere menos de 30 ml de líquido. En derrames enquistados es útil la ecografía para localizar con precisión el líquido, y con ello hacer la toracentesis más fácil y sin riesgos
  • 50.
    TABLA # 2ESTUDIO DIFERENCIAL DE LOS DERRAMES PLEURALES TRASUDADO EXUDADO APARIENCIA CLARO, PAJA TURBIO, PURULENTO, HEMORRAGICO GRAVEDAD ESPECÍFICA Menor de 1015 Más de 1015 PROTEINAS TOTALES Menor de 3.0 g/DL Más de 3.0 g/DL RELACIÓN PROTEÍNA LÍQUIDO PLEURAL/SUERO Menor de 0.5 Más de 0.5 DEHIDROGENASA LÁCTICA Menor de 2/3 del suero Más de 2/3 de LDH sérica RELACIÓN DE LDH PLEURAL/SUERO Menor de 0.6 Más de 0.6 COLESTEROL Menor de 45 mg/dl Más de 45 mg/dl RELACIÓN COLESTEROL PLEURAL/SUERO Menor de 0.3 Más de 0.3 GRADIENTE DE ALBUMINA SUERO/PLEURA > 1.2 g/dl Menor de 1.2 g/dl
  • 51.
  • 52.
  • 53.
    Está indicada latoracocentesis en todos los pacientes con DP de etiología desconocida y volumen suficiente: distancia superior a 1 cm entre la línea del DP y la pared torácica en la radiografía de tórax en decúbito homolateral (D). La guía ecográfica de la toracocentesis es útil en DP pequeño o loculado (C). No es imprescindible hacer una radiografía de tórax tras la toracocentesis salvo si se sospecha que se ha producido un neumotórax (D). Se debe valorar la apariencia y olor del LP (D). La determinación de pH, proteínas, LDH y recuento y fórmula leucocitaria están indicadas en los DP no purulentos (B). PUNTOS CLAVE MBE
  • 54.
    Otros parámetros bioquímicosen LP o su relación con el suero son también útiles en la valoración de estos pacientes: glucosa, colesterol, triglicéridos, albúmina, ADA o IFN- γ (D). Los estudios citológicos del LP están indicados en todos los DP, y su repetición aumenta la sensibilidad (C). Se deben remitir al menos 4 muestras de biopsia pleural para análisis histológico, y una para cultivo de  M. tuberculosis  (D). Si las pruebas menos invasivas no son diagnósticas, se debe considerar la indicación de una toracoscopia (C). La broncofibroscopia está indicada si hay síntomas pulmonares o alteraciones radiológicas en el parénquima pulmonar (C).
  • 55.
  • 56.
    El tratamiento antibióticopor vía intravenosa está indicado en todos los casos y su duración se hará sobre la base de la evolución del paciente , teniendo en cuenta que gérmenes intracelulares o con capacidad de fácil reproducción se trataran como mínimo 14 días. El tratamiento empírico incluirá antibióticos efectivos contra  Streptococcus pneumoniae  y  Staphylococcus aureus . cefuroxima (150 mg/[kg · día], 3 subdosis) cefotaxima (200 mg/[kg · día], 4 subdosis) ceftriaxona (100 mg/[kg · día], 2 subdosis) La utilización de la vancomicina (40 mg/[kg · día], 4 subdosis), sólo se usará en casos que provengan de áreas donde el  Staphylococcus aureus , resistente a la meticilina, es endémico ( Rec C) . Piriz Assa Alberto Rubén, Trinchet Soler Rafael, Varela Carlos Trinchet, Iparraguirre Góngora Oriberto, Arenado Duran Alexander. Derrame pleural complicado en el niño: guía práctica cubana. Rev Cubana Pediatr  [revista en la Internet]. 2009  Mar [citado  2011  Nov  24] ;  81(1): . Disponible en: http://scielo.sld.cu/scielo.php?script=sci_arttext&pid=S0034-75312009000100011&lng=es.
  • 57.
    En pacientes quetengan un aislamiento de un germen con antibiograma se cambiará el tratamiento  (Rec C) , si es: Streptococcus pneumoniae   sensible a la penicilina: penicilina cristalina, 500 000 a 1 000 000 U/(kg · día). Streptococcus pneumoniae   resistente a la penicilina: cefuroxima, 150 mg/(kg · día) en 3 subdosis o cefotaxima, 200 mg/(kg · día) en 4 subdosis o ceftriazona, 100 mg/(kg · día) en 2 subdosis. Staphylococcus aureus   sensible al oxacilina: cefazolina, 100 mg/(kg · día) en 3 subdosis o cefuroxima, 150 mg/(kg · día) en 3 subdosis o trifamox 100 mg/(kg · día) en 2 subdosis. Streptococcus pneumoniae   resistente a oxacilina y  Staphylococcus aureus  resistente a oxacillin: vancomicina, 40 mg/(kg · día) en 4 subdosis.
  • 58.
    Pseudomonas aeruginosa : ceftazidima, 200 mg/(kg · día) en 3 subdosis. Streptococcus pyogenes : cefazolina, 100 mg/(kg · día) en 3 subdosis o cefuroxima, 150 mg/(kg · día) en 3 subdosis o cefalosporinas de tercera generación en las dosis antes mencionadas. Streptococcus pyogenes   resistentes a cefalosporinas: vancomicina 40 mg/(kg · día) en 4 subdosis. Candida : anfotericin B, comenzar con 0,25 mg/(kg · día), incrementar las dosis hasta 1 mg/(kg · día), luego utilizar días alternos, según la respuesta pasar a fluconazol 6 a 3 mg/(kg · día), vía oral por 3 semanas.
  • 59.
  • 60.
  • 61.
  • 62.
  • 63.
    CONTRAINDICACIONES COMPLICACIONES Nohay absolutas, solo relativas Plaquetas <50.000/mm3 TP o PTT 2 veces el control Ventilación mecánica Paciente que no colabora o se rehúsa Derrames menores a 10mm en Rx decúbito-lateral Si dolor torácico, disnea o tos durante el procedimiento, interrumpirlo Usar guía por ecografía si derrame loculado o paciente embarazada Notas Reacción vagal (10%) Neumotórax (3-8%) Mason: Murray and Nadel's Textbook of Respiratory Medicine, 5th ed. 2010
  • 64.
    1) Segado A,Rodriguez Panadero F. Fisiopatología de la pleura: Manejo del derrame pleural. En Manual de Neumología y Cirugia Torácica. Caminero JA, Fernandez Fau L (eds.). Madrid; SEPAR. 1998: 1671-1684. 2) DeLuca A, Kurland G. Empyema in children: epidemiology, diagnosis and management. Seminars in Pediatrics Infectious Diseases 1998; 9 : 205-211. 3) Hamm H, Light RW. Parapneumonic effusion and empyema. Eur Respir J 1997; 10: 1150- 1156. 4) Sahn SA. The pleura. Am Rev Respir Dis 1988; 138: 184-234. 5) Light RW. Parapneumonic effusions and empyema. En: Light RW, ed. Pleural diseases. 3ª ed. Baltimore, MD: Williams & Wilkins; 1995: 129-153. 6) Sahn SA. Management of complicated parapneumonic effusions and empyema. Am Rev Respir Dis 1993; 148: 813-817. 7) Freij B, Kusmiesz H, Nelson JD, McCracken GH. Parapneumonic effussions and empyema in hospitalized children: a retrospective review of 277 cases. Pediatr Infect Dis J 1984; 3: 578-592. 8) Brémont F, Baunin C, Juchet A et al. Evolution clinique et traitement d l’empyème pleural chez l’enfant. Arch Pediatr 1996; 3 :335-341. 9) Sarihan H, Cahy A, Aynaci M, Akyazici R, Baki A. Empyema in children. J Thorac Cardiovasc Surg 1998; 39: 113-116. 10) Hardie WD, Roberts NE, Reising SF, Cristie CDC. Complicated parapneumonic effusions in children caused by penicillin-nonsusceptible Streptococcus pneumoniae. Pediatrics 1998; 101: 388-392. REVISIÓN BIBLIOGRAFICA