Nayudel Acuña Rodríguez
Universidad Latina de Costa Rica
Fisiología
“Acumulación anormal y rápido desarrollo de
 líquido en los componentes extravasculares
del pulmón que impide la normal oxigenación
   de la sangre y ocasiona hipoxia tisular”.
1. Cardiogénico
Trastornos hemodinámicos

  Sobrehidratación
  Arritmias
  Miocarditis
  IAM
  Estenosis mitral
  IC Izquierda
  Insuficiencia renal
  Hipertensión severa
  Embolismo pulmonar
2. No Cardiogénico
Aumento de la permeabilidad capilar.
Lesión de microcirculación.
         Inhalación de tóxicos / Uso drogas
         Reacciones inmunológicas
         Infecciones
         Neumonía
         SDR
         Edema de altura
         Obstrucción de vías respiratorias
         Neumotórax
Aumento de la presión
hidrostática.
•   Insuficiencia Cardiaca.
•   Estenosis Mitral.
•   Sobrecarga de volumen.
•   Obstrucción de la vena cava.


Disminución de la presión
coloidosmótica.
• Hepatopatías con insuficiencia
  hepática.
• Síndrome nefrótico.
• Enteropatías con pérdida de
  proteínas.
Disnea severa, Diaforesis

                            Esputo “rojizo, espumoso

                            Cianosis

                            Manifestaciones propias de
                            la enfermedad desencadenante



 Ortopnea

 Estertores crepitantes,
 sibilancias, roncus
Ingurgitación yugular

Hepatomegalia

Taquicardia, Ritmo Galope

Uso mm accesorios, agitación

Edema periférico
Ingurgitación yugular
Exposición a alturas mayores a 2700m sobre nivel
del mar.

Factores de riesgo:
   Ascenso rápido
   Ingesta excesiva de sal
   Ejercicio pesado
   Residir a una altura menor
   a 900 m SNM
   Niños son más susceptibles que adultos y
   también los hombres.

Volumen corriente se aumenta
Quimiorreceptores cambian umbral
Presión hidrostática aumenta
Vasoconstricción de vasos arteriales pulmonares.

 Clínica:                      Examen físico:
    Disnea                     Cianosis
    Hemoptisis                 Taquicardia
    Debilidad                  Estertores húmedos
    Dolor retroesternal        Fiebre

 EKG inespecífico
 Rx característica de EAP
 Gases arteriales presentan alcalosis e hipoxia
Posición semi - fowler

Oxigeno

Diuréticos

Vasodilatadores

Morfina

Inotrópicos positivos

Antibióticos

Monitoreo
Oximetría / gases arteriales

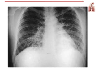
Radiografía de tórax
 Bordes imprecisos
Imagen de mariposa
Cefalización
Líneas de Kerley


EKG           /        Ecocardiograma
 Lesión coronaria aguda
 Elevación de ST
 Aparición de onda Q significativa
 Hipertrofia ventrículo y/o atrio IZQ


Marcadores de lesión cardiaca

Cateterismo DER cardiaco
Hipertrofia de ventrículo y atrio IZQ
Lesión miocárdica
Gracias !!!

Edema Agudo de Pulmon

  • 1.
    Nayudel Acuña Rodríguez UniversidadLatina de Costa Rica Fisiología
  • 4.
    “Acumulación anormal yrápido desarrollo de líquido en los componentes extravasculares del pulmón que impide la normal oxigenación de la sangre y ocasiona hipoxia tisular”.
  • 6.
    1. Cardiogénico Trastornos hemodinámicos Sobrehidratación Arritmias Miocarditis IAM Estenosis mitral IC Izquierda Insuficiencia renal Hipertensión severa Embolismo pulmonar
  • 8.
    2. No Cardiogénico Aumentode la permeabilidad capilar. Lesión de microcirculación. Inhalación de tóxicos / Uso drogas Reacciones inmunológicas Infecciones Neumonía SDR Edema de altura Obstrucción de vías respiratorias Neumotórax
  • 12.
    Aumento de lapresión hidrostática. • Insuficiencia Cardiaca. • Estenosis Mitral. • Sobrecarga de volumen. • Obstrucción de la vena cava. Disminución de la presión coloidosmótica. • Hepatopatías con insuficiencia hepática. • Síndrome nefrótico. • Enteropatías con pérdida de proteínas.
  • 13.
    Disnea severa, Diaforesis Esputo “rojizo, espumoso Cianosis Manifestaciones propias de la enfermedad desencadenante Ortopnea Estertores crepitantes, sibilancias, roncus
  • 14.
    Ingurgitación yugular Hepatomegalia Taquicardia, RitmoGalope Uso mm accesorios, agitación Edema periférico
  • 16.
  • 18.
    Exposición a alturasmayores a 2700m sobre nivel del mar. Factores de riesgo: Ascenso rápido Ingesta excesiva de sal Ejercicio pesado Residir a una altura menor a 900 m SNM Niños son más susceptibles que adultos y también los hombres. Volumen corriente se aumenta Quimiorreceptores cambian umbral Presión hidrostática aumenta
  • 19.
    Vasoconstricción de vasosarteriales pulmonares. Clínica: Examen físico: Disnea Cianosis Hemoptisis Taquicardia Debilidad Estertores húmedos Dolor retroesternal Fiebre EKG inespecífico Rx característica de EAP Gases arteriales presentan alcalosis e hipoxia
  • 21.
    Posición semi -fowler Oxigeno Diuréticos Vasodilatadores Morfina Inotrópicos positivos Antibióticos Monitoreo
  • 22.
    Oximetría / gasesarteriales Radiografía de tórax Bordes imprecisos Imagen de mariposa Cefalización Líneas de Kerley EKG / Ecocardiograma Lesión coronaria aguda Elevación de ST Aparición de onda Q significativa Hipertrofia ventrículo y/o atrio IZQ Marcadores de lesión cardiaca Cateterismo DER cardiaco
  • 28.
    Hipertrofia de ventrículoy atrio IZQ Lesión miocárdica
  • 30.