SESIÓN DE MICROBIOLOGÍA CLÍNICA Y ENFERMEDADES INFECCIOSAS
Magda Cordeiro – R1 Oncología Médica
CASO CLÍNICO
MOTIVO DE CONSULTA
Paciente mujer de 64 años remitida desde su MAP por dolor dorso-lumbar
derecho y síndrome constitucional de 9 meses de evolución
CASO CLÍNICO
ANTECEDENTES PERSONALES
No AMC
Ex-fumadora desde hace 9 meses de 4 cigs/día
Niega otros hábitos tóxicos
IABVD. Barthell 100. Pfeiffer 0. MRC 0. No edemas, ortopnea o DPN
CASO CLÍNICO
ANTECEDENTES PATOLÓGICOS
HTA, diagnosticada desde hace 12 años, en tto con Enalapril 10 mg
No DLP o DM
Patología pulmonar en la infancia, que no recuerda cuál
Ingresada en Barcelona por una infección renal hace 30 años, que no recuerda
cuál
Iqxo: Ligadura y extirpación de varices MMII en abril/2013, Apendicectomía en
infancia
CASO CLÍNICO
ANTECEDENTES PATOLÓGICOS
En mayo/2013 acudió al SU HUSE en 2 ocasiones:
1. Por dolor lumbar derecho, con pruebas complementarias anodinas y mejoría
con dexketoprofeno, siendo orientada como un dolor lumbar inespecífico y dada
de alta tto domiciliario con antinflamatorios;
2. Por persistencia del dolor, objetivándose un sedimento orina patológico, se
orienta como ITU (con hipofonesis en base pulmonar derecha y PPL dcha dudosa
+) y se dada de alta con tto ATB con Amoxiclavulánico 1 comp cada 8 horas
durante 7 días
CASO CLÍNICO
ANTECEDENTES PATOLÓGICOS
En mayo/2013 acudió al SU HUSE en 2 ocasiones:
1. Por dolor lumbar derecho, con pruebas complementarias anodinas y mejoría
con dexketoprofeno, siendo orientada como un dolor lumbar inespecífico y dada
de alta tto domiciliario con antinflamatorios;
2. Por persistencia del dolor, objetivándose un sedimento orina patológico, se
orienta como ITU (con hipofonesis en base pulmonar derecha y PPL dcha dudosa
+) y se dada de alta con tto ATB con Amoxiclavulánico 1 comp cada 8 horas
durante 7 días
CASO CLÍNICO
ENFERMEDAD ACTUAL
Remitida desde su MAP por dolor dorso-lumbar derecho y síndrome
constitucional de 9 meses de evolución.
Persistencia del dolor desde julio, que se irradia ahora hacia costado derecho y se
acompaña de episodios de sudoración nocturna, náuseas de forma esporádica sin
vómitos asociados, astenia y MEG. Niega fiebre, sd miccional o alteración tránsito
intestinal.
Refiere además anorexia y pérdida de peso (6 tallas menos).
CASO CLÍNICO
EXPLORACIÓN FÍSICA
Estado general: BEG, NH, palidez cutánea
Ctes: Tª 36.6 ⁰C, FC 104 lpm, PA 115/65 mmHg, Sat O2 97% aa, Peso
72.200 Kg
NRL: Consciente, orientada, Glasgow 15, ppcc explorados normales,
moviliza las 4 extremidades, sin alteración de la fuerza ms, sensibilidad,
marcha o equilibrio
CASO CLÍNICO
EXPLORACIÓN FÍSICA
Estado general: BEG, NH, palidez cutánea
Ctes: Tª 36.6 ⁰C, FC 104 lpm, PA 115/65 mmHg, Sat O2 97% aa, Peso
72.200 Kg
NRL: Consciente, orientada, Glasgow 15, ppcc explorados normales,
moviliza las 4 extremidades, sin alteración de la fuerza ms, sensibilidad,
marcha o equilibrio
CASO CLÍNICO
EXPLORACIÓN FÍSICA
AC: Rítmico, sin soplos o extratonos
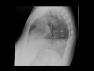
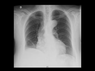
AR: Hipofonesis en base pulmonar dcha, sin otros ruidos sobreañadidos
Abdomen: RHA +, blando, depresible, sin masas ni megalias, no doloroso
Genitourinario: PPL derecha dudosa +
Ap. Locomotor: Dolor a la palpación región dorso-lumbar derecha y
costado derecho, que aumenta en intensidad a la inspiración profunda
Extremidades: sin edemas, no signos de compromiso circulatorio, pulsos
distales mantenidos
CASO CLÍNICO
EXPLORACIÓN FÍSICA
AC: Rítmico, sin soplos o extratonos
AR: Hipofonesis en base pulmonar dcha, sin otros ruidos sobreañadidos
Abdomen: RHA +, blando, depresible, sin masas ni megalias, no doloroso
Genitourinario: PPL derecha dudosa +
Ap. Locomotor: Dolor a la palpación región dorso-lumbar derecha y
costado derecho, que aumenta en intensidad a la inspiración profunda
Extremidades: sin edemas, no signos de compromiso circulatorio, pulsos
distales mantenidos
CASO CLÍNICO
PRUEBAS COMPLEMENTARIAS
Analítica Marzo 2014 MAP: Leucos 6.99 (N60.10%, L 25,20%), Hb 10.10,
VCM 83.7, HbCM 24.5, He 24, Ferritina 331, Transferrina 154, IST 11.2%,
Plaquetas 713000, PCR 10.14, TSH 2.05, Vit B12 363, Ac fólico
Sedimento orina: anodino
Analítica control +10 días: sin alteraciones con respecto a la anterior
CASO CLÍNICO
PRUEBAS COMPLEMENTARIAS
Analítica Marzo MAP: Leucos 6.99 (N60.10%, L 25,20%), Hb 10.10, VCM
83.7, HbCM 24.5, He 24, Ferritina 331, Transferrina 154, IST 11.2%,
Plaquetas 713000, PCR 10.14, TSH 2.05, Vit B12 363, Ac fólico 6,80 >>>
Anemia de trastornos crónicos
Sedimento orina : anodino
Analítica control + 10 días: sin alteraciones con respecto a la anterior
Que diagnósticos crees más probables?
Que pruebas complementarias solicitamos?...

Magda caso

  • 1.
    SESIÓN DE MICROBIOLOGÍACLÍNICA Y ENFERMEDADES INFECCIOSAS Magda Cordeiro – R1 Oncología Médica
  • 2.
    CASO CLÍNICO MOTIVO DECONSULTA Paciente mujer de 64 años remitida desde su MAP por dolor dorso-lumbar derecho y síndrome constitucional de 9 meses de evolución
  • 3.
    CASO CLÍNICO ANTECEDENTES PERSONALES NoAMC Ex-fumadora desde hace 9 meses de 4 cigs/día Niega otros hábitos tóxicos IABVD. Barthell 100. Pfeiffer 0. MRC 0. No edemas, ortopnea o DPN
  • 4.
    CASO CLÍNICO ANTECEDENTES PATOLÓGICOS HTA,diagnosticada desde hace 12 años, en tto con Enalapril 10 mg No DLP o DM Patología pulmonar en la infancia, que no recuerda cuál Ingresada en Barcelona por una infección renal hace 30 años, que no recuerda cuál Iqxo: Ligadura y extirpación de varices MMII en abril/2013, Apendicectomía en infancia
  • 5.
    CASO CLÍNICO ANTECEDENTES PATOLÓGICOS Enmayo/2013 acudió al SU HUSE en 2 ocasiones: 1. Por dolor lumbar derecho, con pruebas complementarias anodinas y mejoría con dexketoprofeno, siendo orientada como un dolor lumbar inespecífico y dada de alta tto domiciliario con antinflamatorios; 2. Por persistencia del dolor, objetivándose un sedimento orina patológico, se orienta como ITU (con hipofonesis en base pulmonar derecha y PPL dcha dudosa +) y se dada de alta con tto ATB con Amoxiclavulánico 1 comp cada 8 horas durante 7 días
  • 6.
    CASO CLÍNICO ANTECEDENTES PATOLÓGICOS Enmayo/2013 acudió al SU HUSE en 2 ocasiones: 1. Por dolor lumbar derecho, con pruebas complementarias anodinas y mejoría con dexketoprofeno, siendo orientada como un dolor lumbar inespecífico y dada de alta tto domiciliario con antinflamatorios; 2. Por persistencia del dolor, objetivándose un sedimento orina patológico, se orienta como ITU (con hipofonesis en base pulmonar derecha y PPL dcha dudosa +) y se dada de alta con tto ATB con Amoxiclavulánico 1 comp cada 8 horas durante 7 días
  • 7.
    CASO CLÍNICO ENFERMEDAD ACTUAL Remitidadesde su MAP por dolor dorso-lumbar derecho y síndrome constitucional de 9 meses de evolución. Persistencia del dolor desde julio, que se irradia ahora hacia costado derecho y se acompaña de episodios de sudoración nocturna, náuseas de forma esporádica sin vómitos asociados, astenia y MEG. Niega fiebre, sd miccional o alteración tránsito intestinal. Refiere además anorexia y pérdida de peso (6 tallas menos).
  • 8.
    CASO CLÍNICO EXPLORACIÓN FÍSICA Estadogeneral: BEG, NH, palidez cutánea Ctes: Tª 36.6 ⁰C, FC 104 lpm, PA 115/65 mmHg, Sat O2 97% aa, Peso 72.200 Kg NRL: Consciente, orientada, Glasgow 15, ppcc explorados normales, moviliza las 4 extremidades, sin alteración de la fuerza ms, sensibilidad, marcha o equilibrio
  • 9.
    CASO CLÍNICO EXPLORACIÓN FÍSICA Estadogeneral: BEG, NH, palidez cutánea Ctes: Tª 36.6 ⁰C, FC 104 lpm, PA 115/65 mmHg, Sat O2 97% aa, Peso 72.200 Kg NRL: Consciente, orientada, Glasgow 15, ppcc explorados normales, moviliza las 4 extremidades, sin alteración de la fuerza ms, sensibilidad, marcha o equilibrio
  • 10.
    CASO CLÍNICO EXPLORACIÓN FÍSICA AC:Rítmico, sin soplos o extratonos AR: Hipofonesis en base pulmonar dcha, sin otros ruidos sobreañadidos Abdomen: RHA +, blando, depresible, sin masas ni megalias, no doloroso Genitourinario: PPL derecha dudosa + Ap. Locomotor: Dolor a la palpación región dorso-lumbar derecha y costado derecho, que aumenta en intensidad a la inspiración profunda Extremidades: sin edemas, no signos de compromiso circulatorio, pulsos distales mantenidos
  • 11.
    CASO CLÍNICO EXPLORACIÓN FÍSICA AC:Rítmico, sin soplos o extratonos AR: Hipofonesis en base pulmonar dcha, sin otros ruidos sobreañadidos Abdomen: RHA +, blando, depresible, sin masas ni megalias, no doloroso Genitourinario: PPL derecha dudosa + Ap. Locomotor: Dolor a la palpación región dorso-lumbar derecha y costado derecho, que aumenta en intensidad a la inspiración profunda Extremidades: sin edemas, no signos de compromiso circulatorio, pulsos distales mantenidos
  • 12.
    CASO CLÍNICO PRUEBAS COMPLEMENTARIAS AnalíticaMarzo 2014 MAP: Leucos 6.99 (N60.10%, L 25,20%), Hb 10.10, VCM 83.7, HbCM 24.5, He 24, Ferritina 331, Transferrina 154, IST 11.2%, Plaquetas 713000, PCR 10.14, TSH 2.05, Vit B12 363, Ac fólico Sedimento orina: anodino Analítica control +10 días: sin alteraciones con respecto a la anterior
  • 13.
    CASO CLÍNICO PRUEBAS COMPLEMENTARIAS AnalíticaMarzo MAP: Leucos 6.99 (N60.10%, L 25,20%), Hb 10.10, VCM 83.7, HbCM 24.5, He 24, Ferritina 331, Transferrina 154, IST 11.2%, Plaquetas 713000, PCR 10.14, TSH 2.05, Vit B12 363, Ac fólico 6,80 >>> Anemia de trastornos crónicos Sedimento orina : anodino Analítica control + 10 días: sin alteraciones con respecto a la anterior
  • 16.
    Que diagnósticos creesmás probables? Que pruebas complementarias solicitamos?...