Aitor Costales Sánchez
MIR Radiodiagnóstico
Hospital Universitario de Salamanca
OBJETIVOS
 Radiación en el paciente pediátrico
 Ecografía pediátrica
 Abdominopélvica
 Transfontanelar
 Canal vertebral
 Torácica
 Diafragma
 Cervical
 Cadera
 Partes blandas
RADIACIÓN PACIENTE PEDIÁTRICO
 Paciente pediátrico
 Radiosensible (células inmaduras), > t. expresión de los
efectos
 < superficie corporal
 1 sV  1 % adulto / 15 % pediatrico < 10a
 Incremento 800% nº de TC en pacientes pediátricos
(80’s)
¡¡¡USO RACIONAL  < dosis sin sacrificar calidad
diagnóstica!!! (ALARA)
RADIACIÓN PACIENTE PEDIÁTRICO
 Justificación
 Optimización
 Personal entrenado
 Protocolos pediátricos
 Centrar área de interés (< dosis absorbida 30-50%)
 Radioprotección (bandas plomadas, sujección
mecánica, ajuste de dosis, etc.)
 Uso de pruebas alternativas (Eco, RM)
ECOGRAFÍA PEDIÁTRICA
 Pros:
 No radiación ionizante
 Rápida, reproducible, bajo coste, “sencilla”
 Buena resolución anatómica (alta S)
 No sedación
 Información en tiempo real (guía intervencionista)
 Pórtatil (“a pie de cama”)
 No sedación
 Contras:
 Dependiente del operador
 Limitación anatómica (hueso, aire, IMC)
ECOGRAFÍA
PEDIÁTRICA
 Técnica
 Indicaciones
 Anatomía ecográfica
 Variantes anatómicas
 Embriología
 Patología (correlación RM)
ECOGRAFÍA PEDIÁTRICA
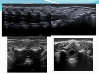
CANAL VERTEBRAL
TÉCNICA
 Sonda lineal alta frecuencia (7-12 MHz)
 Decúbito prono o lateral
 Toalla abdominal
 Planos axial y sagital
CONFORT
 Alimentación
previa
 Luz cálida
 No ruido
 Tª gel y manos
 Madre/padre
INDICACIONES
 Masas subcutáneas de la línea media
 Pacientes asintomáticos con estigmas cutáneos
(despistaje)
 Disrafismo conocido (resto de médula)
 Sospecha de médula anclada (evaluación postQx)
 Daño medular: parto, trauma, infección
 Hemorragia intracraneal
 Pre/post punción lumbar
* Hoyuelo bajo riesgo: diámetro < 5 mm, < 2,5 cm del ano
* Hoyuelo alto riesgo: > 5 mm, > 2,5 cm del ano
ANATOMÍA
 Identificar:
 Espacio subaracnoideo
 Meninges
 Médula espinal (canal ependimario)
 Cono medular
 Filum terminale
 Cola de caballo y raíces nerviosas
 Elementos óseos
MENINGES
Ecogénico  meninges (duramadre) / Hipoecogenico  espacio
subaracnoideo / Ecogénico  meninges (aracnoides y piamadre)
MÉDULA ESPINAL
CONO MEDULAR (L1-L2)
¿Cómo localizarlo?
FILUM TERMINALE
 Filum terminale ecogénico
 < 2 mm Transicion L5-S1
 Ddx con raíces de CC
CAUDA EQUINA
Movimiento
(Modo M)
Simetría
Asimetría =
anomalía (masa
ocupante de
espacio)
ELEMENTOS ÓSEOS
 Arco posterior (plano transverso)
 Cuerpos vertebrales (alineación, forma, simetría)
VARIANTES ANATÓMICAS
 Dilatación transitoria del
canal central
 Quiste del filum (< CM)
 Ventriculus terminalis (> CM)
 Pseudoseno
 Morfología y aspecto del
cóccix
 Pseudomasa (agrupamiento
de las raíces) otro abordaje.
 Pseudoseno (tracto fibroso) del cóccix a la piel
(hoyuelo)
DDx: Seno dérmico (localización más craneal)
si sale LCR  seno real (RM)
PATOLOGÍA DEL CANAL VERTEBRAL
DISRAFISMOS
ESPINALES
Cerrados
Con masa
subcutánea
Sin masa
subcutánea
(ocultos)
Abiertos
Malformación congénita de
la columna vertebral y
médula espinal debida a la
falta de cierre total o
parcial de las estructuras
neurales, óseas o
mesenquimales de la línea
media
DISRAFISMO ESPINAL
 Gastrulación (2ª-3ª S)
 Neurulación primaria (3ª-4ª S)
 Neurulación secundaria (5ª-6ª S)
EMBRIOLOGÍA
EMBRIOLOGÍA
Médula anclada
(anomalía en la regresión incompleta e involución de la médula distal)
 Engloba múltiples síntomas NRL y ortopédicos
derivados del anclaje anómalo del FT y raíces nerviosas
 Asociación con múltiples disrafismos cerrados (lipoma
espinal, filum terminal engrosado, diastematomielia,
sd. de regresión caudal)
 Posición excéntrica de la médula
 Cono medular inferior a disco L2-L3
 Modo M  ausencia o < movimiento
Médula anclada
 Asociaciones:
 Filum engrosado
 Fibrolipoma
 Disrafismo espinales
 Siringomielia
 Escoliosis
 Masas espinales (lipomas, dermoides, quistes)
 Fibrosis postquirúrgica
 Otras: VACTERL, anomalías cardiacas, fistulas
traqueoesofágicas…
MÉDULA ANCLADA
DISRAFISMO ESPINAL ABIERTO
MIELOCELE/MIELOMENINGOCELE
 2/1.000 RN (Dx clínico)
 Neurulación 1ª (defecto
fusión dorsal pliegues neurales)
 Defecto cutáneo
 Exposición de la placoda neural
 MIELOMENINGOCELE (98%)
 Lumbosacra (44%)  Médula anclada
 Asocia
 Espina bífida extensa
 Canal raquídeo ensanchado (> Subarac.)
 Chiari II
 Hidrocefalia (80%)
 Lipoma intradural (75%)
placoda neural elevada
sobre la piel
 MIELOCELE
 Placoda neural al ras de la piel
 HEMIMIELOCELE Y HEMIMIELOMENINGOCELE
DISRAFISMO ESPINAL ABIERTO
MIELOCELE/MIELOMENINGOCELE
 Lipomas con defecto dural
 Lipomielocele
 Lipomielomeningocele
 Meningocele
 Simple
 Anterior (sin masa)
 Intrasacro (sin masa)
 Mielocistocele
 Terminal
 No terminal
DISRAFISMO ESPINAL CERRADO
B. Con masa subcutánea
 Lipomielocele (X2)
 Neurulación 1ª (tj. Mesenquimas entra al tubo neural)
 Masa subcutánea medial móvil + estigmas cutáneos
 Diferencia  localización interfase placoda-lipoma (canal raquídeo)
LIPOMAS CON DEFECTO DURAL
 Lipomielomeningocele
 Menos frecuente que lipomielocele
 Interfase placoda-lipoma
extraraquídea
 Aumento del espacio subaracnoideo
Meningocele
 Herniación llena de LCR (avascular)
 Recubierto por piel
 No médula en su interior (compresión)
 No asociación
 Cono medular n o descendido
Mielocistocele terminal
 Raro
 Hernia de un gran siringocele terminal + meningocele +
espina bífida + médula anclada
 Asociación malf. GI, extrofia vesical, ano imperforado,
agenesia sacra, etc.)
DISRAFISMO ESPINAL CERRADO
A. Sin masa subcutánea (ocultos)
 Simples (> frec.)
 Lipoma intradural
 Lipoma del filum terminale
 Engrosamiento del filum terminale
 “V ventrículo”  variante
 Complejos
 Alteración de la integración de la notocorda en la línea media
 Diastematomielia
 Seno dérmico
 Fístula entérica dorsal
 Alteración de la formación de la notocorda
 Sd. regresión caudal
Lipoma intradural
 Lipoma contenido en saco dural. Médula anclada
Lipoma del filum terminale
 Hipertrofia (> 2 mm) y acortamiento
 Cono medular bajo + isquemia (clínica)
 Escoliosis (20%)
 Lipoma (25%)
Engrosamiento del filum terminale
Diastematomielia (3%)
 2 hemimédulas:
 Tipo 1: tabique
 Tipo 2: no tabique, saco
dural único
 Anomalías segmentación
vertebral
Seno dérmico
 Seno epitelializado
 Anclaje a meninges o cono medular
 Estigma cutáneo
 Infección
Pseudoseno dérmico
Síndrome de regresión caudal
 Alteración de la formación de la notocorda.
 Agenesia parcial o total de la columna espinal
 Hiperglucemia madres DM
 Asociación anomalías:
 GI (ano imperforado)
 Displasia renal
 Miembros
 Extremo medular
desflecado
Ausencia cóccix 
Sacro  LS 
Dirección craneal
Síndrome de regresión caudal
OTROS HALLAZGOS
¿Qué imágenes debemos hacer?
 Arcos óseos posteriores T12-S2 plano axial
 Plano transverso médula, cono y cauda equina
 Plano longitudinal médula espinal distal y cono
medular  nombramos los cuerpos vertebrales
 Si hoyuelo  plano longitudinal superficial
 Modo M o vídeo del movimiento radicular
 Documentar la patología (dependencia, nivel,
medidas…)
Teaching points
 Conocer las indicaciones y limitaciones de la técnica
 Inspección del paciente
 Identificar las estructuras anatómicas y variantes
 Cono medular L1-L2 (cóccix/S1/T12) ¡Cuidado nº vértebras!
 Elementos posteriores (identificar)  Rx
 Filum terminale (n < 2 mm)
 Si estigma cutáneo  buscar fístula (> Mhz, sin presión)
 Signos ecográficos de médula anclada
 Cono medular bajo
 Filum engrosado
 Ausencia de movimiento modo M

Tema. Ecografía pediatrica

  • 1.
    Aitor Costales Sánchez MIRRadiodiagnóstico Hospital Universitario de Salamanca
  • 2.
    OBJETIVOS  Radiación enel paciente pediátrico  Ecografía pediátrica  Abdominopélvica  Transfontanelar  Canal vertebral  Torácica  Diafragma  Cervical  Cadera  Partes blandas
  • 3.
    RADIACIÓN PACIENTE PEDIÁTRICO Paciente pediátrico  Radiosensible (células inmaduras), > t. expresión de los efectos  < superficie corporal  1 sV  1 % adulto / 15 % pediatrico < 10a  Incremento 800% nº de TC en pacientes pediátricos (80’s) ¡¡¡USO RACIONAL  < dosis sin sacrificar calidad diagnóstica!!! (ALARA)
  • 5.
    RADIACIÓN PACIENTE PEDIÁTRICO Justificación  Optimización  Personal entrenado  Protocolos pediátricos  Centrar área de interés (< dosis absorbida 30-50%)  Radioprotección (bandas plomadas, sujección mecánica, ajuste de dosis, etc.)  Uso de pruebas alternativas (Eco, RM)
  • 6.
    ECOGRAFÍA PEDIÁTRICA  Pros: No radiación ionizante  Rápida, reproducible, bajo coste, “sencilla”  Buena resolución anatómica (alta S)  No sedación  Información en tiempo real (guía intervencionista)  Pórtatil (“a pie de cama”)  No sedación  Contras:  Dependiente del operador  Limitación anatómica (hueso, aire, IMC)
  • 7.
  • 8.
     Técnica  Indicaciones Anatomía ecográfica  Variantes anatómicas  Embriología  Patología (correlación RM) ECOGRAFÍA PEDIÁTRICA CANAL VERTEBRAL
  • 9.
    TÉCNICA  Sonda linealalta frecuencia (7-12 MHz)  Decúbito prono o lateral  Toalla abdominal  Planos axial y sagital CONFORT  Alimentación previa  Luz cálida  No ruido  Tª gel y manos  Madre/padre
  • 10.
    INDICACIONES  Masas subcutáneasde la línea media  Pacientes asintomáticos con estigmas cutáneos (despistaje)  Disrafismo conocido (resto de médula)  Sospecha de médula anclada (evaluación postQx)  Daño medular: parto, trauma, infección  Hemorragia intracraneal  Pre/post punción lumbar
  • 11.
    * Hoyuelo bajoriesgo: diámetro < 5 mm, < 2,5 cm del ano * Hoyuelo alto riesgo: > 5 mm, > 2,5 cm del ano
  • 12.
    ANATOMÍA  Identificar:  Espaciosubaracnoideo  Meninges  Médula espinal (canal ependimario)  Cono medular  Filum terminale  Cola de caballo y raíces nerviosas  Elementos óseos
  • 13.
    MENINGES Ecogénico  meninges(duramadre) / Hipoecogenico  espacio subaracnoideo / Ecogénico  meninges (aracnoides y piamadre)
  • 14.
  • 15.
  • 16.
    FILUM TERMINALE  Filumterminale ecogénico  < 2 mm Transicion L5-S1  Ddx con raíces de CC
  • 17.
  • 19.
    ELEMENTOS ÓSEOS  Arcoposterior (plano transverso)  Cuerpos vertebrales (alineación, forma, simetría)
  • 23.
    VARIANTES ANATÓMICAS  Dilatacióntransitoria del canal central  Quiste del filum (< CM)  Ventriculus terminalis (> CM)  Pseudoseno  Morfología y aspecto del cóccix  Pseudomasa (agrupamiento de las raíces) otro abordaje.
  • 26.
     Pseudoseno (tractofibroso) del cóccix a la piel (hoyuelo) DDx: Seno dérmico (localización más craneal) si sale LCR  seno real (RM)
  • 29.
    PATOLOGÍA DEL CANALVERTEBRAL DISRAFISMOS ESPINALES Cerrados Con masa subcutánea Sin masa subcutánea (ocultos) Abiertos Malformación congénita de la columna vertebral y médula espinal debida a la falta de cierre total o parcial de las estructuras neurales, óseas o mesenquimales de la línea media
  • 30.
  • 31.
     Gastrulación (2ª-3ªS)  Neurulación primaria (3ª-4ª S)  Neurulación secundaria (5ª-6ª S) EMBRIOLOGÍA
  • 32.
  • 33.
    Médula anclada (anomalía enla regresión incompleta e involución de la médula distal)  Engloba múltiples síntomas NRL y ortopédicos derivados del anclaje anómalo del FT y raíces nerviosas  Asociación con múltiples disrafismos cerrados (lipoma espinal, filum terminal engrosado, diastematomielia, sd. de regresión caudal)  Posición excéntrica de la médula  Cono medular inferior a disco L2-L3  Modo M  ausencia o < movimiento
  • 34.
    Médula anclada  Asociaciones: Filum engrosado  Fibrolipoma  Disrafismo espinales  Siringomielia  Escoliosis  Masas espinales (lipomas, dermoides, quistes)  Fibrosis postquirúrgica  Otras: VACTERL, anomalías cardiacas, fistulas traqueoesofágicas…
  • 35.
  • 37.
    DISRAFISMO ESPINAL ABIERTO MIELOCELE/MIELOMENINGOCELE 2/1.000 RN (Dx clínico)  Neurulación 1ª (defecto fusión dorsal pliegues neurales)  Defecto cutáneo  Exposición de la placoda neural
  • 38.
     MIELOMENINGOCELE (98%) Lumbosacra (44%)  Médula anclada  Asocia  Espina bífida extensa  Canal raquídeo ensanchado (> Subarac.)  Chiari II  Hidrocefalia (80%)  Lipoma intradural (75%) placoda neural elevada sobre la piel  MIELOCELE  Placoda neural al ras de la piel  HEMIMIELOCELE Y HEMIMIELOMENINGOCELE
  • 39.
  • 40.
     Lipomas condefecto dural  Lipomielocele  Lipomielomeningocele  Meningocele  Simple  Anterior (sin masa)  Intrasacro (sin masa)  Mielocistocele  Terminal  No terminal DISRAFISMO ESPINAL CERRADO B. Con masa subcutánea
  • 41.
     Lipomielocele (X2) Neurulación 1ª (tj. Mesenquimas entra al tubo neural)  Masa subcutánea medial móvil + estigmas cutáneos  Diferencia  localización interfase placoda-lipoma (canal raquídeo) LIPOMAS CON DEFECTO DURAL
  • 43.
     Lipomielomeningocele  Menosfrecuente que lipomielocele  Interfase placoda-lipoma extraraquídea  Aumento del espacio subaracnoideo
  • 44.
    Meningocele  Herniación llenade LCR (avascular)  Recubierto por piel  No médula en su interior (compresión)  No asociación  Cono medular n o descendido
  • 45.
    Mielocistocele terminal  Raro Hernia de un gran siringocele terminal + meningocele + espina bífida + médula anclada  Asociación malf. GI, extrofia vesical, ano imperforado, agenesia sacra, etc.)
  • 46.
    DISRAFISMO ESPINAL CERRADO A.Sin masa subcutánea (ocultos)  Simples (> frec.)  Lipoma intradural  Lipoma del filum terminale  Engrosamiento del filum terminale  “V ventrículo”  variante  Complejos  Alteración de la integración de la notocorda en la línea media  Diastematomielia  Seno dérmico  Fístula entérica dorsal  Alteración de la formación de la notocorda  Sd. regresión caudal
  • 47.
    Lipoma intradural  Lipomacontenido en saco dural. Médula anclada
  • 48.
  • 49.
     Hipertrofia (>2 mm) y acortamiento  Cono medular bajo + isquemia (clínica)  Escoliosis (20%)  Lipoma (25%) Engrosamiento del filum terminale
  • 50.
    Diastematomielia (3%)  2hemimédulas:  Tipo 1: tabique  Tipo 2: no tabique, saco dural único  Anomalías segmentación vertebral
  • 51.
    Seno dérmico  Senoepitelializado  Anclaje a meninges o cono medular  Estigma cutáneo  Infección Pseudoseno dérmico
  • 53.
    Síndrome de regresióncaudal  Alteración de la formación de la notocorda.  Agenesia parcial o total de la columna espinal  Hiperglucemia madres DM  Asociación anomalías:  GI (ano imperforado)  Displasia renal  Miembros  Extremo medular desflecado Ausencia cóccix  Sacro  LS  Dirección craneal
  • 54.
  • 55.
  • 56.
    ¿Qué imágenes debemoshacer?  Arcos óseos posteriores T12-S2 plano axial  Plano transverso médula, cono y cauda equina  Plano longitudinal médula espinal distal y cono medular  nombramos los cuerpos vertebrales  Si hoyuelo  plano longitudinal superficial  Modo M o vídeo del movimiento radicular  Documentar la patología (dependencia, nivel, medidas…)
  • 57.
    Teaching points  Conocerlas indicaciones y limitaciones de la técnica  Inspección del paciente  Identificar las estructuras anatómicas y variantes  Cono medular L1-L2 (cóccix/S1/T12) ¡Cuidado nº vértebras!  Elementos posteriores (identificar)  Rx  Filum terminale (n < 2 mm)  Si estigma cutáneo  buscar fístula (> Mhz, sin presión)  Signos ecográficos de médula anclada  Cono medular bajo  Filum engrosado  Ausencia de movimiento modo M

Notas del editor

  • #15 Complejo ecogénico central Interfase entre comisura blanca anterior (ventral) y fisura anterior medial RN no LCR, celular
  • #16 Identify the 12th rib, and thus T12 and count down. identify the lumbo-sacral junction and count up from L5.  Normal conus position is: No lower than the top of L3 in a term infant or the bottom L3 in a pre-term infant. - Be cautious of variation in the number of lumbar vertebrae. Si no seguros marcaje con radioopaco Cono medular  nivel L1-L2, si caudal a L2-L3 anclada
  • #18 https://vimeo.com/87564608
  • #20 Cóccix cartilaginoso  pseudolesión hipoecogénica
  • #21 Unión craneocervical: Hipoecogénicas  puente, médula oblonga/bulbo raquídeo, médula espinal (bordes ecogénicos interfase menínge) Hiperecogénicas (medial o paramedial)  amígdalas y vermix cerebeloso Hiper con sombra  posterior (occipital), anterior a bulbo (clivus) Anecoico  espacio subaracnoideo y cisterna magna Canal central  complejo ecogénico central
  • #22 Ligamento dentado (duplicaciones transversales de la aracnoides/piamadre)  desde C1 a L1, se fijan a la duramadre Fija la medula
  • #24 Representa la regresión incompleta del ventrículo terminal en la neurulación secundaria, con la preservación de su continuidad con el canal central de la medula espinal rostral. Suele ser asintomática
  • #30 Diferencia con espina bifida: Defecto de fusión de los elementos óseos posteriores.
  • #32 Gastrulación  conversión del disco embrionario bilaminar en trilaminar (Ecto, meso y endodermo). Neurulación 1ª  notocorda y ectodermo interactúan para formar la placa neural Neurulación 2ª  masa celular caudal forma tubo neural 2º, sólido y después cavita Proximal cono medular Distal involuciona y forma filum terminale
  • #39 Hemimielocele y hemimielomeningocele: asociación con diastematomielia (separación en el plano sagital en dos hemimédulas)
  • #51 Día 16-17 embriogénesis. Asociación anomalías de la segmentación vertebral  hemivértebra, vértebra en mariposa…
  • #52 Hipo en T1, destaca frente a tj. graso circundante