HIPERTENSIÓN ARTERIAL SISTÉMICA Depto. de Cardiología Facultad de Medicina U.A.G.
Contenido: Definición Epidemiología Clasificación  JNCVII y HTM Generalidades Tipos y Formas de HAS Patogenia Cuadro Clínico Historia Clínica Estudios Dx. Factores Riesgo Complicaciones Tratamiento
PRE-LECTIO: Joven de 19 años con PA 190/130 mmHg, sin antecedentes HF de hipertensión, asintomático, con pobre respuesta a triple terapia antihipertensiva. E.Físico: Pulsos amplios y fuertes, Ápex enérgico en 5o. EII, LMC. S2 aórtico intenso. Resto sin alteraciones. ECG y RX normales.
DIAGNÓSTICO: Tipo de Hipertensión según cifras de PA, evolución, cuadro clínico y respuesta al tratamiento. Clasificación del JNCVII y del HTM.
DEFINICION DE HIPERTENSIÓN: Estado anormal de funcionamiento y estructura de las arterias, asociado con  disfunción endotelial, constricción y remodelado del músculo liso vascular,   aumento de la post-carga y propensión a   ateroesclerosis,  que se manifiesta por un aumento de la presión arterial.  (Jay Cohn, 1998).
EPIDEMIOLOGÍA:   Prevalencia en México es del  22-25%. Adultos  30% y   5%  en niños. Prevalencia en Jalisco es del  35%. En México, el  60%  de los individuos afectados desconoce su enfermedad. Del  20-50%  de las muertes pueden estar relacionadas a HAS. Un  50%  de HAS sin Tx. mueren por  IAM
 
15 17.4 22.5 28.2 34.3 43.4 48.9 53.8 56.5 59.5 30.05 20-24 25-29 30-34 35-39 40-44 45-49 50-54 55-59 60-64 65-69 Total 0 10 20 30 40 50 60 70 % Diagnóstico Previo Diagnóstico por Encuesta  Prevalencia de hipertensión arterial en México* por grupos de edad: ENSA 2000 61% 39% Edad (años) * Datos ponderados para distribución poblacional y sexo, Censo 2000. INEGI Figura 4
* Distribución Poblacional según Censo 2000 Prevalencia de Hipertensión Arterial*  por grupos de edad y sexo 65-69 60-64 55-59 50-54 45-49 40-44 35-39 30-34 25-29 20-24 0 0 1 5 MUJERES HOMBRES 10.5% 13.1% 15.1% 21.7% 27.9% 41.5% 51.5% 56.8% 56.9% 63.7% 22.3% 30.6% 35.4% 41.2% 45.4% 46.2% 54.0% 54.9% 50.5% 20.0% 2 3 4 5 1 4 3 2 Millones de habitantes Grupos de edad (años) Fuente:INEGI/ENSA2000.Elaboró.CENAVE.SALUD Figura 7
Clasificación de la Hipertensión  (JNCVII  2003) >  80 > 130 DM/Nefropatía >  100 > 160 Estadio 2 90-99 140-159 Estadio 1 80-89 120-139 Pre-Hipertensión < 80 < 120 Normal   PAD (mmHg) PAS (mmHg) Clasificación
CLASIFICACIÓN HTM (2005) Incluyendo Sx. Metabólico C  >95 cm C  >85 cm III  (55 ó más) (-) 2:  >160/100 mmHg B  90-94 B  80-84 II  (35-54)  (+) 1: 140/90 a 159/109 A < 90  A  < 80  I  (20-34) Daño a órgano blanco Estadio Cintura Hombre Cintura Mujer Edad
Generalidades de HAS: Aparece entre los 30 y 50 años. Lentamente progresiva. Asintomática por 10-20 años. Predomina en el hombre.  La mujer tiene menos riesgo de muerte por IAM ante cualquier cifra de P.A. La raza negra tiene cifras de P.A. mayores y mayor mortalidad.
 
Generalidades de HAS: La HAS es un factor de riesgo  CV   MAYOR  que directamente contribuye a presentar  IAM, EVC, IC, Insuficiencia arterial y mortalidad prematura. La Insuficiencia Renal aparece después de 20 años de evolución. El manejo efectivo depende de un buen diagnóstico, un tratamiento individualizado y apego al mismo.
TIPOS DE HIPERTENSIÓN: Sistólica-Diastólica: a) Primaria b) Secundaria Hipertensión sistólica: a) Aumento del Gasto cardiaco b) Rigidez de la aorta
HAS Formas de presentación: Aguda (Crisis hipertensivas) Lábil (Variaciones amplias) Crónica establecida Reactiva (Respuesta adrenérgica) De “bata blanca” (Aproximadamente 20%) Normotensión de “bata blanca” Nocturna (Apnea del sueño)
HAS PRIMARIA: Enfermedad compleja,  poligénica, cuantitativa, de inicio tardío, penetrancia desconocida, fenotipo variable e influencia de factores ambientales.  Un 20-50% de sujetos son Na+ sensibles Puede ser  NORMO  (60%),  HIPO  (30%, con edema) o  HIPERRENINÉMICA  (10%, en ausencia de daño renal o isquemia).
PATOGÉNESIS:  La  HAS puede ser el resultado del aumento del  GASTO CARDIACO  (GC) o aumento de  RESISTENCIAS   VASCULARES PERIFÉRICAS  (RVP). Generalmente es por aumento de RVP con GC normal.
PATOGÉNESIS: El control de la PA es complejo y multifactorial: DETERMINACION GENETICA PARA RESISTENCIA A LA INSULINA Y DESARROLLO DE HIPERTENSION HIPERSENSIBILIDAD A LA SAL OBESIDAD HIPERACTIVIDAD ADRENERGICA
 
 
RESISTENCIA A LA INSULINA: ↑   Na-sensibilidad Retención Na y H2O ↑  ALDOSTERONA  ↑  Respuesta presora ANGIOTENSINA II ↑   Actividad de la bomba Na/K ↓   Enzima ATPasa de la bomba Na/K ↑  Na intracelular ↑  Ca intracelular Estimulación Factores de Crecimiento Estimulación SNA ↓  Prostaglandinas ↑  Endotelinas Impedimento a la vasodilatación
 
CUADRO CLÍNICO: Cefalea Acúfenos Fosfenos Epistaxis Disnea Fatiga Angor Rubor facial Mareo
Historia Clínica de la HAS Duración de la Hipertensión Tratamiento previo a la HAS Ingesta de drogas asociadas a HAS Historia familiar Síntomas sugestivos de HAS Secundaria  Otros factores de riesgo Historia nutricional Factores psicosociales Función sexual Hallazgo de Apnea del sueño
 
EXAMEN FÍSICO: Medición correcta de la PA Aspecto general, obesidad, lesiones cutáneas, fuerza muscular, estado de alerta alterado. Fondo de ojo (Retinopatía de KWB). Cuello: vasos, tiroides. Corazón: tamaño, ritmo, ruidos.
 
EXAMEN FÍSICO: Tórax: Estertores pulmonares. Abdomen: Masas renales, soplos, pulsos, visceromegalias. Extremidades: Pulsos, edemas, enfermedad arterial periférica. Valoración neurológica.
 
Técnica de la Medición de P.A. Tomar un mínimo de 2 lecturas por consulta. Toma de P.A. en decúbito, de pie y sentado en ambos brazos. Reposo por 5 minutos antes de medirla. Evitar factores que modifiquen la P.A. Usar mango de tamaño adecuado. Tomar PA sistólica y diastólica con los ruidos I y V de Korotkoff.
 
Factores externos que  alteran la P.A . Fumar o comer. Ansiedad, discutir. Frío, esfuerzo. Distensión de la vejiga. Alcohol, cafeína.
Retinopatía Keith-Wagener-Barker: Aumento del reflejo luminoso Compresión de cruces AV Hemorragia, exudados cotonosos Papiledema
 
 
LABORATORIO: Biometría Hemática Química Sanguínea Ácido Úrico Electrolitos Examen general de orina Lípidos: CT, TG, HDL-C, LDL-C
ESTUDIOS DIAGNÓSTICOS: ECG PA Tórax M.A.P.A. Ecocardiograma
 
 
 
MAPA:  Monitoreo Ambulatorio de Presión Arterial
 
Riesgo de la H.A.S.  (JNCVI, 1997) Riesgo A: HAS sin factores de riesgo y sin daño a órgano blanco. Riesgo B:   HAS con factores de riesgo,  excepto DM. Riesgo C:   HAS con DM ó daño a órgano blanco.
FACTORES DE RIESGO: No modificables: Género Raza  Edad  DM Herencia Modificables:   Tabaquismo Obesidad Dislipidemia  Alcohol  Sedentarismo Estrés Dieta
Daño a Órgano Blanco: Corazón:  Hipertensión maligna SNC:  Encefalopatía hipertensiva, Hemorragia cerebral, Infarto cerebral, Isquemia C. Transitoria Riñón:  Nefroesclerosis, Insuficiencia Renal Vasos:  Aneurismas, Disección aórtica
 
 
COMPLICACIONES HIPERTENSIVAS: Hipertrofia Ventricular Izquierda Disfunción Diastólica Disfunción Sistólica Insuficiencia Cardiaca Izquierda, Derecha Cardiopatía Isquémica
 
 
 
 
 
 
COMPLICACIONES ATEROSCLERÓTICAS: Cardiopatía Isquémica Enfermedad Vascular Cerebral Enfermedad Vascular Periférica
 
 
 
 
SÍNDROME METABÓLICO: HIPERTENSIÓN ARTERIAL OBESIDAD IMC > 30 DIABETES MELLITUS DISLIPIDEMIA
TRATAMIENTO: 1.- Modificar el estilo de vida 2.- Suspensión del tabaco 3.- Disminución de peso 4.- Restricción de sodio (sal) 5.- Suplementos de Potasio, Calcio y  Magnesio 6.- Aumento de actividad física
TRATAMIENTO: 7.- Moderar el consumo de alcohol 8.-  Otros factores dietéticos:   Aporte de fibra, de grasas, proteínas, carbohidratos, medicamentos para el colesterol, aceite de pescado y ácidos grasos omega-3, antioxidantes, cafeína. 9.- Técnicas de relajación 10.- Ajo y hierbas medicinales
TRATAMIENTO FARMACOLOGICO: A NTAGONISTAS DE RECEPTORES DE ANGIOTENSINA (SARTANES) B ETABLOQUEADORES C ALCIOANTAGONISTAS D IURETICOS E NZIMA CONVERTIDORA DE ANGIOTENSINA INHIBIDORES DE LA
 
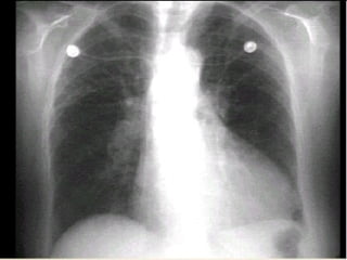
CASO CLÍNICO: Femenina de 78 años con edema agudo pulmonar y PA 170/120 mmHg, FC 120 por minuto, S3 apical, estertores crepitantes. ECG: Eje -30o., Voltaje QRS aumentado en derivaciones V5-V6. RX: Cardiomegalia III/IV y HVCP III/IV ECO: Trastorno de relajación y FE 42%
DIAGNÓSTICO: HAS E-2 primaria, riesgo C por cifras y daño a órgano blanco (Cardiopatía hipertensiva) Insuficiencia Cardiaca por Disfunción mixta: Sistólica y Diastólica,  Clase IV NYHA,  Tres Criterios mayores de Framingham
CONCLUSIONES: La HAS Primaria o Secundaria tiene una elevada morbimortalidad Cardiovascular. La prevalencia va in crescendo acorde a la década de la vida. Amplio espectro clínico: asintomática o con daño a órgano blanco agudo o crónico Enfermedad crónica incurable, controlable
RECORDAR: LA AUSENCIA DE EVIDENCIA NO INDICA EVIDENCIA DE AUSENCIA. EN MEDICINA LO QUE NO SE LEE NO SE PIENSA Y LO QUE NO SE PIENSA NO SE DIAGNOSTICA. Dra. Ma. Celina Preciado Limas
BIBLIOGRAFÍA: Clinical Hypertension, Norman Kaplan, Seventh edition, Williams & Wilkins. Cardiología, José Fdo. Guadalajara Bo, Quinta Edición, Méndez Editores. JNCVII, 2003 Guías de Hipertensión Arterial en México, Instituto Nacional de Cardiología, 2005
 

HipertensióN Arterial Primaria

  • 1.
    HIPERTENSIÓN ARTERIAL SISTÉMICADepto. de Cardiología Facultad de Medicina U.A.G.
  • 2.
    Contenido: Definición EpidemiologíaClasificación JNCVII y HTM Generalidades Tipos y Formas de HAS Patogenia Cuadro Clínico Historia Clínica Estudios Dx. Factores Riesgo Complicaciones Tratamiento
  • 3.
    PRE-LECTIO: Joven de19 años con PA 190/130 mmHg, sin antecedentes HF de hipertensión, asintomático, con pobre respuesta a triple terapia antihipertensiva. E.Físico: Pulsos amplios y fuertes, Ápex enérgico en 5o. EII, LMC. S2 aórtico intenso. Resto sin alteraciones. ECG y RX normales.
  • 4.
    DIAGNÓSTICO: Tipo deHipertensión según cifras de PA, evolución, cuadro clínico y respuesta al tratamiento. Clasificación del JNCVII y del HTM.
  • 5.
    DEFINICION DE HIPERTENSIÓN:Estado anormal de funcionamiento y estructura de las arterias, asociado con disfunción endotelial, constricción y remodelado del músculo liso vascular, aumento de la post-carga y propensión a ateroesclerosis, que se manifiesta por un aumento de la presión arterial. (Jay Cohn, 1998).
  • 6.
    EPIDEMIOLOGÍA: Prevalencia en México es del 22-25%. Adultos 30% y 5% en niños. Prevalencia en Jalisco es del 35%. En México, el 60% de los individuos afectados desconoce su enfermedad. Del 20-50% de las muertes pueden estar relacionadas a HAS. Un 50% de HAS sin Tx. mueren por IAM
  • 7.
  • 8.
    15 17.4 22.528.2 34.3 43.4 48.9 53.8 56.5 59.5 30.05 20-24 25-29 30-34 35-39 40-44 45-49 50-54 55-59 60-64 65-69 Total 0 10 20 30 40 50 60 70 % Diagnóstico Previo Diagnóstico por Encuesta Prevalencia de hipertensión arterial en México* por grupos de edad: ENSA 2000 61% 39% Edad (años) * Datos ponderados para distribución poblacional y sexo, Censo 2000. INEGI Figura 4
  • 9.
    * Distribución Poblacionalsegún Censo 2000 Prevalencia de Hipertensión Arterial* por grupos de edad y sexo 65-69 60-64 55-59 50-54 45-49 40-44 35-39 30-34 25-29 20-24 0 0 1 5 MUJERES HOMBRES 10.5% 13.1% 15.1% 21.7% 27.9% 41.5% 51.5% 56.8% 56.9% 63.7% 22.3% 30.6% 35.4% 41.2% 45.4% 46.2% 54.0% 54.9% 50.5% 20.0% 2 3 4 5 1 4 3 2 Millones de habitantes Grupos de edad (años) Fuente:INEGI/ENSA2000.Elaboró.CENAVE.SALUD Figura 7
  • 10.
    Clasificación de laHipertensión (JNCVII 2003) > 80 > 130 DM/Nefropatía > 100 > 160 Estadio 2 90-99 140-159 Estadio 1 80-89 120-139 Pre-Hipertensión < 80 < 120 Normal PAD (mmHg) PAS (mmHg) Clasificación
  • 11.
    CLASIFICACIÓN HTM (2005)Incluyendo Sx. Metabólico C >95 cm C >85 cm III (55 ó más) (-) 2: >160/100 mmHg B 90-94 B 80-84 II (35-54) (+) 1: 140/90 a 159/109 A < 90 A < 80 I (20-34) Daño a órgano blanco Estadio Cintura Hombre Cintura Mujer Edad
  • 12.
    Generalidades de HAS:Aparece entre los 30 y 50 años. Lentamente progresiva. Asintomática por 10-20 años. Predomina en el hombre. La mujer tiene menos riesgo de muerte por IAM ante cualquier cifra de P.A. La raza negra tiene cifras de P.A. mayores y mayor mortalidad.
  • 13.
  • 14.
    Generalidades de HAS:La HAS es un factor de riesgo CV MAYOR que directamente contribuye a presentar IAM, EVC, IC, Insuficiencia arterial y mortalidad prematura. La Insuficiencia Renal aparece después de 20 años de evolución. El manejo efectivo depende de un buen diagnóstico, un tratamiento individualizado y apego al mismo.
  • 15.
    TIPOS DE HIPERTENSIÓN:Sistólica-Diastólica: a) Primaria b) Secundaria Hipertensión sistólica: a) Aumento del Gasto cardiaco b) Rigidez de la aorta
  • 16.
    HAS Formas depresentación: Aguda (Crisis hipertensivas) Lábil (Variaciones amplias) Crónica establecida Reactiva (Respuesta adrenérgica) De “bata blanca” (Aproximadamente 20%) Normotensión de “bata blanca” Nocturna (Apnea del sueño)
  • 17.
    HAS PRIMARIA: Enfermedadcompleja, poligénica, cuantitativa, de inicio tardío, penetrancia desconocida, fenotipo variable e influencia de factores ambientales. Un 20-50% de sujetos son Na+ sensibles Puede ser NORMO (60%), HIPO (30%, con edema) o HIPERRENINÉMICA (10%, en ausencia de daño renal o isquemia).
  • 18.
    PATOGÉNESIS: La HAS puede ser el resultado del aumento del GASTO CARDIACO (GC) o aumento de RESISTENCIAS VASCULARES PERIFÉRICAS (RVP). Generalmente es por aumento de RVP con GC normal.
  • 19.
    PATOGÉNESIS: El controlde la PA es complejo y multifactorial: DETERMINACION GENETICA PARA RESISTENCIA A LA INSULINA Y DESARROLLO DE HIPERTENSION HIPERSENSIBILIDAD A LA SAL OBESIDAD HIPERACTIVIDAD ADRENERGICA
  • 20.
  • 21.
  • 22.
    RESISTENCIA A LAINSULINA: ↑ Na-sensibilidad Retención Na y H2O ↑ ALDOSTERONA ↑ Respuesta presora ANGIOTENSINA II ↑ Actividad de la bomba Na/K ↓ Enzima ATPasa de la bomba Na/K ↑ Na intracelular ↑ Ca intracelular Estimulación Factores de Crecimiento Estimulación SNA ↓ Prostaglandinas ↑ Endotelinas Impedimento a la vasodilatación
  • 23.
  • 24.
    CUADRO CLÍNICO: CefaleaAcúfenos Fosfenos Epistaxis Disnea Fatiga Angor Rubor facial Mareo
  • 25.
    Historia Clínica dela HAS Duración de la Hipertensión Tratamiento previo a la HAS Ingesta de drogas asociadas a HAS Historia familiar Síntomas sugestivos de HAS Secundaria Otros factores de riesgo Historia nutricional Factores psicosociales Función sexual Hallazgo de Apnea del sueño
  • 26.
  • 27.
    EXAMEN FÍSICO: Medicióncorrecta de la PA Aspecto general, obesidad, lesiones cutáneas, fuerza muscular, estado de alerta alterado. Fondo de ojo (Retinopatía de KWB). Cuello: vasos, tiroides. Corazón: tamaño, ritmo, ruidos.
  • 28.
  • 29.
    EXAMEN FÍSICO: Tórax:Estertores pulmonares. Abdomen: Masas renales, soplos, pulsos, visceromegalias. Extremidades: Pulsos, edemas, enfermedad arterial periférica. Valoración neurológica.
  • 30.
  • 31.
    Técnica de laMedición de P.A. Tomar un mínimo de 2 lecturas por consulta. Toma de P.A. en decúbito, de pie y sentado en ambos brazos. Reposo por 5 minutos antes de medirla. Evitar factores que modifiquen la P.A. Usar mango de tamaño adecuado. Tomar PA sistólica y diastólica con los ruidos I y V de Korotkoff.
  • 32.
  • 33.
    Factores externos que alteran la P.A . Fumar o comer. Ansiedad, discutir. Frío, esfuerzo. Distensión de la vejiga. Alcohol, cafeína.
  • 34.
    Retinopatía Keith-Wagener-Barker: Aumentodel reflejo luminoso Compresión de cruces AV Hemorragia, exudados cotonosos Papiledema
  • 35.
  • 36.
  • 37.
    LABORATORIO: Biometría HemáticaQuímica Sanguínea Ácido Úrico Electrolitos Examen general de orina Lípidos: CT, TG, HDL-C, LDL-C
  • 38.
    ESTUDIOS DIAGNÓSTICOS: ECGPA Tórax M.A.P.A. Ecocardiograma
  • 39.
  • 40.
  • 41.
  • 42.
    MAPA: MonitoreoAmbulatorio de Presión Arterial
  • 43.
  • 44.
    Riesgo de laH.A.S. (JNCVI, 1997) Riesgo A: HAS sin factores de riesgo y sin daño a órgano blanco. Riesgo B: HAS con factores de riesgo, excepto DM. Riesgo C: HAS con DM ó daño a órgano blanco.
  • 45.
    FACTORES DE RIESGO:No modificables: Género Raza Edad DM Herencia Modificables: Tabaquismo Obesidad Dislipidemia Alcohol Sedentarismo Estrés Dieta
  • 46.
    Daño a ÓrganoBlanco: Corazón: Hipertensión maligna SNC: Encefalopatía hipertensiva, Hemorragia cerebral, Infarto cerebral, Isquemia C. Transitoria Riñón: Nefroesclerosis, Insuficiencia Renal Vasos: Aneurismas, Disección aórtica
  • 47.
  • 48.
  • 49.
    COMPLICACIONES HIPERTENSIVAS: HipertrofiaVentricular Izquierda Disfunción Diastólica Disfunción Sistólica Insuficiencia Cardiaca Izquierda, Derecha Cardiopatía Isquémica
  • 50.
  • 51.
  • 52.
  • 53.
  • 54.
  • 55.
  • 56.
    COMPLICACIONES ATEROSCLERÓTICAS: CardiopatíaIsquémica Enfermedad Vascular Cerebral Enfermedad Vascular Periférica
  • 57.
  • 58.
  • 59.
  • 60.
  • 61.
    SÍNDROME METABÓLICO: HIPERTENSIÓNARTERIAL OBESIDAD IMC > 30 DIABETES MELLITUS DISLIPIDEMIA
  • 62.
    TRATAMIENTO: 1.- Modificarel estilo de vida 2.- Suspensión del tabaco 3.- Disminución de peso 4.- Restricción de sodio (sal) 5.- Suplementos de Potasio, Calcio y Magnesio 6.- Aumento de actividad física
  • 63.
    TRATAMIENTO: 7.- Moderarel consumo de alcohol 8.- Otros factores dietéticos: Aporte de fibra, de grasas, proteínas, carbohidratos, medicamentos para el colesterol, aceite de pescado y ácidos grasos omega-3, antioxidantes, cafeína. 9.- Técnicas de relajación 10.- Ajo y hierbas medicinales
  • 64.
    TRATAMIENTO FARMACOLOGICO: ANTAGONISTAS DE RECEPTORES DE ANGIOTENSINA (SARTANES) B ETABLOQUEADORES C ALCIOANTAGONISTAS D IURETICOS E NZIMA CONVERTIDORA DE ANGIOTENSINA INHIBIDORES DE LA
  • 65.
  • 66.
    CASO CLÍNICO: Femeninade 78 años con edema agudo pulmonar y PA 170/120 mmHg, FC 120 por minuto, S3 apical, estertores crepitantes. ECG: Eje -30o., Voltaje QRS aumentado en derivaciones V5-V6. RX: Cardiomegalia III/IV y HVCP III/IV ECO: Trastorno de relajación y FE 42%
  • 67.
    DIAGNÓSTICO: HAS E-2primaria, riesgo C por cifras y daño a órgano blanco (Cardiopatía hipertensiva) Insuficiencia Cardiaca por Disfunción mixta: Sistólica y Diastólica, Clase IV NYHA, Tres Criterios mayores de Framingham
  • 68.
    CONCLUSIONES: La HASPrimaria o Secundaria tiene una elevada morbimortalidad Cardiovascular. La prevalencia va in crescendo acorde a la década de la vida. Amplio espectro clínico: asintomática o con daño a órgano blanco agudo o crónico Enfermedad crónica incurable, controlable
  • 69.
    RECORDAR: LA AUSENCIADE EVIDENCIA NO INDICA EVIDENCIA DE AUSENCIA. EN MEDICINA LO QUE NO SE LEE NO SE PIENSA Y LO QUE NO SE PIENSA NO SE DIAGNOSTICA. Dra. Ma. Celina Preciado Limas
  • 70.
    BIBLIOGRAFÍA: Clinical Hypertension,Norman Kaplan, Seventh edition, Williams & Wilkins. Cardiología, José Fdo. Guadalajara Bo, Quinta Edición, Méndez Editores. JNCVII, 2003 Guías de Hipertensión Arterial en México, Instituto Nacional de Cardiología, 2005
  • 71.