HOSPITAL UNIVERSITARIOHOSPITAL UNIVERSITARIO
DR. PEDRO EMILIO CARRILLODR. PEDRO EMILIO CARRILLO
SERVICIO DE TRAUMATOLOGÍA Y ORTOPEDIASERVICIO DE TRAUMATOLOGÍA Y ORTOPEDIA
VALERA-VENEZUELAVALERA-VENEZUELA
DR. ELIFONSO N. VILLARREAL V.
RII DE ORTOPEDIA Y
TRAUMATOLOGÍA
SEPTIEMBRE 2013
LUXACIONES Y FRACTURAS DE
CODO
LUXACIONES Y
FRACTURAS DEL CODO
GENERALIDADES
LAS LESIONES DEL CODO PRODUCEN LIMITACIÓN
DE LA MOVILIDAD Y DOLOR EN LAS PRACTICAS
DEPORTIVAS RECREATIVAS Y DE LA VIDA DIARIA.
LUXACIONES Y
FRACTURAS DEL CODO
EMBRIOLOGIA
BROTE DEL MIEMBRO SUPERIOR 4ta SVIU
DIFERENCIACIÓN DE LOS HUESOS Y
ARTICULACIONES 4ta–7ma
SEGMENTOS DEFINIDOS 8va-9na
LUXACIONES Y
FRACTURAS DEL CODO
DESARROLLO DE LA OSIFICACIÓN
1 AÑO
14 AÑOS
12 AÑOS
ENTRE 5 Y 8
AÑOS
LUXACIONES Y
FRACTURAS DEL CODO
DESARROLLO DE LA OSIFICACIÓN
NIÑAS: 11 AÑOS
NIÑOS: 13 AÑOS
NIÑAS: 11.5 AÑOS
NIÑOS: 13 .5 AÑOS
NIÑAS: 12 AÑOS
NIÑOS: 14 AÑOS
NIÑAS: 12.5 AÑOS
NIÑOS: 14.5 AÑOS
NIÑAS: 13 AÑOS
NIÑOS: 15 AÑOS
LUXACIONES Y
FRACTURAS DEL CODO
ANATOMIA DEL CODO
3 ARTICULACIONES:
1.CÚBITO-HUMERAL
2.RADIO-HUMERAL
3.RADIO-CÚBITAL PROXIMAL
M. LLUSA. Manual y Atlas fotografico de Anatomía del aparato locomotor.Panamericana.Madrid 2006
LUXACIONES Y
FRACTURAS DEL CODO
M. LLUSA. Manual y Atlas fotografico de Anatomía del aparato locomotor.Panamericana.Madrid 2006
LUXACIONES Y
FRACTURAS DEL CODO
ANATOMIA DEL CODO
MUSCULOS:
1.ANTERIORES
FLEXORES DEL CODO: BRAQUIAL ANTERIOR //
BICEPS BRAQUIAL
FLEXO-PRONADORES: INSERTADOS EN
EPICONDILO MEDIAL
M. LLUSA. Manual y Atlas fotografico de Anatomía del aparato locomotor.Panamericana.Madrid 2006
LUXACIONES Y
FRACTURAS DEL CODO
ANATOMIA DEL CODO
M. LLUSA. Manual y Atlas fotografico de Anatomía del aparato locomotor.Panamericana.Madrid 2006
LUXACIONES Y
FRACTURAS DEL CODO
ANATOMIA DEL CODO
2.POSTERIORES
EXTENSORES DEL CODO: TRICEPS BRAQUIAL
EXTENSO-SUPINADORES: INSERTADOS EN
EPICONDILO LATERAL
M. LLUSA. Manual y Atlas fotografico de Anatomía del aparato locomotor.Panamericana.Madrid 2006
LUXACIONES Y
FRACTURAS DEL CODO
ANATOMIA DEL CODO
M. LLUSA. Manual y Atlas fotografico de Anatomía del aparato locomotor.Panamericana.Madrid 2006
LUXACIONES Y
FRACTURAS DEL CODO
ANATOMIA DEL CODO
LIGAMENTOS Y CAPSULA
CAPSULA: ANTERIORMENTE, ENCIMA DE LA
FOSA RADIAL Y CORONOIDEA HASTA APÓFISIS
CORONOIDES Y LAS 2 ESCOTADURAS CUBITALES
POSTERIORMENTE, POR ENCIMA DE LA FOSA
OLECRANEANA
M. LLUSA. Manual y Atlas fotografico de Anatomía del aparato locomotor.Panamericana.Madrid 2006
LUXACIONES Y
FRACTURAS DEL CODO
ANATOMIA DEL CODO
LIGAMENTOS:
LIGAMENTO ANTERIOR O EN Y
LIGAMENTOS POSTERIORES
LIGAMENTO COLATERAL MEDIAL O CÚBITAL
LIGAMENTO COLATERAL LATERAL O RADIAL
M. LLUSA. Manual y Atlas fotografico de Anatomía del aparato locomotor.Panamericana.Madrid 2006
LUXACIONES Y
FRACTURAS DEL CODO
ANATOMIA DEL CODO
FASCICULO MEDIO
LIGAMENTO TRANSVERSO ( COOPER)
FASCICULO POSTERIOR (BARDINET)
M. LLUSA. Manual y Atlas fotografico de Anatomía del aparato locomotor.Panamericana.Madrid 2006
LUXACIONES Y
FRACTURAS DEL CODO
ANATOMIA DEL CODO
FASCICULO MEDIO
FASCICULO POSTERIOR
FASCICULO ANTERIOR
M. LLUSA. Manual y Atlas fotografico de Anatomía del aparato locomotor.Panamericana.Madrid 2006
LUXACIONES Y
FRACTURAS DEL CODO
ANATOMIA DEL CODO
INERVACIÓN
N. RADIAL
N. CUTANEO
ANTEBRAQUIAL
LATERAL
N. MEDIANO
N.CUBITALM. LLUSA. Manual y Atlas fotografico de Anatomía del aparato locomotor.Panamericana.Madrid 2006
LUXACIONES Y
FRACTURAS DEL CODO
LUXACIONES
LUXACIONES Y
FRACTURAS DEL CODO
LUXACIONES DEL CODO
LAS LUXACIONES DEL CODO SON
RELATIVAMENTE FRECUENTES Y AFECTAN MAS A
NIÑOS QUE ADULTOS
ES LA ARTICULACIÓN QUE MAS FRECUENTE
SE LUXA, DESPUES DEL HOMBRO, SIENDO DEL 11
AL 18% DE TODOS LOS TRAUMATISMOS SOBRE
ESTA ARTICULACIÓN.
GENERALIDADES
A.D. DELGADO MARTINEZ. Cirugía Ortopédica y Traumatología. Madrid: Panamericana, 2009.
LUXACIONES Y
FRACTURAS DEL CODO
CAIDA DE SU MISMA ALTURA SOBRE LA MANO
CON EL CODO SEMIEXTENDIDO
UN MECANISMO COMBINADO DE VALGO,
SUPINACIÓN Y COMPRESIÓN AXIAL
MECANISMO LESIONAL
A.D. DELGADO MARTINEZ. Cirugía Ortopédica y Traumatología. Madrid: Panamericana, 2009.
LUXACIONES Y
FRACTURAS DEL CODO
SIMPLES:
POSTERIOR
ANTERIOR
INTERNA O MEDIAL
EXTERNA O LATERAL
DIVERGENTE
COMPLEJAS:
RECURRENTE AGUDA
RECURRENTE CRÓNICA
CLASIFICACIÓN
A.D. DELGADO MARTINEZ. Cirugía Ortopédica y Traumatología. Madrid: Panamericana, 2009.
LUXACIONES Y
FRACTURAS DEL CODOCLASIFICACIÓN
A.D. DELGADO MARTINEZ. Cirugía Ortopédica y Traumatología. Madrid: Panamericana, 2009.
LUXACIONES Y
FRACTURAS DEL CODOCLASIFICACIÓN
A.D. DELGADO MARTINEZ. Cirugía Ortopédica y Traumatología. Madrid: Panamericana, 2009.
LUXACIONES Y
FRACTURAS DEL CODOCLASIFICACIÓN
A.D. DELGADO MARTINEZ. Cirugía Ortopédica y Traumatología. Madrid: Panamericana, 2009.
LUXACIONES Y
FRACTURAS DEL CODOCLASIFICACIÓN
A.D. DELGADO MARTINEZ. Cirugía Ortopédica y Traumatología. Madrid: Panamericana, 2009.
LUXACIONES Y
FRACTURAS DEL CODO
LESIÓN VASCULAR
PULSOS
ARTERIOGRAFIA
FASCIOTOMIA VOLAR
LESION NERVIOSA
N. CUBITAL
N. MEDIANO
N.RADIAL
N. INTERÓSEO ANTERIOR
VALORACIÓN
A.D. DELGADO MARTINEZ. Cirugía Ortopédica y Traumatología. Madrid: Panamericana, 2009.
LUXACIONES Y
FRACTURAS DEL CODOVALORACIÓN
HALLET
A.D. DELGADO MARTINEZ. Cirugía Ortopédica y Traumatología. Madrid: Panamericana, 2009.
LUXACIONES Y
FRACTURAS DEL CODO
LUXACIÓN POSTERIOR
REDUCCIÓN CERRADA
METODO DE PARVIN
METODO DE MEYN Y QUIGLEY
REDUCCIÓN POR HIPEREXTENSIÓN
INMOVILIZACIÓN EN 90˚ DE FLEXIÓN
REDUCCIÓN ABIERTA
LUXACIONES COMPLICADAS
LUXACIONES CRÓNICAS
TRATAMIENTO DE LAS
SIMPLES
A.D. DELGADO MARTINEZ. Cirugía Ortopédica y Traumatología. Madrid: Panamericana, 2009.
LUXACIONES Y
FRACTURAS DEL CODO
TRATAMIENTO DE LAS
SIMPLES
METODO DE
PARVIN
METODO DE
MEYN Y
QUIGLEY
A.D. DELGADO MARTINEZ. Cirugía Ortopédica y Traumatología. Madrid: Panamericana, 2009.
LUXACIONES Y
FRACTURAS DEL CODO
LUXACIÓN ANTERIOR
TRACCIÓN SUAVE
PRESIÓN HACIA ATRAS Y ABAJO DEL ANTEBRAZO
PRESIÓN HACIA ADELANTE DEL 1/3 DISTAL DEL
HUMERO
INMOVILIZAR EN MENOS DE 90˚
TRATAMIENTO DE LAS
SIMPLES
A.D. DELGADO MARTINEZ. Cirugía Ortopédica y Traumatología. Madrid: Panamericana, 2009.
LUXACIONES Y
FRACTURAS DEL CODO
LUXACIÓN INTERNA Y EXTERNA
TRACCIÓN SUAVE DEL ANTEBRAZO
PRESIÓN LATERAL O MEDIAL
EXTENSIÓN MODERADA
TRATAMIENTO DE LAS
SIMPLES
A.D. DELGADO MARTINEZ. Cirugía Ortopédica y Traumatología. Madrid: Panamericana, 2009.
LUXACIONES Y
FRACTURAS DEL CODO
LUXACIÓN DIVERGENTE
ANTEROPOSTERIOR
REDUCCIÓN SIMILAR A LA POSTERIOR + PRESIÓN
SOBRE CABEZA DEL RADIO
INMOVILIZACIÓN EN FLEXIÓN + SUPINACIÓN
LATEROMEDIAL
TRACCIÓN LINEAL EN EXTENSIÓN + COMPRESIÓN
PROXIMAL DEL ANTEBRAZO
INMOVILIZACIÓN EN SUPINACIÓN + FLEXIÓN
TRATAMIENTO DE LAS
SIMPLES
A.D. DELGADO MARTINEZ. Cirugía Ortopédica y Traumatología. Madrid: Panamericana, 2009.
LUXACIONES Y
FRACTURAS DEL CODO
LUXACIÓN RECURRENTE AGUDA
TRIADA TERRIBLE:
REPARACIÓN DE LA CABEZA RADIAL
REPARACIÓN DE LA APÓFISIS CORONOIDES
FIJACIÓN EXTERNA
ARTRODESIS CON ALAMBRES (3-5 SEMANAS)
ORTESIS
TRATAMIENTO DE LAS
COMPLEJAS
A.D. DELGADO MARTINEZ. Cirugía Ortopédica y Traumatología. Madrid: Panamericana, 2009.
LUXACIONES Y
FRACTURAS DEL CODO
LUXACIÓN RECURRENTE CRÓNICA
REPARACIÓN DEL COMPLEJO LIGAMENTARIO
REPARACIÓN DEL LIGAMENTO LATERAL
REHABILITACIÓN LENTA SUPINACIÓN
TRATAMIENTO DE LAS
COMPLEJAS
A.D. DELGADO MARTINEZ. Cirugía Ortopédica y Traumatología. Madrid: Panamericana, 2009.
LUXACIONES Y
FRACTURAS DEL CODO
PRONACIÓN
DOLOROSA
A.D. DELGADO MARTINEZ. Cirugía Ortopédica y Traumatología. Madrid: Panamericana, 2009.
LUXACIONES Y
FRACTURAS DEL CODO
TAMBIÉN LLAMADO CODO DE NIÑERA
MAS FRECUENTE EN NIÑAS DE 2-3 AÑOS
RARAMENTE EN MAYORES DE 5 AÑOS
RECURRENTE EN EL 5-39%
PRONACIÓN DOLOROSA
A.D. DELGADO MARTINEZ. Cirugía Ortopédica y Traumatología. Madrid: Panamericana, 2009.
LUXACIONES Y
FRACTURAS DEL CODO
MECANISMO LESIONAL
PRONACIÓN+ TRACCIÓN FORZADA CON EL
BRAZO EN EXTENSIÓN
MIGRACIÓN PROXIMAL DEL LIGAMENTO ANULAR
PRONACIÓN DOLOROSA
A.D. DELGADO MARTINEZ. Cirugía Ortopédica y Traumatología. Madrid: Panamericana, 2009.
LUXACIONES Y
FRACTURAS DEL CODO
CLINICA
BRAZO EN EXTENSIÓN Y PRONACIÓN
NO MOVILIZACIÓN DEL MIEMBRO IPSILATERAL
DOLOR REFERIDO AL HOMBRO O LA MUÑECA
PRONACIÓN DOLOROSA
A.D. DELGADO MARTINEZ. Cirugía Ortopédica y Traumatología. Madrid: Panamericana, 2009.
LUXACIONES Y
FRACTURAS DEL CODO
PARACLINICA
RX DEL CODO AP Y LATERAL
ARTROGRAFIA
ECOGRAFIA
PRONACIÓN DOLOROSA
A.D. DELGADO MARTINEZ. Cirugía Ortopédica y Traumatología. Madrid: Panamericana, 2009.
LUXACIONES Y
FRACTURAS DEL CODO
TRATAMIENTO
INVERTIR LOS MOVIMIENTOS:
SUPINACIÓN FLEXIÓN
PRONACIÓN FORZADA SIN FLEXIÓN
NO INMOVILIZACIÓN
PRONACIÓN DOLOROSA
A.D. DELGADO MARTINEZ. Cirugía Ortopédica y Traumatología. Madrid: Panamericana, 2009.
LUXACIONES Y
FRACTURAS DEL CODO
FRACTURAS
FRACTURA PROXIMAL DEL CÚBITO
TRAUMATISMO DIRECTO: CONMINUTAS
FRACTURA ARRANCAMIENTO: TRANSVERSAS
LUXOFRACTURAS
FRACTURAS PROXIMALES DEL
CÚBITO
MECANISMO
LESIONAL
A.D. DELGADO MARTINEZ. Cirugía Ortopédica y Traumatología. Madrid: Panamericana, 2009.
FRACTURA PROXIMAL DEL CÚBITO
DOLOR Y AUMENTO DE VOLUMEN
DEPRESIÓN PALPABLE
IMPOTENCIA FUNCIONAL
FRACTURAS PROXIMALES DEL
CÚBITOCLINICA
A.D. DELGADO MARTINEZ. Cirugía Ortopédica y Traumatología. Madrid: Panamericana, 2009.
FRACTURA PROXIMAL DEL CÚBITO
COLTON
NO DESPLAZADAS 2mm Y ESTABLES˂
FRACTURAS PROXIMALES DEL
CÚBITOCLASIFICACIÓN
A.D. DELGADO MARTINEZ. Cirugía Ortopédica y Traumatología. Madrid: Panamericana, 2009.
FRACTURA PROXIMAL DEL CÚBITO
DESPLAZADAS
FRACTURAS POR AVULSIÓN
FRACTURAS TRANSVERSAS Y OBLICUAS
FRACTURAS CONMINUTAS
LUXOFRACTURAS
FRACTURAS ABIERTAS
FRACTURAS PROXIMALES DEL
CÚBITOCLASIFICACIÓN
A.D. DELGADO MARTINEZ. Cirugía Ortopédica y Traumatología. Madrid: Panamericana, 2009.
FRACTURAS PROXIMALES DEL
CÚBITO
CLASIFICACIÓN Y
TRATAMIENTO
A.D. DELGADO MARTINEZ. Cirugía Ortopédica y Traumatología. Madrid: Panamericana, 2009.
FRACTURAS PROXIMALES DEL
CÚBITO
CLASIFICACIÓN Y
TRATAMIENTO
A.D. DELGADO MARTINEZ. Cirugía Ortopédica y Traumatología. Madrid: Panamericana, 2009.
NO DESPLAZADAS 2mm Y ESTABLES˂
INMOVILIZACIÓN EN 90˚ (3-4 SEMANAS)
MOVILIZACIÓN PROTEGIDA (EVITAR FLEXIÓN)
NO INMOVILIZAR EN EXTENSIÓN ( RIGIDEZ)
FRACTURAS PROXIMALES DEL
CÚBITOTRATAMIENTO
A.D. DELGADO MARTINEZ. Cirugía Ortopédica y Traumatología. Madrid: Panamericana, 2009.
FRACTURAS POR AVULSIÓN
REDUCCIÓN DIRECTA
CERCLAJE DINÁMICO CON A.K.
OSTEOSÍNTESIS CON TORNILLOS DE ESPONJOSA
6.5mm 0 7.3mm
FRAGMENTOS PEQUEÑOS ESCISIÓN
FRACTURAS PROXIMALES DEL
CÚBITOTRATAMIENTO
A.D. DELGADO MARTINEZ. Cirugía Ortopédica y Traumatología. Madrid: Panamericana, 2009.
FRACTURA PROXIMAL DEL CÚBITO
FRACTURAS TRANSVERSAS Y OBLICUAS
REDUCCIÓN DIRECTA
CERCLAJE DINÁMICO CON A.K.
OSTEOSÍNTESIS CON TORNILLOS DE ESPONJOSA
6.5mm CON O SIN ARANDELA
PLACA 1/3 DE TUBO Ó RECONSTRUCCIÓN 3.5mm
FRACTURAS PROXIMALES DEL
CÚBITOTRATAMIENTO
A.D. DELGADO MARTINEZ. Cirugía Ortopédica y Traumatología. Madrid: Panamericana, 2009.
FRACTURA PROXIMAL DEL CÚBITO
FRACTURAS CONMINUTAS
ESCISIÓN DEL FRAGMENTO + REINSERCIÓN
TENDINOSA
REDUCCIÓN DIRECTA + OSTEOSÍNTESIS CON
PLACA
REDUCCIÓN DIRECTA + OSTEODESIS CON
CERCLAJE DINAMICO + OSTEOSÍNTESIS
FRACTURAS PROXIMALES DEL
CÚBITOTRATAMIENTO
A.D. DELGADO MARTINEZ. Cirugía Ortopédica y Traumatología. Madrid: Panamericana, 2009.
FRACTURA PROXIMAL DEL CÚBITO
FRACTURAS LUXACIÓN
REDUCCIÓN DIRECTA + OSTEOSÍNTESIS CON
PLACA
REDUCCIÓN DIRECTA + OSTEODESIS CON
CERCLAJE DINAMICO + OSTEOSÍNTESIS
FRACTURAS PROXIMALES DEL
CÚBITOTRATAMIENTO
A.D. DELGADO MARTINEZ. Cirugía Ortopédica y Traumatología. Madrid: Panamericana, 2009.
FRACTURA PROXIMAL DEL CÚBITO
ABORDAJES:
POSTERIOR
MEDIAL
FRACTURAS PROXIMALES DEL
CÚBITOABORDAJES
A.D. DELGADO MARTINEZ. Cirugía Ortopédica y Traumatología. Madrid: Panamericana, 2009.
FRACTURA DE LA CABEZA DEL RADIO
CONSTITUYEN EL 20-30% DE LAS FRACTURAS
DEL CODO
PERMITE MOVIMIENTOS DE ROTACIÓN Y
FLEXOEXTENSIÓN
DECIDIR ARTROPLASTIA
FRACTURAS DE LA CABEZA
DEL RADIOGENERALIDADES
A.D. DELGADO MARTINEZ. Cirugía Ortopédica y Traumatología. Madrid: Panamericana, 2009.
FRACTURA DE LA CABEZA DEL RADIO
RX AP, LATERAL Y OBLICUAS DEL CODO
PROYECCIÓN RADIOCAPITELAR
PROYECCION CABEZA RADIO-CÓNDILO
TOMOGRAFÍA COMPUTALIZADA
FRACTURAS DE LA CABEZA
DEL RADIOPARACLINICA
A.D. DELGADO MARTINEZ. Cirugía Ortopédica y Traumatología. Madrid: Panamericana, 2009.
FRACTURA DE LA CABEZA DEL RADIO
MASON
TIPO I: MARGINAL, DESPLAZAMIENTO 2mm˂
TIPO II: MARGINAL, DESPLAZAMIENTO 2mm˃
TIPO III:CONMINUTA DE LA CABEZA Y/O CUELLO
TIPO III:ASOCIADA A LUXACIÓN
FRACTURAS DE LA CABEZA
DEL RADIOCLASIFICACIÓN
A.D. DELGADO MARTINEZ. Cirugía Ortopédica y Traumatología. Madrid: Panamericana, 2009.
FRACTURAS DE LA CABEZA
DEL RADIOCLASIFICACIÓN
A.D. DELGADO MARTINEZ. Cirugía Ortopédica y Traumatología. Madrid: Panamericana, 2009.
FRACTURA DE LA CABEZA DEL RADIO
TIPO I:
CONSERVADOR
INMOVILIZADOR POR 4-5 DÍAS
ARTROSENTESIS + ANESTESICO LOCAL
MOVILIZACIÓN PRECOZ AL TOLERAR
INMOVILIZACIÓN EN EXTENSIÓN NOCTURNA
FRACTURAS DE LA CABEZA
DEL RADIOTRATAMIENTO
A.D. DELGADO MARTINEZ. Cirugía Ortopédica y Traumatología. Madrid: Panamericana, 2009.
FRACTURA DE LA CABEZA DEL RADIO
TIPO II:
SIN BLOQUEO MECÁNICO: SIMILAR AL TIPO I
CON BLOQUEO MECÁNICO:
REDUCCIÓN DIRECTA+OSTEOSÍNTESIS (SET DE
TORNILLOS 2.0mm Ó 2.4mm) + PLACAS 2.0mm EN T
Ó L
ARTROPLASTIA
FRACTURAS DE LA CABEZA
DEL RADIOTRATAMIENTO
A.D. DELGADO MARTINEZ. Cirugía Ortopédica y Traumatología. Madrid: Panamericana, 2009.
FRACTURA DE LA CABEZA DEL RADIO
TIPO III:
SIN LUXACIÓN RADIOCUBITAL: EXCERESIS
TOTAL DE LA CABEZA DEL RADIO
CON LESIÓN DE LA MEMBRANA INTERÓSEA:
ARTROPLASTIA
FRACTURAS DE LA CABEZA
DEL RADIOTRATAMIENTO
A.D. DELGADO MARTINEZ. Cirugía Ortopédica y Traumatología. Madrid: Panamericana, 2009.
FRACTURAS DE LA CABEZA
DEL RADIOTRATAMIENTO
A.D. DELGADO MARTINEZ. Cirugía Ortopédica y Traumatología. Madrid: Panamericana, 2009.
FRACTURA DE LA CABEZA DEL RADIO
ABORDAJE:
POSTEROLATERAL (KOCHER)
ANTEROLATERAL
FRACTURAS DE LA CABEZA
DEL RADIOABORDAJES
A.D. DELGADO MARTINEZ. Cirugía Ortopédica y Traumatología. Madrid: Panamericana, 2009.
LAS FRACTURAS DEL HÚMERO DISTAL SON
AQUELLAS COMPRENDIDAS DENTRO DEL
CUADRADO DE HEINZ
INCIDENCIA BAJA EN LOS ADULTOS (0.5% DE
TODAS LAS FRACTURAS
FRACTURAS DE HÚMERO
DISTALGENERALIDADES
A.D. DELGADO MARTINEZ. Cirugía Ortopédica y Traumatología. Madrid: Panamericana, 2009.
FRACTURAS COMPLEJAS
SUPRA E INTERCONDILEAS Y CONMINUTAS
DIRECTAS O INDIRECTAS (BAJA ENERGIA)
CARGAS AXIALES (CODO FLEXIÓN 90˚˂
FRACTURAS DE HÚMERO
DISTAL
MECANISMO
LESIONAL
A.D. DELGADO MARTINEZ. Cirugía Ortopédica y Traumatología. Madrid: Panamericana, 2009.
AUMENTO DE VOLUMEN DISTAL DEL BRAZO Y
CODO
IMPOTENCIA FUNCIONAL
DEFORMIDAD EVIDENTE
RX ESTANDAR (AP Y LATERAL)
TOMOGRAFIA
FRACTURAS DE HÚMERO
DISTALDIAGNÓSTICO
A.D. DELGADO MARTINEZ. Cirugía Ortopédica y Traumatología. Madrid: Panamericana, 2009.
FRACTURAS DE HÚMERO
DISTALCLASIFICACIÓN
A.D. DELGADO MARTINEZ. Cirugía Ortopédica y Traumatología. Madrid: Panamericana, 2009.
TIPO A: -A1: AVULSIÓN APOFISARIA
-A2: METAFISARIA SIMPLE
-A3: METAFISARIA MULTIFRAGMENTARIA
TIPO B: -B1: EXTERNA SAGITAL
-B2: INTERNA SAGITAL
-B3:CORONAL (FRONTAL)
TIPO C: -C1: ARTICULAR Y METAFISARIA SIMPLE
-C2: ARTICULAR SIMPLE+ METAFISARIA
COMPLEJA
-C3:ARTICULAR Y METAFISARIA
FRACTURAS DE HÚMERO
DISTALCLASIFICACIÓN
A.D. DELGADO MARTINEZ. Cirugía Ortopédica y Traumatología. Madrid: Panamericana, 2009.
CONSERVADOR
FRACTURAS DE HÚMERO
DISTALTRATAMIENTO
YESO BRAQUIPALMAR YESO
ABISAGRADO YESO FUNCIONAL
TRACCIÓN OLECRANIANA
CABESTRILLO EN “SACO DE HUESOS”
REDUCCIÓN INDIRECTA + FIJACIÓN EXTERNA
FRACTURAS DE HÚMERO
DISTALTRATAMIENTO
A.D. DELGADO MARTINEZ. Cirugía Ortopédica y Traumatología. Madrid: Panamericana, 2009.
QUIRÚRGICA
FRACTURAS DE HÚMERO
DISTALTRATAMIENTO
TIPO A Y C1:
ABORDAJE:
POSTERIOR TRANSTRICEPS
FRACTURAS DE HÚMERO
DISTALTRATAMIENTO
A.D. DELGADO MARTINEZ. Cirugía Ortopédica y Traumatología. Madrid: Panamericana, 2009.
GARDEN MICHAEL.Fracture Surgery. Baltimore: William & Wilkins, 2011.
TIPO B Y C2,C3
POSTERIOR + CHEVRON
FRACTURAS DE HÚMERO
DISTALTRATAMIENTO
A.D. DELGADO MARTINEZ. Cirugía Ortopédica y Traumatología. Madrid: Panamericana, 2009.
GARDEN MICHAEL.Fracture Surgery. Baltimore: William & Wilkins, 2011.
OSTEOSÍNTESIS
PLACAS DE RECONSTRUCCIÓN 3.5mmø
PLACAS 1/3 DE TUBO
PLACAS LCP 3.5mmø (MEDIALES Y LATERALES)
PLACAS MINIFRAGMENTOS (2.0mm Ó 2.4mm)
PLACAS DCP 3.5mmø
ALAMBRES DE KIRSCHNER
FRACTURAS DE HÚMERO
DISTALTRATAMIENTO
A.D. DELGADO MARTINEZ. Cirugía Ortopédica y Traumatología. Madrid: Panamericana, 2009.
GARDEN MICHAEL.Fracture Surgery. Baltimore: William & Wilkins, 2011.
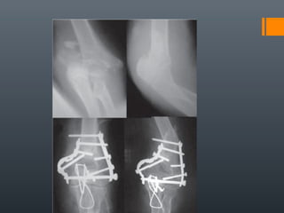
FRACTURAS DE HÚMERO
DISTALTRATAMIENTO
A.D. DELGADO MARTINEZ. Cirugía Ortopédica y Traumatología. Madrid: Panamericana, 2009.
GARDEN MICHAEL.Fracture Surgery. Baltimore: William & Wilkins, 2011.
FRACTURAS DE HÚMERO
DISTALTRATAMIENTO
A.D. DELGADO MARTINEZ. Cirugía Ortopédica y Traumatología. Madrid: Panamericana, 2009.
GARDEN MICHAEL.Fracture Surgery. Baltimore: William & Wilkins, 2011.
FRACTURAS DE HÚMERO
DISTALTRATAMIENTO
A.D. DELGADO MARTINEZ. Cirugía Ortopédica y Traumatología. Madrid: Panamericana, 2009.
GARDEN MICHAEL.Fracture Surgery. Baltimore: William & Wilkins, 2011.
FRACTURAS DE HÚMERO
DISTALTRATAMIENTO
A.D. DELGADO MARTINEZ. Cirugía Ortopédica y Traumatología. Madrid: Panamericana, 2009.
GARDEN MICHAEL.Fracture Surgery. Baltimore: William & Wilkins, 2011.
BIBLIOGRAFÍA
A.D. DELGADO MARTINEZ. Cirugía Ortopédica y
Traumatología. Madrid: Panamericana, 2009.
ROCKWOOD & GREEN. Fracturas en el adulto.
Madrid: Marban, 2003.
HOPPENFIELD & deBOER. Abordajes en cirugía
Ortopédica.Madrid: Marban, 2005.
GARDEN MICHAEL.Fracture Surgery. Baltimore:
William & Wilkins, 2011.
FICHA
Aumento de la estabilidad en la osteosíntesis de
húmero distal osteoporótico
con implantes convencionales
Ramos-Maza E,* García-Estrada F,** Chávez-
Covarrubias G,*** Alcázar D****
Hospital General Regional No. 2 con UMAA, Instituto
Mexicano del Seguro Social
ENERO-FEBRERO 2013
GRACIAS……

Luxaciones y fracturas de codo

  • 1.
    HOSPITAL UNIVERSITARIOHOSPITAL UNIVERSITARIO DR.PEDRO EMILIO CARRILLODR. PEDRO EMILIO CARRILLO SERVICIO DE TRAUMATOLOGÍA Y ORTOPEDIASERVICIO DE TRAUMATOLOGÍA Y ORTOPEDIA VALERA-VENEZUELAVALERA-VENEZUELA DR. ELIFONSO N. VILLARREAL V. RII DE ORTOPEDIA Y TRAUMATOLOGÍA SEPTIEMBRE 2013 LUXACIONES Y FRACTURAS DE CODO
  • 2.
    LUXACIONES Y FRACTURAS DELCODO GENERALIDADES LAS LESIONES DEL CODO PRODUCEN LIMITACIÓN DE LA MOVILIDAD Y DOLOR EN LAS PRACTICAS DEPORTIVAS RECREATIVAS Y DE LA VIDA DIARIA.
  • 3.
    LUXACIONES Y FRACTURAS DELCODO EMBRIOLOGIA BROTE DEL MIEMBRO SUPERIOR 4ta SVIU DIFERENCIACIÓN DE LOS HUESOS Y ARTICULACIONES 4ta–7ma SEGMENTOS DEFINIDOS 8va-9na
  • 4.
    LUXACIONES Y FRACTURAS DELCODO DESARROLLO DE LA OSIFICACIÓN 1 AÑO 14 AÑOS 12 AÑOS ENTRE 5 Y 8 AÑOS
  • 5.
    LUXACIONES Y FRACTURAS DELCODO DESARROLLO DE LA OSIFICACIÓN NIÑAS: 11 AÑOS NIÑOS: 13 AÑOS NIÑAS: 11.5 AÑOS NIÑOS: 13 .5 AÑOS NIÑAS: 12 AÑOS NIÑOS: 14 AÑOS NIÑAS: 12.5 AÑOS NIÑOS: 14.5 AÑOS NIÑAS: 13 AÑOS NIÑOS: 15 AÑOS
  • 6.
    LUXACIONES Y FRACTURAS DELCODO ANATOMIA DEL CODO 3 ARTICULACIONES: 1.CÚBITO-HUMERAL 2.RADIO-HUMERAL 3.RADIO-CÚBITAL PROXIMAL M. LLUSA. Manual y Atlas fotografico de Anatomía del aparato locomotor.Panamericana.Madrid 2006
  • 7.
    LUXACIONES Y FRACTURAS DELCODO M. LLUSA. Manual y Atlas fotografico de Anatomía del aparato locomotor.Panamericana.Madrid 2006
  • 8.
    LUXACIONES Y FRACTURAS DELCODO ANATOMIA DEL CODO MUSCULOS: 1.ANTERIORES FLEXORES DEL CODO: BRAQUIAL ANTERIOR // BICEPS BRAQUIAL FLEXO-PRONADORES: INSERTADOS EN EPICONDILO MEDIAL M. LLUSA. Manual y Atlas fotografico de Anatomía del aparato locomotor.Panamericana.Madrid 2006
  • 9.
    LUXACIONES Y FRACTURAS DELCODO ANATOMIA DEL CODO M. LLUSA. Manual y Atlas fotografico de Anatomía del aparato locomotor.Panamericana.Madrid 2006
  • 10.
    LUXACIONES Y FRACTURAS DELCODO ANATOMIA DEL CODO 2.POSTERIORES EXTENSORES DEL CODO: TRICEPS BRAQUIAL EXTENSO-SUPINADORES: INSERTADOS EN EPICONDILO LATERAL M. LLUSA. Manual y Atlas fotografico de Anatomía del aparato locomotor.Panamericana.Madrid 2006
  • 11.
    LUXACIONES Y FRACTURAS DELCODO ANATOMIA DEL CODO M. LLUSA. Manual y Atlas fotografico de Anatomía del aparato locomotor.Panamericana.Madrid 2006
  • 12.
    LUXACIONES Y FRACTURAS DELCODO ANATOMIA DEL CODO LIGAMENTOS Y CAPSULA CAPSULA: ANTERIORMENTE, ENCIMA DE LA FOSA RADIAL Y CORONOIDEA HASTA APÓFISIS CORONOIDES Y LAS 2 ESCOTADURAS CUBITALES POSTERIORMENTE, POR ENCIMA DE LA FOSA OLECRANEANA M. LLUSA. Manual y Atlas fotografico de Anatomía del aparato locomotor.Panamericana.Madrid 2006
  • 13.
    LUXACIONES Y FRACTURAS DELCODO ANATOMIA DEL CODO LIGAMENTOS: LIGAMENTO ANTERIOR O EN Y LIGAMENTOS POSTERIORES LIGAMENTO COLATERAL MEDIAL O CÚBITAL LIGAMENTO COLATERAL LATERAL O RADIAL M. LLUSA. Manual y Atlas fotografico de Anatomía del aparato locomotor.Panamericana.Madrid 2006
  • 14.
    LUXACIONES Y FRACTURAS DELCODO ANATOMIA DEL CODO FASCICULO MEDIO LIGAMENTO TRANSVERSO ( COOPER) FASCICULO POSTERIOR (BARDINET) M. LLUSA. Manual y Atlas fotografico de Anatomía del aparato locomotor.Panamericana.Madrid 2006
  • 15.
    LUXACIONES Y FRACTURAS DELCODO ANATOMIA DEL CODO FASCICULO MEDIO FASCICULO POSTERIOR FASCICULO ANTERIOR M. LLUSA. Manual y Atlas fotografico de Anatomía del aparato locomotor.Panamericana.Madrid 2006
  • 16.
    LUXACIONES Y FRACTURAS DELCODO ANATOMIA DEL CODO INERVACIÓN N. RADIAL N. CUTANEO ANTEBRAQUIAL LATERAL N. MEDIANO N.CUBITALM. LLUSA. Manual y Atlas fotografico de Anatomía del aparato locomotor.Panamericana.Madrid 2006
  • 17.
  • 18.
    LUXACIONES Y FRACTURAS DELCODO LUXACIONES DEL CODO LAS LUXACIONES DEL CODO SON RELATIVAMENTE FRECUENTES Y AFECTAN MAS A NIÑOS QUE ADULTOS ES LA ARTICULACIÓN QUE MAS FRECUENTE SE LUXA, DESPUES DEL HOMBRO, SIENDO DEL 11 AL 18% DE TODOS LOS TRAUMATISMOS SOBRE ESTA ARTICULACIÓN. GENERALIDADES A.D. DELGADO MARTINEZ. Cirugía Ortopédica y Traumatología. Madrid: Panamericana, 2009.
  • 19.
    LUXACIONES Y FRACTURAS DELCODO CAIDA DE SU MISMA ALTURA SOBRE LA MANO CON EL CODO SEMIEXTENDIDO UN MECANISMO COMBINADO DE VALGO, SUPINACIÓN Y COMPRESIÓN AXIAL MECANISMO LESIONAL A.D. DELGADO MARTINEZ. Cirugía Ortopédica y Traumatología. Madrid: Panamericana, 2009.
  • 20.
    LUXACIONES Y FRACTURAS DELCODO SIMPLES: POSTERIOR ANTERIOR INTERNA O MEDIAL EXTERNA O LATERAL DIVERGENTE COMPLEJAS: RECURRENTE AGUDA RECURRENTE CRÓNICA CLASIFICACIÓN A.D. DELGADO MARTINEZ. Cirugía Ortopédica y Traumatología. Madrid: Panamericana, 2009.
  • 21.
    LUXACIONES Y FRACTURAS DELCODOCLASIFICACIÓN A.D. DELGADO MARTINEZ. Cirugía Ortopédica y Traumatología. Madrid: Panamericana, 2009.
  • 22.
    LUXACIONES Y FRACTURAS DELCODOCLASIFICACIÓN A.D. DELGADO MARTINEZ. Cirugía Ortopédica y Traumatología. Madrid: Panamericana, 2009.
  • 23.
    LUXACIONES Y FRACTURAS DELCODOCLASIFICACIÓN A.D. DELGADO MARTINEZ. Cirugía Ortopédica y Traumatología. Madrid: Panamericana, 2009.
  • 24.
    LUXACIONES Y FRACTURAS DELCODOCLASIFICACIÓN A.D. DELGADO MARTINEZ. Cirugía Ortopédica y Traumatología. Madrid: Panamericana, 2009.
  • 25.
    LUXACIONES Y FRACTURAS DELCODO LESIÓN VASCULAR PULSOS ARTERIOGRAFIA FASCIOTOMIA VOLAR LESION NERVIOSA N. CUBITAL N. MEDIANO N.RADIAL N. INTERÓSEO ANTERIOR VALORACIÓN A.D. DELGADO MARTINEZ. Cirugía Ortopédica y Traumatología. Madrid: Panamericana, 2009.
  • 26.
    LUXACIONES Y FRACTURAS DELCODOVALORACIÓN HALLET A.D. DELGADO MARTINEZ. Cirugía Ortopédica y Traumatología. Madrid: Panamericana, 2009.
  • 27.
    LUXACIONES Y FRACTURAS DELCODO LUXACIÓN POSTERIOR REDUCCIÓN CERRADA METODO DE PARVIN METODO DE MEYN Y QUIGLEY REDUCCIÓN POR HIPEREXTENSIÓN INMOVILIZACIÓN EN 90˚ DE FLEXIÓN REDUCCIÓN ABIERTA LUXACIONES COMPLICADAS LUXACIONES CRÓNICAS TRATAMIENTO DE LAS SIMPLES A.D. DELGADO MARTINEZ. Cirugía Ortopédica y Traumatología. Madrid: Panamericana, 2009.
  • 28.
    LUXACIONES Y FRACTURAS DELCODO TRATAMIENTO DE LAS SIMPLES METODO DE PARVIN METODO DE MEYN Y QUIGLEY A.D. DELGADO MARTINEZ. Cirugía Ortopédica y Traumatología. Madrid: Panamericana, 2009.
  • 29.
    LUXACIONES Y FRACTURAS DELCODO LUXACIÓN ANTERIOR TRACCIÓN SUAVE PRESIÓN HACIA ATRAS Y ABAJO DEL ANTEBRAZO PRESIÓN HACIA ADELANTE DEL 1/3 DISTAL DEL HUMERO INMOVILIZAR EN MENOS DE 90˚ TRATAMIENTO DE LAS SIMPLES A.D. DELGADO MARTINEZ. Cirugía Ortopédica y Traumatología. Madrid: Panamericana, 2009.
  • 30.
    LUXACIONES Y FRACTURAS DELCODO LUXACIÓN INTERNA Y EXTERNA TRACCIÓN SUAVE DEL ANTEBRAZO PRESIÓN LATERAL O MEDIAL EXTENSIÓN MODERADA TRATAMIENTO DE LAS SIMPLES A.D. DELGADO MARTINEZ. Cirugía Ortopédica y Traumatología. Madrid: Panamericana, 2009.
  • 31.
    LUXACIONES Y FRACTURAS DELCODO LUXACIÓN DIVERGENTE ANTEROPOSTERIOR REDUCCIÓN SIMILAR A LA POSTERIOR + PRESIÓN SOBRE CABEZA DEL RADIO INMOVILIZACIÓN EN FLEXIÓN + SUPINACIÓN LATEROMEDIAL TRACCIÓN LINEAL EN EXTENSIÓN + COMPRESIÓN PROXIMAL DEL ANTEBRAZO INMOVILIZACIÓN EN SUPINACIÓN + FLEXIÓN TRATAMIENTO DE LAS SIMPLES A.D. DELGADO MARTINEZ. Cirugía Ortopédica y Traumatología. Madrid: Panamericana, 2009.
  • 32.
    LUXACIONES Y FRACTURAS DELCODO LUXACIÓN RECURRENTE AGUDA TRIADA TERRIBLE: REPARACIÓN DE LA CABEZA RADIAL REPARACIÓN DE LA APÓFISIS CORONOIDES FIJACIÓN EXTERNA ARTRODESIS CON ALAMBRES (3-5 SEMANAS) ORTESIS TRATAMIENTO DE LAS COMPLEJAS A.D. DELGADO MARTINEZ. Cirugía Ortopédica y Traumatología. Madrid: Panamericana, 2009.
  • 33.
    LUXACIONES Y FRACTURAS DELCODO LUXACIÓN RECURRENTE CRÓNICA REPARACIÓN DEL COMPLEJO LIGAMENTARIO REPARACIÓN DEL LIGAMENTO LATERAL REHABILITACIÓN LENTA SUPINACIÓN TRATAMIENTO DE LAS COMPLEJAS A.D. DELGADO MARTINEZ. Cirugía Ortopédica y Traumatología. Madrid: Panamericana, 2009.
  • 34.
    LUXACIONES Y FRACTURAS DELCODO PRONACIÓN DOLOROSA A.D. DELGADO MARTINEZ. Cirugía Ortopédica y Traumatología. Madrid: Panamericana, 2009.
  • 35.
    LUXACIONES Y FRACTURAS DELCODO TAMBIÉN LLAMADO CODO DE NIÑERA MAS FRECUENTE EN NIÑAS DE 2-3 AÑOS RARAMENTE EN MAYORES DE 5 AÑOS RECURRENTE EN EL 5-39% PRONACIÓN DOLOROSA A.D. DELGADO MARTINEZ. Cirugía Ortopédica y Traumatología. Madrid: Panamericana, 2009.
  • 36.
    LUXACIONES Y FRACTURAS DELCODO MECANISMO LESIONAL PRONACIÓN+ TRACCIÓN FORZADA CON EL BRAZO EN EXTENSIÓN MIGRACIÓN PROXIMAL DEL LIGAMENTO ANULAR PRONACIÓN DOLOROSA A.D. DELGADO MARTINEZ. Cirugía Ortopédica y Traumatología. Madrid: Panamericana, 2009.
  • 37.
    LUXACIONES Y FRACTURAS DELCODO CLINICA BRAZO EN EXTENSIÓN Y PRONACIÓN NO MOVILIZACIÓN DEL MIEMBRO IPSILATERAL DOLOR REFERIDO AL HOMBRO O LA MUÑECA PRONACIÓN DOLOROSA A.D. DELGADO MARTINEZ. Cirugía Ortopédica y Traumatología. Madrid: Panamericana, 2009.
  • 38.
    LUXACIONES Y FRACTURAS DELCODO PARACLINICA RX DEL CODO AP Y LATERAL ARTROGRAFIA ECOGRAFIA PRONACIÓN DOLOROSA A.D. DELGADO MARTINEZ. Cirugía Ortopédica y Traumatología. Madrid: Panamericana, 2009.
  • 39.
    LUXACIONES Y FRACTURAS DELCODO TRATAMIENTO INVERTIR LOS MOVIMIENTOS: SUPINACIÓN FLEXIÓN PRONACIÓN FORZADA SIN FLEXIÓN NO INMOVILIZACIÓN PRONACIÓN DOLOROSA A.D. DELGADO MARTINEZ. Cirugía Ortopédica y Traumatología. Madrid: Panamericana, 2009.
  • 40.
  • 41.
    FRACTURA PROXIMAL DELCÚBITO TRAUMATISMO DIRECTO: CONMINUTAS FRACTURA ARRANCAMIENTO: TRANSVERSAS LUXOFRACTURAS FRACTURAS PROXIMALES DEL CÚBITO MECANISMO LESIONAL A.D. DELGADO MARTINEZ. Cirugía Ortopédica y Traumatología. Madrid: Panamericana, 2009.
  • 42.
    FRACTURA PROXIMAL DELCÚBITO DOLOR Y AUMENTO DE VOLUMEN DEPRESIÓN PALPABLE IMPOTENCIA FUNCIONAL FRACTURAS PROXIMALES DEL CÚBITOCLINICA A.D. DELGADO MARTINEZ. Cirugía Ortopédica y Traumatología. Madrid: Panamericana, 2009.
  • 43.
    FRACTURA PROXIMAL DELCÚBITO COLTON NO DESPLAZADAS 2mm Y ESTABLES˂ FRACTURAS PROXIMALES DEL CÚBITOCLASIFICACIÓN A.D. DELGADO MARTINEZ. Cirugía Ortopédica y Traumatología. Madrid: Panamericana, 2009.
  • 44.
    FRACTURA PROXIMAL DELCÚBITO DESPLAZADAS FRACTURAS POR AVULSIÓN FRACTURAS TRANSVERSAS Y OBLICUAS FRACTURAS CONMINUTAS LUXOFRACTURAS FRACTURAS ABIERTAS FRACTURAS PROXIMALES DEL CÚBITOCLASIFICACIÓN A.D. DELGADO MARTINEZ. Cirugía Ortopédica y Traumatología. Madrid: Panamericana, 2009.
  • 45.
    FRACTURAS PROXIMALES DEL CÚBITO CLASIFICACIÓNY TRATAMIENTO A.D. DELGADO MARTINEZ. Cirugía Ortopédica y Traumatología. Madrid: Panamericana, 2009.
  • 46.
    FRACTURAS PROXIMALES DEL CÚBITO CLASIFICACIÓNY TRATAMIENTO A.D. DELGADO MARTINEZ. Cirugía Ortopédica y Traumatología. Madrid: Panamericana, 2009.
  • 47.
    NO DESPLAZADAS 2mmY ESTABLES˂ INMOVILIZACIÓN EN 90˚ (3-4 SEMANAS) MOVILIZACIÓN PROTEGIDA (EVITAR FLEXIÓN) NO INMOVILIZAR EN EXTENSIÓN ( RIGIDEZ) FRACTURAS PROXIMALES DEL CÚBITOTRATAMIENTO A.D. DELGADO MARTINEZ. Cirugía Ortopédica y Traumatología. Madrid: Panamericana, 2009.
  • 48.
    FRACTURAS POR AVULSIÓN REDUCCIÓNDIRECTA CERCLAJE DINÁMICO CON A.K. OSTEOSÍNTESIS CON TORNILLOS DE ESPONJOSA 6.5mm 0 7.3mm FRAGMENTOS PEQUEÑOS ESCISIÓN FRACTURAS PROXIMALES DEL CÚBITOTRATAMIENTO A.D. DELGADO MARTINEZ. Cirugía Ortopédica y Traumatología. Madrid: Panamericana, 2009.
  • 49.
    FRACTURA PROXIMAL DELCÚBITO FRACTURAS TRANSVERSAS Y OBLICUAS REDUCCIÓN DIRECTA CERCLAJE DINÁMICO CON A.K. OSTEOSÍNTESIS CON TORNILLOS DE ESPONJOSA 6.5mm CON O SIN ARANDELA PLACA 1/3 DE TUBO Ó RECONSTRUCCIÓN 3.5mm FRACTURAS PROXIMALES DEL CÚBITOTRATAMIENTO A.D. DELGADO MARTINEZ. Cirugía Ortopédica y Traumatología. Madrid: Panamericana, 2009.
  • 50.
    FRACTURA PROXIMAL DELCÚBITO FRACTURAS CONMINUTAS ESCISIÓN DEL FRAGMENTO + REINSERCIÓN TENDINOSA REDUCCIÓN DIRECTA + OSTEOSÍNTESIS CON PLACA REDUCCIÓN DIRECTA + OSTEODESIS CON CERCLAJE DINAMICO + OSTEOSÍNTESIS FRACTURAS PROXIMALES DEL CÚBITOTRATAMIENTO A.D. DELGADO MARTINEZ. Cirugía Ortopédica y Traumatología. Madrid: Panamericana, 2009.
  • 51.
    FRACTURA PROXIMAL DELCÚBITO FRACTURAS LUXACIÓN REDUCCIÓN DIRECTA + OSTEOSÍNTESIS CON PLACA REDUCCIÓN DIRECTA + OSTEODESIS CON CERCLAJE DINAMICO + OSTEOSÍNTESIS FRACTURAS PROXIMALES DEL CÚBITOTRATAMIENTO A.D. DELGADO MARTINEZ. Cirugía Ortopédica y Traumatología. Madrid: Panamericana, 2009.
  • 52.
    FRACTURA PROXIMAL DELCÚBITO ABORDAJES: POSTERIOR MEDIAL FRACTURAS PROXIMALES DEL CÚBITOABORDAJES A.D. DELGADO MARTINEZ. Cirugía Ortopédica y Traumatología. Madrid: Panamericana, 2009.
  • 53.
    FRACTURA DE LACABEZA DEL RADIO CONSTITUYEN EL 20-30% DE LAS FRACTURAS DEL CODO PERMITE MOVIMIENTOS DE ROTACIÓN Y FLEXOEXTENSIÓN DECIDIR ARTROPLASTIA FRACTURAS DE LA CABEZA DEL RADIOGENERALIDADES A.D. DELGADO MARTINEZ. Cirugía Ortopédica y Traumatología. Madrid: Panamericana, 2009.
  • 54.
    FRACTURA DE LACABEZA DEL RADIO RX AP, LATERAL Y OBLICUAS DEL CODO PROYECCIÓN RADIOCAPITELAR PROYECCION CABEZA RADIO-CÓNDILO TOMOGRAFÍA COMPUTALIZADA FRACTURAS DE LA CABEZA DEL RADIOPARACLINICA A.D. DELGADO MARTINEZ. Cirugía Ortopédica y Traumatología. Madrid: Panamericana, 2009.
  • 55.
    FRACTURA DE LACABEZA DEL RADIO MASON TIPO I: MARGINAL, DESPLAZAMIENTO 2mm˂ TIPO II: MARGINAL, DESPLAZAMIENTO 2mm˃ TIPO III:CONMINUTA DE LA CABEZA Y/O CUELLO TIPO III:ASOCIADA A LUXACIÓN FRACTURAS DE LA CABEZA DEL RADIOCLASIFICACIÓN A.D. DELGADO MARTINEZ. Cirugía Ortopédica y Traumatología. Madrid: Panamericana, 2009.
  • 56.
    FRACTURAS DE LACABEZA DEL RADIOCLASIFICACIÓN A.D. DELGADO MARTINEZ. Cirugía Ortopédica y Traumatología. Madrid: Panamericana, 2009.
  • 57.
    FRACTURA DE LACABEZA DEL RADIO TIPO I: CONSERVADOR INMOVILIZADOR POR 4-5 DÍAS ARTROSENTESIS + ANESTESICO LOCAL MOVILIZACIÓN PRECOZ AL TOLERAR INMOVILIZACIÓN EN EXTENSIÓN NOCTURNA FRACTURAS DE LA CABEZA DEL RADIOTRATAMIENTO A.D. DELGADO MARTINEZ. Cirugía Ortopédica y Traumatología. Madrid: Panamericana, 2009.
  • 58.
    FRACTURA DE LACABEZA DEL RADIO TIPO II: SIN BLOQUEO MECÁNICO: SIMILAR AL TIPO I CON BLOQUEO MECÁNICO: REDUCCIÓN DIRECTA+OSTEOSÍNTESIS (SET DE TORNILLOS 2.0mm Ó 2.4mm) + PLACAS 2.0mm EN T Ó L ARTROPLASTIA FRACTURAS DE LA CABEZA DEL RADIOTRATAMIENTO A.D. DELGADO MARTINEZ. Cirugía Ortopédica y Traumatología. Madrid: Panamericana, 2009.
  • 59.
    FRACTURA DE LACABEZA DEL RADIO TIPO III: SIN LUXACIÓN RADIOCUBITAL: EXCERESIS TOTAL DE LA CABEZA DEL RADIO CON LESIÓN DE LA MEMBRANA INTERÓSEA: ARTROPLASTIA FRACTURAS DE LA CABEZA DEL RADIOTRATAMIENTO A.D. DELGADO MARTINEZ. Cirugía Ortopédica y Traumatología. Madrid: Panamericana, 2009.
  • 60.
    FRACTURAS DE LACABEZA DEL RADIOTRATAMIENTO A.D. DELGADO MARTINEZ. Cirugía Ortopédica y Traumatología. Madrid: Panamericana, 2009.
  • 61.
    FRACTURA DE LACABEZA DEL RADIO ABORDAJE: POSTEROLATERAL (KOCHER) ANTEROLATERAL FRACTURAS DE LA CABEZA DEL RADIOABORDAJES A.D. DELGADO MARTINEZ. Cirugía Ortopédica y Traumatología. Madrid: Panamericana, 2009.
  • 62.
    LAS FRACTURAS DELHÚMERO DISTAL SON AQUELLAS COMPRENDIDAS DENTRO DEL CUADRADO DE HEINZ INCIDENCIA BAJA EN LOS ADULTOS (0.5% DE TODAS LAS FRACTURAS FRACTURAS DE HÚMERO DISTALGENERALIDADES A.D. DELGADO MARTINEZ. Cirugía Ortopédica y Traumatología. Madrid: Panamericana, 2009.
  • 63.
    FRACTURAS COMPLEJAS SUPRA EINTERCONDILEAS Y CONMINUTAS DIRECTAS O INDIRECTAS (BAJA ENERGIA) CARGAS AXIALES (CODO FLEXIÓN 90˚˂ FRACTURAS DE HÚMERO DISTAL MECANISMO LESIONAL A.D. DELGADO MARTINEZ. Cirugía Ortopédica y Traumatología. Madrid: Panamericana, 2009.
  • 64.
    AUMENTO DE VOLUMENDISTAL DEL BRAZO Y CODO IMPOTENCIA FUNCIONAL DEFORMIDAD EVIDENTE RX ESTANDAR (AP Y LATERAL) TOMOGRAFIA FRACTURAS DE HÚMERO DISTALDIAGNÓSTICO A.D. DELGADO MARTINEZ. Cirugía Ortopédica y Traumatología. Madrid: Panamericana, 2009.
  • 65.
    FRACTURAS DE HÚMERO DISTALCLASIFICACIÓN A.D.DELGADO MARTINEZ. Cirugía Ortopédica y Traumatología. Madrid: Panamericana, 2009.
  • 66.
    TIPO A: -A1:AVULSIÓN APOFISARIA -A2: METAFISARIA SIMPLE -A3: METAFISARIA MULTIFRAGMENTARIA TIPO B: -B1: EXTERNA SAGITAL -B2: INTERNA SAGITAL -B3:CORONAL (FRONTAL) TIPO C: -C1: ARTICULAR Y METAFISARIA SIMPLE -C2: ARTICULAR SIMPLE+ METAFISARIA COMPLEJA -C3:ARTICULAR Y METAFISARIA FRACTURAS DE HÚMERO DISTALCLASIFICACIÓN A.D. DELGADO MARTINEZ. Cirugía Ortopédica y Traumatología. Madrid: Panamericana, 2009.
  • 67.
  • 68.
    YESO BRAQUIPALMAR YESO ABISAGRADOYESO FUNCIONAL TRACCIÓN OLECRANIANA CABESTRILLO EN “SACO DE HUESOS” REDUCCIÓN INDIRECTA + FIJACIÓN EXTERNA FRACTURAS DE HÚMERO DISTALTRATAMIENTO A.D. DELGADO MARTINEZ. Cirugía Ortopédica y Traumatología. Madrid: Panamericana, 2009.
  • 69.
  • 70.
    TIPO A YC1: ABORDAJE: POSTERIOR TRANSTRICEPS FRACTURAS DE HÚMERO DISTALTRATAMIENTO A.D. DELGADO MARTINEZ. Cirugía Ortopédica y Traumatología. Madrid: Panamericana, 2009. GARDEN MICHAEL.Fracture Surgery. Baltimore: William & Wilkins, 2011.
  • 71.
    TIPO B YC2,C3 POSTERIOR + CHEVRON FRACTURAS DE HÚMERO DISTALTRATAMIENTO A.D. DELGADO MARTINEZ. Cirugía Ortopédica y Traumatología. Madrid: Panamericana, 2009. GARDEN MICHAEL.Fracture Surgery. Baltimore: William & Wilkins, 2011.
  • 72.
    OSTEOSÍNTESIS PLACAS DE RECONSTRUCCIÓN3.5mmø PLACAS 1/3 DE TUBO PLACAS LCP 3.5mmø (MEDIALES Y LATERALES) PLACAS MINIFRAGMENTOS (2.0mm Ó 2.4mm) PLACAS DCP 3.5mmø ALAMBRES DE KIRSCHNER FRACTURAS DE HÚMERO DISTALTRATAMIENTO A.D. DELGADO MARTINEZ. Cirugía Ortopédica y Traumatología. Madrid: Panamericana, 2009. GARDEN MICHAEL.Fracture Surgery. Baltimore: William & Wilkins, 2011.
  • 73.
    FRACTURAS DE HÚMERO DISTALTRATAMIENTO A.D.DELGADO MARTINEZ. Cirugía Ortopédica y Traumatología. Madrid: Panamericana, 2009. GARDEN MICHAEL.Fracture Surgery. Baltimore: William & Wilkins, 2011.
  • 74.
    FRACTURAS DE HÚMERO DISTALTRATAMIENTO A.D.DELGADO MARTINEZ. Cirugía Ortopédica y Traumatología. Madrid: Panamericana, 2009. GARDEN MICHAEL.Fracture Surgery. Baltimore: William & Wilkins, 2011.
  • 75.
    FRACTURAS DE HÚMERO DISTALTRATAMIENTO A.D.DELGADO MARTINEZ. Cirugía Ortopédica y Traumatología. Madrid: Panamericana, 2009. GARDEN MICHAEL.Fracture Surgery. Baltimore: William & Wilkins, 2011.
  • 76.
    FRACTURAS DE HÚMERO DISTALTRATAMIENTO A.D.DELGADO MARTINEZ. Cirugía Ortopédica y Traumatología. Madrid: Panamericana, 2009. GARDEN MICHAEL.Fracture Surgery. Baltimore: William & Wilkins, 2011.
  • 77.
    BIBLIOGRAFÍA A.D. DELGADO MARTINEZ.Cirugía Ortopédica y Traumatología. Madrid: Panamericana, 2009. ROCKWOOD & GREEN. Fracturas en el adulto. Madrid: Marban, 2003. HOPPENFIELD & deBOER. Abordajes en cirugía Ortopédica.Madrid: Marban, 2005. GARDEN MICHAEL.Fracture Surgery. Baltimore: William & Wilkins, 2011.
  • 78.
  • 79.
    Aumento de laestabilidad en la osteosíntesis de húmero distal osteoporótico con implantes convencionales Ramos-Maza E,* García-Estrada F,** Chávez- Covarrubias G,*** Alcázar D**** Hospital General Regional No. 2 con UMAA, Instituto Mexicano del Seguro Social ENERO-FEBRERO 2013
  • 81.