INFARTO AGUDO DEL
MIOCARDIO
JUAN FELIPE CEBALLOS
CAROLINA HENAO MUÑOZ
ESTEFANIA SALDARRIAGA
INFARTO AGUDO DEL
MIOCARDIO
• Es una zona de necrosis por coagulación
a nivel de miocardio por perdida de
oxigenación por debajo de un nivel critico
compatible con la supervivencia del tejido
afectado
INCIDENCIA Y FACTORES DE
RIESGO
• Se puede dar en cualquier edad
• Predisposiciones a la aterosclerosis
• Consumo de sustancias de abuso
CAUSAS
• Arteriosclerosis
• Sedentarismo
• Fumadores
• Dislipidemia
• Hipertensión arterial
• Obesidad
• Embolismo coronario
• Anomalías congénitas
• Espasmo coronario
• Enfermedades inflamatorias
• Otros factores: territorio afectado, lisis
temprana espontánea, vasos colaterales.
OCLUSIÓN ARTERIA CORONARIA
• El evento inicial es un cambio repentino
en una placa de ateroma , que puede
consistir en la hemorragia intraplaca ,
erosión o ulceración, o ruptura o fisura.
MANIFESTACIONES
CLINICAS:
• Dolor torácico:
• Disnea, reduce el gasto cardiaco,
diaforesis, debilidad, mareos,
palpitaciones, nauseas.
• Infartos silenciosos:
Pacientes con Diabetes, Edad
avanzada.
MANIFESTACIONES CLINICAS:
• Signo de Levine
• Signos graves Pérdida del
conocimiento, shock carcinogénico,
muerte súbita.
HISTOPATOLOGIA:
FISIOPATOLOGIA:
• Infarto
transmural: es
el más común.
FISIOPATOLOGIA:
• Infarto subendocardico:
compromete menos de
la mitad del espesor del
ventrículo y en la mayoría
de los casos afecta solo
el tercio interno
adyacente a la superficie
subendocardica
VASOCONSTRICCIÓN CORONARIA
Y VASOESPASMO
• La cocaína induce vasoconstricción de
arteria epicárdicas y en arteriolas. Los
efectos vasoconstrictores de la cocaína
en las arterias coronarias se ejercen
mediante el estímulo de los receptores
alfa adrenérgicos
LAS ARTERIAS CORONARIAS CON MAYOR FRECUENCIA
Y LOS SITIOS DE NECROSIS SON LOS SIGUIENTES:
• Descendente anterior izquierda: (50%)
• Arteria coronaria derecha: (25%)
• Circunfleja izquierda: (15%)
DIAGNOSTICO
• Clínica inicial
IMSEST/AI
Si el paciente tiene una gran zona de
isquemia de miocardio o IMEST de gran
tamaño
Síntoma clásico
Localización
Irradiación
• Diagnósticos diferenciales – (Dolor)
Pericarditis
Embolia pulmonar
Disección aórtica aguda
Costocondritis
Trastornos gastrointestinales
TRAZOS
ELECTROCARDIOGRÁFICOS
ECGAngina inestable 30-50% de los pacientes
presenta depresión del segmento ST, elevación
transitoria del mismo, inversión de la onda T o las
dos alteraciones simultáneamente.
ELECTROCARDIOGRAMA
• Elevación del segmento ST
• Ondas Q
• sin elevación de ST puede presentar infarto
miocárdico con onda Q
• Otros términos: IM con onda Q o IM sin onda Q;
IM transmural y no transmural.
SUPRADESNIVEL DEL ST
ONDAS Q
ISQUEMIA SUBEPICARDICA
ISQUEMIA
SUBENDOCARDICA
INDICADORES BIOLÓGICOS
CARDIACOS
•Necrosis
CK (Creatine Kinase)
MB
Troponina
Medición basal, repetición a las 4, 6 y 12h
posterior a atención inicial
→ Proteínas liberadas a sangre debido a tejido miocárdico
isquémico
OTROS ANÁLISIS
Hemoleucograma
•Leucocitosis
Tasa de eritrosedimentación
• Aumenta con mayor lentitud que el número de
leucocitos.
•Imagenología
MRI cardiaca de alta resolución
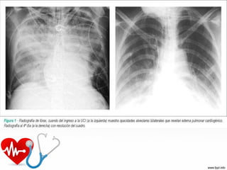
RX de tórax
• Mediante técnica de contraste tardío
• Detección con precisión de IM
Prueba de esfuerzo
Angiografía-Tomografía computarizada
(Angio-TAC) – descartar CAD obstructiva.
COMPLICACIONES
Disfunción contráctil
• Los IM producen alteraciones del Ventrículo Izquierdo
más o menos proporcionales a su tamaño.
• Insuficiencia ventricular izquierda con hipotensión
• Después de IAM → Fallo de la bomba (shock
cardiógenico)
ARRITMIAS
• Bradicardia sinusal
• Bloqueo cardiaco (asistolia)
• Taquicardia
• Extrasístoles o taquicardias ventriculares
• Fibrilación ventricular
• Bloqueo cardiaco – compromiso de Haz
de His
ROTURA MIOCÁRDICA
•Los síndromes de la rotura miocárdica se
relacionan con el reblandecimiento y
fragilidad del miocardio necrótico y más
tarde inflamado.
1.Rotura de la pared libre ventricular
2.Rotura del tabique interventricular
3.Rotura de los músculos papilares
ROTURA ANTERIOR MIOCÁRDICA EN IAM
LA RUPTURA DEL SEPTUM
INTERVENTRICULAR
SEUDOANEURISMA
• Rotura incompleta de la pared ventricular,
asociado a bridas pericárdicas.
pericarditis fibrinosa , mostrando una superficie epicárdica
oscuro, rugosa que cubre un infarto agudo
• PERICARDITIS
Ocurre alrededor el
segundo a tercer día
tras un infarto
trasparietal.
la rotura completa de un músculo papilar
necrótico
la expansión temprana de infarto anteroapical con
pared de adelgazamiento (flecha) y trombo mural
gran aneurisma ventricular izquierda apical. El ventrículo
izquierdo está a la derecha en esta vista apical de cuatro
cámaras del corazón.
• Infarto ventricular derecho
• Extensión del infarto
• Expansión del infarto
• Trombo parietal
• Aneurisma ventricular
• Disfunción de los músculos
papilares
• Insuficiencia cardiaca tardía
progresiva
INFARTO AGUDO DE MIOCARDIO.
CLASIFICACIÓN DE KILLIP
DIAGNÓSTICOS DIFERENCIALES
• Pericarditis.
• Angina inestable.
• Aneurisma disecante de aorta.
• Valvulopatías.
• Dolores pleuro-pulmonares.
• Enfermedades del esófago.
• Alteraciones de la pared toráxica
• Ulcera gastroduodenal.
• Cólico biliar.
BIBLIOGRAFIA
• Principios de Medicina
Interna - Harrison Medicina
• Robbins Patologia Humana 8ª

Iam

Notas del editor

  • #10 Esquema de la progresión secuencial de lesiones en las arterias coronarias y su relación con diversos síndromes coronarios agudos.
  • #12 Secuencia temporal de principios de los hallazgos bioquímicos y la progresión de la necrosis después de la aparición de isquemia miocárdica grave . Una , cambios tempranos incluyen pérdida de trifosfato de adenosina (ATP ) y la acumulación de lactato . B, durante aproximadamente 30 minutos después del inicio de la isquemia aun más grave, la lesión miocárdica es potencialmente reversible. A partir de entonces , la pérdida progresiva de la viabilidad se produce que es completa por 6 a 12 horas . Los beneficios de la reperfusión son mayores cuando se logra temprano, y se pierden progresivamente cuando la reperfusión se retrasa .
  • #14 Angiografía postmortem muestra la cara posterior del corazón de un paciente que murió durante la evolución del infarto agudo de miocardio , lo que demuestra la oclusión total de la arteria coronaria derecha distal por un trombo agudo ( flecha) y una gran zona de hipoperfusión miocárdica implica la posterior izquierda y ventrículos derecho , como se indica por puntas de flecha , y que tiene de llenado casi ausente de los capilares . El corazón ha sido fijado por perfusión arterial coronaria con glutaraldehído y se aclaró con salicilato de metilo, seguido de la inyección intracoronaria de polímero de silicona (amarillo)
  • #15 La progresión de la necrosis miocárdica después de la oclusión de la arteria coronaria. La necrosis comienza en una pequeña zona del miocardio debajo de la superficie endocárdica en el centro de la zona isquémica . El área que depende del vaso ocluido para perfusión es el "riesgo" miocardio (sombreado ) . Tenga en cuenta que una zona muy estrecha de miocardio inmediatamente debajo de la endocardio está a salvo de la necrosis , ya que puede ser oxigenada por difusión desde el ventrículo .
  • #17 Las características microscópicas de infarto de miocardio y su reparación . A, infarto de un día de edad, mostrando necrosis y onduladas fibras coagulantes ( alargado y estrecho, en comparación con las fibras normales adyacentes a la derecha) . Espacios ensanchados entre las fibras muertas contienen líquido del edema y neutrófilos dispersos. B , polimorfonucleares denso infiltrado leucocitario en la zona de infarto agudo de miocardio de 3 a 4 días de duración . C , la eliminación casi completa de los miocitos necróticos por fagocitosis ( aproximadamente de 7 a 10 días ) . D, tejido de granulación caracterizado por colágeno flojo y abundantes capilares . E, infarto de miocardio bien curado con el reemplazo de las fibras necróticas por densa cicatriz de colágeno . Unas pocas células musculares cardiacas residuales están presentes
  • #18 Consecuencias de la isquemia miocárdica seguida de reperfusión . Una ilustración , esquemática de la progresión de la lesión isquémica del miocardio y su modificación por la restauración del flujo ( reperfusión ) . Corazones que sufren breves períodos de isquemia de más de 20 minutos, seguido de reperfusión no se desarrollan necrosis ( lesiones reversibles ) . Breve isquemia seguida de reperfusión produce en asombrosa . Si la oclusión coronaria se extiende más allá de 20 minutos de duración , un frente de onda de la necrosis progresa de subendocardio a subepicardio con el tiempo. La reperfusión antes de 3 a 6 horas de isquemia rescata el tejido isquémico pero viable. Este tejido rescatado también puede demostrar impresionante. La reperfusión más allá de 6 horas no apreciable a reducir el tamaño del infarto del miocardio. B , Gross y C , la apariencia microscópica de miocardio modificado por reperfusión . B , Grande, hemorrágica densamente , pared anterior infarto agudo de miocardio en un paciente con descendente anterior trombo de la arteria tratada con estreptoquinasa , un agente fibrinolítico ( cloruro manchados trifeniltetrazolio rebanada corazón). Espécimen orientado con pared posterior en la parte superior . C , infarto
  • #23 Distribución de la necrosis isquémica del miocardio en correlación con la localización y la naturaleza de la disminución de la perfusión . A la izquierda, las posiciones de los infartos agudos transmurales resultantes de las oclusiones de las arterias coronarias ; arriba a abajo, descendente anterior , circunfleja y la coronaria derecha . Cierto, los tipos de infartos que resultan de una oclusión parcial o transitoria , hipotensión global, o intramurales pequeñas oclusiones de los vasos