LITIASIS URINARIA
 Dr. Gustavo Cabanillas Ruiz
 HNAAA
Litiasis urinaria - Concepto
 La urolitiasis o litiasis urinaria se define
como la presencia de cálculos (piedras,
arenillas) o conglomerados cristalinos en el
interior de las vías urinarias, desde el cáliz
renal, hasta la uretra.
Paciente de sexo
femenino, 70 años de
edad. HNAAA
Urolitiasis - Incidencia
 Afecta 10 % de la población
 Puede ocurrir en cualquier edad
 Es más frecuente en el sexo masculino
 Predomina en personas sedentarias y con
gran exposición al sol
 Se relaciona con dietas ricas en proteínas
y sales
Litiasis - Fisiopatología
 Estadios en la formación de cálculos:
 1.Inicial o de nucleación.
-Es a nivel microscópico
-Hay precipitación de diversas sales
2.Crecimiento y agregación de
cristales
-Los cálculos se hacen visibles
macroscópicamente
Litiasis – Factores de riesgo
 Infección
 Inmovilidad
 Bajo volumen urinario
 Hipercalcemia
 Hipercalciuria
 Hiperoxaluria.Aumento en oxalato urinario
 Hipocitraturia.Bajo nivel de citrato en
orina
 Hiperuricosuria.Acido úrico alto en orina
Litiasis urinaria - Tipos
 Cálculos de calcio:
-Son los más frecuentes (aprox. 70%)
-Hay exceso de calcio en sangre
-El 2% de calcio se excreta en orina
-El calcio forma complejos con citrato,
fosfato y sulfatos
-Más del 75% de calcio se consume
con los productos lácteos (queso)
Litiasis urinaria - Tipos
 Cálculos de estruvita y apatita (infecciosos)
-Representan el 5-10%
-Son producidos por bacterias
-Las bacterias pasan la urea a amoniaco
-Se aumenta el ph a 8 o más
-Se precipita la estruvita y la apatita
-Es la forma más grave, puede llevar a
sepsis
-Generalmente son coraliformes
Litiasis urinaria - Tipos
 Cálculos de acido úrico
-Representa el 5-10 %
-Hay hiperuricosuria
-El ph urinario es ácido
-Los cálculos son radio lucidos
Litiasis urinaria - Tipos
 Cálculos de cistina
-Es poco frecuente ( 1-3 %)
-Hay un trastorno hereditario
-Se reduce la reabsorción tubular de
cistina, ornitina, arginina y lisina
-Son radio lucidos
Cálculos de acido úrico
Paciente varón de 68 años, sometido a adenomectomia prostática +
cistolitotomia, con antecedente de cistolitotomia 1 año atrás, sin cirugía
prostática en esa oportunidad, por elevado riesgo cardiológico. Chiclayo –
julio 2010
Litiasis vesical múltiple de acido úrico
Calculo de estruvita
Litiasis urinaria – Síntomas
 Cólico nefrítico
 Dolor lumbar
 Hematuria
 Infección urinaria
 Sepsis
 Micción interrumpida en litiasis vesical
 Un tercio de cálculos cursan asintomáticos
Cólico nefrítico
Cólico nefrítico
 Se origina por un cálculo que obstruye la
vía urinaria
 El dolor es intenso en la zona lumbar
 Se irradia hacia el abdomen y genitales
 El dolor es intermitente y se asocia a
náuseas, vómitos y sudoración
Litiasis urinaria - Diagnóstico
 Examen de orina
 Rx abdomen simple
 Ecografía
 Urograma excretor
 Pielografía ascendente
 Tomografía
 Cistoscopia
Radiografía de abdomen simple
Urograma excretor
Ecografía
Pielografía ascendente
Cistoscopia con cateterismo
ureteral
TAC renal - Litiasis
Resonancia magnética
Litiasis renal derecha de 22 mm.,ubicada en divertículo de cáliz superior
Varón de 45 años
Litiasis urinaria - Tratamiento
 Cálculos hasta 5 mm : Tx médico
 Cálculos de 6mm a 25 mm :
-ESWL
-Litotripsia de contacto o intracorporea
-Cirugía a cielo abierto
 Cálculos mayores de 25 mm :
-Litotripsia intracorporea (percutánea)
-Cirugía a cielo abierto
LEOCH
 Aplica ondas de choque desde fuera del
cuerpo
 Se fragmentan cálculos urinarios y luego
se eliminan por la orina
 No hay intervención quirúrgica directa
 Es un procedimiento ambulatorio, con una
estancia de 2 -3 horas
LEOCH - Fundamentos
 La onda de choque es producida por un
generador electromagnético
 La onda al propagarse por zonas de igual
densidad, no sufre perdidas (no se libera
energía)
 Al llegar la onda a zona de densidad
diferente (cálculo) libera energía con
fragmentación del cálculo
LEOCH - Indicaciones
 Cálculos ubicados en las cavidades
renales, entre 0.5 y 2.5 cm. de diámetro:
-Litiasis piélica
-Litiasis calicilar
-Litiasis renal radio transparente
-Litiasis ureteral
LEOCH - Contraindicaciones
 Alteración grave del parénquima renal
 Obstrucción distal de la vía urinaria
 Litiasis ureteral con gran impactación
LEOCH - Complicaciones
 Hematuria transitoria
 Hematomas renales o peri renales
 Hematoma en la zona de penetración de
la onda de choque
 Cólico nefrítico por obstrucción ureteral
 Infección urinaria
 Disminución de la función renal
Eritema post LEOCH
Eritema en zona lumbar – Chiclayo 2010 - HNAAA
LITOTRIPTOR EXTRACORPOREO
Paciente varón de 32 años,
procedente de Piura.
Diagnóstico : Litiasis ureteral
izquierda (1/3 superior )
Tratamiento: ESWL, recibió
3,000 golpes en la primera
sesión.
HNAAA - 2010
Litotripsia intracorporea o de
contacto
 Es un procedimiento ambulatorio
 Se localiza la piedra por rayos x
 Por vía endoscópica se destruye la piedra
 Se puede usar rayos láser o energía
electro hidráulica , balística, neumática o
ultrasónica
 Generalmente se deja un catéter doble J
Litotripsia intracorporea
Endoscópica
Percutánea
Litotripsia intracorporea :
Endoscópica
Litotripsia endoscópica
 Se aborda el uréter desde el meato
ureteral, con el ureterorrenoscopio
 Se visualiza el cálculo
 Se fragmenta el cálculo con láser o
litotriptor neumático, balístico o
ultrasónico
 Se extrae el cálculo en fragmentos
Litotripsia endoscópica -
Indicaciones
 Cálculos de uréter sobretodo los del tercio
inferior
 Cálculos vesicales menores de 5 cm.
Litotripsia endoscópica -
Contraindicaciones
 HBP severo
 Cobaltoterapia y fibrosis retroperitoneal
 Cirugía pélvica
 Anomalías ortopédicas
 Uretra patológica
 Vejiga de poca capacidad
Litotripsia endoscópica -
Complicaciones
 Lesiones mucosas, perforación y avulsión
 Sangrado
 Injuria térmica
 Extravasación de líquidos
 Infección urinaria, sepsis
 Lesiones vasculares y/o de órganos
vecinos
Litotripsia intracorporea :
Percutánea
Litotripsia percutánea
 El abordaje renal es por vía percutánea lumbar
 Hay punción renal, generalmente por los cálices
inferiores con control radioscópico
 Se dilata el trayecto percutáneo
 Con el nefroscopio se visualiza la pelvis renal, los
cálices y la unión ureteropielica
 Se procede a la litotripsia y extracción de
cálculos
 Se coloca una sonda de nefrostomia
Litotripsia percutánea – Principales
indicaciones
 Litiasis de 2.5 o más cm. de diámetro
 Litiasis en grupo calicial inferior
 Densidad del cálculo mayor de 1000
 Falla de LEOCH
Litotripsia percutánea -
Contraindicaciones
 Obstrucción distal de la vía urinaria
 Obesidad mórbida
 Alteraciones de la coagulación
Litotripsia percutánea –
Complicaciones
 Sangrado
 Falla en el acceso
 Perforación de órganos vecinos
 Sepsis
 Litiasis residual
Amplatz, dilatadores plásticos y metálicos
Posición
Aguja de punción y fluoroscopia
Punción del cáliz inferior con ayuda de
contraste (pielografia ascendente).
Colocación de una guía
Colocación de dilatadores metálicos
Colocación de dilatadores metálicos
Guía y dilatadores metálicos vistos en fluoroscopia
Pasaje de dilatadores plásticos
Dilatador plástico visto en fluoroscopia
Pasaje del litotriptor
Litotripsia de contacto
Extracción de cálculos fragmentados
Globo de sonda Foley
Nefrostomia
Litiasis renal bilateral – URO TEM
Paciente mujer de 38 años con diagnóstico de litiasis + ITU a
repetición de 8 años de evolución
Litiasis renal
 Paciente varón
 Edad : 62 años
 Antecedente : Se le ha efectuado 8
sesiones previas de ESWL hace 1 año en
Lima con resultados negativos
 Diagnóstico : Litiasis en unión
pieloureteral izquierda de 2.5 cm. de
diámetro mayor + Litiasis en cáliz inferior
izquierdo de 0.8 cm.
Pielografía ascendente
15 m. 45 m.
Urograma excretor
TAC renal sin contraste
1
1 Mean / SD : 1468.8/53.1

Litiasis urinaria

  • 1.
    LITIASIS URINARIA  Dr.Gustavo Cabanillas Ruiz  HNAAA
  • 2.
    Litiasis urinaria -Concepto  La urolitiasis o litiasis urinaria se define como la presencia de cálculos (piedras, arenillas) o conglomerados cristalinos en el interior de las vías urinarias, desde el cáliz renal, hasta la uretra.
  • 5.
    Paciente de sexo femenino,70 años de edad. HNAAA
  • 6.
    Urolitiasis - Incidencia Afecta 10 % de la población  Puede ocurrir en cualquier edad  Es más frecuente en el sexo masculino  Predomina en personas sedentarias y con gran exposición al sol  Se relaciona con dietas ricas en proteínas y sales
  • 7.
    Litiasis - Fisiopatología Estadios en la formación de cálculos:  1.Inicial o de nucleación. -Es a nivel microscópico -Hay precipitación de diversas sales 2.Crecimiento y agregación de cristales -Los cálculos se hacen visibles macroscópicamente
  • 9.
    Litiasis – Factoresde riesgo  Infección  Inmovilidad  Bajo volumen urinario  Hipercalcemia  Hipercalciuria  Hiperoxaluria.Aumento en oxalato urinario  Hipocitraturia.Bajo nivel de citrato en orina  Hiperuricosuria.Acido úrico alto en orina
  • 11.
    Litiasis urinaria -Tipos  Cálculos de calcio: -Son los más frecuentes (aprox. 70%) -Hay exceso de calcio en sangre -El 2% de calcio se excreta en orina -El calcio forma complejos con citrato, fosfato y sulfatos -Más del 75% de calcio se consume con los productos lácteos (queso)
  • 12.
    Litiasis urinaria -Tipos  Cálculos de estruvita y apatita (infecciosos) -Representan el 5-10% -Son producidos por bacterias -Las bacterias pasan la urea a amoniaco -Se aumenta el ph a 8 o más -Se precipita la estruvita y la apatita -Es la forma más grave, puede llevar a sepsis -Generalmente son coraliformes
  • 13.
    Litiasis urinaria -Tipos  Cálculos de acido úrico -Representa el 5-10 % -Hay hiperuricosuria -El ph urinario es ácido -Los cálculos son radio lucidos
  • 14.
    Litiasis urinaria -Tipos  Cálculos de cistina -Es poco frecuente ( 1-3 %) -Hay un trastorno hereditario -Se reduce la reabsorción tubular de cistina, ornitina, arginina y lisina -Son radio lucidos
  • 15.
  • 16.
    Paciente varón de68 años, sometido a adenomectomia prostática + cistolitotomia, con antecedente de cistolitotomia 1 año atrás, sin cirugía prostática en esa oportunidad, por elevado riesgo cardiológico. Chiclayo – julio 2010 Litiasis vesical múltiple de acido úrico
  • 17.
  • 18.
    Litiasis urinaria –Síntomas  Cólico nefrítico  Dolor lumbar  Hematuria  Infección urinaria  Sepsis  Micción interrumpida en litiasis vesical  Un tercio de cálculos cursan asintomáticos
  • 19.
  • 20.
    Cólico nefrítico  Seorigina por un cálculo que obstruye la vía urinaria  El dolor es intenso en la zona lumbar  Se irradia hacia el abdomen y genitales  El dolor es intermitente y se asocia a náuseas, vómitos y sudoración
  • 21.
    Litiasis urinaria -Diagnóstico  Examen de orina  Rx abdomen simple  Ecografía  Urograma excretor  Pielografía ascendente  Tomografía  Cistoscopia
  • 22.
  • 23.
  • 24.
  • 25.
  • 26.
  • 27.
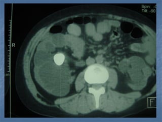
    TAC renal -Litiasis
  • 28.
  • 29.
    Litiasis renal derechade 22 mm.,ubicada en divertículo de cáliz superior Varón de 45 años
  • 30.
    Litiasis urinaria -Tratamiento  Cálculos hasta 5 mm : Tx médico  Cálculos de 6mm a 25 mm : -ESWL -Litotripsia de contacto o intracorporea -Cirugía a cielo abierto  Cálculos mayores de 25 mm : -Litotripsia intracorporea (percutánea) -Cirugía a cielo abierto
  • 31.
    LEOCH  Aplica ondasde choque desde fuera del cuerpo  Se fragmentan cálculos urinarios y luego se eliminan por la orina  No hay intervención quirúrgica directa  Es un procedimiento ambulatorio, con una estancia de 2 -3 horas
  • 32.
    LEOCH - Fundamentos La onda de choque es producida por un generador electromagnético  La onda al propagarse por zonas de igual densidad, no sufre perdidas (no se libera energía)  Al llegar la onda a zona de densidad diferente (cálculo) libera energía con fragmentación del cálculo
  • 33.
    LEOCH - Indicaciones Cálculos ubicados en las cavidades renales, entre 0.5 y 2.5 cm. de diámetro: -Litiasis piélica -Litiasis calicilar -Litiasis renal radio transparente -Litiasis ureteral
  • 34.
    LEOCH - Contraindicaciones Alteración grave del parénquima renal  Obstrucción distal de la vía urinaria  Litiasis ureteral con gran impactación
  • 35.
    LEOCH - Complicaciones Hematuria transitoria  Hematomas renales o peri renales  Hematoma en la zona de penetración de la onda de choque  Cólico nefrítico por obstrucción ureteral  Infección urinaria  Disminución de la función renal
  • 36.
    Eritema post LEOCH Eritemaen zona lumbar – Chiclayo 2010 - HNAAA
  • 37.
  • 38.
    Paciente varón de32 años, procedente de Piura. Diagnóstico : Litiasis ureteral izquierda (1/3 superior ) Tratamiento: ESWL, recibió 3,000 golpes en la primera sesión. HNAAA - 2010
  • 41.
    Litotripsia intracorporea ode contacto  Es un procedimiento ambulatorio  Se localiza la piedra por rayos x  Por vía endoscópica se destruye la piedra  Se puede usar rayos láser o energía electro hidráulica , balística, neumática o ultrasónica  Generalmente se deja un catéter doble J
  • 42.
  • 43.
  • 44.
    Litotripsia endoscópica  Seaborda el uréter desde el meato ureteral, con el ureterorrenoscopio  Se visualiza el cálculo  Se fragmenta el cálculo con láser o litotriptor neumático, balístico o ultrasónico  Se extrae el cálculo en fragmentos
  • 45.
    Litotripsia endoscópica - Indicaciones Cálculos de uréter sobretodo los del tercio inferior  Cálculos vesicales menores de 5 cm.
  • 46.
    Litotripsia endoscópica - Contraindicaciones HBP severo  Cobaltoterapia y fibrosis retroperitoneal  Cirugía pélvica  Anomalías ortopédicas  Uretra patológica  Vejiga de poca capacidad
  • 47.
    Litotripsia endoscópica - Complicaciones Lesiones mucosas, perforación y avulsión  Sangrado  Injuria térmica  Extravasación de líquidos  Infección urinaria, sepsis  Lesiones vasculares y/o de órganos vecinos
  • 48.
  • 49.
    Litotripsia percutánea  Elabordaje renal es por vía percutánea lumbar  Hay punción renal, generalmente por los cálices inferiores con control radioscópico  Se dilata el trayecto percutáneo  Con el nefroscopio se visualiza la pelvis renal, los cálices y la unión ureteropielica  Se procede a la litotripsia y extracción de cálculos  Se coloca una sonda de nefrostomia
  • 50.
    Litotripsia percutánea –Principales indicaciones  Litiasis de 2.5 o más cm. de diámetro  Litiasis en grupo calicial inferior  Densidad del cálculo mayor de 1000  Falla de LEOCH
  • 51.
    Litotripsia percutánea - Contraindicaciones Obstrucción distal de la vía urinaria  Obesidad mórbida  Alteraciones de la coagulación
  • 52.
    Litotripsia percutánea – Complicaciones Sangrado  Falla en el acceso  Perforación de órganos vecinos  Sepsis  Litiasis residual
  • 53.
  • 54.
  • 55.
    Aguja de puncióny fluoroscopia
  • 56.
    Punción del cálizinferior con ayuda de contraste (pielografia ascendente).
  • 57.
  • 58.
  • 59.
  • 60.
    Guía y dilatadoresmetálicos vistos en fluoroscopia
  • 61.
  • 62.
  • 63.
  • 64.
  • 65.
  • 66.
  • 67.
  • 68.
    Litiasis renal bilateral– URO TEM Paciente mujer de 38 años con diagnóstico de litiasis + ITU a repetición de 8 años de evolución
  • 72.
    Litiasis renal  Pacientevarón  Edad : 62 años  Antecedente : Se le ha efectuado 8 sesiones previas de ESWL hace 1 año en Lima con resultados negativos  Diagnóstico : Litiasis en unión pieloureteral izquierda de 2.5 cm. de diámetro mayor + Litiasis en cáliz inferior izquierdo de 0.8 cm.
  • 73.
  • 74.
    15 m. 45m. Urograma excretor
  • 75.
    TAC renal sincontraste
  • 77.
    1 1 Mean /SD : 1468.8/53.1