LECTURA DE CASO 15.05.2017
Hª Clínica
Paciente varón de 58 años.
Sin antecedentes personales
de interés.
Masa palpable indolora en
pared torácica derecha.
3 semanas de evolución.
Crecimiento progresivo.
RM T1:
Lesión intramuscular,
ovalada, bien delimitada,
isointensa aunque con
áreas internas de baja
señal (tejido mixoide,
degeneración quística,
necrosis).
Expande el pectoral mayor.
Proximidad a la
articulación glenohumeral
y paquete vascular.
RM T2: .
Hiperintensa.
Complejidad interna.
Polo homogéneo con
septos.
Estriaciones y bandas
transversales con
intensidad de señal
intermedia.
Pseudocápsula
periférica. Banda
hipointensa periférica.
RM T2:
Yuxarticular;
Proximidad paquete
vascular.
RM T1FS C+:
Realce anular periférico y
de algunos septos internos.
Área central hipointensa,
correspondencia con polo
hiperintenso T2.
Vascularización satélite.
RM T1 FS C+ Sag.
RM T1FS C+:
Tendencia a realce
progresivo en fase tardía
con zonas de lavado.
ECOGRAFÍA:
Ecogenicidad mixta.
Heterogeneidad.
Áreas centrales
serpinginosas hipoecoicas.
ECOGRAFÍA
ECOGRAFÍA:
7 cm en diámetro mayor
CC;
Vascularización periférica¿?
RESUMEN
RESUMEN:
Neoformación de probable
estirpe mesenquimal, con
heterogeneidad interna, alta
vascularización periferica y
necrosis central; probable alto
grado.
SARCOMA PLEOMÓRFICO
INDIFERENCIADO.
HISTIOCITOMA FIBROSO
MALIGNO.
SARCOMA SINOVIAL.
...
PATOLOGÍA: Áreas lobuladas hipercelulares separadas por bandas
entrelazadas de colégeno; tejido mixoide; espacios vaculares con fibrina.
PATOLOGÍA: Células fusiformes de aspecto fibroblástico dispuestas en
fascículos o bandas entorno a espacios vasculares dilatados con morfología ''en asta de ciervo''
configurando un patrón hemangiopericitoide.
PATOLOGÍA:
Células fusiformes y ovoladas de
aspecto miofibroblástico.
Atipia citonuclear.
Núcleos bizarros .
Células multinucleadas.
Índice mitótico.
PATOLOGÍA:
Áreas de degeneración mixoide.
Necrosis.
Hialinización y bandas de
colágeno.
Hemorragia y trombosis vascular.
IHQ: BCL2. CD34. SAT6.
PATOLOGÍA:
Microscópica
● Tumor mesenquimal, bien delimitado, rodeado periféricamente por tejido fibroadiposo y musculo
estriado.
● Constituido por células fusiformes y ovoideas de aspecto fibroblástico, con zonas hipercelulares
y áreas de marcada atípia citonuclear, con núcleos bizarros y células multinucleadas. Las
células se disponen en bandas o fascículos entrelazados y arremolinados, en torno a vasos
sanguíneos o focalmente, configurando un patrón hemangiopericitoide.
● Áreas de degeneración quística, áreas mixoides, zonas de hemorragia con trombosis vascular y
focos de necrosis.
● Infiltración del tejido adiposo circundante aunque bordes de resección libres.
● Índice mitósico: 47M/10CGA.
● Inmunofenotipo: bcl-2 +, CD99+, CD34+, Desmina +, Vimentina+, S100-
PATOLOGÍA
Diagnóstico:
● Sarcoma con características histológicas e inmunohistoquímicas de
Tumor Fibroso Solitario Maligno.
TUMOR FIBROSO
SOLITARIO
Neoplasia ubiqua de origen
mesenquimal.
80% benignos.
20-70 años.
1936 Klemperer y Rabin TSF y
1942 Stout y Murray HPC: células
fusiformes contractiles rodeando
capilares.
Entidades que pertenecen al
mismo espectro.
Forma extrapleural más común.
Descripción a múltiples niveles.
Presentación variable: masa
indolora de crecimiento
progresivo. Hipoglucemia.
TFS
Histología
Masas bien delimitadas,
parcialmente encapsuladas,
blanquecinas y firmes al corte,
altamente vasculares, con
cambios mixoides y hemorrágicos.
Arquitectura interna característica:
alternancia de áreas
hipercelulares (células fusiformes),
hipocelulares (bandas de
colágeno) y elementos vasculares
ramificados. Variante celular/
fibrosa. Patrón vascular tipo
hemangiopericitoma.
CD34+ CD99+ Ki67<5%
Citoqueratina-, S100- S117-.
Permiten la distincion de otra
entidades de estirpe mesenquimal.
TFS
Histología
INDICADORES DE MALIGNIDAD:
- Lesiones hipercelulares con
marcada atipia celular
- Numerosas mitosis (>4 mitosis
por 10 campos de aumento)
- Pleomorfismo nuclear
- Necrosis tumoral
Factor pronóstico:
- Margenes libres en resección
quirúrgica.
TFS
subcutáneo:
Áreas de aumento de
señal interno con patrón
ramificado.
Ramas vasculares
satélites.
Relleno tardío.
Variante
lipomatosa:
TCSC
T1
T2FS.
T1FSC+
TFS EXTRAPLEURAL
Correlación RM-AP
T2: Áreas hipercelulares y estroma
mixoide alta señal. Zonas fibróticas
con colégeno denso e
hipocelularidad baja señal.
C+/Perfusión: Áreas vasculares:
Realce precoz, fase de meseta y
lavado tardío. Áreas fibróticas:
realce progresivo y mantenido en
fase tardía.
DWI/ADC: Restricción en relación
con área de alta densidad celular.
Valores ADC altos: espacios
vasculares, degeneración quística,
estroma mixoide, necrosis.Valores
ADC bajos: áreas fibróticas.
TFS
Correlación RM-AP
T2: Áreas hipercelulares y estroma
mixoide alta señal. Zonas fibróticas
con colégeno denso e
hipocelularidad baja señal.
Referencias:
StatDX
TFS
Correlación RM-AP
C+/Perfusión: Áreas vasculares:
Realce precoz, fase de meseta y
lavado tardío. Áreas fibróticas:
realce progresivo y mantenido en
fase tardía.
Referencias: Unidad de
Diagnóstico por Imagen (Galaria),
Complejo Hospitalario
Universitario de Vigo - Vigo/ES
TFS
Correlación RM-AP
DWI/ADC: Restricción en relación
con área de alta densidad celular.
ADC altos: espacios vasculares,
degeneración quística, estroma
mixoide, necrosis.
ADC bajo: áreas fibróticas. Referencias: Unidad de Diagnóstico por
Imagen (Galaria), Complejo Hospitalario
Universitario de Vigo - Vigo/ES
DIAGNÓSTICO DIFERENCIAL
● LIPOSARCOMA MIXOIDE
● SARCOMA PLEOMÓRFICO
● HISTIOCITOMA FIBROSO
● SARCOMA FIBROMIXOIDE
● SARCOMA SINOVIAL
● GIST
SARCOMA
SINOVIAL:
TCSC: focos de calcificación.
T2FS: 3 intensidades: tumor
sólido, hemorragia y necrosis.
T1C+: realce periférico y área
central de necrosis
Adultos jóvenes.
LIPOSARCOMA
MIXOIDE:
T1: lesión hipointensa (mixoma
intramuscular) con tejido hiperintenso
en el aspecto inferior.
PDFS: pérdida de señal mientras que el
resto de la lesión y la cola demuestran
hiperintensidad (consistente con tejido
mixoide).
T1C+: realce intenso con áreas
hipointensas (necrosis intratumoral).
Liposarcoma desdiferenciado: alterna
focos de sarcoma de bajo grando.
Lipoblastos.
SARCOMA
PLEOMORFICO
T1: masa isointensa con focos
puntiformes de aumento de señal.
Abomba la fascia sin evidencia de
infiltración.
T2FS: l. predominantemente
hiperintensa con áreas internas de
mayor intensidad y septaciones.
Irregularidad en TCS por intentos
previos de drenaje.
T1C+: realce periférico.
SARCOMA
FIBROMIXOIDE DE
BAJO GRADO:
T1: Masa en el adductor corto, isointensa con
área internas de baja señal consistentes con
estroma mixoide, degeneración quística o
necrosis (poco común en esta entidad).
T2FS: hiperintensa con septos y focos
puntiformes de baja intensidad.
T1FSC+: realce periférico con con sólida internas
de realce y áreas mixoides sin captación.
CONCLUSIÓN
● TFS maligno entidad rara
● Pertenece a un grupo amplio de neoplasias mesenquimales de
orígen miofibrobástico.
● HPC sinónimo.
● Histología característica. Difícil DD. IHQ.
BILIOGRAFÍA
1. Stout P, Murray MR. Hemangiopericytoma: a vascular tumor featuring Zimmermann’s pericytes.
Ann Surg. 1942;116:26–33.
2. Klemperer P, Rabin CB. Primary neoplasm of the pleura: a report of five cases. Arch Pathol.
1931;11:385–412.
3. Gold JS, Antonescu CR, Hajdu C, et al. Clinicopathologi
correlates of solitary fibrous tumors. Cancer 2002;94(4):1057–1068.
4. Fletcher CD. The evolving classification of soft tissue tumours: an update based on the new WHO
classification. Histopathology 2006;48(1):3–12.
5. Koch M, Nielsen GP, Yoon SS. Malignant tumors of blood vessels: angiosarcomas,
hemangioendotheliomas, and hemangioperictyomas. J Surg Oncol 2008; 97(4):321–3296.
6. StatDX
Lectura de caso: mayo2017

Lectura de caso: mayo2017

  • 1.
    LECTURA DE CASO15.05.2017
  • 2.
    Hª Clínica Paciente varónde 58 años. Sin antecedentes personales de interés. Masa palpable indolora en pared torácica derecha. 3 semanas de evolución. Crecimiento progresivo.
  • 3.
    RM T1: Lesión intramuscular, ovalada,bien delimitada, isointensa aunque con áreas internas de baja señal (tejido mixoide, degeneración quística, necrosis). Expande el pectoral mayor. Proximidad a la articulación glenohumeral y paquete vascular.
  • 4.
    RM T2: . Hiperintensa. Complejidadinterna. Polo homogéneo con septos. Estriaciones y bandas transversales con intensidad de señal intermedia. Pseudocápsula periférica. Banda hipointensa periférica.
  • 5.
  • 6.
    RM T1FS C+: Realceanular periférico y de algunos septos internos. Área central hipointensa, correspondencia con polo hiperintenso T2. Vascularización satélite.
  • 7.
    RM T1 FSC+ Sag.
  • 8.
    RM T1FS C+: Tendenciaa realce progresivo en fase tardía con zonas de lavado.
  • 9.
  • 10.
  • 11.
    ECOGRAFÍA: 7 cm endiámetro mayor CC; Vascularización periférica¿?
  • 12.
  • 13.
    RESUMEN: Neoformación de probable estirpemesenquimal, con heterogeneidad interna, alta vascularización periferica y necrosis central; probable alto grado. SARCOMA PLEOMÓRFICO INDIFERENCIADO. HISTIOCITOMA FIBROSO MALIGNO. SARCOMA SINOVIAL. ...
  • 14.
    PATOLOGÍA: Áreas lobuladashipercelulares separadas por bandas entrelazadas de colégeno; tejido mixoide; espacios vaculares con fibrina.
  • 15.
    PATOLOGÍA: Células fusiformesde aspecto fibroblástico dispuestas en fascículos o bandas entorno a espacios vasculares dilatados con morfología ''en asta de ciervo'' configurando un patrón hemangiopericitoide.
  • 16.
    PATOLOGÍA: Células fusiformes yovoladas de aspecto miofibroblástico. Atipia citonuclear. Núcleos bizarros . Células multinucleadas. Índice mitótico.
  • 18.
    PATOLOGÍA: Áreas de degeneraciónmixoide. Necrosis. Hialinización y bandas de colágeno. Hemorragia y trombosis vascular.
  • 19.
  • 20.
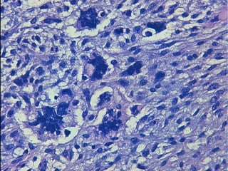
    PATOLOGÍA: Microscópica ● Tumor mesenquimal,bien delimitado, rodeado periféricamente por tejido fibroadiposo y musculo estriado. ● Constituido por células fusiformes y ovoideas de aspecto fibroblástico, con zonas hipercelulares y áreas de marcada atípia citonuclear, con núcleos bizarros y células multinucleadas. Las células se disponen en bandas o fascículos entrelazados y arremolinados, en torno a vasos sanguíneos o focalmente, configurando un patrón hemangiopericitoide. ● Áreas de degeneración quística, áreas mixoides, zonas de hemorragia con trombosis vascular y focos de necrosis. ● Infiltración del tejido adiposo circundante aunque bordes de resección libres. ● Índice mitósico: 47M/10CGA. ● Inmunofenotipo: bcl-2 +, CD99+, CD34+, Desmina +, Vimentina+, S100-
  • 21.
    PATOLOGÍA Diagnóstico: ● Sarcoma concaracterísticas histológicas e inmunohistoquímicas de Tumor Fibroso Solitario Maligno.
  • 22.
    TUMOR FIBROSO SOLITARIO Neoplasia ubiquade origen mesenquimal. 80% benignos. 20-70 años. 1936 Klemperer y Rabin TSF y 1942 Stout y Murray HPC: células fusiformes contractiles rodeando capilares. Entidades que pertenecen al mismo espectro. Forma extrapleural más común. Descripción a múltiples niveles. Presentación variable: masa indolora de crecimiento progresivo. Hipoglucemia.
  • 23.
    TFS Histología Masas bien delimitadas, parcialmenteencapsuladas, blanquecinas y firmes al corte, altamente vasculares, con cambios mixoides y hemorrágicos. Arquitectura interna característica: alternancia de áreas hipercelulares (células fusiformes), hipocelulares (bandas de colágeno) y elementos vasculares ramificados. Variante celular/ fibrosa. Patrón vascular tipo hemangiopericitoma. CD34+ CD99+ Ki67<5% Citoqueratina-, S100- S117-. Permiten la distincion de otra entidades de estirpe mesenquimal.
  • 24.
    TFS Histología INDICADORES DE MALIGNIDAD: -Lesiones hipercelulares con marcada atipia celular - Numerosas mitosis (>4 mitosis por 10 campos de aumento) - Pleomorfismo nuclear - Necrosis tumoral Factor pronóstico: - Margenes libres en resección quirúrgica.
  • 25.
    TFS subcutáneo: Áreas de aumentode señal interno con patrón ramificado. Ramas vasculares satélites. Relleno tardío.
  • 26.
  • 27.
    TFS EXTRAPLEURAL Correlación RM-AP T2:Áreas hipercelulares y estroma mixoide alta señal. Zonas fibróticas con colégeno denso e hipocelularidad baja señal. C+/Perfusión: Áreas vasculares: Realce precoz, fase de meseta y lavado tardío. Áreas fibróticas: realce progresivo y mantenido en fase tardía. DWI/ADC: Restricción en relación con área de alta densidad celular. Valores ADC altos: espacios vasculares, degeneración quística, estroma mixoide, necrosis.Valores ADC bajos: áreas fibróticas.
  • 28.
    TFS Correlación RM-AP T2: Áreashipercelulares y estroma mixoide alta señal. Zonas fibróticas con colégeno denso e hipocelularidad baja señal. Referencias: StatDX
  • 29.
    TFS Correlación RM-AP C+/Perfusión: Áreasvasculares: Realce precoz, fase de meseta y lavado tardío. Áreas fibróticas: realce progresivo y mantenido en fase tardía. Referencias: Unidad de Diagnóstico por Imagen (Galaria), Complejo Hospitalario Universitario de Vigo - Vigo/ES
  • 30.
    TFS Correlación RM-AP DWI/ADC: Restricciónen relación con área de alta densidad celular. ADC altos: espacios vasculares, degeneración quística, estroma mixoide, necrosis. ADC bajo: áreas fibróticas. Referencias: Unidad de Diagnóstico por Imagen (Galaria), Complejo Hospitalario Universitario de Vigo - Vigo/ES
  • 31.
    DIAGNÓSTICO DIFERENCIAL ● LIPOSARCOMAMIXOIDE ● SARCOMA PLEOMÓRFICO ● HISTIOCITOMA FIBROSO ● SARCOMA FIBROMIXOIDE ● SARCOMA SINOVIAL ● GIST
  • 32.
    SARCOMA SINOVIAL: TCSC: focos decalcificación. T2FS: 3 intensidades: tumor sólido, hemorragia y necrosis. T1C+: realce periférico y área central de necrosis Adultos jóvenes.
  • 33.
    LIPOSARCOMA MIXOIDE: T1: lesión hipointensa(mixoma intramuscular) con tejido hiperintenso en el aspecto inferior. PDFS: pérdida de señal mientras que el resto de la lesión y la cola demuestran hiperintensidad (consistente con tejido mixoide). T1C+: realce intenso con áreas hipointensas (necrosis intratumoral). Liposarcoma desdiferenciado: alterna focos de sarcoma de bajo grando. Lipoblastos.
  • 34.
    SARCOMA PLEOMORFICO T1: masa isointensacon focos puntiformes de aumento de señal. Abomba la fascia sin evidencia de infiltración. T2FS: l. predominantemente hiperintensa con áreas internas de mayor intensidad y septaciones. Irregularidad en TCS por intentos previos de drenaje. T1C+: realce periférico.
  • 35.
    SARCOMA FIBROMIXOIDE DE BAJO GRADO: T1:Masa en el adductor corto, isointensa con área internas de baja señal consistentes con estroma mixoide, degeneración quística o necrosis (poco común en esta entidad). T2FS: hiperintensa con septos y focos puntiformes de baja intensidad. T1FSC+: realce periférico con con sólida internas de realce y áreas mixoides sin captación.
  • 36.
    CONCLUSIÓN ● TFS malignoentidad rara ● Pertenece a un grupo amplio de neoplasias mesenquimales de orígen miofibrobástico. ● HPC sinónimo. ● Histología característica. Difícil DD. IHQ.
  • 37.
    BILIOGRAFÍA 1. Stout P,Murray MR. Hemangiopericytoma: a vascular tumor featuring Zimmermann’s pericytes. Ann Surg. 1942;116:26–33. 2. Klemperer P, Rabin CB. Primary neoplasm of the pleura: a report of five cases. Arch Pathol. 1931;11:385–412. 3. Gold JS, Antonescu CR, Hajdu C, et al. Clinicopathologi correlates of solitary fibrous tumors. Cancer 2002;94(4):1057–1068. 4. Fletcher CD. The evolving classification of soft tissue tumours: an update based on the new WHO classification. Histopathology 2006;48(1):3–12. 5. Koch M, Nielsen GP, Yoon SS. Malignant tumors of blood vessels: angiosarcomas, hemangioendotheliomas, and hemangioperictyomas. J Surg Oncol 2008; 97(4):321–3296. 6. StatDX