IMPETIGO
Clínicamente es
imposible distinguir el
impétigo
estafilocócico del
estreptocócico
(actualmente 80% por
estafilococo, 15%
ambos y entre un 15-
20% estreptococo).
Altamente contagioso, se
propaga fácilmente por
contacto directo. Máxima
incidencia entre los 2 y 6
años. Existen dos formas
clásicas: impétigo no
ampolloso e impétigo
ampolloso.
Infección cutánea
superficial causada
por Streptococcus
pyogenes,
Staphylococcus
aureus o ambos.
IMPETIGO
IMPÉTIGO NO
AMPOLLOSO
(MICROVESICULOSO O
CONTAGIOSO)
Suele iniciarse en zonas de
traumatismos mínimos
(picaduras insecto, heridas
superficiales, lesiones de
varicela).
Las lesiones características son
pequeñas pápulas eritematosas
que rápidamente evolucionan a
una vesícula de pared delgada y
base eritematosa, se rompen
rápidamente y forman un
exudado que se seca formando
costras amarillentas melicéricas.
Las lesiones suelen propagarse por
autoinoculación dando lesiones
satélites. No es infrecuente la
presencia de adenopatías locales.
Representa la forma
más frecuente(más del
70%).
IMPETIGO
IMPETIGO
IMPÉTIGO AMPOLLOSO
Predomina en niños pequeños
Siempre causado por S. aureus y es el resultado de la acción
de una toxina epidermolítica.
Aparecen ampollas superficiales de paredes lisas con
contenido inicialmente transparente y más tarde turbio
La ampolla se rompe con facilidad dejando una superficie erosiva
eritematosa con apariencia exudativa que se cubre de una costra fina.
Las lesiones aparecen agrupadas en número de 3 a 6 limitadas a una
zona.
Representa la forma localizada del síndrome de la piel escaldada por estafilococos.
Aunque las lesiones pueden asentarse en cualquier área de la superficie corporal, lo más
frecuente es que aparezcan en zonas expuestas de la cara, alrededor de los orificios de la
boca o nariz y en las extremidades.
Existe una tendencia a la curación espontánea sin cicatriz pero
pueden dejar hipopigmentación residual.
IMPETIGO
IMPETIGO
Se basa en el aspecto clínico de las lesiones costras melicéricas
o ampollas flácidas con superficie erosiva.
Impétigo no ampolloso: debe establecerse con el herpes
simple, la tiña de piel lampiña y el eczema agudo
DIAGNÓSTICO
La confirmación se realizará mediante gram y cultivo del
contenido líquido o de la superficie de la lesión.
DIAGNÓSTICO DIFERENCIAL
Impétigo ampolloso: debe establecerse con la necrolisis epidérmica tóxica por
fármacos, picaduras con reacción ampollosa y la epidermolisis ampollosa.
IMPETIGO
1. Buena higiene general y recortar uñas.
2. La eliminación de la costras y la utilización de antisépticos tópicos no ha demostrado evidencia
clínica en la última revisión Cochrane.
3. Tratamiento antimicrobiano tópico. Existen múltiples preparados pero dos destacan por su
actividad y tolerancia. a. Ácido Fusídico 2-3 día, 7-10 días b. Mupirocina Limitan la transmisión y son
el tratamiento de elección en las formas localizadas. Consiguen altas concentraciones en estrato
córneo y no se han descrito resistencias cruzadas con otros antibióticos. Cuando hay que tratar
portadores nasales de estafilococo deben utilizarse preparados que no contengan propilenglicol
(irrita las mucosas).
4. Antibióticos sistémicos, producen una curación más rápida y evitan la enfermedad supurada más
profunda.
Indicaciones:
 Formas de impétigo con múltiples lesiones o de gran extensión
 Localizaciones difíciles de tratar (zonas periorales, pliegues)
 Si existen factores subyacentes como dermatitis atópica o diabetes.
 Si afecta a varios miembros familiares o escolares.
TRATAMIENTO
Se deben prescribir antibióticos sistémicos efectivos frente a estafilococo y estreptococo:
cefadroxilo, amoxicilina+clavulánico, penicilina o amoxicilina (si es estreptocócico), cloxacilina (si
es estafilocócico), o macrólidos en casos de hipersensibilidad a betalactámicos.
SINDROMEESTAFILOCOCICODELA
PIELESCALDAD
Provocando una separación intraepidérmica
dentro del estrato granuloso de la piel.
El Síndrome de la Piel Escaldada
Estafilocóccica o Enfermedad de Ritter (RN).
Es una grave afección cutánea de repercusión sistémica
producida por las exfoliotoxinas que elaboran
determinadas cepas de Stafilococcus aureus
fundamentalmente en niños menores de 5 años.
PATOGENIA producida por la toxina exfoliativa tipo Ay B (ETAy ETB) del
Stafilococcus aureus grupo II,
La infección aparece principalmente en los meses calurosos.
Se inicia como una infección localizada: ombligo, periorificial (boca, ojos o ano).
En neonatos se inicia con una conjuntivitis purulenta, infección nasofaríngea o el ombligo
infectado
CLINICA
Comienza 2-5 días después del eritema. Desprendimiento de
grandes formaciones laminares escamocostrosas de tinte
blanco-amarillento que, una vez en proceso de curación, no
dejan secuelas cicatrizales. Curacion en 10-14 dias
SINDROMEESTAFILOCOCICODELA
PIELESCALDAD CLINICA
TRES ETAPAS
1. FASE ERITRODÉRMICA
Hiperestesia cutánea manifiesta con dolor difuso, irritabilidad y
llanto con sólo palpar la piel con gentileza; ocurre un
enrojecimiento brillante diseminado con siembra posterior de
pequeños elementos papulosos, adoptando un aspecto
escarlatiniforme más evidente en áreas flexurales y peribucal.
2.FASE AMPOLLOSA
Placas ampulares serosas estériles y traslúcidas difusas que al
romperse dejan extensas zonas erosivodenudadas húmedas. Se
documenta el signo de Nikolsky con separación de las capas
intraepidérmicas frente a la suave fricción digitomanual oblicua
periférica
3. FASE DESCAMATIVA
eritrodermia con aparición de ampollas, descamación posterior y áreas denudadas
de la piel de tipo quemaduras o escaldaduras.
SINDROMEESTAFILOCOCICODELA
PIELESCALDAD CLINICA Existen tres formas clínicas
GENERALIZADA O ENFERMEDAD DE RITTER
Descamacion superficial
Exantema máculo- ténue, anaranjado rojizo, asociado a
conjuntivitis purulenta, otitis media o infección inaparente de
la nasofaringe
Dolor cutáneo a la compresión
Acentuación periorificial y áreas de flexión
Nikolsky POSITIVO
24 a 48h rash escarlatiniforme a ampollar
Ampollas flácidas, grandes alrededor de orificios, axilas, ingles
Base húmeda eritematosa,escaldadura generalizada
IMPÉTIGO BULLOSO (FORMA LOCALIZADA)
SINDROMEESTAFILOCOCICODELA
PIELESCALDAD
Sin diseminación
hematógena de
la toxina
Es la forma
más frecuente
y leve del
síndrome
Lesiones
tempranas:
Vesículas o
flictenas, líquido
turbio y borde
eritematoso
Pueden localizarse
a cualquier nivel
siendo típica la
afectación del área
del pañal en el
recién nacidos
Gram y cultivos
de flictenas
muestran
estafilococos
Dolor cutáneo
a la
compresión
AUSENTE, No
Nikolsky
SINDROMEESTAFILOCOCICODELA
PIELESCALDAD FORMA ESCARLATINIFORME
se debe
probablemente a
mutaciones en la
exotoxina, que pierde
su actividad
epidermolítica.
Eritrodermia temprana y
descamación final -Enf.
Ritter.
NO se produce el
estadio AMPOLLAR
La Deshidratación y los trastornos hidroelectrolíticos son las complicaciones
más frecuentes sobre todo si el área de piel denudada es extensa y se
convierte en puerta de entrada de gérmenes que pueden originar una sepsis,
neumonías, celulitis, fascitis necrotizantes. Las infecciones graves tales como
sepsis son raras.
SINDROMEESTAFILOCOCICODELA
PIELESCALDAD
SINDROMEESTAFILOCOCICODELA
PIELESCALDAD
MANIFESTACIONES CLINICAS
SINDROMEESTAFILOCOCICODELA
PIELESCALDAD
DIAGNOSTICO
El diagnóstico es fundamental y habitualmente clínico, ya que
no existen alteraciones analíticas específicas.
La biopsia cutánea permite aclarar el diagnóstico en los casos dudosos, no
demostrando necrosis ni signos inflamatorios, a diferencia del principal
diagnóstico diferencial, la Necrólisis Epidérmica tóxica
SINDROMEESTAFILOCOCICODELA
PIELESCALDAD
DX DIFERENCIAL
SINDROMEESTAFILOCOCICODELA
PIELESCALDAD
DX DIFERENCIAL
SINDROMEESTAFILOCOCICODELA
PIELESCALDAD
TRATAMIENTO
En las formas leves y localizadas, sin afectación del estado general, se recomienda el tratamiento ambulatorio,
con un antibiótico antiestafilocócico, en nuestro medio se dispone de la cefalexina, cefadroxilo, amoxicilina
más sulbactam o clavulanato.
Si un niño tiene fiebre y exfoliación extensa, con mal estado general, deshidratado, su ingreso en el hospital es
aconsejable. Se inicia antibiótico endovenoso específico (de preferencia oxacilina) y evaluar cobertura de Gram
negativos si se sospecha una sepsis sobreagregada.
Otro aspecto fundamental del tratamiento son las medidas de soporte: El aporte adecuado de líquidos para evitar
la deshidratación y el uso de analgesia
La antibioterapia tópica no se recomienda en las lesiones cutáneas, aunque debe utilizarse si existe
conjuntivitis asociada, rinitis purulenta o costras melicéricas.
El niño debe ser atendido en un ambiente cálido, limpio, con un mínimo de ropa. Un emoliente, tal como
una mezcla de 50 de parafina blanda blanco y parafina líquida, puede aplicarse a las lesiones para reducir
la pérdida de fluidos y calmar el área
Los emolientes deben ser aplicados hasta que se haya producido la cicatrización completa. Si una lesión debe
ser cubierta, un apósito no adherente debe ser aplicado y asegurado con un vendaje. No se debe utilizar cinta
adhesiva
SINDROMEESTAFILOCOCICODELA
PIELESCALDAD
ESCABIOSIS DEFINICION Es una infección causada por Sarcopetes scabiei variedad hominis,
ectoparásito de 8 patas perteneciente a Pbyllum Artbropoda.
INCIDENCIA
TRANSMISION
 Incidencia mundial :300 millones de casos anuales
 Incidencia en menores de 5 años: 952/1000 niños al año.
 Mas frecuente en época invernal
La dermatosis es muy contagiosa
Contagio suele ser directo: de persona a persona.
(lugares hacinados, guarderías, orfanatos)
Contagio indirecto mediante
fómites( sabanas, toallas y ropas)
Los ácaros alcanzan el estadio adulto en 3 semanas y son
capaces de reiniciar el ciclo.
El periodo de incubación de la sarna es de 1 a 3 semanas.
Las hembras del parásito son capaces de poner entre 10 y 40
huevos que maduran en 1 semana.
ESCABIOSIS
CLINICA
El síntoma fundamental es el prurito de predominio nocturno.
Inicialmente es localizado y en pocos días se generaliza.
En lactantes menores de 2 ó 3 meses, el prurito puede estar
ausente.
Los sitios más comprometidos en lactantes son manos (pliegues interdigitales), pies
y piel cabelluda, seguidos por tronco, piernas y brazos.
Las lesiones patognomónicas son el surco y la pápula acarina .El primero consiste
en una elevación lineal de la piel de pocos milímetros de longitud que
corresponde al túnel subcórneo excavado por la hembra del ácaro, capaz de
desplazarse unos 5 mm cada día.
El prurito y el dolor ocasionado por la impetiginización en los espacios interdigitales
impide que el paciente junte los dedos (signo del cirujano).
En escolares se observan tronco y extremidades .
En preescolares (2-6 años) las lesiones suelen involucrar manos –especialmente pliegues
interdigitales ,pies, tronco y extremidades.
ESCABIOSIS
ESCABIOSIS DIAGNOSTICO
Suele ser suficiente con la clínica: erupción generalizada muy
pruriginosa, de predominio nocturno .
El diagnóstico de certeza se basa en la visualización del ácaro, de
sus heces (escíbalos) y/o de los huevos. Para ello se debe
depositar una gota de aceite en la piel, rascar la pápula acarina
con un bisturí del número 15 y realizar una ex tensión en un
portaobjetos (prueba de Müller).
Al examen microscópico, Sarcoptes scabiei tiene una forma
hemiesférica y 4 pares de patas .También es posible intuir la
presencia del parásito in situ mediante microscopía de
epilumiscencia utilizando un dermatoscopio.
La biopsia cutánea de las pápulas acarinas puede poner de
manifiesto la presencia del túnel subcórneo con el parásito en
su interior, así como una dermatitis espongiótica con
abundantes eosinófilos.
ESCABIOSIS TRATAMIENTO TOPICO
EL AZUFRE PRECIPITADO en concentración de 5% está indicado en niños de 1 año. La aplicación consiste de
frotación durante 30 minutos y lavado posterior, repitiendo cada 6 horas durante 3 días. El tratamiento
habrá de repetirse al cabo de una semana.
CROTAMITÓN crema 10% suele enjuagarse hasta 24 horas después de su aplicación, repitiendo la aplicación 10
a 14 días después. Su eficacia como escabicida es escasa y el uso en niños y mujeres embarazadas es
cuestionable, por lo que no debe utilizarse como monoterapia
EL BENZOATO DE BENCILO puede usarse en niños menores de 5 años en concentración de 12.5% Se ha
demostrado que benzoato de bencilo mata los ácaros más rápidamente que permetrina 5%, por lo que es
recomendable en pacientes con escabiosis costrosa
PERMETRINA crema 5% se aplica por frotación durante 30 minutos, dejando actuar durante 8 horas. Es la
sustancia de elección en numerosos países por su buen perfil clí- nico y alta eficacia.25 Su absorción cutánea es
muy escasa y se elimina completamente en una semana, está indicada en niños mayores de 2 meses de edad.
IVERMECTINA loción 1%. Se prepara diluyendo 1 gramo de ivermectina en 100 ml de propilenglicol. Debe
aplicarse en todo el cuerpo con frotación durante 30 minutos, dejando que actúe 8 horas. aplicar una segunda
dosis después de 7 a 14 días de la aplicación inicial
Las complicaciones más frecuentes de esta terapia son eccema post-Escabiosis,
hiperpigmentación post-inflamatoria y prurigo nodular. Se recomienda indicar emolientes,
urea y esteroides una vez terminado el tratamiento, así como en casos de escabiosis
nodular
ESCABIOSIS
TRATAMIENTO SISTEMICO
Ivermectina : La dosis recomendada es de 200 µg/kg de peso, en dos dosis, con intervalos de
10 a 15 días. Transcurrido un mes después de la segunda dosis, 98-99% de los pacientes logran
la remisión clínica y alivio del prurito. Ivermectina es segura en niños mayores de 2 años o con
más de 15 kg de peso corporal
ESCABIOSIS
OTRAS MEDIDAS
La ropa de vestir, las sábanas, almohadas, camas y/o hamacas utilizadas 3 o 4 días antes del contacto,
deben ser lavadas y retiradas durante, por lo menos, 3 días o bien, puestas a secar (una sola vez) a
temperatura de 60 C por espacio de 10 minutos, antes de volver a utilizarlas
No se recomienda aislar al paciente que presenta la variante clásica, pues el ácaro no vive fuera del
huésped humano de manera que tampoco resulta útil fumigar la casa. En cambio, en la variedad
costrosa habrá que evaluar la necesidad de aislamiento y tratamiento intrahospitalario, así como el uso
de insecticidas piretroides en el ámbito doméstico
ENFERMEDADES CUTÁNEAS PEDIÁTRICAS.

ENFERMEDADES CUTÁNEAS PEDIÁTRICAS.

  • 2.
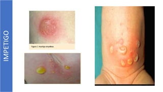
    IMPETIGO Clínicamente es imposible distinguirel impétigo estafilocócico del estreptocócico (actualmente 80% por estafilococo, 15% ambos y entre un 15- 20% estreptococo). Altamente contagioso, se propaga fácilmente por contacto directo. Máxima incidencia entre los 2 y 6 años. Existen dos formas clásicas: impétigo no ampolloso e impétigo ampolloso. Infección cutánea superficial causada por Streptococcus pyogenes, Staphylococcus aureus o ambos.
  • 3.
    IMPETIGO IMPÉTIGO NO AMPOLLOSO (MICROVESICULOSO O CONTAGIOSO) Sueleiniciarse en zonas de traumatismos mínimos (picaduras insecto, heridas superficiales, lesiones de varicela). Las lesiones características son pequeñas pápulas eritematosas que rápidamente evolucionan a una vesícula de pared delgada y base eritematosa, se rompen rápidamente y forman un exudado que se seca formando costras amarillentas melicéricas. Las lesiones suelen propagarse por autoinoculación dando lesiones satélites. No es infrecuente la presencia de adenopatías locales. Representa la forma más frecuente(más del 70%).
  • 4.
  • 5.
    IMPETIGO IMPÉTIGO AMPOLLOSO Predomina enniños pequeños Siempre causado por S. aureus y es el resultado de la acción de una toxina epidermolítica. Aparecen ampollas superficiales de paredes lisas con contenido inicialmente transparente y más tarde turbio La ampolla se rompe con facilidad dejando una superficie erosiva eritematosa con apariencia exudativa que se cubre de una costra fina. Las lesiones aparecen agrupadas en número de 3 a 6 limitadas a una zona. Representa la forma localizada del síndrome de la piel escaldada por estafilococos. Aunque las lesiones pueden asentarse en cualquier área de la superficie corporal, lo más frecuente es que aparezcan en zonas expuestas de la cara, alrededor de los orificios de la boca o nariz y en las extremidades. Existe una tendencia a la curación espontánea sin cicatriz pero pueden dejar hipopigmentación residual.
  • 6.
  • 7.
    IMPETIGO Se basa enel aspecto clínico de las lesiones costras melicéricas o ampollas flácidas con superficie erosiva. Impétigo no ampolloso: debe establecerse con el herpes simple, la tiña de piel lampiña y el eczema agudo DIAGNÓSTICO La confirmación se realizará mediante gram y cultivo del contenido líquido o de la superficie de la lesión. DIAGNÓSTICO DIFERENCIAL Impétigo ampolloso: debe establecerse con la necrolisis epidérmica tóxica por fármacos, picaduras con reacción ampollosa y la epidermolisis ampollosa.
  • 8.
    IMPETIGO 1. Buena higienegeneral y recortar uñas. 2. La eliminación de la costras y la utilización de antisépticos tópicos no ha demostrado evidencia clínica en la última revisión Cochrane. 3. Tratamiento antimicrobiano tópico. Existen múltiples preparados pero dos destacan por su actividad y tolerancia. a. Ácido Fusídico 2-3 día, 7-10 días b. Mupirocina Limitan la transmisión y son el tratamiento de elección en las formas localizadas. Consiguen altas concentraciones en estrato córneo y no se han descrito resistencias cruzadas con otros antibióticos. Cuando hay que tratar portadores nasales de estafilococo deben utilizarse preparados que no contengan propilenglicol (irrita las mucosas). 4. Antibióticos sistémicos, producen una curación más rápida y evitan la enfermedad supurada más profunda. Indicaciones:  Formas de impétigo con múltiples lesiones o de gran extensión  Localizaciones difíciles de tratar (zonas periorales, pliegues)  Si existen factores subyacentes como dermatitis atópica o diabetes.  Si afecta a varios miembros familiares o escolares. TRATAMIENTO Se deben prescribir antibióticos sistémicos efectivos frente a estafilococo y estreptococo: cefadroxilo, amoxicilina+clavulánico, penicilina o amoxicilina (si es estreptocócico), cloxacilina (si es estafilocócico), o macrólidos en casos de hipersensibilidad a betalactámicos.
  • 9.
    SINDROMEESTAFILOCOCICODELA PIELESCALDAD Provocando una separaciónintraepidérmica dentro del estrato granuloso de la piel. El Síndrome de la Piel Escaldada Estafilocóccica o Enfermedad de Ritter (RN). Es una grave afección cutánea de repercusión sistémica producida por las exfoliotoxinas que elaboran determinadas cepas de Stafilococcus aureus fundamentalmente en niños menores de 5 años. PATOGENIA producida por la toxina exfoliativa tipo Ay B (ETAy ETB) del Stafilococcus aureus grupo II, La infección aparece principalmente en los meses calurosos. Se inicia como una infección localizada: ombligo, periorificial (boca, ojos o ano). En neonatos se inicia con una conjuntivitis purulenta, infección nasofaríngea o el ombligo infectado CLINICA
  • 10.
    Comienza 2-5 díasdespués del eritema. Desprendimiento de grandes formaciones laminares escamocostrosas de tinte blanco-amarillento que, una vez en proceso de curación, no dejan secuelas cicatrizales. Curacion en 10-14 dias SINDROMEESTAFILOCOCICODELA PIELESCALDAD CLINICA TRES ETAPAS 1. FASE ERITRODÉRMICA Hiperestesia cutánea manifiesta con dolor difuso, irritabilidad y llanto con sólo palpar la piel con gentileza; ocurre un enrojecimiento brillante diseminado con siembra posterior de pequeños elementos papulosos, adoptando un aspecto escarlatiniforme más evidente en áreas flexurales y peribucal. 2.FASE AMPOLLOSA Placas ampulares serosas estériles y traslúcidas difusas que al romperse dejan extensas zonas erosivodenudadas húmedas. Se documenta el signo de Nikolsky con separación de las capas intraepidérmicas frente a la suave fricción digitomanual oblicua periférica 3. FASE DESCAMATIVA eritrodermia con aparición de ampollas, descamación posterior y áreas denudadas de la piel de tipo quemaduras o escaldaduras.
  • 11.
    SINDROMEESTAFILOCOCICODELA PIELESCALDAD CLINICA Existentres formas clínicas GENERALIZADA O ENFERMEDAD DE RITTER Descamacion superficial Exantema máculo- ténue, anaranjado rojizo, asociado a conjuntivitis purulenta, otitis media o infección inaparente de la nasofaringe Dolor cutáneo a la compresión Acentuación periorificial y áreas de flexión Nikolsky POSITIVO 24 a 48h rash escarlatiniforme a ampollar Ampollas flácidas, grandes alrededor de orificios, axilas, ingles Base húmeda eritematosa,escaldadura generalizada
  • 12.
    IMPÉTIGO BULLOSO (FORMALOCALIZADA) SINDROMEESTAFILOCOCICODELA PIELESCALDAD Sin diseminación hematógena de la toxina Es la forma más frecuente y leve del síndrome Lesiones tempranas: Vesículas o flictenas, líquido turbio y borde eritematoso Pueden localizarse a cualquier nivel siendo típica la afectación del área del pañal en el recién nacidos Gram y cultivos de flictenas muestran estafilococos Dolor cutáneo a la compresión AUSENTE, No Nikolsky
  • 13.
    SINDROMEESTAFILOCOCICODELA PIELESCALDAD FORMA ESCARLATINIFORME sedebe probablemente a mutaciones en la exotoxina, que pierde su actividad epidermolítica. Eritrodermia temprana y descamación final -Enf. Ritter. NO se produce el estadio AMPOLLAR
  • 14.
    La Deshidratación ylos trastornos hidroelectrolíticos son las complicaciones más frecuentes sobre todo si el área de piel denudada es extensa y se convierte en puerta de entrada de gérmenes que pueden originar una sepsis, neumonías, celulitis, fascitis necrotizantes. Las infecciones graves tales como sepsis son raras. SINDROMEESTAFILOCOCICODELA PIELESCALDAD
  • 15.
  • 16.
    SINDROMEESTAFILOCOCICODELA PIELESCALDAD DIAGNOSTICO El diagnóstico esfundamental y habitualmente clínico, ya que no existen alteraciones analíticas específicas. La biopsia cutánea permite aclarar el diagnóstico en los casos dudosos, no demostrando necrosis ni signos inflamatorios, a diferencia del principal diagnóstico diferencial, la Necrólisis Epidérmica tóxica
  • 17.
  • 18.
  • 19.
    SINDROMEESTAFILOCOCICODELA PIELESCALDAD TRATAMIENTO En las formasleves y localizadas, sin afectación del estado general, se recomienda el tratamiento ambulatorio, con un antibiótico antiestafilocócico, en nuestro medio se dispone de la cefalexina, cefadroxilo, amoxicilina más sulbactam o clavulanato. Si un niño tiene fiebre y exfoliación extensa, con mal estado general, deshidratado, su ingreso en el hospital es aconsejable. Se inicia antibiótico endovenoso específico (de preferencia oxacilina) y evaluar cobertura de Gram negativos si se sospecha una sepsis sobreagregada. Otro aspecto fundamental del tratamiento son las medidas de soporte: El aporte adecuado de líquidos para evitar la deshidratación y el uso de analgesia La antibioterapia tópica no se recomienda en las lesiones cutáneas, aunque debe utilizarse si existe conjuntivitis asociada, rinitis purulenta o costras melicéricas. El niño debe ser atendido en un ambiente cálido, limpio, con un mínimo de ropa. Un emoliente, tal como una mezcla de 50 de parafina blanda blanco y parafina líquida, puede aplicarse a las lesiones para reducir la pérdida de fluidos y calmar el área Los emolientes deben ser aplicados hasta que se haya producido la cicatrización completa. Si una lesión debe ser cubierta, un apósito no adherente debe ser aplicado y asegurado con un vendaje. No se debe utilizar cinta adhesiva
  • 20.
  • 21.
    ESCABIOSIS DEFINICION Esuna infección causada por Sarcopetes scabiei variedad hominis, ectoparásito de 8 patas perteneciente a Pbyllum Artbropoda. INCIDENCIA TRANSMISION  Incidencia mundial :300 millones de casos anuales  Incidencia en menores de 5 años: 952/1000 niños al año.  Mas frecuente en época invernal La dermatosis es muy contagiosa Contagio suele ser directo: de persona a persona. (lugares hacinados, guarderías, orfanatos) Contagio indirecto mediante fómites( sabanas, toallas y ropas) Los ácaros alcanzan el estadio adulto en 3 semanas y son capaces de reiniciar el ciclo. El periodo de incubación de la sarna es de 1 a 3 semanas. Las hembras del parásito son capaces de poner entre 10 y 40 huevos que maduran en 1 semana.
  • 22.
    ESCABIOSIS CLINICA El síntoma fundamentales el prurito de predominio nocturno. Inicialmente es localizado y en pocos días se generaliza. En lactantes menores de 2 ó 3 meses, el prurito puede estar ausente. Los sitios más comprometidos en lactantes son manos (pliegues interdigitales), pies y piel cabelluda, seguidos por tronco, piernas y brazos. Las lesiones patognomónicas son el surco y la pápula acarina .El primero consiste en una elevación lineal de la piel de pocos milímetros de longitud que corresponde al túnel subcórneo excavado por la hembra del ácaro, capaz de desplazarse unos 5 mm cada día. El prurito y el dolor ocasionado por la impetiginización en los espacios interdigitales impide que el paciente junte los dedos (signo del cirujano). En escolares se observan tronco y extremidades . En preescolares (2-6 años) las lesiones suelen involucrar manos –especialmente pliegues interdigitales ,pies, tronco y extremidades.
  • 23.
  • 24.
    ESCABIOSIS DIAGNOSTICO Suele sersuficiente con la clínica: erupción generalizada muy pruriginosa, de predominio nocturno . El diagnóstico de certeza se basa en la visualización del ácaro, de sus heces (escíbalos) y/o de los huevos. Para ello se debe depositar una gota de aceite en la piel, rascar la pápula acarina con un bisturí del número 15 y realizar una ex tensión en un portaobjetos (prueba de Müller). Al examen microscópico, Sarcoptes scabiei tiene una forma hemiesférica y 4 pares de patas .También es posible intuir la presencia del parásito in situ mediante microscopía de epilumiscencia utilizando un dermatoscopio. La biopsia cutánea de las pápulas acarinas puede poner de manifiesto la presencia del túnel subcórneo con el parásito en su interior, así como una dermatitis espongiótica con abundantes eosinófilos.
  • 25.
    ESCABIOSIS TRATAMIENTO TOPICO ELAZUFRE PRECIPITADO en concentración de 5% está indicado en niños de 1 año. La aplicación consiste de frotación durante 30 minutos y lavado posterior, repitiendo cada 6 horas durante 3 días. El tratamiento habrá de repetirse al cabo de una semana. CROTAMITÓN crema 10% suele enjuagarse hasta 24 horas después de su aplicación, repitiendo la aplicación 10 a 14 días después. Su eficacia como escabicida es escasa y el uso en niños y mujeres embarazadas es cuestionable, por lo que no debe utilizarse como monoterapia EL BENZOATO DE BENCILO puede usarse en niños menores de 5 años en concentración de 12.5% Se ha demostrado que benzoato de bencilo mata los ácaros más rápidamente que permetrina 5%, por lo que es recomendable en pacientes con escabiosis costrosa PERMETRINA crema 5% se aplica por frotación durante 30 minutos, dejando actuar durante 8 horas. Es la sustancia de elección en numerosos países por su buen perfil clí- nico y alta eficacia.25 Su absorción cutánea es muy escasa y se elimina completamente en una semana, está indicada en niños mayores de 2 meses de edad. IVERMECTINA loción 1%. Se prepara diluyendo 1 gramo de ivermectina en 100 ml de propilenglicol. Debe aplicarse en todo el cuerpo con frotación durante 30 minutos, dejando que actúe 8 horas. aplicar una segunda dosis después de 7 a 14 días de la aplicación inicial
  • 26.
    Las complicaciones másfrecuentes de esta terapia son eccema post-Escabiosis, hiperpigmentación post-inflamatoria y prurigo nodular. Se recomienda indicar emolientes, urea y esteroides una vez terminado el tratamiento, así como en casos de escabiosis nodular ESCABIOSIS TRATAMIENTO SISTEMICO Ivermectina : La dosis recomendada es de 200 µg/kg de peso, en dos dosis, con intervalos de 10 a 15 días. Transcurrido un mes después de la segunda dosis, 98-99% de los pacientes logran la remisión clínica y alivio del prurito. Ivermectina es segura en niños mayores de 2 años o con más de 15 kg de peso corporal
  • 27.
    ESCABIOSIS OTRAS MEDIDAS La ropade vestir, las sábanas, almohadas, camas y/o hamacas utilizadas 3 o 4 días antes del contacto, deben ser lavadas y retiradas durante, por lo menos, 3 días o bien, puestas a secar (una sola vez) a temperatura de 60 C por espacio de 10 minutos, antes de volver a utilizarlas No se recomienda aislar al paciente que presenta la variante clásica, pues el ácaro no vive fuera del huésped humano de manera que tampoco resulta útil fumigar la casa. En cambio, en la variedad costrosa habrá que evaluar la necesidad de aislamiento y tratamiento intrahospitalario, así como el uso de insecticidas piretroides en el ámbito doméstico