CLASIFICACIÓN GENERAL DE FRACTURAS CURSO DE ACTUALIZACIÓN MEDICA 2005 Dr. Luis Manuel Rodriguez Méndez
FRACTURA Definición Es la perdida de solución de continuidad de un hueso
SIGNOS Y SINTOMAS Dolor  Edema Deformidad (no siempre) Crepitación Limitación funcional
DIAGNOSTICO Clínico Radiológico  2 proyecciones o mas
ESTUDIOS RADIOGRAFICOS SIMPLES Corroboran la presencia de Fx. Permiten darse cuenta de la lesión de partes blandas La localización de la Fx. Tipo de trazos de la Fx. Numero de fragmentos El desplazamiento La presencia o ausencia de una patología
CLASIFICACION Las clasificaciones son importantes  en las fractura, porque nos dan pronostico y tratamiento
CLASIFICACIÓN Las fracturas  se pueden  clasificar de varias formas
CLASIFICACION Sin embargo, se debe escoger una clasificación general que describa todas las posibilidades  de la lesión
CLASIFICACION GENERAL Localización Extensión Tipo de trazo Relación de los fragmentos de la fractura entre si presencia o ausencia de complicaciones Su relación con el medio externo
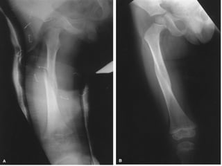
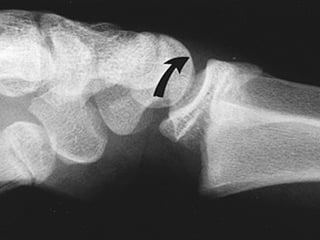
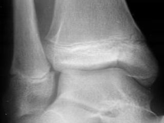
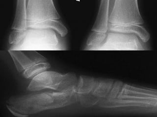
LOCALIZACION Diafisiaria Metafisiaria Epifisiaria Intraarticular Fractura-luxación
 
 
 
 
 
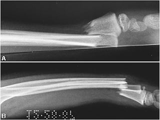
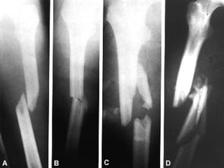
EXTENSION Completa Incompleta (fisuras, abombamiento y tallo verde
 
 
TIPO DE TRAZO
 
 
 
 
 
 
 
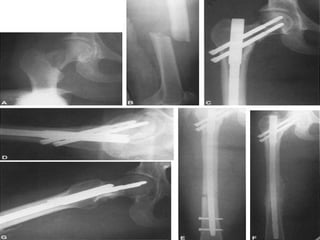
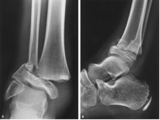
RELACION DE LOS FRAGMENTOS ENTRE SI Sin desplazamiento Con desplazamiento: lateral, angulada, rotación, diastasado, cabalgado, impactada
 
 
 
 
POR SUS COMPLICACIONES No complicada Complicada Local General
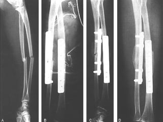
FRAGMENTOS Y SU RELACION CON EL MEDIO EXTERNO Cerrada (abrigada) Abierta
FRACTURA EXPUESTA Es la perdida de continuidad ósea, en  la que el foco de fractura se pone en contacto con el medio ambiente
PARAMETROS DE CLASIFICACION Medio ambiente en que sucedió Tiempo transcurrido entre la lesión y el tratamiento hospitalario El grado de lesión de las partes blandas del miembro afectado o áreas circunvecinas
CLASIFICACION DE LAS FRACTURAS EXPUESTAS Contaminadas : < de 6 hrs de evolución, contaminación por gérmenes del medio ambiente o el agente agresor Infectadas : > de 6 hrs de evolución, reproducción de los gérmenes localmente Complicadas : es la que se acompaña de lesiones en órganos, sistemas, o elementos anatómicos vecinos
CLASIFICACION Las clasificaciones complementarias se basan en el grado de lesión de partes blandas, siendo la mas utilizada la de Gustilo
CLASIFICACION DE GUSTILLO I:  Herida < 1 cm. Herida limpia realizada por un fragmento puntiagudo de hueso que perfora la piel, existe escasa lesión a tejidos blandos, sin signos de aplastamiento, son por baja energía
 
CLASIFICACION DE GUSTILLO II:  Longitud > 1 cm. Sin colgajos, avulsiones y sin una gran lesión de tejido blando, existe un mínimo a moderado aplastamiento, conminución y contaminación moderada
 
CLASIFICACION DE GUSTILLO III:  Lesión extensa de tejidos blandos que afectan al músculo, piel y estructuras neurovasculares, suele existir un alto grado de contaminación, son por alta energía A)  cobertura adecuada de tejido blando del hueso, sin importar el tamaño de la herida
CLASIFICACION DE GUSTILLO B)  Afectación extensa o perdida del tejido blando con exposición del hueso, contaminación masiva y una grave fractura conminuta C)  Se asocia a lesión arterial  que necesita reparación independientemente del grado de lesión del tejido blando
 
 
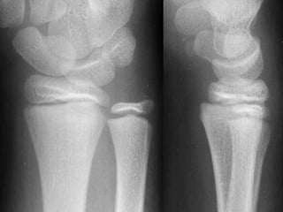
CLASIFICACIÓN PARA LAS  EPIFISIOLISTESIS SALTER HARRIS
 
 
 
 
 
 
 
 
 
GRACIAS

ClasificacióN De Fracturas

  • 1.
    CLASIFICACIÓN GENERAL DEFRACTURAS CURSO DE ACTUALIZACIÓN MEDICA 2005 Dr. Luis Manuel Rodriguez Méndez
  • 2.
    FRACTURA Definición Esla perdida de solución de continuidad de un hueso
  • 3.
    SIGNOS Y SINTOMASDolor Edema Deformidad (no siempre) Crepitación Limitación funcional
  • 4.
    DIAGNOSTICO Clínico Radiológico 2 proyecciones o mas
  • 5.
    ESTUDIOS RADIOGRAFICOS SIMPLESCorroboran la presencia de Fx. Permiten darse cuenta de la lesión de partes blandas La localización de la Fx. Tipo de trazos de la Fx. Numero de fragmentos El desplazamiento La presencia o ausencia de una patología
  • 6.
    CLASIFICACION Las clasificacionesson importantes en las fractura, porque nos dan pronostico y tratamiento
  • 7.
    CLASIFICACIÓN Las fracturas se pueden clasificar de varias formas
  • 8.
    CLASIFICACION Sin embargo,se debe escoger una clasificación general que describa todas las posibilidades de la lesión
  • 9.
    CLASIFICACION GENERAL LocalizaciónExtensión Tipo de trazo Relación de los fragmentos de la fractura entre si presencia o ausencia de complicaciones Su relación con el medio externo
  • 10.
    LOCALIZACION Diafisiaria MetafisiariaEpifisiaria Intraarticular Fractura-luxación
  • 11.
  • 12.
  • 13.
  • 14.
  • 15.
  • 16.
    EXTENSION Completa Incompleta(fisuras, abombamiento y tallo verde
  • 17.
  • 18.
  • 19.
  • 20.
  • 21.
  • 22.
  • 23.
  • 24.
  • 25.
  • 26.
  • 27.
    RELACION DE LOSFRAGMENTOS ENTRE SI Sin desplazamiento Con desplazamiento: lateral, angulada, rotación, diastasado, cabalgado, impactada
  • 28.
  • 29.
  • 30.
  • 31.
  • 32.
    POR SUS COMPLICACIONESNo complicada Complicada Local General
  • 33.
    FRAGMENTOS Y SURELACION CON EL MEDIO EXTERNO Cerrada (abrigada) Abierta
  • 34.
    FRACTURA EXPUESTA Esla perdida de continuidad ósea, en la que el foco de fractura se pone en contacto con el medio ambiente
  • 35.
    PARAMETROS DE CLASIFICACIONMedio ambiente en que sucedió Tiempo transcurrido entre la lesión y el tratamiento hospitalario El grado de lesión de las partes blandas del miembro afectado o áreas circunvecinas
  • 36.
    CLASIFICACION DE LASFRACTURAS EXPUESTAS Contaminadas : < de 6 hrs de evolución, contaminación por gérmenes del medio ambiente o el agente agresor Infectadas : > de 6 hrs de evolución, reproducción de los gérmenes localmente Complicadas : es la que se acompaña de lesiones en órganos, sistemas, o elementos anatómicos vecinos
  • 37.
    CLASIFICACION Las clasificacionescomplementarias se basan en el grado de lesión de partes blandas, siendo la mas utilizada la de Gustilo
  • 38.
    CLASIFICACION DE GUSTILLOI: Herida < 1 cm. Herida limpia realizada por un fragmento puntiagudo de hueso que perfora la piel, existe escasa lesión a tejidos blandos, sin signos de aplastamiento, son por baja energía
  • 39.
  • 40.
    CLASIFICACION DE GUSTILLOII: Longitud > 1 cm. Sin colgajos, avulsiones y sin una gran lesión de tejido blando, existe un mínimo a moderado aplastamiento, conminución y contaminación moderada
  • 41.
  • 42.
    CLASIFICACION DE GUSTILLOIII: Lesión extensa de tejidos blandos que afectan al músculo, piel y estructuras neurovasculares, suele existir un alto grado de contaminación, son por alta energía A) cobertura adecuada de tejido blando del hueso, sin importar el tamaño de la herida
  • 43.
    CLASIFICACION DE GUSTILLOB) Afectación extensa o perdida del tejido blando con exposición del hueso, contaminación masiva y una grave fractura conminuta C) Se asocia a lesión arterial que necesita reparación independientemente del grado de lesión del tejido blando
  • 44.
  • 45.
  • 46.
    CLASIFICACIÓN PARA LAS EPIFISIOLISTESIS SALTER HARRIS
  • 47.
  • 48.
  • 49.
  • 50.
  • 51.
  • 52.
  • 53.
  • 54.
  • 55.
  • 56.