HERNIAS DE LA
PARED ABDOMINAL
Clínica Cirugía I
Dr. Luis Munguía
Grupo H: Doris Adriana Calix Martínez 20141010189
Derian Noel Reyes Lopez 20151002802
DEFINICIÓN
Hernia: Protrusión anómala de un órgano o tejido a
través de un defecto fijado en alguna de las
paredes circundantes.
MAPA MENTAL
COMPONENTES DE UNA HERNIA
 Anillo Herniario
 Saco Herniario
 Contenido
CARACTERISTICAS
Hernia Inguinal
Indirecta
Hernia Inguinal
Directa
Hernia Femoral Hernia
Umbilical
Hernia
Epigástrica
SACO Peritoneo
Parietal
Peritoneo
Parietal
Peritoneo
Parietal
Peritoneo
Parietal
CONTENIDO Intestino
Delgado y
Epiplón
Intestino
Delgado y
Epiplón
Intestino
Delgado y
Epiplón
Intestino
Delgado y
Epiplón
Grasa
Preperitoneal
Ligamento
Falciforme
ANILLO Anillo Inguinal
Profundo
Triangulo de
Hasselbach
Anillo Femoral Anillo Umbilical Línea Media
Supra umbilical
ANATOMÍA DE PARED ABDOMINAL
HERNIAS INGUINALES
ANATOMÍA DE LA INGLE
TEJIDO SUBCUTÁNEO
 Fascia de Camper: es la capa superficial que contiene casi toda la grasa
subcutánea
 Fascia de Scarpa: es un estrato más denso de tejido conjuntivo fibroso, se continúa
con la fascia lata del muslo. (esta fascia ayuda a la alineación de la piel tras
incisión quirúrgica).
Por debajo de la piel y del tejido subcutáneo están:
 Arterias circunfleja iliaca superficial.
 Arteria Epigástrica superficial
 Arteria pudenda externa
 Venas concomitantes.
Estos vasos nacen y drenan, respectivamente, en la Arteria y en la vena femorales
proximales y toman una dirección superior.
MÚSCULO Y APONEUROSIS OBLICUOS EXTERNOS
Es el mas superficial de los músculos de la pared abdominal lateral, sus fibras se
dirigen en sentido inferomedial y se sitúan en profundidad con respecto a los tejidos
subcutáneos.
 La aponeurosis del oblicuo externo constituye el limite superficial del conducto
inguinal.
 El ligamento inguinal ( Ligamento de Poupart) es el limite inferior de la aponeurosis
del oblicuo externo.
 El ligamento lagunar es la expansión medial en forma de abanico del ligamento
inguinal.
MÚSCULO Y APONEUROSIS OBLICUOS INTERNOS
Forma la capa medial del complejo musculo aponeurótico abdominal lateral, las fibras
se orientan en sentido superolateral en el abdomen superior.
 Este musculo sirve como limite cefálico (o superior) del conducto inguinal.
 La cara medial de la aponeurosis del oblicuo interno se funde con fibras de la
aponeurosis del transverso del abdomen formando un tendón conjunto.
 Las fibras del musculo Cremaster arrancan del oblicuo interno, engloban el cordón
espermático y se unen a la túnica vaginal del testículo.
MÚSCULO Y APONEUROSIS TRANSVERSO DEL ABDOMEN Y
FASCIA TRANSVERSAL
 La capa de este musculo se orienta horizontalmente a lo largo de la mayor parte de
la superficie, sus fibras discurren en una dirección descendente y levemente
oblicua. La fuerza y la continuidad son relevantes para la prevención y tratamiento
de las hernias inguinales.
 Arco aponeurotico del transverso del abdomen
 Fascia trasnversal: componente del suelo inguinal
 Cintilla iliopubica: es una banda aponeurótica formada por la fascia transversal y la
aponeurosis (75%), y solo por la fascia transversal (25%), se sitúa posterior al
ligamento inguinal y cruza sobre los vasos femorales.
ANATOMÍA
 Ligamento de cooper
Se sitúa posterior a la cintilla iliopubica y forma el borde posterior del conducto
femoral
 Espacio pre peritoneal
Contiene tejido adiposo, vasos linfáticos, vasos sanguíneos (arteria y vena epigástrica
inferior y arteria iliaca circunfleja profunda) y nervios (cutáneo femoral lateral y
genitofemoral).
La vasos epigástricos sirven para definir los tipos de hernias inguinal.
ANATOMÍA DE LA INGLE
CONDUCTO INGUINAL
Longitud aprox. De 4 cm se sitúa justo
por encima del ligamento inguinal.
Anillo inguinal interno y externo.
Contiene el cordón espermático en el
hombre y el ligamento redondo del
útero, conducto peritoneo vaginal y el
nervio ilioinguinal en la mujer.
TRIÁNGULO DE HESSELBACH
Se refiere a los bordes del suelo del conducto inguinal:
o Lateral: los vasos epigástricos inferiores
o Medial: la vaina del musculo recto
o Inferior: los ligamentos inguinal y pectíneo.
CONDUCTO FEMORAL
Los limites son:
• Cintilla iliopubica por delante.
• Ligamento de cooper por detrás
• La vena femoral por la cara lateral.
• La espina del pubis constituye el vértice del
triangulo del conducto femoral.
• Lado interno: la confluencia entre la
cintilla iliopúbica y el ligamento de
Cooper.
EPIDEMIOLOGÍA DE LAS HERNIAS INGUINALES
 Son un problema frecuente
 Se dan más en el lado derecho
 75% de todas las hernias son inguinales
 2/3 son indirectas y el resto son directas
 25 veces mas en el sexo masculino
 La indirecta es la más común en
hombres.
 5% de la población sufrirá hernia
abdominal
 La estrangulación aumenta con el
envejecimiento
HERNIAS INDIRECTAS Y DIRECTAS
Hernia Indirecta Hernia Directa
• Aparecen a cualquier edad
• Afectan a ambos sexos por igual.
• Pueden descender hasta el
escroto
• Raramente bilaterales
• Con cierta frecuencia irreductibles
• Excepcionalmente antes de los 40
años
• Son siempre adquiridas
• Raras en la mujer
• 55% bilaterales
• Se suelen reducir
espontáneamente
 Toda protrusión que se desplace de
la cara lateral a la medial en el
conducto inguinal sugiere hernia
INDIRECTA.
 Si el abultamiento progresa de la
pared profunda a la superficial a
través del suelo inguinal, se
sospechara de una hernia DIRECTA
H. I. Indirecta H. I. Directa
Acceso al
Conducto
Inguinal
Orificio Inguinal
Profundo
Pared Posterior
Del Conducto
Salida Del
Conducto
Inguinal
Orificio Inguinal
Superficial
Orificio Inguinal
Superficial
Llegada al
Escroto
Fácilmente Raramente
Estrangulación Más Frecuente Raramente
Situación
respecto a vasos
epigástricos
Lateral Medial
Patogenia Congénita Debilidad de
pared muscular
MANIFESTACIONES CLÍNICAS
 Abultamiento de la región inguinal
representa el dato diagnóstico.
 Dolor o una molestia vaga de
carácter local.
 Las hernias causan dolor si se
incarceran o se estrangulan.
 Parestesias
PROTOCOLO DIAGNÓSTICO
ANAMNESIS :
• Historia clínica detallada: antecedentes
herniarios, antigüedad de la hernia, tiempo de
evolución desde que comenzó el dolor, las
molestias o la tumoración, hasta que acude a
la consulta. Antecedentes cirugía.
EXAMEN FÍSICO :
• El examen físico se hace por lo general con el
paciente de pie y en decúbito supino.
• Lo importante es descartar un compromiso
vascular.
IMÁGENES:
• USG, TAC
ECOGRAFÍA DE ABDOMEN
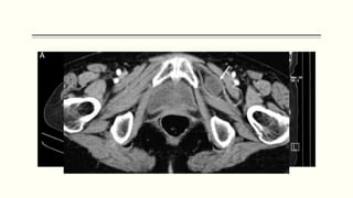
TOMOGRAFÍA COMPUTARIZADA (TAC) DEL ABDOMEN Y PELVIS
 La figura muestra una imagen de
TAC abdominal simple, en la que
se observa el saco herniario
comprimiendo el contenido del
canal inguinal y el tejido adiposo.
Además se observan los vasos
femorales adyacentes.
COMPLICACIONES
ENCARCELAMIENTO
 Ocurre en el 10% de las hernias
de la niñez.
 Puede presentar obstrucción, no
así inflamación o isquemia.
 Son hernias irreductibles por
adherencias crónicas de la pared
del saco herniario.
OBSTRUCCION ABDOMINAL
 Paro de evacuaciones, ausencia de
canalización de gases, vómitos
fecaloides o de contenido
intestinal, distensión abdominal y
dolor cólico.
ESTRANGULAMIENTO
 Es cuando ocurre interrupción
del flujo vascular con la
consecuente isquemia del tejido
herniario. Es la complicación
más grave de una hernia
 No se reduce
 Cambios de color
 Dolor intenso
 Rubor
 Coloración violácea
 Inflamación
PERITONITIS
 Síndrome de Abdomen Agudo
por Perforación de víscera
hueca con derrame del
contenido a cavidad o
necrosis de la víscera.
FISTULA
Ruptura de Víscera hueca con
comunicación a otra víscera o a
piel, así:
 Enterocutánea
 Colocutánea
 Enterovesical
HERNIAS FEMORALES
EPIDEMIOLOGÍA, FACTORES DE RIESGO Y LOCALIZACIÓN
EPIDEMIOLOGÍA
 3% de todas las hernias
inguinales.
 El 50% de hombres con hernia
femoral presentan hernia
inguinal directa.
 Mas frecuente en mujeres
 Se presentan en concomitancia
con hernia inguinal en un 0.3%
de los pacientes
FACTORES DE RIESGO
 Sexo femenino.
 Hernia inguinal previa.
HERNIAS VENTRALES
HERNIAS VENTRALES
 Hernia ventral se define como una protrusión a través de la aponeurosis de la pared
abdominal anterior.
 Estos defectos pueden clasificarse como espontáneos o adquiridos, o tambien por
su localización en la pared abdominal.
 Representan el 15-20% de todas las hernias de la pared abdominal. (Umbilicales y
Epigástricas 10%).
FACTORES DE RIESGO
 Hombres
 Obesidad
 Edad Avanzada
 Ascitis
 Enfisema
 Prostatismo
 Diabetes
 Fac. asociados con la
destrucción del colágeno.
PROTOCOLO DIAGNÓSTICO
ANAMNESIS :
• Historia clínica detallada: antecedentes
herniarios, antigüedad de la hernia, tiempo
de evolución desde que comenzó el dolor,
las molestias o la tumoración, hasta que
acude a la consulta. Antecedentes cirugía.
EXAMEN FÍSICO :
• El examen físico se hace por lo general con
el paciente de pie y en decúbito supino.
• Lo importante es descartar un compromiso
vascular.
IMÁGENES:
• USG, TAC
HERNIAS VENTRALES: EPIGÁSTRICAS
 Dos a tres veces más
frecuentes en hombres.
 Debilitamiento de la línea
alba (vasos y estiramiento)
 Dolor desproporcionado con
su tamaño debido a que hay
incarceración de la grasa
preperitoneal.
HERNIAS VENTRALES: UMBILICALES
 El ombligo está formado por el anillo
umbilical de la línea alba y es un
lugar frecuente de herniación.
 Las hernias umbilicales de los
lactantes son congénitas y muy
corrientes. Se cierran
espontáneamente en la mayoría de
los casos antes de los 2 años de
vida.
 Se observa una gran predisposición a
estas hernias entre las personas de
ascendencia africana.
 Adquiridas son mas comunes en mujeres y pacientes los cuales tienen un aumento
de la presión intraabdominal.
 La estrangulación ocurre rara vez, pero, en los estados de ascitis crónica, puede
observarse estrangulación y rotura de la hernia.
 La rotura espontanea en los pacientes con ascitis puede ocasionar peritonitis y
muerte.
HERNIAS VENTRALES: HIPOGRÁSTRICA, INCISIONALES O
EVENTRACIONES
 Pueden resultar las más frustrantes y
difíciles de combatir.
 Obedecen a una tensión excesiva y
cicatrización inadecuada de una
incisión previa, a menudo asociada
con infecciones del sitio quirúrgico.
 Estas hernias aumentan de tamaño
con el tiempo y producen dolor,
obstrucción intestinal, incarceración
y estrangulación.
FACTORES PREDISPONENTES
 Obesidad
 Envejecimiento
 Malnutrición
 Ascitis
 Embarazo
 Estados que aumentan la presión intraabdominal.
SINTOMAS CARACTERISTICOS Y DIAGNÓSTICOS
DIFERENCIALES
Diagnósticos diferenciales
• Tumor
• Lipomas
• Abscesos
• Diastasis de los rectos
Síntomas característicos:
• Dolor
• Incarceración
• Estrangulación
• Obstrucción intestinal
HERNIAS INUSUALES
HERNIA SPIEGEL O SEMILUNAR
 Aparecen en la 4-7ma década de
la vida.
 Son las hernias interparietales
mas comunes.
 Son pequeñas (1-2cm diámetro)
 Aparecen después de la línea
arqueada, debido a la ausencia
de la fascia posterior.
 Cuello corto = mayor riesgo
incarceración
DIAGNÓSTICO
1. ECOGRAFIA 2. TOMOGRAFÍA
HERNIA OBTURADORA
 Se da por un debilitamiento de la
membrana, que aumenta el
tamaño del conducto.
 Indicios de compresión del
nervio obturador, causante del
signo de Howship-Romberg.
 Es muy probable la incarceración
y estrangulación.
 La mitad de los pacientes
presentan obstrucción intestinal
completa o incompleta.
HERNIA LUMBAR
 Son mas frecuentes las que
protruyen a través del triangulo de
Grynfeltt (superiores), que las del
triangulo de Petit (inferior).
 El debilitamiento de la fascia
lumbodorsal provoca protrusión
progresiva de grasa y formación de
un saco herniario.
 Asintomáticas hasta que son de
mayor tamaño y se presentan con
lumbalgia.
DIAGNÓSTICO
GRYNFELTT PETIT
HERNIA CIÁTICA
 Se da a través del agujero ciático
mayor, son muy raras y difícil de
diagnosticar.
 Los síntomas característicos son
 Masa molesta en región glútea o
intraglutea.
 Dolor del nervio ciático.
 Obstrucción intestinal.
HERNIA PERINEAL
 Pueden ser congénitas o adquiridas y
son rarísimas.
 Adquiridas primarias usualmente en
mujeres multíparas mayores.
 Adquiridas secundarias tras resección
abdomino-perineal o una prostectomia
perineal.
 Síntomas dependen de la masa que ha
protruido.
 Exploración bimanual (rectovaginal)
HERNIAS POR SU CONTENIDO
HERNIA LITRE
 Divertículo de Meckel
HERNIA AMYAND
 Su contenido es el apéndice
HERNIA RICHTER
 Contiene sólo parte de la pared del intestino, normalmente el borde
antimesentérico.
 Tiene altas probabilidades de estrangulación.
HERNIA POR DESLIZAMIENTO
 Se produce cuando un
órgano comprime una parte
de la pared del saco
herniario.
 Los órganos que usualmente
lo provocan son el colon y la
vejiga.
 La mayor parte son una
variante de las hernias
inguinales indirectas.

Hernias de la pared abdominal.pptx

  • 1.
    HERNIAS DE LA PAREDABDOMINAL Clínica Cirugía I Dr. Luis Munguía Grupo H: Doris Adriana Calix Martínez 20141010189 Derian Noel Reyes Lopez 20151002802
  • 2.
    DEFINICIÓN Hernia: Protrusión anómalade un órgano o tejido a través de un defecto fijado en alguna de las paredes circundantes.
  • 3.
  • 4.
    COMPONENTES DE UNAHERNIA  Anillo Herniario  Saco Herniario  Contenido
  • 5.
    CARACTERISTICAS Hernia Inguinal Indirecta Hernia Inguinal Directa HerniaFemoral Hernia Umbilical Hernia Epigástrica SACO Peritoneo Parietal Peritoneo Parietal Peritoneo Parietal Peritoneo Parietal CONTENIDO Intestino Delgado y Epiplón Intestino Delgado y Epiplón Intestino Delgado y Epiplón Intestino Delgado y Epiplón Grasa Preperitoneal Ligamento Falciforme ANILLO Anillo Inguinal Profundo Triangulo de Hasselbach Anillo Femoral Anillo Umbilical Línea Media Supra umbilical
  • 6.
  • 7.
  • 8.
    ANATOMÍA DE LAINGLE TEJIDO SUBCUTÁNEO  Fascia de Camper: es la capa superficial que contiene casi toda la grasa subcutánea  Fascia de Scarpa: es un estrato más denso de tejido conjuntivo fibroso, se continúa con la fascia lata del muslo. (esta fascia ayuda a la alineación de la piel tras incisión quirúrgica). Por debajo de la piel y del tejido subcutáneo están:  Arterias circunfleja iliaca superficial.  Arteria Epigástrica superficial  Arteria pudenda externa  Venas concomitantes. Estos vasos nacen y drenan, respectivamente, en la Arteria y en la vena femorales proximales y toman una dirección superior.
  • 10.
    MÚSCULO Y APONEUROSISOBLICUOS EXTERNOS Es el mas superficial de los músculos de la pared abdominal lateral, sus fibras se dirigen en sentido inferomedial y se sitúan en profundidad con respecto a los tejidos subcutáneos.  La aponeurosis del oblicuo externo constituye el limite superficial del conducto inguinal.  El ligamento inguinal ( Ligamento de Poupart) es el limite inferior de la aponeurosis del oblicuo externo.  El ligamento lagunar es la expansión medial en forma de abanico del ligamento inguinal.
  • 11.
    MÚSCULO Y APONEUROSISOBLICUOS INTERNOS Forma la capa medial del complejo musculo aponeurótico abdominal lateral, las fibras se orientan en sentido superolateral en el abdomen superior.  Este musculo sirve como limite cefálico (o superior) del conducto inguinal.  La cara medial de la aponeurosis del oblicuo interno se funde con fibras de la aponeurosis del transverso del abdomen formando un tendón conjunto.  Las fibras del musculo Cremaster arrancan del oblicuo interno, engloban el cordón espermático y se unen a la túnica vaginal del testículo.
  • 12.
    MÚSCULO Y APONEUROSISTRANSVERSO DEL ABDOMEN Y FASCIA TRANSVERSAL  La capa de este musculo se orienta horizontalmente a lo largo de la mayor parte de la superficie, sus fibras discurren en una dirección descendente y levemente oblicua. La fuerza y la continuidad son relevantes para la prevención y tratamiento de las hernias inguinales.  Arco aponeurotico del transverso del abdomen  Fascia trasnversal: componente del suelo inguinal  Cintilla iliopubica: es una banda aponeurótica formada por la fascia transversal y la aponeurosis (75%), y solo por la fascia transversal (25%), se sitúa posterior al ligamento inguinal y cruza sobre los vasos femorales.
  • 14.
    ANATOMÍA  Ligamento decooper Se sitúa posterior a la cintilla iliopubica y forma el borde posterior del conducto femoral  Espacio pre peritoneal Contiene tejido adiposo, vasos linfáticos, vasos sanguíneos (arteria y vena epigástrica inferior y arteria iliaca circunfleja profunda) y nervios (cutáneo femoral lateral y genitofemoral). La vasos epigástricos sirven para definir los tipos de hernias inguinal.
  • 16.
  • 18.
    CONDUCTO INGUINAL Longitud aprox.De 4 cm se sitúa justo por encima del ligamento inguinal. Anillo inguinal interno y externo. Contiene el cordón espermático en el hombre y el ligamento redondo del útero, conducto peritoneo vaginal y el nervio ilioinguinal en la mujer.
  • 20.
    TRIÁNGULO DE HESSELBACH Serefiere a los bordes del suelo del conducto inguinal: o Lateral: los vasos epigástricos inferiores o Medial: la vaina del musculo recto o Inferior: los ligamentos inguinal y pectíneo.
  • 21.
    CONDUCTO FEMORAL Los limitesson: • Cintilla iliopubica por delante. • Ligamento de cooper por detrás • La vena femoral por la cara lateral. • La espina del pubis constituye el vértice del triangulo del conducto femoral. • Lado interno: la confluencia entre la cintilla iliopúbica y el ligamento de Cooper.
  • 22.
    EPIDEMIOLOGÍA DE LASHERNIAS INGUINALES  Son un problema frecuente  Se dan más en el lado derecho  75% de todas las hernias son inguinales  2/3 son indirectas y el resto son directas  25 veces mas en el sexo masculino  La indirecta es la más común en hombres.  5% de la población sufrirá hernia abdominal  La estrangulación aumenta con el envejecimiento
  • 23.
    HERNIAS INDIRECTAS YDIRECTAS Hernia Indirecta Hernia Directa • Aparecen a cualquier edad • Afectan a ambos sexos por igual. • Pueden descender hasta el escroto • Raramente bilaterales • Con cierta frecuencia irreductibles • Excepcionalmente antes de los 40 años • Son siempre adquiridas • Raras en la mujer • 55% bilaterales • Se suelen reducir espontáneamente
  • 24.
     Toda protrusiónque se desplace de la cara lateral a la medial en el conducto inguinal sugiere hernia INDIRECTA.  Si el abultamiento progresa de la pared profunda a la superficial a través del suelo inguinal, se sospechara de una hernia DIRECTA H. I. Indirecta H. I. Directa Acceso al Conducto Inguinal Orificio Inguinal Profundo Pared Posterior Del Conducto Salida Del Conducto Inguinal Orificio Inguinal Superficial Orificio Inguinal Superficial Llegada al Escroto Fácilmente Raramente Estrangulación Más Frecuente Raramente Situación respecto a vasos epigástricos Lateral Medial Patogenia Congénita Debilidad de pared muscular
  • 25.
    MANIFESTACIONES CLÍNICAS  Abultamientode la región inguinal representa el dato diagnóstico.  Dolor o una molestia vaga de carácter local.  Las hernias causan dolor si se incarceran o se estrangulan.  Parestesias
  • 26.
    PROTOCOLO DIAGNÓSTICO ANAMNESIS : •Historia clínica detallada: antecedentes herniarios, antigüedad de la hernia, tiempo de evolución desde que comenzó el dolor, las molestias o la tumoración, hasta que acude a la consulta. Antecedentes cirugía. EXAMEN FÍSICO : • El examen físico se hace por lo general con el paciente de pie y en decúbito supino. • Lo importante es descartar un compromiso vascular. IMÁGENES: • USG, TAC
  • 27.
  • 28.
    TOMOGRAFÍA COMPUTARIZADA (TAC)DEL ABDOMEN Y PELVIS  La figura muestra una imagen de TAC abdominal simple, en la que se observa el saco herniario comprimiendo el contenido del canal inguinal y el tejido adiposo. Además se observan los vasos femorales adyacentes.
  • 29.
    COMPLICACIONES ENCARCELAMIENTO  Ocurre enel 10% de las hernias de la niñez.  Puede presentar obstrucción, no así inflamación o isquemia.  Son hernias irreductibles por adherencias crónicas de la pared del saco herniario. OBSTRUCCION ABDOMINAL  Paro de evacuaciones, ausencia de canalización de gases, vómitos fecaloides o de contenido intestinal, distensión abdominal y dolor cólico. ESTRANGULAMIENTO  Es cuando ocurre interrupción del flujo vascular con la consecuente isquemia del tejido herniario. Es la complicación más grave de una hernia  No se reduce  Cambios de color  Dolor intenso  Rubor  Coloración violácea  Inflamación
  • 30.
    PERITONITIS  Síndrome deAbdomen Agudo por Perforación de víscera hueca con derrame del contenido a cavidad o necrosis de la víscera. FISTULA Ruptura de Víscera hueca con comunicación a otra víscera o a piel, así:  Enterocutánea  Colocutánea  Enterovesical
  • 32.
  • 33.
    EPIDEMIOLOGÍA, FACTORES DERIESGO Y LOCALIZACIÓN EPIDEMIOLOGÍA  3% de todas las hernias inguinales.  El 50% de hombres con hernia femoral presentan hernia inguinal directa.  Mas frecuente en mujeres  Se presentan en concomitancia con hernia inguinal en un 0.3% de los pacientes FACTORES DE RIESGO  Sexo femenino.  Hernia inguinal previa.
  • 34.
  • 35.
    HERNIAS VENTRALES  Herniaventral se define como una protrusión a través de la aponeurosis de la pared abdominal anterior.  Estos defectos pueden clasificarse como espontáneos o adquiridos, o tambien por su localización en la pared abdominal.  Representan el 15-20% de todas las hernias de la pared abdominal. (Umbilicales y Epigástricas 10%).
  • 37.
    FACTORES DE RIESGO Hombres  Obesidad  Edad Avanzada  Ascitis  Enfisema  Prostatismo  Diabetes  Fac. asociados con la destrucción del colágeno.
  • 38.
    PROTOCOLO DIAGNÓSTICO ANAMNESIS : •Historia clínica detallada: antecedentes herniarios, antigüedad de la hernia, tiempo de evolución desde que comenzó el dolor, las molestias o la tumoración, hasta que acude a la consulta. Antecedentes cirugía. EXAMEN FÍSICO : • El examen físico se hace por lo general con el paciente de pie y en decúbito supino. • Lo importante es descartar un compromiso vascular. IMÁGENES: • USG, TAC
  • 39.
    HERNIAS VENTRALES: EPIGÁSTRICAS Dos a tres veces más frecuentes en hombres.  Debilitamiento de la línea alba (vasos y estiramiento)  Dolor desproporcionado con su tamaño debido a que hay incarceración de la grasa preperitoneal.
  • 40.
    HERNIAS VENTRALES: UMBILICALES El ombligo está formado por el anillo umbilical de la línea alba y es un lugar frecuente de herniación.  Las hernias umbilicales de los lactantes son congénitas y muy corrientes. Se cierran espontáneamente en la mayoría de los casos antes de los 2 años de vida.  Se observa una gran predisposición a estas hernias entre las personas de ascendencia africana.
  • 41.
     Adquiridas sonmas comunes en mujeres y pacientes los cuales tienen un aumento de la presión intraabdominal.  La estrangulación ocurre rara vez, pero, en los estados de ascitis crónica, puede observarse estrangulación y rotura de la hernia.  La rotura espontanea en los pacientes con ascitis puede ocasionar peritonitis y muerte.
  • 42.
    HERNIAS VENTRALES: HIPOGRÁSTRICA,INCISIONALES O EVENTRACIONES  Pueden resultar las más frustrantes y difíciles de combatir.  Obedecen a una tensión excesiva y cicatrización inadecuada de una incisión previa, a menudo asociada con infecciones del sitio quirúrgico.  Estas hernias aumentan de tamaño con el tiempo y producen dolor, obstrucción intestinal, incarceración y estrangulación.
  • 43.
    FACTORES PREDISPONENTES  Obesidad Envejecimiento  Malnutrición  Ascitis  Embarazo  Estados que aumentan la presión intraabdominal.
  • 44.
    SINTOMAS CARACTERISTICOS YDIAGNÓSTICOS DIFERENCIALES Diagnósticos diferenciales • Tumor • Lipomas • Abscesos • Diastasis de los rectos Síntomas característicos: • Dolor • Incarceración • Estrangulación • Obstrucción intestinal
  • 45.
  • 46.
    HERNIA SPIEGEL OSEMILUNAR  Aparecen en la 4-7ma década de la vida.  Son las hernias interparietales mas comunes.  Son pequeñas (1-2cm diámetro)  Aparecen después de la línea arqueada, debido a la ausencia de la fascia posterior.  Cuello corto = mayor riesgo incarceración
  • 47.
  • 48.
    HERNIA OBTURADORA  Seda por un debilitamiento de la membrana, que aumenta el tamaño del conducto.  Indicios de compresión del nervio obturador, causante del signo de Howship-Romberg.  Es muy probable la incarceración y estrangulación.  La mitad de los pacientes presentan obstrucción intestinal completa o incompleta.
  • 50.
    HERNIA LUMBAR  Sonmas frecuentes las que protruyen a través del triangulo de Grynfeltt (superiores), que las del triangulo de Petit (inferior).  El debilitamiento de la fascia lumbodorsal provoca protrusión progresiva de grasa y formación de un saco herniario.  Asintomáticas hasta que son de mayor tamaño y se presentan con lumbalgia.
  • 51.
  • 52.
    HERNIA CIÁTICA  Seda a través del agujero ciático mayor, son muy raras y difícil de diagnosticar.  Los síntomas característicos son  Masa molesta en región glútea o intraglutea.  Dolor del nervio ciático.  Obstrucción intestinal.
  • 53.
    HERNIA PERINEAL  Puedenser congénitas o adquiridas y son rarísimas.  Adquiridas primarias usualmente en mujeres multíparas mayores.  Adquiridas secundarias tras resección abdomino-perineal o una prostectomia perineal.  Síntomas dependen de la masa que ha protruido.  Exploración bimanual (rectovaginal)
  • 55.
    HERNIAS POR SUCONTENIDO
  • 56.
  • 57.
    HERNIA AMYAND  Sucontenido es el apéndice
  • 58.
    HERNIA RICHTER  Contienesólo parte de la pared del intestino, normalmente el borde antimesentérico.  Tiene altas probabilidades de estrangulación.
  • 59.
    HERNIA POR DESLIZAMIENTO Se produce cuando un órgano comprime una parte de la pared del saco herniario.  Los órganos que usualmente lo provocan son el colon y la vejiga.  La mayor parte son una variante de las hernias inguinales indirectas.