HEMOPTISIS
Sara de la Mano González
Radiodiagnóstico CAUSA
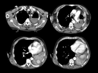
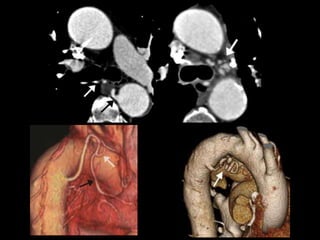
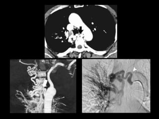
Mujer de 18 años con episodio de hemoptisis con
exploración ORL normal
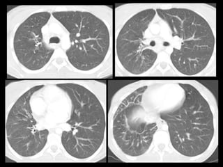
• Otro caso
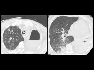
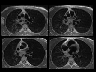
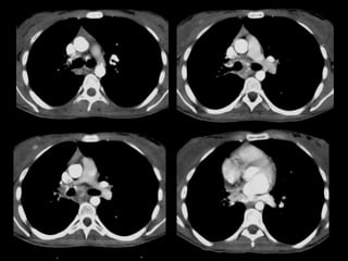
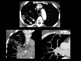
Varón de 56 años que consulta por hemoptisis
ANATOMIA VASCULAR ARTERIAL PULMONAR
• Circulación pulmonar: 99% aporte arterial pulmonar.
• Circulación sistémica: 1% gasto cardiaco. Mayor presión.
Origen del sangrado en 95%.
- Arterias bronquiales: Entran a través de hilio
pulmonar.
- Ortotópicas (origen aorta torácica T5-T6).
- Ectópicas.
- Arterias no bronquiales: entran a través de ligamento
pulmonar inferior o pleura.
- Intercostales , Troncos supraaórticos, axilares, mamarias
internas, frénicas inferiores, gástricas y tronco celiaco.
Causas de hemoptisis de pequeño vaso
Inmunológica y vasculitis
• Rechazo trasplante pulmonar
• Anticuerpos antifosfolipido
• Enfermedad de Behcet
• Síndrome de Goodpasture
• Púrpura Henoch-Schonlein
• Capilaritis pulmonar aislada
• Poliarteritis microscópica
• Crioglobulinemia mixta
• Granulomatosis de Wegener
Enfermedad cardiovascular
• Estenosis mitral
Alteraciones de coagulación
• Coagulopatías
• Yatrogenia
Otros
• Daño alveolar difuso
• Linfangioleiomiomatosis
• Hemangiomatosis pulmonar capilar
• Hemosiderosis pulmonar
• Esclerosis tuberosa
• Enfermedad venooclusiva
Causas de hemoptisis de grandes vasos
Enfermedades infecciosas
• Abscesos
• Bronquitis
• Bronquiectasias
• Infeccion fúngica
• Infección parásitos
• Neumonia
• Tuberculosis
Enfermedades Cardiovasculares
• Malformacion AV
• Aneurisma arteria bronquial
• Fístula Bronchovascular
• ICC
• TEP
• Hipertensión pulmonar
• Endocarditis derecha
• Aneurisma/ rotura/ disección aorta torácica
• Embolismo séptico pulmonar
Enfermedades Congénitas
• Fibrosis quística
• Atresia / Estenosis Arteria pulmonar
Neoplasias
• Adenoma bronquial
• Metástasis
• Neoplasia primaria pulmonar
Vasculitis
• Enfermedad de Behcet
• Neumonitis lúpica
• Arteritis Takayasu
• Granulomatosis Wegener
Otras
• Cuerpos extraños
• Drogas
• Iatrogenia Catéter Swan-Ganz
• Fibrosis Intersticial
• Contusion pulmonar
• EPOC
• Endometriosis pulmonar
• Trauma
• Enfermedad de Dieulafoy
• Hemoptisis criptogénica
AngioTC Hemoptisis
• Diagnosticar causa del sangrado y obtener
mapa vascular angiográfico para embolización.
• Valorar patología pulmonar relacionada.
• Limitación: lesiones endobronquiales o
intracavitarias ocultas por sangrado.
Protocolo AngioTC Torácico
• Desde base cuello hasta nivel de arterias renales
para incluir troncos supraaórticos y arterias
infradiafragmáticas.
• 0.8/1 mm. grosor de corte
• 100-120 ml contraste yodado no iónico a 4cc/sg.
• ROI en Aorta descendente.
• Reconstrucciones multiplanares y volumétricas
(MIP y VR): coronales (arterias mamarias internas
e intercostales) y axiales (arterias frénicas
inferiores y tronco celiaco).
Indicaciones:
• Hemoptisis masiva.
• Hemoptisis menor no controlable con tto médico.
• Pacientes candidatos a cirugía para reducir riesgo de
sangrado.
Riesgos:
• Embolización de arteria de Adamkiewicz
• Disección subintimal de aorta
• Resangrado tras embolización
Embolización
Resangrado tras embolización
• Oclusión incompleta de los vasos implicados.
• Recanalización de los vasos implicados.
• Desarrollo de nuevas colaterales.
• Tratamiento inadecuado de patología
subyacente.

Revisión de tema. Abril 2017

  • 1.
    HEMOPTISIS Sara de laMano González Radiodiagnóstico CAUSA
  • 2.
    Mujer de 18años con episodio de hemoptisis con exploración ORL normal
  • 8.
    • Otro caso Varónde 56 años que consulta por hemoptisis
  • 15.
    ANATOMIA VASCULAR ARTERIALPULMONAR • Circulación pulmonar: 99% aporte arterial pulmonar. • Circulación sistémica: 1% gasto cardiaco. Mayor presión. Origen del sangrado en 95%. - Arterias bronquiales: Entran a través de hilio pulmonar. - Ortotópicas (origen aorta torácica T5-T6). - Ectópicas. - Arterias no bronquiales: entran a través de ligamento pulmonar inferior o pleura. - Intercostales , Troncos supraaórticos, axilares, mamarias internas, frénicas inferiores, gástricas y tronco celiaco.
  • 17.
    Causas de hemoptisisde pequeño vaso Inmunológica y vasculitis • Rechazo trasplante pulmonar • Anticuerpos antifosfolipido • Enfermedad de Behcet • Síndrome de Goodpasture • Púrpura Henoch-Schonlein • Capilaritis pulmonar aislada • Poliarteritis microscópica • Crioglobulinemia mixta • Granulomatosis de Wegener Enfermedad cardiovascular • Estenosis mitral Alteraciones de coagulación • Coagulopatías • Yatrogenia Otros • Daño alveolar difuso • Linfangioleiomiomatosis • Hemangiomatosis pulmonar capilar • Hemosiderosis pulmonar • Esclerosis tuberosa • Enfermedad venooclusiva
  • 18.
    Causas de hemoptisisde grandes vasos Enfermedades infecciosas • Abscesos • Bronquitis • Bronquiectasias • Infeccion fúngica • Infección parásitos • Neumonia • Tuberculosis Enfermedades Cardiovasculares • Malformacion AV • Aneurisma arteria bronquial • Fístula Bronchovascular • ICC • TEP • Hipertensión pulmonar • Endocarditis derecha • Aneurisma/ rotura/ disección aorta torácica • Embolismo séptico pulmonar Enfermedades Congénitas • Fibrosis quística • Atresia / Estenosis Arteria pulmonar Neoplasias • Adenoma bronquial • Metástasis • Neoplasia primaria pulmonar Vasculitis • Enfermedad de Behcet • Neumonitis lúpica • Arteritis Takayasu • Granulomatosis Wegener Otras • Cuerpos extraños • Drogas • Iatrogenia Catéter Swan-Ganz • Fibrosis Intersticial • Contusion pulmonar • EPOC • Endometriosis pulmonar • Trauma • Enfermedad de Dieulafoy • Hemoptisis criptogénica
  • 19.
    AngioTC Hemoptisis • Diagnosticarcausa del sangrado y obtener mapa vascular angiográfico para embolización. • Valorar patología pulmonar relacionada. • Limitación: lesiones endobronquiales o intracavitarias ocultas por sangrado.
  • 20.
    Protocolo AngioTC Torácico •Desde base cuello hasta nivel de arterias renales para incluir troncos supraaórticos y arterias infradiafragmáticas. • 0.8/1 mm. grosor de corte • 100-120 ml contraste yodado no iónico a 4cc/sg. • ROI en Aorta descendente. • Reconstrucciones multiplanares y volumétricas (MIP y VR): coronales (arterias mamarias internas e intercostales) y axiales (arterias frénicas inferiores y tronco celiaco).
  • 27.
    Indicaciones: • Hemoptisis masiva. •Hemoptisis menor no controlable con tto médico. • Pacientes candidatos a cirugía para reducir riesgo de sangrado. Riesgos: • Embolización de arteria de Adamkiewicz • Disección subintimal de aorta • Resangrado tras embolización Embolización
  • 28.
    Resangrado tras embolización •Oclusión incompleta de los vasos implicados. • Recanalización de los vasos implicados. • Desarrollo de nuevas colaterales. • Tratamiento inadecuado de patología subyacente.